JavaScript is disabled in your browser. Please enable JavaScript to view this website.
AB272089

Anti-CD30 antibody [BLR055F] - BSA free

Be the first to review this product! Submit a review

|

(2 Publications)

Rabbit Recombinant Monoclonal CD30 antibody. Suitable for IHC-P, ICC, IP, WB and reacts with Human samples. Cited in 2 publications. Immunogen corresponding to Recombinant Fragment Protein within Human TNFRSF8 aa 1-400.

View Alternative Names

CD30, D1S166E, TNFRSF8, Tumor necrosis factor receptor superfamily member 8, CD30L receptor, Ki-1 antigen, Lymphocyte activation antigen CD30

3 Images
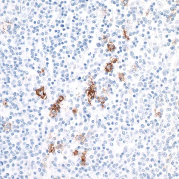
Immunohistochemistry (Formalin/PFA-fixed paraffin-embedded sections) - Anti-CD30 antibody [BLR055F] - BSA free (AB272089)
  • IHC-P

Supplier Data

Immunohistochemistry (Formalin/PFA-fixed paraffin-embedded sections) - Anti-CD30 antibody [BLR055F] - BSA free (AB272089)

Formalin-fixed, paraffin-embedded human tonsil tissue stained for CD30 using ab252561 at 1/250 dilution in immunohistochemical analysis. Secondary : HRP-conjugated goat anti-rabbit IgG. Detection : DAB staining.

This data was developed using the same antibody clone in a different buffer formulation containing Borate buffered saline, BSA, glycerol and sodium azide (ab252561).

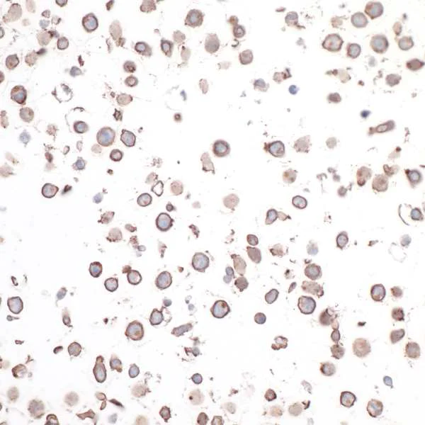
Immunocytochemistry - Anti-CD30 antibody [BLR055F] - BSA free (AB272089)
  • ICC

Supplier Data

Immunocytochemistry - Anti-CD30 antibody [BLR055F] - BSA free (AB272089)

Formalin-fixed, paraffin-embedded sections of SR (human large cell immunoblastic lymphoma cell line) cells stained for CD30 using ab252561 at 1/250 dilution in immunohistochemical analysis. Secondary : HRP-conjugated goat anti-rabbit IgG. Detection : DAB staining.

This data was developed using the same antibody clone in a different buffer formulation containing Borate buffered saline, BSA, glycerol and sodium azide (ab252561).

Immunoprecipitation - Anti-CD30 antibody [BLR055F] - BSA free (AB272089)
  • IP

Supplier Data

Immunoprecipitation - Anti-CD30 antibody [BLR055F] - BSA free (AB272089)

CD30 was immunoprecipitated from MJ (human cutaneous T cell lymphoma cell line) whole cell lysate (1 mg for IP, 20% of IP loaded) with ab252561 at 5 μL per reaction. Western blot was performed from the immunoprecipitate using ab252561 at 1/1000 dilution.

Lane 1 : ab252561 IP in MJ whole cell lysate.
Lane 2 : Control IgG IP in MJ whole cell lysate.

Detection : Chemiluminescence with exposure time of 30 seconds.

Lysates prepared in NETN buffer.

This data was developed using the same antibody clone in a different buffer formulation containing Borate buffered saline, BSA, glycerol and sodium azide (ab252561).

All lanes:

Immunoprecipitation - Anti-CD30 antibody [BLR055F] (<a href='/en-us/products/primary-antibodies/cd30-antibody-blr055f-ab252561'>ab252561</a>)

Predicted band size: 64 kDa

false

Key facts

Host species

Rabbit

Clonality

Monoclonal

Clone number

BLR055F

Isotype

IgG

Carrier free

No

Reacts with

Human

Applications

WB, ICC, IP, IHC-P

applications

Immunogen

Recombinant Fragment Protein within Human TNFRSF8 aa 1-400. The exact immunogen used to generate this antibody is proprietary information.

P28908

Reactivity data

{ "title": "Reactivity Data", "filters": { "stats": ["", "Species", "Dilution Info", "Notes"], "tabs": { "all-applications": {"fullname" : "All Applications", "shortname": "All Applications"}, "IHCP" : {"fullname" : "Immunohistochemistry (Formalin/PFA-fixed paraffin-embedded sections)", "shortname":"IHC-P"}, "ICC" : {"fullname" : "Immunocytochemistry", "shortname":"ICC"}, "IP" : {"fullname" : "Immunoprecipitation", "shortname":"IP"}, "WB" : {"fullname" : "Western blot", "shortname":"WB"} }, "product-promise": { "all": "all", "testedAndGuaranteed": "tested", "guaranteed": "expected", "predicted": "predicted", "notRecommended": "not-recommended" } }, "values": { "Human": { "IHCP-species-checked": "testedAndGuaranteed", "IHCP-species-dilution-info": "", "IHCP-species-notes": "<p></p>", "ICC-species-checked": "testedAndGuaranteed", "ICC-species-dilution-info": "", "ICC-species-notes": "<p></p>", "IP-species-checked": "testedAndGuaranteed", "IP-species-dilution-info": "", "IP-species-notes": "<p></p>", "WB-species-checked": "guaranteed", "WB-species-dilution-info": "", "WB-species-notes": "<p></p>" } } }

Product details

ab272089 is the BSA-free version of ab252561.

REACH authorisation
Abcam has not and does not intend to apply for the REACH Authorisation of customers' uses of products that contain European Authorisation list (Annex XIV) substances.
It is the responsibility of our customers to check the necessity of application of REACH Authorisation, and any other relevant authorisations, for their intended uses.

This product is sold under License from Bethyl Laboratories, Inc.

Properties and storage information

Form
Liquid
Purification notes
Purified from cell culture supernatant.
Storage buffer
pH: 8.2 Preservative: 0.09% Sodium azide Constituents: 99% Borate buffered saline
Shipped at conditions
Blue Ice
Appropriate short-term storage duration
1-2 weeks
Appropriate short-term storage conditions
+4°C
Appropriate long-term storage conditions
+4°C
Aliquoting information
Upon delivery aliquot
Storage information
Avoid freeze / thaw cycle

Product protocols

For this product, it's our understanding that no specific protocols are required. You can visit:

Target data

Receptor for TNFSF8/CD30L (PubMed : 8391931). May play a role in the regulation of cellular growth and transformation of activated lymphoblasts. Regulates gene expression through activation of NF-kappa-B (PubMed : 8999898).
See full target information TNFRSF8

Publications (2)

Recent publications for all applications. Explore the full list and refine your search

Frontiers in immunology 16:1619194 PubMed41063980

2025

Mendelian randomization combined with single-cell sequencing analysis revealed prognostic genes related to myeloid cell differentiation in prostate cancer and experimental verification.

Applications

Unspecified application

Species

Unspecified reactive species

Jianbai Chen,Jianxin Qiu,Wei Zhang,Zhiyong Nie,Xiaoping Gao,Gongquan Xu,Leiming Kang,Zhiming Zhang

Cell reports. Medicine 5:101851 PubMed39657667

2024

Multi-modal analysis reveals tumor and immune features distinguishing EBV-positive and EBV-negative post-transplant lymphoproliferative disorders.

Applications

Unspecified application

Species

Unspecified reactive species

Jiaying Toh,Andrea J Reitsma,Tetsuya Tajima,Sheren F Younes,Chimere Ezeiruaku,Kayla C Jenkins,Josselyn K Peña,Shuchun Zhao,Xi Wang,Esmond Y Z Lee,Marla C Glass,Laurynas Kalesinskas,Ananthakrishnan Ganesan,Irene Liang,Joy A Pai,James T Harden,Francesco Vallania,Edward A Vizcarra,Govind Bhagat,Fiona E Craig,Steven H Swerdlow,Julie Morscio,Daan Dierickx,Thomas Tousseyn,Ansuman T Satpathy,Sheri M Krams,Yasodha Natkunam,Purvesh Khatri,Olivia M Martinez
View all publications

Product promise

We are committed to supporting your work with high-quality reagents, and we're here for you every step of the way. In the unlikely event that one of our products does not perform as expected, you're protected by our Product Promise.
For full details, please see our Terms & Conditions

Please note: All products are 'FOR RESEARCH USE ONLY. NOT FOR USE IN DIAGNOSTIC OR THERAPEUTIC PROCEDURES'.

For licensing inquiries, please contact partnerships@abcam.com