JavaScript is disabled in your browser. Please enable JavaScript to view this website.
AB255697

Anti-CD3 epsilon antibody [EPR22667-12] - BSA and Azide free

Be the first to review this product! Submit a review

|

(1 Publication)

Rabbit Recombinant Monoclonal CD3E antibody. Carrier free. Suitable for IP, WB, ICC/IF, IHC-P and reacts with Mouse samples. Cited in 1 publication.

View Alternative Names

CD3e, T-cell surface glycoprotein CD3 epsilon chain, T-cell surface antigen T3/Leu-4 epsilon chain, Cd3e

4 Images
Immunohistochemistry (Formalin/PFA-fixed paraffin-embedded sections) - Anti-CD3 epsilon antibody [EPR22667-12] - BSA and Azide free (AB255697)
  • IHC-P

Unknown

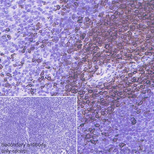
Immunohistochemistry (Formalin/PFA-fixed paraffin-embedded sections) - Anti-CD3 epsilon antibody [EPR22667-12] - BSA and Azide free (AB255697)

Immunohistochemical analysis of paraffin-embedded mouse spleen tissue labeling CD3 epsilon with ab231775 at 1/5000 dilution, followed by Goat Anti-Rabbit IgG H&L (HRP) ready to use. Positive staining on the mouse spleen (PMID : 18648532) is observed. Counter stained with hematoxylin.

Secondary antibody only control : Used PBS instead of primary antibody, secondary antibody is Goat Anti-Rabbit IgG H&L (HRP) ready to use.

Heat mediated antigen retrieval using ab93684 (Tris/EDTA buffer, pH 9.0).

This data was developed using the same antibody clone in a different buffer formulation containing PBS, BSA, glycerol, and sodium azide (ab231775).

Immunocytochemistry/ Immunofluorescence - Anti-CD3 epsilon antibody [EPR22667-12] - BSA and Azide free (AB255697)
  • ICC/IF

Unknown

Immunocytochemistry/ Immunofluorescence - Anti-CD3 epsilon antibody [EPR22667-12] - BSA and Azide free (AB255697)

Immunofluorescent analysis of 4% paraformaldehyde-fixed, 0.1% Triton X-100 permeabilized EL4.IL2 (mouse lymphoma T lymphocyte cell line) cells labeling CD3 epsilon with ab231775 at 1/100 dilution, followed by Goat Anti-Rabbit IgG H&L (Alexa Fluor® 488) (ab150077) secondary antibody at 1/1000 dilution (green). Confocal image showing membranous and cytoplasmic staining in EL4.IL2 cell line is observed. The nuclear counter stain is DAPI (blue). Tubulin is detected with Anti-alpha Tubulin antibody [DM1A] - Microtubule Marker (Alexa Fluor® 594) (ab195889) at 1/200 dilution (red).

Antibody only control : Used PBS instead of primary antibody, followed by Goat Anti-Rabbit IgG H&L (Alexa Fluor® 488) (ab150077) secondary antibody at 1/1000 dilution.

This data was developed using the same antibody clone in a different buffer formulation containing PBS, BSA, glycerol, and sodium azide (ab231775).

Immunohistochemistry (Formalin/PFA-fixed paraffin-embedded sections) - Anti-CD3 epsilon antibody [EPR22667-12] - BSA and Azide free (AB255697)
  • IHC-P

Unknown

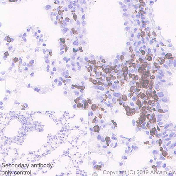
Immunohistochemistry (Formalin/PFA-fixed paraffin-embedded sections) - Anti-CD3 epsilon antibody [EPR22667-12] - BSA and Azide free (AB255697)

Immunohistochemical analysis of paraffin-embedded mouse lung tissue labeling CD3 epsilon with ab231775 at 1/5000 dilution, followed by Goat Anti-Rabbit IgG H&L (HRP) ready to use. Positive staining on the T lymphocytes on mouse lung (PMID : 22888136) is observed. Counter stained with hematoxylin.

Secondary antibody only control : Used PBS instead of primary antibody, secondary antibody is Goat Anti-Rabbit IgG H&L (HRP) ready to use.

Heat mediated antigen retrieval using ab93684 (Tris/EDTA buffer, pH 9.0).

This data was developed using the same antibody clone in a different buffer formulation containing PBS, BSA, glycerol, and sodium azide (ab231775).

Immunoprecipitation - Anti-CD3 epsilon antibody [EPR22667-12] - BSA and Azide free (AB255697)
  • IP

Unknown

Immunoprecipitation - Anti-CD3 epsilon antibody [EPR22667-12] - BSA and Azide free (AB255697)

CD3 epsilon was immunoprecipitated from 0.35 mg of EL4.IL2 (mouse lymphoma T lymphocyte cell line) whole cell lysate with ab231775 at 1/30 dilution. Western blot was performed from the immunoprecipitate using ab231775 at 1/1000 dilution. VeriBlot for IP Detection Reagent (HRP) (ab131366), was used as secondary antibody at 1/5000 dilution.

Lane 1 : EL4.IL2 whole cell lysate [amount of lysate 10 μg (Input).
Lane 2 : ab231775 IP in EL4.IL2 whole cell lysate.
Lane 3 : Rabbit monoclonal IgG (ab172730) instead of ab231775 in EL4.IL2 whole cell lysate.

Blocking and dilution buffer and concentration : 5% NFDM/TBST.
Exposure time : 30 seconds.

This data was developed using the same antibody clone in a different buffer formulation containing PBS, BSA, glycerol, and sodium azide (ab231775).

All lanes:

Immunoprecipitation - Anti-CD3 epsilon antibody [EPR22667-12] (<a href='/en-us/products/primary-antibodies/cd3-epsilon-antibody-epr22667-12-ab231775'>ab231775</a>)

Predicted band size: 23 kDa

Observed band size: 22 kDa

false

Key facts

Host species

Rabbit

Clonality

Monoclonal

Clone number

EPR22667-12

Isotype

IgG

Carrier free

Yes

Reacts with

Mouse

Applications

WB, ICC/IF, IP, IHC-P

applications

Immunogen

The exact immunogen used to generate this antibody is proprietary information.

Reactivity data

{ "title": "Reactivity Data", "filters": { "stats": ["", "Species", "Dilution Info", "Notes"], "tabs": { "all-applications": {"fullname" : "All Applications", "shortname": "All Applications"}, "IP" : {"fullname" : "Immunoprecipitation", "shortname":"IP"}, "FlowCyt" : {"fullname" : "Flow Cytometry", "shortname":"Flow Cyt"}, "WB" : {"fullname" : "Western blot", "shortname":"WB"}, "ICCIF" : {"fullname" : "Immunocytochemistry/ Immunofluorescence", "shortname":"ICC/IF"}, "IHCP" : {"fullname" : "Immunohistochemistry (Formalin/PFA-fixed paraffin-embedded sections)", "shortname":"IHC-P"} }, "product-promise": { "all": "all", "testedAndGuaranteed": "tested", "guaranteed": "expected", "predicted": "predicted", "notRecommended": "not-recommended" } }, "values": { "Mouse": { "IP-species-checked": "testedAndGuaranteed", "IP-species-dilution-info": "", "IP-species-notes": "<p></p>", "FlowCyt-species-checked": "notRecommended", "FlowCyt-species-dilution-info": "", "FlowCyt-species-notes": "<p></p>", "WB-species-checked": "guaranteed", "WB-species-dilution-info": "", "WB-species-notes": "<p></p>", "ICCIF-species-checked": "testedAndGuaranteed", "ICCIF-species-dilution-info": "", "ICCIF-species-notes": "<p></p>", "IHCP-species-checked": "testedAndGuaranteed", "IHCP-species-dilution-info": "", "IHCP-species-notes": "<p></p>" } } }

Product details

ab255697 is the carrier-free version of ab231775.

Patented technology
Our RabMAb® technology is a patented hybridoma-based technology for making rabbit monoclonal antibodies. For details on our patents, please refer to RabMAb® patents.

What are the advantages of a recombinant monoclonal antibody?
This product is a recombinant monoclonal antibody, which offers several advantages including:

  • - High batch-to-batch consistency and reproducibility
  • - Improved sensitivity and specificity
  • - Long-term security of supply
  • - Animal-free batch production

For more information, read more on recombinant antibodies.

Conjugation ready
Our carrier-free antibodies are typically supplied in a PBS-only formulation, purified and free of BSA, sodium azide and glycerol. This conjugation-ready format is designed for use with fluorochromes, metal isotopes, oligonucleotides, and enzymes, which makes them ideal for antibody labelling, functional and cell-based assays, flow-based assays (e.g. mass cytometry) and Multiplex Imaging applications.

Use our conjugation kits for antibody conjugates that are ready-to-use in as little as 20 minutes with 1 minute hands-on-time and 100% antibody recovery: available for fluorescent dyes, HRP, biotin and gold.

Compatibility
This product is compatible with the Maxpar® Antibody Labeling Kit from Fluidigm, without the need for antibody preparation. Maxpar® is a trademark of Fluidigm Canada Inc.

Properties and storage information

Form
Liquid
Purification technique
Affinity purification Protein A
Storage buffer
pH: 7.2 - 7.4 Constituents: PBS
Shipped at conditions
Blue Ice
Appropriate short-term storage conditions
+4°C
Appropriate long-term storage conditions
+4°C
Storage information
Do Not Freeze

Product protocols

For this product, it's our understanding that no specific protocols are required. You can visit:

Target data

Part of the TCR-CD3 complex present on T-lymphocyte cell surface that plays an essential role in adaptive immune response. When antigen presenting cells (APCs) activate T-cell receptor (TCR), TCR-mediated signals are transmitted across the cell membrane by the CD3 chains CD3D, CD3E, CD3G and CD3Z. All CD3 chains contain immunoreceptor tyrosine-based activation motifs (ITAMs) in their cytoplasmic domain. Upon TCR engagement, these motifs become phosphorylated by Src family protein tyrosine kinases LCK and FYN, resulting in the activation of downstream signaling pathways. In addition of this role of signal transduction in T-cell activation, CD3E plays an essential role in correct T-cell development (PubMed : 19956738, PubMed : 24899501). Participates also in internalization and cell surface down-regulation of TCR-CD3 complexes via endocytosis sequences present in CD3E cytosolic region. In addition to its role as a TCR coreceptor, it serves as a receptor for ITPRIPL1. Ligand recognition inhibits T-cell activation by promoting interaction with NCK1, which prevents CD3E-ZAP70 interaction and blocks the ERK-NFkB signaling cascade and calcium influx (By similarity).
See full target information Cd3e

Publications (1)

Recent publications for all applications. Explore the full list and refine your search

Acta neuropathologica communications 13:86 PubMed40307956

2025

Prion replication in organotypic brain slice cultures is distinct from in vivo inoculation and is species dependent.

Applications

Unspecified application

Species

Unspecified reactive species

Jessy A Slota,Lise Lamoureux,Jennifer Myskiw,Kathy L Frost,Sarah J Medina,Dominic M S Kielich,Melanie Leonhardt,Gunjan Thapar,Ben A Bailey-Elkin,Stephanie A Booth
View all publications

Product promise

We are committed to supporting your work with high-quality reagents, and we're here for you every step of the way. In the unlikely event that one of our products does not perform as expected, you're protected by our Product Promise.
For full details, please see our Terms & Conditions

Please note: All products are 'FOR RESEARCH USE ONLY. NOT FOR USE IN DIAGNOSTIC OR THERAPEUTIC PROCEDURES'.

For licensing inquiries, please contact partnerships@abcam.com