JavaScript is disabled in your browser. Please enable JavaScript to view this website.
AB243557

Anti-CD28 antibody [EPR22076] - BSA and Azide free

4

(1 Review)

|

(0 Publication)

Rabbit Recombinant Monoclonal CD28 antibody. Carrier free. Suitable for IP, WB, ICC/IF, IHC-P and reacts with Human, Mouse, Rat samples.

View Alternative Names

CD28, T-cell-specific surface glycoprotein CD28, TP44

7 Images
Immunocytochemistry/ Immunofluorescence - Anti-CD28 antibody [EPR22076] - BSA and Azide free (AB243557)
  • ICC/IF

Supplier Data

Immunocytochemistry/ Immunofluorescence - Anti-CD28 antibody [EPR22076] - BSA and Azide free (AB243557)

Immunofluorescent analysis of 4% paraformaldehyde-fixed, 0.1% Triton X-100 permeabilized Jurkat (human T cell leukemia T lymphocyte) cells labeling CD28 with ab243228 at 1/50 dilution, followed by Goat Anti-Rabbit IgG H&L (Alexa Fluor® 488) (ab150077) secondary antibody at 1/1000 dilution (green). Confocal image showing membranous staining in Jurkat cells. The nuclear counter stain is DAPI (blue).

Counterstained with ab195889 Anti-alpha Tubulin antibody [DM1A] - Microtubule Marker (Alexa Fluor® 594) at a 1/200 dilution (red).

The negative control is the secondary antibody only.

This data was developed using the same antibody clone in a different buffer formulation containing PBS, BSA, glycerol, and sodium azide (ab243228).

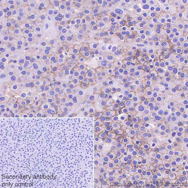
Immunohistochemistry (Formalin/PFA-fixed paraffin-embedded sections) - Anti-CD28 antibody [EPR22076] - BSA and Azide free (AB243557)
  • IHC-P

Supplier Data

Immunohistochemistry (Formalin/PFA-fixed paraffin-embedded sections) - Anti-CD28 antibody [EPR22076] - BSA and Azide free (AB243557)

Immunohistochemical analysis of paraffin-embedded human tonsil tissue labeling CD28 with ab243228 at 1/2000 dilution, followed by a ready to use Goat Anti-Rabbit IgG H&L (HRP). Membranous and cytoplasmic staining on subsets of immune cells of human tonsil (PMID : 7489738) is observed. Counterstained with hematoxylin.

Secondary antibody only control : Used PBS instead of primary antibody, secondary antibody is a ready to use Goat Anti-Rabbit IgG H&L (HRP).

Perform heat mediated antigen retrieval using ab93684 (Tris/EDTA buffer, pH 9.0).

This data was developed using the same antibody clone in a different buffer formulation containing PBS, BSA, glycerol, and sodium azide (ab243228).

Immunocytochemistry/ Immunofluorescence - Anti-CD28 antibody [EPR22076] - BSA and Azide free (AB243557)
  • ICC/IF

Supplier Data

Immunocytochemistry/ Immunofluorescence - Anti-CD28 antibody [EPR22076] - BSA and Azide free (AB243557)

Immunofluorescent analysis of 4% paraformaldehyde-fixed, 0.1% Triton X-100 permeabilized EL4.IL-2 (Mouse lymphoma T lymphocyte) cells labeling CD28 with ab243228 at 1/50 dilution, followed by Goat Anti-Rabbit IgG H&L (Alexa Fluor® 488) (ab150077) secondary antibody at 1/1000 dilution (green). Confocal image showing membranous staining in EL4.IL-2 cells. The nuclear counter stain is DAPI (blue).

Counterstained with ab195889 Anti-alpha Tubulin antibody [DM1A] - Microtubule Marker (Alexa Fluor® 594) at a 1/200 dilution (red).

The negative control is the secondary antibody only.

This data was developed using the same antibody clone in a different buffer formulation containing PBS, BSA, glycerol, and sodium azide (ab243228).

Immunohistochemistry (Formalin/PFA-fixed paraffin-embedded sections) - Anti-CD28 antibody [EPR22076] - BSA and Azide free (AB243557)
  • IHC-P

Supplier Data

Immunohistochemistry (Formalin/PFA-fixed paraffin-embedded sections) - Anti-CD28 antibody [EPR22076] - BSA and Azide free (AB243557)

Immunohistochemical analysis of paraffin-embedded human multiple myeloma tissue labeling CD28 with ab243228 at 1/2000 dilution, followed by a ready to use Goat Anti-Rabbit IgG H&L (HRP). Membranous staining on human Multiple Myeloma cells. (PMID : 7522634) is observed. Counterstained with hematoxylin.

Secondary antibody only control : Used PBS instead of primary antibody, secondary antibody is a ready to use Goat Anti-Rabbit IgG H&L (HRP).

Perform heat mediated antigen retrieval using ab93684 (Tris/EDTA buffer, pH 9.0).

This data was developed using the same antibody clone in a different buffer formulation containing PBS, BSA, glycerol, and sodium azide (ab243228).

Immunohistochemistry (Formalin/PFA-fixed paraffin-embedded sections) - Anti-CD28 antibody [EPR22076] - BSA and Azide free (AB243557)
  • IHC-P

Supplier Data

Immunohistochemistry (Formalin/PFA-fixed paraffin-embedded sections) - Anti-CD28 antibody [EPR22076] - BSA and Azide free (AB243557)

Immunohistochemical analysis of paraffin-embedded rat spleen tissue labeling CD28 with ab243228 at 1/2000 dilution, followed by a ready to use Goat Anti-Rabbit IgG H&L (HRP). Membranous and cytoplasmic staining on subsets of immune cells of rat spleen is observed. Counterstained with hematoxylin.

Secondary antibody only control : Used PBS instead of primary antibody, secondary antibody is a ready to use Goat Anti-Rabbit IgG H&L (HRP).

Perform heat mediated antigen retrieval using ab93684 (Tris/EDTA buffer, pH 9.0).

This data was developed using the same antibody clone in a different buffer formulation containing PBS, BSA, glycerol, and sodium azide (ab243228).

Immunohistochemistry (Formalin/PFA-fixed paraffin-embedded sections) - Anti-CD28 antibody [EPR22076] - BSA and Azide free (AB243557)
  • IHC-P

Supplier Data

Immunohistochemistry (Formalin/PFA-fixed paraffin-embedded sections) - Anti-CD28 antibody [EPR22076] - BSA and Azide free (AB243557)

Immunohistochemical analysis of paraffin-embedded mouse spleen tissue labeling CD28 with ab243228 at 1/2000 dilution, followed by a ready to use Goat Anti-Rabbit IgG H&L (HRP). Membranous and cytoplasmic staining on subsets of immune cells of mouse spleen is observed. Counterstained with hematoxylin.

Secondary antibody only control : Used PBS instead of primary antibody, secondary antibody is a ready to use Goat Anti-Rabbit IgG H&L (HRP).

Perform heat mediated antigen retrieval using ab93684 (Tris/EDTA buffer, pH 9.0).

This data was developed using the same antibody clone in a different buffer formulation containing PBS, BSA, glycerol, and sodium azide (ab243228).

Immunoprecipitation - Anti-CD28 antibody [EPR22076] - BSA and Azide free (AB243557)
  • IP

Supplier Data

Immunoprecipitation - Anti-CD28 antibody [EPR22076] - BSA and Azide free (AB243557)

CD28 was immunoprecipitated from 0.35 mg Jurkat (human T cell leukemia T lymphocyte) whole cell lysate with ab243228 at 1/30 dilution. Western blot was performed from the immunoprecipitate using ab243228 at 1/1000 dilution. VeriBlot for IP Detection Reagent (HRP) (ab131366), was used for detection at 1/5000 dilution.
Lane 1 : Jurkat whole cell lysate 10 μg (Input).
Lane 2 : ab243228 IP in Jurkat whole cell lysate.
Lane 3 : Rabbit monoclonal IgG (ab172730) instead of ab243228 in Jurkat whole cell lysate.
Blocking/Dilution buffer : 5% NFDM/TBST.
Exposure time : 30 seconds.

The target band ranging between 37kDa-48kDa is consistent with what has been described in the literature (PMID : 2825196). Minor band below 15kDa is likely to be an isoform.

This data was developed using the same antibody clone in a different buffer formulation containing PBS, BSA, glycerol, and sodium azide (ab243228).

All lanes:

Immunoprecipitation - Anti-CD28 antibody [EPR22076] (<a href='/en-us/products/primary-antibodies/cd28-antibody-epr22076-ab243228'>ab243228</a>)

Predicted band size: 25 kDa

false

Key facts

Host species

Rabbit

Clonality

Monoclonal

Clone number

EPR22076

Isotype

IgG

Carrier free

Yes

Reacts with

Mouse, Rat, Human

Applications

IP, IHC-P, ICC/IF, WB

applications

Immunogen

The exact immunogen used to generate this antibody is proprietary information.

Reactivity data

{ "title": "Reactivity Data", "filters": { "stats": ["", "Species", "Dilution Info", "Notes"], "tabs": { "all-applications": {"fullname" : "All Applications", "shortname": "All Applications"}, "IP" : {"fullname" : "Immunoprecipitation", "shortname":"IP"}, "FlowCyt" : {"fullname" : "Flow Cytometry", "shortname":"Flow Cyt"}, "WB" : {"fullname" : "Western blot", "shortname":"WB"}, "ICCIF" : {"fullname" : "Immunocytochemistry/ Immunofluorescence", "shortname":"ICC/IF"}, "IHCP" : {"fullname" : "Immunohistochemistry (Formalin/PFA-fixed paraffin-embedded sections)", "shortname":"IHC-P"} }, "product-promise": { "all": "all", "testedAndGuaranteed": "tested", "guaranteed": "expected", "predicted": "predicted", "notRecommended": "not-recommended" } }, "values": { "Human": { "IP-species-checked": "testedAndGuaranteed", "IP-species-dilution-info": "1/30", "IP-species-notes": "<p></p>", "FlowCyt-species-checked": "notRecommended", "FlowCyt-species-dilution-info": "", "FlowCyt-species-notes": "<p></p>", "WB-species-checked": "guaranteed", "WB-species-dilution-info": "", "WB-species-notes": "<p></p>", "ICCIF-species-checked": "testedAndGuaranteed", "ICCIF-species-dilution-info": "", "ICCIF-species-notes": "<p></p>", "IHCP-species-checked": "testedAndGuaranteed", "IHCP-species-dilution-info": "", "IHCP-species-notes": "<p></p>" }, "Mouse": { "IP-species-checked": "predicted", "IP-species-dilution-info": "", "IP-species-notes": "", "FlowCyt-species-checked": "notRecommended", "FlowCyt-species-dilution-info": "", "FlowCyt-species-notes": "<p></p>", "WB-species-checked": "guaranteed", "WB-species-dilution-info": "", "WB-species-notes": "<p></p>", "ICCIF-species-checked": "predicted", "ICCIF-species-dilution-info": "", "ICCIF-species-notes": "", "IHCP-species-checked": "predicted", "IHCP-species-dilution-info": "", "IHCP-species-notes": "" }, "Rat": { "IP-species-checked": "predicted", "IP-species-dilution-info": "", "IP-species-notes": "", "FlowCyt-species-checked": "notRecommended", "FlowCyt-species-dilution-info": "", "FlowCyt-species-notes": "<p></p>", "WB-species-checked": "guaranteed", "WB-species-dilution-info": "", "WB-species-notes": "<p></p>", "ICCIF-species-checked": "predicted", "ICCIF-species-dilution-info": "", "ICCIF-species-notes": "", "IHCP-species-checked": "predicted", "IHCP-species-dilution-info": "", "IHCP-species-notes": "" } } }

You may be interested in:

AB223866

Human MDC ELISA Kit

0

0 Reviews

View product

We recommend this product because it’s often used in the same experiment or related research.

We advise that you always check the datasheet to ensure it fits your experiments, or contact ourtechnical teamfor help.

Product details

ab243557 is the carrier-free version of ab243228.

Patented technology
Our RabMAb® technology is a patented hybridoma-based technology for making rabbit monoclonal antibodies. For details on our patents, please refer to RabMAb® patents.

What are the advantages of a recombinant monoclonal antibody?
This product is a recombinant monoclonal antibody, which offers several advantages including:

  • - High batch-to-batch consistency and reproducibility
  • - Improved sensitivity and specificity
  • - Long-term security of supply
  • - Animal-free batch production

For more information, read more on recombinant antibodies.

Conjugation ready
Our carrier-free antibodies are typically supplied in a PBS-only formulation, purified and free of BSA, sodium azide and glycerol. This conjugation-ready format is designed for use with fluorochromes, metal isotopes, oligonucleotides, and enzymes, which makes them ideal for antibody labelling, functional and cell-based assays, flow-based assays (e.g. mass cytometry) and Multiplex Imaging applications.

Use our conjugation kits for antibody conjugates that are ready-to-use in as little as 20 minutes with 1 minute hands-on-time and 100% antibody recovery: available for fluorescent dyes, HRP, biotin and gold.

Compatibility
This product is compatible with the Maxpar® Antibody Labeling Kit from Fluidigm, without the need for antibody preparation. Maxpar® is a trademark of Fluidigm Canada Inc.

Properties and storage information

Form
Liquid
Purification technique
Affinity purification Protein A
Storage buffer
pH: 7.2 - 7.4 Constituents: PBS
Shipped at conditions
Blue Ice
Appropriate short-term storage conditions
+4°C
Appropriate long-term storage conditions
+4°C
Storage information
Do Not Freeze

Supplementary information

This supplementary information is collated from multiple sources and compiled automatically.

CD28 also known as T-cell-specific surface glycoprotein CD28 or TP44 plays an important role as a co-stimulatory receptor on T cells. This glycoprotein has a molecular mass of about 44 kDa and is located mainly on the cell surface of T cells. CD28 expression also occurs on thymocytes and some B cells. It forms part of the immunoglobulin superfamily featuring in significant antibody interactions. Researchers often use anti-CD28 antibodies for various immunological assays including CD28 ELISA to study its function.
Biological function summary

CD28 co-stimulates T cells after antigen presentation. It enhances T cell proliferation survival and cytokine production. CD28 functions alongside the T cell receptor (TCR) complex mediating signals that promote full T cell activation. This interaction amplifies the immune response forming an important axis of immune system communication. CD28 interacts with its ligands B7-1 (CD80) and B7-2 (CD86) found on antigen-presenting cells (APCs) illustrating its role in immune system dynamics.

Pathways

CD28 is integral to the PI3K/Akt and MAPK/ERK signaling pathways. These pathways conduct signals critical for cellular growth and survival linking CD28 to downstream transcription factors. The interaction with another protein CTLA-4 acts as a regulatory balance for CD28 signaling preventing over-activation of T cells. This balance influences immune homeostasis and tolerance providing a framework for understanding costimulatory and inhibitory signaling.

CD28's role becomes evident in autoimmune diseases and transplant rejection. Abnormal CD28 signaling links to rheumatoid arthritis where inappropriate T cell activation occurs. Similarly CD28 activity contributes to organ transplant rejection by stimulating T cell-mediated responses against transplanted tissues. CTLA-4 through regulatory feedback can modify these effects providing therapeutic target strategies for managing such disorders. Efforts to modulate CD28 activity involve developing therapeutic agents such as anti-CD28 monoclonal antibodies.

Product protocols

For this product, it's our understanding that no specific protocols are required. You can visit:

Target data

Receptor that plays a role in T-cell activation, proliferation, survival and the maintenance of immune homeostasis (PubMed : 1650475, PubMed : 7568038). Functions not only as an amplifier of TCR signals but delivers unique signals that control intracellular biochemical events that alter the gene expression program of T-cells (PubMed : 24665965). Stimulation upon engagement of its cognate ligands CD80 or CD86 increases proliferation and expression of various cytokines in particular IL2 production in both CD4(+) and CD8(+) T-cell subsets (PubMed : 1650475, PubMed : 35397202). Mechanistically, ligation induces recruitment of protein kinase C-theta/PRKCQ and GRB2 leading to NF-kappa-B activation via both PI3K/Akt-dependent and -independent pathways (PubMed : 21964608, PubMed : 24665965, PubMed : 7568038). In conjunction with TCR/CD3 ligation and CD40L costimulation, enhances the production of IL4 and IL10 in T-cells (PubMed : 8617933).. Isoform 3. Enhances CD40L-mediated activation of NF-kappa-B and kinases MAPK8 and PAK2 in T-cells (PubMed : 15067037).
See full target information CD28

Product promise

We are committed to supporting your work with high-quality reagents, and we're here for you every step of the way. In the unlikely event that one of our products does not perform as expected, you're protected by our Product Promise.
For full details, please see our Terms & Conditions

Associated Products

Select an associated product type
Alternative Product
Primary Antibodies

AB213040

Anti-CD28 antibody [CB28] - BSA and Azide free

primary-antibodies

cd28-antibody-cb28-bsa-and-azide-free-ab213040

0

(0 reviews)

Alternative Product
Primary Antibodies

AB138404

Anti-CD28 (phospho Y218) antibody

primary-antibodies

cd28-phospho-y218-antibody-ab138404

0

(0 reviews)

Alternative Product
Primary Antibodies

AB254580

Anti-CD28 antibody

primary-antibodies

cd28-antibody-ab254580

0

(0 reviews)

Alternative Product
Primary Antibodies

AB157318

PerCP/Cy5.5® Anti-CD28 antibody [CD28.2]

primary-antibodies

percp-cy55-cd28-antibody-cd282-ab157318

0

(0 reviews)

Alternative Product
Primary Antibodies

AB134418

PE Anti-CD28 antibody [CD28.2]

primary-antibodies

pe-cd28-antibody-cd282-ab134418

0

(0 reviews)

Alternative Product
Primary Antibodies

AB234276

PE/Cy7® Anti-CD28 antibody [CD28.2]

primary-antibodies

pe-cy7-cd28-antibody-cd282-ab234276

0

(0 reviews)

Alternative Product
Primary Antibodies

AB88034

PerCP Anti-CD28 antibody [CD28.2]

primary-antibodies

percp-cd28-antibody-cd282-ab88034

0

(0 reviews)

Alternative Product
Primary Antibodies

AB267383

APC Anti-CD28 antibody [CD28.2]

primary-antibodies

apc-cd28-antibody-cd282-ab267383

0

(0 reviews)

Alternative Product
Primary Antibodies

AB25234

Anti-CD28 antibody [PV-1]

primary-antibodies

cd28-antibody-pv-1-ab25234

0

(0 reviews)

Alternative Product
Primary Antibodies

AB267385

Biotin Anti-CD28 antibody [CD28.2]

primary-antibodies

biotin-cd28-antibody-cd282-ab267385

0

(0 reviews)

Alternative Product
Primary Antibodies

AB24844

FITC Anti-CD28 antibody [PV-1]

primary-antibodies

fitc-cd28-antibody-pv-1-ab24844

0

(0 reviews)

Alternative Product
Primary Antibodies

AB85986

Anti-CD28 antibody [CD28.2] - Low endotoxin, Azide free

primary-antibodies

cd28-antibody-cd282-low-endotoxin-azide-free-ab85986

0

(0 reviews)

Alternative Product
Primary Antibodies

AB134472

FITC Anti-CD28 antibody [CD28.2]

primary-antibodies

fitc-cd28-antibody-cd282-ab134472

0

(0 reviews)

Alternative Product
Primary Antibodies

AB30387

PE Anti-CD28 antibody [YTH 913.12]

primary-antibodies

pe-cd28-antibody-yth-91312-ab30387

0

(0 reviews)

Alternative Product
Primary Antibodies

AB203084

Anti-CD28 antibody

primary-antibodies

cd28-antibody-ab203084

0

(0 reviews)

Alternative Version
Primary Antibodies

AB288330

Alexa Fluor® 647 Anti-CD28 antibody [EPR22076]

primary-antibodies

alexa-fluor-647-cd28-antibody-epr22076-ab288330

4

(1 reviews)

Please note: All products are 'FOR RESEARCH USE ONLY. NOT FOR USE IN DIAGNOSTIC OR THERAPEUTIC PROCEDURES'.

For licensing inquiries, please contact partnerships@abcam.com