JavaScript is disabled in your browser. Please enable JavaScript to view this website.
AB226152

Anti-CD239/BCAM antibody [EPR4165] - BSA and Azide free

Be the first to review this product! Submit a review

|

(1 Publication)

Rabbit Recombinant Monoclonal CD239/BCAM antibody. Carrier free. Suitable for IHC-P, WB, ICC/IF and reacts with Human samples. Cited in 1 publication.

View Alternative Names

CD239, LU, MSK19, BCAM, Basal cell adhesion molecule, Auberger B antigen, B-CAM cell surface glycoprotein, F8/G253 antigen, Lutheran antigen, Lutheran blood group glycoprotein

3 Images
Immunocytochemistry/ Immunofluorescence - Anti-CD239/BCAM antibody [EPR4165] - BSA and Azide free (AB226152)
  • ICC/IF

Lab

Immunocytochemistry/ Immunofluorescence - Anti-CD239/BCAM antibody [EPR4165] - BSA and Azide free (AB226152)

Immunocytochemistry/ Immunofluorescence analysis of A431 (human epidermoid carcinoma epithelial cell) labeling CD239/BCAM with ab134110 at 1/100 dilution followed by ab150077 at 1/1000 dilution. Cells were fixed with 4% Paraformaldehyde and permeabilied with 0.1% TritonX-100. DAPI was used as nuclear counter stain. Cells were counterstained wth ab195889 at 1/200 dilution. Confocal image showing mainly membranous staining in A431 cell line. Negative control : JurKat (PMID : 30078440) Image was taken with a confocal microscope (Leica-Microsystems, TCS SP8). This data was developed using ab134110, the same antibody clone in a different buffer formulation.

Immunohistochemistry (Formalin/PFA-fixed paraffin-embedded sections) - Anti-CD239/BCAM antibody [EPR4165] - BSA and Azide free (AB226152)
  • IHC-P

Unknown

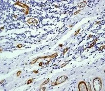
Immunohistochemistry (Formalin/PFA-fixed paraffin-embedded sections) - Anti-CD239/BCAM antibody [EPR4165] - BSA and Azide free (AB226152)

This data was developed using ab134110, the same antibody clone in a different buffer formulation.

Immunohistochemical analysis of paraffin embedded Human tonsil tissue labelling CD239/BCAM with ab134110 at 1/250.

Perform heat mediated antigen retrieval with citrate buffer pH 6 before commencing with IHC staining protocol.

Western blot - Anti-CD239/BCAM antibody [EPR4165] - BSA and Azide free (AB226152)
  • WB

Unknown

Western blot - Anti-CD239/BCAM antibody [EPR4165] - BSA and Azide free (AB226152)

This data was developed using ab134110, the same antibody clone in a different buffer formulation.

Secondary antibody - goat anti-rabbit HRP (ab6721).

All lanes:

Western blot - Anti-CD239/BCAM antibody [EPR4165] (<a href='/en-us/products/primary-antibodies/cd239-bcam-antibody-epr4165-ab134110'>ab134110</a>) at 1/1000 dilution

Lane 1:

293T cell lysate at 10 µg

Lane 2:

HeLa cell lysate at 10 µg

Lane 3:

A431 cell lysate at 10 µg

Secondary

All lanes:

Goat anti-rabbit HRP conjugated antibody at 1/2000 dilution

Predicted band size: 67 kDa

Observed band size: 85 kDa

false

Key facts

Host species

Rabbit

Clonality

Monoclonal

Clone number

EPR4165

Isotype

IgG

Carrier free

Yes

Reacts with

Human

Applications

IHC-P, WB, ICC/IF

applications

Immunogen

The exact immunogen used to generate this antibody is proprietary information.

Reactivity data

{ "title": "Reactivity Data", "filters": { "stats": ["", "Species", "Dilution Info", "Notes"], "tabs": { "all-applications": {"fullname" : "All Applications", "shortname": "All Applications"}, "IHCP" : {"fullname" : "Immunohistochemistry (Formalin/PFA-fixed paraffin-embedded sections)", "shortname":"IHC-P"}, "WB" : {"fullname" : "Western blot", "shortname":"WB"}, "ICCIF" : {"fullname" : "Immunocytochemistry/ Immunofluorescence", "shortname":"ICC/IF"} }, "product-promise": { "all": "all", "testedAndGuaranteed": "tested", "guaranteed": "expected", "predicted": "predicted", "notRecommended": "not-recommended" } }, "values": { "Human": { "IHCP-species-checked": "testedAndGuaranteed", "IHCP-species-dilution-info": "", "IHCP-species-notes": "<p>Perform antigen retrieval before commencing with IHC staining protocol</p>", "WB-species-checked": "testedAndGuaranteed", "WB-species-dilution-info": "", "WB-species-notes": "<p></p>", "ICCIF-species-checked": "testedAndGuaranteed", "ICCIF-species-dilution-info": "", "ICCIF-species-notes": "<p></p>" }, "Mouse": { "IHCP-species-checked": "predicted", "IHCP-species-dilution-info": "", "IHCP-species-notes": "", "WB-species-checked": "predicted", "WB-species-dilution-info": "", "WB-species-notes": "", "ICCIF-species-checked": "predicted", "ICCIF-species-dilution-info": "", "ICCIF-species-notes": "" }, "Rat": { "IHCP-species-checked": "predicted", "IHCP-species-dilution-info": "", "IHCP-species-notes": "", "WB-species-checked": "predicted", "WB-species-dilution-info": "", "WB-species-notes": "", "ICCIF-species-checked": "predicted", "ICCIF-species-dilution-info": "", "ICCIF-species-notes": "" } } }

Product details

ab226152 is the carrier-free version of ab134110.

Patented technology
Our RabMAb® technology is a patented hybridoma-based technology for making rabbit monoclonal antibodies. For details on our patents, please refer to RabMAb® patents.

What are the advantages of a recombinant monoclonal antibody?
This product is a recombinant monoclonal antibody, which offers several advantages including:

  • - High batch-to-batch consistency and reproducibility
  • - Improved sensitivity and specificity
  • - Long-term security of supply
  • - Animal-free batch production

For more information, read more on recombinant antibodies.

Conjugation ready
Our carrier-free antibodies are typically supplied in a PBS-only formulation, purified and free of BSA, sodium azide and glycerol. This conjugation-ready format is designed for use with fluorochromes, metal isotopes, oligonucleotides, and enzymes, which makes them ideal for antibody labelling, functional and cell-based assays, flow-based assays (e.g. mass cytometry) and Multiplex Imaging applications.

Use our conjugation kits for antibody conjugates that are ready-to-use in as little as 20 minutes with 1 minute hands-on-time and 100% antibody recovery: available for fluorescent dyes, HRP, biotin and gold.

Compatibility
This product is compatible with the Maxpar® Antibody Labeling Kit from Fluidigm, without the need for antibody preparation. Maxpar® is a trademark of Fluidigm Canada Inc.

Properties and storage information

Form
Liquid
Purification technique
Affinity purification Protein A
Storage buffer
pH: 7.2 - 7.4 Constituents: PBS
Shipped at conditions
Blue Ice
Appropriate short-term storage conditions
+4°C
Appropriate long-term storage conditions
+4°C
Storage information
Do Not Freeze

Supplementary information

This supplementary information is collated from multiple sources and compiled automatically.

CD239 also known as basal cell adhesion molecule (BCAM) is an integral protein with a mass of about 60 kDa. This protein is primarily expressed in endothelial cells red blood cells and various epithelial tissues. BCAM plays a significant role in cell adhesion acting as a receptor for the extracellular matrix component laminin specifically laminin-511/521. It helps cells attach an essential role for maintaining tissue integrity and cellular communication.
Biological function summary

BCAM influences processes related to cell adhesion and motility. Although not explicitly part of a large complex it interacts closely with the cytoskeleton and mediators of signal transduction. Functions of BCAM involve linking extracellular matrix signals to the intracellular environment impacting cell movement and stabilization within tissues. It also modulates cellular responses to external mechanical stresses playing essential roles in maintaining normal cell function.

Pathways

BCAM is involved in several critical signaling processes including integrin-mediated adhesion and the MAPK/ERK pathway. How BCAM affects these pathways is through its interaction with integrins and elements related to cellular migration and proliferation. Within these pathways related proteins like laminins and other integrin subunits contribute to its adhesion properties and signaling functions enabling coordinated cellular responses to environmental cues.

BCAM is notably associated with sickle cell disease and certain cancers. In sickle cell disease the altered expression or function of BCAM on red blood cells causes abnormal adhesion to the endothelium leading to vaso-occlusion. This adhesion is often exacerbated by interactions with other proteins like L-selectin. In cancer BCAM overexpression correlates with increased tumor cell migration and invasion influencing metastasis and patient prognosis. These associations highlight BCAM's critical role in disease pathology and potential as a therapeutic target.

Product protocols

For this product, it's our understanding that no specific protocols are required. You can visit:

Target data

Transmembrane glycoprotein that functions as both a receptor and an adhesion molecule playing a crucial role in cell adhesion, motility, migration and invasion (PubMed : 9616226, PubMed : 31413112). Extracellular domain enables binding to extracellular matrix proteins, such as laminin, integrin and other ligands while its intracellular domain interacts with cytoskeletal proteins like hemoglobin, facilitating cell signal transduction (PubMed : 17158232). Serves as a receptor for laminin alpha-5/LAMA5 to promote cell adhesion (PubMed : 15975931). Mechanistically, JAK2 induces BCAM phosphorylation and activates its adhesion to laminin by stimulating a Rap1/AKT signaling pathway in the absence of EPOR (PubMed : 23160466).
See full target information BCAM

Publications (1)

Recent publications for all applications. Explore the full list and refine your search

Nature immunology 25:2152-2165 PubMed39438660

2024

A longitudinal single-cell atlas of anti-tumour necrosis factor treatment in inflammatory bowel disease.

Applications

Unspecified application

Species

Unspecified reactive species

Tom Thomas,Matthias Friedrich,Charlotte Rich-Griffin,Mathilde Pohin,Devika Agarwal,Julia Pakpoor,Carl Lee,Ruchi Tandon,Aniko Rendek,Dominik Aschenbrenner,Ashwin Jainarayanan,Alexandru Voda,Jacqueline H Y Siu,Raphael Sanches-Peres,Eloise Nee,Dharshan Sathananthan,Dylan Kotliar,Peter Todd,Maria Kiourlappou,Lisa Gartner,Nicholas Ilott,Fadi Issa,Joanna Hester,Jason Turner,Saba Nayar,Jonas Mackerodt,Fan Zhang,Anna Jonsson,Michael Brenner,Soumya Raychaudhuri,Ruth Kulicke,Danielle Ramsdell,Nicolas Stransky,Ray Pagliarini,Piotr Bielecki,Noah Spies,Brian Marsden,Stephen Taylor,Allon Wagner,Paul Klenerman,Alissa Walsh,Mark Coles,Luke Jostins-Dean,Fiona M Powrie,Andrew Filer,Simon Travis,Holm H Uhlig,Calliope A Dendrou,Christopher D Buckley
View all publications

Product promise

We are committed to supporting your work with high-quality reagents, and we're here for you every step of the way. In the unlikely event that one of our products does not perform as expected, you're protected by our Product Promise.
For full details, please see our Terms & Conditions

Please note: All products are 'FOR RESEARCH USE ONLY. NOT FOR USE IN DIAGNOSTIC OR THERAPEUTIC PROCEDURES'.

For licensing inquiries, please contact partnerships@abcam.com