JavaScript is disabled in your browser. Please enable JavaScript to view this website.
AB226256

Anti-CD276 antibody

5

(1 Review)

|

(9 Publications)

Rabbit Polyclonal CD276 antibody. Suitable for IHC-P, ICC, IP and reacts with Human samples. Cited in 9 publications. Immunogen corresponding to Synthetic Peptide within Human CD276 aa 450 to C-terminus.

View Alternative Names

CD276, B7H3, PSEC0249, UNQ309/PRO352, CD276 antigen, 4Ig-B7-H3, B7 homolog 3, Costimulatory molecule, B7-H3

3 Images
Immunocytochemistry - Anti-CD276 antibody (AB226256)
  • ICC

Supplier Data

Immunocytochemistry - Anti-CD276 antibody (AB226256)

MCF7 (human breast adenocarcinoma cell line) (left panel) and CD276 transfected HEK-293 (human epithelial cell line from embryonic kidney) (right panel) cells stained for CD276 using ab226256 at 1/5000 dilution in immunohistochemical analysis.

Detection : DAB staining.

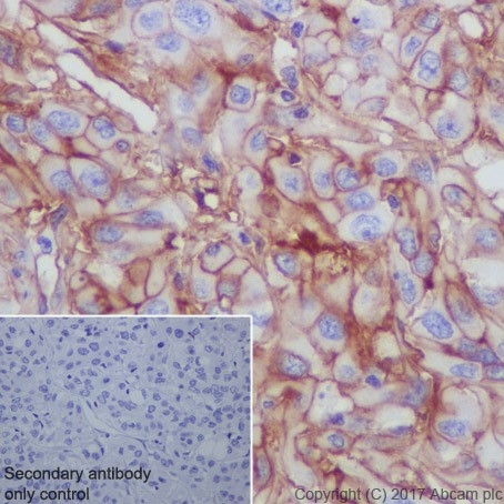
Immunohistochemistry (Formalin/PFA-fixed paraffin-embedded sections) - Anti-CD276 antibody (AB226256)
  • IHC-P

Supplier Data

Immunohistochemistry (Formalin/PFA-fixed paraffin-embedded sections) - Anti-CD276 antibody (AB226256)

Formalin-fixed, paraffin-embedded human prostate carcinoma tissue stained for CD276 using ab226256 at 1/5000 dilution in immunohistochemical analysis.

Detection : DAB staining. Counterstain : Hematoxylin.

Immunoprecipitation - Anti-CD276 antibody (AB226256)
  • IP

Supplier Data

Immunoprecipitation - Anti-CD276 antibody (AB226256)

CD276 was immunoprecipitated from HeLa (human epithelial cell line from cervix adenocarcinoma) whole cell lysate (prepared using NETN buffer; 1 mg for IP, 20% of IP loaded) with ab226256 at 6 μg/mg lysate. Western blot was performed from the immunoprecipitate using a different rabbit anti-CD276 antibody at 1 μg/ml.

Lane 1 : ab226256 IP in HeLa whole cell lysate.

Lane 2 : Control IgG IP in HeLa whole cell lysate.

Detection : Chemiluminescence with exposure time of 3 minutes.

All lanes:

Immunoprecipitation - Anti-CD276 antibody (ab226256)

Predicted band size: 57 kDa

false

Key facts

Host species

Rabbit

Clonality

Polyclonal

Isotype

IgG

Carrier free

No

Reacts with

Human

Applications

ICC, IHC-P, IP

applications

Immunogen

Synthetic Peptide within Human CD276 aa 450 to C-terminus. The exact immunogen used to generate this antibody is proprietary information.

Q5ZPR3

Reactivity data

{ "title": "Reactivity Data", "filters": { "stats": ["", "Species", "Dilution Info", "Notes"], "tabs": { "all-applications": {"fullname" : "All Applications", "shortname": "All Applications"}, "IHCP" : {"fullname" : "Immunohistochemistry (Formalin/PFA-fixed paraffin-embedded sections)", "shortname":"IHC-P"}, "ICC" : {"fullname" : "Immunocytochemistry", "shortname":"ICC"}, "IP" : {"fullname" : "Immunoprecipitation", "shortname":"IP"} }, "product-promise": { "all": "all", "testedAndGuaranteed": "tested", "guaranteed": "expected", "predicted": "predicted", "notRecommended": "not-recommended" } }, "values": { "Human": { "IHCP-species-checked": "testedAndGuaranteed", "IHCP-species-dilution-info": "1/2000 - 1/10000", "IHCP-species-notes": "<p></p>", "ICC-species-checked": "testedAndGuaranteed", "ICC-species-dilution-info": "1/5000", "ICC-species-notes": "<p></p>", "IP-species-checked": "testedAndGuaranteed", "IP-species-dilution-info": "2-10 µg/mg of lysate", "IP-species-notes": "<p></p>" }, "Mouse": { "IHCP-species-checked": "predicted", "IHCP-species-dilution-info": "", "IHCP-species-notes": "", "ICC-species-checked": "predicted", "ICC-species-dilution-info": "", "ICC-species-notes": "", "IP-species-checked": "predicted", "IP-species-dilution-info": "", "IP-species-notes": "" }, "Rat": { "IHCP-species-checked": "predicted", "IHCP-species-dilution-info": "", "IHCP-species-notes": "", "ICC-species-checked": "predicted", "ICC-species-dilution-info": "", "ICC-species-notes": "", "IP-species-checked": "predicted", "IP-species-dilution-info": "", "IP-species-notes": "" } } }

Properties and storage information

Form
Liquid
Purification technique
Affinity purification Immunogen
Purification notes
ab226256 was affinity purified using an epitope specific to CD276 immobilized on solid support.
Storage buffer
pH: 7 - 8 Preservative: 0.09% Sodium azide Constituents: Tris citrate/phosphate
Shipped at conditions
Blue Ice
Appropriate short-term storage duration
1-2 weeks
Appropriate short-term storage conditions
+4°C
Appropriate long-term storage conditions
-20°C
Aliquoting information
Upon delivery aliquot
Storage information
Avoid freeze / thaw cycle

Supplementary information

This supplementary information is collated from multiple sources and compiled automatically.

CD276 also known as B7-H3 is an immunoregulatory protein with a mass of approximately 57 kDa although post-translational modifications can increase its observed size. It is a member of the B7 family which is part of the immunoglobulin superfamily. CD276 is widely expressed in various tissues including placenta liver heart and also in many tumor cells. It is observed in lesser amounts in normal tissues making it an interesting target for cancer research. Various assays like HEK293 and HEK293T cell confluency studies often use CD276 to explore its expression under different conditions and seeding densities which are represented in confluency charts.
Biological function summary

CD276 modulates immune responses by acting as a co-inhibitory ligand impacting T-cell proliferation and cytokine synthesis. Not part of a known complex it plays a role in the adaptive immune system by providing negative feedback regulation that can inhibit the immune response. This capability has implications in preventing autoimmunity but may also contribute to tumor immune evasion by reducing effective anti-tumor responses. The B7-H3/CD276 interaction with receptors such as IL receptor family members suggests its diverse immunomodulatory functions.

Pathways

CD276 participates in the T-cell receptor (TCR) signaling pathways influencing immune checkpoint pathways. It interacts with other immune checkpoint proteins like PD-L1 and CTLA-4 but its exact receptor partner remains unidentified. The presence of CD276 in these pathways highlights its role in controlling T-cell activation and tolerance. By modulating TCR signals and impacting downstream effects CD276 serves as a regulatory point that can balance immune activation and inhibition critical in immune-mediated conditions.

CD276 has strong associations with cancer particularly in solid tumors such as prostate and breast cancer. It is often overexpressed in malignant tissues contributing to immune evasion by tumors. Researchers propose it as a potential target for cancer immunotherapy due to this attribute. CD276's link to disorders like asthma has also been suggested where its interaction with proteins involved in inflammatory pathways such as IL response elements can exacerbate the condition. This implicates it as a dual-role protein in both disease progression and potential therapeutic targeting.

Product protocols

For this product, it's our understanding that no specific protocols are required. You can visit:

Target data

May participate in the regulation of T-cell-mediated immune response. May play a protective role in tumor cells by inhibiting natural-killer mediated cell lysis as well as a role of marker for detection of neuroblastoma cells. May be involved in the development of acute and chronic transplant rejection and in the regulation of lymphocytic activity at mucosal surfaces. Could also play a key role in providing the placenta and fetus with a suitable immunological environment throughout pregnancy. Both isoform 1 and isoform 2 appear to be redundant in their ability to modulate CD4 T-cell responses. Isoform 2 is shown to enhance the induction of cytotoxic T-cells and selectively stimulates interferon gamma production in the presence of T-cell receptor signaling.
See full target information CD276

Publications (9)

Recent publications for all applications. Explore the full list and refine your search

Journal of thoracic disease 16:7819-7835 PubMed39678883

2024

Prognostic value and potential biological function of in lung adenocarcinoma.

Applications

Unspecified application

Species

Unspecified reactive species

Yong Xi,Jing Zeng,Yundong Zhou,Weiyu Shen,Hirokazu Taniguchi,Retnagowri Rajandram,Sivakumar Krishnasamy

Cancer research 84:3848-3863 PubMed39186778

2024

A Dual-Payload Antibody-Drug Conjugate Targeting CD276/B7-H3 Elicits Cytotoxicity and Immune Activation in Triple-Negative Breast Cancer.

Applications

Unspecified application

Species

Unspecified reactive species

Zhuoxin Zora Zhou,Yingnan Si,Jiashuai Zhang,Kai Chen,Ashley George,Seulhee Kim,Lufang Zhou,Xiaoguang Margaret Liu

Nature communications 14:5920 PubMed37739951

2023

Camel nanobody-based B7-H3 CAR-T cells show high efficacy against large solid tumours.

Applications

Unspecified application

Species

Unspecified reactive species

Dan Li,Ruixue Wang,Tianyuzhou Liang,Hua Ren,Chaelee Park,Chin-Hsien Tai,Weiming Ni,Jing Zhou,Sean Mackay,Elijah Edmondson,Javed Khan,Brad St Croix,Mitchell Ho

International journal of molecular sciences 23: PubMed35628262

2022

CD24: A Marker for an Extended Expansion Potential of Urothelial Cancer Cell Organoids In Vitro?

Applications

Unspecified application

Species

Unspecified reactive species

Ruizhi Geng,Niklas Harland,Ivonne A Montes-Mojarro,Falko Fend,Wilhelm K Aicher,Arnulf Stenzl,Bastian Amend

Thoracic cancer 13:1751-1762 PubMed35524161

2022

Circ_0005231 promotes the progression of esophageal squamous cell carcinoma via sponging miR-383-5p and regulating KIAA0101.

Applications

Unspecified application

Species

Unspecified reactive species

Zhiguang Sun,Shaowei Zhang,Nan Zhang,Jianxin Wang,Jindong Wang,Junfeng Liu

International journal of molecular sciences 23: PubMed35563359

2022

Elevated Expression of the Immune Checkpoint Ligand CD276 (B7-H3) in Urothelial Carcinoma Cell Lines Correlates Negatively with the Cell Proliferation.

Applications

Unspecified application

Species

Unspecified reactive species

Niklas Harland,Florian B Maurer,Tanja Abruzzese,Cornelia Bock,Ivonne A Montes-Mojarro,Falko Fend,Wilhelm K Aicher,Arnulf Stenzl,Bastian Amend

Pathology, research and practice 234:153911 PubMed35489125

2022

Prognostic values of B7-H3, B7-H4, and HHLA2 expression in human pancreatic cancer tissues based on mIHC and spatial distribution analysis.

Applications

Unspecified application

Species

Unspecified reactive species

Yulan Zhu,Junjun Chen,Yingting Liu,Xiao Zheng,Jun Feng,Xuemin Chen,Tianwei Jiang,Yuan Li,Lujun Chen

BMC urology 21:60 PubMed33845814

2021

Expression patterns of the immune checkpoint ligand CD276 in urothelial carcinoma.

Applications

Unspecified application

Species

Unspecified reactive species

Wilhelm K Aicher,M Korn,L Reitnauer,F B Maurer,J Hennenlotter,P C Black,T Todenhofer,J Bedke,A Stenzl

Oncoimmunology 10:1885778 PubMed33643696

2021

Synergistic anti-tumor efficacy of oncolytic influenza viruses and B7-H3 immune- checkpoint inhibitors against IC-resistant lung cancers.

Applications

Unspecified application

Species

Unspecified reactive species

Dörthe Masemann,Ramona Meissner,Tanja Schied,Brian D Lichty,Ulf R Rapp,Viktor Wixler,Stephan Ludwig
View all publications

Product promise

We are committed to supporting your work with high-quality reagents, and we're here for you every step of the way. In the unlikely event that one of our products does not perform as expected, you're protected by our Product Promise.
For full details, please see our Terms & Conditions

Please note: All products are 'FOR RESEARCH USE ONLY. NOT FOR USE IN DIAGNOSTIC OR THERAPEUTIC PROCEDURES'.

For licensing inquiries, please contact partnerships@abcam.com