JavaScript is disabled in your browser. Please enable JavaScript to view this website.
AB272072

Anti-CD27 antibody [BLR083G] - BSA free

Be the first to review this product! Submit a review

|

(1 Publication)

Rabbit Recombinant Monoclonal CD27 antibody. Suitable for IHC-P, ICC, IP, WB and reacts with Human samples. Cited in 1 publication. Immunogen corresponding to Recombinant Fragment Protein within Human CD27 aa 1-200.

View Alternative Names

CD27, TNFRSF7, CD27 antigen, CD27L receptor, T-cell activation antigen CD27, T14, Tumor necrosis factor receptor superfamily member 7

3 Images
Immunocytochemistry - Anti-CD27 antibody [BLR083G] - BSA free (AB272072)
  • ICC

Supplier Data

Immunocytochemistry - Anti-CD27 antibody [BLR083G] - BSA free (AB272072)

Immunocytochemical analysis of formalin-fixed, paraffin-embedded ramos cells labeling CD27 with ab265589 at 1/100 dilution. Detection : DAB.

This data was developed using the same antibody clone in a different buffer formulation containing Borate buffered saline, BSA, glycerol and sodium azide (ab265589).

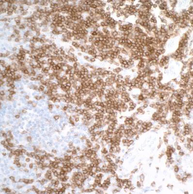
Immunohistochemistry (Formalin/PFA-fixed paraffin-embedded sections) - Anti-CD27 antibody [BLR083G] - BSA free (AB272072)
  • IHC-P

Supplier Data

Immunohistochemistry (Formalin/PFA-fixed paraffin-embedded sections) - Anti-CD27 antibody [BLR083G] - BSA free (AB272072)

Immunohistochemical analysis of formalin-fixed, paraffin-embedded human tonsil tissue labeling CD27 with ab265589 at 1/100 dilution. Detection : DAB.

This data was developed using the same antibody clone in a different buffer formulation containing Borate buffered saline, BSA, glycerol and sodium azide (ab265589).

Immunoprecipitation - Anti-CD27 antibody [BLR083G] - BSA free (AB272072)
  • IP

Supplier Data

Immunoprecipitation - Anti-CD27 antibody [BLR083G] - BSA free (AB272072)

CD27 was immunoprecipitated from 1mg of HEK-293T (Human epithelial cell line from embryonic kidney transformed with large T antigen) whole cell lysate with ab265589 at 20 μl/mg lysate. Western blot was performed from the immunoprecipitate using ab265589 at 1/1000 dilution.

Lane 1 : ab265589 IP in HEK-293T whole cell lysate.
Lane 2 : Control IgG.

Exposure time : 10 secs.

Cells prepared using NETN lysis buffer.

This data was developed using the same antibody clone in a different buffer formulation containing Borate buffered saline, BSA, glycerol and sodium azide (ab265589).

All lanes:

Immunoprecipitation - Anti-CD27 antibody [BLR083G] (<a href='/en-us/products/primary-antibodies/cd27-antibody-blr083g-ab265589'>ab265589</a>)

Predicted band size: 29 kDa

false

Key facts

Host species

Rabbit

Clonality

Monoclonal

Clone number

BLR083G

Isotype

IgG

Carrier free

No

Reacts with

Human

Applications

IHC-P, IP, ICC, WB

applications

Immunogen

Recombinant Fragment Protein within Human CD27 aa 1-200. The exact immunogen used to generate this antibody is proprietary information.

P26842

Reactivity data

{ "title": "Reactivity Data", "filters": { "stats": ["", "Species", "Dilution Info", "Notes"], "tabs": { "all-applications": {"fullname" : "All Applications", "shortname": "All Applications"}, "IHCP" : {"fullname" : "Immunohistochemistry (Formalin/PFA-fixed paraffin-embedded sections)", "shortname":"IHC-P"}, "ICC" : {"fullname" : "Immunocytochemistry", "shortname":"ICC"}, "IP" : {"fullname" : "Immunoprecipitation", "shortname":"IP"}, "WB" : {"fullname" : "Western blot", "shortname":"WB"} }, "product-promise": { "all": "all", "testedAndGuaranteed": "tested", "guaranteed": "expected", "predicted": "predicted", "notRecommended": "not-recommended" } }, "values": { "Human": { "IHCP-species-checked": "testedAndGuaranteed", "IHCP-species-dilution-info": "", "IHCP-species-notes": "<p></p> Perform heat-mediated antigen retrieval with citrate buffer pH 6 before commencing with IHC staining protocol.", "ICC-species-checked": "testedAndGuaranteed", "ICC-species-dilution-info": "", "ICC-species-notes": "<p></p>", "IP-species-checked": "testedAndGuaranteed", "IP-species-dilution-info": "", "IP-species-notes": "<p></p>", "WB-species-checked": "guaranteed", "WB-species-dilution-info": "", "WB-species-notes": "<p></p>" } } }

Product details

ab272072 is the BSA-free version of ab265589.

REACH authorisation
Abcam has not and does not intend to apply for the REACH Authorisation of customers' uses of products that contain European Authorisation list (Annex XIV) substances.
It is the responsibility of our customers to check the necessity of application of REACH Authorisation, and any other relevant authorisations, for their intended uses.

Conjugation ready
Our carrier-free antibodies are typically supplied in a PBS-only formulation, purified and free of BSA, sodium azide and glycerol. This conjugation-ready format is designed for use with fluorochromes, metal isotopes, oligonucleotides, and enzymes, which makes them ideal for antibody labelling, functional and cell-based assays, flow-based assays (e.g. mass cytometry) and Multiplex Imaging applications.

Use our conjugation kits for antibody conjugates that are ready-to-use in as little as 20 minutes with 1 minute hands-on-time and 100% antibody recovery: available for fluorescent dyes, HRP, biotin and gold.

This product is sold under License from Bethyl Laboratories, Inc.

Properties and storage information

Form
Liquid
Purification technique
Affinity purification
Purification notes
Purified from TCS.
Storage buffer
pH: 8.2 Preservative: 0.09% Sodium azide Constituents: 98% Borate buffered saline
Shipped at conditions
Blue Ice
Appropriate short-term storage duration
1-2 weeks
Appropriate short-term storage conditions
+4°C
Appropriate long-term storage conditions
+4°C
Aliquoting information
Upon delivery aliquot
Storage information
Avoid freeze / thaw cycle

Supplementary information

This supplementary information is collated from multiple sources and compiled automatically.

CD27 also known as Tumor Necrosis Factor Receptor Superfamily Member 7 (TNFRSF7) is a protein chiefly involved in T cell activation and proliferation. It belongs to the TNF-receptor superfamily and weighs approximately 50 kDa. CD27 is expressed mainly on T lymphocytes and to a lesser extent on B cells and natural killer cells. Researchers often study CD27 and its ligand CD70 to understand immune responses. Tools such as anti-CD27 percp 7h21 monoclonal antibodies and APC-conjugated forms help detect this protein in various assays.
Biological function summary

One finds CD27 at the heart of cellular immune responses. It does not function alone; instead it typically forms part of a receptor-ligand complex with CD70 which influences T cell and B cell activities. This interaction promotes cell survival and plays a role in the activation of NF-kB and MAPK8/JNK signaling pathways which are essential for immune response regulation. These pathways ensure that the body's immune cells can efficiently respond to pathogens.

Pathways

CD27 actively integrates into the NF-kB and mTOR signaling pathways which are important for regulating immune and inflammatory responses. Through these pathways CD27 works closely with proteins like TRAF2 and TRAF3 which are adapter molecules that transmit signals from the receptor. These signaling pathways provide a framework for understanding how CD27 and associated proteins work together to control immune cell behavior facilitating coordinated immune defense mechanisms.

CD27 has significant implications in autoimmune diseases and cancer. For example aberrant activation of CD27 may contribute to conditions like lymphoma and autoimmune diseases such as lupus. The CD70-CD27 signaling axis when dysregulated can lead to uncontrolled cell proliferation or apoptosis linking it to these pathologies. Understanding the interplay between CD27 and proteins like Bcl-2 which influences apoptosis helps pave the way for therapeutic strategies targeting these diseases.

Product protocols

For this product, it's our understanding that no specific protocols are required. You can visit:

Target data

Costimulatory immune-checkpoint receptor expressed at the surface of T-cells, NK-cells and B-cells which binds to and is activated by its ligand CD70/CD27L expressed by B-cells (PubMed : 28011863). The CD70-CD27 signaling pathway mediates antigen-specific T-cell activation and expansion which in turn provides immune surveillance of B-cells (PubMed : 28011863). Mechanistically, CD70 ligation activates the TRAF2-PTPN6 axis that subsequently inhibits LCK phosphorylation to promote phenotypic and transcriptional adaptations of T-cell memory (PubMed : 38354704). In addition, activation by CD70 on early progenitor cells provides a negative feedback signal to leukocyte differentiation during immune activation and thus modulates hematopoiesis (By similarity). Negatively regulates the function of Th2 lymphocytes in the adipose tissue (By similarity).
See full target information CD27

Publications (1)

Recent publications for all applications. Explore the full list and refine your search

Acta pharmaceutica Sinica. B 15:1415-1429 PubMed40370549

2025

Effective therapeutic targeting of tumor lineage plasticity in neuroendocrine prostate cancer by BRD4 inhibitors.

Applications

Unspecified application

Species

Unspecified reactive species

Xiong Zhang,Yatian Yang,Hongye Zou,Yang Yang,Xingling Zheng,Eva Corey,Amina Zoubeidi,Nicolas Mitsiades,Ai-Ming Yu,Yuanpei Li,Hong-Wu Chen
View all publications

Product promise

We are committed to supporting your work with high-quality reagents, and we're here for you every step of the way. In the unlikely event that one of our products does not perform as expected, you're protected by our Product Promise.
For full details, please see our Terms & Conditions

Please note: All products are 'FOR RESEARCH USE ONLY. NOT FOR USE IN DIAGNOSTIC OR THERAPEUTIC PROCEDURES'.

For licensing inquiries, please contact partnerships@abcam.com