JavaScript is disabled in your browser. Please enable JavaScript to view this website.
AB251607

Anti-CD3 epsilon antibody [CAL57] - BSA and Azide free

  • BOND RX™ Validated
  • RabMAb
  • Recombinant
  • Advanced Validation
  • What is this?

Be the first to review this product! Submit a review

|

(2 Publications)

Rabbit Recombinant Monoclonal CD3E antibody. Carrier free. Suitable for mIHC, IHC-P, IP, WB, IHC-Fr, Flow Cyt (Intra) and reacts with Mouse, Rat, Human samples. Cited in 2 publications.

View Alternative Names

CD3e, T3E, CD3E, T-cell surface glycoprotein CD3 epsilon chain, T-cell surface antigen T3/Leu-4 epsilon chain

29 Images
Flow Cytometry (Intracellular) - Anti-CD3 epsilon antibody [CAL57] - BSA and Azide free (AB251607)
  • Flow Cyt (Intra)

Lab

Flow Cytometry (Intracellular) - Anti-CD3 epsilon antibody [CAL57] - BSA and Azide free (AB251607)

Intracellular flow cytometric analysis of 2% paraformaldehyde-fixed, 0.1% Tween-20 permeabilized human peripheral blood mononuclear cell (PBMC) labeling CD3 epsilon with ab237721 at 1/500 (right panel) compared with a Rabbit monoclonal IgG (ab172730) (left panel). Goat anti rabbit IgG (Alexa Fluor® 488, ab150097), at 1/5000 dilution was used as the secondary antibody.

Cells were surface stained with anti-CD3 conjugated to Alexa Fluor® 647. Then fixed with 2% PFA for 10min and intracellularly stained with rabbit IgG (Left) or ab237721 (Right). They recognize the same cell population.

This data was developed using the same antibody clone in a different buffer formulation containing PBS and sodium azide (ab237721).

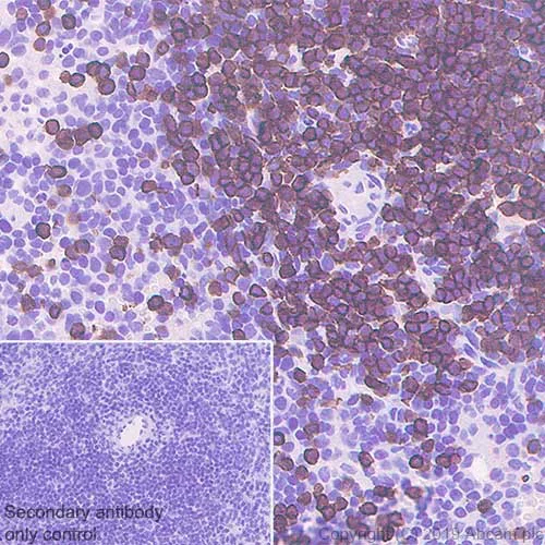
Immunohistochemistry (Formalin/PFA-fixed paraffin-embedded sections) - Anti-CD3 epsilon antibody [CAL57] - BSA and Azide free (AB251607)
  • IHC-P

Lab

Immunohistochemistry (Formalin/PFA-fixed paraffin-embedded sections) - Anti-CD3 epsilon antibody [CAL57] - BSA and Azide free (AB251607)

Immunohistochemical analysis of paraffin-embedded human tonsil tissue labeling CD3 epsilon with ab237721 at 1/2000 dilution, followed by ready to use Rabbit specific IHC polymer detection kit HRP/DAB (ab209101). Positive staining on the T lymphocytes in the human tonsil. The section was incubated with ab237721 for 30 mins at room temperature. The immunostaining was performed on a Leica Biosystems BOND® RX instrument. Counterstained with hematoxylin. Secondary antibody only control : Used PBS instead of primary antibody, secondary antibody is ready to use Rabbit specific IHC polymer detection kit HRP/DAB (ab209101). Heat mediated antigen retrieval with sodium citrate buffer (pH 6.0, epitope retrieval solution 1) for 20 mins.

This data was developed using the same antibody clone in a different buffer formulation containing PBS and sodium azide (ab237721).

Immunohistochemistry (Formalin/PFA-fixed paraffin-embedded sections) - Anti-CD3 epsilon antibody [CAL57] - BSA and Azide free (AB251607)
  • IHC-P

Lab

Immunohistochemistry (Formalin/PFA-fixed paraffin-embedded sections) - Anti-CD3 epsilon antibody [CAL57] - BSA and Azide free (AB251607)

Immunohistochemical analysis of paraffin-embedded human colon tissue labeling CD3 epsilon with ab237721 at 1/2000 dilution, followed by ready to use Rabbit specific IHC polymer detection kit HRP/DAB (ab209101). Positive staining on the T lymphocytes in the human colon. The section was incubated with ab237721 for 30 mins at room temperature. The immunostaining was performed on a Leica Biosystems BOND® RX instrument. Counterstained with hematoxylin. Secondary antibody only control : Used PBS instead of primary antibody, secondary antibody is ready to use Rabbit specific IHC polymer detection kit HRP/DAB (ab209101). Heat mediated antigen retrieval with sodium citrate buffer (pH 6.0, epitope retrieval solution 1) for 20 mins.

This data was developed using the same antibody clone in a different buffer formulation containing PBS and sodium azide (ab237721).

Immunohistochemistry (Frozen sections) - Anti-CD3 epsilon antibody [CAL57] - BSA and Azide free (AB251607)
  • IHC-Fr

Lab

Immunohistochemistry (Frozen sections) - Anti-CD3 epsilon antibody [CAL57] - BSA and Azide free (AB251607)

Immunohistochemical analysis of 4% PFA-fixed, 0.2% Triton X-100 permeabilized frozen mouse thymus tissue labeling CD3 epsilon with ab237721 at 1/500 dilution (green), followed by ab150077 AlexaFluor®488 Goat anti-Rabbit secondary at a 1/1,000 dilution. Positive staining on T cell surface (PMID : 8490660) is observed. Counterstained with DAPI (blue). Secondary antibody only control : Used PBS instead of primary antibody, secondary antibody is ab150077 AlexaFluor®488 Goat anti-Rabbit used at a 1/1,000 dilution. Heat mediated antigen retrieval using sodium citrate buffer (10 mM citrate pH 6.0 and 0.05% Tween-20).

This data was developed using the same antibody clone in a different buffer formulation containing PBS and sodium azide (ab237721).

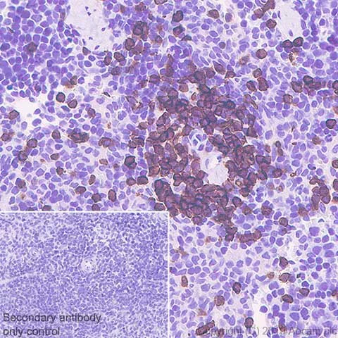
Immunohistochemistry (Formalin/PFA-fixed paraffin-embedded sections) - Anti-CD3 epsilon antibody [CAL57] - BSA and Azide free (AB251607)
  • IHC-P

Unknown

Immunohistochemistry (Formalin/PFA-fixed paraffin-embedded sections) - Anti-CD3 epsilon antibody [CAL57] - BSA and Azide free (AB251607)

Immunohistochemical analysis of paraffin-embedded mouse spleen tissue labeling CD3 epsilon with ab237721 at 1/2000 dilution, followed by ready to use Rabbit specific IHC polymer detection kit HRP/DAB (ab209101). Positive staining on the T lymphocytes in the mouse spleen. The section was incubated with ab237721 for 30 mins at room temperature. The immunostaining was performed on a Leica Biosystems BOND® RX instrument. Counterstained with hematoxylin. Secondary antibody only control : Used PBS instead of primary antibody, secondary antibody is ready to use Rabbit specific IHC polymer detection kit HRP/DAB (ab209101). Heat mediated antigen retrieval with sodium citrate buffer (pH 6.0, epitope retrieval solution 1) for 20 mins.

This data was developed using the same antibody clone in a different buffer formulation containing PBS and sodium azide (ab237721).

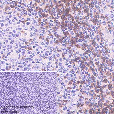
Immunohistochemistry (Formalin/PFA-fixed paraffin-embedded sections) - Anti-CD3 epsilon antibody [CAL57] - BSA and Azide free (AB251607)
  • IHC-P

Lab

Immunohistochemistry (Formalin/PFA-fixed paraffin-embedded sections) - Anti-CD3 epsilon antibody [CAL57] - BSA and Azide free (AB251607)

Immunohistochemical analysis of paraffin-embedded rat spleen tissue labeling CD3 epsilon with ab237721 at 1/2000 dilution, followed by ready to use Rabbit specific IHC polymer detection kit HRP/DAB (ab209101). Positive staining on the T lymphocytes in the rat spleen. The section was incubated with ab237721 for 30 mins at room temperature. The immunostaining was performed on a Leica Biosystems BOND® RX instrument. Counterstained with hematoxylin. Secondary antibody only control : Used PBS instead of primary antibody, secondary antibody is ready to use Rabbit specific IHC polymer detection kit HRP/DAB (ab209101). Heat mediated antigen retrieval with sodium citrate buffer (pH 6.0, epitope retrieval solution 1) for 20 mins.

This data was developed using the same antibody clone in a different buffer formulation containing PBS and sodium azide (ab237721).

Immunohistochemistry (Formalin/PFA-fixed paraffin-embedded sections) - Anti-CD3 epsilon antibody [CAL57] - BSA and Azide free (AB251607)
  • IHC-P

Supplier Data

Immunohistochemistry (Formalin/PFA-fixed paraffin-embedded sections) - Anti-CD3 epsilon antibody [CAL57] - BSA and Azide free (AB251607)

Formalin-fixed, paraffin-embedded mouse spleen tissue stained for CD3 epsilon using ab237721 at 0.5 μg/ml in immunohistochemical analysis.

This data was developed using the same antibody clone in a different buffer formulation containing PBS and sodium azide (ab237721).

Multiplex immunohistochemistry - Anti-CD3 epsilon antibody [CAL57] - BSA and Azide free (AB251607)
  • mIHC

Lab

Multiplex immunohistochemistry - Anti-CD3 epsilon antibody [CAL57] - BSA and Azide free (AB251607)

This data was developed using the same antibody clone in a different buffer formulation ( ab237721).

Multiplex immunohistochemistry analysis of formalin/PFA-fixed paraffin-embedded Mouse lymph node tissue staining Neutrophil Elastase with ab310335 at a 1/500 ( 1.076 µg/ml) dilution, CD19 with ab245235 at a 1/1000 ( 0.444 µg/ml) dilution and CD3 with ab237721 at a 1/2000 ( 0.264 µg/ml) dilution followed by a ready to use secondary antibody Opal Polymer HRP Ms + Rb.

Panel A : merged staining of anti-Neutrophil Elastase (magenta; Opal™690), anti-CD19 (green; Opal™520) and anti-CD3 (gray; Opal™690) on mouse spleen.Panel B : anti-Neutrophil Elastase staining neutrophils in mouse spleen.
Panel C : anti-CD19 staining B lymphocytes in mouse spleen.
Panel D : anti-CD3 staining T lymphocytes in mouse spleen.
Nuclear DNA was labeled with DAPI (shown in blue).

The section was incubated in three rounds of staining : in the order of ab310335, ab245235 and ab237721 for 30 mins at room temperature. Each round was followed by a separate fluorescent tyramide signal amplification system.

The immunostaining was performed on a Leica Biosystems BOND® RX instrument with an Opal™ 4-color kit. Image acquisition was performed with Leica SP8 confocal microscope.

Heat mediated antigen retrieval with Tris-EDTA buffer (pH 9.0, epitope retrieval solution2) for 20 mins

Multiplex immunohistochemistry - Anti-CD3 epsilon antibody [CAL57] - BSA and Azide free (AB251607)
  • mIHC

Lab

Multiplex immunohistochemistry - Anti-CD3 epsilon antibody [CAL57] - BSA and Azide free (AB251607)

This data was developed using ab237721, the same antibody clone in a different buffer formulation.

Multiplex immunohistochemistry analysis of formalin/PFA-fixed paraffin-embedded mouse colon tissue staining Glycam1 with ab324912 at a 1/4000 ( 0.126 μg/ml) dilution, ab237721 anti-CD3 used at 1/2000 dilution ( 0.26 μg/ml) and ab315346 anti-CD37 used at 1/2000 dilution (0.257 μg/ml).

Panel A : anti-Glycam1 (green; Opal™520), anti-CD3 (magenta; Opal™690), anti-CD37 (gray; Opal™570) on mouse colon.

Panel B : anti-Glycam1 staining HEV (highly endothelial venules) in mouse colon.

Panel C : anti-CD3 staining T lymphocytes in mouse colon.

Panel D : anti-CD37 staining B lymphocytes in mouse colon.

Nuclear DNA was labeled with DAPI (shown in blue).

The section was incubated in three rounds of staining : in the order of ab324912, ab237721 and ab315346 for 30 mins at room temperature. Each round was followed by a separate fluorescent tyramide signal amplification system.

The immunostaining was performed on a Leica Biosystems BOND® RX instrument with an Opal™ 4-color kit. Image acquisition was performed with Leica SP8 confocal microscope.

Heat mediated antigen retrieval was performed with Tris-EDTA buffer (pH 9.0, Epitope Retrieval Solution2) for 20 mins.

Multiplex immunohistochemistry - Anti-CD3 epsilon antibody [CAL57] - BSA and Azide free (AB251607)
  • mIHC

Lab

Multiplex immunohistochemistry - Anti-CD3 epsilon antibody [CAL57] - BSA and Azide free (AB251607)

This data was developed using ab237721, the same antibody clone in a different buffer formulation.

Multiplex immunohistochemistry analysis of formalin/PFA-fixed paraffin-embedded Mouse lymph node staining of NCR1 with ab233558 at a 1/500 (1.062 µg/ml) dilution, CD19 with ab245235 at 1/1000 (0.444 µg/ml) dilution and CD3 with ab237721 at 1/2000 ( 0.264 µg/ml) dilution.

Panel A : merged staining of anti-NCR1 (magenta; Opal™690), anti-CD19 (green; Opal™520) and anti-CD3 (gray; Opal™570) on mouse lymph node.
Panel B : anti-NCR1 staining natural killer cells in mouse lymph node.
Panel C : anti-CD19 staining B lymphocytes in mouse lymph node..
Panel D : anti-CD3 staining T lymphocytes in mouse lymph node.
Nuclear DNA was labelled with DAPI (shown in blue).

The section was incubated in three rounds of staining : in the order of ab233558, ab245235 and ab237721 for 30 mins at room temperature. Each round was followed by a separate fluorescent tyramide signal amplification system.

The immunostaining was performed on a Leica Biosystems BOND® RX instrument with an Opal™ 4-color kit. Image acquisition was performed with Leica SP8 confocal microscope.

Heat mediated antigen retrieval with Tris-EDTA buffer (pH 9.0 epitope retrieval solution2) for 20 mins.

Multiplex immunohistochemistry - Anti-CD3 epsilon antibody [CAL57] - BSA and Azide free (AB251607)
  • mIHC

Lab

Multiplex immunohistochemistry - Anti-CD3 epsilon antibody [CAL57] - BSA and Azide free (AB251607)

This data was developed using ab237721, the same antibody clone in a different buffer formulation.

Multiplex immunohistochemistry analysis of formalin/PFA-fixed paraffin-embedded mouse lymph node tissue staining Glycam1 with ab324912 at a 1/4000 ( 0.126 μg/ml) dilution, ab237721 anti-CD3 used at 1/2000 dilution ( 0.26 μg/ml) and ab315346 anti-CD37 used at 1/2000 dilution (0.257 μg/ml).

Panel A : anti-Glycam1 (green; Opal™520), anti-CD3 (magenta; Opal™690), anti-CD37 (gray; Opal™570) on mouse lymph node.

Panel B : anti-Glycam1 staining HEV (highly endothelial venules) in mouse lymph node.

Panel C : anti-CD3 staining T lymphocytes in mouse lymph node.

Panel D : anti-CD37 staining B lymphocytes in mouse lymph node.

Nuclear DNA was labeled with DAPI (shown in blue).

The section was incubated in three rounds of staining : in the order of ab324912, ab237721 and ab315346 for 30 mins at room temperature. Each round was followed by a separate fluorescent tyramide signal amplification system.

The immunostaining was performed on a Leica Biosystems BOND® RX instrument with an Opal™ 4-color kit. Image acquisition was performed with Leica SP8 confocal microscope.

Heat mediated antigen retrieval was performed with Tris-EDTA buffer (pH 9.0, Epitope Retrieval Solution2) for 20 mins.

Flow Cytometry (Intracellular) - Anti-CD3 epsilon antibody [CAL57] - BSA and Azide free (AB251607)
  • Flow Cyt (Intra)

Lab

Flow Cytometry (Intracellular) - Anti-CD3 epsilon antibody [CAL57] - BSA and Azide free (AB251607)

Intracellular flow cytometric analysis of 2% paraformaldehyde-fixed, 0.1% Tween-20 permeabilized mouse splenocytes labeling CD3 epsilon with ab237721 at 1/500 (right panel) compared with a Rabbit monoclonal IgG (ab172730) (left panel). Goat anti rabbit IgG (Alexa Fluor® 488, ab150077), at 1/2000 dilution was used as the secondary antibody.

Cells were surface stained with anti-CD3 conjugated to Alexa Fluor® 647. Then fixed with 2% PFA for 10min and intracellularly stained with rabbit IgG (Left) or ab237721 (Right). They recognize the same cell population.

This data was developed using the same antibody clone in a different buffer formulation containing PBS and sodium azide (ab237721).

Multiplex immunohistochemistry - Anti-CD3 epsilon antibody [CAL57] - BSA and Azide free (AB251607)
  • mIHC

Lab

Multiplex immunohistochemistry - Anti-CD3 epsilon antibody [CAL57] - BSA and Azide free (AB251607)

This data was developed using ab237721, the same antibody clone in a different buffer formulation.

Immunohistochemistry analysis of (Formalin/PFA-fixed paraffin-embedded sections) Rat lymph node tissue labelling MAdCAM1 with ab309487 at 1 : 100 dilution (B), CD3 epsilon with ab237721at 1 : 2000 dilution (C) and CD20 with ab64088 at 1 : 100 dilution (D). Opal Polymer HRP Ms + Rb was used as a secondary antibody, and DAPI was used for a nuclear counter stain. Heat mediated antigen retrieval with Tris-EDTA buffer (pH 9.0, epitope retrieval solution2) for 20 mins.

Panel A : merged staining of anti-MAdCAM (green; Opal™520), anti-CD3 (gray; Opal™690) and anti-CD20 (magenta; Opal™570) on rat lymph node.

Panel B : anti-MAdCAM staining high endothelial venules in rat lymph node.

Panel C : ant-CD3 staining B lymphocytes in rat lymph node.

Panel D : ant-CD20 staining B lymphocytes in rat lymph node.

Nuclear DNA was labeled with DAPI (shown in blue).

The section was incubated in three rounds of staining : in the order of ab309487, ab237721 and ab64088 for 30 mins at room temperature. Each round was followed by a separate fluorescent tyramide signal amplification system.

The immunostaining was performed on a Leica Biosystems BOND® RX instrument with an Opal™ 4-color kit. Image acquisition was performed with Leica SP8 confocal microscope.

Multiplex immunohistochemistry - Anti-CD3 epsilon antibody [CAL57] - BSA and Azide free (AB251607)
  • mIHC

Lab

Multiplex immunohistochemistry - Anti-CD3 epsilon antibody [CAL57] - BSA and Azide free (AB251607)

This data was developed using ab237721, the same antibody clone in a different buffer formulation.

Multiplex immunohistochemistry analysis of formalin/PFA-fixed paraffin-embedded mouse small intestine tissue staining CD68 with ab283654 at a 1/100 dilution, ab245235 anti-CD19 used at 1/1000 dilution and ab237721 anti-CD3 used at a 1/2000 dilution. Opal Polymer HRP Ms + Rb was used as a secondary antibody, and DAPI was used for a nuclear counter stain. Heat mediated antigen retrieval with Tris-EDTA buffer (pH 9.0, epitope retrieval solution2) for 20 mins.

Panel A : merged staining of anti-CD68 (magenta; Opal520), anti-CD19 (green; Opal690) and anti-CD3 (grey; Opal570) on mouse small intestine.
Panel B : anti-CD68 staining macrophages in mouse small intestine.
Panel C : anti-CD19 staining B lymphocytes in mouse small intestine.
Panel D : anti-CD3 staining T lymphocytes in mouse small intestine.
Nuclear DNA was labeled with DAPI (shown in blue).

The section was incubated in three rounds of staining : in the order of ab283654, ab245235 and ab237721 for 30 mins at room temperature. Each round was followed by a separate fluorescent tyramide signal amplification system.

The immunostaining was performed on a Leica Biosystems BOND®RX instrument with an Opal 4-color kit. Image acquisition was performed with Leica SP8 confocal microscope.

Multiplex immunohistochemistry - Anti-CD3 epsilon antibody [CAL57] - BSA and Azide free (AB251607)
  • mIHC

Lab

Multiplex immunohistochemistry - Anti-CD3 epsilon antibody [CAL57] - BSA and Azide free (AB251607)

This data was developed using ab237721, the same antibody clone in a different buffer formulation.

Multiplex immunohistochemistry analysis of formalin/PFA-fixed paraffin-embedded mouse colon tissue staining CD68 with ab283654 at a 1/100 dilution, ab245235 anti-CD19 used at 1/1000 dilution and ab237721 anti-CD3 used at a 1/2000 dilution. Opal Polymer HRP Ms + Rb was used as a secondary antibody, and DAPI was used for a nuclear counter stain. Heat mediated antigen retrieval with Tris-EDTA buffer (pH 9.0, epitope retrieval solution2) for 20 mins.

Panel A : merged staining of anti-CD68 (magenta; Opal520), anti-CD19 (green; Opal690) and anti-CD3 (grey; Opal570) on mouse colon.
Panel B : anti-CD68 staining macrophages in mouse colon.
Panel C : anti-CD19 staining B lymphocytes in mouse colon.
Panel D : anti-CD3 staining T lymphocytes in mouse colon.
Nuclear DNA was labeled with DAPI (shown in blue).

The section was incubated in three rounds of staining : in the order of ab283654, ab245235 and ab237721 for 30 mins at room temperature. Each round was followed by a separate fluorescent tyramide signal amplification system.

The immunostaining was performed on a Leica Biosystems BOND®RX instrument with an Opal 4-color kit. Image acquisition was performed with Leica SP8 confocal microscope.

Multiplex immunohistochemistry - Anti-CD3 epsilon antibody [CAL57] - BSA and Azide free (AB251607)
  • mIHC

Lab

Multiplex immunohistochemistry - Anti-CD3 epsilon antibody [CAL57] - BSA and Azide free (AB251607)

This data was developed using ab237721, the same antibody clone in a different buffer formulation.

Immunohistochemistry analysis of (Formalin/PFA-fixed paraffin-embedded sections) Mouse lymph node tissue labelling MAdCAM1 with ab309487 at 1 : 100 dilution (B), CD3 epsilon with ab237721at 1 : 2000 dilution (C) and CD20 with ab64088 at 1 : 100 dilution (D). Opal Polymer HRP Ms + Rb was used as a secondary antibody, and DAPI was used for a nuclear counter stain. Heat mediated antigen retrieval with Tris-EDTA buffer (pH 9.0, epitope retrieval solution2) for 20 mins.

Panel A : merged staining of anti-MAdCAM (green; Opal™520), anti-CD3 (gray; Opal™690) and anti-CD20 (magenta; Opal™570) on mouse lymph node.

Panel B : anti-MAdCAM staining high endothelial venules in mouse lymph node.

Panel C : ant-CD3 staining B lymphocytes in mouse lymph node.

Panel D : ant-CD20 staining B lymphocytes in mouse lymph node.

Nuclear DNA was labeled with DAPI (shown in blue).

The section was incubated in three rounds of staining : in the order of ab309487, ab237721 and ab64088 for 30 mins at room temperature. Each round was followed by a separate fluorescent tyramide signal amplification system.

The immunostaining was performed on a Leica Biosystems BOND® RX instrument with an Opal™ 4-color kit. Image acquisition was performed with Leica SP8 confocal microscope.

Multiplex immunohistochemistry - Anti-CD3 epsilon antibody [CAL57] - BSA and Azide free (AB251607)
  • mIHC

Lab

Multiplex immunohistochemistry - Anti-CD3 epsilon antibody [CAL57] - BSA and Azide free (AB251607)

This data was developed using the same antibody clone in a different buffer formulation (ab237721).

Multiplex immunohistochemistry analysis of formalin/PFA-fixed paraffin-embedded mouse lymph node tissue staining CD23 with ab315289 at a 1/2000 dilution (0.253 µg/ml), CD19 with ab245235 at 1/1000 dilution (0.444 µg/ml), and CD3 with ab237721 at 1/8000 dilution (0.07 µg/ml), followed by a ready to use secondary antibody Opal Polymer HRP Ms + Rb.

Panel A : merged staining of anti-CD23 (green; Opal™520), anti-CD19 (magenta; Opal™570) and anti-CD3 (yellow; Opal™690) on mouse lymph node.
Panel B : anti-CD23 staining B lymphocytes in mouse lymph node.
Panel C : anti-CD19 staining B lymphocytes in mouse lymph node.
Panel D : anti-CD3 staining T lymphocytes in mouse lymph node.
Nuclear DNA was labeled with DAPI (shown in blue).

The section was incubated in three rounds of staining : in the order of ab315289, ab245235 and ab237721 for 30 mins at room temperature. Each round was followed by a separate fluorescent tyramide signal amplification system.

Heat mediated antigen retrieval with Tris-EDTA buffer (pH 9.0, epitope retrieval solution2) for 20 mins.

Multiplex immunohistochemistry - Anti-CD3 epsilon antibody [CAL57] - BSA and Azide free (AB251607)
  • mIHC

Lab

Multiplex immunohistochemistry - Anti-CD3 epsilon antibody [CAL57] - BSA and Azide free (AB251607)

This data was developed using the same antibody clone in a different buffer formulation (ab237721).

Multiplex immunohistochemistry analysis of formalin/PFA-fixed paraffin-embedded mouse thymus tissue staining CD23 with ab315289 at a 1/2000 dilution (0.253 µg/ml), CD19 with ab245235 at 1/1000 dilution (0.444 µg/ml), and CD3 with ab237721 at 1/8000 dilution (0.07 µg/ml), followed by a ready to use secondary antibody Opal Polymer HRP Ms + Rb.

Panel A : merged staining of anti-CD23 (green; Opal™520), anti-CD19 (magenta; Opal™570) and anti-CD3 (yellow; Opal™690) on mouse thymus.
Panel B : anti-CD23 staining B lymphocytes in mouse thymus.
Panel C : anti-CD19 staining B lymphocytes in mouse thymus.
Panel D : anti-CD3 staining T lymphocytes in mouse thymus.
Nuclear DNA was labeled with DAPI (shown in blue).

The section was incubated in three rounds of staining : in the order of ab315289, ab245235 and ab237721 for 30 mins at room temperature. Each round was followed by a separate fluorescent tyramide signal amplification system.

Heat mediated antigen retrieval with Tris-EDTA buffer (pH 9.0, epitope retrieval solution2) for 20 mins.

Multiplex immunohistochemistry - Anti-CD3 epsilon antibody [CAL57] - BSA and Azide free (AB251607)
  • mIHC

Lab

Multiplex immunohistochemistry - Anti-CD3 epsilon antibody [CAL57] - BSA and Azide free (AB251607)

This data was developed using ab237721, the same antibody clone in a different buffer formulation.

Multiplex immunohistochemistry analysis of formalin/PFA-fixed paraffin-embedded Mouse spleen staining of NCR1 with ab233558 at a 1/500 (1.062 µg/ml) dilution, CD19 with ab245235 at 1/1000 (0.444 µg/ml) dilution and CD3 with ab237721 at 1/2000 ( 0.264 µg/ml) dilution.

Panel A : merged staining of anti-NCR1 (magenta; Opal™690), anti-CD19 (green; Opal™520) and anti-CD3 (gray; Opal™570) on mouse spleen.
Panel B : Anti-NCR1 staining natural killer cells in mouse spleen.
Panel C : anti-CD19 staining B lymphocytes in mouse spleen.
Panel D : anti-CD3 staining T lymphocytes in mouse spleen.
Nuclear DNA was labelled with DAPI (shown in blue).

The section was incubated in three rounds of staining : in the order of ab233558, ab245235 and ab237721 for 30 mins at room temperature. Each round was followed by a separate fluorescent tyramide signal amplification system.

The immunostaining was performed on a Leica Biosystems BOND® RX instrument with an Opal™ 4-color kit. Image acquisition was performed with Leica SP8 confocal microscope.

Heat mediated antigen retrieval with Tris-EDTA buffer (pH 9.0 epitope retrieval solution2) for 20 mins.

Multiplex immunohistochemistry - Anti-CD3 epsilon antibody [CAL57] - BSA and Azide free (AB251607)
  • mIHC

Lab

Multiplex immunohistochemistry - Anti-CD3 epsilon antibody [CAL57] - BSA and Azide free (AB251607)

This data was developed using the same antibody clone in a different buffer formulation ( ab237721).

Multiplex immunohistochemistry analysis of formalin/PFA-fixed paraffin-embedded Mouse bone marrow tissue staining Neutrophil Elastase with ab310335 at a 1/500 ( 1.076 µg/ml) dilution, CD19 with ab245235 at a 1/1000 ( 0.444 µg/ml) dilution and CD3 with ab237721 at a 1/2000 ( 0.264 µg/ml) dilution followed by a ready to use secondary antibody Opal Polymer HRP Ms + Rb.

Panel A : merged staining of anti-Neutrophil Elastase (magenta; Opal™690), anti-CD19 (green; Opal™520) and anti-CD3 (gray; Opal™690) on mouse spleen.Panel B : anti-Neutrophil Elastase staining neutrophils in mouse spleen.
Panel C : anti-CD19 staining B lymphocytes in mouse spleen.
Panel D : anti-CD3 staining T lymphocytes in mouse spleen.
Nuclear DNA was labeled with DAPI (shown in blue).

The section was incubated in three rounds of staining : in the order of ab310335, ab245235 and ab237721 for 30 mins at room temperature. Each round was followed by a separate fluorescent tyramide signal amplification system.

The immunostaining was performed on a Leica Biosystems BOND® RX instrument with an Opal™ 4-color kit. Image acquisition was performed with Leica SP8 confocal microscope.

Heat mediated antigen retrieval with Tris-EDTA buffer (pH 9.0, epitope retrieval solution2) for 20 mins

Multiplex immunohistochemistry - Anti-CD3 epsilon antibody [CAL57] - BSA and Azide free (AB251607)
  • mIHC

Lab

Multiplex immunohistochemistry - Anti-CD3 epsilon antibody [CAL57] - BSA and Azide free (AB251607)

This data was developed using the same antibody clone in a different buffer formulation (ab237721).

Multiplex immunohistochemistry analysis of formalin/PFA-fixed paraffin-embedded mouse spleen tissue staining CD23 with ab315289 at a 1/2000 dilution (0.253 µg/ml), CD19 with ab245235 at 1/1000 dilution (0.444 µg/ml), and CD3 with ab237721 at 1/8000 dilution (0.07 µg/ml), followed by a ready to use secondary antibody Opal Polymer HRP Ms + Rb.

Panel A : merged staining of anti-CD23 (green; Opal™520), anti-CD19 (magenta; Opal™570) and anti-CD3 (yellow; Opal™690) on mouse spleen.
Panel B : anti-CD23 staining B lymphocytes in mouse spleen.
Panel C : anti-CD19 staining B lymphocytes in mouse spleen.
Panel D : anti-CD3 staining T lymphocytes in mouse spleen.
Nuclear DNA was labeled with DAPI (shown in blue).

The section was incubated in three rounds of staining : in the order of ab315289, ab245235 and ab237721 for 30 mins at room temperature. Each round was followed by a separate fluorescent tyramide signal amplification system.

Heat mediated antigen retrieval with Tris-EDTA buffer (pH 9.0, epitope retrieval solution2) for 20 mins.

Multiplex immunohistochemistry - Anti-CD3 epsilon antibody [CAL57] - BSA and Azide free (AB251607)
  • mIHC

Lab

Multiplex immunohistochemistry - Anti-CD3 epsilon antibody [CAL57] - BSA and Azide free (AB251607)

This data was developed using ab237721, the same antibody clone in a different buffer formulation.

Multiplex immunohistochemistry analysis of formalin/PFA-fixed paraffin-embedded Mouse bone marrow staining of F4/80 with ab300421 at a 1/5000 (0.1 µg/ml) dilution, CD19 with ab245235 at 1/1000 (0.444 µg/ml) dilution and CD3 with ab237721 at 1/2000 ( 0.264 µg/ml) dilution.

Panel A : merged staining of anti-F4/80 (magenta; Opal™690), anti-CD19 (green; Opal™520) and anti-CD3 (gray; Opal™570) on mouse bone marrow.
Panel B : anti-F4/80 staining macrophages in mouse bone marrow.
Panel C : anti-CD19 staining B lymphocytes in mouse bone marrow.
Panel D : anti-CD3 staining T lymphocytes in mouse bone marrow.
Nuclear DNA was labelled with DAPI (shown in blue).

The section was incubated in three rounds of staining : in the order of ab300421, ab245235 and ab237721 for 30 mins at room temperature. Each round was followed by a separate fluorescent tyramide signal amplification system.

The immunostaining was performed on a Leica Biosystems BOND® RX instrument with an Opal™ 4-color kit. Image acquisition was performed with Leica SP8 confocal microscope.

Heat mediated antigen retrieval with Tris-EDTA buffer (pH 9.0 epitope retrieval solution2) for 20 mins.

Multiplex immunohistochemistry - Anti-CD3 epsilon antibody [CAL57] - BSA and Azide free (AB251607)
  • mIHC

Lab

Multiplex immunohistochemistry - Anti-CD3 epsilon antibody [CAL57] - BSA and Azide free (AB251607)

This data was developed using ab237721, the same antibody clone in a different buffer formulation.

Multiplex immunohistochemistry analysis of formalin/PFA-fixed paraffin-embedded Mouse thymus staining of F4/80 with ab300421 at a 1/5000 (0.1 µg/ml) dilution, CD19 with ab245235 at 1/1000 (0.444 µg/ml) dilution and CD3 with ab237721 at 1/2000 ( 0.264 µg/ml) dilution.

Panel A : merged staining of anti-F4/80 (magenta; Opal™690), anti-CD19 (green; Opal™520) and anti-CD3 (gray; Opal™570) on mouse thymus.
Panel B : anti-F4/80 staining macrophages in mouse thymus.
Panel C : anti-CD19 staining B lymphocytes in mouse thymus.
Panel D : anti-CD3 staining T lymphocytes in mouse thymus.
Nuclear DNA was labelled with DAPI (shown in blue).

The section was incubated in three rounds of staining : in the order of ab300421, ab245235 and ab237721 for 30 mins at room temperature. Each round was followed by a separate fluorescent tyramide signal amplification system.

The immunostaining was performed on a Leica Biosystems BOND® RX instrument with an Opal™ 4-color kit. Image acquisition was performed with Leica SP8 confocal microscope.

Heat mediated antigen retrieval with Tris-EDTA buffer (pH 9.0 epitope retrieval solution2) for 20 mins.

Multiplex immunohistochemistry - Anti-CD3 epsilon antibody [CAL57] - BSA and Azide free (AB251607)
  • mIHC

Lab

Multiplex immunohistochemistry - Anti-CD3 epsilon antibody [CAL57] - BSA and Azide free (AB251607)

This data was developed using ab237721, the same antibody clone in a different buffer formulation.

Multiplex immunohistochemistry analysis of formalin/PFA-fixed paraffin-embedded Mouse thymus staining of NCR1 with ab233558 at a 1/500 (1.062 µg/ml) dilution, CD19 with ab245235 at 1/1000 (0.444 µg/ml) dilution and CD3 with ab237721 at 1/2000 ( 0.264 µg/ml) dilution.

Panel A : merged staining of anti-NCR1 (magenta; Opal™690), anti-CD19 (green; Opal™520) and anti-CD3 (gray; Opal™570) on mouse thymus.
Panel B : anti-NCR1 staining natural killer cells in mouse thymus.
Panel C : anti-CD19 staining B lymphocytes in mouse thymus.
Panel D : anti-CD3 staining T lymphocytes in mouse thymus.
Nuclear DNA was labelled with DAPI (shown in blue).

The section was incubated in three rounds of staining : in the order of ab233558, ab245235 and ab237721 for 30 mins at room temperature. Each round was followed by a separate fluorescent tyramide signal amplification system.

The immunostaining was performed on a Leica Biosystems BOND® RX instrument with an Opal™ 4-color kit. Image acquisition was performed with Leica SP8 confocal microscope.

Heat mediated antigen retrieval with Tris-EDTA buffer (pH 9.0 epitope retrieval solution2) for 20 mins.

Multiplex immunohistochemistry - Anti-CD3 epsilon antibody [CAL57] - BSA and Azide free (AB251607)
  • mIHC

Lab

Multiplex immunohistochemistry - Anti-CD3 epsilon antibody [CAL57] - BSA and Azide free (AB251607)

This data was developed using ab237721, the same antibody clone in a different buffer formulation.

Multiplex immunohistochemistry analysis of formalin/PFA-fixed paraffin-embedded Mouse lymph node staining of F4/80 with ab300421 at a 1/5000 (0.1 µg/ml) dilution, CD19 with ab245235 at 1/1000 (0.444 µg/ml) dilution and CD3 with ab237721 at 1/2000 ( 0.264 µg/ml) dilution.

Panel A : merged staining of anti-F4/80 (magenta; Opal™690), anti-CD19 (green; Opal™520) and anti-CD3 (gray; Opal™570) on mouse lymph node.
Panel B : anti-F4/80 staining macrophages in mouse lymph node.
Panel C : anti-CD19 staining B lymphocytes in mouse lymph node.
Panel D : anti-CD3 staining T lymphocytes in mouse lymph node.
Nuclear DNA was labelled with DAPI (shown in blue).

The section was incubated in three rounds of staining : in the order of ab300421, ab245235 and ab237721 for 30 mins at room temperature. Each round was followed by a separate fluorescent tyramide signal amplification system.

The immunostaining was performed on a Leica Biosystems BOND® RX instrument with an Opal™ 4-color kit. Image acquisition was performed with Leica SP8 confocal microscope.

Heat mediated antigen retrieval with Tris-EDTA buffer (pH 9.0 epitope retrieval solution2) for 20 mins.

Multiplex immunohistochemistry - Anti-CD3 epsilon antibody [CAL57] - BSA and Azide free (AB251607)
  • mIHC

Lab

Multiplex immunohistochemistry - Anti-CD3 epsilon antibody [CAL57] - BSA and Azide free (AB251607)

This data was developed using the same antibody clone in a different buffer formulation ( ab237721).

Multiplex immunohistochemistry analysis of formalin/PFA-fixed paraffin-embedded Mouse thymus tissue staining Neutrophil Elastase with ab310335 at a 1/500 ( 1.076 µg/ml) dilution, CD19 with ab245235 at a 1/1000 ( 0.444 µg/ml) dilution and CD3 with ab237721 at a 1/2000 ( 0.264 µg/ml) dilution followed by a ready to use secondary antibody Opal Polymer HRP Ms + Rb.

Panel A : merged staining of anti-Neutrophil Elastase (magenta; Opal™690), anti-CD19 (green; Opal™520) and anti-CD3 (gray; Opal™690) on mouse spleen.Panel B : anti-Neutrophil Elastase staining neutrophils in mouse spleen.
Panel C : anti-CD19 staining B lymphocytes in mouse spleen.
Panel D : anti-CD3 staining T lymphocytes in mouse spleen.
Nuclear DNA was labeled with DAPI (shown in blue).

The section was incubated in three rounds of staining : in the order of ab310335, ab245235 and ab237721 for 30 mins at room temperature. Each round was followed by a separate fluorescent tyramide signal amplification system.

The immunostaining was performed on a Leica Biosystems BOND® RX instrument with an Opal™ 4-color kit. Image acquisition was performed with Leica SP8 confocal microscope.

Heat mediated antigen retrieval with Tris-EDTA buffer (pH 9.0, epitope retrieval solution2) for 20 mins

Multiplex immunohistochemistry - Anti-CD3 epsilon antibody [CAL57] - BSA and Azide free (AB251607)
  • mIHC

Lab

Multiplex immunohistochemistry - Anti-CD3 epsilon antibody [CAL57] - BSA and Azide free (AB251607)

This data was developed using the same antibody clone in a different buffer formulation ( ab237721).

Multiplex immunohistochemistry analysis of formalin/PFA-fixed paraffin-embedded Mouse spleen tissue staining Neutrophil Elastase with ab310335 at a 1/500 ( 1.076 µg/ml) dilution, CD19 with ab245235 at a 1/1000 ( 0.444 µg/ml) dilution and CD3 with ab237721 at a 1/2000 ( 0.264 µg/ml) dilution followed by a ready to use secondary antibody Opal Polymer HRP Ms + Rb.

Panel A : merged staining of anti-Neutrophil Elastase (magenta; Opal™690), anti-CD19 (green; Opal™520) and anti-CD3 (gray; Opal™690) on mouse spleen.Panel B : anti-Neutrophil Elastase staining neutrophils in mouse spleen.
Panel C : anti-CD19 staining B lymphocytes in mouse spleen.
Panel D : anti-CD3 staining T lymphocytes in mouse spleen.
Nuclear DNA was labeled with DAPI (shown in blue).

The section was incubated in three rounds of staining : in the order of ab310335, ab245235 and ab237721 for 30 mins at room temperature. Each round was followed by a separate fluorescent tyramide signal amplification system.

The immunostaining was performed on a Leica Biosystems BOND® RX instrument with an Opal™ 4-color kit. Image acquisition was performed with Leica SP8 confocal microscope.

Heat mediated antigen retrieval with Tris-EDTA buffer (pH 9.0, epitope retrieval solution2) for 20 mins

Multiplex immunohistochemistry - Anti-CD3 epsilon antibody [CAL57] - BSA and Azide free (AB251607)
  • mIHC

Lab

Multiplex immunohistochemistry - Anti-CD3 epsilon antibody [CAL57] - BSA and Azide free (AB251607)

This data was developed using ab237721, the same antibody clone in a different buffer formulation.

Multiplex immunohistochemistry analysis of formalin/PFA-fixed paraffin-embedded Mouse spleen staining of F4/80 with ab300421 at a 1/5000 (0.1 µg/ml) dilution, CD19 with ab245235 at 1/1000 (0.444 µg/ml) dilution and CD3 with ab237721 at 1/2000 ( 0.264 µg/ml) dilution.

Panel A : merged staining of anti-F4/80 (magenta; Opal™690), anti-CD19 (green; Opal™520) and anti-CD3 (gray; Opal™570) on mouse spleen.
Panel B : anti-F4/80 staining macrophages in mouse spleen.
Panel C : anti-CD19 staining B lymphocytes in mouse spleen.
Panel D : anti-CD3 staining T lymphocytes in mouse spleen.
Nuclear DNA was labelled with DAPI (shown in blue).

The section was incubated in three rounds of staining : in the order of ab300421, ab245235 and ab237721 for 30 mins at room temperature. Each round was followed by a separate fluorescent tyramide signal amplification system.

The immunostaining was performed on a Leica Biosystems BOND® RX instrument with an Opal™ 4-color kit. Image acquisition was performed with Leica SP8 confocal microscope.

Heat mediated antigen retrieval with Tris-EDTA buffer (pH 9.0 epitope retrieval solution2) for 20 mins.

Immunoprecipitation - Anti-CD3 epsilon antibody [CAL57] - BSA and Azide free (AB251607)
  • IP

Lab

Immunoprecipitation - Anti-CD3 epsilon antibody [CAL57] - BSA and Azide free (AB251607)

CD3 epsilon was immunoprecipitated from 0.35 mg EL4.IL2 (Mouse lymphoma T lymphocyte) whole cell lysate with ab237721 at 1/30 dilution. Western blot was performed from the immunoprecipitate using ab237721 at 1/1000 dilution. VeriBlot for IP Detection Reagent (HRP) (ab131366), was used at 1/5000 dilution.
Lane 1 : EL4.IL2 whole cell lysate 10 μg (Input).
Lane 2 : ab237721 IP in EL4.IL2 whole cell lysate.
Lane 3 : Rabbit monoclonal IgG (ab172730) instead of ab237721 in EL4.IL2 whole cell lysate.
Blocking/Dilution buffer : 5% NFDM/TBST.
Exposure time : 5 seconds.

This data was developed using the same antibody clone in a different buffer formulation containing PBS and sodium azide (ab237721).

All lanes:

Immunoprecipitation - Anti-CD3 epsilon antibody [CAL57] (<a href='/en-us/products/primary-antibodies/cd3-epsilon-antibody-cal57-ab237721'>ab237721</a>)

Predicted band size: 23 kDa

false

Key facts

Host species

Rabbit

Clonality

Monoclonal

Clone number

CAL57

Isotype

IgG

Carrier free

Yes

Reacts with

Mouse, Rat, Human

Applications

IHC-P, WB, mIHC, Flow Cyt (Intra), IHC-Fr, IP

applications

Immunogen

The exact immunogen used to generate this antibody is proprietary information.

Reactivity data

{ "title": "Reactivity Data", "filters": { "stats": ["", "Species", "Dilution Info", "Notes"], "tabs": { "all-applications": {"fullname" : "All Applications", "shortname": "All Applications"}, "mIHC" : {"fullname" : "Multiplex immunohistochemistry", "shortname":"mIHC"}, "IHCP" : {"fullname" : "Immunohistochemistry (Formalin/PFA-fixed paraffin-embedded sections)", "shortname":"IHC-P"}, "IP" : {"fullname" : "Immunoprecipitation", "shortname":"IP"}, "WB" : {"fullname" : "Western blot", "shortname":"WB"}, "ICCIF" : {"fullname" : "Immunocytochemistry/ Immunofluorescence", "shortname":"ICC/IF"}, "IHCFr" : {"fullname" : "Immunohistochemistry (Frozen sections)", "shortname":"IHC-Fr"}, "FlowCytIntra" : {"fullname" : "Flow Cytometry (Intracellular)", "shortname":"Flow Cyt (Intra)"} }, "product-promise": { "all": "all", "testedAndGuaranteed": "tested", "guaranteed": "expected", "predicted": "predicted", "notRecommended": "not-recommended" } }, "values": { "Human": { "mIHC-species-checked": "guaranteed", "mIHC-species-dilution-info": "", "mIHC-species-notes": "", "IHCP-species-checked": "testedAndGuaranteed", "IHCP-species-dilution-info": "", "IHCP-species-notes": "<p></p>", "IP-species-checked": "guaranteed", "IP-species-dilution-info": "", "IP-species-notes": "", "WB-species-checked": "guaranteed", "WB-species-dilution-info": "", "WB-species-notes": "<p></p>", "ICCIF-species-checked": "notRecommended", "ICCIF-species-dilution-info": "", "ICCIF-species-notes": "<p></p>", "IHCFr-species-checked": "guaranteed", "IHCFr-species-dilution-info": "", "IHCFr-species-notes": "", "FlowCytIntra-species-checked": "testedAndGuaranteed", "FlowCytIntra-species-dilution-info": "", "FlowCytIntra-species-notes": "<p></p>" }, "Mouse": { "mIHC-species-checked": "testedAndGuaranteed", "mIHC-species-dilution-info": "", "mIHC-species-notes": "<p></p>", "IHCP-species-checked": "testedAndGuaranteed", "IHCP-species-dilution-info": "", "IHCP-species-notes": "<p></p>", "IP-species-checked": "testedAndGuaranteed", "IP-species-dilution-info": "", "IP-species-notes": "<p></p>", "WB-species-checked": "guaranteed", "WB-species-dilution-info": "", "WB-species-notes": "<p></p>", "ICCIF-species-checked": "notRecommended", "ICCIF-species-dilution-info": "", "ICCIF-species-notes": "<p></p>", "IHCFr-species-checked": "testedAndGuaranteed", "IHCFr-species-dilution-info": "", "IHCFr-species-notes": "<p></p>", "FlowCytIntra-species-checked": "testedAndGuaranteed", "FlowCytIntra-species-dilution-info": "", "FlowCytIntra-species-notes": "<p></p>" }, "Rat": { "mIHC-species-checked": "testedAndGuaranteed", "mIHC-species-dilution-info": "", "mIHC-species-notes": "<p></p>", "IHCP-species-checked": "testedAndGuaranteed", "IHCP-species-dilution-info": "", "IHCP-species-notes": "<p></p>", "IP-species-checked": "guaranteed", "IP-species-dilution-info": "", "IP-species-notes": "", "WB-species-checked": "guaranteed", "WB-species-dilution-info": "", "WB-species-notes": "<p></p>", "ICCIF-species-checked": "notRecommended", "ICCIF-species-dilution-info": "", "ICCIF-species-notes": "<p></p>", "IHCFr-species-checked": "guaranteed", "IHCFr-species-dilution-info": "", "IHCFr-species-notes": "", "FlowCytIntra-species-checked": "guaranteed", "FlowCytIntra-species-dilution-info": "", "FlowCytIntra-species-notes": "" } } }

Product details

ab251607 is the carrier-free version of ab237721.

Conjugation ready
Our carrier-free antibodies are typically supplied in a PBS-only formulation, purified and free of BSA, sodium azide and glycerol. This conjugation-ready format is designed for use with fluorochromes, metal isotopes, oligonucleotides, and enzymes, which makes them ideal for antibody labelling, functional and cell-based assays, flow-based assays (e.g. mass cytometry) and Multiplex Imaging applications.

Use our conjugation kits for antibody conjugates that are ready-to-use in as little as 20 minutes with 1 minute hands-on-time and 100% antibody recovery: available for fluorescent dyes, HRP, biotin and gold.

Compatibility
This product is compatible with the Maxpar® Antibody Labeling Kit from Fluidigm, without the need for antibody preparation. Maxpar® is a trademark of Fluidigm Canada Inc.

Properties and storage information

Form
Liquid
Purification technique
Affinity purification Protein A
Purification notes
Purity is greater than 99%.
Storage buffer
pH: 7.2 - 7.4 Constituents: PBS
Shipped at conditions
Blue Ice
Appropriate short-term storage conditions
+4°C
Appropriate long-term storage conditions
+4°C
Storage information
Do Not Freeze

Product protocols

For this product, it's our understanding that no specific protocols are required. You can visit:

Target data

Part of the TCR-CD3 complex present on T-lymphocyte cell surface that plays an essential role in adaptive immune response (PubMed : 15294938, PubMed : 15546002, PubMed : 2470098, PubMed : 40592325, PubMed : 8490660). When antigen presenting cells (APCs) activate T-cell receptor (TCR), TCR-mediated signals are transmitted across the cell membrane by the CD3 chains CD3D, CD3E, CD3G and CD247/CD3Z (PubMed : 2470098, PubMed : 40592325). All CD3 chains contain immunoreceptor tyrosine-based activation motifs (ITAMs) in their cytoplasmic domain (PubMed : 2470098, PubMed : 40592325). Upon TCR engagement, these motifs become phosphorylated by Src family protein tyrosine kinases LCK and FYN, resulting in the activation of downstream signaling pathways (PubMed : 2470098, PubMed : 40592325). CD3E ITAM phosphorylation creates docking sites for the protein kinase ZAP70 leading to ZAP70 phosphorylation and its conversion into a catalytically active enzyme (By similarity). In addition of this role of signal transduction in T-cell activation, CD3E plays an essential role in correct T-cell development (By similarity). Also participates in internalization and cell surface down-regulation of TCR-CD3 complexes via endocytosis sequences present in CD3E cytosolic region (PubMed : 10384095, PubMed : 26507128). In addition to its role as a TCR coreceptor, it serves as a receptor for ITPRIPL1 (PubMed : 38614099). Ligand recognition inhibits T-cell activation by promoting interaction with NCK1, which prevents CD3E-ZAP70 interaction and blocks the ERK-NFkB signaling cascade and calcium influx (PubMed : 12110186, PubMed : 38614099).
See full target information CD3E

Publications (2)

Recent publications for all applications. Explore the full list and refine your search

Nature communications 14:3728 PubMed37349339

2023

NBEAL2 deficiency in humans leads to low CTLA-4 expression in activated conventional T cells.

Applications

Unspecified application

Species

Unspecified reactive species

Laure Delage,Francesco Carbone,Quentin Riller,Jean-Luc Zachayus,Erwan Kerbellec,Armelle Buzy,Marie-Claude Stolzenberg,Marine Luka,Camille de Cevins,Georges Kalouche,Rémi Favier,Alizée Michel,Sonia Meynier,Aurélien Corneau,Caroline Evrard,Nathalie Neveux,Sébastien Roudières,Brieuc P Pérot,Mathieu Fusaro,Christelle Lenoir,Olivier Pellé,Mélanie Parisot,Marc Bras,Sébastien Héritier,Guy Leverger,Anne-Sophie Korganow,Capucine Picard,Sylvain Latour,Bénédicte Collet,Alain Fischer,Bénédicte Neven,Aude Magérus,Mickaël Ménager,Benoit Pasquier,Frédéric Rieux-Laucat

Cancer communications (London, England) 43:435-454 PubMed36855844

2023

Combining radiation and the ATR inhibitor berzosertib activates STING signaling and enhances immunotherapy via inhibiting SHP1 function in colorectal cancer.

Applications

Unspecified application

Species

Unspecified reactive species

Chaofan Liu,Xi Wang,Wan Qin,Jingyao Tu,Chunya Li,Weiheng Zhao,Li Ma,Bo Liu,Hong Qiu,Xianglin Yuan
View all publications

Product promise

We are committed to supporting your work with high-quality reagents, and we're here for you every step of the way. In the unlikely event that one of our products does not perform as expected, you're protected by our Product Promise.
For full details, please see our Terms & Conditions

Please note: All products are 'FOR RESEARCH USE ONLY. NOT FOR USE IN DIAGNOSTIC OR THERAPEUTIC PROCEDURES'.

For licensing inquiries, please contact partnerships@abcam.com