JavaScript is disabled in your browser. Please enable JavaScript to view this website.
AB226157

Anti-CD31 antibody [EP3095] - BSA and Azide free

Be the first to review this product! Submit a review

|

(5 Publications)

Anti-CD31 antibody [EP3095] - BSA and Azide free (ab226157) is a rabbit recombinant monoclonal antibody provided in a PBS only buffer for easy conjugation detecting CD31 in Western Blot, Flow Cytometry (Intra), Flow Cytometry, IHC-P. Suitable for Human.

- BSA, sodium azide, and glycerol-free for easy conjugation
- Biophysical QC for unrivalled batch-batch consistency

View Alternative Names

CD31, Platelet endothelial cell adhesion molecule, PECAM-1, EndoCAM, GPIIA', PECA1, PECAM1

9 Images
Immunohistochemistry (Formalin/PFA-fixed paraffin-embedded sections) - Anti-CD31 antibody [EP3095] - BSA and Azide free (AB226157)
  • IHC-P

Unknown

Immunohistochemistry (Formalin/PFA-fixed paraffin-embedded sections) - Anti-CD31 antibody [EP3095] - BSA and Azide free (AB226157)

Immunohistochemical analysis of paraffin-embedded Human uterus tissue, staining CD31 using ab134168 at a 1/250 dilution. Note membrane staining of endothelial cells.

Perform heat mediated antigen retrieval with citrate buffer pH 6 before commencing with IHC staining protocol.

This data was developed using the same antibody clone in a different buffer formulation containing PBS, BSA, glycerol, and sodium azide (ab134168).

Immunohistochemistry (Formalin/PFA-fixed paraffin-embedded sections) - Anti-CD31 antibody [EP3095] - BSA and Azide free (AB226157)
  • IHC-P

Unknown

Immunohistochemistry (Formalin/PFA-fixed paraffin-embedded sections) - Anti-CD31 antibody [EP3095] - BSA and Azide free (AB226157)

Immunohistochemical analysis of paraffin embedded Human Breast carcinoma vessels tissue using ab134168 showing +ve staining.

Perform heat mediated antigen retrieval with citrate buffer pH 6 before commencing with IHC staining protocol.

This data was developed using the same antibody clone in a different buffer formulation containing PBS, BSA, glycerol, and sodium azide (ab134168).

Flow Cytometry (Intracellular) - Anti-CD31 antibody [EP3095] - BSA and Azide free (AB226157)
  • Flow Cyt (Intra)

Unknown

Flow Cytometry (Intracellular) - Anti-CD31 antibody [EP3095] - BSA and Azide free (AB226157)

Overlay histogram showing Jurkat cells stained with ab134168 (red line). The cells were fixed with 80% methanol (5 min)/ and then permeabilized with 0.1% PBS-Tween for 20 min. The cells were then incubated in 1x PBS / 10% normal goat serum / 0.3M glycine to block non-specific protein-protein interactions followed by the antibody (ab134168, 1/1000 dilution) for 30 min at 22°C. The secondary antibody used was Alexa Fluor® 488 goat anti-rabbit IgG (H&L) (ab150077) at 1/2000 dilution for 30 min at 22°C. Isotype control antibody (black line) was rabbit IgG (monoclonal) (0.1μg/1x106 cells) used under the same conditions. Unlabelled sample (blue line) was also used as a control. Acquisition of >5,000 events were collected using a 20mW Argon ion laser (488nm) and 525/30 bandpass filter.

This data was developed using the same antibody clone in a different buffer formulation containing PBS, BSA, glycerol, and sodium azide (ab134168).

Immunohistochemistry (Formalin/PFA-fixed paraffin-embedded sections) - Anti-CD31 antibody [EP3095] - BSA and Azide free (AB226157)
  • IHC-P

Unknown

Immunohistochemistry (Formalin/PFA-fixed paraffin-embedded sections) - Anti-CD31 antibody [EP3095] - BSA and Azide free (AB226157)

Immunohistochemical analysis of paraffin embedded normal Human spleen vessels tissue using ab134168 showing +ve staining.

Perform heat mediated antigen retrieval with citrate buffer pH 6 before commencing with IHC staining protocol.

This data was developed using the same antibody clone in a different buffer formulation containing PBS, BSA, glycerol, and sodium azide (ab134168).

Immunohistochemistry (Formalin/PFA-fixed paraffin-embedded sections) - Anti-CD31 antibody [EP3095] - BSA and Azide free (AB226157)
  • IHC-P

Unknown

Immunohistochemistry (Formalin/PFA-fixed paraffin-embedded sections) - Anti-CD31 antibody [EP3095] - BSA and Azide free (AB226157)

Immunohistochemical analysis of paraffin embedded normal Human lung tissue using ab134168 showing +ve staining.

Perform heat mediated antigen retrieval with citrate buffer pH 6 before commencing with IHC staining protocol.

This data was developed using the same antibody clone in a different buffer formulation containing PBS, BSA, glycerol, and sodium azide (ab134168).

Immunohistochemistry (Formalin/PFA-fixed paraffin-embedded sections) - Anti-CD31 antibody [EP3095] - BSA and Azide free (AB226157)
  • IHC-P

Unknown

Immunohistochemistry (Formalin/PFA-fixed paraffin-embedded sections) - Anti-CD31 antibody [EP3095] - BSA and Azide free (AB226157)

Immunohistochemical analysis of paraffin-embedded Human tonsil tissue, staining CD31 using ab134168 at a 1/250 dilution. Note membrane staining of endothelial cells.

Perform heat mediated antigen retrieval with citrate buffer pH 6 before commencing with IHC staining protocol.

This data was developed using the same antibody clone in a different buffer formulation containing PBS, BSA, glycerol, and sodium azide (ab134168).

Immunohistochemistry (Formalin/PFA-fixed paraffin-embedded sections) - Anti-CD31 antibody [EP3095] - BSA and Azide free (AB226157)
  • IHC-P

Unknown

Immunohistochemistry (Formalin/PFA-fixed paraffin-embedded sections) - Anti-CD31 antibody [EP3095] - BSA and Azide free (AB226157)

Immunohistochemical analysis of paraffin embedded Human Clear cell carcinoma of kidney tissue using ab134168 showing +ve staining.

Perform heat mediated antigen retrieval with citrate buffer pH 6 before commencing with IHC staining protocol.

This data was developed using the same antibody clone in a different buffer formulation containing PBS, BSA, glycerol, and sodium azide (ab134168).

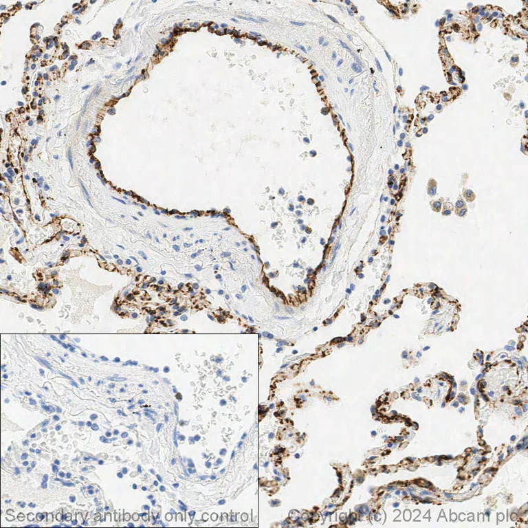
Immunohistochemistry (Formalin/PFA-fixed paraffin-embedded sections) - Anti-CD31 antibody [EP3095] - BSA and Azide free (AB226157)
  • IHC-P

Lab

Immunohistochemistry (Formalin/PFA-fixed paraffin-embedded sections) - Anti-CD31 antibody [EP3095] - BSA and Azide free (AB226157)

This data was developed using the same antibody clone in a different buffer formulation (ab182981).

Immunohistochemical analysis of formalin fixed paraffin embedded human lung labelling CD31 with ab182981 at a concentration of 0.52 µg/ml. The immunostaining was performed on a Ventana DISCOVERY ULTRA (Roche Tissue Diagnostics) instrument with an OptiView DAB IHC Detection Kit. Heat mediated antigen retrieval was conducted for 32 mins at 100°C with ULTRA cell conditioning solution (CC1, pH 8.5). ab182981Anti-CD31 antibody was incubated at 37°C for 16 mins. Sections were counterstained with Hematoxylin II. Image inset shows absence of staining in secondary antibody only control.

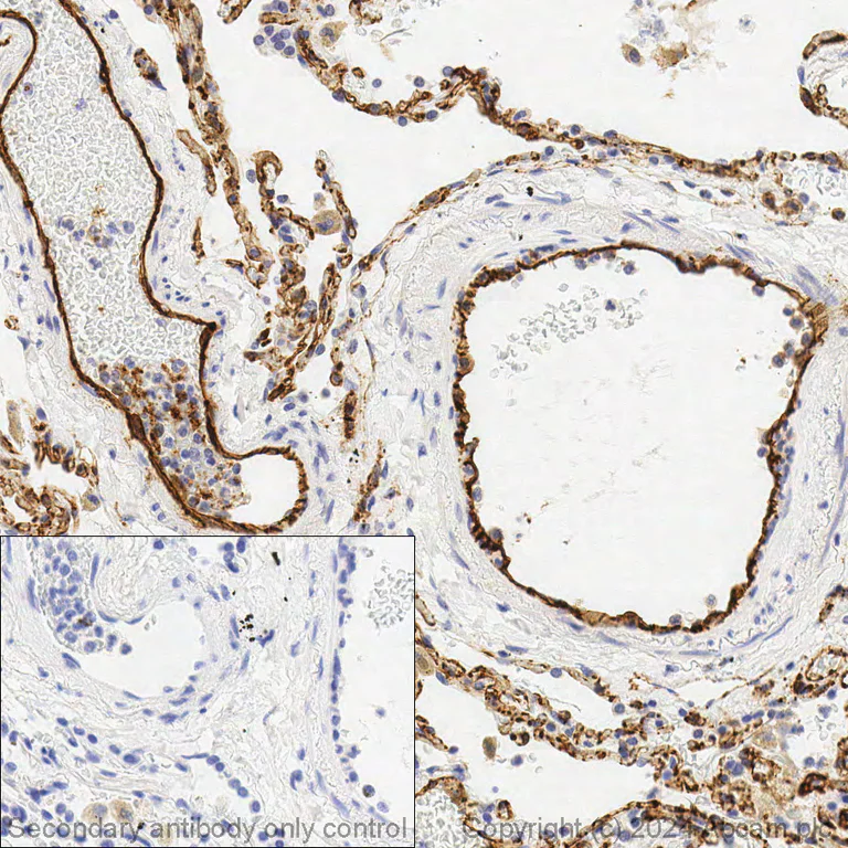
Immunohistochemistry (Formalin/PFA-fixed paraffin-embedded sections) - Anti-CD31 antibody [EP3095] - BSA and Azide free (AB226157)
  • IHC-P

Lab

Immunohistochemistry (Formalin/PFA-fixed paraffin-embedded sections) - Anti-CD31 antibody [EP3095] - BSA and Azide free (AB226157)

This data was developed using the same antibody clone in a different buffer formulation (ab182981).

Immunohistochemical analysis of formalin fixed paraffin embedded human lung labelling CD31 with ab182981 at a concentration of 0.35 µg/ml. The immunostaining was performed on a Leica Biosystems BOND® RX instrument with a Bond™ Polymer Refine Detection kit. Heat mediated antigen retrieval was performed with Tris-EDTA buffer (pH 9.0, Epitope Retrieval Solution 2) for 20 mins.ab182981Anti-CD31 antibody was incubated for 30 mins at room temperature. Sections were counterstained with Hematoxylin. Image inset shows absence of staining in secondary antibody only control.

Key facts

Host species

Rabbit

Clonality

Monoclonal

Clone number

EP3095

Isotype

IgG

Carrier free

Yes

Reacts with

Human

Applications

Flow Cyt (Intra), WB, IHC-P

applications

Immunogen

The exact immunogen used to generate this antibody is proprietary information.

Specificity

This antibody gave positive results in mouse and rat tissue staining via IHC-P, but we have had difficulties obtaining consistent positive results in WB with mouse and rat samples. Thus, at this time we unfortunately cannot guarantee this antibody to recognize mouse and rat CD31, and optimization may be necessary when working with these species.

Reactivity data

{ "title": "Reactivity Data", "filters": { "stats": ["", "Species", "Dilution Info", "Notes"], "tabs": { "all-applications": {"fullname" : "All Applications", "shortname": "All Applications"}, "IHCP" : {"fullname" : "Immunohistochemistry (Formalin/PFA-fixed paraffin-embedded sections)", "shortname":"IHC-P"}, "IP" : {"fullname" : "Immunoprecipitation", "shortname":"IP"}, "WB" : {"fullname" : "Western blot", "shortname":"WB"}, "ICCIF" : {"fullname" : "Immunocytochemistry/ Immunofluorescence", "shortname":"ICC/IF"}, "FlowCytIntra" : {"fullname" : "Flow Cytometry (Intracellular)", "shortname":"Flow Cyt (Intra)"} }, "product-promise": { "all": "all", "testedAndGuaranteed": "tested", "guaranteed": "expected", "predicted": "predicted", "notRecommended": "not-recommended" } }, "values": { "Human": { "IHCP-species-checked": "testedAndGuaranteed", "IHCP-species-dilution-info": "", "IHCP-species-notes": "<p>The ideal fixation time will depend on the size of the tissue block and the type of tissue, but fixation between 18–24h is suitable for most samples.</p><p>Positive Control: Hu tonsil tissue</p>", "IP-species-checked": "notRecommended", "IP-species-dilution-info": "", "IP-species-notes": "<p></p>", "WB-species-checked": "guaranteed", "WB-species-dilution-info": "", "WB-species-notes": "<p>Treat samples with PNGase F or phosphatase to confirm the specificity of bands if necessary.</p><p>The observed band size of CD31 may not the same as predicted MWs in WB due to the different forms and modifications of CD31.</p><p>Hu Isoform 1-6: 79-83 kDa (predicted)</p><p>Observed band size is around 130 kDa</p><p>Positive Control: HUVEC and Jurkat cell lysates (<a href='/en-us/products/cell-lysates/jurkat-whole-cell-lysate-ab7899'>ab7899</a>); Human spleen and kidney tissue lysate.</p><p>Negative Control: NIH/3T3 whole cell lysate (<a href='/en-us/products/cell-lysates/nih-3t3-whole-cell-lysate-ab7179'>ab7179</a>).</p>", "ICCIF-species-checked": "notRecommended", "ICCIF-species-dilution-info": "", "ICCIF-species-notes": "<p></p>", "FlowCytIntra-species-checked": "testedAndGuaranteed", "FlowCytIntra-species-dilution-info": "", "FlowCytIntra-species-notes": "<p><a href='/en-us/products/primary-antibodies/rabbit-igg-monoclonal-epr25a-isotype-control-ab172730'>ab172730</a> - Rabbit monoclonal IgG, is suitable for use as an isotype control with this antibody.</p>" } } }

Product details

What is this antibody validated in?
Anti-CD31 antibody [EP3095] - BSA and Azide free (ab226157) is a rabbit recombinant monoclonal antibody and is validated for use in Western Blot (WB), Flow Cytometry (Intra), Flow Cytometry (Flow Cyt), Immunohistochemistry (IHC-P) in Human samples.

What is the molecular weight of CD31?
Anti-CD31 [EP3095] - BSA and Azide free (ab226157) specifically detects a band for CD31 (UniProt: P16284) at a molecular weight of 82kDa.

Trial sizes available!
Test your antibody or perform pre-screening before committing to a larger quantity. Sold in 10µl. Discover our selection of trial-size antibodies.

Other related products
We have a range of other formats of antibody clone [EP3095] also available for your convenience: ab134168, Carrier free - ab216459, Carrier free - ab226157, PE - ab305782, APC - ab305783, HRP - ab305784, Alkaline Phosphatase - ab308935, Alexa Fluor® 488 - ab309873, Alexa Fluor® 647 - ab310240, Alexa Fluor® 594 - ab310691, Alexa Fluor® 555 - ab312221

Patented technology
Our RabMAb® technology is a patented hybridoma-based technology for making rabbit monoclonal antibodies. For details on our patents, please refer to RabMAb® patents.

What are the advantages of a recombinant monoclonal antibody?
This product is a recombinant monoclonal antibody, which offers several advantages including:

  • - High batch-to-batch consistency and reproducibility
  • - Improved sensitivity and specificity
  • - Long-term security of supply
  • - Animal-free batch production

For more information, read more on recombinant antibodies.

Conjugation ready
Our carrier-free antibodies are typically supplied in a PBS-only formulation, purified and free of BSA, sodium azide and glycerol. This conjugation-ready format is designed for use with fluorochromes, metal isotopes, oligonucleotides, and enzymes, which makes them ideal for antibody labelling, functional and cell-based assays, flow-based assays (e.g. mass cytometry) and Multiplex Imaging applications.

Use our conjugation kits for antibody conjugates that are ready-to-use in as little as 20 minutes with 1 minute hands-on-time and 100% antibody recovery: available for fluorescent dyes, HRP, biotin and gold.

Compatibility
This product is compatible with the Maxpar® Antibody Labeling Kit from Fluidigm, without the need for antibody preparation. Maxpar® is a trademark of Fluidigm Canada Inc.

Properties and storage information

Form
Liquid
Purification technique
Affinity purification Protein A
Storage buffer
pH: 7.2 - 7.4 Constituents: PBS
Shipped at conditions
Blue Ice
Appropriate short-term storage conditions
+4°C
Appropriate long-term storage conditions
+4°C
Storage information
Do Not Freeze

Product protocols

For this product, it's our understanding that no specific protocols are required. You can visit:

Target data

Cell adhesion molecule which is required for leukocyte transendothelial migration (TEM) under most inflammatory conditions (PubMed : 17580308, PubMed : 19342684). Tyr-690 plays a critical role in TEM and is required for efficient trafficking of PECAM1 to and from the lateral border recycling compartment (LBRC) and is also essential for the LBRC membrane to be targeted around migrating leukocytes (PubMed : 19342684). Trans-homophilic interaction may play a role in endothelial cell-cell adhesion via cell junctions (PubMed : 27958302). Heterophilic interaction with CD177 plays a role in transendothelial migration of neutrophils (PubMed : 17580308). Homophilic ligation of PECAM1 prevents macrophage-mediated phagocytosis of neighboring viable leukocytes by transmitting a detachment signal (PubMed : 12110892). Promotes macrophage-mediated phagocytosis of apoptotic leukocytes by tethering them to the phagocytic cells; PECAM1-mediated detachment signal appears to be disabled in apoptotic leukocytes (PubMed : 12110892). Modulates bradykinin receptor BDKRB2 activation (PubMed : 18672896). Regulates bradykinin- and hyperosmotic shock-induced ERK1/2 activation in endothelial cells (PubMed : 18672896). Induces susceptibility to atherosclerosis (By similarity).. Isoform Delta15. Does not protect against apoptosis.
See full target information PECAM1

Publications (5)

Recent publications for all applications. Explore the full list and refine your search

Nature immunology 26:1182-1197 PubMed40588561

2025

Chemosensor receptors are lipid-detecting regulators of macrophage function in cancer.

Applications

Unspecified application

Species

Unspecified reactive species

Giulia Marelli,Nicolò Morina,Simone Puccio,Marta Iovino,Marta Pandini,Federica Portale,Mattia Carvetta,Divya Mishra,Elisabetta Diana,Greta Meregalli,Elvezia Paraboschi,Javier Cibella,Clelia Peano,Gianluca Basso,Gabriele De Simone,Chiara Camisaschi,Elena Magrini,Giulio Sartori,Elham Karimi,Piergiuseppe Colombo,Massimo Lazzeri,Paolo Casale,Lavinia Morosi,Giuseppe Martano,Rosanna Asselta,Eduardo Bonavita,Hiro Matsunami,Francesco Bertoni,Logan Walsh,Enrico Lugli,Diletta Di Mitri

Nature immunology 25:2152-2165 PubMed39438660

2024

A longitudinal single-cell atlas of anti-tumour necrosis factor treatment in inflammatory bowel disease.

Applications

Unspecified application

Species

Unspecified reactive species

Tom Thomas,Matthias Friedrich,Charlotte Rich-Griffin,Mathilde Pohin,Devika Agarwal,Julia Pakpoor,Carl Lee,Ruchi Tandon,Aniko Rendek,Dominik Aschenbrenner,Ashwin Jainarayanan,Alexandru Voda,Jacqueline H Y Siu,Raphael Sanches-Peres,Eloise Nee,Dharshan Sathananthan,Dylan Kotliar,Peter Todd,Maria Kiourlappou,Lisa Gartner,Nicholas Ilott,Fadi Issa,Joanna Hester,Jason Turner,Saba Nayar,Jonas Mackerodt,Fan Zhang,Anna Jonsson,Michael Brenner,Soumya Raychaudhuri,Ruth Kulicke,Danielle Ramsdell,Nicolas Stransky,Ray Pagliarini,Piotr Bielecki,Noah Spies,Brian Marsden,Stephen Taylor,Allon Wagner,Paul Klenerman,Alissa Walsh,Mark Coles,Luke Jostins-Dean,Fiona M Powrie,Andrew Filer,Simon Travis,Holm H Uhlig,Calliope A Dendrou,Christopher D Buckley

Cancer cell 42:1217-1238.e19 PubMed38981438

2024

Multi-scale signaling and tumor evolution in high-grade gliomas.

Applications

Unspecified application

Species

Unspecified reactive species

Jingxian Liu,Song Cao,Kathleen J Imbach,Marina A Gritsenko,Tung-Shing M Lih,Jennifer E Kyle,Tomer M Yaron-Barir,Zev A Binder,Yize Li,Ilya Strunilin,Yi-Ting Wang,Chia-Feng Tsai,Weiping Ma,Lijun Chen,Natalie M Clark,Andrew Shinkle,Nataly Naser Al Deen,Wagma Caravan,Andrew Houston,Faria Anjum Simin,Matthew A Wyczalkowski,Liang-Bo Wang,Erik Storrs,Siqi Chen,Ritvik Illindala,Yuping D Li,Reyka G Jayasinghe,Dmitry Rykunov,Sandra L Cottingham,Rosalie K Chu,Karl K Weitz,Ronald J Moore,Tyler Sagendorf,Vladislav A Petyuk,Michael Nestor,Lisa M Bramer,Kelly G Stratton,Athena A Schepmoes,Sneha P Couvillion,Josie Eder,Young-Mo Kim,Yuqian Gao,Thomas L Fillmore,Rui Zhao,Matthew E Monroe,Austin N Southard-Smith,Yang E Li,Rita Jui-Hsien Lu,Jared L Johnson,Maciej Wiznerowicz,Galen Hostetter,Chelsea J Newton,Karen A Ketchum,Ratna R Thangudu,Jill S Barnholtz-Sloan,Pei Wang,David Fenyö,Eunkyung An,Mathangi Thiagarajan,Ana I Robles,D R Mani,Richard D Smith,Eduard Porta-Pardo,Lewis C Cantley,Antonio Iavarone,Feng Chen,Mehdi Mesri,MacLean P Nasrallah,Hui Zhang,Adam C Resnick,Milan G Chheda,Karin D Rodland,Tao Liu,Li Ding

Nature communications 15:4210 PubMed38806504

2024

L-RNA aptamer-based CXCL12 inhibition combined with radiotherapy in newly-diagnosed glioblastoma: dose escalation of the phase I/II GLORIA trial.

Applications

Unspecified application

Species

Unspecified reactive species

Frank A Giordano,Julian P Layer,Sonia Leonardelli,Lea L Friker,Roberta Turiello,Dillon Corvino,Thomas Zeyen,Christina Schaub,Wolf Müller,Elena Sperk,Leonard Christopher Schmeel,Katharina Sahm,Christoph Oster,Sied Kebir,Peter Hambsch,Torsten Pietsch,Sotirios Bisdas,Michael Platten,Martin Glas,Clemens Seidel,Ulrich Herrlinger,Michael Hölzel

Nature cancer 2:545-562 PubMed35122017

2021

Neutrophil oxidative stress mediates obesity-associated vascular dysfunction and metastatic transmigration.

Applications

Unspecified application

Species

Unspecified reactive species

Sheri A C McDowell,Robin B E Luo,Azadeh Arabzadeh,Samuel Doré,Nicolas C Bennett,Valérie Breton,Elham Karimi,Morteza Rezanejad,Ryan R Yang,Katherine D Lach,Marianne S M Issac,Bozena Samborska,Lucas J M Perus,Dan Moldoveanu,Yuhong Wei,Benoit Fiset,Roni F Rayes,Ian R Watson,Lawrence Kazak,Marie-Christine Guiot,Pierre O Fiset,Jonathan D Spicer,Andrew J Dannenberg,Logan A Walsh,Daniela F Quail
View all publications

Product promise

We are committed to supporting your work with high-quality reagents, and we're here for you every step of the way. In the unlikely event that one of our products does not perform as expected, you're protected by our Product Promise.
For full details, please see our Terms & Conditions

Please note: All products are 'FOR RESEARCH USE ONLY. NOT FOR USE IN DIAGNOSTIC OR THERAPEUTIC PROCEDURES'.

For licensing inquiries, please contact partnerships@abcam.com