JavaScript is disabled in your browser. Please enable JavaScript to view this website.
AB256583

Anti-CD27 antibody [EPR8569] - BSA and Azide free

Be the first to review this product! Submit a review

|

(2 Publications)

Anti-CD27 antibody [EPR8569] - BSA and Azide free (ab256583) is a rabbit recombinant monoclonal antibody provided in a PBS only buffer for easy conjugation detecting CD27 in Western Blot, Flow Cytometry, IHC-P, ICC/IF. Suitable for Human.

- KO validated for confirmed specificity
- BSA, sodium azide, and glycerol-free for easy conjugation
- Biophysical QC for unrivalled batch-batch consistency

View Alternative Names

CD27, TNFRSF7, CD27 antigen, CD27L receptor, T-cell activation antigen CD27, T14, Tumor necrosis factor receptor superfamily member 7

10 Images
Flow Cytometry (Intracellular) - Anti-CD27 antibody [EPR8569] - BSA and Azide free (AB256583)
  • Flow Cyt (Intra)

Lab

Flow Cytometry (Intracellular) - Anti-CD27 antibody [EPR8569] - BSA and Azide free (AB256583)

This data was developed using the same antibody clone in a different buffer formulation containing PBS, BSA, glycerol, and sodium azide (ab131254).

Flow cytometry staining of human peripheral blood mononuclear cells (PBMCs) with ab131254 (right) or Recombinant Rabbit IgG, monoclonal [EPR25A] - Isotype Control (left). Cells were fixed and permeabilised with BD Cytofix/Cytoperm™ for 20 min. PBMCs were incubated for 30 min at 22°C in 1x PBS containing 10 μg/ml human IgG and 10 % normal goat serum to block FC receptors and non-specific protein-protein interaction followed by the antibody ab131254 or Recombinant Rabbit IgG, monoclonal [EPR25A] - Isotype Control (1x 106 in 100 μl at 0.04 μg/ml (1/52750)) for 30 min at 4°C . The cells were simultaneously stained with CD4.

The secondary antibody Goat Anti-Rabbit IgG H&L (Alexa Fluor® 488) preadsorbed was incubated at 1/4000 for 30min at 4°C

Acquisition of >30000 events were collected using a 50 mW Blue laser (488nm) and 525/40 bandpass filter. Events were gated on viable cells.

Flow Cytometry (Intracellular) - Anti-CD27 antibody [EPR8569] - BSA and Azide free (AB256583)
  • Flow Cyt (Intra)

Lab

Flow Cytometry (Intracellular) - Anti-CD27 antibody [EPR8569] - BSA and Azide free (AB256583)

Flow Cytometry analysis of Ramos cells labelling CD27 with purified ab131254 at 1/300 (red). Cells were fixed with 2% paraformaldehyde. A FITC-conjugated goat anti-rabbit IgG (1/150) was used as the secondary antibody. Black - Isotype control, rabbit monoclonal IgG. Blue - Unlabelled control, cells without incubation with primary and secondary antibodies.

This data was developed using the same antibody clone in a different buffer formulation containing PBS, BSA, glycerol, and sodium azide (ab131254).

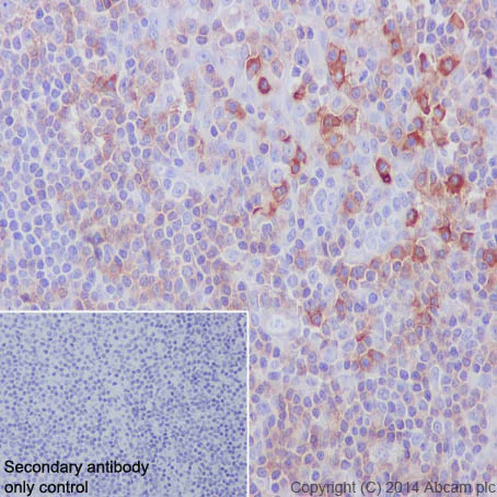
Immunohistochemistry (Formalin/PFA-fixed paraffin-embedded sections) - Anti-CD27 antibody [EPR8569] - BSA and Azide free (AB256583)
  • IHC-P

Unknown

Immunohistochemistry (Formalin/PFA-fixed paraffin-embedded sections) - Anti-CD27 antibody [EPR8569] - BSA and Azide free (AB256583)

Immunohistochemistry (Formalin/PFA-fixed paraffin-embedded sections) analysis of human tonsil tissue labelling CD27 with purified ab131254 at 1/1500. Heat mediated antigen retrieval was performed using Tris/EDTA buffer pH 9. ab97051, a HRP-conjugated goat anti-rabbit IgG (H+L) was used as the secondary antibody (1/500). Negative control using PBS instead of primary antibody. Counterstained with hematoxylin.

This data was developed using the same antibody clone in a different buffer formulation containing PBS, BSA, glycerol, and sodium azide (ab131254).

Immunohistochemistry (Formalin/PFA-fixed paraffin-embedded sections) - Anti-CD27 antibody [EPR8569] - BSA and Azide free (AB256583)
  • IHC-P

Unknown

Immunohistochemistry (Formalin/PFA-fixed paraffin-embedded sections) - Anti-CD27 antibody [EPR8569] - BSA and Azide free (AB256583)

Immunohistochemistry (Formalin/PFA-fixed paraffin embedded sections) analysis of human tonsil tissue labelling CD27 with ab131254 at a dilution of 1/100.

This data was developed using the same antibody clone in a different buffer formulation containing PBS, BSA, glycerol, and sodium azide (ab131254).

Immunocytochemistry/ Immunofluorescence - Anti-CD27 antibody [EPR8569] - BSA and Azide free (AB256583)
  • ICC/IF

Lab

Immunocytochemistry/ Immunofluorescence - Anti-CD27 antibody [EPR8569] - BSA and Azide free (AB256583)

This data was developed using the same antibody clone in a different buffer formulation containing PBS, BSA, glycerol, and sodium azide (ab131254).

ab131254 staining CD27 in Raji cells, with negative expression in A375 cells. The cells were fixed with 100% methanol (5 min), permeabilised with 0.1% Triton x-100 for 5 minutes and then blocked with 1% BSA/10% normal goat serum/0.3M glycine in 0.1% PBS-Tween for 1h. The cells were then incubated overnight at +4°C with ab131254 at 1 μg/ml and ab7291, Mouse monoclonal [DM1A] to alpha Tubulin at 0.5 μg/ml. Cells were then incubated with ab150081, Goat polyclonal Secondary Antibody to Rabbit IgG - H&L (Alexa Fluor® 488), pre-adsorbed at 1/1000 dilution (shown in green) and ab150119, Goat polyclonal Secondary Antibody to Mouse IgG - H&L (Alexa Fluor® 647), pre-adsorbed at 1/1000 dilution (shown in red). Nuclear DNA was labelled with DAPI (shown in blue).

Image was acquired with a confocal microscope (Leica-Microsystems TCS SP8) and a single confocal section is shown.

This product also work with 4% formaldehyde (10 min) fixation under the same testing conditions.

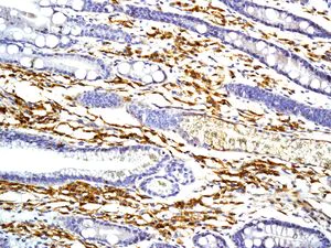
Immunohistochemistry (Formalin/PFA-fixed paraffin-embedded sections) - Anti-CD27 antibody [EPR8569] - BSA and Azide free (AB256583)
  • IHC-P

Unknown

Immunohistochemistry (Formalin/PFA-fixed paraffin-embedded sections) - Anti-CD27 antibody [EPR8569] - BSA and Azide free (AB256583)

Immunohistochemistry (Formalin/PFA-fixed paraffin embedded sections) analysis of human stomach tissue labelling CD27 with ab131254 at a dilution of 1/100.

This data was developed using the same antibody clone in a different buffer formulation containing PBS, BSA, glycerol, and sodium azide (ab131254).

Immunohistochemistry (Formalin/PFA-fixed paraffin-embedded sections) - Anti-CD27 antibody [EPR8569] - BSA and Azide free (AB256583)
  • IHC-P

Lab

Immunohistochemistry (Formalin/PFA-fixed paraffin-embedded sections) - Anti-CD27 antibody [EPR8569] - BSA and Azide free (AB256583)

This data was developed using the same antibody clone in a different buffer formulation containing PBS, BSA, glycerol, and sodium azide (ab131254). Immunohistochemistry (Formalin/PFA-fixed paraffin-embedded sections) analysis of human skeletal muscle showing negative staining with purified ab131254 at 1/1800. Heat mediated antigen retrieval was performed using ab93684 (Tris/EDTA buffer, pH 9.0). ab214880, a Goat Anti-Rabbit IgG H&L (HRP polymer) was used as the secondary antibody (1/500). Counterstained with hematoxylin. Negative control : No staining on human skeletal muscle. The section was incubated with ab131254 at 4°C overnight.

Immunocytochemistry/ Immunofluorescence - Anti-CD27 antibody [EPR8569] - BSA and Azide free (AB256583)
  • ICC/IF

Lab

Immunocytochemistry/ Immunofluorescence - Anti-CD27 antibody [EPR8569] - BSA and Azide free (AB256583)

Immunocytochemistry/Immunofluorescence analysis of Jurkat cells labelling CD27 with purified ab131254 at 1/500. Cells were fixed with 4% paraformaldehyde and permeabilized with 0.1% Triton X-100. ab150077, an Alexa Fluor® 488-conjugated goat anti-rabbit IgG (1/500) was used as the secondary antibody. DAPI (blue) was used as the nuclear counterstain. ab7291, a mouse anti-tubulin (1/1000) and ab150120, an Alexa Fluor® 594-conjugated goat anti-mouse IgG (1/500) were also used.

Control 1 : primary antibody (1/500) and secondary antibody, ab150120, an Alexa Fluor® 594-conjugated goat anti-mouse IgG (1/500).

Control 2 : ab7291 (1/1000) and secondary antibody, ab150077, an Alexa Fluor® 488-conjugated goat anti-rabbit IgG (1/500).

This data was developed using the same antibody clone in a different buffer formulation containing PBS, BSA, glycerol, and sodium azide (ab131254).

Western blot - Anti-CD27 antibody [EPR8569] - BSA and Azide free (AB256583)
  • WB

Lab

Western blot - Anti-CD27 antibody [EPR8569] - BSA and Azide free (AB256583)

This data was developed using the same antibody clone in a different buffer formulation (ab131254).

Lanes 1 - 4 : Merged signal (red and green). Green - ab131254 observed at 35 kDa. Red - loading control ab7291 (Mouse anti-Alpha Tubulin [DM1A]) observed at 55kDa.

ab131254 was shown to react with CD27 in wild-type Raji cells in western blot with loss of signal observed in CD27 knockout sample. Wild-type and CD27 knockout Raji cell lysates were subjected to SDS-PAGE. Membranes were blocked in 3% milk in TBS-T (0.1% Tween®) before incubation with ab131254 and ab7291 (Mouse anti-Alpha Tubulin [DM1A]) overnight at 4°C at a 1 in 1000 dilution and a 1 in 20000 dilution respectively. Blots were incubated with Goat anti-Rabbit IgG H&L (IRDye® 800CW) preabsorbed (ab216773) and Goat anti-Mouse IgG H&L (IRDye® 680RD) preabsorbed (ab216776) secondary antibodies at 1 in 20000 dilution for 1 hour at room temperature before imaging.

All lanes:

Western blot - Anti-CD27 antibody [EPR8569] (<a href='/en-us/products/primary-antibodies/cd27-antibody-epr8569-ab131254'>ab131254</a>) at 1/1000 dilution

Lane 1:

Wild-type Raji (Human Burkitt's lymphoma cell line) whole cell lysate at 20 µg

Lane 2:

CD27 knockout Raji (Human Burkitt's lymphoma cell line) whole cell lysate at 20 µg

Lane 2:

Western blot - Human CD27A knockout Raji cell line (<a href='/en-us/products/cell-lines/human-cd27a-knockout-raji-cell-line-ab274910'>ab274910</a>)

Lane 3:

Ramos (Human Burkitt's lymphoma cell line) whole cell lysate at 20 µg

Lane 4:

Human brain tissue lysate at 20 µg

Predicted band size: 29 kDa

Observed band size: 35 kDa

false

OI-RD Scanning - Anti-CD27 antibody [EPR8569] - BSA and Azide free (AB256583)
  • OI-RD Scanning

Unknown

OI-RD Scanning - Anti-CD27 antibody [EPR8569] - BSA and Azide free (AB256583)

We have systematically measured KD (the equilibrium dissociation constant between the antibody and its antigen), of more than 840 recombinant antibodies to assess not only their individual KD values but also to see the average affinity of antibody. Based on the comparison with published literature values for mouse monoclonal antibodies, Recombinant antibodies appear to be on average 1-2 order of magnitude higher affinity.

Key facts

Host species

Rabbit

Clonality

Monoclonal

Clone number

EPR8569

Isotype

IgG

Carrier free

Yes

Reacts with

Human

Applications

WB, IHC-P, ICC/IF, Flow Cyt (Intra)

applications

Immunogen

The exact immunogen used to generate this antibody is proprietary information.

Reactivity data

{ "title": "Reactivity Data", "filters": { "stats": ["", "Species", "Dilution Info", "Notes"], "tabs": { "all-applications": {"fullname" : "All Applications", "shortname": "All Applications"}, "IHCP" : {"fullname" : "Immunohistochemistry (Formalin/PFA-fixed paraffin-embedded sections)", "shortname":"IHC-P"}, "FlowCytIntra" : {"fullname" : "Flow Cytometry (Intracellular)", "shortname":"Flow Cyt (Intra)"}, "WB" : {"fullname" : "Western blot", "shortname":"WB"}, "ICCIF" : {"fullname" : "Immunocytochemistry/ Immunofluorescence", "shortname":"ICC/IF"} }, "product-promise": { "all": "all", "testedAndGuaranteed": "tested", "guaranteed": "expected", "predicted": "predicted", "notRecommended": "not-recommended" } }, "values": { "Human": { "IHCP-species-checked": "testedAndGuaranteed", "IHCP-species-dilution-info": "", "IHCP-species-notes": "<p></p>", "FlowCytIntra-species-checked": "testedAndGuaranteed", "FlowCytIntra-species-dilution-info": "", "FlowCytIntra-species-notes": "<p><a href='/en-us/products/primary-antibodies/rabbit-igg-monoclonal-epr25a-isotype-control-low-endotoxin-azide-free-ab199376'>ab199376</a> - Rabbit monoclonal IgG, is suitable for use as an isotype control with this antibody.</p>", "WB-species-checked": "testedAndGuaranteed", "WB-species-dilution-info": "", "WB-species-notes": "<p></p>", "ICCIF-species-checked": "testedAndGuaranteed", "ICCIF-species-dilution-info": "", "ICCIF-species-notes": "<p></p>" } } }

Product details

What is this antibody validated in?
Anti-CD27 antibody [EPR8569] - BSA and Azide free (ab256583) is a rabbit recombinant monoclonal antibody and is validated for use in Western Blot (WB), Flow Cytometry (Intra), Flow Cytometry (Flow Cyt), Immunohistochemistry (IHC-P), Immunocytochemistry/immunofluorescence (ICC/IF) in Human samples.

What is the molecular weight of CD27?
Anti-CD27 [EPR8569] - BSA and Azide free (ab256583) specifically detects a band for CD27 (UniProt: P26842) at a molecular weight of 29kDa.

Specificity confirmed
The specificity of Anti-CD27 antibody [EPR8569] - BSA and Azide free (ab256583) has been confirmed by Western blot testing in CD27 Knockout Raji cell line.

Other related products
We have a range of other formats of antibody clone [EPR8569] also available for your convenience: ab131254, Carrier free - ab192336, Carrier free - ab256583, Alexa Fluor® 555 - ab282112, Alexa Fluor® 647 - ab283697, ab284415, PE - ab314248

Patented technology
Our RabMAb® technology is a patented hybridoma-based technology for making rabbit monoclonal antibodies. For details on our patents, please refer to RabMAb® patents.

What are the advantages of a recombinant monoclonal antibody?
This product is a recombinant monoclonal antibody, which offers several advantages including:

  • - High batch-to-batch consistency and reproducibility
  • - Improved sensitivity and specificity
  • - Long-term security of supply
  • - Animal-free batch production

For more information, read more on recombinant antibodies.

Conjugation ready
Our carrier-free antibodies are typically supplied in a PBS-only formulation, purified and free of BSA, sodium azide and glycerol. This conjugation-ready format is designed for use with fluorochromes, metal isotopes, oligonucleotides, and enzymes, which makes them ideal for antibody labelling, functional and cell-based assays, flow-based assays (e.g. mass cytometry) and Multiplex Imaging applications.

Use our conjugation kits for antibody conjugates that are ready-to-use in as little as 20 minutes with 1 minute hands-on-time and 100% antibody recovery: available for fluorescent dyes, HRP, biotin and gold.

Compatibility
This product is compatible with the Maxpar® Antibody Labeling Kit from Fluidigm, without the need for antibody preparation. Maxpar® is a trademark of Fluidigm Canada Inc.

Properties and storage information

Form
Liquid
Purification technique
Affinity purification Protein A
Storage buffer
pH: 7.2 - 7.4 Constituents: PBS
Shipped at conditions
Blue Ice
Appropriate short-term storage conditions
+4°C
Appropriate long-term storage conditions
+4°C
Storage information
Do Not Freeze

Supplementary information

This supplementary information is collated from multiple sources and compiled automatically.

CD27 also known as Tumor Necrosis Factor Receptor Superfamily Member 7 (TNFRSF7) is a protein chiefly involved in T cell activation and proliferation. It belongs to the TNF-receptor superfamily and weighs approximately 50 kDa. CD27 is expressed mainly on T lymphocytes and to a lesser extent on B cells and natural killer cells. Researchers often study CD27 and its ligand CD70 to understand immune responses. Tools such as anti-CD27 percp 7h21 monoclonal antibodies and APC-conjugated forms help detect this protein in various assays.
Biological function summary

One finds CD27 at the heart of cellular immune responses. It does not function alone; instead it typically forms part of a receptor-ligand complex with CD70 which influences T cell and B cell activities. This interaction promotes cell survival and plays a role in the activation of NF-kB and MAPK8/JNK signaling pathways which are essential for immune response regulation. These pathways ensure that the body's immune cells can efficiently respond to pathogens.

Pathways

CD27 actively integrates into the NF-kB and mTOR signaling pathways which are important for regulating immune and inflammatory responses. Through these pathways CD27 works closely with proteins like TRAF2 and TRAF3 which are adapter molecules that transmit signals from the receptor. These signaling pathways provide a framework for understanding how CD27 and associated proteins work together to control immune cell behavior facilitating coordinated immune defense mechanisms.

CD27 has significant implications in autoimmune diseases and cancer. For example aberrant activation of CD27 may contribute to conditions like lymphoma and autoimmune diseases such as lupus. The CD70-CD27 signaling axis when dysregulated can lead to uncontrolled cell proliferation or apoptosis linking it to these pathologies. Understanding the interplay between CD27 and proteins like Bcl-2 which influences apoptosis helps pave the way for therapeutic strategies targeting these diseases.

Product protocols

For this product, it's our understanding that no specific protocols are required. You can visit:

Target data

Costimulatory immune-checkpoint receptor expressed at the surface of T-cells, NK-cells and B-cells which binds to and is activated by its ligand CD70/CD27L expressed by B-cells (PubMed : 28011863). The CD70-CD27 signaling pathway mediates antigen-specific T-cell activation and expansion which in turn provides immune surveillance of B-cells (PubMed : 28011863). Mechanistically, CD70 ligation activates the TRAF2-PTPN6 axis that subsequently inhibits LCK phosphorylation to promote phenotypic and transcriptional adaptations of T-cell memory (PubMed : 38354704). In addition, activation by CD70 on early progenitor cells provides a negative feedback signal to leukocyte differentiation during immune activation and thus modulates hematopoiesis (By similarity). Negatively regulates the function of Th2 lymphocytes in the adipose tissue (By similarity).
See full target information CD27

Publications (2)

Recent publications for all applications. Explore the full list and refine your search

NPJ precision oncology 7:95 PubMed37723227

2023

Targeted single-cell proteomic analysis identifies new liquid biopsy biomarkers associated with multiple myeloma.

Applications

Unspecified application

Species

Unspecified reactive species

Sonia M Setayesh,Libere J Ndacayisaba,Kate E Rappard,Valerie Hennes,Luz Yurany Moreno Rueda,Guilin Tang,Pei Lin,Robert Z Orlowski,David E Symer,Elisabet E Manasanch,Stephanie N Shishido,Peter Kuhn

International journal of molecular medicine 46:239-251 PubMed32377717

2020

Puerarin improves graft bone defect through microRNA‑155‑3p‑mediated p53/TNF‑α/STAT1 signaling pathway.

Applications

Unspecified application

Species

Unspecified reactive species

Yang Zhou,Hongyu Lian,Kexin Liu,Deli Wang,Xuelian Xiu,Zhang Sun
View all publications

Product promise

We are committed to supporting your work with high-quality reagents, and we're here for you every step of the way. In the unlikely event that one of our products does not perform as expected, you're protected by our Product Promise.
For full details, please see our Terms & Conditions

Please note: All products are 'FOR RESEARCH USE ONLY. NOT FOR USE IN DIAGNOSTIC OR THERAPEUTIC PROCEDURES'.

For licensing inquiries, please contact partnerships@abcam.com