JavaScript is disabled in your browser. Please enable JavaScript to view this website.
AB232791

Anti-CD276 antibody

Be the first to review this product! Submit a review

|

(1 Publication)

Rabbit Polyclonal CD276 antibody. Suitable for WB, IHC-P and reacts with Human samples. Cited in 1 publication. Immunogen corresponding to Recombinant Fragment Protein within Human CD276 aa 1-250.

View Alternative Names

CD276, B7H3, PSEC0249, UNQ309/PRO352, CD276 antigen, 4Ig-B7-H3, B7 homolog 3, Costimulatory molecule, B7-H3

5 Images
Immunohistochemistry (Formalin/PFA-fixed paraffin-embedded sections) - Anti-CD276 antibody (AB232791)
  • IHC-P

Supplier Data

Immunohistochemistry (Formalin/PFA-fixed paraffin-embedded sections) - Anti-CD276 antibody (AB232791)

Formalin-fixed, paraffin-embedded human prostate tissue stained for CD276 with ab232791 at 10 μg/ml in immunohistochemical analysis. DAB staining.

Immunohistochemistry (Formalin/PFA-fixed paraffin-embedded sections) - Anti-CD276 antibody (AB232791)
  • IHC-P

Supplier Data

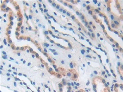
Immunohistochemistry (Formalin/PFA-fixed paraffin-embedded sections) - Anti-CD276 antibody (AB232791)

Formalin-fixed, paraffin-embedded human kidney tissue stained for CD276 with ab232791 at 10 μg/ml in immunohistochemical analysis. DAB staining.

Immunohistochemistry (Formalin/PFA-fixed paraffin-embedded sections) - Anti-CD276 antibody (AB232791)
  • IHC-P

Supplier Data

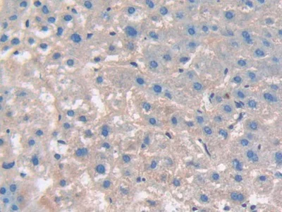
Immunohistochemistry (Formalin/PFA-fixed paraffin-embedded sections) - Anti-CD276 antibody (AB232791)

Formalin-fixed, paraffin-embedded human liver tissue stained for CD276 with ab232791 at 10 μg/ml in immunohistochemical analysis. DAB staining.

Western blot - Anti-CD276 antibody (AB232791)
  • WB

Supplier Data

Western blot - Anti-CD276 antibody (AB232791)

All lanes:

Western blot - Anti-CD276 antibody (ab232791) at 3 µg/mL

All lanes:

Recombinant human CD276 protein

Predicted band size: 57 kDa

false

Western blot - Anti-CD276 antibody (AB232791)
  • WB

Supplier Data

Western blot - Anti-CD276 antibody (AB232791)

All lanes:

Western blot - Anti-CD276 antibody (ab232791) at 3 µg/mL

Lane 1:

HEK-293T (Human epithelial cell line from embryonic kidney transformed with large T antigen) cell lysate

Lane 2:

PC-3 (Human prostate adenocarcinoma cell line) cell lysate

Lane 3:

MCF7 (Human breast adenocarcinoma cell line) cell lysate

Secondary

All lanes:

HRP-linked Guinea pig anti-Rabbit at 1/2000 dilution

Predicted band size: 57 kDa

false

Key facts

Host species

Rabbit

Clonality

Polyclonal

Isotype

IgG

Carrier free

No

Reacts with

Human

Applications

WB, IHC-P

applications

Immunogen

Recombinant Fragment Protein within Human CD276 aa 1-250. The exact immunogen used to generate this antibody is proprietary information.

Q5ZPR3

Reactivity data

{ "title": "Reactivity Data", "filters": { "stats": ["", "Species", "Dilution Info", "Notes"], "tabs": { "all-applications": {"fullname" : "All Applications", "shortname": "All Applications"}, "WB" : {"fullname" : "Western blot", "shortname":"WB"}, "IHCP" : {"fullname" : "Immunohistochemistry (Formalin/PFA-fixed paraffin-embedded sections)", "shortname":"IHC-P"} }, "product-promise": { "all": "all", "testedAndGuaranteed": "tested", "guaranteed": "expected", "predicted": "predicted", "notRecommended": "not-recommended" } }, "values": { "Human": { "WB-species-checked": "testedAndGuaranteed", "WB-species-dilution-info": "0.5-2 µg/mL", "WB-species-notes": "<p></p>", "IHCP-species-checked": "testedAndGuaranteed", "IHCP-species-dilution-info": "5-20 µg/mL", "IHCP-species-notes": "<p></p>" } } }

Properties and storage information

Form
Liquid
Purification technique
Affinity purification Protein A
Purification notes
Antigen-specific affinity chromatography followed by Protein A affinity chromatography.
Storage buffer
pH: 7.4 Preservative: 0.011% Proclin 300 Constituents: PBS, 55.77% Glycerol (glycerin, glycerine)
Shipped at conditions
Blue Ice
Appropriate short-term storage duration
1-2 weeks
Appropriate short-term storage conditions
+4°C
Appropriate long-term storage conditions
-20°C
Aliquoting information
Upon delivery aliquot
Storage information
Avoid freeze / thaw cycle

Supplementary information

This supplementary information is collated from multiple sources and compiled automatically.

CD276 also known as B7-H3 is an immunoregulatory protein with a mass of approximately 57 kDa although post-translational modifications can increase its observed size. It is a member of the B7 family which is part of the immunoglobulin superfamily. CD276 is widely expressed in various tissues including placenta liver heart and also in many tumor cells. It is observed in lesser amounts in normal tissues making it an interesting target for cancer research. Various assays like HEK293 and HEK293T cell confluency studies often use CD276 to explore its expression under different conditions and seeding densities which are represented in confluency charts.
Biological function summary

CD276 modulates immune responses by acting as a co-inhibitory ligand impacting T-cell proliferation and cytokine synthesis. Not part of a known complex it plays a role in the adaptive immune system by providing negative feedback regulation that can inhibit the immune response. This capability has implications in preventing autoimmunity but may also contribute to tumor immune evasion by reducing effective anti-tumor responses. The B7-H3/CD276 interaction with receptors such as IL receptor family members suggests its diverse immunomodulatory functions.

Pathways

CD276 participates in the T-cell receptor (TCR) signaling pathways influencing immune checkpoint pathways. It interacts with other immune checkpoint proteins like PD-L1 and CTLA-4 but its exact receptor partner remains unidentified. The presence of CD276 in these pathways highlights its role in controlling T-cell activation and tolerance. By modulating TCR signals and impacting downstream effects CD276 serves as a regulatory point that can balance immune activation and inhibition critical in immune-mediated conditions.

CD276 has strong associations with cancer particularly in solid tumors such as prostate and breast cancer. It is often overexpressed in malignant tissues contributing to immune evasion by tumors. Researchers propose it as a potential target for cancer immunotherapy due to this attribute. CD276's link to disorders like asthma has also been suggested where its interaction with proteins involved in inflammatory pathways such as IL response elements can exacerbate the condition. This implicates it as a dual-role protein in both disease progression and potential therapeutic targeting.

Product protocols

For this product, it's our understanding that no specific protocols are required. You can visit:

Target data

May participate in the regulation of T-cell-mediated immune response. May play a protective role in tumor cells by inhibiting natural-killer mediated cell lysis as well as a role of marker for detection of neuroblastoma cells. May be involved in the development of acute and chronic transplant rejection and in the regulation of lymphocytic activity at mucosal surfaces. Could also play a key role in providing the placenta and fetus with a suitable immunological environment throughout pregnancy. Both isoform 1 and isoform 2 appear to be redundant in their ability to modulate CD4 T-cell responses. Isoform 2 is shown to enhance the induction of cytotoxic T-cells and selectively stimulates interferon gamma production in the presence of T-cell receptor signaling.
See full target information CD276

Publications (1)

Recent publications for all applications. Explore the full list and refine your search

Gene therapy 29:418-424 PubMed34226687

2021

rAAV-based and intraprostatically delivered miR-34a therapeutics for efficient inhibition of prostate cancer progression.

Applications

Unspecified application

Species

Unspecified reactive species

Jianzhong Ai,Jia Li,Qin Su,Hong Ma,Ran He,Qiang Wei,Hong Li,Guangping Gao
View all publications

Product promise

We are committed to supporting your work with high-quality reagents, and we're here for you every step of the way. In the unlikely event that one of our products does not perform as expected, you're protected by our Product Promise.
For full details, please see our Terms & Conditions

Please note: All products are 'FOR RESEARCH USE ONLY. NOT FOR USE IN DIAGNOSTIC OR THERAPEUTIC PROCEDURES'.

For licensing inquiries, please contact partnerships@abcam.com