JavaScript is disabled in your browser. Please enable JavaScript to view this website.
AB227670

Anti-CD276 antibody [SP206]

  • BOND RX™ Validated
  • RabMAb
  • Recombinant
  • KO Validated
  • 20ul selling size
  • What is this?

5

(1 Review)

|

(9 Publications)

Anti-CD276 antibody [SP206] (ab227670) is a rabbit monoclonal antibody detecting CD276 in Western Blot, IHC-P. Suitable for Human.

- KO validated for confirmed specificity
- Biophysical QC for unrivalled batch-batch consistency

View Alternative Names

CD276, B7H3, PSEC0249, UNQ309/PRO352, CD276 antigen, 4Ig-B7-H3, B7 homolog 3, Costimulatory molecule, B7-H3

16 Images
Immunohistochemistry (Formalin/PFA-fixed paraffin-embedded sections) - Anti-CD276 antibody [SP206] (AB227670)
  • IHC-P

Supplier Data

Immunohistochemistry (Formalin/PFA-fixed paraffin-embedded sections) - Anti-CD276 antibody [SP206] (AB227670)

Formalin-fixed, paraffin-embedded human lung tissue stained for CD276 with ab227670 at 1/100 dilution in immunohistochemical analysis.

Immunohistochemistry (Formalin/PFA-fixed paraffin-embedded sections) - Anti-CD276 antibody [SP206] (AB227670)
  • IHC-P

Supplier Data

Immunohistochemistry (Formalin/PFA-fixed paraffin-embedded sections) - Anti-CD276 antibody [SP206] (AB227670)

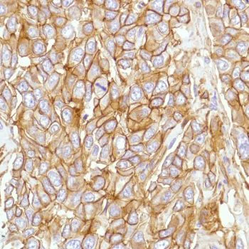
Formalin-fixed, paraffin-embedded human breast ductal carcinoma tissue stained for CD276 with ab227670 at 1/100 dilution in immunohistochemical analysis.

Immunohistochemistry (Formalin/PFA-fixed paraffin-embedded sections) - Anti-CD276 antibody [SP206] (AB227670)
  • IHC-P

Supplier Data

Immunohistochemistry (Formalin/PFA-fixed paraffin-embedded sections) - Anti-CD276 antibody [SP206] (AB227670)

Formalin-fixed, paraffin-embedded human lung adenocarcinoma tissue stained for CD276 with ab227670 at 1/100 dilution in immunohistochemical analysis.

Immunohistochemistry (Formalin/PFA-fixed paraffin-embedded sections) - Anti-CD276 antibody [SP206] (AB227670)
  • IHC-P

Supplier Data

Immunohistochemistry (Formalin/PFA-fixed paraffin-embedded sections) - Anti-CD276 antibody [SP206] (AB227670)

Formalin-fixed, paraffin-embedded human breast tissue stained for CD276 with ab227670 at 1/100 dilution in immunohistochemical analysis.

Immunohistochemistry (Formalin/PFA-fixed paraffin-embedded sections) - Anti-CD276 antibody [SP206] (AB227670)
  • IHC-P

Unknown

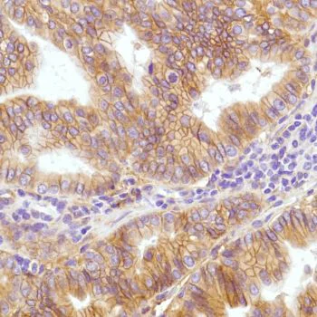
Immunohistochemistry (Formalin/PFA-fixed paraffin-embedded sections) - Anti-CD276 antibody [SP206] (AB227670)

Immunohistochemistry (Formalin/PFA-fixed paraffin-embedded sections) analysis of human lung carcinoma tissue sections labeling CD276 with ab227670 at 1/100 dilution (2.29 μg/ml). Heat mediated antigen retrieval with citrate buffer (pH 6.0, epitope retrieval solution 1) for 10mins. Rabbit specific IHC polymer detection kit HRP/DAB (ab209101) was used as the secondary antibody. Hematoxylin was used as a counterstain. Mainly membranous staining on the human lung carcinoma, performed on a Leica Biosystems BOND™ RX instrument.
The section was incubated with ab227670 for 10 mins at room temperature.

Immunohistochemistry (Formalin/PFA-fixed paraffin-embedded sections) - Anti-CD276 antibody [SP206] (AB227670)
  • IHC-P

Supplier Data

Immunohistochemistry (Formalin/PFA-fixed paraffin-embedded sections) - Anti-CD276 antibody [SP206] (AB227670)

Formalin-fixed, paraffin-embedded human lung SCCa tissue stained for CD276 with ab227670 at 1/100 dilution in immunohistochemical analysis.

Immunohistochemistry (Formalin/PFA-fixed paraffin-embedded sections) - Anti-CD276 antibody [SP206] (AB227670)
  • IHC-P

Unknown

Immunohistochemistry (Formalin/PFA-fixed paraffin-embedded sections) - Anti-CD276 antibody [SP206] (AB227670)

Immunohistochemistry (Formalin/PFA-fixed paraffin-embedded sections) analysis of Human breast tissue sections labeling CD276 with ab227670 at 1/100 dilution (2.29 μg/ml). Heat mediated antigen retrieval with citrate buffer (pH 6.0, epitope retrieval solution 1) for 10mins. Rabbit specific IHC polymer detection kit HRP/DAB (ab209101) was used as the secondary antibody. Hematoxylin was used as a counterstain. Mainly membranous staining on the human breast, performed on a Leica Biosystems BOND™ RX instrument.
The section was incubated with ab227670 for 10 mins at room temperature.

Immunohistochemistry (Formalin/PFA-fixed paraffin-embedded sections) - Anti-CD276 antibody [SP206] (AB227670)
  • IHC-P

Supplier Data

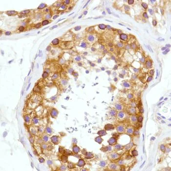
Immunohistochemistry (Formalin/PFA-fixed paraffin-embedded sections) - Anti-CD276 antibody [SP206] (AB227670)

Formalin-fixed, paraffin-embedded human testis tissue stained for CD276 with ab227670 at 1/100 dilution in immunohistochemical analysis.

Immunohistochemistry (Formalin/PFA-fixed paraffin-embedded sections) - Anti-CD276 antibody [SP206] (AB227670)
  • IHC-P

Supplier Data

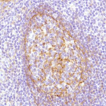
Immunohistochemistry (Formalin/PFA-fixed paraffin-embedded sections) - Anti-CD276 antibody [SP206] (AB227670)

Formalin-fixed, paraffin-embedded human tonsil tissue stained for CD276 with ab227670 at 1/100 dilution in immunohistochemical analysis.

Immunohistochemistry (Formalin/PFA-fixed paraffin-embedded sections) - Anti-CD276 antibody [SP206] (AB227670)
  • IHC-P

Supplier Data

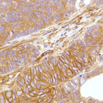
Immunohistochemistry (Formalin/PFA-fixed paraffin-embedded sections) - Anti-CD276 antibody [SP206] (AB227670)

Formalin-fixed, paraffin-embedded human colon tissue stained for CD276 with ab227670 at 1/100 dilution in immunohistochemical analysis.

Immunohistochemistry (Formalin/PFA-fixed paraffin-embedded sections) - Anti-CD276 antibody [SP206] (AB227670)
  • IHC-P

Unknown

Immunohistochemistry (Formalin/PFA-fixed paraffin-embedded sections) - Anti-CD276 antibody [SP206] (AB227670)

Formalin-fixed, paraffin-embedded human stomach adenocarcinoma tissue stained for CD276 with ab227670 at 1/100 dilution in immunohistochemical analysis.

Immunohistochemistry (Formalin/PFA-fixed paraffin-embedded sections) - Anti-CD276 antibody [SP206] (AB227670)
  • IHC-P

Unknown

Immunohistochemistry (Formalin/PFA-fixed paraffin-embedded sections) - Anti-CD276 antibody [SP206] (AB227670)

Formalin-fixed, paraffin-embedded human stomach tissue stained for CD276 with ab227670 at 1/100 dilution in immunohistochemical analysis.

Immunohistochemistry (Formalin/PFA-fixed paraffin-embedded sections) - Anti-CD276 antibody [SP206] (AB227670)
  • IHC-P

Supplier Data

Immunohistochemistry (Formalin/PFA-fixed paraffin-embedded sections) - Anti-CD276 antibody [SP206] (AB227670)

Formalin-fixed, paraffin-embedded human colon adenocarcinoma tissue stained for CD276 with ab227670 at 1/100 dilution in immunohistochemical analysis.

Western blot - Anti-CD276 antibody [SP206] (AB227670)
  • WB

Lab

Western blot - Anti-CD276 antibody [SP206] (AB227670)

Lanes 1- 4 : Merged signal (red and green). Green - ab227670 observed at 90-110 kDa. Red - Anti-GAPDH antibody [6C5] - Loading Control (ab8245) observed at 37 kDa.

ab227670 was shown to react with CD276 antigen in wild-type HeLa cells in western blot. Loss of signal was observed when knockout cell line ab261756 (knockout cell lysate ab257098) was used. Wild-type HeLa and CD276 knockout HeLa cell lysates were subjected to SDS-PAGE. Membrane was blocked for 1 hour at room temperature in 0.1% TBST with 3% non-fat dried milk. ab227670 and Anti-GAPDH antibody [6C5] - Loading Control (ab8245) overnight at 4°C at a 1 in 400 dilution and a 1 in 20000 dilution respectively. Blots were developed with Goat anti-Rabbit IgG H&L (IRDye®800CW) preadsorbed (ab216773) and Goat anti-Mouse IgG H&L (IRDye®680RD) preadsorbed (ab216776) secondary antibodies at 1 in 20000 dilution for 1 hour at room temperature before imaging.

Lanes 1 - 4:

Western blot - Anti-CD276 antibody [SP206], prediluted (<a href='/en-us/products/primary-antibodies/cd276-antibody-sp206-prediluted-ab228178'>ab228178</a>) at 1/400 dilution

Lanes 1 - 4:

Western blot - Anti-CD276 antibody [SP206] (ab227670) at 1/400 dilution

Lane 1:

Wild-type HeLa cell lysate at 20 µg

Lane 2:

CD276 knockout HeLa cell lysate at 20 µg

Lane 2:

Western blot - Human CD276 knockout HeLa cell line (<a href='/en-us/products/cell-lines/human-cd276-knockout-hela-cell-line-ab261756'>ab261756</a>)

Lane 3:

LNCaP cell lysate at 20 µg

Lane 4:

Raji cell lysate at 20 µg

Predicted band size: 57 kDa

Observed band size: 90-110 kDa

false

Western blot - Anti-CD276 antibody [SP206] (AB227670)
  • WB

Supplier Data

Western blot - Anti-CD276 antibody [SP206] (AB227670)

All lanes:

Western blot - Anti-CD276 antibody [SP206] (ab227670) at 1/400 dilution

All lanes:

HEK-293T (human epithelial cell line from embryonic kidney transformed with large T antigen) cell lysate

Predicted band size: 57 kDa

false

Western blot - Anti-CD276 antibody [SP206] (AB227670)
  • WB

Lab

Western blot - Anti-CD276 antibody [SP206] (AB227670)

Lanes 1-4 : Merged signal (red and green). Green - ab227670 observed at 90-110 kDa. Red - loading control ab8245 observed at 36 kDa.

ab227670 Anti-CD276 antibody [SP206] was shown to specifically react with CD276 in wild-type HEK293T cells. Loss of signal was observed when knockout cell line ab266658 (knockout cell lysate ab257097) was used. Wild-type and CD276 knockout samples were subjected to SDS-PAGE. ab227670 and Anti-GAPDH antibody [6C5] - Loading Control (ab8245) were incubated overnight at 4°C at 1 in 1000 dilution and 1 in 20000 dilution respectively. Blots were developed with Goat anti-Rabbit IgG H&L (IRDye® 800CW) preadsorbed (ab216773) and Goat anti-Mouse IgG H&L (IRDye® 680RD) preadsorbed (ab216776) secondary antibodies at 1 in 20000 dilution for 1 hour at room temperature before imaging.

Lanes 1 - 4:

Western blot - Anti-CD276 antibody [SP206] (ab227670) at 1/1000 dilution

Lanes 1 - 4:

Western blot - Anti-CD276 antibody [SP206], prediluted (<a href='/en-us/products/primary-antibodies/cd276-antibody-sp206-prediluted-ab228178'>ab228178</a>) at 1/1000 dilution

Lane 1:

Wild-type HEK293T cell lysate at 20 µg

Lane 2:

CD276 knockout HEK293T cell lysate at 20 µg

Lane 2:

Western blot - Human CD276 knockout HEK-293T cell line (<a href='/en-us/products/cell-lines/human-cd276-knockout-hek-293t-cell-line-ab266658'>ab266658</a>)

Lane 3:

LNCaP cell lysate at 20 µg

Lane 4:

Raji cell lysate at 20 µg

Secondary

All lanes:

Western blot - Goat anti-Rabbit IgG H&L (IRDye® 800CW) preadsorbed (<a href='/en-us/products/secondary-antibodies/goat-rabbit-igg-h-l-irdye-800cw-preadsorbed-ab216773'>ab216773</a>) at 1/10000 dilution

Predicted band size: 57 kDa

Observed band size: 90-110 kDa

false

Key facts

Host species

Rabbit

Clonality

Monoclonal

Clone number

SP206

Isotype

IgG

Carrier free

No

Reacts with

Human

Applications

IHC-P, WB

applications

Immunogen

The exact immunogen used to generate this antibody is proprietary information.

Reactivity data

{ "title": "Reactivity Data", "filters": { "stats": ["", "Species", "Dilution Info", "Notes"], "tabs": { "all-applications": {"fullname" : "All Applications", "shortname": "All Applications"}, "IHCP" : {"fullname" : "Immunohistochemistry (Formalin/PFA-fixed paraffin-embedded sections)", "shortname":"IHC-P"}, "WB" : {"fullname" : "Western blot", "shortname":"WB"} }, "product-promise": { "all": "all", "testedAndGuaranteed": "tested", "guaranteed": "expected", "predicted": "predicted", "notRecommended": "not-recommended" } }, "values": { "Human": { "IHCP-species-checked": "testedAndGuaranteed", "IHCP-species-dilution-info": "1/100", "IHCP-species-notes": "<p>Primary antibody incubation for 10 minutes at room temperature.</p> Perform heat-mediated antigen retrieval with citrate buffer pH 6 before commencing with IHC staining protocol.", "WB-species-checked": "testedAndGuaranteed", "WB-species-dilution-info": "1/400", "WB-species-notes": "<p>Primary antibody incubation for 1 hour at room temperature.</p>" }, "Mouse": { "IHCP-species-checked": "predicted", "IHCP-species-dilution-info": "", "IHCP-species-notes": "", "WB-species-checked": "predicted", "WB-species-dilution-info": "", "WB-species-notes": "" }, "Rat": { "IHCP-species-checked": "predicted", "IHCP-species-dilution-info": "", "IHCP-species-notes": "", "WB-species-checked": "predicted", "WB-species-dilution-info": "", "WB-species-notes": "" } } }

Product details

What is this antibody validated in?
Anti-CD276 antibody [SP206] (ab227670) is a rabbit recombinant monoclonal antibody and is validated for use in Western Blot (WB), Immunohistochemistry (IHC-P) in Human samples.

What is the molecular weight of CD276?
Anti-CD276 [SP206] (ab227670) specifically detects a band for CD276 (UniProt: Q5ZPR3) at a molecular weight of 57kDa.

Collaboration
Anti-CD276 [SP206] (ab227670) is a clone from the portfolio of Spring Bioscience (Roche) SP clones which have been optimised for immunohistochemistry (IHC).

Trial sizes available!
Test your antibody or perform pre-screening before committing to a larger quantity. Sold in 10µl. Discover our selection of trial-size antibodies.

Specificity confirmed
The specificity of Anti-CD276 antibody [SP206] (ab227670) has been confirmed by Western blot testing in CD276 Knockout HeLa cell line, ab266658.

Other related products
We have a range of other formats of antibody clone [SP206] also available for your convenience: ab227670, Carrier free - ab240407, Carrier free - ab246794, Alexa Fluor® 488 - ab320516, Alexa Fluor® 647 - ab320517, Alexa Fluor® 555 - ab320518, Alexa Fluor® 594 - ab320519, PE - ab320520, APC - ab320521, Alexa Fluor® 750 - ab321445

Patented technology
Our RabMAb® technology is a patented hybridoma-based technology for making rabbit monoclonal antibodies. For details on our patents, please refer to RabMAb® patents.

What are the advantages of a recombinant monoclonal antibody?
This product is a recombinant monoclonal antibody, which offers several advantages including:

  • - High batch-to-batch consistency and reproducibility
  • - Improved sensitivity and specificity
  • - Long-term security of supply
  • - Animal-free batch production

For more information, read more on recombinant antibodies.

Properties and storage information

Form
Liquid
Purification technique
Affinity purification Protein A
Storage buffer
pH: 7.2 - 7.4 Preservative: 0.1% Sodium azide Constituents: PBS, 1% BSA
Shipped at conditions
Blue Ice
Appropriate short-term storage duration
1-2 weeks
Appropriate short-term storage conditions
+4°C
Appropriate long-term storage conditions
-20°C
Aliquoting information
Upon delivery aliquot
Storage information
Avoid freeze / thaw cycle

Supplementary information

This supplementary information is collated from multiple sources and compiled automatically.

CD276 also known as B7-H3 is an immunoregulatory protein with a mass of approximately 57 kDa although post-translational modifications can increase its observed size. It is a member of the B7 family which is part of the immunoglobulin superfamily. CD276 is widely expressed in various tissues including placenta liver heart and also in many tumor cells. It is observed in lesser amounts in normal tissues making it an interesting target for cancer research. Various assays like HEK293 and HEK293T cell confluency studies often use CD276 to explore its expression under different conditions and seeding densities which are represented in confluency charts.
Biological function summary

CD276 modulates immune responses by acting as a co-inhibitory ligand impacting T-cell proliferation and cytokine synthesis. Not part of a known complex it plays a role in the adaptive immune system by providing negative feedback regulation that can inhibit the immune response. This capability has implications in preventing autoimmunity but may also contribute to tumor immune evasion by reducing effective anti-tumor responses. The B7-H3/CD276 interaction with receptors such as IL receptor family members suggests its diverse immunomodulatory functions.

Pathways

CD276 participates in the T-cell receptor (TCR) signaling pathways influencing immune checkpoint pathways. It interacts with other immune checkpoint proteins like PD-L1 and CTLA-4 but its exact receptor partner remains unidentified. The presence of CD276 in these pathways highlights its role in controlling T-cell activation and tolerance. By modulating TCR signals and impacting downstream effects CD276 serves as a regulatory point that can balance immune activation and inhibition critical in immune-mediated conditions.

CD276 has strong associations with cancer particularly in solid tumors such as prostate and breast cancer. It is often overexpressed in malignant tissues contributing to immune evasion by tumors. Researchers propose it as a potential target for cancer immunotherapy due to this attribute. CD276's link to disorders like asthma has also been suggested where its interaction with proteins involved in inflammatory pathways such as IL response elements can exacerbate the condition. This implicates it as a dual-role protein in both disease progression and potential therapeutic targeting.

Product protocols

For this product, it's our understanding that no specific protocols are required. You can visit:

Target data

May participate in the regulation of T-cell-mediated immune response. May play a protective role in tumor cells by inhibiting natural-killer mediated cell lysis as well as a role of marker for detection of neuroblastoma cells. May be involved in the development of acute and chronic transplant rejection and in the regulation of lymphocytic activity at mucosal surfaces. Could also play a key role in providing the placenta and fetus with a suitable immunological environment throughout pregnancy. Both isoform 1 and isoform 2 appear to be redundant in their ability to modulate CD4 T-cell responses. Isoform 2 is shown to enhance the induction of cytotoxic T-cells and selectively stimulates interferon gamma production in the presence of T-cell receptor signaling.
See full target information CD276

Publications (9)

Recent publications for all applications. Explore the full list and refine your search

Nature medicine 31:1949-1957 PubMed40082695

2025

A B7H3-targeting antibody-drug conjugate in advanced solid tumors: a phase 1/1b trial.

Applications

Unspecified application

Species

Unspecified reactive species

Yuxiang Ma,Yunpeng Yang,Yan Huang,Wenfeng Fang,Jinhui Xue,Xiangjiao Meng,Yun Fan,Siqing Fu,Lin Wu,Yulong Zheng,Jian Liu,Zhihua Liu,Wu Zhuang,Seth Rosen,Song Qu,Bihui Li,Mingjun Li,Yanqiu Zhao,Shujun Yang,Yinghua Ji,David Sommerhalder,Suxia Luo,Kunyu Yang,Jingao Li,Dongqing Lv,Peng Zhang,Yuanyuan Zhao,Shaodong Hong,Yang Zhang,Shen Zhao,Steve Chin,Xian Zhang,Wei Lian,Jiaqiang Cai,Tongtong Xue,Li Zhang,Hongyun Zhao

Genome medicine 16:148 PubMed39696540

2024

Spatial transcriptome profiling identifies DTX3L and BST2 as key biomarkers in esophageal squamous cell carcinoma tumorigenesis.

Applications

Unspecified application

Species

Unspecified reactive species

Rutao Li,Na Li,Qianqian Yang,Xing Tong,Wei Wang,Chang Li,Jun Zhao,Dong Jiang,Haitao Huang,Chen Fang,Kai Xie,Jiamin Yuan,Shaomu Chen,Guangbin Li,Haitao Luo,Zhibo Gao,Dongfang Wu,Xiaoli Cui,Wei Jiang,Lingchuan Guo,Haitao Ma,Yu Feng

Immunity, inflammation and disease 12:e70005 PubMed39267471

2024

B7-H3 promotes nasopharyngeal carcinoma progression by regulating CD8+ T cell exhaustion.

Applications

Unspecified application

Species

Unspecified reactive species

Zhaoen Ma,Gui Chen,Hao Li,Saixuan Yang,Yali Xu,Bolin Pan,Wuping Lai,Guangui Chen,Wenjing Liao,Xiaowen Zhang

Frontiers in immunology 15:1337489 PubMed38566988

2024

Efficacy of the induced pluripotent stem cell derived and engineered CD276-targeted CAR-NK cells against human esophageal squamous cell carcinoma.

Applications

Unspecified application

Species

Unspecified reactive species

Xiaolan Lin,Tian Guan,Yien Xu,Yun Li,Yanchun Lin,Shaobin Chen,Yuping Chen,Xiaolong Wei,Dongsheng Li,Yukun Cui,Yan Lin,Pingnan Sun,Jianmin Guo,Congzhu Li,Jiang Gu,Wei Yang,Haoyu Zeng,Changchun Ma

Journal of experimental & clinical cancer research : CR 43:95 PubMed38561797

2024

Identification of genetic modifiers enhancing B7-H3-targeting CAR T cell therapy against glioblastoma through large-scale CRISPRi screening.

Applications

Unspecified application

Species

Unspecified reactive species

Xing Li,Shiyu Sun,Wansong Zhang,Ziwei Liang,Yitong Fang,Tianhu Sun,Yong Wan,Xingcong Ma,Shuqun Zhang,Yang Xu,Ruilin Tian

Frontiers in oncology 13:1239957 PubMed38162496

2024

BME-free primary patient-specific organoids obtained with a one-day mimicking method to replicate the corresponding tumor for personalized treatment options.

Applications

Unspecified application

Species

Unspecified reactive species

Yan Zhu,Zhechun Ding,Yini Wang,Qing Wu,Dongmei Chen,Luanhong Wang,Yuancheng Li,Yao Yao,Jiman Huang,Yun Li,Xiaojing Wang,Yanchun Lin,Tian Guan,Haoyu Zeng,Congzhu Li

World journal of surgical oncology 20:159 PubMed35590371

2022

B7-H3 is eligible for predicting clinical outcomes in lung adenocarcinoma patients treated with EGFR tyrosine kinase inhibitors.

Applications

Unspecified application

Species

Unspecified reactive species

Ying Yang,Jun-Feng Huang,Bing-Qi Hu,Jing Zhou,Xian Wang,Zhen-Zhong Feng,Yu-Ting Chen,Fa-Ming Pan,Huai-Dong Cheng,Li-Wen Chen

Molecular medicine reports 25: PubMed35029291

2022

B7‑H3 promotes the epithelial‑mesenchymal transition of NSCLC by targeting SIRT1 through the PI3K/AKT pathway.

Applications

Unspecified application

Species

Unspecified reactive species

Haixiu Liao,Meng Ding,Nannan Zhou,Ying Yang,Liwen Chen

The international journal of biochemistry & cell b 108:84-91 PubMed30664982

2019

B7-H3 is regulated by BRD4 and promotes TLR4 expression in pancreatic ductal adenocarcinoma.

Applications

Unspecified application

Species

Unspecified reactive species

Jingyuan Zhao,Zibo Meng,Chao Xie,Chong Yang,Zhiqiang Liu,Shihong Wu,Bo Wang,Ping Fan,Xin Jin,Heshui Wu
View all publications

Product promise

We are committed to supporting your work with high-quality reagents, and we're here for you every step of the way. In the unlikely event that one of our products does not perform as expected, you're protected by our Product Promise.
For full details, please see our Terms & Conditions

Please note: All products are 'FOR RESEARCH USE ONLY. NOT FOR USE IN DIAGNOSTIC OR THERAPEUTIC PROCEDURES'.

For licensing inquiries, please contact partnerships@abcam.com