JavaScript is disabled in your browser. Please enable JavaScript to view this website.
AB271994

Anti-CD31 antibody [EPR17260-254] - BSA and Azide free

Be the first to review this product! Submit a review

|

(0 Publication)

Rabbit Recombinant Monoclonal CD31 antibody. Carrier free. Suitable for IP, WB, sELISA, IHC - Wmt and reacts with Mouse, Rat samples.

View Alternative Names

CD31, Pecam, Pecam-1, Pecam1, Platelet endothelial cell adhesion molecule, PECAM-1

5 Images
IHC-tissue clearing - Anti-CD31 antibody [EPR17260-254] - BSA and Azide free (AB271994)
  • IHC-tissue clearing

Supplier Data

IHC-tissue clearing - Anti-CD31 antibody [EPR17260-254] - BSA and Azide free (AB271994)

This data was developed using the same antibody clone in a different buffer formulation containing PBS, BSA, glycerol, and sodium azide (ab213175).

Anti-CD31 ab213175 was used with Tissue clearing kit – CUBIC (ab316246) and 3D Tissue Staining Kit – CUBIC (ab316248) to penetrate, stain and clear a whole mouse brain.

Learn more about tissue clearing kits, reagents, and protocols designed to make it easier to stain whole brains and get more data from each valuable tissue sample.

For a whole mouse brain, we recommend starting with 10 ug of ab213175 and using a Fab fragment secondary antibody with 6.67 µg  to create an antibody complex before 3D staining (see protocol for details). No additive was used during the staining process.

The sample was imaged using a light-sheet microscopy.

Immunoprecipitation - Anti-CD31 antibody [EPR17260-254] - BSA and Azide free (AB271994)
  • IP

Supplier Data

Immunoprecipitation - Anti-CD31 antibody [EPR17260-254] - BSA and Azide free (AB271994)

CD31 was immunoprecipitated from 1 mg of bEnd.3 (Mouse brain endothelioma cell line) whole cell lysate with ab213175 at 1/40 dilution.

Western blot was performed from the immunoprecipitate using ab213175 at 1/1000 dilution.

VeriBlot for IP Detection Reagent (HRP) (ab131366), was used for detection at 1/10,000 dilution

Lane 1 : bEnd.3 whole cell lysate 10μg (Input). Lane 2 : ab213175 IP in bEnd.3 whole cell lysate. Lane 3 : Rabbit monoclonal IgG (ab172730) instead of ab213175 in bEnd.3 whole cell lysate.

Blocking and dilution buffer and concentration : 5% NFDM/TBST.

Exposure time : 10 seconds.

This data was developed using the same antibody clone in a different buffer formulation containing PBS, BSA, glycerol, and sodium azide (ab213175).

All lanes:

Immunoprecipitation - Anti-CD31 antibody [EPR17260-254] (<a href='/en-us/products/primary-antibodies/cd31-antibody-epr17260-254-ab213175'>ab213175</a>)

Predicted band size: 82 kDa

false

ELISA - Anti-CD31 antibody [EPR17260-254] - BSA and Azide free (AB271994)
  • ELISA

Supplier Data

ELISA - Anti-CD31 antibody [EPR17260-254] - BSA and Azide free (AB271994)

Example of mouse CD31 standard curve in 1X Cell Extraction Buffer PTR using recombinant CD31 antibody (ab213175) and a recombinant monoclonal antibody. Background-subtracted data values (mean +/- SD) are graphed.

For a matched antibody pair set, see Mouse CD31 Matched Antibody Pair Kit (ab212065).

For a complete ELISA kit, see Mouse CD31 ELISA kit (ab204527).

This data was developed using the same antibody clone in a different buffer formulation containing PBS, BSA, glycerol, and sodium azide (ab213175).

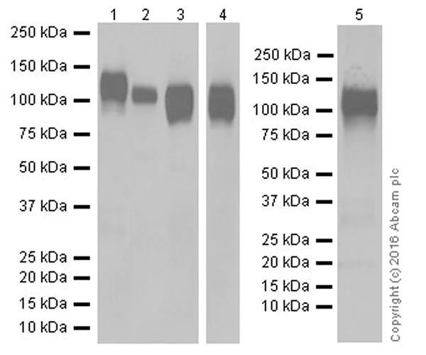
Western blot - Anti-CD31 antibody [EPR17260-254] - BSA and Azide free (AB271994)
  • WB

Supplier Data

Western blot - Anti-CD31 antibody [EPR17260-254] - BSA and Azide free (AB271994)

This data was developed using the same antibody clone in a different buffer formulation containing PBS, BSA, glycerol, and sodium azide (ab213175).

Blocking/Dilution buffer : 5% NFDM/TBST.

Exposure time : Lane 1-3 : 10 seconds; Lane 4/5 : 1 second.

The expression MW observed is consistent with what has been described in the literature (PMID : 18388311; 12433657).

Lanes 1 - 4:

Western blot - Anti-CD31 antibody [EPR17260-254] (<a href='/en-us/products/primary-antibodies/cd31-antibody-epr17260-254-ab213175'>ab213175</a>) at 1/1000 dilution

Lane 5:

Western blot - Anti-CD31 antibody [EPR17260-254] (<a href='/en-us/products/primary-antibodies/cd31-antibody-epr17260-254-ab213175'>ab213175</a>) at 1/2000 dilution

Lane 1:

Mouse platelet lysate at 10 µg

Lane 2:

Rat platelet lysate at 10 µg

Lane 3:

Rat lung lysate at 10 µg

Lane 4:

Mouse lung lysate at 10 µg

Lane 5:

bEnd.3 (Mouse brain endothelioma cell line) whole cell lysate at 10 µg

Secondary

All lanes:

Western blot - Goat Anti-Rabbit IgG H&L (HRP) (<a href='/en-us/products/secondary-antibodies/goat-rabbit-igg-h-l-hrp-ab97051'>ab97051</a>) at 1/100000 dilution

Predicted band size: 82 kDa

Observed band size: 110-130 kDa

false

Western blot - Anti-CD31 antibody [EPR17260-254] - BSA and Azide free (AB271994)
  • WB

Supplier Data

Western blot - Anti-CD31 antibody [EPR17260-254] - BSA and Azide free (AB271994)

This data was developed using the same antibody clone in a different buffer formulation containing PBS, BSA, glycerol, and sodium azide (ab213175).

Blocking/Dilution buffer : 5% NFDM/TBST.

Lane 1:

Western blot - Anti-CD31 antibody [EPR17260-254] (<a href='/en-us/products/primary-antibodies/cd31-antibody-epr17260-254-ab213175'>ab213175</a>) at 1/20000 dilution

Lane 2:

Western blot - Anti-CD31 antibody [EPR17260-254] (<a href='/en-us/products/primary-antibodies/cd31-antibody-epr17260-254-ab213175'>ab213175</a>) at 1/100000 dilution

All lanes:

Mouse CD31 active protein at 0.01 µg

Secondary

All lanes:

Western blot - Goat Anti-Rabbit IgG H&L (HRP) (<a href='/en-us/products/secondary-antibodies/goat-rabbit-igg-h-l-hrp-ab97051'>ab97051</a>) at 1/20000 dilution

Predicted band size: 82 kDa

Observed band size: 100 kDa

false

Exposure time: 3min

Key facts

Host species

Rabbit

Clonality

Monoclonal

Clone number

EPR17260-254

Isotype

IgG

Carrier free

Yes

Reacts with

Mouse

Applications

sELISA, IHC - Wmt, IP, WB

applications

Immunogen

The exact immunogen used to generate this antibody is proprietary information.

Reactivity data

{ "title": "Reactivity Data", "filters": { "stats": ["", "Species", "Dilution Info", "Notes"], "tabs": { "all-applications": {"fullname" : "All Applications", "shortname": "All Applications"}, "IP" : {"fullname" : "Immunoprecipitation", "shortname":"IP"}, "WB" : {"fullname" : "Western blot", "shortname":"WB"}, "sELISA" : {"fullname" : "Sandwich ELISA", "shortname":"sELISA"}, "IHCWmt" : {"fullname" : "IHC - Wholemount", "shortname":"IHC - Wmt"} }, "product-promise": { "all": "all", "testedAndGuaranteed": "tested", "guaranteed": "expected", "predicted": "predicted", "notRecommended": "not-recommended" } }, "values": { "Mouse": { "IP-species-checked": "testedAndGuaranteed", "IP-species-dilution-info": "", "IP-species-notes": "<p></p>", "WB-species-checked": "testedAndGuaranteed", "WB-species-dilution-info": "", "WB-species-notes": "<p>Treat samples with PNGase F or phosphatase to confirm the specificity of bands if necessary.</p><p>The observed band size of CD31 may not the same as predicted MWs in WB due to the different forms and modifications of CD31.</p><p>Ms Isoform 1-4: 69.8-81.3 kDa (predicted).</p><p>Observed band size is around 130 kDa.</p><p>Positive Control: HUVEC and Jurkat cell lysates (<a href='/en-us/products/cell-lysates/jurkat-whole-cell-lysate-ab7899'>ab7899</a>); Human spleen and kidney tissue lysate.</p><p>Negative Control: NIH/3T3 whole cell lysate (<a href='/en-us/products/cell-lysates/nih-3t3-whole-cell-lysate-ab7179'>ab7179</a>).</p>", "sELISA-species-checked": "testedAndGuaranteed", "sELISA-species-dilution-info": "", "sELISA-species-notes": "<p></p>", "IHCWmt-species-checked": "testedAndGuaranteed", "IHCWmt-species-dilution-info": "", "IHCWmt-species-notes": "<p></p>" }, "Rat": { "IP-species-checked": "guaranteed", "IP-species-dilution-info": "", "IP-species-notes": "", "WB-species-checked": "testedAndGuaranteed", "WB-species-dilution-info": "", "WB-species-notes": "<p>Treat samples with PNGase F or phosphatase to confirm the specificity of bands if necessary.</p><p>The observed band size of CD31 may not the same as predicted MWs in WB due to the different forms and modifications of CD31.</p><p>Ms Isoform 1-4: 69.8-81.3 kDa (predicted).</p><p>Observed band size is around 130 kDa.</p><p>Positive Control: HUVEC and Jurkat cell lysates (<a href='/en-us/products/cell-lysates/jurkat-whole-cell-lysate-ab7899'>ab7899</a>); Human spleen and kidney tissue lysate.</p><p>Negative Control: NIH/3T3 whole cell lysate (<a href='/en-us/products/cell-lysates/nih-3t3-whole-cell-lysate-ab7179'>ab7179</a>).</p>", "sELISA-species-checked": "guaranteed", "sELISA-species-dilution-info": "", "sELISA-species-notes": "", "IHCWmt-species-checked": "guaranteed", "IHCWmt-species-dilution-info": "", "IHCWmt-species-notes": "" } } }

Product details

ab271994 is the carrier-free version of ab213175.

Patented technology
Our RabMAb® technology is a patented hybridoma-based technology for making rabbit monoclonal antibodies. For details on our patents, please refer to RabMAb® patents.

What are the advantages of a recombinant monoclonal antibody?
This product is a recombinant monoclonal antibody, which offers several advantages including:

  • - High batch-to-batch consistency and reproducibility
  • - Improved sensitivity and specificity
  • - Long-term security of supply
  • - Animal-free batch production

For more information, read more on recombinant antibodies.

Conjugation ready
Our carrier-free antibodies are typically supplied in a PBS-only formulation, purified and free of BSA, sodium azide and glycerol. This conjugation-ready format is designed for use with fluorochromes, metal isotopes, oligonucleotides, and enzymes, which makes them ideal for antibody labelling, functional and cell-based assays, flow-based assays (e.g. mass cytometry) and Multiplex Imaging applications.

Use our conjugation kits for antibody conjugates that are ready-to-use in as little as 20 minutes with 1 minute hands-on-time and 100% antibody recovery: available for fluorescent dyes, HRP, biotin and gold.

Compatibility
This product is compatible with the Maxpar® Antibody Labeling Kit from Fluidigm, without the need for antibody preparation. Maxpar® is a trademark of Fluidigm Canada Inc.

Properties and storage information

Form
Liquid
Purification technique
Affinity purification Protein A
Storage buffer
pH: 7.2 - 7.4 Constituents: PBS
Shipped at conditions
Blue Ice
Appropriate short-term storage conditions
+4°C
Appropriate long-term storage conditions
+4°C
Storage information
Do Not Freeze

Product protocols

For this product, it's our understanding that no specific protocols are required. You can visit:

Target data

Cell adhesion molecule which is required for leukocyte transendothelial migration (TEM) under most inflammatory conditions (By similarity). Tyr-679 plays a critical role in TEM and is required for efficient trafficking of PECAM1 to and from the lateral border recycling compartment (LBRC) and is also essential for the LBRC membrane to be targeted around migrating leukocytes (By similarity). Trans-homophilic interaction may play a role in endothelial cell-cell adhesion via cell junctions (By similarity). Heterophilic interaction with CD177 plays a role in transendothelial migration of neutrophils (By similarity). Homophilic ligation of PECAM1 prevents macrophage-mediated phagocytosis of neighboring viable leukocytes by transmitting a detachment signal (By similarity). Promotes macrophage-mediated phagocytosis of apoptotic leukocytes by tethering them to the phagocytic cells; PECAM1-mediated detachment signal appears to be disabled in apoptotic leukocytes (By similarity). Modulates bradykinin receptor BDKRB2 activation (By similarity). Regulates bradykinin- and hyperosmotic shock-induced ERK1/2 activation in endothelial cells (By similarity). Induces susceptibility to atherosclerosis (PubMed : 19048083).
See full target information Pecam1

Product promise

We are committed to supporting your work with high-quality reagents, and we're here for you every step of the way. In the unlikely event that one of our products does not perform as expected, you're protected by our Product Promise.
For full details, please see our Terms & Conditions

Please note: All products are 'FOR RESEARCH USE ONLY. NOT FOR USE IN DIAGNOSTIC OR THERAPEUTIC PROCEDURES'.

For licensing inquiries, please contact partnerships@abcam.com