JavaScript is disabled in your browser. Please enable JavaScript to view this website.
AB205228

Anti-CD3 epsilon antibody [SP7] - BSA and Azide free

1

(1 Review)

|

(11 Publications)

Anti-CD3 epsilon antibody [SP7] - BSA and Azide free (ab205228) is a rabbit monoclonal antibody provided in a PBS only buffer for easy conjugation detecting CD3 epsilon in Western Blot, Flow Cytometry (Intra), IHC-P, mIHC. Suitable for Human, Mouse, Rat.

- BSA, sodium azide, and glycerol-free for easy conjugation
- Multiplex IHC validated on the Leica BOND® MAX using Opal reagents
- Over 10 publications

View Alternative Names

CD3e, T3E, CD3E, T-cell surface glycoprotein CD3 epsilon chain, T-cell surface antigen T3/Leu-4 epsilon chain

27 Images
Multiplex immunohistochemistry - Anti-CD3 epsilon antibody [SP7] - BSA and Azide free (AB205228)
  • mIHC

Lab

Multiplex immunohistochemistry - Anti-CD3 epsilon antibody [SP7] - BSA and Azide free (AB205228)

This data was developed using ab16669, the same antibody clone in a different buffer formulation. Panel A : merged staining of anti-CD68 (magenta; Opal™690), anti-CD3 epsilon (green; Opal™520) and anti-CD19 (red; Opal™570) on Formalin/PFA-fixed paraffin-embedded sections of human spleen. Secondary antibody was Opal Polymer HRP Ms + Rb, and couterstaining was with DAPI. Panel B : anti-CD3 epsilon stained on T cells with ab16669 at 1/500 dilution Panel C : anti-CD19 stained on B cells with ab237772 at 1/5000 dilution Panel D : anti-CD68 stained on macrophages with ab213363 1/500 dilution The section was incubated in three rounds of staining : in the order of ab213363 and ab16669 for 30 mins, then ab237772 for 10 mins at room temperature. Each round was followed by a separate fluorescent tyramide signal amplification system. Heat mediated antigen retrieval with Tris-EDTA buffer (pH 9.0, epitope retrieval solution2) for 20 mins. The immunostaining was performed on a Leica Biosystems BOND® RX instrument with an Opal™ 4-color kit. Image acquisition was performed with Leica SP8 confocal microscope.

Multiplex immunohistochemistry - Anti-CD3 epsilon antibody [SP7] - BSA and Azide free (AB205228)
  • mIHC

Lab

Multiplex immunohistochemistry - Anti-CD3 epsilon antibody [SP7] - BSA and Azide free (AB205228)

This data was developed using ab16669, the same antibody clone in a different buffer formulation.

Panel A : merged staining of anti-CD19 (green; Opal™520), anti-CD19 (magenta; Opal™570) and anti-CD3 (yellow; Opal™690) on human tonsil. Panel B : anti-CD19 staining the B lymphocytes in human tonsil. Panel C : anti-CD19 staining the B lymphocytes in human tonsil. Panel D : anti-CD3 staining the T lymphocytes in human tonsil. Nuclear DNA was labeled with DAPI (shown in blue). The section was incubated in three rounds of staining : in the order of ab320735 at 1/2000 dilution, ab237772 at 1/5000 dilution and ab16669 at 1/150 dilution for 30 mins at room temperature. Each round was followed by a separate fluorescent tyramide signal amplification system. The secondary used was Opal Polymer HRP Ms + Rb. Heat mediated antigen retrieval with Tris-EDTA buffer (pH 9.0, epitope retrieval solution2) for 20 mins. The immunostaining was performed on a Leica Biosystems BOND® RX instrument with an Opal™ 4-color kit. Image acquisition was performed with Leica SP8 confocal microscope.

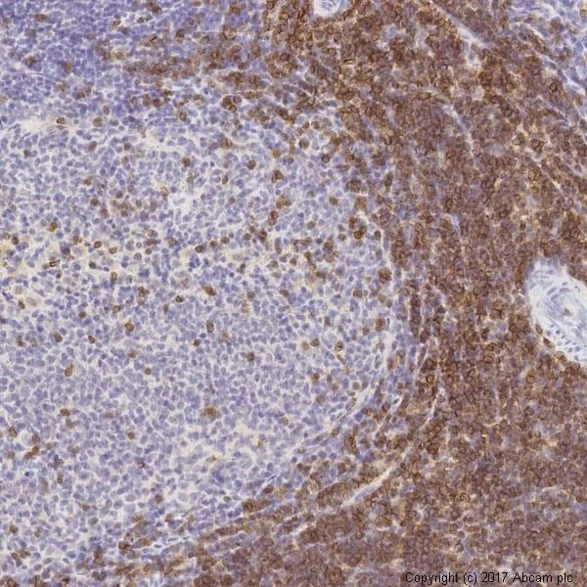
Immunohistochemistry (Formalin/PFA-fixed paraffin-embedded sections) - Anti-CD3 epsilon antibody [SP7] - BSA and Azide free (AB205228)
  • IHC-P

PubMed

Immunohistochemistry (Formalin/PFA-fixed paraffin-embedded sections) - Anti-CD3 epsilon antibody [SP7] - BSA and Azide free (AB205228)

This data was developed using ab16669, the same antibody clone in a different buffer formulation.

IHC using multi-spectral imaging on human lymph node (A-C) obtained from men with mCRPC. A) H+E staining and B) single-color images (plus nuclear stain; DAPI) of CD3 epsilon (ab16669), CD8 (ab101500), CD163, PD-L1, cytokeratin (CK), DAPI and C) merged. H+E stating at 20X magnification; multi-spectral images 200X magnification.

Image from Graff JN et al.,Oncotarget 7(33), 52810 - 52817. Fig 2,; doi: 10.18632/oncotarget.10547. Reproduced under the Creative Commons license http://creativecommons.org/licenses/by/3.0/.

Immunohistochemistry (Formalin/PFA-fixed paraffin-embedded sections) - Anti-CD3 epsilon antibody [SP7] - BSA and Azide free (AB205228)
  • IHC-P

Supplier Data

Immunohistochemistry (Formalin/PFA-fixed paraffin-embedded sections) - Anti-CD3 epsilon antibody [SP7] - BSA and Azide free (AB205228)

This data was developed using ab16669, the same antibody clone in a different buffer formulation.

IHC image of CD3 epsilon staining in a formalin fixed, paraffin embedded normal human tonsil tissue section*, performed on a Leica Bond™ system using the standard protocol F. The section was pre-treated using heat mediated antigen retrieval with sodium citrate buffer (pH6, epitope retrieval solution 1) for 20 mins. The section was then incubated with ab16669 at 1/100 dilution for 15 mins at room temperature and detected using an HRP conjugated compact polymer system. DAB was used as the chromogen. The section was then counterstained with haematoxylin and mounted with DPX.

For other IHC staining systems (automated and non-automated) customers should optimize variable parameters such as antigen retrieval conditions, primary antibody concentration and antibody incubation times.

*Tissue obtained from the Human Research Tissue Bank, supported by the NIHR Cambridge Biomedical Research Centre.

Multiplex immunohistochemistry - Anti-CD3 epsilon antibody [SP7] - BSA and Azide free (AB205228)
  • mIHC

Supplier Data

Multiplex immunohistochemistry - Anti-CD3 epsilon antibody [SP7] - BSA and Azide free (AB205228)

This data was developed using ab16669, the same antibody clone in a different buffer formulation.

Fluorescence multiplex immunohistochemical analysis of normal human tonsil tissue (formalin-fixed paraffin-embedded section).

Merged staining of anti-PD1 (ab237728; orange; Opal™520), anti-PDL1 (ab237726; green; Opal™540), anti-CD68 (ab192847; yellow; Opal™570), anti-CD3 epsilon (ab16669; red; Opal™620), anti-Ki67 (ab16667; light blue; Opal™650) and anti-PanCK (ab7753; grey; Opal™690).

The immunostaining was performed on a Leica Biosystems BOND® RX instrument with an Opal™ 7-color automation IHC kit (NEL821001KT, Akoya Biosciences®).

The section was incubated in six rounds of staining; in the order of ab237728 (1/500 dilution), ab237726 (1/500 dilution), ab192847 (1/300 dilution), ab16669 (1/300 dilution), ab16667 (1/200 dilution) and ab7753 (1/200 dilution); each using a separate fluorescent tyramide signal amplification system.

Sodium citrate antigen retrieval (Leica ER1, pH6.0, 30 minutes) was used in between rounds of tyramide signal amplification to remove the antibody from the previous round, to avoid any cross-reactivity.

DAPI (dark blue) was used as a nuclear counter stain.

Microscopy and pseudocoloring of individual Opal™ dyes was performed using a Vectra Polaris.

Multiplex immunohistochemistry - Anti-CD3 epsilon antibody [SP7] - BSA and Azide free (AB205228)
  • mIHC

Lab

Multiplex immunohistochemistry - Anti-CD3 epsilon antibody [SP7] - BSA and Azide free (AB205228)

Fluorescence multiplex immunohistochemical analysis of the human duodenum (Formalin/PFA-fixed paraffin-embedded sections). Panel A : merged staining of anti-liver FABP (ab240401 gray; Opal™690), anti-CD3 epsilon (ab16669 green; Opal™520) and anti-CD68 (ab213363 red; Opal™570) on human duodenum. Panel B : anti-liver FABP stained on enterocytes. Panel C : anti-CD3 epsilon stained on T cells. Panel D : anti-CD68 stained on macrophages. Opal Polymer HRP Ms + Rb was used as a secondary antibody. The immunostaining was performed on a Leica Biosystems BOND® RX instrument with an Opal™ 4-color kit. The section was incubated in three rounds of staining : in the order of ab240401 (1/8000 dilution), ab16669 (1/150 dilution) and ab213363 (1/500 dilution) for 30 mins at room temperature. Each round was followed by a separate fluorescent tyramide signal amplification system. Heat mediated antigen retrieval with Tris-EDTA buffer (pH 9.0 epitope retrieval solution2) for 20 mins. DAPI (blue) was used as a nuclear counter stain. Image acquisition was performed with Leica SP8 confocal microscope.

This data was developed using ab16669, the same antibody clone in a different buffer formulation.

Multiplex immunohistochemistry - Anti-CD3 epsilon antibody [SP7] - BSA and Azide free (AB205228)
  • mIHC

Supplier Data

Multiplex immunohistochemistry - Anti-CD3 epsilon antibody [SP7] - BSA and Azide free (AB205228)

This data was developed using ab16669, the same antibody clone in a different buffer formulation. Multiplex immunohistochemistry analysis of formalin/PFA-fixed paraffin-embedded Human thymus tissue labeling CD3 epsilon with ab16669 at 1/500 dilution, LY75/DEC-205 with ab208649 at 1/15000, and CD68 with ab213363 at 1/500 dilution. Panel A : merged staining of anti-CD68 (magenta; Opal™690), anti-CD3 epsilon (green; Opal™520) and anti-LY75/DEC-205 (red; Opal™570) on human thymus. Panel B : anti-CD3 epsilon stained on T cells. Panel C : anti-LY75/DEC-205 stained on thymic cortical epithelium and dendritic cells. Panel D : anti-CD68 stained on macrophages. Sections  were treated using heat mediated antigen retrieval with Tris-EDTA buffer (pH 9.0, epitope retrieval solution2) for 20 mins before antibody incubation. The section was incubated in three rounds of staining : in the order of ab213363, ab16669, and ab208649 for 30 mins at room temperature. Each round was followed by a separate fluorescent tyramide signal amplification system. DAPI was used as a nuclear counterstain. The immunostaining was performed on a Leica Biosystems BOND® RX instrument with an Opal™ 4-color kit. Image acquisition was performed with Leica SP8 confocal microscope.

Multiplex immunohistochemistry - Anti-CD3 epsilon antibody [SP7] - BSA and Azide free (AB205228)
  • mIHC

Lab

Multiplex immunohistochemistry - Anti-CD3 epsilon antibody [SP7] - BSA and Azide free (AB205228)

This data was developed using ab16669, the same antibody clone in a different buffer formulation. Panel A : merged staining of anti-CD31 (gray; Opal™690), anti-CD3 epsilon (green; Opal™520) and anti-CD19 (red; Opal™570) on Formalin/PFA-fixed paraffin-embedded sections of human spleen. Secondary antibody was Opal Polymer HRP Ms + Rb, nuclear counterstain was DAPI. Panel B : anti-CD3 epsilon stained on T cells with ab16669 at 1/500 dilution Panel C : anti-CD19 stained on B cells with ab237772 at 1/5000 dilution Panel D : anti-CD31 stained on endothelial cells with ab207090 at 1/500 dilution The section was incubated in three rounds of staining : in the order of ab207090 and ab16669 for 30 mins, then ab237772 for 10 mins at room temperature. Each round was followed by a separate fluorescent tyramide signal amplification system. The immunostaining was performed on a Leica Biosystems BOND® RX instrument with an Opal™ 4-color kit. Image acquisition was performed with Leica SP8 confocal microscope. Heat mediated antigen retrieval with Tris-EDTA buffer (pH 9.0, epitope retrieval solution2) for 20 mins

Multiplex immunohistochemistry - Anti-CD3 epsilon antibody [SP7] - BSA and Azide free (AB205228)
  • mIHC

Lab

Multiplex immunohistochemistry - Anti-CD3 epsilon antibody [SP7] - BSA and Azide free (AB205228)

This data was developed using ab16669, the same antibody clone in a different buffer formulation. Panel A : merged staining of anti-CD68 (gray; Opal™690), anti-CD3 epsilon (green; Opal™520) and anti-CD19 (red; Opal™570) on Formalin/PFA-fixed paraffin-embedded sections of human tonsil. Secondary antibody was Opal Polymer HRP Ms + Rb, and counterstaining was with DAPI. Panel B : anti-CD3 epsilon stained on T cells with ab16669 at 1/500 dilution Panel C : anti-CD19 stained on B cells with ab237772 at 1/5000 dilution Panel D : anti-CD68 stained on macrophages with ab213363 1/500 dilution The section was incubated in three rounds of staining : in the order of ab213363 and ab16669 for 30 mins, then ab237772 for 10 mins at room temperature. Each round was followed by a separate fluorescent tyramide signal amplification system. Heat mediated antigen retrieval with Tris-EDTA buffer (pH 9.0, epitope retrieval solution2) for 20 mins. The immunostaining was performed on a Leica Biosystems BOND® RX instrument with an Opal™ 4-color kit. Image acquisition was performed with Leica SP8 confocal microscope.

Multiplex immunohistochemistry - Anti-CD3 epsilon antibody [SP7] - BSA and Azide free (AB205228)
  • mIHC

Lab

Multiplex immunohistochemistry - Anti-CD3 epsilon antibody [SP7] - BSA and Azide free (AB205228)

Fluorescence multiplex immunohistochemical analysis of the human colon (Formalin/PFA-fixed paraffin-embedded sections). Panel A : merged staining of anti-liver FABP (ab240401 gray; Opal™690), anti-CD3 epsilon (ab16669 green; Opal™520) and anti-CD68 (ab213363 red; Opal™570) on human colon. Panel B : anti-liver FABP stained on enterocytes. Panel C : anti-CD3 epsilon stained on T cells. Panel D : anti-CD68 stained on macrophages. Opal Polymer HRP Ms + Rb was used as a secondary antibody. The immunostaining was performed on a Leica Biosystems BOND® RX instrument with an Opal™ 4-color kit. The section was incubated in three rounds of staining : in the order of ab240401 (1/8000 dilution), ab16669 (1/150 dilution) and ab213363 (1/500 dilution) for 30 mins at room temperature. Each round was followed by a separate fluorescent tyramide signal amplification system. Heat mediated antigen retrieval with Tris-EDTA buffer (pH 9.0 epitope retrieval solution2) for 20 mins. DAPI (blue) was used as a nuclear counter stain. Image acquisition was performed with Leica SP8 confocal microscope.

This data was developed using ab16669, the same antibody clone in a different buffer formulation.

Multiplex immunohistochemistry - Anti-CD3 epsilon antibody [SP7] - BSA and Azide free (AB205228)
  • mIHC

Lab

Multiplex immunohistochemistry - Anti-CD3 epsilon antibody [SP7] - BSA and Azide free (AB205228)

This data was developed using ab313573, the same antibody clone in a different buffer formulation.

Multiplex immunohistochemistry analysis of formalin/PFA-fixed paraffin-embedded human spleen tissue staining TCR delta with ab313573 at a 1/500 dilution, ab16669 anti-CD3 used at 1/100 dilution and ab227688 anti-CD19 used at a 1/100 dilution.

Panel A : merged staining of anti-TCR delta (green; Opal520), anti-CD3 (magenta; Opal570) and anti-CD19 (yellow; Opal690) on human spleen.
Panel B : anti-TCR delta staining immune cells in human spleen.
Panel C : anti-CD3 staining T lymphocytes in human spleen.
Panel D : anti-CD19 staining B lymphocytes in human spleen.
Nuclear DNA was labeled with DAPI (shown in blue).

The section was incubated in three rounds of staining : in the order of ab313573, ab16669 and ab227688 for 30 mins at room temperature. Each round was followed by a separate fluorescent tyramide signal amplification system.

The immunostaining was performed on a Leica Biosystems BOND® RX instrument with an Opal 4-color kit. Image acquisition was performed with Leica SP8 confocal microscope.

Nuclear counter stain with DAPI.

Heat mediated antigen retrieval was performed with Citrate buffer (pH 6.0, Epitope Retrieval Solution 1) for 20 mins.

Immunohistochemistry (Formalin/PFA-fixed paraffin-embedded sections) - Anti-CD3 epsilon antibody [SP7] - BSA and Azide free (AB205228)
  • IHC-P

Lab

Immunohistochemistry (Formalin/PFA-fixed paraffin-embedded sections) - Anti-CD3 epsilon antibody [SP7] - BSA and Azide free (AB205228)

Immunohistochemical analysis of formalin fixed paraffin embedded human tonsil labelling CD3 with ab205228 at a concentration of 0.01μg/ml. The immunostaining was performed on a Ventana DISCOVERY ULTRA (Roche Tissue Diagnostics) instrument with a OptiView DAB IHC Detection Kit. Heat mediated antigen retrieval was performed with DISCOVERY cell conditioning solution (CC1) 100°C, pH8.5 for 32mins.

ab205228 Anti-CD3 antibody [SP7] was incubated for 16mins at 37°C. Sections were counterstained with Hematoxylin II. Image inset shows absence of staining in secondary antibody only control.

Customers are encouraged to optimise antigen retrieval conditions, antibody concentration, incubation times and temperature for best results in their own IHC assay workflow (automated and manual).

Multiplex immunohistochemistry - Anti-CD3 epsilon antibody [SP7] - BSA and Azide free (AB205228)
  • mIHC

Lab

Multiplex immunohistochemistry - Anti-CD3 epsilon antibody [SP7] - BSA and Azide free (AB205228)

This data was developed using ab16669, the same antibody clone in a different buffer formulation.

Panel A : merged staining of anti-CD19 (green; Opal™520), anti-CD19 (magenta; Opal™570) and anti-CD3 (yellow; Opal™690) on human Hodgkin's lymphoma. Panel B : anti-CD19 staining the B lymphocytes in human Hodgkin's lymphoma. Panel C : anti-CD19 staining the B lymphocytes in human Hodgkin's lymphoma. Panel D : anti-CD3 staining the T lymphocytes in human Hodgkin's lymphoma. Nuclear DNA was labeled with DAPI (shown in blue). The section was incubated in three rounds of staining : in the order of ab320735 at 1/2000 dilution, ab237772 at 1/5000 dilution and ab16669 at 1/150 dilution for 30 mins at room temperature. Each round was followed by a separate fluorescent tyramide signal amplification system. The secondary used was Opal Polymer HRP Ms + Rb. Heat mediated antigen retrieval with Tris-EDTA buffer (pH 9.0, epitope retrieval solution2) for 20 mins. The immunostaining was performed on a Leica Biosystems BOND® RX instrument with an Opal™ 4-color kit. Image acquisition was performed with Leica SP8 confocal microscope.

Multiplex immunohistochemistry - Anti-CD3 epsilon antibody [SP7] - BSA and Azide free (AB205228)
  • mIHC

Lab

Multiplex immunohistochemistry - Anti-CD3 epsilon antibody [SP7] - BSA and Azide free (AB205228)

This data was developed using ab16669, the same antibody clone in a different buffer formulation.

Panel A : merged staining of anti-CD19 (green; Opal™520), anti-CD19 (green; Opal™570) and anti-CD3 (yellow; Opal™690) on human cerebrum. Panel B : anti-CD19 showed no staining in human cerebrum. Panel C : anti-CD19 showed no staining in human cerebrum. Panel D : anti-CD3 showed no staining in human cerebrum. Nuclear DNA was labeled with DAPI (shown in blue). The section was incubated in three rounds of staining : in the order of ab320735 at 1/2000 dilution, ab237772 at 1/5000 dilution and ab16669 at 1/150 dilution for 30 mins at room temperature. Each round was followed by a separate fluorescent tyramide signal amplification system. The secondary used was Opal Polymer HRP Ms + Rb. Heat mediated antigen retrieval with Tris-EDTA buffer (pH 9.0, epitope retrieval solution2) for 20 mins. The immunostaining was performed on a Leica Biosystems BOND® RX instrument with an Opal™ 4-color kit. Image acquisition was performed with Leica SP8 confocal microscope.

Immunohistochemistry (Formalin/PFA-fixed paraffin-embedded sections) - Anti-CD3 epsilon antibody [SP7] - BSA and Azide free (AB205228)
  • IHC-P

PubMed

Immunohistochemistry (Formalin/PFA-fixed paraffin-embedded sections) - Anti-CD3 epsilon antibody [SP7] - BSA and Azide free (AB205228)

This data was developed using ab16669, the same antibody clone in a different buffer formulation.

Immunohistochemical analysis of Human tonsil tissue, staining CD3 epsilon (green) with ab16669.

Antigen retrieval was performed by heat mediation in citrate buffer (pH 6) and blocked with 5% goat serum and 5% BSA for 1 hour at room temperature. Samples were incubated with primary antibody (1/100) overnight at 4°C. A Cy3®-conjugated anti-rabbit IgG was used as the secondary antibody.

Image from Moussion C et al., PLoS One. 2008 Oct 6;3(10):e3331. Fig 2.; doi:10.1371/journal.pone.0003331; October 6, 2008, PLoS ONE 3(10): e3331.

Flow Cytometry (Intracellular) - Anti-CD3 epsilon antibody [SP7] - BSA and Azide free (AB205228)
  • Flow Cyt (Intra)

Supplier Data

Flow Cytometry (Intracellular) - Anti-CD3 epsilon antibody [SP7] - BSA and Azide free (AB205228)

This data was developed using ab16669, the same antibody clone in a different buffer formulation.

Flow cytometric analysis of rabbit anti-CD3 epsilon (SP7) antibody ab16669 (1/100) in Jurkats cells (green) compare to negative control of rabbit IgG (blue).

Multiplex immunohistochemistry - Anti-CD3 epsilon antibody [SP7] - BSA and Azide free (AB205228)
  • mIHC

Lab

Multiplex immunohistochemistry - Anti-CD3 epsilon antibody [SP7] - BSA and Azide free (AB205228)

This data was developed using ab313573, the same antibody clone in a different buffer formulation.

Multiplex immunohistochemistry analysis of formalin/PFA-fixed paraffin-embedded human spleen tissue staining TCR delta with ab313573 at a 1/500 dilution, ab16669 anti-CD3 used at 1/100 dilution and ab227688 anti-CD19 used at a 1/100 dilution.

Panel A : merged staining of anti-TCR delta (green; Opal520), anti-CD3 (magenta; Opal570) and anti-CD19 (yellow; Opal690) on human colon.
Panel B : anti-TCR delta staining immune cells in human colon.
Panel C : anti-CD3 staining T lymphocytes in human colon.
Panel D : anti-CD19 staining B lymphocytes in human colon.
Nuclear DNA was labeled with DAPI (shown in blue).

The section was incubated in three rounds of staining : in the order of ab313573, ab16669 and ab227688 for 30 mins at room temperature. Each round was followed by a separate fluorescent tyramide signal amplification system.

The immunostaining was performed on a Leica Biosystems BOND® RX instrument with an Opal 4-color kit. Image acquisition was performed with Leica SP8 confocal microscope.

Nuclear counter stain with DAPI.

Heat mediated antigen retrieval was performed with Citrate buffer (pH 6.0, Epitope Retrieval Solution 1) for 20 mins..

Flow Cytometry (Intracellular) - Anti-CD3 epsilon antibody [SP7] - BSA and Azide free (AB205228)
  • Flow Cyt (Intra)

Supplier Data

Flow Cytometry (Intracellular) - Anti-CD3 epsilon antibody [SP7] - BSA and Azide free (AB205228)

This data was developed using ab16669, the same antibody clone in a different buffer formulation.

Human peripheral blood lymphocytes stained with ab16669 (red line). Human whole blood was processed using a modified protocol based on Chow et al, 2005 (PMID : 16080188). In brief, human whole blood was fixed in 4% formaldehyde (methanol-free) for 10 min at 22°C. Red blood cells were then lyzed by the addition of Triton X-100 (final concentration - 0.1%) for 15 min at 37°C. For experimentation, cells were treated with 50% methanol (-20°C) for 15 min at 4°C. Cells were then incubated with the antibody (ab16669, 1/1000 dilution) for 30 min at 4°C. The secondary antibody used was Goat Anti-Rabbit IgG H&L (Alexa Fluor® 488) (ab150077) at 1/2000 dilution for 30 min at 4°C. Isotype control antibody (black line) was rabbit IgG (monoclonal) (1μg/1x106 cells) used under the same conditions. Unlabelled sample (blue line) was also used as a control. Acquisition of >30,000 total events were collected using a 20mW Argon ion laser (488nm) and 525/30 bandpass filter. Gating strategy - peripheral blood lymphocytes.

Immunohistochemistry (Formalin/PFA-fixed paraffin-embedded sections) - Anti-CD3 epsilon antibody [SP7] - BSA and Azide free (AB205228)
  • IHC-P

AbReview57860****

Immunohistochemistry (Formalin/PFA-fixed paraffin-embedded sections) - Anti-CD3 epsilon antibody [SP7] - BSA and Azide free (AB205228)

This data was developed using ab16669, the same antibody clone in a different buffer formulation.

Immunohistochemical analysis of Formaldehyde fixed, paraffin-embedded rat spleen tissue sections labelling CD3 epsilon with ab16669 at a dilution of 1/100. Biotin conjugated Goat Anti-Rabbit IgG at 1/300 dilution was used as the secondary antibody. Antigen retrieval was heat mediated using citric acid.

This image is courtesy of an Abreview submitted by Carl Hobbs

Immunohistochemistry (Formalin/PFA-fixed paraffin-embedded sections) - Anti-CD3 epsilon antibody [SP7] - BSA and Azide free (AB205228)
  • IHC-P

Supplier Data

Immunohistochemistry (Formalin/PFA-fixed paraffin-embedded sections) - Anti-CD3 epsilon antibody [SP7] - BSA and Azide free (AB205228)

This data was developed using ab16669, the same antibody clone in a different buffer formulation.

IHC image of CD3 epsilon staining in mouse lymph node formalin fixed paraffin embedded tissue section, performed on a Leica Bond™ system using the standard protocol B. The section was pre-treated using heat mediated antigen retrieval with sodium citrate buffer (pH6, epitope retrieval solution 1) for 20 mins. The section was then incubated with ab16669 at 1/100 dilution for 15 mins at room temperature and detected using an HRP conjugated compact polymer system. DAB was used as the chromogen. The section was then counterstained with haematoxylin and mounted with DPX.

For other IHC staining systems (automated and non-automated) customers should optimize variable parameters such as antigen retrieval conditions, primary antibody concentration and antibody incubation times.

Multiplex immunohistochemistry - Anti-CD3 epsilon antibody [SP7] - BSA and Azide free (AB205228)
  • mIHC

Supplier Data

Multiplex immunohistochemistry - Anti-CD3 epsilon antibody [SP7] - BSA and Azide free (AB205228)

This data was developed using ab16669, the same antibody clone in a different buffer formulation. Multiplex immunohistochemistry analysis of formalin/PFA-fixed paraffin-embedded Rat spleen tissue labeling Sialoadhesin/CD169, CD3 epsilon and CD20 with ab312840 at 1/100 dilution, ab16669 at 1 : 150 dilution and ab236434 at 1 : 5000 dilution. Panel A : merged staining of anti-Sialoadhesin/CD169 (red; Opal™690), anti-CD3 epsilon (green; Opal™520) and anti-CD20 (gray; Opal™570) on rat spleen. Panel B : anti-Sialoadhesin/CD169 stained on macrophages. Panel C : anti-CD3 epsilon stained on T cells. Panel D : anti-CD20 stained on B cells. The section was incubated in three rounds of staining : in the order of ab312840, ab16669, and ab236434 for 30 mins at room temperature. Each round was followed by a separate fluorescent tyramide signal amplification system. The immunostaining was performed on a Leica Biosystems BOND® RX instrument with an Opal™ 4-color kit. Image acquisition was performed with Leica SP8 confocal microscope.

Immunohistochemistry (Formalin/PFA-fixed paraffin-embedded sections) - Anti-CD3 epsilon antibody [SP7] - BSA and Azide free (AB205228)
  • IHC-P

Supplier Data

Immunohistochemistry (Formalin/PFA-fixed paraffin-embedded sections) - Anti-CD3 epsilon antibody [SP7] - BSA and Azide free (AB205228)

This data was developed using ab16669, the same antibody clone in a different buffer formulation.

IHC image of CD3 epsilon staining in a formalin fixed, paraffin embedded normal rat spleen tissue section, performed on a Leica Bond™ system using the standard protocol F. The section was pre-treated using heat mediated antigen retrieval with sodium citrate buffer (pH6, epitope retrieval solution 1) for 20 mins. The section was then incubated with ab16669 at 1/100 dilution for 15 mins at room temperature and detected using an HRP conjugated compact polymer system. DAB was used as the chromogen. The section was then counterstained with haematoxylin and mounted with DPX.

For other IHC staining systems (automated and non-automated) customers should optimize variable parameters such as antigen retrieval conditions, primary antibody concentration and antibody incubation times.

Immunohistochemistry (Formalin/PFA-fixed paraffin-embedded sections) - Anti-CD3 epsilon antibody [SP7] - BSA and Azide free (AB205228)
  • IHC-P

AbReview6195****

Immunohistochemistry (Formalin/PFA-fixed paraffin-embedded sections) - Anti-CD3 epsilon antibody [SP7] - BSA and Azide free (AB205228)

This data was developed using ab16669, the same antibody clone in a different buffer formulation.

ab16669 staining rat infarcted heart tissue by Immunohistochemistry (Formalin/PFA-fixed paraffin-embedded sections).

Myocardial infarction was produced in a rat model following the ligation of the left anterior descending (LAD) coronary artery. Tissue was harvested 6 w following infarct, fixed with Histochoice for 72 hr, paraffin sectioned and the slide was then baked prior to CD3 epsilon staining. ab16669 at 1/200 was incubated overnight at 4°C. The image was taken with a confocal laser scanning microscope and shows cells giving strong inmmunofluorescence staining for CD3 epsilon antigen (green), indicating presence of cells of T-lymphocytes origin in the infarct zone of the heart tissue, counterstained nuclei with DAPI (blue). Note, CD3 epsilon tended to be present in nests of 2-5 cells that were non-uniformly distributed in the infarct zone. In addition, the image shows that the CD3 epsilon localization is predominantly membrane based and to a certain extent intracytoplasmic.

This image is courtesy of an Abreview submitted by Dr Mal Niladri.

Multiplex immunohistochemistry - Anti-CD3 epsilon antibody [SP7] - BSA and Azide free (AB205228)
  • mIHC

Supplier Data

Multiplex immunohistochemistry - Anti-CD3 epsilon antibody [SP7] - BSA and Azide free (AB205228)

This data was developed using ab16669, the same antibody clone in a different buffer formulation. Multiplex immunohistochemistry analysis of formalin/PFA-fixed paraffin-embedded Mouse spleen tissue labeling Sialoadhesin/CD169, CD3 epsilon and CD20 with ab312840 at 1/100 dilution, ab16669 at 1 : 150 dilution and ab236434 at 1 : 5000 dilution. Panel A : merged staining of anti-Sialoadhesin/CD169 (red; Opal™690), anti-CD3 epsilon (green; Opal™520) and anti-CD20 (gray; Opal™570) on mouse spleen. Panel B : anti-Sialoadhesin/CD169 stained on macrophages. Panel C : anti-CD3 epsilon stained on T cells. Panel D : anti-CD20 stained on B cells. The section was incubated in three rounds of staining : in the order of ab312840, ab16669, and ab236434 for 30 mins at room temperature. Each round was followed by a separate fluorescent tyramide signal amplification system. The immunostaining was performed on a Leica Biosystems BOND® RX instrument with an Opal™ 4-color kit. Image acquisition was performed with Leica SP8 confocal microscope.

Western blot - Anti-CD3 epsilon antibody [SP7] - BSA and Azide free (AB205228)
  • WB

Supplier Data

Western blot - Anti-CD3 epsilon antibody [SP7] - BSA and Azide free (AB205228)

This data was developed using ab16669, the same antibody clone in a different buffer formulation.

Lanes 1 - 6 : Merged signal (red and green). Green – ab16669 observed at 23 kDa. Red - loading control, ab8245, observed at 37 kDa.

This blot was produced using a 4-12% Bis-tris gel under the MES buffer system. The gel was run at 200V for 50 minutes before being transferred onto a Nitrocellulose membrane at 30V for 70 minutes. The membrane was then blocked for an hour using Licor blocking buffer before being incubated with ab16669 and ab8245 (loading control) overnight at 4°C. Antibody binding was detected using Goat anti-Rabbit IgG H&L (IRDye® 800CW) preadsorbed (ab216773) and Goat anti-Mouse IgG H&L (IRDye® 680RD) preadsorbed (ab216776) at a 1 : 10000 dilution for 1hr at room temperature and then imaged.

All lanes:

Western blot - Anti-CD3 epsilon antibody [SP7] - BSA and Azide free (ab205228) at 1/25 dilution

Lane 1:

THP1 whole cell lysate (-ve control) at 15 µg

Lane 2:

Raji whole cell lysate (-ve control) at 15 µg

Lane 3:

Jurkat whole cell lysate at 15 µg

Lane 4:

Human Thymus tissue lysate at 15 µg

Lane 5:

Mouse Thymus tissue lysate at 15 µg

Lane 6:

Rat Thymus tissue lysate at 15 µg

Secondary

All lanes:

Western blot - Goat anti-Rabbit IgG H&L (IRDye® 800CW) preadsorbed (<a href='/en-us/products/secondary-antibodies/goat-rabbit-igg-h-l-irdye-800cw-preadsorbed-ab216773'>ab216773</a>) at 1/10000 dilution

Predicted band size: 19 kDa

Observed band size: 23 kDa

true

Western blot - Anti-CD3 epsilon antibody [SP7] - BSA and Azide free (AB205228)
  • WB

Lab

Western blot - Anti-CD3 epsilon antibody [SP7] - BSA and Azide free (AB205228)

This data was developed using ab16669, the same antibody clone in a different buffer formulation.

Negative control : U-937, Raji, brain.

All lanes:

Western blot - Anti-CD3 epsilon antibody [SP7] (<a href='/en-us/products/primary-antibodies/cd3-epsilon-antibody-sp7-ab16669'>ab16669</a>) at 1/1000 dilution

Lane 1:

Jurkat (Human T cell leukemia T lymphocyte) whole cell lysate at 20 µg

Lane 2:

MOLT-4 (Human lymphoblastic leukemia T lymphoblast) whole cell lysate at 20 µg

Lane 3:

U-937 (Human histiocytic lymphoma monocyte) whole cell lysate at 20 µg

Lane 4:

Raji (Human Burkitt's lymphoma B lymphocyte) whole cell lysate at 20 µg

Lane 5:

EL4.IL-2 (mouse lymphoma T lymphocyte) whole cell lysate at 20 µg

Lane 6:

Mouse thymus lysate at 20 µg

Lane 7:

Mouse brain lysate at 20 µg

Lane 8:

Rat thymus lysate at 20 µg

Lane 9:

Rat brain lysate at 20 µg

Secondary

All lanes:

Western blot - Goat Anti-Rabbit IgG H&L (HRP) (<a href='/en-us/products/secondary-antibodies/goat-rabbit-igg-h-l-hrp-ab97051'>ab97051</a>) at 1/20000 dilution

Observed band size: 23 kDa

false

Exposure time: 180s

Immunohistochemistry (Formalin/PFA-fixed paraffin-embedded sections) - Anti-CD3 epsilon antibody [SP7] - BSA and Azide free (AB205228)
  • IHC-P

AbReview62458****

Immunohistochemistry (Formalin/PFA-fixed paraffin-embedded sections) - Anti-CD3 epsilon antibody [SP7] - BSA and Azide free (AB205228)

This data was developed using ab16669, the same antibody clone in a different buffer formulation.

ab16669 staining CD3 epsilon in Mouse Epidydimal fat pad tissue sections by Immunohistochemistry (Formalin/PFA-fixed paraffin embedded sections). Tissue sections were fixed with formaldehyde, blocked with 5% serum for 4 hours at 25°C and permeabilized with Triton X-100. Samples were incubated with primary antibody (1/100 in PBST with BSA and goat serum) for 4°C at 12 hours. An Alexa Fluor® 568 goat anti-rabbit IgG (H + L) cross adsorbed was used as the secondary antibody.

This image is courtesy of an Abreview submitted by Ying Li.

Key facts

Host species

Rabbit

Clonality

Monoclonal

Clone number

SP7

Isotype

IgG

Carrier free

Yes

Reacts with

Rat, Human, Mouse

Applications

IHC-P, WB, Flow Cyt (Intra), mIHC

applications

Immunogen

The exact immunogen used to generate this antibody is proprietary information.

Reactivity data

{ "title": "Reactivity Data", "filters": { "stats": ["", "Species", "Dilution Info", "Notes"], "tabs": { "all-applications": {"fullname" : "All Applications", "shortname": "All Applications"}, "FlowCytIntra" : {"fullname" : "Flow Cytometry (Intracellular)", "shortname":"Flow Cyt (Intra)"}, "WB" : {"fullname" : "Western blot", "shortname":"WB"}, "mIHC" : {"fullname" : "Multiplex immunohistochemistry", "shortname":"mIHC"}, "IHCP" : {"fullname" : "Immunohistochemistry (Formalin/PFA-fixed paraffin-embedded sections)", "shortname":"IHC-P"} }, "product-promise": { "all": "all", "testedAndGuaranteed": "tested", "guaranteed": "expected", "predicted": "predicted", "notRecommended": "not-recommended" } }, "values": { "Human": { "FlowCytIntra-species-checked": "testedAndGuaranteed", "FlowCytIntra-species-dilution-info": "", "FlowCytIntra-species-notes": "<p><a href='/en-us/products/primary-antibodies/rabbit-igg-monoclonal-epr25a-isotype-control-ab172730'>ab172730</a> - Rabbit monoclonal IgG, is suitable for use as an isotype control with this antibody.</p><p>We recommend using Goat Anti-Rabbit IgG H&amp;L (Alexa Fluor<sup>®</sup> 488) (<a href='/en-us/products/secondary-antibodies/goat-rabbit-igg-h-l-alexa-fluor-488-ab150077'>ab150077</a>) secondary antibody.</p>", "WB-species-checked": "testedAndGuaranteed", "WB-species-dilution-info": "", "WB-species-notes": "<p></p>", "mIHC-species-checked": "testedAndGuaranteed", "mIHC-species-dilution-info": "", "mIHC-species-notes": "<p></p>", "IHCP-species-checked": "testedAndGuaranteed", "IHCP-species-dilution-info": "", "IHCP-species-notes": "<p>Boil tissue section in 10mM citrate buffer, pH 6.0 for 10 min followed by cooling at room temperature for 20 min.</p>" }, "Mouse": { "FlowCytIntra-species-checked": "guaranteed", "FlowCytIntra-species-dilution-info": "", "FlowCytIntra-species-notes": "", "WB-species-checked": "testedAndGuaranteed", "WB-species-dilution-info": "", "WB-species-notes": "<p></p>", "mIHC-species-checked": "testedAndGuaranteed", "mIHC-species-dilution-info": "", "mIHC-species-notes": "<p></p>", "IHCP-species-checked": "testedAndGuaranteed", "IHCP-species-dilution-info": "", "IHCP-species-notes": "<p>Boil tissue section in 10mM citrate buffer, pH 6.0 for 10 min followed by cooling at room temperature for 20 min.</p>" }, "Rat": { "FlowCytIntra-species-checked": "guaranteed", "FlowCytIntra-species-dilution-info": "", "FlowCytIntra-species-notes": "", "WB-species-checked": "testedAndGuaranteed", "WB-species-dilution-info": "", "WB-species-notes": "<p></p>", "mIHC-species-checked": "testedAndGuaranteed", "mIHC-species-dilution-info": "", "mIHC-species-notes": "<p></p>", "IHCP-species-checked": "testedAndGuaranteed", "IHCP-species-dilution-info": "", "IHCP-species-notes": "<p>Boil tissue section in 10mM citrate buffer, pH 6.0 for 10 min followed by cooling at room temperature for 20 min.</p>" }, "Baboon": { "FlowCytIntra-species-checked": "predicted", "FlowCytIntra-species-dilution-info": "", "FlowCytIntra-species-notes": "", "WB-species-checked": "predicted", "WB-species-dilution-info": "", "WB-species-notes": "", "mIHC-species-checked": "predicted", "mIHC-species-dilution-info": "", "mIHC-species-notes": "", "IHCP-species-checked": "predicted", "IHCP-species-dilution-info": "", "IHCP-species-notes": "" }, "Cat": { "FlowCytIntra-species-checked": "predicted", "FlowCytIntra-species-dilution-info": "", "FlowCytIntra-species-notes": "", "WB-species-checked": "predicted", "WB-species-dilution-info": "", "WB-species-notes": "", "mIHC-species-checked": "predicted", "mIHC-species-dilution-info": "", "mIHC-species-notes": "", "IHCP-species-checked": "predicted", "IHCP-species-dilution-info": "", "IHCP-species-notes": "" }, "Chicken": { "FlowCytIntra-species-checked": "predicted", "FlowCytIntra-species-dilution-info": "", "FlowCytIntra-species-notes": "", "WB-species-checked": "predicted", "WB-species-dilution-info": "", "WB-species-notes": "", "mIHC-species-checked": "predicted", "mIHC-species-dilution-info": "", "mIHC-species-notes": "", "IHCP-species-checked": "predicted", "IHCP-species-dilution-info": "", "IHCP-species-notes": "" }, "Cow": { "FlowCytIntra-species-checked": "predicted", "FlowCytIntra-species-dilution-info": "", "FlowCytIntra-species-notes": "", "WB-species-checked": "predicted", "WB-species-dilution-info": "", "WB-species-notes": "", "mIHC-species-checked": "predicted", "mIHC-species-dilution-info": "", "mIHC-species-notes": "", "IHCP-species-checked": "predicted", "IHCP-species-dilution-info": "", "IHCP-species-notes": "" }, "Dog": { "FlowCytIntra-species-checked": "predicted", "FlowCytIntra-species-dilution-info": "", "FlowCytIntra-species-notes": "", "WB-species-checked": "predicted", "WB-species-dilution-info": "", "WB-species-notes": "", "mIHC-species-checked": "predicted", "mIHC-species-dilution-info": "", "mIHC-species-notes": "", "IHCP-species-checked": "predicted", "IHCP-species-dilution-info": "", "IHCP-species-notes": "" }, "Horse": { "FlowCytIntra-species-checked": "predicted", "FlowCytIntra-species-dilution-info": "", "FlowCytIntra-species-notes": "", "WB-species-checked": "predicted", "WB-species-dilution-info": "", "WB-species-notes": "", "mIHC-species-checked": "predicted", "mIHC-species-dilution-info": "", "mIHC-species-notes": "", "IHCP-species-checked": "predicted", "IHCP-species-dilution-info": "", "IHCP-species-notes": "" }, "Pig": { "FlowCytIntra-species-checked": "predicted", "FlowCytIntra-species-dilution-info": "", "FlowCytIntra-species-notes": "", "WB-species-checked": "predicted", "WB-species-dilution-info": "", "WB-species-notes": "", "mIHC-species-checked": "predicted", "mIHC-species-dilution-info": "", "mIHC-species-notes": "", "IHCP-species-checked": "predicted", "IHCP-species-dilution-info": "", "IHCP-species-notes": "" }, "Rabbit": { "FlowCytIntra-species-checked": "predicted", "FlowCytIntra-species-dilution-info": "", "FlowCytIntra-species-notes": "", "WB-species-checked": "predicted", "WB-species-dilution-info": "", "WB-species-notes": "", "mIHC-species-checked": "predicted", "mIHC-species-dilution-info": "", "mIHC-species-notes": "", "IHCP-species-checked": "predicted", "IHCP-species-dilution-info": "", "IHCP-species-notes": "" }, "Woodchuck": { "FlowCytIntra-species-checked": "predicted", "FlowCytIntra-species-dilution-info": "", "FlowCytIntra-species-notes": "", "WB-species-checked": "predicted", "WB-species-dilution-info": "", "WB-species-notes": "", "mIHC-species-checked": "predicted", "mIHC-species-dilution-info": "", "mIHC-species-notes": "", "IHCP-species-checked": "predicted", "IHCP-species-dilution-info": "", "IHCP-species-notes": "" } } }

Product details

What is this antibody validated in?
Anti-CD3 epsilon antibody [SP7] - BSA and Azide free (ab205228) is a rabbit monoclonal antibody and is validated for use in Western Blot (WB), Flow Cytometry (Intra), Flow Cytometry (Flow Cyt), Immunohistochemistry (IHC-P), Multiplex IHC (mIHC) in Human, Mouse, Rat samples.

What is the molecular weight of CD3 epsilon?
Anti-CD3 epsilon [SP7] - BSA and Azide free (ab205228) specifically detects a band for CD3 epsilon (UniProt: P07766) at a molecular weight of 23kDa.

Collaboration
Anti-CD3 epsilon [SP7] - BSA and Azide free (ab205228) is a clone from the portfolio of Spring Bioscience (Roche) SP clones which have been optimised for immunohistochemistry (IHC).

Trusted by the scientific community
Anti-CD3 epsilon [SP7] - BSA and Azide free (ab205228) was first used in a scientific publication in 2015 and has been cited over 10 times in peer-reviewed journals.

Other related products
We have a range of other formats of antibody clone [SP7] also available for your convenience: ab16669, ab21703, Carrier free - ab205228, ab238627, ab279474

Properties and storage information

Form
Liquid
Purification technique
Affinity purification Protein A
Storage buffer
Constituents: PBS
Shipped at conditions
Blue Ice
Appropriate short-term storage duration
1-2 weeks
Appropriate short-term storage conditions
+4°C
Appropriate long-term storage conditions
+4°C
Aliquoting information
Upon delivery aliquot
Storage information
Do Not Freeze

Product protocols

For this product, it's our understanding that no specific protocols are required. You can visit:

Target data

Part of the TCR-CD3 complex present on T-lymphocyte cell surface that plays an essential role in adaptive immune response (PubMed : 15294938, PubMed : 15546002, PubMed : 2470098, PubMed : 40592325, PubMed : 8490660). When antigen presenting cells (APCs) activate T-cell receptor (TCR), TCR-mediated signals are transmitted across the cell membrane by the CD3 chains CD3D, CD3E, CD3G and CD247/CD3Z (PubMed : 2470098, PubMed : 40592325). All CD3 chains contain immunoreceptor tyrosine-based activation motifs (ITAMs) in their cytoplasmic domain (PubMed : 2470098, PubMed : 40592325). Upon TCR engagement, these motifs become phosphorylated by Src family protein tyrosine kinases LCK and FYN, resulting in the activation of downstream signaling pathways (PubMed : 2470098, PubMed : 40592325). CD3E ITAM phosphorylation creates docking sites for the protein kinase ZAP70 leading to ZAP70 phosphorylation and its conversion into a catalytically active enzyme (By similarity). In addition of this role of signal transduction in T-cell activation, CD3E plays an essential role in correct T-cell development (By similarity). Also participates in internalization and cell surface down-regulation of TCR-CD3 complexes via endocytosis sequences present in CD3E cytosolic region (PubMed : 10384095, PubMed : 26507128). In addition to its role as a TCR coreceptor, it serves as a receptor for ITPRIPL1 (PubMed : 38614099). Ligand recognition inhibits T-cell activation by promoting interaction with NCK1, which prevents CD3E-ZAP70 interaction and blocks the ERK-NFkB signaling cascade and calcium influx (PubMed : 12110186, PubMed : 38614099).
See full target information CD3E

Publications (11)

Recent publications for all applications. Explore the full list and refine your search

Nature immunology 24:186-199 PubMed36536106

2022

Adaptive immune responses to SARS-CoV-2 persist in the pharyngeal lymphoid tissue of children.

Applications

Unspecified application

Species

Unspecified reactive species

Qin Xu,Pedro Milanez-Almeida,Andrew J Martins,Andrea J Radtke,Kenneth B Hoehn,Cihan Oguz,Jinguo Chen,Can Liu,Juanjie Tang,Gabrielle Grubbs,Sydney Stein,Sabrina Ramelli,Juraj Kabat,Hengameh Behzadpour,Maria Karkanitsa,Jacquelyn Spathies,Heather Kalish,Lela Kardava,Martha Kirby,Foo Cheung,Silvia Preite,Patrick C Duncker,Moses M Kitakule,Nahir Romero,Diego Preciado,Lyuba Gitman,Galina Koroleva,Grace Smith,Arthur Shaffer,Ian T McBain,Peter J McGuire,Stefania Pittaluga,Ronald N Germain,Richard Apps,Daniella M Schwartz,Kaitlyn Sadtler,Susan Moir,Daniel S Chertow,Steven H Kleinstein,Surender Khurana,John S Tsang,Pamela Mudd,Pamela L Schwartzberg,Kalpana Manthiram

PloS one 12:e0179991 PubMed28662116

2017

Actinic keratosis modelling in mice: A translational study.

Applications

Unspecified application

Species

Unspecified reactive species

Arnaud Pillon,Bruno Gomes,Isabelle Vandenberghe,Valérie Cartron,Patrick Cèbe,Jean-Christophe Blanchet,Vincent Sibaud,Nicolas Guilbaud,Laurent Audoly,Laurence Lamant,Anna Kruczynski

Proceedings of the National Academy of Sciences of 113:E319-27 PubMed26729864

2016

Combination OX40 agonism/CTLA-4 blockade with HER2 vaccination reverses T-cell anergy and promotes survival in tumor-bearing mice.

Applications

Unspecified application

Species

Unspecified reactive species

Stefanie N Linch,Melissa J Kasiewicz,Michael J McNamara,Ian F Hilgart-Martiszus,Mohammad Farhad,William L Redmond

Cancer research 75:5228-34 PubMed26627015

2015

UV-Associated Mutations Underlie the Etiology of MCV-Negative Merkel Cell Carcinomas.

Applications

Unspecified application

Species

Unspecified reactive species

Stephen Q Wong,Kelly Waldeck,Ismael A Vergara,Jan Schröder,Jason Madore,James S Wilmott,Andrew J Colebatch,Ricardo De Paoli-Iseppi,Jason Li,Richard Lupat,Timothy Semple,Gisela Mir Arnau,Andrew Fellowes,J Helen Leonard,George Hruby,Graham J Mann,John F Thompson,Carleen Cullinane,Meredith Johnston,Mark Shackleton,Shahneen Sandhu,David D L Bowtell,Ricky W Johnstone,Stephen B Fox,Grant A McArthur,Anthony T Papenfuss,Richard A Scolyer,Anthony J Gill,Rodney J Hicks,Richard W Tothill

Cancer immunology research 3:926-35 PubMed25957117

2015

PD-1 and CD103 Are Widely Coexpressed on Prognostically Favorable Intraepithelial CD8 T Cells in Human Ovarian Cancer.

Applications

Unspecified application

Species

Unspecified reactive species

John R Webb,Katy Milne,Brad H Nelson

FASEB journal : official publication of the Federa 29:1914-29 PubMed25609430

2015

Molecular and cellular profiles of the resolution phase in a damage-associated molecular pattern (DAMP)-mediated peritonitis model and revelation of leukocyte persistence in peritoneal tissues.

Applications

Unspecified application

Species

Unspecified reactive species

Claire Lastrucci,Vincent Baillif,Annie Behar,Talal Al Saati,Marc Dubourdeau,Isabelle Maridonneau-Parini,Céline Cougoule

Blood 125:1435-43 PubMed25548321

2014

Evidence of an oncogenic role of aberrant TOX activation in cutaneous T-cell lymphoma.

Applications

Unspecified application

Species

Unspecified reactive species

Yuanshen Huang,Ming-Wan Su,Xiaoyan Jiang,Youwen Zhou

Molecular medicine reports 10:3059-67 PubMed25322804

2014

Expression of the Annexin A1 gene is associated with suppression of growth, invasion and metastasis of nasopharyngeal carcinoma.

Applications

Unspecified application

Species

Unspecified reactive species

Aifeng Liu,Weiguo Huang,Guqing Zeng,Xiaohua Ma,Xiao Zhou,Yafei Wang,Chenjie Ouyang,Ailan Cheng

Clinical cancer research : an official journal of the American Association for Cancer Research 20:1125-34 PubMed24323902

2013

Surveillance of the tumor mutanome by T cells during progression from primary to recurrent ovarian cancer.

Applications

Unspecified application

Species

Unspecified reactive species

Darin A Wick,John R Webb,Julie S Nielsen,Spencer D Martin,David R Kroeger,Katy Milne,Mauro Castellarin,Kwame Twumasi-Boateng,Peter H Watson,Rob A Holt,Brad H Nelson

Toxicologic pathology 42:984-96 PubMed24178579

2013

Persistent hepatic structural alterations following nanoceria vascular infusion in the rat.

Applications

Unspecified application

Species

Unspecified reactive species

Michael T Tseng,Qiang Fu,Khoua Lor,G Rafael Fernandez-Botran,Zhong-Bin Deng,Uschi Graham,D Allan Butterfield,Eric A Grulke,Robert A Yokel
View all publications

Product promise

We are committed to supporting your work with high-quality reagents, and we're here for you every step of the way. In the unlikely event that one of our products does not perform as expected, you're protected by our Product Promise.
For full details, please see our Terms & Conditions

Please note: All products are 'FOR RESEARCH USE ONLY. NOT FOR USE IN DIAGNOSTIC OR THERAPEUTIC PROCEDURES'.

For licensing inquiries, please contact partnerships@abcam.com