JavaScript is disabled in your browser. Please enable JavaScript to view this website.
AB246794

Anti-CD276 antibody [SP206] - Low endotoxin, Azide free

Be the first to review this product! Submit a review

|

(2 Publications)

Rabbit Recombinant Monoclonal CD276 antibody. Carrier free. Suitable for IHC-P, WB and reacts with Human samples. Cited in 2 publications.

View Alternative Names

CD276, B7H3, PSEC0249, UNQ309/PRO352, CD276 antigen, 4Ig-B7-H3, B7 homolog 3, Costimulatory molecule, B7-H3

11 Images
Immunohistochemistry (Formalin/PFA-fixed paraffin-embedded sections) - Anti-CD276 antibody [SP206] - Low endotoxin, Azide free (AB246794)
  • IHC-P

Supplier Data

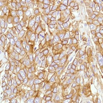
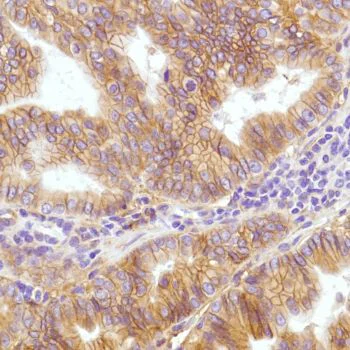
Immunohistochemistry (Formalin/PFA-fixed paraffin-embedded sections) - Anti-CD276 antibody [SP206] - Low endotoxin, Azide free (AB246794)

Formalin-fixed, paraffin-embedded human breast ductal carcinoma tissue stained for CD276 with ab227670 at 1/100 dilution in immunohistochemical analysis.

This data was developed using the same antibody clone in a different buffer formulation containing PBS, BSA, glycerol, and sodium azide (ab227670).

Immunohistochemistry (Formalin/PFA-fixed paraffin-embedded sections) - Anti-CD276 antibody [SP206] - Low endotoxin, Azide free (AB246794)
  • IHC-P

Supplier Data

Immunohistochemistry (Formalin/PFA-fixed paraffin-embedded sections) - Anti-CD276 antibody [SP206] - Low endotoxin, Azide free (AB246794)

Formalin-fixed, paraffin-embedded human lung adenocarcinoma tissue stained for CD276 with ab227670 at 1/100 dilution in immunohistochemical analysis.

This data was developed using the same antibody clone in a different buffer formulation containing PBS, BSA, glycerol, and sodium azide (ab227670).

Immunohistochemistry (Formalin/PFA-fixed paraffin-embedded sections) - Anti-CD276 antibody [SP206] - Low endotoxin, Azide free (AB246794)
  • IHC-P

Supplier Data

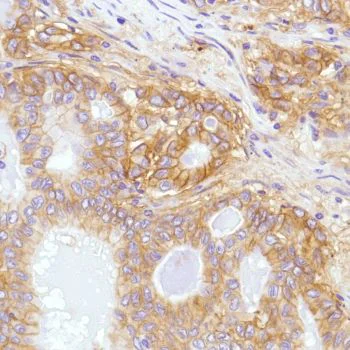
Immunohistochemistry (Formalin/PFA-fixed paraffin-embedded sections) - Anti-CD276 antibody [SP206] - Low endotoxin, Azide free (AB246794)

Formalin-fixed, paraffin-embedded human breast tissue stained for CD276 with ab227670 at 1/100 dilution in immunohistochemical analysis.

This data was developed using the same antibody clone in a different buffer formulation containing PBS, BSA, glycerol, and sodium azide (ab227670).

Immunohistochemistry (Formalin/PFA-fixed paraffin-embedded sections) - Anti-CD276 antibody [SP206] - Low endotoxin, Azide free (AB246794)
  • IHC-P

Supplier Data

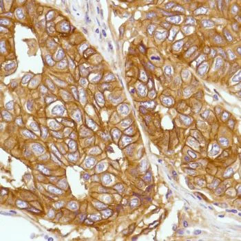
Immunohistochemistry (Formalin/PFA-fixed paraffin-embedded sections) - Anti-CD276 antibody [SP206] - Low endotoxin, Azide free (AB246794)

Formalin-fixed, paraffin-embedded human lung SCCa tissue stained for CD276 with ab227670 at 1/100 dilution in immunohistochemical analysis.

This data was developed using the same antibody clone in a different buffer formulation containing PBS, BSA, glycerol, and sodium azide (ab227670).

Immunohistochemistry (Formalin/PFA-fixed paraffin-embedded sections) - Anti-CD276 antibody [SP206] - Low endotoxin, Azide free (AB246794)
  • IHC-P

Supplier Data

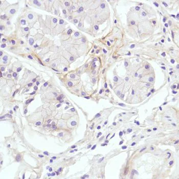
Immunohistochemistry (Formalin/PFA-fixed paraffin-embedded sections) - Anti-CD276 antibody [SP206] - Low endotoxin, Azide free (AB246794)

Formalin-fixed, paraffin-embedded human testis tissue stained for CD276 with ab227670 at 1/100 dilution in immunohistochemical analysis.

This data was developed using the same antibody clone in a different buffer formulation containing PBS, BSA, glycerol, and sodium azide (ab227670).

Immunohistochemistry (Formalin/PFA-fixed paraffin-embedded sections) - Anti-CD276 antibody [SP206] - Low endotoxin, Azide free (AB246794)
  • IHC-P

Supplier Data

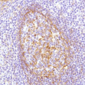
Immunohistochemistry (Formalin/PFA-fixed paraffin-embedded sections) - Anti-CD276 antibody [SP206] - Low endotoxin, Azide free (AB246794)

Formalin-fixed, paraffin-embedded human tonsil tissue stained for CD276 with ab227670 at 1/100 dilution in immunohistochemical analysis.

This data was developed using the same antibody clone in a different buffer formulation containing PBS, BSA, glycerol, and sodium azide (ab227670).

Immunohistochemistry (Formalin/PFA-fixed paraffin-embedded sections) - Anti-CD276 antibody [SP206] - Low endotoxin, Azide free (AB246794)
  • IHC-P

Supplier Data

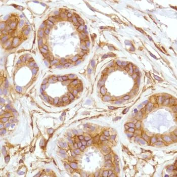
Immunohistochemistry (Formalin/PFA-fixed paraffin-embedded sections) - Anti-CD276 antibody [SP206] - Low endotoxin, Azide free (AB246794)

Formalin-fixed, paraffin-embedded human colon tissue stained for CD276 with ab227670 at 1/100 dilution in immunohistochemical analysis.

This data was developed using the same antibody clone in a different buffer formulation containing PBS, BSA, glycerol, and sodium azide (ab227670).

Immunohistochemistry (Formalin/PFA-fixed paraffin-embedded sections) - Anti-CD276 antibody [SP206] - Low endotoxin, Azide free (AB246794)
  • IHC-P

Unknown

Immunohistochemistry (Formalin/PFA-fixed paraffin-embedded sections) - Anti-CD276 antibody [SP206] - Low endotoxin, Azide free (AB246794)

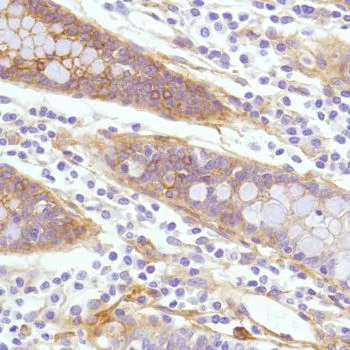
Formalin-fixed, paraffin-embedded human stomach adenocarcinoma tissue stained for CD276 with ab227670 at 1/100 dilution in immunohistochemical analysis.

Immunohistochemistry (Formalin/PFA-fixed paraffin-embedded sections) - Anti-CD276 antibody [SP206] - Low endotoxin, Azide free (AB246794)
  • IHC-P

Unknown

Immunohistochemistry (Formalin/PFA-fixed paraffin-embedded sections) - Anti-CD276 antibody [SP206] - Low endotoxin, Azide free (AB246794)

Formalin-fixed, paraffin-embedded human stomach tissue stained for CD276 with ab227670 at 1/100 dilution in immunohistochemical analysis.

This data was developed using the same antibody clone in a different buffer formulation containing PBS, BSA, glycerol, and sodium azide (ab227670).

Immunohistochemistry (Formalin/PFA-fixed paraffin-embedded sections) - Anti-CD276 antibody [SP206] - Low endotoxin, Azide free (AB246794)
  • IHC-P

Supplier Data

Immunohistochemistry (Formalin/PFA-fixed paraffin-embedded sections) - Anti-CD276 antibody [SP206] - Low endotoxin, Azide free (AB246794)

Formalin-fixed, paraffin-embedded human colon adenocarcinoma tissue stained for CD276 with ab227670 at 1/100 dilution in immunohistochemical analysis.

This data was developed using the same antibody clone in a different buffer formulation containing PBS, BSA, glycerol, and sodium azide (ab227670).

Immunohistochemistry (Formalin/PFA-fixed paraffin-embedded sections) - Anti-CD276 antibody [SP206] - Low endotoxin, Azide free (AB246794)
  • IHC-P

Supplier Data

Immunohistochemistry (Formalin/PFA-fixed paraffin-embedded sections) - Anti-CD276 antibody [SP206] - Low endotoxin, Azide free (AB246794)

Formalin-fixed, paraffin-embedded human lung tissue stained for CD276 with ab227670 at 1/100 dilution in immunohistochemical analysis.

This data was developed using the same antibody clone in a different buffer formulation containing PBS, BSA, glycerol, and sodium azide (ab227670).

Key facts

Host species

Rabbit

Clonality

Monoclonal

Clone number

SP206

Isotype

IgG

Carrier free

Yes

Reacts with

Human

Applications

WB, IHC-P

applications

Immunogen

The exact immunogen used to generate this antibody is proprietary information.

Reactivity data

{ "title": "Reactivity Data", "filters": { "stats": ["", "Species", "Dilution Info", "Notes"], "tabs": { "all-applications": {"fullname" : "All Applications", "shortname": "All Applications"}, "IHCP" : {"fullname" : "Immunohistochemistry (Formalin/PFA-fixed paraffin-embedded sections)", "shortname":"IHC-P"}, "WB" : {"fullname" : "Western blot", "shortname":"WB"} }, "product-promise": { "all": "all", "testedAndGuaranteed": "tested", "guaranteed": "expected", "predicted": "predicted", "notRecommended": "not-recommended" } }, "values": { "Human": { "IHCP-species-checked": "testedAndGuaranteed", "IHCP-species-dilution-info": "", "IHCP-species-notes": "<p>Primary antibody incubation for 10 minutes at room temperature.</p>", "WB-species-checked": "guaranteed", "WB-species-dilution-info": "", "WB-species-notes": "<p>Primary antibody incubation for 1 hour at room temperature.</p>" }, "Mouse": { "IHCP-species-checked": "predicted", "IHCP-species-dilution-info": "", "IHCP-species-notes": "", "WB-species-checked": "predicted", "WB-species-dilution-info": "", "WB-species-notes": "" }, "Rat": { "IHCP-species-checked": "predicted", "IHCP-species-dilution-info": "", "IHCP-species-notes": "", "WB-species-checked": "predicted", "WB-species-dilution-info": "", "WB-species-notes": "" } } }

Product details

ab246794 is the carrier-free version of ab227670.

What are the advantages of a recombinant monoclonal antibody?
This product is a recombinant monoclonal antibody, which offers several advantages including:

  • - High batch-to-batch consistency and reproducibility
  • - Improved sensitivity and specificity
  • - Long-term security of supply
  • - Animal-free batch production

For more information, read more on recombinant antibodies.

Conjugation ready
Our carrier-free antibodies are typically supplied in a PBS-only formulation, purified and free of BSA, sodium azide and glycerol. This conjugation-ready format is designed for use with fluorochromes, metal isotopes, oligonucleotides, and enzymes, which makes them ideal for antibody labelling, functional and cell-based assays, flow-based assays (e.g. mass cytometry) and Multiplex Imaging applications.

Use our conjugation kits for antibody conjugates that are ready-to-use in as little as 20 minutes with 1 minute hands-on-time and 100% antibody recovery: available for fluorescent dyes, HRP, biotin and gold.

What does low endotoxin mean?
Our low endotoxin, azide-free formats have low endotoxin level (1 EU/mg, determined by the TAL assay) and are free from azide, to achieve consistent experimental results in functional assays.

Properties and storage information

Form
Liquid
Purification technique
Affinity purification Protein A/G
Purification notes
Endotoxin level is less than 1 EU/ml as determined by the TAL test
Storage buffer
pH: 7.2 - 7.4 Constituents: PBS
Shipped at conditions
Blue Ice
Appropriate short-term storage conditions
+4°C
Appropriate long-term storage conditions
+4°C
Storage information
Do Not Freeze

Supplementary information

This supplementary information is collated from multiple sources and compiled automatically.

CD276 also known as B7-H3 is an immunoregulatory protein with a mass of approximately 57 kDa although post-translational modifications can increase its observed size. It is a member of the B7 family which is part of the immunoglobulin superfamily. CD276 is widely expressed in various tissues including placenta liver heart and also in many tumor cells. It is observed in lesser amounts in normal tissues making it an interesting target for cancer research. Various assays like HEK293 and HEK293T cell confluency studies often use CD276 to explore its expression under different conditions and seeding densities which are represented in confluency charts.
Biological function summary

CD276 modulates immune responses by acting as a co-inhibitory ligand impacting T-cell proliferation and cytokine synthesis. Not part of a known complex it plays a role in the adaptive immune system by providing negative feedback regulation that can inhibit the immune response. This capability has implications in preventing autoimmunity but may also contribute to tumor immune evasion by reducing effective anti-tumor responses. The B7-H3/CD276 interaction with receptors such as IL receptor family members suggests its diverse immunomodulatory functions.

Pathways

CD276 participates in the T-cell receptor (TCR) signaling pathways influencing immune checkpoint pathways. It interacts with other immune checkpoint proteins like PD-L1 and CTLA-4 but its exact receptor partner remains unidentified. The presence of CD276 in these pathways highlights its role in controlling T-cell activation and tolerance. By modulating TCR signals and impacting downstream effects CD276 serves as a regulatory point that can balance immune activation and inhibition critical in immune-mediated conditions.

CD276 has strong associations with cancer particularly in solid tumors such as prostate and breast cancer. It is often overexpressed in malignant tissues contributing to immune evasion by tumors. Researchers propose it as a potential target for cancer immunotherapy due to this attribute. CD276's link to disorders like asthma has also been suggested where its interaction with proteins involved in inflammatory pathways such as IL response elements can exacerbate the condition. This implicates it as a dual-role protein in both disease progression and potential therapeutic targeting.

Product protocols

For this product, it's our understanding that no specific protocols are required. You can visit:

Target data

May participate in the regulation of T-cell-mediated immune response. May play a protective role in tumor cells by inhibiting natural-killer mediated cell lysis as well as a role of marker for detection of neuroblastoma cells. May be involved in the development of acute and chronic transplant rejection and in the regulation of lymphocytic activity at mucosal surfaces. Could also play a key role in providing the placenta and fetus with a suitable immunological environment throughout pregnancy. Both isoform 1 and isoform 2 appear to be redundant in their ability to modulate CD4 T-cell responses. Isoform 2 is shown to enhance the induction of cytotoxic T-cells and selectively stimulates interferon gamma production in the presence of T-cell receptor signaling.
See full target information CD276

Publications (2)

Recent publications for all applications. Explore the full list and refine your search

Nature genetics 57:2177-2191 PubMed40858905

2025

ERG-driven prostate cancer initiation is cell-context dependent and requires KMT2A and DOT1L.

Applications

Unspecified application

Species

Unspecified reactive species

Weiran Feng,Erik Ladewig,Matthew Lange,Nazifa Salsabeel,Huiyong Zhao,Young Sun Lee,Anuradha Gopalan,Hanzhi Luo,Wenfei Kang,Ning Fan,Eric Rosiek,Elisa de Stanchina,Yu Chen,Brett S Carver,Christina S Leslie,Charles L Sawyers

Journal of translational medicine 17:268 PubMed31412888

2019

B7-H3 participates in human salivary gland epithelial cells apoptosis through NF-κB pathway in primary Sjögren's syndrome.

Applications

Unspecified application

Species

Unspecified reactive species

Ping Li,Ying Yang,Yi Jin,Rui Zhao,Chen Dong,Wenjie Zheng,Tianyi Zhang,Jing Li,Zhifeng Gu
View all publications

Product promise

We are committed to supporting your work with high-quality reagents, and we're here for you every step of the way. In the unlikely event that one of our products does not perform as expected, you're protected by our Product Promise.
For full details, please see our Terms & Conditions

Please note: All products are 'FOR RESEARCH USE ONLY. NOT FOR USE IN DIAGNOSTIC OR THERAPEUTIC PROCEDURES'.

For licensing inquiries, please contact partnerships@abcam.com