JavaScript is disabled in your browser. Please enable JavaScript to view this website.
AB252799

Anti-CD272/BTLA antibody [FLO67B] - BSA and Azide free

Be the first to review this product! Submit a review

|

(0 Publication)

Mouse Recombinant Monoclonal CD272/BTLA antibody. Carrier free. Suitable for IHC-P and reacts with Human samples.

View Alternative Names

CD272, B- and T-lymphocyte attenuator, B- and T-lymphocyte-associated protein, BTLA

1 Images
Immunohistochemistry (Formalin/PFA-fixed paraffin-embedded sections) - Anti-CD272/BTLA antibody [FLO67B] - BSA and Azide free (AB252799)
  • IHC-P

Supplier Data

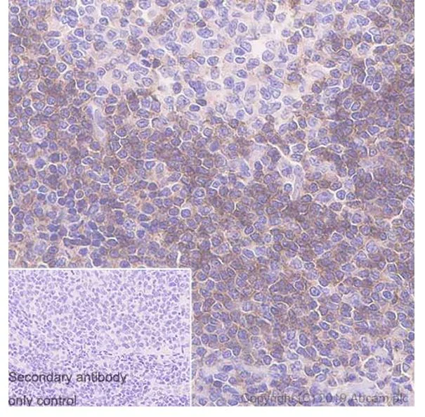
Immunohistochemistry (Formalin/PFA-fixed paraffin-embedded sections) - Anti-CD272/BTLA antibody [FLO67B] - BSA and Azide free (AB252799)

Immunohistochemical analysis of paraffin-embedded human tonsil tissue labeling CD272/BTLA with ab241551 at 0.865μg/ml, followed by ready to use secondary. Positive staining on human tonsil tissue is observed. The section was incubated with ab241551 for 30 mins at RT. The immunostaining staining was performed on a Leica Biosystems BOND® RX instrument. Counterstained with hematoxylin. Secondary antibody only control : Used PBS instead of primary antibody, followed by ready to use secondary. Heat mediated antigen retrieval with Tris-EDTA buffer (pH 9.0, epitope retrieval solution 2) for 20 mins.

This data was developed using the same antibody clone in a different buffer formulation containing PBS, BSA, glycerol, and sodium azide (ab241551).

Key facts

Host species

Mouse

Clonality

Monoclonal

Clone number

FLO67B

Isotype

IgG1

Carrier free

Yes

Reacts with

Human

Applications

IHC-P

applications

Immunogen

The exact immunogen used to generate this antibody is proprietary information.

Reactivity data

{ "title": "Reactivity Data", "filters": { "stats": ["", "Species", "Dilution Info", "Notes"], "tabs": { "all-applications": {"fullname" : "All Applications", "shortname": "All Applications"}, "IHCP" : {"fullname" : "Immunohistochemistry (Formalin/PFA-fixed paraffin-embedded sections)", "shortname":"IHC-P"} }, "product-promise": { "all": "all", "testedAndGuaranteed": "tested", "guaranteed": "expected", "predicted": "predicted", "notRecommended": "not-recommended" } }, "values": { "Human": { "IHCP-species-checked": "testedAndGuaranteed", "IHCP-species-dilution-info": "0.864 µg/mL", "IHCP-species-notes": "<p></p>" } } }

Product details

ab252799 is the carrier-free version of ab241551.

What are the advantages of a recombinant monoclonal antibody?
This product is a recombinant monoclonal antibody, which offers several advantages including:

  • - High batch-to-batch consistency and reproducibility
  • - Improved sensitivity and specificity
  • - Long-term security of supply
  • - Animal-free batch production

For more information, read more on recombinant antibodies.

Want a custom formulation?
This antibody clone is manufactured by Abcam. If you require a custom buffer formulation or conjugation for your experiments, please contact orders@abcam.com

Conjugation ready
Our carrier-free antibodies are typically supplied in a PBS-only formulation, purified and free of BSA, sodium azide and glycerol. This conjugation-ready format is designed for use with fluorochromes, metal isotopes, oligonucleotides, and enzymes, which makes them ideal for antibody labelling, functional and cell-based assays, flow-based assays (e.g. mass cytometry) and Multiplex Imaging applications.

Use our conjugation kits for antibody conjugates that are ready-to-use in as little as 20 minutes with 1 minute hands-on-time and 100% antibody recovery: available for fluorescent dyes, HRP, biotin and gold.

Compatibility
This product is compatible with the Maxpar® Antibody Labeling Kit from Fluidigm, without the need for antibody preparation. Maxpar® is a trademark of Fluidigm Canada Inc.

Properties and storage information

Form
Liquid
Purification technique
Affinity purification Protein A
Storage buffer
pH: 7.2 - 7.4 Constituents: PBS
Shipped at conditions
Blue Ice
Appropriate short-term storage conditions
+4°C
Appropriate long-term storage conditions
+4°C
Storage information
Do Not Freeze

Supplementary information

This supplementary information is collated from multiple sources and compiled automatically.

CD272 also known as BTLA (B and T Lymphocyte Attenuator) is an immunoregulatory protein with a mass approximately 34 kDa. This target is part of the CD28 immunoglobulin superfamily and is expressed on the surfaces of various immune cells including T cells B cells and dendritic cells. BTLA/CD272 serves as a co-inhibitory molecule important in maintaining immune homeostasis. Its expression is influenced by factors present in the microenvironment of immune tissues.
Biological function summary

BTLA functions as a negative regulator of immune responses by delivering inhibitory signals to immune cells upon binding to its ligand HVEM (Herpesvirus entry mediator). It forms a part of an immunological checkpoint complex that modulates lymphocyte activity to prevent overactivation and autoimmunity. This mechanism helps maintain a balance between immune defense and tolerance contributing to self-tolerance.

Pathways

The BTLA/CD272 protein engages with pathways involved in immune checkpoints and T-cell receptor signaling. It interacts with proteins like HVEM and collaborates with receptors such as PD-1 and CTLA-4. These interactions play a role in the downregulation of T-cell responses which is essential in various immune processes. The signaling pathways influenced by BTLA/CD272 are integral in moderating immune responses cooperation and adaptation.

BTLA is associated with autoimmune diseases and cancer. In autoimmune disorders an altered expression or function of BTLA can lead to dysregulated immune responses causing tissue damage. In cancer the protein may contribute to immune evasion by tumors aiding tumor growth and progression. The interplay of BTLA with proteins such as PD-1 makes it a potential target for immunotherapy strategies in oncology and autoimmunity treatments.

Product protocols

For this product, it's our understanding that no specific protocols are required. You can visit:

Target data

Inhibitory receptor on lymphocytes that negatively regulates antigen receptor signaling via PTPN6/SHP-1 and PTPN11/SHP-2 (PubMed : 12796776, PubMed : 14652006, PubMed : 15568026, PubMed : 18193050). May interact in cis (on the same cell) or in trans (on other cells) with TNFRSF14 (PubMed : 19915044). In cis interactions, appears to play an immune regulatory role inhibiting in trans interactions in naive T cells to maintain a resting state. In trans interactions, can predominate during adaptive immune response to provide survival signals to effector T cells (PubMed : 19915044).
See full target information BTLA

Product promise

We are committed to supporting your work with high-quality reagents, and we're here for you every step of the way. In the unlikely event that one of our products does not perform as expected, you're protected by our Product Promise.
For full details, please see our Terms & Conditions

Please note: All products are 'FOR RESEARCH USE ONLY. NOT FOR USE IN DIAGNOSTIC OR THERAPEUTIC PROCEDURES'.

For licensing inquiries, please contact partnerships@abcam.com