JavaScript is disabled in your browser. Please enable JavaScript to view this website.
AB251213

Anti-CD300C antibody [EPR16470] - BSA and Azide free

Be the first to review this product! Submit a review

|

(0 Publication)

Rabbit Recombinant Monoclonal CD300C antibody. Carrier free. Suitable for WB and reacts with Human, Mouse, Rat samples.

View Alternative Names

CD300c, CMRF35, CMRF35A, CMRF35A1, IGSF16, CD300C, CMRF35-like molecule 6, CLM-6, CD300 antigen-like family member C, CMRF35-A1, Immunoglobulin superfamily member 16, CMRF-35, IgSF16

3 Images
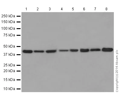
Western blot - Anti-CD300C antibody [EPR16470] - BSA and Azide free (AB251213)
  • WB

Supplier Data

Western blot - Anti-CD300C antibody [EPR16470] - BSA and Azide free (AB251213)

This data was developed using ab195811, the same antibody clone in a different buffer formulation.

The observed MW is consistent with what has been described in the literature (PMID : 20656921).

All lanes:

Western blot - Anti-CD300C antibody [EPR16470] (<a href='/en-us/products/primary-antibodies/cd300c-antibody-epr16470-ab195811'>ab195811</a>) at 1/1000 dilution

Lane 1:

Mouse heart tissue lysate at 10 µg

Lane 2:

Mouse kidney tissue lysate at 10 µg

Lane 3:

Mouse spleen tissue lysate at 10 µg

Lane 4:

Rat heart tissue lysate at 10 µg

Lane 5:

Rat spleen tissue lysate at 10 µg

Lane 6:

RAW 264.7 cell lysate at 10 µg

Lane 7:

PC12 lysate at 10 µg

Lane 8:

NIH/3T3 cell lysate at 10 µg

Secondary

All lanes:

Goat Anti-Rabbit IgG, (H+L), Peroxidase conjugate at 1/1000 dilution

Predicted band size: 25 kDa

false

Western blot - Anti-CD300C antibody [EPR16470] - BSA and Azide free (AB251213)
  • WB

Supplier Data

Western blot - Anti-CD300C antibody [EPR16470] - BSA and Azide free (AB251213)

This data was developed using ab195811, the same antibody clone in a different buffer formulation.

The observed MW is consistent with what has been described in the literature (PMID : 20656921).

All lanes:

Western blot - Anti-CD300C antibody [EPR16470] (<a href='/en-us/products/primary-antibodies/cd300c-antibody-epr16470-ab195811'>ab195811</a>) at 1/1000 dilution

Lane 1:

Human fetal spleen lysate at 10 µg

Lane 2:

Human fetal brain lysate at 10 µg

Secondary

All lanes:

Anti-Rabbit IgG (HRP), specific to the non-reduced form of IgG at 1/1000 dilution

Predicted band size: 25 kDa

false

Western blot - Anti-CD300C antibody [EPR16470] - BSA and Azide free (AB251213)
  • WB

Supplier Data

Western blot - Anti-CD300C antibody [EPR16470] - BSA and Azide free (AB251213)

This data was developed using ab195811, the same antibody clone in a different buffer formulation.

The observed MW is consistent with what has been described in the literature (PMID : 20656921).

All lanes:

Western blot - Anti-CD300C antibody [EPR16470] (<a href='/en-us/products/primary-antibodies/cd300c-antibody-epr16470-ab195811'>ab195811</a>) at 1/1000 dilution

All lanes:

THP1 cell lysate at 10 µg

Secondary

All lanes:

Goat Anti-Rabbit IgG, (H+L), Peroxidase conjugate at 1/1000 dilution

Predicted band size: 25 kDa

false

Key facts

Host species

Rabbit

Clonality

Monoclonal

Clone number

EPR16470

Isotype

IgG

Carrier free

Yes

Reacts with

Mouse, Rat, Human

Applications

WB

applications

Immunogen

The exact immunogen used to generate this antibody is proprietary information.

Reactivity data

{ "title": "Reactivity Data", "filters": { "stats": ["", "Species", "Dilution Info", "Notes"], "tabs": { "all-applications": {"fullname" : "All Applications", "shortname": "All Applications"}, "WB" : {"fullname" : "Western blot", "shortname":"WB"} }, "product-promise": { "all": "all", "testedAndGuaranteed": "tested", "guaranteed": "expected", "predicted": "predicted", "notRecommended": "not-recommended" } }, "values": { "Human": { "WB-species-checked": "testedAndGuaranteed", "WB-species-dilution-info": "", "WB-species-notes": "<p></p>" }, "Mouse": { "WB-species-checked": "testedAndGuaranteed", "WB-species-dilution-info": "", "WB-species-notes": "<p></p>" }, "Rat": { "WB-species-checked": "testedAndGuaranteed", "WB-species-dilution-info": "", "WB-species-notes": "<p></p>" } } }

Product details

ab251213 is the carrier-free version of ab195811.

Patented technology
Our RabMAb® technology is a patented hybridoma-based technology for making rabbit monoclonal antibodies. For details on our patents, please refer to RabMAb® patents.

What are the advantages of a recombinant monoclonal antibody?
This product is a recombinant monoclonal antibody, which offers several advantages including:

  • - High batch-to-batch consistency and reproducibility
  • - Improved sensitivity and specificity
  • - Long-term security of supply
  • - Animal-free batch production

For more information, read more on recombinant antibodies.

Conjugation ready
Our carrier-free antibodies are typically supplied in a PBS-only formulation, purified and free of BSA, sodium azide and glycerol. This conjugation-ready format is designed for use with fluorochromes, metal isotopes, oligonucleotides, and enzymes, which makes them ideal for antibody labelling, functional and cell-based assays, flow-based assays (e.g. mass cytometry) and Multiplex Imaging applications.

Use our conjugation kits for antibody conjugates that are ready-to-use in as little as 20 minutes with 1 minute hands-on-time and 100% antibody recovery: available for fluorescent dyes, HRP, biotin and gold.

Compatibility
This product is compatible with the Maxpar® Antibody Labeling Kit from Fluidigm, without the need for antibody preparation. Maxpar® is a trademark of Fluidigm Canada Inc.

Properties and storage information

Form
Liquid
Purification technique
Affinity purification Protein A
Storage buffer
pH: 7.2 - 7.4 Constituents: PBS
Shipped at conditions
Blue Ice
Appropriate short-term storage conditions
+4°C
Appropriate long-term storage conditions
+4°C
Storage information
Do Not Freeze

Product protocols

For this product, it's our understanding that no specific protocols are required. You can visit:

Product promise

We are committed to supporting your work with high-quality reagents, and we're here for you every step of the way. In the unlikely event that one of our products does not perform as expected, you're protected by our Product Promise.
For full details, please see our Terms & Conditions

Please note: All products are 'FOR RESEARCH USE ONLY. NOT FOR USE IN DIAGNOSTIC OR THERAPEUTIC PROCEDURES'.

For licensing inquiries, please contact partnerships@abcam.com