JavaScript is disabled in your browser. Please enable JavaScript to view this website.
AB243882

Anti-CD276 antibody [BLR025F] - BSA free

Be the first to review this product! Submit a review

|

(0 Publication)

Rabbit Recombinant Monoclonal CD276 antibody. Suitable for IHC-P, ICC, IP, Flow Cyt, WB and reacts with Human, Mouse samples. Immunogen corresponding to Synthetic Peptide within Human CD276 aa 500 to C-terminus.

View Alternative Names

CD276, B7H3, PSEC0249, UNQ309/PRO352, CD276 antigen, 4Ig-B7-H3, B7 homolog 3, Costimulatory molecule, B7-H3

11 Images
Immunocytochemistry - Anti-CD276 antibody [BLR025F] - BSA free (AB243882)
  • ICC

Unknown

Immunocytochemistry - Anti-CD276 antibody [BLR025F] - BSA free (AB243882)

Formalin-fixed, paraffin-embedded A172 cells labeling CD276 using ab243882 at 1/200 dilution in ICC analysis. A HRP-conjugated goat-anti rabbit IgG was used as the secondary. DAB staining.

Immunohistochemistry (Formalin/PFA-fixed paraffin-embedded sections) - Anti-CD276 antibody [BLR025F] - BSA free (AB243882)
  • IHC-P

Unknown

Immunohistochemistry (Formalin/PFA-fixed paraffin-embedded sections) - Anti-CD276 antibody [BLR025F] - BSA free (AB243882)

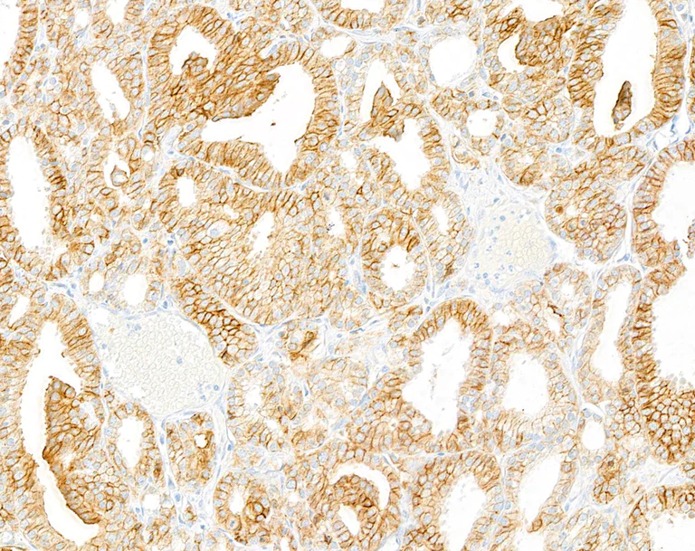
Formalin-fixed, paraffin-embedded human ovarian tissue stained for CD276 using ab243882 at 1/200 dilution in immunohistochemical analysis. A HRP-conjugated goat anti-rabbit antibody was used as the secondary. DAB staining.

Immunohistochemistry (Formalin/PFA-fixed paraffin-embedded sections) - Anti-CD276 antibody [BLR025F] - BSA free (AB243882)
  • IHC-P

Supplier Data

Immunohistochemistry (Formalin/PFA-fixed paraffin-embedded sections) - Anti-CD276 antibody [BLR025F] - BSA free (AB243882)

Immunohistochemical analysis of formalin-fixed, paraffin-embedded human lung carcinoma labeling CD276 with ab243882 at 1/250 dilution, followed by secondary antibody HRP-conjugated Goat Anti-Rabbit IgG. Counterstained with DAPI (blue). Opal staining.

Flow Cytometry - Anti-CD276 antibody [BLR025F] - BSA free (AB243882)
  • Flow Cyt

Supplier Data

Flow Cytometry - Anti-CD276 antibody [BLR025F] - BSA free (AB243882)

Flow cytometry overlay histogram of 4% formaldehyde fixed HEK293T cells permeabilized with 90% methanol labeling mouse B7-H3/CD276 with ab243882 at 1 µl per 1 x 10^6 cells etoposide treated (shaded) compared with a Isotype control (unshaded). Secondary antibody details : Goat Anti-Rabbit IgG H&L (DyLight® 650) (ab96886).

Immunohistochemistry (Formalin/PFA-fixed paraffin-embedded sections) - Anti-CD276 antibody [BLR025F] - BSA free (AB243882)
  • IHC-P

Supplier Data

Immunohistochemistry (Formalin/PFA-fixed paraffin-embedded sections) - Anti-CD276 antibody [BLR025F] - BSA free (AB243882)

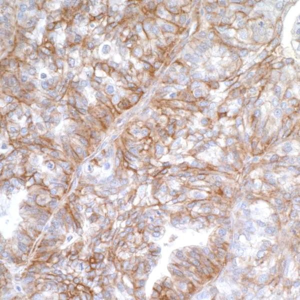
Immunohistochemical analysis of Formalin-Fixed Paraffin-Embedded prostate carcinoma labeling human B7-H3 with ab243882, followed by a HRP-conjugated goat anti-rabbit IgG as secondary. Substrate : DAB. Membrane staining on prostate carcinoma is observed. Counter stained with hematoxylin. Epitope retrieval with citrate buffer pH 6.0 for 20 minutes is recommended.

Flow Cytometry - Anti-CD276 antibody [BLR025F] - BSA free (AB243882)
  • Flow Cyt

Supplier Data

Flow Cytometry - Anti-CD276 antibody [BLR025F] - BSA free (AB243882)

Flow cytometry overlay histogram of 4% formaldehyde fixed NIH3T3 cells permeabilized with 90% methanol labeling mouse B7-H3/CD276 with ab243882 at 1 µl per 1 x 10^6 cells. (shaded) compared with a Isotype control (unshaded). Secondary antibody details : Goat Anti-Rabbit IgG H&L (DyLight® 650) (ab96886).

Western blot - Anti-CD276 antibody [BLR025F] - BSA free (AB243882)
  • WB

Supplier Data

Western blot - Anti-CD276 antibody [BLR025F] - BSA free (AB243882)

All lanes:

Western blot - Anti-CD276 antibody [BLR025F] - BSA free (ab243882) at 1/1000 dilution

Lane 1:

MCF-7 whole cell lysate at 25 µg

Lane 2:

Jurkat whole cell lysate at 25 µg

Lane 3:

A-172 whole cell lysate at 25 µg

Lane 4:

Ramos whole cell lysate at 25 µg

Lane 5:

HeLa whole cell lysate at 25 µg

Secondary

All lanes:

Western blot - Goat Anti-Rabbit IgG H&L (HRP) (<a href='/en-us/products/secondary-antibodies/goat-rabbit-igg-h-l-hrp-ab97051'>ab97051</a>)

Predicted band size: 57 kDa

Observed band size: 110 kDa

true

Exposure time: 30s

Western blot - Anti-CD276 antibody [BLR025F] - BSA free (AB243882)
  • WB

Supplier Data

Western blot - Anti-CD276 antibody [BLR025F] - BSA free (AB243882)

All lanes:

Western blot - Anti-CD276 antibody [BLR025F] - BSA free (ab243882) at 1/1000 dilution

Lane 1:

NIH 3T3 whole cell lysate at 50 µg

Lane 2:

AlphaTC1 Clone 9 whole cell lysate at 50 µg

Lane 3:

NIH 3T3-L1 whole cell lysate at 50 µg

Lane 4:

CT26 whole cell lysate at 50 µg

Secondary

All lanes:

Western blot - Goat Anti-Rabbit IgG H&L (HRP) (<a href='/en-us/products/secondary-antibodies/goat-rabbit-igg-h-l-hrp-ab97051'>ab97051</a>)

Predicted band size: 34 kDa

Observed band size: 46 kDa

true

Exposure time: 3min

Flow Cytometry - Anti-CD276 antibody [BLR025F] - BSA free (AB243882)
  • Flow Cyt

Supplier Data

Flow Cytometry - Anti-CD276 antibody [BLR025F] - BSA free (AB243882)

Flow cytometric analysis of HEK-293T (Human epithelial cell line from embryonic kidney transformed with large T antigen) whole cell lysate labeling CD276 with ab243882 (shaded) compared with a isotype control (unshaded). Secondary : DyLight® 650-conjugated goat anti-rabbit IgG.

Immunoprecipitation - Anti-CD276 antibody [BLR025F] - BSA free (AB243882)
  • IP

Unknown

Immunoprecipitation - Anti-CD276 antibody [BLR025F] - BSA free (AB243882)

CD276 was immunoprecipitated from 1.0 mg HeLa (human epithelial cell line from cervix adenocarcinoma) whole cell lysate with ab243882 at 3 µl per reaction. Western blot was performed on the immunoprecipitate using ab243882 at 1/1000 dilution. Lane 1 : ab243882 IP in HeLa whole cell lysate.

Lane 2 : Control IgG IP in HeLa whole cell lysate.

Detection : Chemiluminescence with an exposure time of 30 seconds.

All lanes:

Immunoprecipitation - Anti-CD276 antibody [BLR025F] - BSA free (ab243882)

Predicted band size: 57 kDa

false

Western blot - Anti-CD276 antibody [BLR025F] - BSA free (AB243882)
  • WB

Unknown

Western blot - Anti-CD276 antibody [BLR025F] - BSA free (AB243882)

Western blot analysis using ab243882 at 1/1000 dilution.

Lane 1 : MCF7 whole cell lysate (15 µg).

Lane 2 : A172 whole cell lysate (15 µg).

Lane 3 : U-251 MG whole cell lysate (15 µg).

Lane 4 : OVCAR-3 whole cell lysate (15 µg).

Lane 5 : HeLa whole cell lysate (15 µg).

Lane 6 : HEK-293T whole cell lysate (15 µg).

Lane 7 : HCT 116 whole cell lysate (15µg).

Lane 8 : RPMI 8226 whole cell lysate (15 µg).

Lane 9 : MJ whole cell lysate (15 µg).

Lane 10 : Ramos whole cell lysate (15 µg).

Lane 11 : Jurkat whole cell lysate (15 µg).

A HRP-conjugated goat anti-rabbit IgG antibody was used as the secondary. Detection : chemiluminescence with an exposure time of 3 minutes.

All lanes:

Western blot - Anti-CD276 antibody [BLR025F] - BSA free (ab243882)

Predicted band size: 57 kDa

false

Key facts

Host species

Rabbit

Clonality

Monoclonal

Clone number

BLR025F

Isotype

IgG

Carrier free

No

Reacts with

Human, Mouse

Applications

IHC-P, ICC, IP, WB, Flow Cyt

applications

Immunogen

Synthetic Peptide within Human CD276 aa 500 to C-terminus. The exact immunogen used to generate this antibody is proprietary information.

Q5ZPR3

Reactivity data

{ "title": "Reactivity Data", "filters": { "stats": ["", "Species", "Dilution Info", "Notes"], "tabs": { "all-applications": {"fullname" : "All Applications", "shortname": "All Applications"}, "IHCP" : {"fullname" : "Immunohistochemistry (Formalin/PFA-fixed paraffin-embedded sections)", "shortname":"IHC-P"}, "ICC" : {"fullname" : "Immunocytochemistry", "shortname":"ICC"}, "IP" : {"fullname" : "Immunoprecipitation", "shortname":"IP"}, "FlowCyt" : {"fullname" : "Flow Cytometry", "shortname":"Flow Cyt"}, "WB" : {"fullname" : "Western blot", "shortname":"WB"} }, "product-promise": { "all": "all", "testedAndGuaranteed": "tested", "guaranteed": "expected", "predicted": "predicted", "notRecommended": "not-recommended" } }, "values": { "Human": { "IHCP-species-checked": "testedAndGuaranteed", "IHCP-species-dilution-info": "1/100 - 1/500", "IHCP-species-notes": "<p></p> Perform heat-mediated antigen retrieval with citrate buffer pH 6 before commencing with IHC staining protocol.", "ICC-species-checked": "testedAndGuaranteed", "ICC-species-dilution-info": "1/100 - 1/500", "ICC-species-notes": "<p></p>", "IP-species-checked": "testedAndGuaranteed", "IP-species-dilution-info": "", "IP-species-notes": "<p>Use 3μl/mg lysate.</p>", "FlowCyt-species-checked": "testedAndGuaranteed", "FlowCyt-species-dilution-info": "1 µL for 10^6 Cells", "FlowCyt-species-notes": "<p></p>", "WB-species-checked": "testedAndGuaranteed", "WB-species-dilution-info": "1/1000", "WB-species-notes": "<p></p>" }, "Mouse": { "IHCP-species-checked": "guaranteed", "IHCP-species-dilution-info": "", "IHCP-species-notes": "", "ICC-species-checked": "guaranteed", "ICC-species-dilution-info": "", "ICC-species-notes": "", "IP-species-checked": "guaranteed", "IP-species-dilution-info": "", "IP-species-notes": "", "FlowCyt-species-checked": "testedAndGuaranteed", "FlowCyt-species-dilution-info": "1 µL for 10^6 Cells", "FlowCyt-species-notes": "<p></p>", "WB-species-checked": "testedAndGuaranteed", "WB-species-dilution-info": "1/1000", "WB-species-notes": "<p></p>" } } }

Product details

This product is sold under License from Bethyl Laboratories, Inc.

Properties and storage information

Form
Liquid
Purification notes
Recombinant antibody was purified from cell culture supernatant.
Storage buffer
pH: 7.8 - 8.6 Preservative: 0.09% Sodium azide Constituents: 99% Borate buffered saline
Shipped at conditions
Blue Ice
Appropriate short-term storage duration
1-2 weeks
Appropriate short-term storage conditions
+4°C
Appropriate long-term storage conditions
-20°C
Aliquoting information
Upon delivery aliquot
Storage information
Avoid freeze / thaw cycle

Supplementary information

This supplementary information is collated from multiple sources and compiled automatically.

CD276 also known as B7-H3 is an immunoregulatory protein with a mass of approximately 57 kDa although post-translational modifications can increase its observed size. It is a member of the B7 family which is part of the immunoglobulin superfamily. CD276 is widely expressed in various tissues including placenta liver heart and also in many tumor cells. It is observed in lesser amounts in normal tissues making it an interesting target for cancer research. Various assays like HEK293 and HEK293T cell confluency studies often use CD276 to explore its expression under different conditions and seeding densities which are represented in confluency charts.
Biological function summary

CD276 modulates immune responses by acting as a co-inhibitory ligand impacting T-cell proliferation and cytokine synthesis. Not part of a known complex it plays a role in the adaptive immune system by providing negative feedback regulation that can inhibit the immune response. This capability has implications in preventing autoimmunity but may also contribute to tumor immune evasion by reducing effective anti-tumor responses. The B7-H3/CD276 interaction with receptors such as IL receptor family members suggests its diverse immunomodulatory functions.

Pathways

CD276 participates in the T-cell receptor (TCR) signaling pathways influencing immune checkpoint pathways. It interacts with other immune checkpoint proteins like PD-L1 and CTLA-4 but its exact receptor partner remains unidentified. The presence of CD276 in these pathways highlights its role in controlling T-cell activation and tolerance. By modulating TCR signals and impacting downstream effects CD276 serves as a regulatory point that can balance immune activation and inhibition critical in immune-mediated conditions.

CD276 has strong associations with cancer particularly in solid tumors such as prostate and breast cancer. It is often overexpressed in malignant tissues contributing to immune evasion by tumors. Researchers propose it as a potential target for cancer immunotherapy due to this attribute. CD276's link to disorders like asthma has also been suggested where its interaction with proteins involved in inflammatory pathways such as IL response elements can exacerbate the condition. This implicates it as a dual-role protein in both disease progression and potential therapeutic targeting.

Product protocols

For this product, it's our understanding that no specific protocols are required. You can visit:

Target data

May participate in the regulation of T-cell-mediated immune response. May play a protective role in tumor cells by inhibiting natural-killer mediated cell lysis as well as a role of marker for detection of neuroblastoma cells. May be involved in the development of acute and chronic transplant rejection and in the regulation of lymphocytic activity at mucosal surfaces. Could also play a key role in providing the placenta and fetus with a suitable immunological environment throughout pregnancy. Both isoform 1 and isoform 2 appear to be redundant in their ability to modulate CD4 T-cell responses. Isoform 2 is shown to enhance the induction of cytotoxic T-cells and selectively stimulates interferon gamma production in the presence of T-cell receptor signaling.
See full target information CD276

Product promise

We are committed to supporting your work with high-quality reagents, and we're here for you every step of the way. In the unlikely event that one of our products does not perform as expected, you're protected by our Product Promise.
For full details, please see our Terms & Conditions

Please note: All products are 'FOR RESEARCH USE ONLY. NOT FOR USE IN DIAGNOSTIC OR THERAPEUTIC PROCEDURES'.

For licensing inquiries, please contact partnerships@abcam.com