JavaScript is disabled in your browser. Please enable JavaScript to view this website.
AB52959

Anti-CD3 epsilon antibody [EP449E]

5

(3 Reviews)

|

(21 Publications)

Anti-CD3 epsilon antibody [EP449E] (ab52959) is a rabbit monoclonal antibody detecting CD3 epsilon in Western Blot, IP, IHC-P. Suitable for Human.

- Biophysical QC for unrivalled batch-batch consistency
- Over 10 publications
- Trusted since 2007

View Alternative Names

CD3e, T3E, CD3E, T-cell surface glycoprotein CD3 epsilon chain, T-cell surface antigen T3/Leu-4 epsilon chain

9 Images
Immunohistochemistry (Formalin/PFA-fixed paraffin-embedded sections) - Anti-CD3 epsilon antibody [EP449E] (AB52959)
  • IHC-P

Unknown

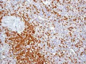
Immunohistochemistry (Formalin/PFA-fixed paraffin-embedded sections) - Anti-CD3 epsilon antibody [EP449E] (AB52959)

ab52959 showing positive staining in Normal spleen tissue.

Perform heat mediated antigen retrieval with citrate buffer pH 6 before commencing with IHC staining protocol.

Immunohistochemistry (Formalin/PFA-fixed paraffin-embedded sections) - Anti-CD3 epsilon antibody [EP449E] (AB52959)
  • IHC-P

Unknown

Immunohistochemistry (Formalin/PFA-fixed paraffin-embedded sections) - Anti-CD3 epsilon antibody [EP449E] (AB52959)

ab52959 showing positive staining in Normal tonsil tissue.

Perform heat mediated antigen retrieval with citrate buffer pH 6 before commencing with IHC staining protocol.

Immunohistochemistry (Formalin/PFA-fixed paraffin-embedded sections) - Anti-CD3 epsilon antibody [EP449E] (AB52959)
  • IHC-P

Unknown

Immunohistochemistry (Formalin/PFA-fixed paraffin-embedded sections) - Anti-CD3 epsilon antibody [EP449E] (AB52959)

ab52959 at 1/250-1/500 dilution staining CD3 epsilon in human spleen by Immunohistochemistry Paraffin embedded tissue.

Perform heat mediated antigen retrieval with citrate buffer pH 6 before commencing with IHC staining protocol.

Immunohistochemistry (Formalin/PFA-fixed paraffin-embedded sections) - Anti-CD3 epsilon antibody [EP449E] (AB52959)
  • IHC-P

Lab

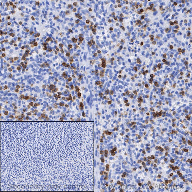
Immunohistochemistry (Formalin/PFA-fixed paraffin-embedded sections) - Anti-CD3 epsilon antibody [EP449E] (AB52959)

Immunohistochemical analysis of formalin fixed paraffin embedded human spleen labelling Cleaved CD3 epsilon with ab52959 at a concentration of 0.5µg/ml. The immunostaining was performed on a Ventana DISCOVERY ULTRA (Roche Tissue Diagnostics) instrument with a OptiView DAB IHC Detection Kit. Heat mediated antigen retrieval was performed with DISCOVERY cell conditioning solution (CC1) 100°C, pH8.5 for 32mins. ab52959 Anti-CD3 epsilon antibody [EP449E] was incubated for 16mins at 37°C. Sections were counterstained with Hematoxylin II. Image inset shows absence of staining in secondary antibody only control.

Customers are encouraged to optimise antigen retrieval conditions, antibody concentration, incubation times and temperature for best results in their own IHC assay workflow (automated and manual).

Immunoprecipitation - Anti-CD3 epsilon antibody [EP449E] (AB52959)
  • IP

Lab

Immunoprecipitation - Anti-CD3 epsilon antibody [EP449E] (AB52959)

Purified ab52959 at 1/20 dilution (1μg) immunoprecipitating CD3 epsilon in Jurkat whole cell lysate.
Lane 1 (input) : Jurkat (Human T cell leukemia T lymphocyte) whole cell lysate 10μg
Lane 2 (+) : ab52959 + Jurkat whole cell lysate.
Lane 3 (-) : Rabbit monoclonal IgG (ab172730) instead of ab52929 in Jurkat whole cell lysate.
VeriBlot for IP Detection Reagent (HRP) (ab131366) (1/1000 dilution) was used for Western blotting.
Blocking Buffer and concentration : 5% NFDM/TBST.
Diluting buffer and concentration : 5% NFDM/TBST.
Observed band size : 23 kDa

All lanes:

Immunoprecipitation - Anti-CD3 epsilon antibody [EP449E] (ab52959)

Predicted band size: 23 kDa

false

Western blot - Anti-CD3 epsilon antibody [EP449E] (AB52959)
  • WB

Supplier Data

Western blot - Anti-CD3 epsilon antibody [EP449E] (AB52959)

Blocking/Dilution buffer and concentration : 5% NFDM/TBST

All lanes:

Western blot - Anti-CD3 epsilon antibody [EP449E] (ab52959) at 1/1000 dilution

Lane 1:

Jurkat( Human T cell leukemia T lymphocyte )membrane fraction cell lysate at 20 µg

Lane 2:

Jurkat (Human T cell leukemia T lymphocyte) without membrane fraction cell lysate at 20 µg

Lane 3:

Jurkat (Human T cell leukemia T lymphocyte) whole cell lysate at 20 µg

Secondary

All lanes:

Western blot - Goat Anti-Rabbit IgG H&L (HRP) (<a href='/en-us/products/secondary-antibodies/goat-rabbit-igg-h-l-hrp-ab97051'>ab97051</a>) at 1/20000 dilution

Predicted band size: 23 kDa

Observed band size: 23 kDa

false

Exposure time: 20s

Immunohistochemistry (Formalin/PFA-fixed paraffin-embedded sections) - Anti-CD3 epsilon antibody [EP449E] (AB52959)
  • IHC-P

Unknown

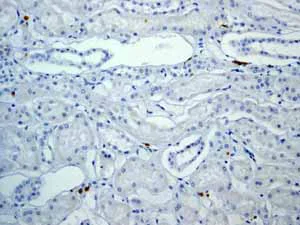
Immunohistochemistry (Formalin/PFA-fixed paraffin-embedded sections) - Anti-CD3 epsilon antibody [EP449E] (AB52959)

ab52959 showing negative staining in Normal kidney tissue.

Perform heat mediated antigen retrieval with citrate buffer pH 6 before commencing with IHC staining protocol.

Immunohistochemistry (Formalin/PFA-fixed paraffin-embedded sections) - Anti-CD3 epsilon antibody [EP449E] (AB52959)
  • IHC-P

Unknown

Immunohistochemistry (Formalin/PFA-fixed paraffin-embedded sections) - Anti-CD3 epsilon antibody [EP449E] (AB52959)

ab52959 showing negative staining in Skeletal muscle tissue.

Perform heat mediated antigen retrieval with citrate buffer pH 6 before commencing with IHC staining protocol.

Immunohistochemistry (Formalin/PFA-fixed paraffin-embedded sections) - Anti-CD3 epsilon antibody [EP449E] (AB52959)
  • IHC-P

Unknown

Immunohistochemistry (Formalin/PFA-fixed paraffin-embedded sections) - Anti-CD3 epsilon antibody [EP449E] (AB52959)

ab52959 showing negative staining in Normal brain tissue.

Perform heat mediated antigen retrieval with citrate buffer pH 6 before commencing with IHC staining protocol.

  • Carrier free

    Anti-CD3 epsilon antibody [EP449E] - BSA and Azide free

  • Carrier free

    Anti-CD3 epsilon antibody [EP449E] - Low endotoxin, Azide free

Key facts

Host species

Rabbit

Clonality

Monoclonal

Clone number

EP449E

Isotype

IgG

Carrier free

No

Reacts with

Human

Applications

IHC-P, WB, IP

applications

Immunogen

The exact immunogen used to generate this antibody is proprietary information.

Specificity

This antibody reacts with CD3 epsilon. It does not cross-react with other subunits of CD3.

Reactivity data

{ "title": "Reactivity Data", "filters": { "stats": ["", "Species", "Dilution Info", "Notes"], "tabs": { "all-applications": {"fullname" : "All Applications", "shortname": "All Applications"}, "IHCP" : {"fullname" : "Immunohistochemistry (Formalin/PFA-fixed paraffin-embedded sections)", "shortname":"IHC-P"}, "IP" : {"fullname" : "Immunoprecipitation", "shortname":"IP"}, "WB" : {"fullname" : "Western blot", "shortname":"WB"} }, "product-promise": { "all": "all", "testedAndGuaranteed": "tested", "guaranteed": "expected", "predicted": "predicted", "notRecommended": "not-recommended" } }, "values": { "Human": { "IHCP-species-checked": "testedAndGuaranteed", "IHCP-species-dilution-info": "1/250 - 1/500", "IHCP-species-notes": "<p></p> Perform heat-mediated antigen retrieval with citrate buffer pH 6 before commencing with IHC staining protocol.", "IP-species-checked": "testedAndGuaranteed", "IP-species-dilution-info": "1/20", "IP-species-notes": "<p></p>", "WB-species-checked": "testedAndGuaranteed", "WB-species-dilution-info": "1/1000 - 1/10000", "WB-species-notes": "<p></p>" } } }

Product details

What is this antibody validated in?
Anti-CD3 epsilon antibody [EP449E] (ab52959) is a rabbit recombinant monoclonal antibody and is validated for use in Western Blot (WB), Immunoprecipitation (IP), Immunohistochemistry (IHC-P) in Human samples.

What is the molecular weight of CD3 epsilon?
Anti-CD3 epsilon [EP449E] (ab52959) specifically detects a band for CD3 epsilon (UniProt: P07766) at a molecular weight of 23kDa.

Trusted by the scientific community
Anti-CD3 epsilon [EP449E] (ab52959) was first used in a scientific publication in 2007 and has been cited over 10 times in peer-reviewed journals.

Trial sizes available!
Test your antibody or perform pre-screening before committing to a larger quantity. Sold in 10µl. Discover our selection of trial-size antibodies.

Other related products
We have a range of other formats of antibody clone [EP449E] also available for your convenience: ab52959, Carrier free - ab213608, Carrier free - ab271850, Carrier free - ab307491

Species reactivity
Mouse, Rat: We have preliminary internal testing data to indicate this antibody may not react with these species.
Please contact us for more information.

Patented technology
Our RabMAb® technology is a patented hybridoma-based technology for making rabbit monoclonal antibodies. For details on our patents, please refer to RabMAb® patents.

What are the advantages of a recombinant monoclonal antibody?
This product is a recombinant monoclonal antibody, which offers several advantages including:

  • - High batch-to-batch consistency and reproducibility
  • - Improved sensitivity and specificity
  • - Long-term security of supply
  • - Animal-free batch production

For more information, read more on recombinant antibodies.

Properties and storage information

Form
Liquid
Purification technique
Affinity purification Protein A
Storage buffer
pH: 7.2 - 7.4 Preservative: 0.01% Sodium azide Constituents: PBS, 50% Tissue culture supernatant, 40% Glycerol (glycerin, glycerine), 0.05% BSA
Shipped at conditions
Blue Ice
Appropriate short-term storage conditions
+4°C
Appropriate long-term storage conditions
-20°C
Storage information
Stable for 12 months at -20°C

Product protocols

For this product, it's our understanding that no specific protocols are required. You can visit:

Target data

Part of the TCR-CD3 complex present on T-lymphocyte cell surface that plays an essential role in adaptive immune response (PubMed : 15294938, PubMed : 15546002, PubMed : 2470098, PubMed : 40592325, PubMed : 8490660). When antigen presenting cells (APCs) activate T-cell receptor (TCR), TCR-mediated signals are transmitted across the cell membrane by the CD3 chains CD3D, CD3E, CD3G and CD247/CD3Z (PubMed : 2470098, PubMed : 40592325). All CD3 chains contain immunoreceptor tyrosine-based activation motifs (ITAMs) in their cytoplasmic domain (PubMed : 2470098, PubMed : 40592325). Upon TCR engagement, these motifs become phosphorylated by Src family protein tyrosine kinases LCK and FYN, resulting in the activation of downstream signaling pathways (PubMed : 2470098, PubMed : 40592325). CD3E ITAM phosphorylation creates docking sites for the protein kinase ZAP70 leading to ZAP70 phosphorylation and its conversion into a catalytically active enzyme (By similarity). In addition of this role of signal transduction in T-cell activation, CD3E plays an essential role in correct T-cell development (By similarity). Also participates in internalization and cell surface down-regulation of TCR-CD3 complexes via endocytosis sequences present in CD3E cytosolic region (PubMed : 10384095, PubMed : 26507128). In addition to its role as a TCR coreceptor, it serves as a receptor for ITPRIPL1 (PubMed : 38614099). Ligand recognition inhibits T-cell activation by promoting interaction with NCK1, which prevents CD3E-ZAP70 interaction and blocks the ERK-NFkB signaling cascade and calcium influx (PubMed : 12110186, PubMed : 38614099).
See full target information CD3E

Publications (21)

Recent publications for all applications. Explore the full list and refine your search

Cancer immunology, immunotherapy : CII 74:258 PubMed40601026

2025

Divergent therapeutic and prognostic impacts of immunogenic features in undifferentiated pleomorphic sarcoma and myxofibrosarcoma.

Applications

Unspecified application

Species

Unspecified reactive species

Siddh van Oost,Debora M Meijer,Zeynep B Erdem,Marieke E IJsselsteijn,Jessica Roelands,Suk Wai Lam,Melissa S Boejharat,Brendy E W M van den Akker,Ruud van der Breggen,Inge H Briare-de Bruijn,Lukas J A C Hawinkels,Anouk A Kruiswijk,Manon van der Ploeg,Pauline M Wijers-Koster,Rick L Haas,Michiel A J van den Sande,Noel F C C de Miranda,Judith V M G Bovee

Cancer immunology, immunotherapy : CII 74:31 PubMed39708175

2024

Immunological differences between monophasic and biphasic synovial sarcoma with implications for immunotherapy.

Applications

Unspecified application

Species

Unspecified reactive species

S J Luk,M E IJsselsteijn,A Somarakis,I Acem,I Briaire de Bruijn,K Szuhai,J V M G Bovee,N F C C de Miranda,J H F Falkenburg,M H M Heemskerk

Journal for immunotherapy of cancer 12: PubMed38272563

2024

Multimodal profiling of chordoma immunity reveals distinct immune contextures.

Applications

Unspecified application

Species

Unspecified reactive species

Siddh van Oost,Debora M Meijer,Marieke E Ijsselsteijn,Jessica P Roelands,Brendy E M W van den Akker,Ruud van der Breggen,Inge H Briaire-de Bruijn,Manon van der Ploeg,Pauline M Wijers-Koster,Samuel B Polak,Wilco C Peul,Robert J P van der Wal,Noel F C C de Miranda,Judith V M G Bovee

International journal of molecular sciences 24: PubMed37108170

2023

A Low-Cost Modular Imaging System for Rapid, Multiplexed Immunofluorescence Detection in Clinical Tissues.

Applications

Unspecified application

Species

Unspecified reactive species

Joshua Gu,Hannah Jian,Christine Wei,Jessica Shiu,Anand Ganesan,Weian Zhao,Per Niklas Hedde

British journal of cancer 128:331-341 PubMed36385556

2022

CXCR1/2 dual-inhibitor ladarixin reduces tumour burden and promotes immunotherapy response in pancreatic cancer.

Applications

Unspecified application

Species

Unspecified reactive species

Geny Piro,Carmine Carbone,Antonio Agostini,Annachiara Esposito,Maria De Pizzol,Rubina Novelli,Marcello Allegretti,Andrea Aramini,Alessia Caggiano,Alessia Granitto,Francesco De Sanctis,Stefano Ugel,Vincenzo Corbo,Maurizio Martini,Rita Teresa Lawlor,Aldo Scarpa,Giampaolo Tortora

Scientific reports 12:12068 PubMed35840635

2022

Validation and promise of a TCR mimic antibody for cancer immunotherapy of hepatocellular carcinoma.

Applications

Unspecified application

Species

Unspecified reactive species

Chang Liu,Hong Liu,Moumita Dasgupta,Lance M Hellman,Xiaogang Zhang,Kai Qu,Hui Xue,Yun Wang,Fenling Fan,Qi Chang,Duo Yu,Linhu Ge,Yu Zhang,Ziyou Cui,Pengbo Zhang,Bradley Heller,Hongbing Zhang,Bingyin Shi,Brian M Baker,Cheng Liu

Communications biology 5:627 PubMed35754060

2022

Tyramide-conjugated DNA barcodes enable signal amplification for multiparametric CODEX imaging.

Applications

Unspecified application

Species

Unspecified reactive species

Paul D Simonson,Itzel Valencia,Sanjay S Patel

Nature communications 11:2246 PubMed32382059

2020

Somatic mTOR mutation in clonally expanded T lymphocytes associated with chronic graft versus host disease.

Applications

Unspecified application

Species

Unspecified reactive species

Daehong Kim,Giljun Park,Jani Huuhtanen,Sofie Lundgren,Rajiv K Khajuria,Ana M Hurtado,Cecilia Muñoz-Calleja,Laura Cardeñoso,Valle Gómez-García de Soria,Tzu Hua Chen-Liang,Samuli Eldfors,Pekka Ellonen,Sari Hannula,Matti Kankainen,Oscar Bruck,Anna Kreutzman,Urpu Salmenniemi,Tapio Lönnberg,Andrés Jerez,Maija Itälä-Remes,Mikko Myllymäki,Mikko A I Keränen,Satu Mustjoki

Nature communications 11:2049 PubMed32341343

2020

Cytokines regulate the antigen-presenting characteristics of human circulating and tissue-resident intestinal ILCs.

Applications

Unspecified application

Species

Unspecified reactive species

Anna Rao,Otto Strauss,Efthymia Kokkinou,Mélanie Bruchard,Kumar P Tripathi,Heinrich Schlums,Anna Carrasco,Luca Mazzurana,Viktoria Konya,Eduardo J Villablanca,Niklas K Björkström,Ulrik Lindforss,Hergen Spits,Jenny Mjösberg

PLoS computational biology 16:e1007385 PubMed32084130

2020

Graph-based description of tertiary lymphoid organs at single-cell level.

Applications

Unspecified application

Species

Unspecified reactive species

Nadine S Schaadt,Ralf Schönmeyer,Germain Forestier,Nicolas Brieu,Peter Braubach,Katharina Nekolla,Michael Meyer-Hermann,Friedrich Feuerhake
View all publications

Product promise

We are committed to supporting your work with high-quality reagents, and we're here for you every step of the way. In the unlikely event that one of our products does not perform as expected, you're protected by our Product Promise.
For full details, please see our Terms & Conditions

Please note: All products are 'FOR RESEARCH USE ONLY. NOT FOR USE IN DIAGNOSTIC OR THERAPEUTIC PROCEDURES'.

For licensing inquiries, please contact partnerships@abcam.com