JavaScript is disabled in your browser. Please enable JavaScript to view this website.
AB76533

Anti-CD31 antibody [EPR3094]

  • BOND RX™ Validated
  • RabMAb
  • Recombinant
  • Lab Essentials
  • What is this?

4

(12 Reviews)

|

(80 Publications)

Anti-CD31 antibody [EPR3094] (ab76533) is a rabbit monoclonal antibody detecting CD31 in Western Blot, IHC-P, ICC/IF. Suitable for Human.

- Biophysical QC for unrivalled batch-batch consistency
- Over 80 publications
- Trusted since 2009

View Alternative Names

CD31, Platelet endothelial cell adhesion molecule, PECAM-1, EndoCAM, GPIIA', PECA1, PECAM1

12 Images
Immunohistochemistry (Formalin/PFA-fixed paraffin-embedded sections) - Anti-CD31 antibody [EPR3094] (AB76533)
  • IHC-P

Unknown

Immunohistochemistry (Formalin/PFA-fixed paraffin-embedded sections) - Anti-CD31 antibody [EPR3094] (AB76533)

ab76533 staining CD31 in human kidney tissue sections by Immunohistochemistry (IHC-P - paraformaldehyde-fixed, paraffin-embedded sections). Tissue was fixed with paraformaldehyde and antigen retrieval was by heat mediation in a EDTA buffer. Samples were incubated with primary antibody at a dilution of 1/100. A goat anti-rabbit IgG H&L (HRP) ab97051 was used as the secondary antibody at a dilution of 1/500.

Immunohistochemistry (Formalin/PFA-fixed paraffin-embedded sections) - Anti-CD31 antibody [EPR3094] (AB76533)
  • IHC-P

Lab

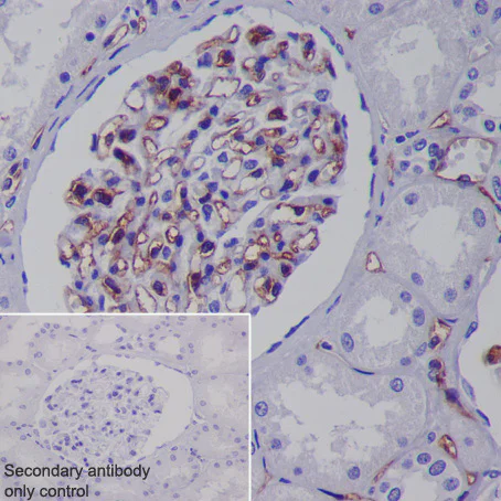
Immunohistochemistry (Formalin/PFA-fixed paraffin-embedded sections) - Anti-CD31 antibody [EPR3094] (AB76533)

Immunohistochemical analysis of formalin fixed paraffin embedded human kidney labelling CD31 with ab76533 at a concentration of 0.1 µg/ml. The immunostaining was performed on a Ventana DISCOVERY ULTRA (Roche Tissue Diagnostics) instrument with a OptiView DAB IHC Detection Kit. Heat mediated antigen retrieval was performed with DISCOVERY cell conditioning solution (CC1) 100°C, pH 8.5 for 32mins.

ab76533 anti-CD31 [EPR3094] was incubated for 16mins at 37°C. Sections were counterstained with Hematoxylin II. Image inset shows absence of staining in secondary antibody only control.

Customers are encouraged to optimise antigen retrieval conditions, antibody concentration, incubation times and temperature for best results in their own IHC assay workflow (automated and manual)

Immunohistochemistry (Formalin/PFA-fixed paraffin-embedded sections) - Anti-CD31 antibody [EPR3094] (AB76533)
  • IHC-P

PubMed

Immunohistochemistry (Formalin/PFA-fixed paraffin-embedded sections) - Anti-CD31 antibody [EPR3094] (AB76533)

Immunohistochemical analysis of endothelial colony forming progenitor cell plugs, staining CD31 (green) with ab76533.

Following antigen retrieval and blocking, sections were incubated with primary antibody (1/1000) overnight at 4°C. A Cy5®-conjugated anti-rabbit IgG (2 μg/ml) was used as the secondary antibody.

Image from Hofmann NA et al. PLoS One. 2012;7(9):e44468. doi: 10.1371/journal.pone.0044468. Epub 2012 Sep 7. Fig 3.; doi:10.1371/journal.pone.0044468; September 7 2012 PLoS ONE 7(9): e44468.

Immunohistochemistry (Formalin/PFA-fixed paraffin-embedded sections) - Anti-CD31 antibody [EPR3094] (AB76533)
  • IHC-P

AbReview23029****

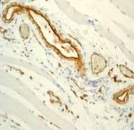
Immunohistochemistry (Formalin/PFA-fixed paraffin-embedded sections) - Anti-CD31 antibody [EPR3094] (AB76533)

ab76533 staining CD31 in human muscle tissue by Immunohistochemistry (Formalin/PFA-fixed paraffin-embedded sections). Tissue was fixed with formaldehyde and a heat mediated antigen retrieval step was performed using citrate buffer pH 6.0. Samples were then blocked with 3% serum for 30 minutes at 20°C followed by incubation with the primary antibody at a 1/200 dilution for 12 hours at20°C. A Cy3®-conjugated goat anti-rabbit polyclonal was used as secondary antibody at a 1/200 dilution.

This image is courtesy of an anonymous Abreview.

Immunohistochemistry (Formalin/PFA-fixed paraffin-embedded sections) - Anti-CD31 antibody [EPR3094] (AB76533)
  • IHC-P

Lab

Immunohistochemistry (Formalin/PFA-fixed paraffin-embedded sections) - Anti-CD31 antibody [EPR3094] (AB76533)

Tissue Microarrays stained for "Anti-CD31 antibody [EPR3094]" using "ab76533"in immunohistochemical analysis. This table provides a detailed overview of positive (tick mark) and negative (cross mark) staining per sample type tested. The sections were pre-treated using Heat mediated antigen retrieval using ab93684 (Tris/EDTA buffer, pH 9.0). The sections were incubated with ab76533 at +4°C overnight followed by a ready to use Goat Anti-Rabbit IgG H&L (HRP polymer).

Immunocytochemistry/ Immunofluorescence - Anti-CD31 antibody [EPR3094] (AB76533)
  • ICC/IF

Unknown

Immunocytochemistry/ Immunofluorescence - Anti-CD31 antibody [EPR3094] (AB76533)

ab76533 staining CD31 in THP-1 (Human monocytic leukemia monocyte) cell line. The cells were fixed with 4% paraformaldehyde (10 min), permeabilized with 0.1% Triton X-100 for 5 minutes and then blocked with 1% BSA/10% normal goat serum/0.3M glycine in 0.1% PBS-Tween for 1h. The cells were then incubated with ab76533 at 1/250 (4.9 μ μg/mL) overnight at +4°C. ab195889Anti-alpha Tubulin mouse monoclonal antibody - Microtubule Marker (Alexa Fluor® 594) was used as a counterstain at 1/200 dilution. DAPI (blue) was used as nuclear counterstain. Confocal image showing membranous staining in THP-1 cells.

Multiplex immunohistochemistry - Anti-CD31 antibody [EPR3094] (AB76533)
  • mIHC

Lab

Multiplex immunohistochemistry - Anti-CD31 antibody [EPR3094] (AB76533)

This image was generated using ab227688, the same clone, but with a different buffer formulation. Panel A : merged staining of anti-CD31 (gray; Opal™690), anti-CD3 epsilon (green; Opal™520) and anti-CD19 (red; Opal™570) on Formalin/PFA-fixed paraffin-embedded sections of human tonsil. Secondary antibody was Opal Polymer HRP Ms + Rb, nuclear counterstain was DAPI. Panel B : anti-CD3 epsilon stained on T cells with ab16669 at 1/500 dilution Panel C : anti-CD19 stained on B cells with ab237772 at 1/5000 dilution Panel D : anti-CD31 stained on endothelial cells and immune cell subsets with ab207090 at 1/500 dilution The section was incubated in three rounds of staining : in the order of ab207090 and ab16669 for 30 mins, then ab237772 for 10 mins at room temperature. Each round was followed by a separate fluorescent tyramide signal amplification system. The immunostaining was performed on a Leica Biosystems BOND® RX instrument with an Opal™ 4-color kit. Image acquisition was performed with Leica SP8 confocal microscope. Heat mediated antigen retrieval with Tris-EDTA buffer (pH 9.0, epitope retrieval solution2) for 20 mins

Western blot - Anti-CD31 antibody [EPR3094] (AB76533)
  • WB

Unknown

Western blot - Anti-CD31 antibody [EPR3094] (AB76533)

All lanes:

Western blot - Anti-CD31 antibody [EPR3094] (ab76533) at 1/20000 dilution

Lane 1:

THP-1 cell lysate at 10 µg

Lane 2:

Jurkat cell lysate at 10 µg

Secondary

All lanes:

HRP labelled goat anti-rabbit at 1/2000 dilution

Predicted band size: 82 kDa

Observed band size: 125 kDa

false

Immunohistochemistry (Formalin/PFA-fixed paraffin-embedded sections) - Anti-CD31 antibody [EPR3094] (AB76533)
  • IHC-P

Unknown

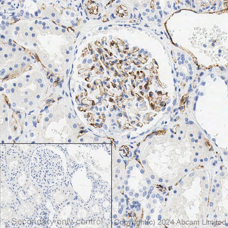
Immunohistochemistry (Formalin/PFA-fixed paraffin-embedded sections) - Anti-CD31 antibody [EPR3094] (AB76533)

Immunohistochemical analysis of paraffin embedded human kidney tissue using ab76533 at a 1/250 dilution. Note positive staining of endothelial cells.

Perform heat mediated antigen retrieval via the pressure cooker method before commencing with IHC staining protocol.

Immunohistochemistry (Formalin/PFA-fixed paraffin-embedded sections) - Anti-CD31 antibody [EPR3094] (AB76533)
  • IHC-P

Unknown

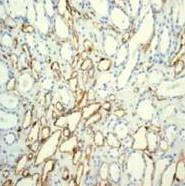
Immunohistochemistry (Formalin/PFA-fixed paraffin-embedded sections) - Anti-CD31 antibody [EPR3094] (AB76533)

Immunohistochemical analysis of paraffin embedded human muscle tissue using ab76533 at a 1/250 dilution. Note positive staining of endothelial cells.

Perform heat mediated antigen retrieval via the pressure cooker method before commencing with IHC staining protocol.

Western blot - Anti-CD31 antibody [EPR3094] (AB76533)
  • WB

Lab

Western blot - Anti-CD31 antibody [EPR3094] (AB76533)

Blocking and diluting buffer : 5% NFDM /TBST

All lanes:

Western blot - Anti-CD31 antibody [EPR3094] (ab76533) at 1/10000 dilution

All lanes:

THP-1 (Human monocytic leukemia cell line) whole cell lysate at 20 µg

Secondary

All lanes:

Western blot - Goat Anti-Rabbit IgG H&L (HRP) (<a href='/en-us/products/secondary-antibodies/goat-rabbit-igg-h-l-hrp-ab97051'>ab97051</a>) at 1/20000 dilution

Predicted band size: 82 kDa

Observed band size: 125 kDa

false

OI-RD Scanning - Anti-CD31 antibody [EPR3094] (AB76533)
  • OI-RD Scanning

Unknown

OI-RD Scanning - Anti-CD31 antibody [EPR3094] (AB76533)

We have systematically measured KD (the equilibrium dissociation constant between the antibody and its antigen), of more than 840 recombinant antibodies to assess not only their individual KD values but also to see the average affinity of antibody. Based on the comparison with published literature values for mouse monoclonal antibodies, Recombinant antibodies appear to be on average 1-2 order of magnitude higher affinity.

Key facts

Host species

Rabbit

Clonality

Monoclonal

Clone number

EPR3094

Isotype

IgG

Carrier free

No

Reacts with

Human

Applications

IHC-P, WB, ICC/IF

applications

Immunogen

The exact immunogen used to generate this antibody is proprietary information.

Reactivity data

{ "title": "Reactivity Data", "filters": { "stats": ["", "Species", "Dilution Info", "Notes"], "tabs": { "all-applications": {"fullname" : "All Applications", "shortname": "All Applications"}, "IHCP" : {"fullname" : "Immunohistochemistry (Formalin/PFA-fixed paraffin-embedded sections)", "shortname":"IHC-P"}, "ICCIF" : {"fullname" : "Immunocytochemistry/ Immunofluorescence", "shortname":"ICC/IF"}, "IP" : {"fullname" : "Immunoprecipitation", "shortname":"IP"}, "FlowCyt" : {"fullname" : "Flow Cytometry", "shortname":"Flow Cyt"}, "WB" : {"fullname" : "Western blot", "shortname":"WB"} }, "product-promise": { "all": "all", "testedAndGuaranteed": "tested", "guaranteed": "expected", "predicted": "predicted", "notRecommended": "not-recommended" } }, "values": { "Human": { "IHCP-species-checked": "testedAndGuaranteed", "IHCP-species-dilution-info": "1/100 - 1/500", "IHCP-species-notes": "<p>We suggest to program the pressure cooker to run for 30 seconds at 125° C, followed by 10 seconds at 90° C. Then let the slide cool down to room temperature (10 - 20 minutes).</p><p>The ideal fixation time will depend on the size of the tissue block and the type of tissue, but fixation between 18–24h is suitable for most samples.</p><p>Positive Control: Hu tonsil tissue</p>", "ICCIF-species-checked": "testedAndGuaranteed", "ICCIF-species-dilution-info": "1/500", "ICCIF-species-notes": "<p>Use 0.3M glycine to quench autofluorescence caused by aldehydes.</p><p>Positive Control: HUVEC cells</p>", "IP-species-checked": "notRecommended", "IP-species-dilution-info": "1/20", "IP-species-notes": "<p></p>", "FlowCyt-species-checked": "notRecommended", "FlowCyt-species-dilution-info": "1/50", "FlowCyt-species-notes": "<p><a href='/en-us/products/primary-antibodies/rabbit-igg-monoclonal-epr25a-isotype-control-ab172730'>ab172730</a> - Rabbit monoclonal IgG, is suitable for use as an isotype control with this antibody.</p>", "WB-species-checked": "testedAndGuaranteed", "WB-species-dilution-info": "1/5000 - 1/20000", "WB-species-notes": "<p>Treat samples with PNGase F or phosphatase to confirm the specificity of bands if necessary.</p><p>The observed band size of CD31 may not the same as predicted MWs in WB due to the different forms and modifications of CD31.</p><p>Hu Isoform 1-6: 79-83 kDa (predicted)</p><p>Observed band size is around 130 kDa</p><p>Positive Control: HUVEC and Jurkat cell lysates (<a href='/en-us/products/cell-lysates/jurkat-whole-cell-lysate-ab7899'>ab7899</a>); Human spleen and kidney tissue lysate.</p><p>Negative Control: NIH/3T3 whole cell lysate (<a href='/en-us/products/cell-lysates/nih-3t3-whole-cell-lysate-ab7179'>ab7179</a>).</p>" } } }

You may be interested in:

AB190814

Human CD31 ELISA Kit (PECAM)

0

0 Reviews

View product

We recommend this product because it’s often used in the same experiment or related research.

We advise that you always check the datasheet to ensure it fits your experiments, or contact ourtechnical teamfor help.

Product details

Anti-CD31 antibody [EPR3094] (ab76533) was developed by Abcam using patented rabbit monoclonal antibody technology and is validated for use in ICC/IF, IHC-P, WB in human samples.

Anti-CD31 antibody [EPR3094] (ab76533) has been cited over 80 times in peer reviewed journals and is trusted by the scientific community.

Abcam's high quality manufacturing and validation processes ensure Anti-CD31 antibody [EPR3094] (ab76533) has high sensitivity and specificity alongside high lot-to-lot consistency and reproducibility.

Anti-CD31 antibody [EPR3094] (ab76533) has 11 independent reviews from customers.

Anti-CD31 antibody [EPR3094] (ab76533) specifically detects CD31 (UniProt ID: P16284; Molecular weight: 80kDa) and is sold in 100 µL and 1 mL selling sizes.

Conjugation-ready, carrier free format available for antibody clone EPR3094 - ab207090.

Antibody clone EPR3094 is also available pre-conjugated to a variety of labels for your convenience - Biotin, Alexa Fluor® 647, Alexa Fluor® 488, Alexa Fluor® 594, Alexa Fluor® 555 (ab199734, ab218582, ab275989, ab277231, ab279331).

This antibody shows no cross-reactivity with rat and mouse samples in WB. However it can give some non specific staining on mouse smooth muscle tissues. Plesae contact our Scientific support for more information.

Patented technology
Our RabMAb® technology is a patented hybridoma-based technology for making rabbit monoclonal antibodies. For details on our patents, please refer to RabMAb® patents.

What are the advantages of a recombinant monoclonal antibody?
This product is a recombinant monoclonal antibody, which offers several advantages including:

  • - High batch-to-batch consistency and reproducibility
  • - Improved sensitivity and specificity
  • - Long-term security of supply
  • - Animal-free batch production

For more information, read more on recombinant antibodies.

Properties and storage information

Form
Liquid
Purification technique
Affinity purification Protein A
Storage buffer
pH: 7.2 - 7.4 Preservative: 0.01% Sodium azide Constituents: 59% PBS, 40% Glycerol (glycerin, glycerine), 0.05% BSA
Shipped at conditions
Blue Ice
Appropriate short-term storage conditions
+4°C
Appropriate long-term storage conditions
-20°C
Aliquoting information
Upon delivery aliquot
Storage information
Avoid freeze / thaw cycle

Product protocols

For this product, it's our understanding that no specific protocols are required. You can visit:

Target data

Cell adhesion molecule which is required for leukocyte transendothelial migration (TEM) under most inflammatory conditions (PubMed : 17580308, PubMed : 19342684). Tyr-690 plays a critical role in TEM and is required for efficient trafficking of PECAM1 to and from the lateral border recycling compartment (LBRC) and is also essential for the LBRC membrane to be targeted around migrating leukocytes (PubMed : 19342684). Trans-homophilic interaction may play a role in endothelial cell-cell adhesion via cell junctions (PubMed : 27958302). Heterophilic interaction with CD177 plays a role in transendothelial migration of neutrophils (PubMed : 17580308). Homophilic ligation of PECAM1 prevents macrophage-mediated phagocytosis of neighboring viable leukocytes by transmitting a detachment signal (PubMed : 12110892). Promotes macrophage-mediated phagocytosis of apoptotic leukocytes by tethering them to the phagocytic cells; PECAM1-mediated detachment signal appears to be disabled in apoptotic leukocytes (PubMed : 12110892). Modulates bradykinin receptor BDKRB2 activation (PubMed : 18672896). Regulates bradykinin- and hyperosmotic shock-induced ERK1/2 activation in endothelial cells (PubMed : 18672896). Induces susceptibility to atherosclerosis (By similarity).. Isoform Delta15. Does not protect against apoptosis.
See full target information PECAM1

Publications (80)

Recent publications for all applications. Explore the full list and refine your search

Journal of neuroinflammation 20:285 PubMed38037097

2023

Single-cell RNA sequencing unveils Lrg1's role in cerebral ischemia‒reperfusion injury by modulating various cells.

Applications

Unspecified application

Species

Unspecified reactive species

Zhaohui Ruan,Guosheng Cao,Yisong Qian,Longsheng Fu,Jinfang Hu,Tiantian Xu,Yaoqi Wu,Yanni Lv

Scientific reports 13:18998 PubMed37923755

2023

Successful fat-only whole breast reconstruction using cultured mature adipocytes and conditioned medium containing MCP-1.

Applications

Unspecified application

Species

Unspecified reactive species

Hiroko Yanaga,Mika Koga,Hiromichi Nishina,Yoshio Tanaka,Katsu Yanaga

Bone research 11:58 PubMed37914703

2023

Combining single-cell RNA sequencing and population-based studies reveals hand osteoarthritis-associated chondrocyte subpopulations and pathways.

Applications

Unspecified application

Species

Unspecified reactive species

Hui Li,Xiaofeng Jiang,Yongbing Xiao,Yuqing Zhang,Weiya Zhang,Michael Doherty,Jacquelyn Nestor,Changjun Li,Jing Ye,Tingting Sha,Houchen Lyu,Jie Wei,Chao Zeng,Guanghua Lei

Frontiers in cellular and infection microbiology 13:1270935 PubMed37928187

2023

Co-infection and co-localization of Kaposi sarcoma-associated herpesvirus and Epstein-Barr virus in HIV-associated Kaposi sarcoma: a case report.

Applications

Unspecified application

Species

Unspecified reactive species

Peter Julius,Guobin Kang,Stepfanie Siyumbwa,Jane Musumali,For Yue Tso,Owen Ngalamika,Trevor Kaile,Fred Maate,Phyllis Moonga,John T West,Peter Angeletti,Charles Wood

iScience 26:108236 PubMed37953957

2023

Exosomes derived from platelet-rich plasma promote diabetic wound healing via the JAK2/STAT3 pathway.

Applications

Unspecified application

Species

Unspecified reactive species

Wenhai Cao,Xiaotong Meng,Fangming Cao,Jinpeng Wang,Maowei Yang

Journal of functional biomaterials 14: PubMed37367280

2023

Biomimetic Liquid Crystal-Modified Mesoporous Silica-Based Composite Hydrogel for Soft Tissue Repair.

Applications

Unspecified application

Species

Unspecified reactive species

Xiaoling Li,Lei Wan,Taifu Zhu,Ruiqi Li,Mu Zhang,Haibin Lu

Frontiers in oncology 13:1097513 PubMed36937388

2023

Tumor senescence leads to poor survival and therapeutic resistance in human breast cancer.

Applications

Unspecified application

Species

Unspecified reactive species

Jingtong Zhai,Jiashu Han,Cong Li,Dan Lv,Fei Ma,Binghe Xu

Advanced healthcare materials 12:e2201923 PubMed36748277

2023

Cell-Laden Scaffolds for Vascular-Innervated Bone Regeneration.

Applications

Unspecified application

Species

Unspecified reactive species

Chen Qin,Hongjian Zhang,Lei Chen,Meng Zhang,Jingge Ma,Hui Zhuang,Zhiguang Huan,Yin Xiao,Chengtie Wu

Journal of translational medicine 20:627 PubMed36578083

2022

KPNA2 promotes angiogenesis by regulating STAT3 phosphorylation.

Applications

Unspecified application

Species

Unspecified reactive species

Yujie Jia,Qi Wang,Minglu Liang,Kai Huang

Analytical cellular pathology (Amsterdam) 2022:3770715 PubMed36247874

2022

Chemoprevention of 4NQO-Induced Mouse Tongue Carcinogenesis by AKT Inhibitor through the MMP-9/RhoC Signaling Pathway and Autophagy.

Applications

Unspecified application

Species

Unspecified reactive species

Panpan Yin,Jiahui Chen,Yanlin Wu,Feng Gao,Jinlin Wen,Wenbin Zhang,Ying Su,Xinyan Zhang
View all publications

Product promise

We are committed to supporting your work with high-quality reagents, and we're here for you every step of the way. In the unlikely event that one of our products does not perform as expected, you're protected by our Product Promise.
For full details, please see our Terms & Conditions

Associated Products

Select an associated product type
Alternative Product
Primary Antibodies

AB215753

PE Anti-CD31 antibody [C31.7]

primary-antibodies

pe-cd31-antibody-c317-ab215753

0

(0 reviews)

Alternative Product
Primary Antibodies

AB218932

Anti-CD31 antibody [C31/1395R] - BSA and Azide free

primary-antibodies

cd31-antibody-c31-1395r-bsa-and-azide-free-ab218932

0

(0 reviews)

Alternative Product
Primary Antibodies

AB269733

Anti-CD31 antibody [C31.3] - BSA and Azide free

primary-antibodies

cd31-antibody-c313-bsa-and-azide-free-ab269733

0

(0 reviews)

Alternative Product
Primary Antibodies

AB212711

Anti-CD31 antibody [C31.3 + JC/70A] - BSA and Azide free

primary-antibodies

cd31-antibody-c313-jc-70a-bsa-and-azide-free-ab212711

0

(0 reviews)

Alternative Product
Primary Antibodies

AB212712

Anti-CD31 antibody [JC/70A] - BSA and Azide free

primary-antibodies

cd31-antibody-jc-70a-bsa-and-azide-free-ab212712

3

(1 reviews)

Alternative Product
Primary Antibodies

AB199012

Anti-CD31 antibody [C31.3 + JC/70A]

primary-antibodies

cd31-antibody-c313-jc-70a-ab199012

4

(4 reviews)

Alternative Product
Primary Antibodies

AB187377

Anti-CD31 antibody [C31.3]

primary-antibodies

cd31-antibody-c313-ab187377

5

(2 reviews)

Alternative Product
Primary Antibodies

AB62169

Anti-CD31 (phospho Y713) antibody

primary-antibodies

cd31-phospho-y713-antibody-ab62169

0

(0 reviews)

Alternative Product
Primary Antibodies

AB269307

PE Anti-CD31 antibody [MEM-05]

primary-antibodies

pe-cd31-antibody-mem-05-ab269307

0

(0 reviews)

Alternative Product
Primary Antibodies

AB187594

Alexa Fluor® 488 Anti-CD31 antibody [MEM-05]

primary-antibodies

alexa-fluor-488-cd31-antibody-mem-05-ab187594

0

(0 reviews)

Alternative Product
Primary Antibodies

AB233642

PE/Cy5® Anti-CD31 antibody [MEM05]

primary-antibodies

pe-cy5-cd31-antibody-mem05-ab233642

0

(0 reviews)

Alternative Product
Primary Antibodies

AB64543

Anti-CD31 antibody [TLD-3A12]

primary-antibodies

cd31-antibody-tld-3a12-ab64543

3

(6 reviews)

Alternative Product
Primary Antibodies

AB56299

Anti-CD31 antibody [RM0032-1D12] - BSA and Azide free

primary-antibodies

cd31-antibody-rm0032-1d12-bsa-and-azide-free-ab56299

4

(7 reviews)

Alternative Product
Primary Antibodies

AB231436

Anti-CD31 antibody [SP38]

primary-antibodies

cd31-antibody-sp38-ab231436

5

(5 reviews)

Alternative Product
Primary Antibodies

AB264089

Anti-CD31 antibody [P2B1] - BSA and Azide free

primary-antibodies

cd31-antibody-p2b1-bsa-and-azide-free-ab264089

0

(0 reviews)

Please note: All products are 'FOR RESEARCH USE ONLY. NOT FOR USE IN DIAGNOSTIC OR THERAPEUTIC PROCEDURES'.

For licensing inquiries, please contact partnerships@abcam.com