JavaScript is disabled in your browser. Please enable JavaScript to view this website.
AB230976

Anti-CD272/BTLA antibody [EPR22224-271]

Be the first to review this product! Submit a review

|

(2 Publications)

Rabbit Recombinant Monoclonal CD272/BTLA antibody. Suitable for IHC-P and reacts with Human samples. Cited in 2 publications.

View Alternative Names

CD272, B- and T-lymphocyte attenuator, B- and T-lymphocyte-associated protein, BTLA

2 Images
Immunohistochemistry (Formalin/PFA-fixed paraffin-embedded sections) - Anti-CD272/BTLA antibody [EPR22224-271] (AB230976)
  • IHC-P

Unknown

Immunohistochemistry (Formalin/PFA-fixed paraffin-embedded sections) - Anti-CD272/BTLA antibody [EPR22224-271] (AB230976)

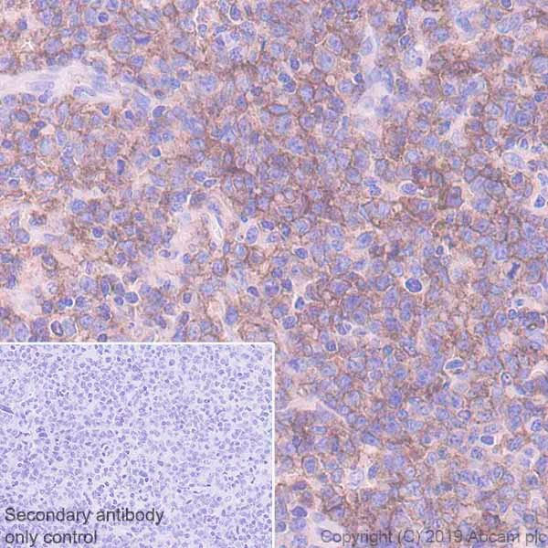
Immunohistochemical analysis of paraffin-embedded human lymphoma tissue labeling CD272/BTLA with ab230976 at 1/1000 dilution, followed by a ready to use Goat Anti-Rabbit IgG H&L (HRP). Membranous and cytoplasmic staining in human lymphoma (PMID : 19762537) is observed. Counterstained with hematoxylin.
Secondary antibody only control : Used PBS instead of primary antibody, secondary antibody is a ready to use Goat Anti-Rabbit IgG H&L (HRP).
Perform heat mediated antigen retrieval using ab93684 (Tris/EDTA buffer, pH 9.0).

Immunohistochemistry (Formalin/PFA-fixed paraffin-embedded sections) - Anti-CD272/BTLA antibody [EPR22224-271] (AB230976)
  • IHC-P

Unknown

Immunohistochemistry (Formalin/PFA-fixed paraffin-embedded sections) - Anti-CD272/BTLA antibody [EPR22224-271] (AB230976)

Immunohistochemical analysis of paraffin-embedded human tonsil tissue labeling CD272/BTLA with ab230976 at 1/1000 dilution, followed by a ready to use Goat Anti-Rabbit IgG H&L (HRP). Cytoplasmic staining in lymphocytes of human tonsil (PMID : 19762537) is observed. Counterstained with hematoxylin.
Secondary antibody only control : Used PBS instead of primary antibody, secondary antibody is a ready to use Goat Anti-Rabbit IgG H&L (HRP).
Perform heat mediated antigen retrieval using ab93684 (Tris/EDTA buffer, pH 9.0).

  • Carrier free

    Anti-CD272/BTLA antibody [EPR22224-271] - BSA and Azide free

Key facts

Host species

Rabbit

Clonality

Monoclonal

Clone number

EPR22224-271

Isotype

IgG

Carrier free

No

Reacts with

Human

Applications

IHC-P

applications

Immunogen

The exact immunogen used to generate this antibody is proprietary information.

Reactivity data

{ "title": "Reactivity Data", "filters": { "stats": ["", "Species", "Dilution Info", "Notes"], "tabs": { "all-applications": {"fullname" : "All Applications", "shortname": "All Applications"}, "IP" : {"fullname" : "Immunoprecipitation", "shortname":"IP"}, "FlowCyt" : {"fullname" : "Flow Cytometry", "shortname":"Flow Cyt"}, "WB" : {"fullname" : "Western blot", "shortname":"WB"}, "ICCIF" : {"fullname" : "Immunocytochemistry/ Immunofluorescence", "shortname":"ICC/IF"}, "IHCP" : {"fullname" : "Immunohistochemistry (Formalin/PFA-fixed paraffin-embedded sections)", "shortname":"IHC-P"} }, "product-promise": { "all": "all", "testedAndGuaranteed": "tested", "guaranteed": "expected", "predicted": "predicted", "notRecommended": "not-recommended" } }, "values": { "Human": { "IP-species-checked": "notRecommended", "IP-species-dilution-info": "", "IP-species-notes": "<p></p>", "FlowCyt-species-checked": "notRecommended", "FlowCyt-species-dilution-info": "", "FlowCyt-species-notes": "<p></p>", "WB-species-checked": "notRecommended", "WB-species-dilution-info": "", "WB-species-notes": "<p></p>", "ICCIF-species-checked": "notRecommended", "ICCIF-species-dilution-info": "", "ICCIF-species-notes": "<p></p>", "IHCP-species-checked": "testedAndGuaranteed", "IHCP-species-dilution-info": "1/1000", "IHCP-species-notes": "<p></p> Perform heat-mediated antigen retrieval with Tris/EDTA buffer pH 9.0 before commencing with IHC staining protocol." } } }

Product details

Patented technology
Our RabMAb® technology is a patented hybridoma-based technology for making rabbit monoclonal antibodies. For details on our patents, please refer to RabMAb® patents.

What are the advantages of a recombinant monoclonal antibody?
This product is a recombinant monoclonal antibody, which offers several advantages including:

  • - High batch-to-batch consistency and reproducibility
  • - Improved sensitivity and specificity
  • - Long-term security of supply
  • - Animal-free batch production

For more information, read more on recombinant antibodies.

Properties and storage information

Form
Liquid
Purification technique
Affinity purification Protein A
Storage buffer
pH: 7.2 - 7.4 Preservative: 0.01% Sodium azide Constituents: PBS, 40% Glycerol (glycerin, glycerine), 0.05% BSA
Shipped at conditions
Blue Ice
Appropriate short-term storage duration
1-2 weeks
Appropriate short-term storage conditions
+4°C
Appropriate long-term storage conditions
-20°C
Aliquoting information
Upon delivery aliquot
Storage information
Avoid freeze / thaw cycle

Supplementary information

This supplementary information is collated from multiple sources and compiled automatically.

CD272 also known as BTLA (B and T Lymphocyte Attenuator) is an immunoregulatory protein with a mass approximately 34 kDa. This target is part of the CD28 immunoglobulin superfamily and is expressed on the surfaces of various immune cells including T cells B cells and dendritic cells. BTLA/CD272 serves as a co-inhibitory molecule important in maintaining immune homeostasis. Its expression is influenced by factors present in the microenvironment of immune tissues.
Biological function summary

BTLA functions as a negative regulator of immune responses by delivering inhibitory signals to immune cells upon binding to its ligand HVEM (Herpesvirus entry mediator). It forms a part of an immunological checkpoint complex that modulates lymphocyte activity to prevent overactivation and autoimmunity. This mechanism helps maintain a balance between immune defense and tolerance contributing to self-tolerance.

Pathways

The BTLA/CD272 protein engages with pathways involved in immune checkpoints and T-cell receptor signaling. It interacts with proteins like HVEM and collaborates with receptors such as PD-1 and CTLA-4. These interactions play a role in the downregulation of T-cell responses which is essential in various immune processes. The signaling pathways influenced by BTLA/CD272 are integral in moderating immune responses cooperation and adaptation.

BTLA is associated with autoimmune diseases and cancer. In autoimmune disorders an altered expression or function of BTLA can lead to dysregulated immune responses causing tissue damage. In cancer the protein may contribute to immune evasion by tumors aiding tumor growth and progression. The interplay of BTLA with proteins such as PD-1 makes it a potential target for immunotherapy strategies in oncology and autoimmunity treatments.

Product protocols

For this product, it's our understanding that no specific protocols are required. You can visit:

Target data

Inhibitory receptor on lymphocytes that negatively regulates antigen receptor signaling via PTPN6/SHP-1 and PTPN11/SHP-2 (PubMed : 12796776, PubMed : 14652006, PubMed : 15568026, PubMed : 18193050). May interact in cis (on the same cell) or in trans (on other cells) with TNFRSF14 (PubMed : 19915044). In cis interactions, appears to play an immune regulatory role inhibiting in trans interactions in naive T cells to maintain a resting state. In trans interactions, can predominate during adaptive immune response to provide survival signals to effector T cells (PubMed : 19915044).
See full target information BTLA

Publications (2)

Recent publications for all applications. Explore the full list and refine your search

Frontiers in immunology 15:1438838 PubMed39234237

2024

Deciphering the causal association and underlying transcriptional mechanisms between telomere length and abdominal aortic aneurysm.

Applications

Unspecified application

Species

Unspecified reactive species

Jiyu Zhang,Xinyi Xia,Shujie He

Frontiers in immunology 12:778329 PubMed34975867

2021

Colorectal Cancer-Associated Immune Exhaustion Involves T and B Lymphocytes and Conventional NK Cells and Correlates With a Shorter Overall Survival.

Applications

Unspecified application

Species

Unspecified reactive species

Carlo Sorrentino,Luigi D'Antonio,Cristiano Fieni,Stefania Livia Ciummo,Emma Di Carlo
View all publications

Product promise

We are committed to supporting your work with high-quality reagents, and we're here for you every step of the way. In the unlikely event that one of our products does not perform as expected, you're protected by our Product Promise.
For full details, please see our Terms & Conditions

Please note: All products are 'FOR RESEARCH USE ONLY. NOT FOR USE IN DIAGNOSTIC OR THERAPEUTIC PROCEDURES'.

For licensing inquiries, please contact partnerships@abcam.com