JavaScript is disabled in your browser. Please enable JavaScript to view this website.
AB230339

Anti-CD300a antibody

Be the first to review this product! Submit a review

|

(1 Publication)

Rabbit Polyclonal CD300a antibody. Suitable for WB, IHC-P and reacts with Mouse, Human samples. Cited in 1 publication. Immunogen corresponding to Recombinant Fragment Protein within Human CD300A aa 1-200.

View Alternative Names

CD300a, CMRF35H, IGSF12, HSPC083, CD300A, CMRF35-like molecule 8, CLM-8, CD300 antigen-like family member A, CMRF-35-H9, CMRF35-H, IRC1/IRC2, Immunoglobulin superfamily member 12, Inhibitory receptor protein 60, NK inhibitory receptor, CMRF35-H9, IgSF12, IRp60

2 Images
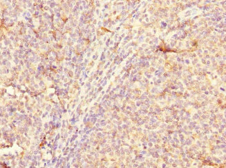
Immunohistochemistry (Formalin/PFA-fixed paraffin-embedded sections) - Anti-CD300a antibody (AB230339)
  • IHC-P

Supplier Data

Immunohistochemistry (Formalin/PFA-fixed paraffin-embedded sections) - Anti-CD300a antibody (AB230339)

Paraffin-embedded human tonsil tissue stained for CD300a using ab230339 at 1/100 dilution in immunohistochemical analysis.

Western blot - Anti-CD300a antibody (AB230339)
  • WB

Supplier Data

Western blot - Anti-CD300a antibody (AB230339)

All lanes:

Western blot - Anti-CD300a antibody (ab230339) at 1/1000 dilution

All lanes:

Mouse kidney lysate

Secondary

All lanes:

Goat polyclonal to rabbit IgG at 1/10000 dilution

Predicted band size: 33 kDa

Observed band size: 33 kDa

false

Key facts

Host species

Rabbit

Clonality

Polyclonal

Isotype

IgG

Carrier free

No

Reacts with

Mouse, Human

Applications

IHC-P, WB

applications

Immunogen

Recombinant Fragment Protein within Human CD300A aa 1-200. The exact immunogen used to generate this antibody is proprietary information.

Q9UGN4

Reactivity data

{ "title": "Reactivity Data", "filters": { "stats": ["", "Species", "Dilution Info", "Notes"], "tabs": { "all-applications": {"fullname" : "All Applications", "shortname": "All Applications"}, "WB" : {"fullname" : "Western blot", "shortname":"WB"}, "IHCP" : {"fullname" : "Immunohistochemistry (Formalin/PFA-fixed paraffin-embedded sections)", "shortname":"IHC-P"} }, "product-promise": { "all": "all", "testedAndGuaranteed": "tested", "guaranteed": "expected", "predicted": "predicted", "notRecommended": "not-recommended" } }, "values": { "Human": { "WB-species-checked": "guaranteed", "WB-species-dilution-info": "", "WB-species-notes": "", "IHCP-species-checked": "testedAndGuaranteed", "IHCP-species-dilution-info": "1/20 - 1/200", "IHCP-species-notes": "<p></p>" }, "Mouse": { "WB-species-checked": "testedAndGuaranteed", "WB-species-dilution-info": "1/1000 - 1/5000", "WB-species-notes": "<p></p>", "IHCP-species-checked": "guaranteed", "IHCP-species-dilution-info": "", "IHCP-species-notes": "" } } }

Properties and storage information

Form
Liquid
Purification technique
Affinity purification Immunogen
Storage buffer
pH: 7.3 Preservative: 0.02% Sodium azide Constituents: PBS, 50% Glycerol (glycerin, glycerine)
Shipped at conditions
Blue Ice
Appropriate short-term storage duration
1-2 weeks
Appropriate short-term storage conditions
+4°C
Appropriate long-term storage conditions
-20°C
Aliquoting information
Upon delivery aliquot
Storage information
Avoid freeze / thaw cycle

Product protocols

For this product, it's our understanding that no specific protocols are required. You can visit:

Target data

Inhibitory receptor which may contribute to the down-regulation of cytolytic activity in natural killer (NK) cells, and to the down-regulation of mast cell degranulation (PubMed : 10746781, PubMed : 16339535, PubMed : 9701027). Negatively regulates the Toll-like receptor (TLR) signaling mediated by MYD88 but not TRIF through activation of PTPN6 (PubMed : 22043923).
See full target information CD300A

Publications (1)

Recent publications for all applications. Explore the full list and refine your search

European urology open science 79:102-110 PubMed40822998

2025

Expression of PD-L1, TIGIT, and CD155, and Human Papillomavirus Status in Patients with Advanced Penile Cancer.

Applications

Unspecified application

Species

Unspecified reactive species

Emma Ulvskog,Peter Kirrander,Erik K Persson,Gabriella Lillsunde-Larsson,Luiza Dorofte,Tania Franceschini,Michelangelo Fiorentino,Sabina Davidsson
View all publications

Product promise

We are committed to supporting your work with high-quality reagents, and we're here for you every step of the way. In the unlikely event that one of our products does not perform as expected, you're protected by our Product Promise.
For full details, please see our Terms & Conditions

Please note: All products are 'FOR RESEARCH USE ONLY. NOT FOR USE IN DIAGNOSTIC OR THERAPEUTIC PROCEDURES'.

For licensing inquiries, please contact partnerships@abcam.com