JavaScript is disabled in your browser. Please enable JavaScript to view this website.
AB207090

Anti-CD31 antibody [EPR3094] - BSA and Azide free

5

(2 Reviews)

|

(7 Publications)

Anti-CD31 antibody [EPR3094] - BSA and Azide free (ab207090) is a rabbit recombinant monoclonal antibody provided in a PBS only buffer for easy conjugation detecting CD31 in Western Blot, IHC-P, ICC/IF. Suitable for Human.

- BSA, sodium azide, and glycerol-free for easy conjugation
- Biophysical QC for unrivalled batch-batch consistency

View Alternative Names

CD31, Platelet endothelial cell adhesion molecule, PECAM-1, EndoCAM, GPIIA', PECA1, PECAM1

15 Images
Immunohistochemistry (Formalin/PFA-fixed paraffin-embedded sections) - Anti-CD31 antibody [EPR3094] - BSA and Azide free (AB207090)
  • IHC-P

Lab

Immunohistochemistry (Formalin/PFA-fixed paraffin-embedded sections) - Anti-CD31 antibody [EPR3094] - BSA and Azide free (AB207090)

This data was developed using the same antibody clone in a different buffer formulation containing PBS, BSA, glycerol, and sodium azide (ab76533).

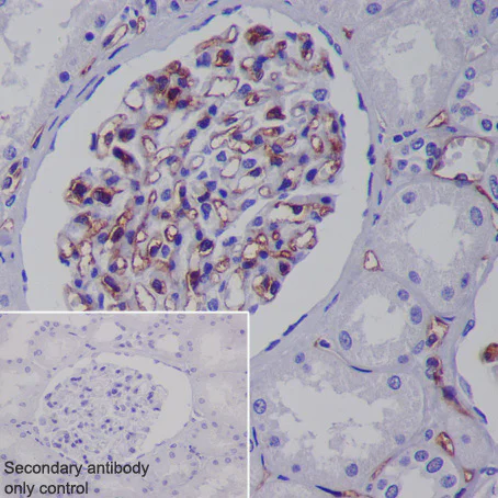
Immunohistochemical analysis of formalin fixed paraffin embedded human kidney labelling CD31 with ab76533 at a concentration of 0.1 µg/ml. The immunostaining was performed on a Ventana DISCOVERY ULTRA (Roche Tissue Diagnostics) instrument with a OptiView DAB IHC Detection Kit. Heat mediated antigen retrieval was performed with DISCOVERY cell conditioning solution (CC1) 100°C, pH 8.5 for 32mins.

ab76533 anti-CD31 [EPR3094] was incubated for 16mins at 37°C. Sections were counterstained with Hematoxylin II. Image inset shows absence of staining in secondary antibody only control.

Customers are encouraged to optimise antigen retrieval conditions, antibody concentration, incubation times and temperature for best results in their own IHC assay workflow (automated and manual)

Immunohistochemistry (Formalin/PFA-fixed paraffin-embedded sections) - Anti-CD31 antibody [EPR3094] - BSA and Azide free (AB207090)
  • IHC-P

PubMed

Immunohistochemistry (Formalin/PFA-fixed paraffin-embedded sections) - Anti-CD31 antibody [EPR3094] - BSA and Azide free (AB207090)

Immunohistochemical analysis of endothelial colony forming progenitor cell plugs, staining CD31 (green) with ab76533.

Following antigen retrieval and blocking, sections were incubated with primary antibody (1/1000) overnight at 4°C. A Cy5®-conjugated anti-rabbit IgG (2 µg/ml) was used as the secondary antibody.This data was developed using the same antibody clone in a different buffer formulation containing PBS, BSA, glycerol, and sodium azide (ab76533).

Image from Hofmann NA et al. PLoS One. 2012;7(9):e44468. doi: 10.1371/journal.pone.0044468. Epub 2012 Sep 7. Fig 3.; doi:10.1371/journal.pone.0044468; September 7 2012 PLoS ONE 7(9): e44468.

Immunocytochemistry/ Immunofluorescence - Anti-CD31 antibody [EPR3094] - BSA and Azide free (AB207090)
  • ICC/IF

Lab

Immunocytochemistry/ Immunofluorescence - Anti-CD31 antibody [EPR3094] - BSA and Azide free (AB207090)

Immunocytochemistry analysis of Jurkat (human T cell leukemia T lymphocyte) cells labeling CD31 with ab76533 at 1/500 (4.9 μg/mL). ab150077, AlexaFluor®488 Goat anti-Rabbit secondary at 1/1000 (2 μg/mL) was used as the secondary antibody. Cells were fixed with 100% Methanol. DAPI (blue) was used as nuclear counterstain.

Confocal image showing positive staining on Jurkat cells.

This data was developed using the same antibody clone in a different buffer formulation containing PBS, BSA, glycerol, and sodium azide (ab76533).

Immunohistochemistry (Formalin/PFA-fixed paraffin-embedded sections) - Anti-CD31 antibody [EPR3094] - BSA and Azide free (AB207090)
  • IHC-P

AbReview23029****

Immunohistochemistry (Formalin/PFA-fixed paraffin-embedded sections) - Anti-CD31 antibody [EPR3094] - BSA and Azide free (AB207090)

ab76533 staining CD31 in human muscle tissue by Immunohistochemistry (Formalin/PFA-fixed paraffin-embedded sections). Tissue was fixed with formaldehyde and a heat mediated antigen retrieval step was performed using citrate buffer pH 6.0. Samples were then blocked with 3% serum for 30 minutes at 20°C followed by incubation with the primary antibody at a 1/200 dilution for 12 hours at20°C. A Cy3®-conjugated goat anti-rabbit polyclonal was used as secondary antibody at a 1/200 dilution.This data was developed using the same antibody clone in a different buffer formulation containing PBS, BSA, glycerol, and sodium azide (ab76533).

This image is courtesy of an anonymous Abreview.

Immunohistochemistry (Formalin/PFA-fixed paraffin-embedded sections) - Anti-CD31 antibody [EPR3094] - BSA and Azide free (AB207090)
  • IHC-P

Lab

Immunohistochemistry (Formalin/PFA-fixed paraffin-embedded sections) - Anti-CD31 antibody [EPR3094] - BSA and Azide free (AB207090)

Tissue Microarrays stained for "Anti-CD31 antibody [EPR3094]" using "ab76533"in immunohistochemical analysis. This table provides a detailed overview of positive (tick mark) and negative (cross mark) staining per sample type tested. The sections were pre-treated using Heat mediated antigen retrieval using ab93684 (Tris/EDTA buffer, pH 9.0). The sections were incubated with ab76533 at +4°C overnight followed by a ready to use Goat Anti-Rabbit IgG H&L (HRP polymer).

Multiplex immunohistochemistry - Anti-CD31 antibody [EPR3094] - BSA and Azide free (AB207090)
  • mIHC

Lab

Multiplex immunohistochemistry - Anti-CD31 antibody [EPR3094] - BSA and Azide free (AB207090)

Panel A : merged staining of anti-CD31 (gray; Opal™690), anti-CD3 epsilon (green; Opal™520) and anti-CD19 (red; Opal™570) on Formalin/PFA-fixed paraffin-embedded sections of human spleen. Secondary antibody was Opal Polymer HRP Ms + Rb, nuclear counterstain was DAPI. Panel B : anti-CD3 epsilon stained on T cells with ab16669 at 1/500 dilution Panel C : anti-CD19 stained on B cells with ab237772 at 1/5000 dilution Panel D : anti-CD31 stained on endothelial cells with ab207090 at 1/500 dilution The section was incubated in three rounds of staining : in the order of ab207090 and ab16669 for 30 mins, then ab237772 for 10 mins at room temperature. Each round was followed by a separate fluorescent tyramide signal amplification system. The immunostaining was performed on a Leica Biosystems BOND® RX instrument with an Opal™ 4-color kit. Image acquisition was performed with Leica SP8 confocal microscope. Heat mediated antigen retrieval with Tris-EDTA buffer (pH 9.0, epitope retrieval solution2) for 20 mins"

Multiplex immunohistochemistry - Anti-CD31 antibody [EPR3094] - BSA and Azide free (AB207090)
  • mIHC

Lab

Multiplex immunohistochemistry - Anti-CD31 antibody [EPR3094] - BSA and Azide free (AB207090)

This image was generated using ab227688, the same clone, but with a different buffer formulation. Panel A : merged staining of anti-CD31 (gray; Opal™690), anti-CD3 epsilon (green; Opal™520) and anti-CD19 (red; Opal™570) on Formalin/PFA-fixed paraffin-embedded sections of human tonsil. Secondary antibody was Opal Polymer HRP Ms + Rb, nuclear counterstain was DAPI. Panel B : anti-CD3 epsilon stained on T cells with ab16669 at 1/500 dilution Panel C : anti-CD19 stained on B cells with ab237772 at 1/5000 dilution Panel D : anti-CD31 stained on endothelial cells and immune cell subsets with ab207090 at 1/500 dilution The section was incubated in three rounds of staining : in the order of ab207090 and ab16669 for 30 mins, then ab237772 for 10 mins at room temperature. Each round was followed by a separate fluorescent tyramide signal amplification system. The immunostaining was performed on a Leica Biosystems BOND® RX instrument with an Opal™ 4-color kit. Image acquisition was performed with Leica SP8 confocal microscope. Heat mediated antigen retrieval with Tris-EDTA buffer (pH 9.0, epitope retrieval solution2) for 20 mins

Western blot - Anti-CD31 antibody [EPR3094] - BSA and Azide free (AB207090)
  • WB

Lab

Western blot - Anti-CD31 antibody [EPR3094] - BSA and Azide free (AB207090)

Blocking and diluting buffer : 5% NFDM /TBST

This data was developed using the same antibody clone in a different buffer formulation containing PBS, BSA, glycerol, and sodium azide (ab76533).

All lanes:

Western blot - Anti-CD31 antibody [EPR3094] - BSA and Azide free (ab207090) at 1/10000 dilution

All lanes:

THP-1 (Human monocytic leukemia cell line) whole cell lysate at 20 µg

Secondary

All lanes:

Western blot - Goat Anti-Rabbit IgG H&L (HRP) (<a href='/en-us/products/secondary-antibodies/goat-rabbit-igg-h-l-hrp-ab97051'>ab97051</a>) at 1/20000 dilution

Predicted band size: 82 kDa

Observed band size: 125 kDa

false

Immunohistochemistry (Formalin/PFA-fixed paraffin-embedded sections) - Anti-CD31 antibody [EPR3094] - BSA and Azide free (AB207090)
  • IHC-P

Unknown

Immunohistochemistry (Formalin/PFA-fixed paraffin-embedded sections) - Anti-CD31 antibody [EPR3094] - BSA and Azide free (AB207090)

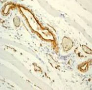
Immunohistochemical analysis of paraffin embedded human muscle tissue using ab76533 at a 1/250 dilution. Note positive staining of endothelial cells.

This data was developed using the same antibody clone in a different buffer formulation containing PBS, BSA, glycerol, and sodium azide (ab76533).

Perform heat mediated antigen retrieval via the pressure cooker method before commencing with IHC staining protocol.

Immunohistochemistry (Formalin/PFA-fixed paraffin-embedded sections) - Anti-CD31 antibody [EPR3094] - BSA and Azide free (AB207090)
  • IHC-P

Unknown

Immunohistochemistry (Formalin/PFA-fixed paraffin-embedded sections) - Anti-CD31 antibody [EPR3094] - BSA and Azide free (AB207090)

Clone EPR3094 (ab207090) has been successfully conjugated by Abcam. This image was generated using Anti-CD31 antibody [EPR3094] (Alexa Fluor® 647). Please refer to ab218582 for protocol details.

IHC image of CD31 staining in a section of formalin-fixed paraffin-embedded normal human kidney*.

The section was pre-treated using heat mediated antigen retrieval with sodium citrate buffer (pH6) in a Biocare Medical NxGen pressure cooker using retrieval settings of 110oC for 8 minutes. Non-specific protein-protein interactions were then blocked in TBS containing 0.025% (v/v) Triton X-100, 0.3M (w/v) glycine and 1% (w/v) BSA for 1h at room temperature.  The section was then incubated overnight at +4°C in TBS containing 0.025% (v/v) Triton X-100 and 1% (w/v) BSA with ab218582 at 1/100 dilution (shown in red) and counterstained using ab195887, Mouse monoclonal to alpha Tubulin (Alexa Fluor® 488), at 1/250 dilution (shown in green). Nuclear DNA was labelled with DAPI (shown in blue). The section was then mounted using Fluoromount®.

Image was taken with a confocal microscope (Leica-Microsystems, TCS SP8).

For other IHC staining systems (automated and non-automated), customers should optimize variable parameters such as antigen retrieval conditions, antibody concentrations and incubation times.

*Tissue obtained from the Human Research Tissue Bank, supported by the NIHR Cambridge Biomedical Research Centre.

Immunohistochemistry (Formalin/PFA-fixed paraffin-embedded sections) - Anti-CD31 antibody [EPR3094] - BSA and Azide free (AB207090)
  • IHC-P

Unknown

Immunohistochemistry (Formalin/PFA-fixed paraffin-embedded sections) - Anti-CD31 antibody [EPR3094] - BSA and Azide free (AB207090)

ab76533 staining CD31 in human kidney tissue sections by Immunohistochemistry (IHC-P - paraformaldehyde-fixed, paraffin-embedded sections). Tissue was fixed with paraformaldehyde and antigen retrieval was by heat mediation in a EDTA buffer. Samples were incubated with primary antibody at a dilution of 1/100. A goat anti-rabbit IgG H&L (HRP) ab97051 was used as the secondary antibody at a dilution of 1/500.

This data was developed using the same antibody clone in a different buffer formulation containing PBS, BSA, glycerol, and sodium azide (ab76533).

Immunohistochemistry (Formalin/PFA-fixed paraffin-embedded sections) - Anti-CD31 antibody [EPR3094] - BSA and Azide free (AB207090)
  • IHC-P

Unknown

Immunohistochemistry (Formalin/PFA-fixed paraffin-embedded sections) - Anti-CD31 antibody [EPR3094] - BSA and Azide free (AB207090)

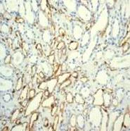
Immunohistochemical analysis of paraffin embedded human kidney tissue using ab76533 at a 1/250 dilution. Note positive staining of endothelial cells.

This data was developed using the same antibody clone in a different buffer formulation containing PBS, BSA, glycerol, and sodium azide (ab76533).

Perform heat mediated antigen retrieval via the pressure cooker method before commencing with IHC staining protocol.

Immunohistochemistry (Formalin/PFA-fixed paraffin-embedded sections) - Anti-CD31 antibody [EPR3094] - BSA and Azide free (AB207090)
  • IHC-P

Supplier Data

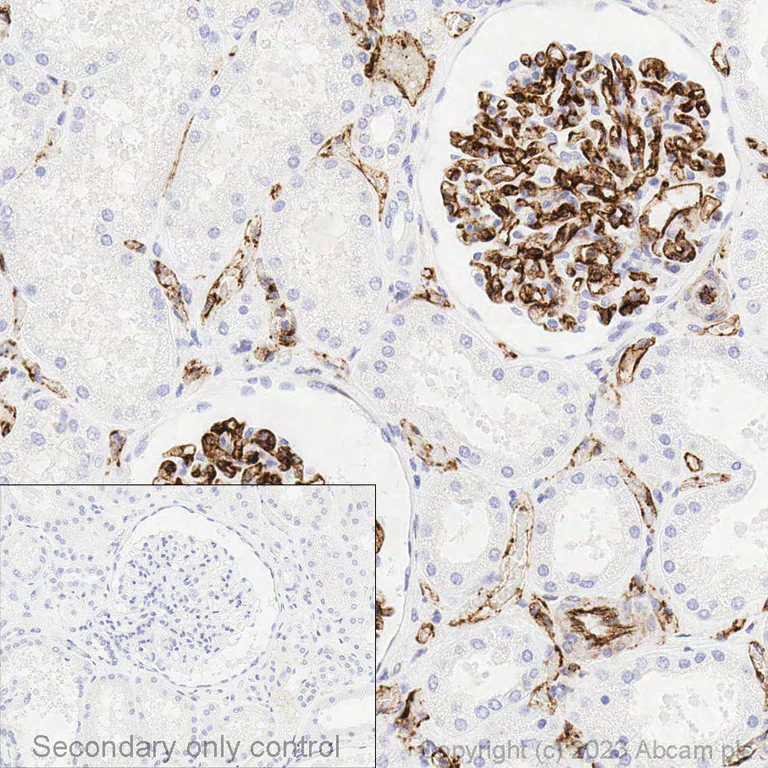
Immunohistochemistry (Formalin/PFA-fixed paraffin-embedded sections) - Anti-CD31 antibody [EPR3094] - BSA and Azide free (AB207090)

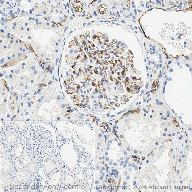
Immunohistochemical analysis of formalin fixed paraffin embedded human kidney labelling CD31 with ab207090 at a concentration of 1µg/ml. The immunostaining was performed on a Ventana DISCOVERY ULTRA (Roche Tissue Diagnostics) instrument with an OptiView DAB IHC Detection Kit. Heat mediated antigen retrieval was conducted for 32min with ULTRA cell conditioning solution (CC1 pH8.5). ab207090 anti CD31 antibody was incubated at 37oC for 16min. Sections were counterstained is with Hematoxylin II. Image inset shows absence of staining in secondary antibody only control.

Western blot - Anti-CD31 antibody [EPR3094] - BSA and Azide free (AB207090)
  • WB

Lab

Western blot - Anti-CD31 antibody [EPR3094] - BSA and Azide free (AB207090)

This data was developed using the same antibody clone in a different buffer formulation containing PBS, BSA, glycerol, and sodium azide (ab76533).

All lanes:

Western blot - Anti-CD31 antibody [EPR3094] - BSA and Azide free (ab207090) at 1/20000 dilution

Lane 1:

THP-1 cell lysate at 10 µg

Lane 2:

Jurkat cell lysate at 10 µg

Secondary

All lanes:

HRP labelled goat anti-rabbit at 1/2000 dilution

Predicted band size: 82 kDa

false

OI-RD Scanning - Anti-CD31 antibody [EPR3094] - BSA and Azide free (AB207090)
  • OI-RD Scanning

Unknown

OI-RD Scanning - Anti-CD31 antibody [EPR3094] - BSA and Azide free (AB207090)

We have systematically measured KD (the equilibrium dissociation constant between the antibody and its antigen), of more than 840 recombinant antibodies to assess not only their individual KD values but also to see the average affinity of antibody. Based on the comparison with published literature values for mouse monoclonal antibodies, Recombinant antibodies appear to be on average 1-2 order of magnitude higher affinity.

Key facts

Host species

Rabbit

Clonality

Monoclonal

Clone number

EPR3094

Isotype

IgG

Carrier free

Yes

Reacts with

Human

Applications

ICC/IF, WB, IHC-P

applications

Immunogen

The exact immunogen used to generate this antibody is proprietary information.

Reactivity data

{ "title": "Reactivity Data", "filters": { "stats": ["", "Species", "Dilution Info", "Notes"], "tabs": { "all-applications": {"fullname" : "All Applications", "shortname": "All Applications"}, "IHCP" : {"fullname" : "Immunohistochemistry (Formalin/PFA-fixed paraffin-embedded sections)", "shortname":"IHC-P"}, "ICCIF" : {"fullname" : "Immunocytochemistry/ Immunofluorescence", "shortname":"ICC/IF"}, "IP" : {"fullname" : "Immunoprecipitation", "shortname":"IP"}, "FlowCyt" : {"fullname" : "Flow Cytometry", "shortname":"Flow Cyt"}, "WB" : {"fullname" : "Western blot", "shortname":"WB"} }, "product-promise": { "all": "all", "testedAndGuaranteed": "tested", "guaranteed": "expected", "predicted": "predicted", "notRecommended": "not-recommended" } }, "values": { "Human": { "IHCP-species-checked": "testedAndGuaranteed", "IHCP-species-dilution-info": "", "IHCP-species-notes": "<p>The ideal fixation time will depend on the size of the tissue block and the type of tissue, but fixation between 18–24h is suitable for most samples.</p><p>Positive Control: Hu tonsil tissue</p>", "ICCIF-species-checked": "testedAndGuaranteed", "ICCIF-species-dilution-info": "", "ICCIF-species-notes": "<p>Use 0.3M glycine to quench autofluorescence caused by aldehydes.</p><p>Positive Control: HUVEC cells</p>", "IP-species-checked": "notRecommended", "IP-species-dilution-info": "", "IP-species-notes": "<p></p>", "FlowCyt-species-checked": "notRecommended", "FlowCyt-species-dilution-info": "", "FlowCyt-species-notes": "<p></p>", "WB-species-checked": "testedAndGuaranteed", "WB-species-dilution-info": "", "WB-species-notes": "<p>Treat samples with PNGase F or phosphatase to confirm the specificity of bands if necessary.</p><p>The observed band size of CD31 may not the same as predicted MWs in WB due to the different forms and modifications of CD31.</p><p>Hu Isoform 1-6: 79-83 kDa (predicted)</p><p>Observed band size is around 130 kDa</p><p>Positive Control: HUVEC and Jurkat cell lysates (<a href='/en-us/products/cell-lysates/jurkat-whole-cell-lysate-ab7899'>ab7899</a>); Human spleen and kidney tissue lysate.</p><p>Negative Control: NIH/3T3 whole cell lysate (<a href='/en-us/products/cell-lysates/nih-3t3-whole-cell-lysate-ab7179'>ab7179</a>).</p>" } } }

You may be interested in:

AB204527

Mouse CD31 ELISA Kit (PECAM1)

0

0 Reviews

View product

We recommend this product because it’s often used in the same experiment or related research.

We advise that you always check the datasheet to ensure it fits your experiments, or contact ourtechnical teamfor help.

Product details

What is this antibody validated in?
Anti-CD31 antibody [EPR3094] - BSA and Azide free (ab207090) is a rabbit recombinant monoclonal antibody and is validated for use in Western Blot (WB), Immunohistochemistry (IHC-P), Immunocytochemistry/immunofluorescence (ICC/IF) in Human samples.

What is the molecular weight of CD31?
Anti-CD31 [EPR3094] - BSA and Azide free (ab207090) specifically detects a band for CD31 (UniProt: P16284) at a molecular weight of 83kDa.

Trial sizes available!
Test your antibody or perform pre-screening before committing to a larger quantity. Sold in 10µl. Discover our selection of trial-size antibodies.

Other related products
We have a range of other formats of antibody clone [EPR3094] also available for your convenience: ab76533, Biotin - ab199734, Carrier free - ab207090, Alexa Fluor® 647 - ab218582, Alexa Fluor® 488 - ab275989, Alexa Fluor® 594 - ab277231, Alexa Fluor® 555 - ab279331, ab284419

Patented technology
Our RabMAb® technology is a patented hybridoma-based technology for making rabbit monoclonal antibodies. For details on our patents, please refer to RabMAb® patents.

What are the advantages of a recombinant monoclonal antibody?
This product is a recombinant monoclonal antibody, which offers several advantages including:

  • - High batch-to-batch consistency and reproducibility
  • - Improved sensitivity and specificity
  • - Long-term security of supply
  • - Animal-free batch production

For more information, read more on recombinant antibodies.

Conjugation ready
Our carrier-free antibodies are typically supplied in a PBS-only formulation, purified and free of BSA, sodium azide and glycerol. This conjugation-ready format is designed for use with fluorochromes, metal isotopes, oligonucleotides, and enzymes, which makes them ideal for antibody labelling, functional and cell-based assays, flow-based assays (e.g. mass cytometry) and Multiplex Imaging applications.

Use our conjugation kits for antibody conjugates that are ready-to-use in as little as 20 minutes with 1 minute hands-on-time and 100% antibody recovery: available for fluorescent dyes, HRP, biotin and gold.

Compatibility
This product is compatible with the Maxpar® Antibody Labeling Kit from Fluidigm, without the need for antibody preparation. Maxpar® is a trademark of Fluidigm Canada Inc.

Properties and storage information

Form
Liquid
Purification technique
Affinity purification Protein A
Storage buffer
pH: 7.2 - 7.4 Constituents: PBS
Shipped at conditions
Blue Ice
Appropriate short-term storage conditions
+4°C
Appropriate long-term storage conditions
+4°C
Storage information
Do Not Freeze

Product protocols

For this product, it's our understanding that no specific protocols are required. You can visit:

Target data

Cell adhesion molecule which is required for leukocyte transendothelial migration (TEM) under most inflammatory conditions (PubMed : 17580308, PubMed : 19342684). Tyr-690 plays a critical role in TEM and is required for efficient trafficking of PECAM1 to and from the lateral border recycling compartment (LBRC) and is also essential for the LBRC membrane to be targeted around migrating leukocytes (PubMed : 19342684). Trans-homophilic interaction may play a role in endothelial cell-cell adhesion via cell junctions (PubMed : 27958302). Heterophilic interaction with CD177 plays a role in transendothelial migration of neutrophils (PubMed : 17580308). Homophilic ligation of PECAM1 prevents macrophage-mediated phagocytosis of neighboring viable leukocytes by transmitting a detachment signal (PubMed : 12110892). Promotes macrophage-mediated phagocytosis of apoptotic leukocytes by tethering them to the phagocytic cells; PECAM1-mediated detachment signal appears to be disabled in apoptotic leukocytes (PubMed : 12110892). Modulates bradykinin receptor BDKRB2 activation (PubMed : 18672896). Regulates bradykinin- and hyperosmotic shock-induced ERK1/2 activation in endothelial cells (PubMed : 18672896). Induces susceptibility to atherosclerosis (By similarity).. Isoform Delta15. Does not protect against apoptosis.
See full target information PECAM1

Publications (7)

Recent publications for all applications. Explore the full list and refine your search

Cell reports. Medicine 4:100977 PubMed36921599

2023

Multiplex imaging of breast cancer lymph node metastases identifies prognostic single-cell populations independent of clinical classifiers.

Applications

Unspecified application

Species

Unspecified reactive species

Jana Raja Fischer,Hartland Warren Jackson,Natalie de Souza,Zsuzsanna Varga,Peter Schraml,Holger Moch,Bernd Bodenmiller

Oncology reports 42:581-594 PubMed31233191

2019

Tumor‑infiltrating M2 macrophages driven by specific genomic alterations are associated with prognosis in bladder cancer.

Applications

Unspecified application

Species

Unspecified reactive species

Yongping Xue,Liping Tong,Fei LiuAnwei Liu,Anwei Liu,Shuxiong Zeng,Qiao Xiong,Zeyu Yang,Xing He,Yinghao Sun,Chuanliang Xu

BioMed research international 2014:301279 PubMed25110670

2014

Preparation of three-dimensional vascularized MSC cell sheet constructs for tissue regeneration.

Applications

IHC-P, ICC, IHC-P, ICC

Species

Human, Mouse, Mouse, Human

Liling Ren,Dongyang Ma,Bin Liu,Jinda Li,Jia Chen,Dan Yang,Peng Gao

BioMed research international 2014:838632 PubMed24883329

2014

CD163+ tumor-associated macrophages correlated with poor prognosis and cancer stem cells in oral squamous cell carcinoma.

Applications

IHC-P

Species

Human

Ke-Fei He,Lu Zhang,Cong-Fa Huang,Si-Rui Ma,Yu-Fan Wang,Wei-Ming Wang,Zhi-Li Zhao,Bing Liu,Yi-Fang Zhao,Wen-Feng Zhang,Zhi-Jun Sun

International journal of molecular sciences 15:6019-30 PubMed24722573

2014

Vasostatin inhibits VEGF-induced endothelial cell proliferation, tube formation and induces cell apoptosis under oxygen deprivation.

Applications

ICC

Species

Human

Qun Shu,Wenjiao Li,Haichuan Li,Gang Sun

PloS one 7:e44468 PubMed22970226

2012

Oxygen sensing mesenchymal progenitors promote neo-vasculogenesis in a humanized mouse model in vivo.

Applications

IHC-P

Species

Human

Nicole A Hofmann,Anna Ortner,Rodrigo O Jacamo,Andreas Reinisch,Katharina Schallmoser,Rokhsareh Rohban,Nathalie Etchart,Margareta Fruehwirth,Christine Beham-Schmid,Michael Andreeff,Dirk Strunk

Circulation 121:2192-9 PubMed20458015

2010

Smooth muscle cells orchestrate the endothelial cell response to flow and injury.

Applications

Unspecified application

Species

Unspecified reactive species

Mercedes Balcells,Jordi Martorell,Carla Olivé,Marina Santacana,Vipul Chitalia,Angelo A Cardoso,Elazer R Edelman
View all publications

Product promise

We are committed to supporting your work with high-quality reagents, and we're here for you every step of the way. In the unlikely event that one of our products does not perform as expected, you're protected by our Product Promise.
For full details, please see our Terms & Conditions

Associated Products

Select an associated product type
Alternative Product
Primary Antibodies

AB215753

PE Anti-CD31 antibody [C31.7]

primary-antibodies

pe-cd31-antibody-c317-ab215753

0

(0 reviews)

Alternative Product
Primary Antibodies

AB218932

Anti-CD31 antibody [C31/1395R] - BSA and Azide free

primary-antibodies

cd31-antibody-c31-1395r-bsa-and-azide-free-ab218932

0

(0 reviews)

Alternative Product
Primary Antibodies

AB269733

Anti-CD31 antibody [C31.3] - BSA and Azide free

primary-antibodies

cd31-antibody-c313-bsa-and-azide-free-ab269733

0

(0 reviews)

Alternative Product
Primary Antibodies

AB212711

Anti-CD31 antibody [C31.3 + JC/70A] - BSA and Azide free

primary-antibodies

cd31-antibody-c313-jc-70a-bsa-and-azide-free-ab212711

0

(0 reviews)

Alternative Product
Primary Antibodies

AB212712

Anti-CD31 antibody [JC/70A] - BSA and Azide free

primary-antibodies

cd31-antibody-jc-70a-bsa-and-azide-free-ab212712

3

(1 reviews)

Alternative Product
Primary Antibodies

AB199012

Anti-CD31 antibody [C31.3 + JC/70A]

primary-antibodies

cd31-antibody-c313-jc-70a-ab199012

4

(4 reviews)

Alternative Product
Primary Antibodies

AB187377

Anti-CD31 antibody [C31.3]

primary-antibodies

cd31-antibody-c313-ab187377

5

(2 reviews)

Alternative Product
Primary Antibodies

AB62169

Anti-CD31 (phospho Y713) antibody

primary-antibodies

cd31-phospho-y713-antibody-ab62169

0

(0 reviews)

Alternative Product
Primary Antibodies

AB187594

Alexa Fluor® 488 Anti-CD31 antibody [MEM-05]

primary-antibodies

alexa-fluor-488-cd31-antibody-mem-05-ab187594

0

(0 reviews)

Alternative Product
Primary Antibodies

AB233642

PE/Cy5® Anti-CD31 antibody [MEM05]

primary-antibodies

pe-cy5-cd31-antibody-mem05-ab233642

0

(0 reviews)

Alternative Product
Primary Antibodies

AB64543

Anti-CD31 antibody [TLD-3A12]

primary-antibodies

cd31-antibody-tld-3a12-ab64543

3

(6 reviews)

Alternative Product
Primary Antibodies

AB56299

Anti-CD31 antibody [RM0032-1D12] - BSA and Azide free

primary-antibodies

cd31-antibody-rm0032-1d12-bsa-and-azide-free-ab56299

4

(7 reviews)

Alternative Product
Primary Antibodies

AB231436

Anti-CD31 antibody [SP38]

primary-antibodies

cd31-antibody-sp38-ab231436

5

(5 reviews)

Alternative Product
Primary Antibodies

AB264089

Anti-CD31 antibody [P2B1] - BSA and Azide free

primary-antibodies

cd31-antibody-p2b1-bsa-and-azide-free-ab264089

0

(0 reviews)

Alternative Product
Primary Antibodies

AB264090

Anti-CD31 antibody [JC/70A] - BSA and Azide free

primary-antibodies

cd31-antibody-jc-70a-bsa-and-azide-free-ab264090

0

(0 reviews)

Alternative Version
Primary Antibodies

AB277231

Alexa Fluor® 594 Anti-CD31 antibody [EPR3094]

primary-antibodies

alexa-fluor-594-cd31-antibody-epr3094-ab277231

5

(3 reviews)

Alternative Version
Primary Antibodies

AB275989

Alexa Fluor® 488 Anti-CD31 antibody [EPR3094]

primary-antibodies

alexa-fluor-488-cd31-antibody-epr3094-ab275989

5

(1 reviews)

Alternative Version
Primary Antibodies

AB199734

Biotin Anti-CD31 antibody [EPR3094]

primary-antibodies

biotin-cd31-antibody-epr3094-ab199734

0

(0 reviews)

Alternative Version
Primary Antibodies

AB279331

Alexa Fluor® 555 Anti-CD31 antibody [EPR3094]

primary-antibodies

alexa-fluor-555-cd31-antibody-epr3094-ab279331

0

(0 reviews)

Alternative Version
Primary Antibodies

AB218582

Alexa Fluor® 647 Anti-CD31 antibody [EPR3094]

primary-antibodies

alexa-fluor-647-cd31-antibody-epr3094-ab218582

0

(0 reviews)

Please note: All products are 'FOR RESEARCH USE ONLY. NOT FOR USE IN DIAGNOSTIC OR THERAPEUTIC PROCEDURES'.

For licensing inquiries, please contact partnerships@abcam.com