JavaScript is disabled in your browser. Please enable JavaScript to view this website.
AB216459

Anti-CD31 antibody [EP3095] - Low endotoxin, Azide free

Be the first to review this product! Submit a review

|

(6 Publications)

Rabbit Recombinant Monoclonal CD31 antibody. Carrier free. Suitable for IHC-P, WB, Flow Cyt (Intra) and reacts with Human samples. Cited in 6 publications.

View Alternative Names

CD31, Platelet endothelial cell adhesion molecule, PECAM-1, EndoCAM, GPIIA', PECA1, PECAM1

7 Images
Immunohistochemistry (Formalin/PFA-fixed paraffin-embedded sections) - Anti-CD31 antibody [EP3095] - Low endotoxin, Azide free (AB216459)
  • IHC-P

Unknown

Immunohistochemistry (Formalin/PFA-fixed paraffin-embedded sections) - Anti-CD31 antibody [EP3095] - Low endotoxin, Azide free (AB216459)

Immunohistochemical analysis of paraffin-embedded Human uterus tissue, staining CD31 using ab134168 at a 1/250 dilution. Note membrane staining of endothelial cells.

This data was developed using the same antibody clone in a different buffer formulation containing PBS, BSA, glycerol, and sodium azide (ab134168).

Perform heat mediated antigen retrieval with citrate buffer pH 6 before commencing with IHC staining protocol.

Immunohistochemistry (Formalin/PFA-fixed paraffin-embedded sections) - Anti-CD31 antibody [EP3095] - Low endotoxin, Azide free (AB216459)
  • IHC-P

Unknown

Immunohistochemistry (Formalin/PFA-fixed paraffin-embedded sections) - Anti-CD31 antibody [EP3095] - Low endotoxin, Azide free (AB216459)

Immunohistochemical analysis of paraffin embedded Human Breast carcinoma vessels tissue using ab134168 showing +ve staining.

This data was developed using the same antibody clone in a different buffer formulation containing PBS, BSA, glycerol, and sodium azide (ab134168).

Perform heat mediated antigen retrieval with citrate buffer pH 6 before commencing with IHC staining protocol.

Flow Cytometry (Intracellular) - Anti-CD31 antibody [EP3095] - Low endotoxin, Azide free (AB216459)
  • Flow Cyt (Intra)

Unknown

Flow Cytometry (Intracellular) - Anti-CD31 antibody [EP3095] - Low endotoxin, Azide free (AB216459)

Overlay histogram showing Jurkat cells stained with ab134168 (red line). The cells were fixed with 80% methanol (5 min)/ and then permeabilized with 0.1% PBS-Tween for 20 min. The cells were then incubated in 1x PBS / 10% normal goat serum / 0.3M glycine to block non-specific protein-protein interactions followed by the antibody (ab134168, 1/1000 dilution) for 30 min at 22°C. The secondary antibody used was Alexa Fluor® 488 goat anti-rabbit IgG (H&L) (ab150077) at 1/2000 dilution for 30 min at 22°C. Isotype control antibody (black line) was rabbit IgG (monoclonal) (0.1μg/1x106 cells) used under the same conditions. Unlabelled sample (blue line) was also used as a control. Acquisition of >5,000 events were collected using a 20mW Argon ion laser (488nm) and 525/30 bandpass filter. This data was developed using the same antibody clone in a different buffer formulation containing PBS, BSA, glycerol, and sodium azide (ab134168).

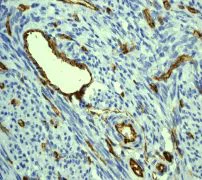
Immunohistochemistry (Formalin/PFA-fixed paraffin-embedded sections) - Anti-CD31 antibody [EP3095] - Low endotoxin, Azide free (AB216459)
  • IHC-P

Unknown

Immunohistochemistry (Formalin/PFA-fixed paraffin-embedded sections) - Anti-CD31 antibody [EP3095] - Low endotoxin, Azide free (AB216459)

Immunohistochemical analysis of paraffin embedded normal Human spleen vessels tissue using ab134168 showing +ve staining.

This data was developed using the same antibody clone in a different buffer formulation containing PBS, BSA, glycerol, and sodium azide (ab134168).

Perform heat mediated antigen retrieval with citrate buffer pH 6 before commencing with IHC staining protocol.

Immunohistochemistry (Formalin/PFA-fixed paraffin-embedded sections) - Anti-CD31 antibody [EP3095] - Low endotoxin, Azide free (AB216459)
  • IHC-P

Unknown

Immunohistochemistry (Formalin/PFA-fixed paraffin-embedded sections) - Anti-CD31 antibody [EP3095] - Low endotoxin, Azide free (AB216459)

Immunohistochemical analysis of paraffin embedded normal Human lung tissue using ab134168 showing +ve staining.

This data was developed using the same antibody clone in a different buffer formulation containing PBS, BSA, glycerol, and sodium azide (ab134168).

Perform heat mediated antigen retrieval with citrate buffer pH 6 before commencing with IHC staining protocol.

Immunohistochemistry (Formalin/PFA-fixed paraffin-embedded sections) - Anti-CD31 antibody [EP3095] - Low endotoxin, Azide free (AB216459)
  • IHC-P

Unknown

Immunohistochemistry (Formalin/PFA-fixed paraffin-embedded sections) - Anti-CD31 antibody [EP3095] - Low endotoxin, Azide free (AB216459)

Immunohistochemical analysis of paraffin-embedded Human tonsil tissue, staining CD31 using ab134168 at a 1/250 dilution. Note membrane staining of endothelial cells.

This data was developed using the same antibody clone in a different buffer formulation containing PBS, BSA, glycerol, and sodium azide (ab134168).

Perform heat mediated antigen retrieval with citrate buffer pH 6 before commencing with IHC staining protocol.

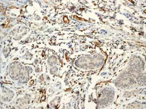
Immunohistochemistry (Formalin/PFA-fixed paraffin-embedded sections) - Anti-CD31 antibody [EP3095] - Low endotoxin, Azide free (AB216459)
  • IHC-P

Unknown

Immunohistochemistry (Formalin/PFA-fixed paraffin-embedded sections) - Anti-CD31 antibody [EP3095] - Low endotoxin, Azide free (AB216459)

Immunohistochemical analysis of paraffin embedded Human Clear cell carcinoma of kidney tissue using ab134168 showing +ve staining.

This data was developed using the same antibody clone in a different buffer formulation containing PBS, BSA, glycerol, and sodium azide (ab134168).

Perform heat mediated antigen retrieval with citrate buffer pH 6 before commencing with IHC staining protocol.

Key facts

Host species

Rabbit

Clonality

Monoclonal

Clone number

EP3095

Isotype

IgG

Carrier free

Yes

Reacts with

Human

Applications

WB, Flow Cyt (Intra), IHC-P

applications

Immunogen

The exact immunogen used to generate this antibody is proprietary information.

Reactivity data

{ "title": "Reactivity Data", "filters": { "stats": ["", "Species", "Dilution Info", "Notes"], "tabs": { "all-applications": {"fullname" : "All Applications", "shortname": "All Applications"}, "IHCP" : {"fullname" : "Immunohistochemistry (Formalin/PFA-fixed paraffin-embedded sections)", "shortname":"IHC-P"}, "IP" : {"fullname" : "Immunoprecipitation", "shortname":"IP"}, "WB" : {"fullname" : "Western blot", "shortname":"WB"}, "FlowCytIntra" : {"fullname" : "Flow Cytometry (Intracellular)", "shortname":"Flow Cyt (Intra)"} }, "product-promise": { "all": "all", "testedAndGuaranteed": "tested", "guaranteed": "expected", "predicted": "predicted", "notRecommended": "not-recommended" } }, "values": { "Human": { "IHCP-species-checked": "testedAndGuaranteed", "IHCP-species-dilution-info": "", "IHCP-species-notes": "<p>The ideal fixation time will depend on the size of the tissue block and the type of tissue, but fixation between 18–24h is suitable for most samples.</p><p>Positive Control: Hu tonsil tissue</p>", "IP-species-checked": "notRecommended", "IP-species-dilution-info": "", "IP-species-notes": "<p></p>", "WB-species-checked": "guaranteed", "WB-species-dilution-info": "", "WB-species-notes": "<p>Treat samples with PNGase F or phosphatase to confirm the specificity of bands if necessary.</p><p>The observed band size of CD31 may not the same as predicted MWs in WB due to the different forms and modifications of CD31.</p><p>Hu Isoform 1-6: 79-83 kDa (predicted)</p><p>Observed band size is around 130 kDa</p><p>Positive Control: HUVEC and Jurkat cell lysates (<a href='/en-us/products/cell-lysates/jurkat-whole-cell-lysate-ab7899'>ab7899</a>); Human spleen and kidney tissue lysate.</p><p>Negative Control: NIH/3T3 whole cell lysate (<a href='/en-us/products/cell-lysates/nih-3t3-whole-cell-lysate-ab7179'>ab7179</a>).</p>", "FlowCytIntra-species-checked": "testedAndGuaranteed", "FlowCytIntra-species-dilution-info": "", "FlowCytIntra-species-notes": "<p><a href='/en-us/products/primary-antibodies/rabbit-igg-monoclonal-epr25a-isotype-control-low-endotoxin-azide-free-ab199376'>ab199376</a> - Rabbit monoclonal IgG, is suitable for use as an isotype control with this antibody.</p>" } } }

Product details

ab216459 is the carrier-free version of ab134168.

Patented technology
Our RabMAb® technology is a patented hybridoma-based technology for making rabbit monoclonal antibodies. For details on our patents, please refer to RabMAb® patents.

What are the advantages of a recombinant monoclonal antibody?
This product is a recombinant monoclonal antibody, which offers several advantages including:

  • - High batch-to-batch consistency and reproducibility
  • - Improved sensitivity and specificity
  • - Long-term security of supply
  • - Animal-free batch production

For more information, read more on recombinant antibodies.

Conjugation ready
Our carrier-free antibodies are typically supplied in a PBS-only formulation, purified and free of BSA, sodium azide and glycerol. This conjugation-ready format is designed for use with fluorochromes, metal isotopes, oligonucleotides, and enzymes, which makes them ideal for antibody labelling, functional and cell-based assays, flow-based assays (e.g. mass cytometry) and Multiplex Imaging applications.

Use our conjugation kits for antibody conjugates that are ready-to-use in as little as 20 minutes with 1 minute hands-on-time and 100% antibody recovery: available for fluorescent dyes, HRP, biotin and gold.

Compatibility
This product is compatible with the Maxpar® Antibody Labeling Kit from Fluidigm, without the need for antibody preparation. Maxpar® is a trademark of Fluidigm Canada Inc.

What does low endotoxin mean?
Our low endotoxin, azide-free formats have low endotoxin level (1 EU/mg, determined by the TAL assay) and are free from azide, to achieve consistent experimental results in functional assays.

Properties and storage information

Form
Liquid
Purification technique
Affinity purification Protein A
Storage buffer
pH: 7.2 - 7.4 Constituents: PBS
Shipped at conditions
Blue Ice
Appropriate short-term storage conditions
+4°C
Appropriate long-term storage conditions
+4°C
Storage information
Do Not Freeze

Product protocols

For this product, it's our understanding that no specific protocols are required. You can visit:

Target data

Cell adhesion molecule which is required for leukocyte transendothelial migration (TEM) under most inflammatory conditions (PubMed : 17580308, PubMed : 19342684). Tyr-690 plays a critical role in TEM and is required for efficient trafficking of PECAM1 to and from the lateral border recycling compartment (LBRC) and is also essential for the LBRC membrane to be targeted around migrating leukocytes (PubMed : 19342684). Trans-homophilic interaction may play a role in endothelial cell-cell adhesion via cell junctions (PubMed : 27958302). Heterophilic interaction with CD177 plays a role in transendothelial migration of neutrophils (PubMed : 17580308). Homophilic ligation of PECAM1 prevents macrophage-mediated phagocytosis of neighboring viable leukocytes by transmitting a detachment signal (PubMed : 12110892). Promotes macrophage-mediated phagocytosis of apoptotic leukocytes by tethering them to the phagocytic cells; PECAM1-mediated detachment signal appears to be disabled in apoptotic leukocytes (PubMed : 12110892). Modulates bradykinin receptor BDKRB2 activation (PubMed : 18672896). Regulates bradykinin- and hyperosmotic shock-induced ERK1/2 activation in endothelial cells (PubMed : 18672896). Induces susceptibility to atherosclerosis (By similarity).. Isoform Delta15. Does not protect against apoptosis.
See full target information PECAM1

Publications (6)

Recent publications for all applications. Explore the full list and refine your search

Cancer cell 40:1521-1536.e7 PubMed36400020

2022

Molecular classification and biomarkers of clinical outcome in breast ductal carcinoma in situ: Analysis of TBCRC 038 and RAHBT cohorts.

Applications

Unspecified application

Species

Unspecified reactive species

Siri H Strand,Belén Rivero-Gutiérrez,Kathleen E Houlahan,Jose A Seoane,Lorraine M King,Tyler Risom,Lunden A Simpson,Sujay Vennam,Aziz Khan,Luis Cisneros,Timothy Hardman,Bryan Harmon,Fergus Couch,Kristalyn Gallagher,Mark Kilgore,Shi Wei,Angela DeMichele,Tari King,Priscilla F McAuliffe,Julie Nangia,Joanna Lee,Jennifer Tseng,Anna Maria Storniolo,Alastair M Thompson,Gaorav P Gupta,Robyn Burns,Deborah J Veis,Katherine DeSchryver,Chunfang Zhu,Magdalena Matusiak,Jason Wang,Shirley X Zhu,Jen Tappenden,Daisy Yi Ding,Dadong Zhang,Jingqin Luo,Shu Jiang,Sushama Varma,Lauren Anderson,Cody Straub,Sucheta Srivastava,Christina Curtis,Rob Tibshirani,Robert Michael Angelo,Allison Hall,Kouros Owzar,Kornelia Polyak,Carlo Maley,Jeffrey R Marks,Graham A Colditz,E Shelley Hwang,Robert B West

Cell reports. Medicine 2:100419 PubMed34755133

2021

Multiplexed imaging reveals an IFN-γ-driven inflammatory state in nivolumab-associated gastritis.

Applications

Unspecified application

Species

Unspecified reactive species

Selena Ferrian,Candace C Liu,Erin F McCaffrey,Rashmi Kumar,Theodore S Nowicki,David W Dawson,Alex Baranski,John A Glaspy,Antoni Ribas,Sean C Bendall,Michael Angelo

Drug design, development and therapy 13:2579-2589 PubMed31440038

2019

Astragaloside IV protects endothelial progenitor cells from the damage of ox-LDL via the LOX-1/NLRP3 inflammasome pathway.

Applications

Unspecified application

Species

Unspecified reactive species

Weibin Qian,Xinrui Cai,Qiuhai Qian,Qianzhu Zhuang,Wenjun Yang,Xinying Zhang,Lijie Zhao

PloS one 10:e0139110 PubMed26407101

2015

Seminal CD38 Enhances Human Sperm Capacitation through Its Interaction with CD31.

Applications

ICC/IF

Species

Human

Byung-Ju Kim,Dae-Ryoung Park,Tae-Sik Nam,Seo Ho Lee,Uh-Hyun Kim

Human reproduction (Oxford, England) 28:2146-56 PubMed23592223

2013

Successful vitrification and autografting of baboon (Papio anubis) ovarian tissue.

Applications

Unspecified application

Species

Unspecified reactive species

Christiani A Amorim,Sophie Jacobs,Ram V Devireddy,Anne Van Langendonckt,Julie Vanacker,Jonathan Jaeger,Valérie Luyckx,Jacques Donnez,Marie-Madeleine Dolmans

Cancer research 73:3716-24 PubMed23576558

2013

FGFR1 is essential for prostate cancer progression and metastasis.

Applications

Unspecified application

Species

Mouse

Feng Yang,Yongyou Zhang,Steven J Ressler,Michael M Ittmann,Gustavo E Ayala,Truong D Dang,Fen Wang,David R Rowley
View all publications

Product promise

We are committed to supporting your work with high-quality reagents, and we're here for you every step of the way. In the unlikely event that one of our products does not perform as expected, you're protected by our Product Promise.
For full details, please see our Terms & Conditions

Please note: All products are 'FOR RESEARCH USE ONLY. NOT FOR USE IN DIAGNOSTIC OR THERAPEUTIC PROCEDURES'.

For licensing inquiries, please contact partnerships@abcam.com