JavaScript is disabled in your browser. Please enable JavaScript to view this website.
AB231830

Anti-CD3 epsilon antibody [EPR20752] - BSA and Azide free

Be the first to review this product! Submit a review

|

(2 Publications)

Rabbit Recombinant Monoclonal CD3E antibody. Carrier free. Suitable for IP, WB, IHC-Fr, IHC-P and reacts with Mouse samples. Cited in 2 publications.

View Alternative Names

CD3e, T-cell surface glycoprotein CD3 epsilon chain, T-cell surface antigen T3/Leu-4 epsilon chain, Cd3e

4 Images
Immunohistochemistry (Formalin/PFA-fixed paraffin-embedded sections) - Anti-CD3 epsilon antibody [EPR20752] - BSA and Azide free (AB231830)
  • IHC-P

Supplier Data

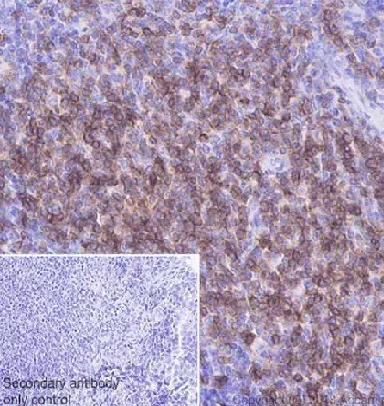
Immunohistochemistry (Formalin/PFA-fixed paraffin-embedded sections) - Anti-CD3 epsilon antibody [EPR20752] - BSA and Azide free (AB231830)

Immunohistochemical analysis of Paraffin-embedded sections mouse spleen tissue labeling CD3 epsilon with ab215212 at 1/1000 dilution, followed by Goat Anti-Rabbit IgG H&L (HRP) ready to use. Mainly membranous staining on T cells in mouse spleen is observed (PMID : 18648532). Counter stained with Hematoxylin.

Secondary antibody only control : Used PBS instead of primary antibody, secondary antibody is Goat Anti-Rabbit IgG H&L (HRP) ready to use.

This data was developed using the same antibody clone in a different buffer formulation containing PBS, BSA, glycerol, and sodium azide (ab215212).

Heat mediated antigen retrieval was performed with Tris/EDTA buffer pH 9.0 before commencing with IHC staining protocol.

Immunohistochemistry (Formalin/PFA-fixed paraffin-embedded sections) - Anti-CD3 epsilon antibody [EPR20752] - BSA and Azide free (AB231830)
  • IHC-P

Supplier Data

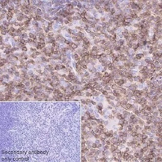
Immunohistochemistry (Formalin/PFA-fixed paraffin-embedded sections) - Anti-CD3 epsilon antibody [EPR20752] - BSA and Azide free (AB231830)

Immunohistochemical analysis of Paraffin-embedded sections mouse thymus tissue labeling CD3 epsilon with ab215212 at 1/1000 dilution, followed by Goat Anti-Rabbit IgG H&L (HRP) ready to use. Mainly membranous staining on T cells in mouse thymus is observed (PMID : 18648532). Counter stained with Hematoxylin.

Secondary antibody only control : Used PBS instead of primary antibody, secondary antibody is Goat Anti-Rabbit IgG H&L (HRP) ready to use.

This data was developed using the same antibody clone in a different buffer formulation containing PBS, BSA, glycerol, and sodium azide (ab215212).

Heat mediated antigen retrieval was performed with Tris/EDTA buffer pH 9.0 before commencing with IHC staining protocol.

Immunohistochemistry (Frozen sections) - Anti-CD3 epsilon antibody [EPR20752] - BSA and Azide free (AB231830)
  • IHC-Fr

Supplier Data

Immunohistochemistry (Frozen sections) - Anti-CD3 epsilon antibody [EPR20752] - BSA and Azide free (AB231830)

Immunohistochemical analysis of 4% paraformaldehyde-fixed, 0.2% Triton X-100 permeabilised mouse spleen tissue labelling CD3 epsilon with ab215212 at 1/800 dilution, foloowed by AlexaFluor®488 Goat anti-Rabbit secondary (ab150077) at 1/1000 dilution. Positive membrane staining on cells localized in the periarterial lymphatic sheath in mouse spleen tissue section is observed (PMID : 20880086) Counterstained with DAPI.
Secondary antibody only control : Used PBS instead of primary antibody, secondary antibody is AlexaFluor®488 Goat anti-Rabbit secondary (ab150077) at 1/1000 dilution.

This data was developed using the same antibody clone in a different buffer formulation containing PBS, BSA, glycerol, and sodium azide (ab215212).

Immunoprecipitation - Anti-CD3 epsilon antibody [EPR20752] - BSA and Azide free (AB231830)
  • IP

Supplier Data

Immunoprecipitation - Anti-CD3 epsilon antibody [EPR20752] - BSA and Azide free (AB231830)

CD3 epsilon was immunoprecipitated from 10 μg of EL4.IL-2 (Mouse lymphoma T lymphocyte) whole cell lysate with ab215212 at 1/30 dilution. Western blot was performed from the immunoprecipitate using ab215212 at 1/1000 dilution. VeriBlot for IP Detection Reagent (HRP) (ab131366) was used for detection at 1/5000 dilution.
Lane 1 : EL4.IL-2 (Mouse lymphoma T lymphocyte) whole cell lysate 10 μg (input).
Lane 2 : ab215212 IP in EL4.IL-2 whole cell lysate (+)
Lane 3 : Rabbit monoclonal IgG (ab172730) instead of ab215212 in EL4.IL-2 whole cell lysate (-).
Blocking and dilution buffer and concentration : 5% NFDM/TBST
Exposure time : 3 minutes

This data was developed using the same antibody clone in a different buffer formulation containing PBS, BSA, glycerol, and sodium azide (ab215212).

All lanes:

Immunoprecipitation - Anti-CD3 epsilon antibody [EPR20752] (<a href='/en-us/products/primary-antibodies/cd3-epsilon-antibody-epr20752-ab215212'>ab215212</a>)

Predicted band size: 23 kDa

Observed band size: 21 kDa

false

  • Unconjugated

    Anti-CD3 epsilon antibody [EPR20752]

  • 665 Alexa Fluor® 647

    Alexa Fluor® 647 Anti-CD3 epsilon antibody [EPR20752]

  • 578 PE

    PE Anti-CD3 epsilon antibody [EPR20752]

  • 617 Alexa Fluor® 594

    Alexa Fluor® 594 Anti-CD3 epsilon antibody [EPR20752]

  • 565 Alexa Fluor® 555

    Alexa Fluor® 555 Anti-CD3 epsilon antibody [EPR20752]

  • 660 APC

    APC Anti-CD3 epsilon antibody [EPR20752]

  • 519 Alexa Fluor® 488

    Alexa Fluor® 488 Anti-CD3 epsilon antibody [EPR20752]

  • 775 Alexa Fluor® 750

    Alexa Fluor® 750 Anti-CD3 epsilon antibody [EPR20752]

Key facts

Host species

Rabbit

Clonality

Monoclonal

Clone number

EPR20752

Isotype

IgG

Carrier free

Yes

Reacts with

Mouse

Applications

IHC-P, WB, IP, IHC-Fr

applications

Immunogen

The exact immunogen used to generate this antibody is proprietary information.

Reactivity data

{ "title": "Reactivity Data", "filters": { "stats": ["", "Species", "Dilution Info", "Notes"], "tabs": { "all-applications": {"fullname" : "All Applications", "shortname": "All Applications"}, "IP" : {"fullname" : "Immunoprecipitation", "shortname":"IP"}, "WB" : {"fullname" : "Western blot", "shortname":"WB"}, "IHCFr" : {"fullname" : "Immunohistochemistry (Frozen sections)", "shortname":"IHC-Fr"}, "IHCP" : {"fullname" : "Immunohistochemistry (Formalin/PFA-fixed paraffin-embedded sections)", "shortname":"IHC-P"} }, "product-promise": { "all": "all", "testedAndGuaranteed": "tested", "guaranteed": "expected", "predicted": "predicted", "notRecommended": "not-recommended" } }, "values": { "Mouse": { "IP-species-checked": "testedAndGuaranteed", "IP-species-dilution-info": "", "IP-species-notes": "<p></p>", "WB-species-checked": "guaranteed", "WB-species-dilution-info": "", "WB-species-notes": "<p></p>", "IHCFr-species-checked": "testedAndGuaranteed", "IHCFr-species-dilution-info": "", "IHCFr-species-notes": "<p>Perform heat mediated antigen retrieval by using sodium citrate buffer (10 mM citrate pH 6.0 + 0.05% Tween-20)</p>", "IHCP-species-checked": "testedAndGuaranteed", "IHCP-species-dilution-info": "", "IHCP-species-notes": "<p>Perform heat mediated antigen retrieval using <a href='/en-us/products/buffers/antigen-retrieval-buffer-100x-tris-edta-buffer-ph-90-ab93684'>ab93684</a> (Tris/EDTA buffer, pH 9.0).</p>" } } }

Product details

ab231830 is the carrier-free version of ab215212.

Patented technology
Our RabMAb® technology is a patented hybridoma-based technology for making rabbit monoclonal antibodies. For details on our patents, please refer to RabMAb® patents.

Conjugation ready
Our carrier-free antibodies are typically supplied in a PBS-only formulation, purified and free of BSA, sodium azide and glycerol. This conjugation-ready format is designed for use with fluorochromes, metal isotopes, oligonucleotides, and enzymes, which makes them ideal for antibody labelling, functional and cell-based assays, flow-based assays (e.g. mass cytometry) and Multiplex Imaging applications.

Use our conjugation kits for antibody conjugates that are ready-to-use in as little as 20 minutes with 1 minute hands-on-time and 100% antibody recovery: available for fluorescent dyes, HRP, biotin and gold.

Compatibility
This product is compatible with the Maxpar® Antibody Labeling Kit from Fluidigm, without the need for antibody preparation. Maxpar® is a trademark of Fluidigm Canada Inc.

Properties and storage information

Form
Liquid
Purification technique
Affinity purification Protein A
Storage buffer
pH: 7.2 - 7.4 Constituents: PBS
Shipped at conditions
Blue Ice
Appropriate short-term storage conditions
+4°C
Appropriate long-term storage conditions
+4°C
Storage information
Do Not Freeze

Product protocols

For this product, it's our understanding that no specific protocols are required. You can visit:

Target data

Part of the TCR-CD3 complex present on T-lymphocyte cell surface that plays an essential role in adaptive immune response. When antigen presenting cells (APCs) activate T-cell receptor (TCR), TCR-mediated signals are transmitted across the cell membrane by the CD3 chains CD3D, CD3E, CD3G and CD3Z. All CD3 chains contain immunoreceptor tyrosine-based activation motifs (ITAMs) in their cytoplasmic domain. Upon TCR engagement, these motifs become phosphorylated by Src family protein tyrosine kinases LCK and FYN, resulting in the activation of downstream signaling pathways. In addition of this role of signal transduction in T-cell activation, CD3E plays an essential role in correct T-cell development (PubMed : 19956738, PubMed : 24899501). Participates also in internalization and cell surface down-regulation of TCR-CD3 complexes via endocytosis sequences present in CD3E cytosolic region. In addition to its role as a TCR coreceptor, it serves as a receptor for ITPRIPL1. Ligand recognition inhibits T-cell activation by promoting interaction with NCK1, which prevents CD3E-ZAP70 interaction and blocks the ERK-NFkB signaling cascade and calcium influx (By similarity).
See full target information Cd3e

Publications (2)

Recent publications for all applications. Explore the full list and refine your search

Nature 644:790-798 PubMed40533564

2025

Kupffer cell programming by maternal obesity triggers fatty liver disease.

Applications

Unspecified application

Species

Unspecified reactive species

Hao Huang,Nora R Balzer,Lea Seep,Iva Splichalova,Nelli Blank-Stein,Maria Francesca Viola,Eliana Franco Taveras,Kerim Acil,Diana Fink,Franzisca Petrovic,Nikola Makdissi,Seyhmus Bayar,Katharina Mauel,Carolin Radwaniak,Jelena Zurkovic,Amir H Kayvanjoo,Klaus Wunderling,Malin Jessen,Mohamed H Yaghmour,Lukas Kenner,Thomas Ulas,Stephan Grein,Joachim L Schultze,Charlotte L Scott,Martin Guilliams,Zhaoyuan Liu,Florent Ginhoux,Marc D Beyer,Christoph Thiele,Felix Meissner,Jan Hasenauer,Dagmar Wachten,Elvira Mass

Clinical and translational medicine 10:e39 PubMed32508058

2020

T-cell activation and immune memory enhancement induced by irreversible electroporation in pancreatic cancer.

Applications

Unspecified application

Species

Unspecified reactive species

Chaobin He,Xin Huang,Yu Zhang,Xiaojun Lin,Shengping Li
View all publications

Product promise

We are committed to supporting your work with high-quality reagents, and we're here for you every step of the way. In the unlikely event that one of our products does not perform as expected, you're protected by our Product Promise.
For full details, please see our Terms & Conditions

Please note: All products are 'FOR RESEARCH USE ONLY. NOT FOR USE IN DIAGNOSTIC OR THERAPEUTIC PROCEDURES'.

For licensing inquiries, please contact partnerships@abcam.com