JavaScript is disabled in your browser. Please enable JavaScript to view this website.
AB213047

Anti-CD30 antibody [CD30/412] - BSA and Azide free

Be the first to review this product! Submit a review

|

(1 Publication)

Mouse Monoclonal CD30 antibody. Carrier free. Suitable for IHC-P and reacts with Human samples. Cited in 1 publication. Immunogen corresponding to Recombinant Full Length Protein corresponding to Human TNFRSF8.

View Alternative Names

CD30, D1S166E, TNFRSF8, Tumor necrosis factor receptor superfamily member 8, CD30L receptor, Ki-1 antigen, Lymphocyte activation antigen CD30

2 Images
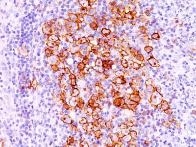
Immunohistochemistry (Formalin/PFA-fixed paraffin-embedded sections) - Anti-CD30 antibody [CD30/412] - BSA and Azide free (AB213047)
  • IHC-P

Supplier Data

Immunohistochemistry (Formalin/PFA-fixed paraffin-embedded sections) - Anti-CD30 antibody [CD30/412] - BSA and Azide free (AB213047)

Immunohistochemical analysis of formalin-fixed, paraffin-embedded Human Hodgkin's lymphoma tissue labeling CD30 with ab213047 at 1 μg/ml.

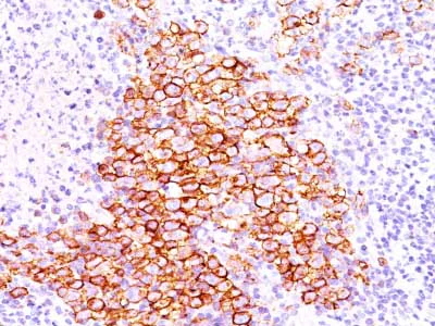
Immunohistochemistry (Formalin/PFA-fixed paraffin-embedded sections) - Anti-CD30 antibody [CD30/412] - BSA and Azide free (AB213047)
  • IHC-P

Supplier Data

Immunohistochemistry (Formalin/PFA-fixed paraffin-embedded sections) - Anti-CD30 antibody [CD30/412] - BSA and Azide free (AB213047)

Immunohistochemical analysis of formalin-fixed, paraffin-embedded Human Hodgkin's lymphoma tissue labeling CD30 with ab213047 at 1 μg/ml.

Key facts

Host species

Mouse

Clonality

Monoclonal

Clone number

CD30/412

Isotype

IgG1

Light chain type

kappa

Carrier free

Yes

Reacts with

Human

Applications

IHC-P

applications

Immunogen

Recombinant Full Length Protein corresponding to Human TNFRSF8.

P28908

Reactivity data

{ "title": "Reactivity Data", "filters": { "stats": ["", "Species", "Dilution Info", "Notes"], "tabs": { "all-applications": {"fullname" : "All Applications", "shortname": "All Applications"}, "IHCP" : {"fullname" : "Immunohistochemistry (Formalin/PFA-fixed paraffin-embedded sections)", "shortname":"IHC-P"} }, "product-promise": { "all": "all", "testedAndGuaranteed": "tested", "guaranteed": "expected", "predicted": "predicted", "notRecommended": "not-recommended" } }, "values": { "Human": { "IHCP-species-checked": "testedAndGuaranteed", "IHCP-species-dilution-info": "0.5-1 µg/mL", "IHCP-species-notes": "<p>(Primary incubation for 30 minutes at RT).</p>" } } }

Properties and storage information

Form
Liquid
Purification technique
Affinity purification Protein G
Purification notes
ab213047 was purified from Bioreactor Concentrate by Protein A/G.
Storage buffer
pH: 7.2 - 7.4 Constituents: PBS
Shipped at conditions
Blue Ice
Appropriate short-term storage duration
1-2 weeks
Appropriate short-term storage conditions
+4°C
Appropriate long-term storage conditions
-20°C
Aliquoting information
Upon delivery aliquot
Storage information
Avoid freeze / thaw cycle

Product protocols

For this product, it's our understanding that no specific protocols are required. You can visit:

Target data

Receptor for TNFSF8/CD30L (PubMed : 8391931). May play a role in the regulation of cellular growth and transformation of activated lymphoblasts. Regulates gene expression through activation of NF-kappa-B (PubMed : 8999898).
See full target information TNFRSF8

Publications (1)

Recent publications for all applications. Explore the full list and refine your search

Stem cell research & therapy 16:414 PubMed40739581

2025

Apoptotic vesicles of mesenchymal stem cells promote M2 polarization and alleviate early-onset preeclampsia via miR-191-5p.

Applications

Unspecified application

Species

Unspecified reactive species

Ling Li,Xu Lu,Qinghai Lian,Xiaoyun Wang,Changchang Jia,Chengfang Xu
View all publications

Product promise

We are committed to supporting your work with high-quality reagents, and we're here for you every step of the way. In the unlikely event that one of our products does not perform as expected, you're protected by our Product Promise.
For full details, please see our Terms & Conditions

Please note: All products are 'FOR RESEARCH USE ONLY. NOT FOR USE IN DIAGNOSTIC OR THERAPEUTIC PROCEDURES'.

For licensing inquiries, please contact partnerships@abcam.com