JavaScript is disabled in your browser. Please enable JavaScript to view this website.
AB243873

Anti-CD3 epsilon antibody [BL-298-5D12]

Be the first to review this product! Submit a review

|

(0 Publication)

Rabbit Recombinant Monoclonal CD3E antibody. Suitable for IHC-P, IP, Flow Cyt, WB and reacts with Human samples. Immunogen corresponding to Synthetic Peptide within Human CD3E aa 150 to C-terminus.

View Alternative Names

CD3e, T3E, CD3E, T-cell surface glycoprotein CD3 epsilon chain, T-cell surface antigen T3/Leu-4 epsilon chain

7 Images
Flow Cytometry - Anti-CD3 epsilon antibody [BL-298-5D12] (AB243873)
  • Flow Cyt

Supplier Data

Flow Cytometry - Anti-CD3 epsilon antibody [BL-298-5D12] (AB243873)

Flow cytometric analysis of Jurkat cells incubated with 1 μL ab243873 (red shaded) or isotype control (unshaded). Cells were fixed with 4% formaldehyde, and permeabilized with 90% methanol. DyLight® 650-conjugated goat anti-rabbit IgG was used as the secondary antibody.

Immunoprecipitation - Anti-CD3 epsilon antibody [BL-298-5D12] (AB243873)
  • IP

Supplier Data

Immunoprecipitation - Anti-CD3 epsilon antibody [BL-298-5D12] (AB243873)

CD3E was immunoprecipitated from 1 mg Jurkat whole cell lysate with ab243873 at 20 μL per reaction. Western blot was performed on the immunoprecipitate using ab243873 at 1/1000 dilution.

Detection : Chemiluminescence.

All lanes:

Immunoprecipitation - Anti-CD3 epsilon antibody [BL-298-5D12] (ab243873) at 1/1000 dilution

Lane 1:

ab243873 IP in Jurkat (Human T cell leukemia cell line from peripheral blood) whole cell lysate

Lane 2:

Contol IgG in Jurkat (Human T cell leukemia cell line from peripheral blood) whole cell lysate.

Predicted band size: 23 kDa

false

Exposure time: 3s

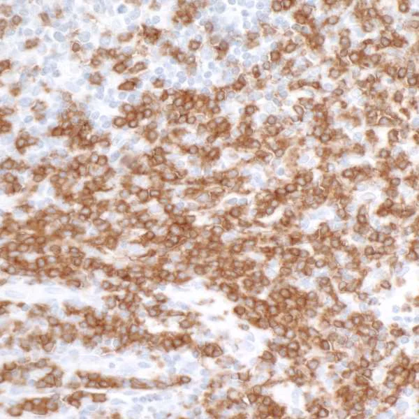
Immunohistochemistry (Formalin/PFA-fixed paraffin-embedded sections) - Anti-CD3 epsilon antibody [BL-298-5D12] (AB243873)
  • IHC-P

Supplier Data

Immunohistochemistry (Formalin/PFA-fixed paraffin-embedded sections) - Anti-CD3 epsilon antibody [BL-298-5D12] (AB243873)

Formalin-fixed, paraffin-embedded human tonsil tissue stained for CD3E using ab243873 in immunohistochemical analysis. A HRP-conjugated goat anti-rabbit IgG was used as the secondary. DAB staining.

Western blot - Anti-CD3 epsilon antibody [BL-298-5D12] (AB243873)
  • WB

Supplier Data

Western blot - Anti-CD3 epsilon antibody [BL-298-5D12] (AB243873)

Detection : chemiluminescence

All lanes:

Western blot - Anti-CD3 epsilon antibody [BL-298-5D12] (ab243873) at 1/1000 dilution

Lane 1:

Jurkat (Human T cell leukemia cell line from peripheral blood) whole cell lysate at 50 µg

Lane 2:

K562 (Human chronic myelogenous leukemia lymphoblast cell line ) whole cell lysate at 50 µg

Lane 3:

SK-MEL-28 whole cell lysate at 50 µg

Lane 4:

MOLT-4 (Human lymphoblastic leukemia cell line) whole cell lysate at 50 µg

Lane 5:

HeLa (Human epithelial cell line from cervix adenocarcinoma) whole cell lysate at 50 µg

Secondary

All lanes:

HRP-conjugated goat anti-rabbit IgG

Predicted band size: 23 kDa

false

Exposure time: 3s

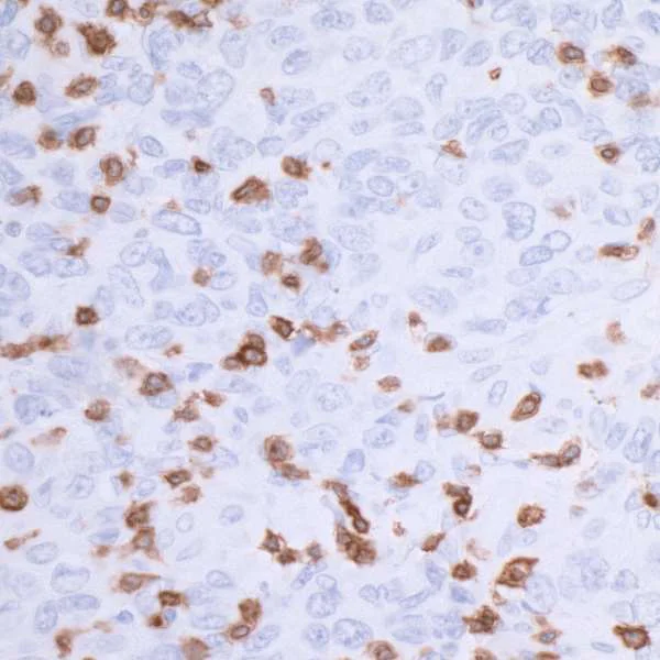
Immunohistochemistry (Formalin/PFA-fixed paraffin-embedded sections) - Anti-CD3 epsilon antibody [BL-298-5D12] (AB243873)
  • IHC-P

Supplier Data

Immunohistochemistry (Formalin/PFA-fixed paraffin-embedded sections) - Anti-CD3 epsilon antibody [BL-298-5D12] (AB243873)

Formalin-fixed, paraffin-embedded human breast carcinoma stained for CD3E using ab243873 in immunohistochemical analysis. A HRP-conjugated goat anti-rabbit IgG was used as the secondary. DAB staining.

Immunohistochemistry (Formalin/PFA-fixed paraffin-embedded sections) - Anti-CD3 epsilon antibody [BL-298-5D12] (AB243873)
  • IHC-P

Supplier Data

Immunohistochemistry (Formalin/PFA-fixed paraffin-embedded sections) - Anti-CD3 epsilon antibody [BL-298-5D12] (AB243873)

Formalin-fixed, paraffin-embedded human appendix stained for CD3E using ab243873 at 1/250 dilution in immunohistochemical analysis. A DyLight® 594-conjugated goat anti-rabbit IgG was used as the secondary.

Immunohistochemistry (Formalin/PFA-fixed paraffin-embedded sections) - Anti-CD3 epsilon antibody [BL-298-5D12] (AB243873)
  • IHC-P

Supplier Data

Immunohistochemistry (Formalin/PFA-fixed paraffin-embedded sections) - Anti-CD3 epsilon antibody [BL-298-5D12] (AB243873)

Formalin-fixed, paraffin-embedded human lung carcinoma stained for CD3E using ab243873 at 1/250 dilution in immunohistochemical analysis. A HRP-conjugated goat anti-rabbit IgG was used as the secondary. Opal™ staining.

Key facts

Host species

Rabbit

Clonality

Monoclonal

Clone number

BL-298-5D12

Isotype

IgG

Carrier free

No

Reacts with

Human

Applications

Flow Cyt, IP, WB, IHC-P

applications

Immunogen

Synthetic Peptide within Human CD3E aa 150 to C-terminus. The exact immunogen used to generate this antibody is proprietary information.

P07766

Reactivity data

{ "title": "Reactivity Data", "filters": { "stats": ["", "Species", "Dilution Info", "Notes"], "tabs": { "all-applications": {"fullname" : "All Applications", "shortname": "All Applications"}, "IHCP" : {"fullname" : "Immunohistochemistry (Formalin/PFA-fixed paraffin-embedded sections)", "shortname":"IHC-P"}, "IP" : {"fullname" : "Immunoprecipitation", "shortname":"IP"}, "FlowCyt" : {"fullname" : "Flow Cytometry", "shortname":"Flow Cyt"}, "WB" : {"fullname" : "Western blot", "shortname":"WB"} }, "product-promise": { "all": "all", "testedAndGuaranteed": "tested", "guaranteed": "expected", "predicted": "predicted", "notRecommended": "not-recommended" } }, "values": { "Human": { "IHCP-species-checked": "testedAndGuaranteed", "IHCP-species-dilution-info": "1/100 - 1/500", "IHCP-species-notes": "<p></p>", "IP-species-checked": "testedAndGuaranteed", "IP-species-dilution-info": "", "IP-species-notes": "<p>Use 20μl/mg lysate.</p>", "FlowCyt-species-checked": "testedAndGuaranteed", "FlowCyt-species-dilution-info": "1 µL for 10^6 Cells", "FlowCyt-species-notes": "<p></p>", "WB-species-checked": "testedAndGuaranteed", "WB-species-dilution-info": "1/1000", "WB-species-notes": "<p></p>" } } }

You may be interested in:

AB277708

Human CD3 Epsilon ELISA Kit

0

0 Reviews

View product

We recommend this product because it’s often used in the same experiment or related research.

We advise that you always check the datasheet to ensure it fits your experiments, or contact ourtechnical teamfor help.

Product details

This product is sold under License from Bethyl Laboratories, Inc.

Properties and storage information

Form
Liquid
Purification notes
Recombinant antibody was purified from cell culture supernatant.
Storage buffer
pH: 7.8 - 8.6 Preservative: 0.09% Sodium azide Constituents: 98% Borate buffered saline, 0.1% BSA
Shipped at conditions
Blue Ice
Appropriate short-term storage duration
1-2 weeks
Appropriate short-term storage conditions
+4°C
Appropriate long-term storage conditions
-20°C
Aliquoting information
Upon delivery aliquot
Storage information
Avoid freeze / thaw cycle

Product protocols

For this product, it's our understanding that no specific protocols are required. You can visit:

Target data

Part of the TCR-CD3 complex present on T-lymphocyte cell surface that plays an essential role in adaptive immune response. When antigen presenting cells (APCs) activate T-cell receptor (TCR), TCR-mediated signals are transmitted across the cell membrane by the CD3 chains CD3D, CD3E, CD3G and CD3Z. All CD3 chains contain immunoreceptor tyrosine-based activation motifs (ITAMs) in their cytoplasmic domain. Upon TCR engagement, these motifs become phosphorylated by Src family protein tyrosine kinases LCK and FYN, resulting in the activation of downstream signaling pathways (PubMed : 2470098). In addition of this role of signal transduction in T-cell activation, CD3E plays an essential role in correct T-cell development. Initiates the TCR-CD3 complex assembly by forming the two heterodimers CD3D/CD3E and CD3G/CD3E. Participates also in internalization and cell surface down-regulation of TCR-CD3 complexes via endocytosis sequences present in CD3E cytosolic region (PubMed : 10384095, PubMed : 26507128). In addition to its role as a TCR coreceptor, it serves as a receptor for ITPRIPL1. Ligand recognition inhibits T-cell activation by promoting interaction with NCK1, which prevents CD3E-ZAP70 interaction and blocks the ERK-NFkB signaling cascade and calcium influx (PubMed : 38614099).
See full target information CD3E

Product promise

We are committed to supporting your work with high-quality reagents, and we're here for you every step of the way. In the unlikely event that one of our products does not perform as expected, you're protected by our Product Promise.
For full details, please see our Terms & Conditions

Associated Products

Select an associated product type
Alternative Product
Primary Antibodies

AB52959

Anti-CD3 epsilon antibody [EP449E]

primary-antibodies

cd3-epsilon-antibody-ep449e-ab52959

5

(3 reviews)

Alternative Product
Primary Antibodies

AB231830

Anti-CD3 epsilon antibody [EPR20752] - BSA and Azide free

primary-antibodies

cd3-epsilon-antibody-epr20752-bsa-and-azide-free-ab231830

0

(0 reviews)

Alternative Product
Primary Antibodies

AB215212

Anti-CD3 epsilon antibody [EPR20752]

primary-antibodies

cd3-epsilon-antibody-epr20752-ab215212

0

(0 reviews)

Alternative Product
Primary Antibodies

AB231775

Anti-CD3 epsilon antibody [EPR22667-12]

primary-antibodies

cd3-epsilon-antibody-epr22667-12-ab231775

0

(0 reviews)

Alternative Product
Primary Antibodies

AB32186

Anti-CD3 epsilon antibody [E272]

primary-antibodies

cd3-epsilon-antibody-e272-ab32186

0

(0 reviews)

Alternative Product
Primary Antibodies

AB213608

Anti-CD3 epsilon antibody [EP449E] - Low endotoxin, Azide free

primary-antibodies

cd3-epsilon-antibody-ep449e-low-endotoxin-azide-free-ab213608

0

(0 reviews)

Alternative Product
Primary Antibodies

AB133628

Anti-CD3 epsilon antibody [EPR5361(2)]

primary-antibodies

cd3-epsilon-antibody-epr53612-ab133628

0

(0 reviews)

Please note: All products are 'FOR RESEARCH USE ONLY. NOT FOR USE IN DIAGNOSTIC OR THERAPEUTIC PROCEDURES'.

For licensing inquiries, please contact partnerships@abcam.com