JavaScript is disabled in your browser. Please enable JavaScript to view this website.
AB242154

Anti-CD28 antibody [EPR22311-17] - BSA and Azide free

Be the first to review this product! Submit a review

|

(1 Publication)

Rabbit Recombinant Monoclonal CD28 antibody. Carrier free. Suitable for IP, WB, IHC-P and reacts with Mouse samples. Cited in 1 publication.

View Alternative Names

CD28, T-cell-specific surface glycoprotein CD28, Cd28

2 Images
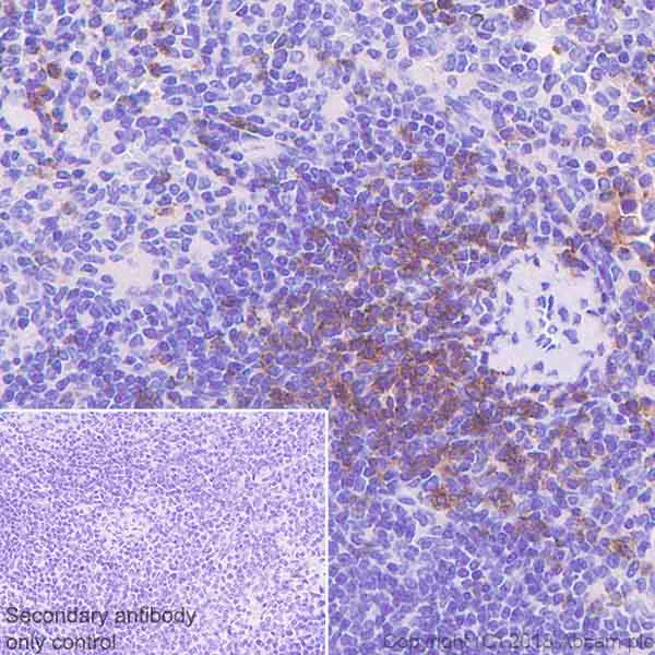
Immunohistochemistry (Formalin/PFA-fixed paraffin-embedded sections) - Anti-CD28 antibody [EPR22311-17] - BSA and Azide free (AB242154)
  • IHC-P

Supplier Data

Immunohistochemistry (Formalin/PFA-fixed paraffin-embedded sections) - Anti-CD28 antibody [EPR22311-17] - BSA and Azide free (AB242154)

Immunohistochemical analysis of paraffin-embedded mouse spleen tissue stained for CD28 using ab242124 at 1/500 dilution, followed by Goat Anti-Rabbit IgG H&L (HRP) Ready to use. Positive staining in periarterial lymphatic sheath of mouse spleen (PMID : 7489738). Counter stained with Hematoxylin.

Secondary antibody only control : Used PBS instead of primary antibody, secondary antibody is Goat Anti-Rabbit IgG H&L (HRP) Ready to use.

The section was incubated with ab242124 for 30 mins at 37℃. Immunostaining was performed on a Leica Biosystems BOND® RX instrument.

This data was developed using the same antibody clone in a different buffer formulation containing PBS, BSA, glycerol, and sodium azide (a242124).

Perform heat mediated antigen retrieval with Tris/EDTA buffer pH 9.0 before commencing with IHC staining protocol.

Immunoprecipitation - Anti-CD28 antibody [EPR22311-17] - BSA and Azide free (AB242154)
  • IP

Supplier Data

Immunoprecipitation - Anti-CD28 antibody [EPR22311-17] - BSA and Azide free (AB242154)

CD28 was immunoprecipitated from 0.35 mg EL4.IL-2 (mouse lymphoma T lymphocyte) whole cell lysate with ab242124 at 1/30 dilution. Western blot was performed on the immunoprecipitate using ab242124 at 1/1000 dilution. VeriBlot for IP Detection Reagent (HRP) (ab131366) was used for detection at 1/5000 dilution.

Lane 1 : EL4.IL-2 whole cell lysate 10 μg (input).
Lane 2 : ab242124 IP in EL4.IL-2 whole cell lysate.
Lane 3 : Rabbit monoclonal IgG (ab172730) instead of ab242124 in EL4.IL-2 whole cell lysate.

Blocking and dilution buffer and concentration : 5% NFDM/TBST.
Exposure time : 15 seconds.

This data was developed using the same antibody clone in a different buffer formulation containing PBS, BSA, glycerol, and sodium azide (ab242124).

All lanes:

Immunoprecipitation - Anti-CD28 antibody [EPR22311-17] (<a href='/en-us/products/primary-antibodies/cd28-antibody-epr22311-17-ab242124'>ab242124</a>)

Predicted band size: 25 kDa

false

Key facts

Host species

Rabbit

Clonality

Monoclonal

Clone number

EPR22311-17

Isotype

IgG

Carrier free

Yes

Reacts with

Mouse

Applications

IHC-P, IP, WB

applications

Immunogen

The exact immunogen used to generate this antibody is proprietary information.

Reactivity data

{ "title": "Reactivity Data", "filters": { "stats": ["", "Species", "Dilution Info", "Notes"], "tabs": { "all-applications": {"fullname" : "All Applications", "shortname": "All Applications"}, "IP" : {"fullname" : "Immunoprecipitation", "shortname":"IP"}, "FlowCyt" : {"fullname" : "Flow Cytometry", "shortname":"Flow Cyt"}, "WB" : {"fullname" : "Western blot", "shortname":"WB"}, "ICCIF" : {"fullname" : "Immunocytochemistry/ Immunofluorescence", "shortname":"ICC/IF"}, "IHCP" : {"fullname" : "Immunohistochemistry (Formalin/PFA-fixed paraffin-embedded sections)", "shortname":"IHC-P"} }, "product-promise": { "all": "all", "testedAndGuaranteed": "tested", "guaranteed": "expected", "predicted": "predicted", "notRecommended": "not-recommended" } }, "values": { "Mouse": { "IP-species-checked": "testedAndGuaranteed", "IP-species-dilution-info": "", "IP-species-notes": "<p></p>", "FlowCyt-species-checked": "notRecommended", "FlowCyt-species-dilution-info": "", "FlowCyt-species-notes": "<p></p>", "WB-species-checked": "guaranteed", "WB-species-dilution-info": "", "WB-species-notes": "<p></p>", "ICCIF-species-checked": "notRecommended", "ICCIF-species-dilution-info": "", "ICCIF-species-notes": "<p></p>", "IHCP-species-checked": "testedAndGuaranteed", "IHCP-species-dilution-info": "", "IHCP-species-notes": "<p>Perform heat mediated antigen retrieval with Tris-EDTA buffer (pH 9.0, epitope retrieval solution 2) for 10 mins.</p>" } } }

Product details

ab242154 is the carrier-free version of ab242124.

Patented technology
Our RabMAb® technology is a patented hybridoma-based technology for making rabbit monoclonal antibodies. For details on our patents, please refer to RabMAb® patents.

What are the advantages of a recombinant monoclonal antibody?
This product is a recombinant monoclonal antibody, which offers several advantages including:

  • - High batch-to-batch consistency and reproducibility
  • - Improved sensitivity and specificity
  • - Long-term security of supply
  • - Animal-free batch production

For more information, read more on recombinant antibodies.

Conjugation ready
Our carrier-free antibodies are typically supplied in a PBS-only formulation, purified and free of BSA, sodium azide and glycerol. This conjugation-ready format is designed for use with fluorochromes, metal isotopes, oligonucleotides, and enzymes, which makes them ideal for antibody labelling, functional and cell-based assays, flow-based assays (e.g. mass cytometry) and Multiplex Imaging applications.

Use our conjugation kits for antibody conjugates that are ready-to-use in as little as 20 minutes with 1 minute hands-on-time and 100% antibody recovery: available for fluorescent dyes, HRP, biotin and gold.

Compatibility
This product is compatible with the Maxpar® Antibody Labeling Kit from Fluidigm, without the need for antibody preparation. Maxpar® is a trademark of Fluidigm Canada Inc.

Properties and storage information

Form
Liquid
Purification technique
Affinity purification Protein A
Storage buffer
pH: 7.2 - 7.4 Constituents: PBS
Shipped at conditions
Blue Ice
Appropriate short-term storage conditions
+4°C
Appropriate long-term storage conditions
+4°C
Storage information
Do Not Freeze

Supplementary information

This supplementary information is collated from multiple sources and compiled automatically.

CD28 also known as T-cell-specific surface glycoprotein CD28 or TP44 plays an important role as a co-stimulatory receptor on T cells. This glycoprotein has a molecular mass of about 44 kDa and is located mainly on the cell surface of T cells. CD28 expression also occurs on thymocytes and some B cells. It forms part of the immunoglobulin superfamily featuring in significant antibody interactions. Researchers often use anti-CD28 antibodies for various immunological assays including CD28 ELISA to study its function.
Biological function summary

CD28 co-stimulates T cells after antigen presentation. It enhances T cell proliferation survival and cytokine production. CD28 functions alongside the T cell receptor (TCR) complex mediating signals that promote full T cell activation. This interaction amplifies the immune response forming an important axis of immune system communication. CD28 interacts with its ligands B7-1 (CD80) and B7-2 (CD86) found on antigen-presenting cells (APCs) illustrating its role in immune system dynamics.

Pathways

CD28 is integral to the PI3K/Akt and MAPK/ERK signaling pathways. These pathways conduct signals critical for cellular growth and survival linking CD28 to downstream transcription factors. The interaction with another protein CTLA-4 acts as a regulatory balance for CD28 signaling preventing over-activation of T cells. This balance influences immune homeostasis and tolerance providing a framework for understanding costimulatory and inhibitory signaling.

CD28's role becomes evident in autoimmune diseases and transplant rejection. Abnormal CD28 signaling links to rheumatoid arthritis where inappropriate T cell activation occurs. Similarly CD28 activity contributes to organ transplant rejection by stimulating T cell-mediated responses against transplanted tissues. CTLA-4 through regulatory feedback can modify these effects providing therapeutic target strategies for managing such disorders. Efforts to modulate CD28 activity involve developing therapeutic agents such as anti-CD28 monoclonal antibodies.

Product protocols

For this product, it's our understanding that no specific protocols are required. You can visit:

Target data

Receptor that plays a role in T-cell activation, proliferation, survival and the maintenance of immune homeostasis (PubMed : 7688139). Functions not only as an amplifier of TCR signals but delivers unique signals that control intracellular biochemical events that alter the gene expression program of T-cells. Stimulation upon engagement of its cognate ligands CD80 or CD86 increases proliferation and expression of various cytokines in particular IL2 production in both CD4(+) and CD8(+) T-cell subsets. Mechanistically, ligation induces recruitment of protein kinase C-theta/PRKCQ and GRB2 leading to NF-kappa-B activation via both PI3K/Akt-dependent and -independent pathways. In conjunction with TCR/CD3 ligation and CD40L costimulation, enhances the production of IL4 and IL10 in T-cells.
See full target information Cd28

Publications (1)

Recent publications for all applications. Explore the full list and refine your search

Journal of virology 99:e0117324 PubMed39692477

2024

Tannic acid reactivates HIV-1 latency by mediating CBX4 degradation.

Applications

Unspecified application

Species

Unspecified reactive species

Cancan Chen,Zhihan Zhong,Wanying Zhang,Baijin Xia,Liyang Wu,Liting Liang,Yiwen Zhang,Hui Zhang,Xu Zhang,Ting Pan,Linghua Li,Bingfeng Liu
View all publications

Product promise

We are committed to supporting your work with high-quality reagents, and we're here for you every step of the way. In the unlikely event that one of our products does not perform as expected, you're protected by our Product Promise.
For full details, please see our Terms & Conditions

Please note: All products are 'FOR RESEARCH USE ONLY. NOT FOR USE IN DIAGNOSTIC OR THERAPEUTIC PROCEDURES'.

For licensing inquiries, please contact partnerships@abcam.com