JavaScript is disabled in your browser. Please enable JavaScript to view this website.
AB32457

Anti-CD31 antibody

4

(12 Reviews)

|

(95 Publications)

Anti-CD31 antibody (ab32457) is a rabbit polyclonal antibody detecting CD31 in Western Blot, Flow Cytometry (Intra), Flow Cytometry, IHC-P. Suitable for Human.

- Over 90 publications
- Trusted since 2006

View Alternative Names

CD31, Platelet endothelial cell adhesion molecule, PECAM-1, EndoCAM, GPIIA', PECA1, PECAM1

6 Images
Immunohistochemistry (Formalin/PFA-fixed paraffin-embedded sections) - Anti-CD31 antibody (AB32457)
  • IHC-P

Unknown

Immunohistochemistry (Formalin/PFA-fixed paraffin-embedded sections) - Anti-CD31 antibody (AB32457)

IHC image of ab32457 staining in human tonsil formalin fixed paraffin embedded tissue section, performed on a Leica BondTM system using the standard protocol F. The section was pre-treated using heat mediated antigen retrieval with sodium citrate buffer (pH6, epitope retrieval solution 1) for 20 mins. The section was then incubated with ab32457, 5µg/ml, for 15 mins at room temperature and detected using an HRP conjugated compact polymer system. DAB was used as the chromogen. The section was then counterstained with haematoxylin and mounted with DPX. For other IHC staining systems (automated and non-automated) customers should optimize variable parameters such as antigen retrieval conditions, primary antibody concentration and antibody incubation times

Flow Cytometry (Intracellular) - Anti-CD31 antibody (AB32457)
  • Flow Cyt (Intra)

Unknown

Flow Cytometry (Intracellular) - Anti-CD31 antibody (AB32457)

Overlay histogram showing Jurkat cells stained with ab32457 (red line). The cells were fixed with 80% methanol (5 min) and then permeabilized with 0.1% PBS-Tween for 20 min. The cells were then incubated in 1x PBS / 10% normal goat serum / 0.3M glycine to block non-specific protein-protein interactions followed by the antibody (ab32457, 0.1μg/1x106 cells) for 30 min at 22°C. The secondary antibody used was Alexa Fluor® 488 goat anti-rabbit IgG (H+L) (ab150077) at 1/2000 dilution for 30 min at 22°C. Isotype control antibody (black line) was rabbit IgG (polyclonal) (0.1μg/1x106 cells) used under the same conditions. Unlabelled sample (blue line) was also used as a control. Acquisition of >5,000 events were collected using a 20mW Argon ion laser (488nm) and 525/30 bandpass filter.

Immunocytochemistry - Anti-CD31 antibody (AB32457)
  • ICC

Unknown

Immunocytochemistry - Anti-CD31 antibody (AB32457)

ICC image of ab32457 stained HeLa cells. The cells were 4% formaldehyde fixed (10 min) and then incubated in 1%BSA / 10% normal goat serum / 0.3M glycine in 0.1% PBS-Tween for 1h to permeabilise the cells and block non-specific protein-protein interactions. The cells were then incubated with the antibody (ab32457, 5μg/ml) overnight at +4°C. The secondary antibody (green) was ab96899, DyLight® 488 goat anti-rabbit IgG (H+L) used at a 1/250 dilution for 1h. Alexa Fluor® 594 WGA was used to label plasma membranes (red) at a 1/200 dilution for 1h. DAPI was used to stain the cell nuclei (blue) at a concentration of 1.43μM.

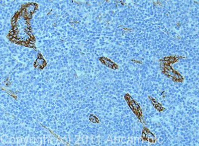
Immunohistochemistry (Formalin/PFA-fixed paraffin-embedded sections) - Anti-CD31 antibody (AB32457)
  • IHC-P

AbReview13229****

Immunohistochemistry (Formalin/PFA-fixed paraffin-embedded sections) - Anti-CD31 antibody (AB32457)

ab32457 staining CD31 in human tonsil tissue section by Immunohistochemistry (Formalin/PFA-fixed paraffin-embedded sections). Tissue underwent fixation in formaldehyde, heat mediated antigen retrieval in Citrate buffer pH 6.0 and blocking (5 minutes/peroxidase block then 10 minutes/protein block) for 15 minutes at 20°C. The primary antibody was diluted, 1/2000 and incubated with sample for 45 minutes at 20°C. A HRP conjugated goat polyclonal to rabbit IgG was used undiluted as secondary.

This image is courtesy of an Abreview submitted by Antibody Solutions Ltd.

Immunocytochemistry - Anti-CD31 antibody (AB32457)
  • ICC

Unknown

Immunocytochemistry - Anti-CD31 antibody (AB32457)

ab32457 stained HUVEC cells. The cells were 100% methanol fixed for 5 minutes at -20°C and then incubated in 1%BSA / 10% normal goat serum / 0.3M glycine in 0.1% PBS-Tween for 1hour at room temperature to permeabilise the cells and block non-specific protein-protein interactions. The cells were then incubated with the antibody (ab32457 at 1μg/ml) overnight at +4°C. The secondary antibody (pseudo-colored green) was Goat Anti-Rabbit IgG H&L (Alexa Fluor® 488) preadsorbed (ab150081) used at a 1/1000 dilution for 1hour at room temperature. Alexa Fluor® 594 WGA was used to label plasma membranes (pseudo-colored red) at a 1/200 dilution for 1hour at room temperature. DAPI was used to stain the cell nuclei (pseudo-colored blue) at a concentration of 1.43μM for 1hour at room temperature.

Western blot - Anti-CD31 antibody (AB32457)
  • WB

Project

Western blot - Anti-CD31 antibody (AB32457)

All lanes:

Western blot - Anti-CD31 antibody (ab32457) at 1 µg/mL

Lane 1:

Jurkat (Human T cell lymphoblast-like cell line) Whole Cell Lysate at 20 µg

Lane 2:

HUVEC (Human Umbilical Vein Endothelial Cell) Whole Cell Lysate at 20 µg

Lane 3:

Raji (Human Burkitt's lymphoma cell line) Whole Cell Lysate at 20 µg

Secondary

All lanes:

Western blot - Goat Anti-Rabbit IgG H&L (HRP) preadsorbed (<a href='/en-us/products/secondary-antibodies/goat-rabbit-igg-h-l-hrp-preadsorbed-ab97080'>ab97080</a>) at 1/5000 dilution

Predicted band size: 82 kDa

Observed band size: 130 kDa,26 kDa,55 kDa

false

Exposure time: 30s

Key facts

Host species

Rabbit

Clonality

Polyclonal

Isotype

IgG

Carrier free

No

Reacts with

Human

Applications

Flow Cyt (Intra), ICC, WB, IHC-P

applications

Immunogen

The exact immunogen used to generate this antibody is proprietary information.

Reactivity data

{ "title": "Reactivity Data", "filters": { "stats": ["", "Species", "Dilution Info", "Notes"], "tabs": { "all-applications": {"fullname" : "All Applications", "shortname": "All Applications"}, "ICC" : {"fullname" : "Immunocytochemistry", "shortname":"ICC"}, "FlowCytIntra" : {"fullname" : "Flow Cytometry (Intracellular)", "shortname":"Flow Cyt (Intra)"}, "WB" : {"fullname" : "Western blot", "shortname":"WB"}, "IHCP" : {"fullname" : "Immunohistochemistry (Formalin/PFA-fixed paraffin-embedded sections)", "shortname":"IHC-P"} }, "product-promise": { "all": "all", "testedAndGuaranteed": "tested", "guaranteed": "expected", "predicted": "predicted", "notRecommended": "not-recommended" } }, "values": { "Human": { "ICC-species-checked": "testedAndGuaranteed", "ICC-species-dilution-info": "5 µg/mL", "ICC-species-notes": "<p>Use 0.3M glycine to quench autofluorescence caused by aldehydes.</p><p>Positive Control: HUVEC cells</p>", "FlowCytIntra-species-checked": "testedAndGuaranteed", "FlowCytIntra-species-dilution-info": "0.1-1 µg for 10^5 Cells", "FlowCytIntra-species-notes": "<p><a href='/en-us/products/primary-antibodies/rabbit-igg-polyclonal-isotype-control-chip-grade-ab171870'>ab171870</a> - Rabbit polyclonal IgG, is suitable for use as an isotype control with this antibody.</p>", "WB-species-checked": "testedAndGuaranteed", "WB-species-dilution-info": "1 µg/mL", "WB-species-notes": "<p>Treat samples with PNGase F or phosphatase to confirm the specificity of bands if necessary.</p><p>The observed band size of CD31 may not the same as predicted MWs in WB due to the different forms and modifications of CD31.</p><p>Hu Isoform 1-6: 79-83 kDa (predicted)</p><p>Observed band size is around 130 kDa</p><p>Positive Control: HUVEC and Jurkat cell lysates (<a href='/en-us/products/cell-lysates/jurkat-whole-cell-lysate-ab7899'>ab7899</a>); Human spleen and kidney tissue lysate.</p><p>Negative Control: NIH/3T3 whole cell lysate (<a href='/en-us/products/cell-lysates/nih-3t3-whole-cell-lysate-ab7179'>ab7179</a>).</p>", "IHCP-species-checked": "testedAndGuaranteed", "IHCP-species-dilution-info": "1/2000", "IHCP-species-notes": "<p>The ideal fixation time will depend on the size of the tissue block and the type of tissue, but fixation between 18–24h is suitable for most samples.</p><p>Positive Control: Hu tonsil tissue</p>" } } }

Have you thought about this alternative?

AB281583

Anti-CD31 antibody [RM1006]

5
5 Reviews
View product

We’re constantly upgrading our range to offer the highest quality products. We have selected this alternative product for your review because it gives improved performance, is easier and more convenient to use, or is available faster.

Product details

What is this antibody validated in?
Anti-CD31 antibody (ab32457) is a rabbit polyclonal antibody and is validated for use in Western Blot (WB), Flow Cytometry (Intra), Flow Cytometry (Flow Cyt), Immunohistochemistry (IHC-P) in Human samples.

What is the molecular weight of CD31?
Anti-CD31 (ab32457) specifically detects a band for CD31 (UniProt: P16284) at a molecular weight of 130kDa.

Trusted by the scientific community
Anti-CD31 (ab32457) was first used in a scientific publication in 2006 and has been cited over 90 times in peer-reviewed journals.

Reviewed by scientists
Anti-CD31 (ab32457) has over 10 independent reviews from customers.

Properties and storage information

Form
Liquid
Purification technique
Affinity purification Immunogen
Storage buffer
pH: 7.4 Preservative: 0.02% Sodium azide Constituents: 98.98% PBS, 1% BSA
Shipped at conditions
Blue Ice
Appropriate short-term storage duration
1-2 weeks
Appropriate short-term storage conditions
+4°C
Appropriate long-term storage conditions
-20°C
Aliquoting information
Upon delivery aliquot
Storage information
Avoid freeze / thaw cycle

Product protocols

For this product, it's our understanding that no specific protocols are required. You can visit:

Target data

Cell adhesion molecule which is required for leukocyte transendothelial migration (TEM) under most inflammatory conditions (PubMed : 17580308, PubMed : 19342684). Tyr-690 plays a critical role in TEM and is required for efficient trafficking of PECAM1 to and from the lateral border recycling compartment (LBRC) and is also essential for the LBRC membrane to be targeted around migrating leukocytes (PubMed : 19342684). Trans-homophilic interaction may play a role in endothelial cell-cell adhesion via cell junctions (PubMed : 27958302). Heterophilic interaction with CD177 plays a role in transendothelial migration of neutrophils (PubMed : 17580308). Homophilic ligation of PECAM1 prevents macrophage-mediated phagocytosis of neighboring viable leukocytes by transmitting a detachment signal (PubMed : 12110892). Promotes macrophage-mediated phagocytosis of apoptotic leukocytes by tethering them to the phagocytic cells; PECAM1-mediated detachment signal appears to be disabled in apoptotic leukocytes (PubMed : 12110892). Modulates bradykinin receptor BDKRB2 activation (PubMed : 18672896). Regulates bradykinin- and hyperosmotic shock-induced ERK1/2 activation in endothelial cells (PubMed : 18672896). Induces susceptibility to atherosclerosis (By similarity).. Isoform Delta15. Does not protect against apoptosis.
See full target information PECAM1

Publications (95)

Recent publications for all applications. Explore the full list and refine your search

APL bioengineering 7:046113 PubMed38046544

2023

FRESH™ 3D bioprinted cardiac tissue, a bioengineered platform for pharmacology.

Applications

Unspecified application

Species

Unspecified reactive species

Samuel Finkel,Shannon Sweet,Tyler Locke,Sydney Smith,Zhefan Wang,Christopher Sandini,John Imredy,Yufang He,Marc Durante,Armando Lagrutta,Adam Feinberg,Andrew Lee

Nature communications 14:6963 PubMed37907455

2023

Self-promoted electroactive biomimetic mineralized scaffolds for bacteria-infected bone regeneration.

Applications

Unspecified application

Species

Unspecified reactive species

Zixin Li,Danqing He,Bowen Guo,Zekun Wang,Huajie Yu,Yu Wang,Shanshan Jin,Min Yu,Lisha Zhu,Liyuan Chen,Chengye Ding,Xiaolan Wu,Tianhao Wu,Shiqiang Gong,Jing Mao,Yanheng Zhou,Dan Luo,Yan Liu

Journal of translational medicine 21:653 PubMed37740179

2023

Transcriptional landscape of Kaposi sarcoma tumors identifies unique immunologic signatures and key determinants of angiogenesis.

Applications

Unspecified application

Species

Unspecified reactive species

Ramya Ramaswami,Takanobu Tagawa,Guruswamy Mahesh,Anna Serquina,Vishal Koparde,Kathryn Lurain,Sarah Dremel,Xiaofan Li,Ameera Mungale,Alex Beran,Zoe Weaver Ohler,Laura Bassel,Andrew Warner,Ralph Mangusan,Anaida Widell,Irene Ekwede,Laurie T Krug,Thomas S Uldrick,Robert Yarchoan,Joseph M Ziegelbauer

iScience 26:106917 PubMed37378343

2023

promotes lateral plate mesoderm formation by modulating the Wnt/β-catenin signaling pathway.

Applications

Unspecified application

Species

Unspecified reactive species

Ding Wang,Yapu Li,Changlu Xu,Hongtao Wang,Xin Huang,Xu Jin,Sirui Ren,Jie Gao,Jingyuan Tong,Jinhua Liu,Jiaxi Zhou,Lihong Shi

Frontiers in endocrinology 14:1154158 PubMed37124725

2023

CCL17 and CCL22 chemokines are upregulated in human obesity and play a role in vascular dysfunction.

Applications

Unspecified application

Species

Unspecified reactive species

Luisa Hueso,Patrice Marques,Brenda Morant,Herminia Gonzalez-Navarro,Joaquin Ortega,José T Real,María J Sanz,Laura Piqueras

Life science alliance 6: PubMed37037595

2023

EZH2 controls epicardial cell migration during heart development.

Applications

Unspecified application

Species

Unspecified reactive species

Haobin Jiang,Lina Bai,Shen Song,Qianqian Yin,Anteng Shi,Bin Zhou,Hong Lian,Houzao Chen,Cheng-Ran Xu,Yanchun Wang,Yu Nie,Shengshou Hu

Frontiers in immunology 14:1101569 PubMed36911715

2023

Giant phagocytes (Gφ) and neutrophil-macrophage hybrids in human carotid atherosclerotic plaques - An activated phenotype.

Applications

Unspecified application

Species

Unspecified reactive species

Lena Lavie,Erez Si-On,Aaron Hoffman

Advanced science (Weinheim, Baden-Wurttemberg, Germany) 10:e2206384 PubMed36808839

2023

Mechanobiological Adaptation to Hyperosmolarity Enhances Barrier Function in Human Vascular Microphysiological System.

Applications

Unspecified application

Species

Unspecified reactive species

Joon Ho Kang,Minjeong Jang,Su Jin Seo,Andrew Choi,Daeeun Shin,Suyoung Seo,Soo Hyun Lee,Hong Nam Kim

iScience 25:105503 PubMed36404924

2022

Biofabrication of synthetic human liver tissue with advanced programmable functions.

Applications

Unspecified application

Species

Unspecified reactive species

Rodrigo M Florentino,Kazutoyo Morita,Nils Haep,Takashi Motomura,Ricardo Diaz-Aragon,Lanuza A P Faccioli,Alexandra Collin de l'Hortet,Zeliha Cetin,Carla Frau,Lawrence Vernetti,Anna-Klara Amler,Alexander Thomas,Tobias Lam,Lutz Kloke,Kazuki Takeishi,D Lansing Taylor,Ira J Fox,Alejandro Soto-Gutierrez

Fluids and barriers of the CNS 19:81 PubMed36289516

2022

Development of a multicellular in vitro model of the meningeal blood-CSF barrier to study Neisseria meningitidis infection.

Applications

Unspecified application

Species

Unspecified reactive species

Leo M Endres,Marvin Jungblut,Mustafa Divyapicigil,Markus Sauer,Christian Stigloher,Myron Christodoulides,Brandon J Kim,Alexandra Schubert-Unkmeir
View all publications

Product promise

We are committed to supporting your work with high-quality reagents, and we're here for you every step of the way. In the unlikely event that one of our products does not perform as expected, you're protected by our Product Promise.
For full details, please see our Terms & Conditions

Associated Products

Select an associated product type
Alternative Product
Primary Antibodies

AB227656

Anti-CD31 antibody [SP164] - C-terminal

primary-antibodies

cd31-antibody-sp164-c-terminal-ab227656

0

(0 reviews)

Alternative Product
Primary Antibodies

AB213175

Anti-CD31 antibody [EPR17260-254]

primary-antibodies

cd31-antibody-epr17260-254-ab213175

0

(0 reviews)

Alternative Product
Primary Antibodies

AB222783

Anti-CD31 antibody [EPR17260-263]

primary-antibodies

cd31-antibody-epr17260-263-ab222783

5

(11 reviews)

Alternative Product
Primary Antibodies

AB134168

Anti-CD31 antibody [EP3095]

primary-antibodies

cd31-antibody-ep3095-ab134168

4

(7 reviews)

Alternative Product
Primary Antibodies

AB182981

Anti-CD31 antibody [EPR17259]

primary-antibodies

cd31-antibody-epr17259-ab182981

5

(22 reviews)

Alternative Product
Primary Antibodies

AB182982

Anti-CD31 antibody [EPR17260-265]

primary-antibodies

cd31-antibody-epr17260-265-ab182982

0

(0 reviews)

Alternative Product
Primary Antibodies

AB76533

Anti-CD31 antibody [EPR3094]

primary-antibodies

cd31-antibody-epr3094-ab76533

4

(12 reviews)

Alternative Product
Primary Antibodies

AB207090

Anti-CD31 antibody [EPR3094] - BSA and Azide free

primary-antibodies

cd31-antibody-epr3094-bsa-and-azide-free-ab207090

5

(2 reviews)

Alternative Product
Primary Antibodies

AB226157

Anti-CD31 antibody [EP3095] - BSA and Azide free

primary-antibodies

cd31-antibody-ep3095-bsa-and-azide-free-ab226157

0

(0 reviews)

Alternative Product
Primary Antibodies

AB199734

Biotin Anti-CD31 antibody [EPR3094]

primary-antibodies

biotin-cd31-antibody-epr3094-ab199734

0

(0 reviews)

Alternative Product
Primary Antibodies

AB218582

Alexa Fluor® 647 Anti-CD31 antibody [EPR3094]

primary-antibodies

alexa-fluor-647-cd31-antibody-epr3094-ab218582

0

(0 reviews)

Please note: All products are 'FOR RESEARCH USE ONLY. NOT FOR USE IN DIAGNOSTIC OR THERAPEUTIC PROCEDURES'.

For licensing inquiries, please contact partnerships@abcam.com