JavaScript is disabled in your browser. Please enable JavaScript to view this website.
AB56299

Anti-CD31 antibody [RM0032-1D12] - BSA and Azide free

4

(7 Reviews)

|

(114 Publications)

Anti-CD31 antibody [RM0032-1D12] - BSA and Azide free (ab56299) is a rat monoclonal antibody provided in a PBS only buffer for easy conjugation detecting CD31 in IHC-P. Suitable for Mouse.

- BSA, sodium azide, and glycerol-free for easy conjugation
- Over 80 publications
- Trusted since 2007

View Alternative Names

CD31, Platelet endothelial cell adhesion molecule, PECAM-1, EndoCAM, GPIIA', PECA1, PECAM1

6 Images
Immunohistochemistry (Formalin/PFA-fixed paraffin-embedded sections) - Anti-CD31 antibody [RM0032-1D12] - BSA and Azide free (AB56299)
  • IHC-P

PubMed

Immunohistochemistry (Formalin/PFA-fixed paraffin-embedded sections) - Anti-CD31 antibody [RM0032-1D12] - BSA and Azide free (AB56299)

Tumor vascularization and VEGF in ascites.

(A) ID8, ID8-c-MYC, or ID8-KRAS cells (2 × 106) were intra-peritoneal injected into C57/BL6 mice. Mice were sacrificed when the body weight reached 23 g. Disseminations were obtained from mice when sacrificed. Tumor vascularization of each dissemination was assessed using CD31 immunohistochemistry (ab56299).

Scale bars represent 200 μm and 50 μm at low and high magnification, respectively.

Paraffin sections (4-μm-thick) of the biggest tumor sections from ID8, ID8-c-MYC, and ID8-KRAS mice were dewaxed in xylene and rehydrated through graded ethanol to water. Antigens were retrieved by boiling in 10 mM citrate buffer (pH 6.0) for 30 min. The cooled sections were incubated in a peroxidase blocking solution for 10 min to quench endogenous peroxidase. Sections were incubated in a protein blocking solution at room temperature for 10 min to block non-specific binding. Sections were then stained for Ki67 using rabbit monoclonal antibody against mouse Ki67, CD31 using a rat monoclonal antibody against mouse CD31 (ab56299, Abcam 1 : 100 dilution).

Yoshida et al PLoS One. 2016 Aug 2;11(8):e0160330. doi: 10.1371/journal.pone.0160330. eCollection 2016. Fig 2. Reproduced under the Creative Commons license http://creativecommons.org/licenses/by/4.0/

Immunohistochemistry (Formalin/PFA-fixed paraffin-embedded sections) - Anti-CD31 antibody [RM0032-1D12] - BSA and Azide free (AB56299)
  • IHC-P

Supplier Data

Immunohistochemistry (Formalin/PFA-fixed paraffin-embedded sections) - Anti-CD31 antibody [RM0032-1D12] - BSA and Azide free (AB56299)

ab56299 at 1/400 staining CD31 in LPS treated mouse kidney tissue section by Immunohistochemistry (Formalin/PFA fixed paraffin-embedded sections).

Immunohistochemistry (Formalin/PFA-fixed paraffin-embedded sections) - Anti-CD31 antibody [RM0032-1D12] - BSA and Azide free (AB56299)
  • IHC-P

Supplier Data

Immunohistochemistry (Formalin/PFA-fixed paraffin-embedded sections) - Anti-CD31 antibody [RM0032-1D12] - BSA and Azide free (AB56299)

ab56299 at 1/400 dilution, staining CD31 in LPS treated mouse heart tissue section by Immunohistochemistry (Formalin/PFA fixed paraffin-embedded sections).

Immunohistochemistry (Formalin/PFA-fixed paraffin-embedded sections) - Anti-CD31 antibody [RM0032-1D12] - BSA and Azide free (AB56299)
  • IHC-P

PubMed

Immunohistochemistry (Formalin/PFA-fixed paraffin-embedded sections) - Anti-CD31 antibody [RM0032-1D12] - BSA and Azide free (AB56299)

Proliferation and cell number in male wild-type (+/y) and male Mct8 knockout (−/y) placentae.

(Panel C) : Representative picture demonstrating CD31 immunoreactivity (marker of endothelial cells represented by brown staining) in the mouse placenta at E18.5. The nuclei were counterstained using hematoxylin. Endothelial cells are indicated by arrows and trophoblast cells by arrowheads.

Vasilopoulou et al PLoS One. 2013 Jun 12;8(6):e65402. doi: 10.1371/journal.pone.0065402. Print 2013. Fig 8. Reproduced under the Creative Commons license http://creativecommons.org/licenses/by/4.0/

Immunohistochemistry (Formalin/PFA-fixed paraffin-embedded sections) - Anti-CD31 antibody [RM0032-1D12] - BSA and Azide free (AB56299)
  • IHC-P

Supplier Data

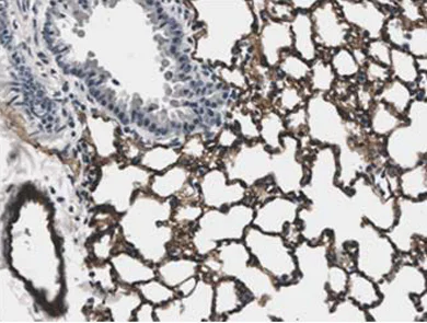
Immunohistochemistry (Formalin/PFA-fixed paraffin-embedded sections) - Anti-CD31 antibody [RM0032-1D12] - BSA and Azide free (AB56299)

ab56299 at 1/400 staining CD31 in LPS treated mouse lung tissue section by Immunohistochemistry (Formalin/PFA fixed paraffin-embedded sections).

Immunohistochemistry (Formalin/PFA-fixed paraffin-embedded sections) - Anti-CD31 antibody [RM0032-1D12] - BSA and Azide free (AB56299)
  • IHC-P

Supplier Data

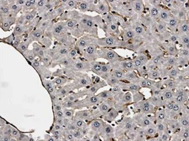
Immunohistochemistry (Formalin/PFA-fixed paraffin-embedded sections) - Anti-CD31 antibody [RM0032-1D12] - BSA and Azide free (AB56299)

ab56299 at 1/400 dilution, staining CD31 in LPS treated mouse liver tissue section by Immunohistochemistry (Formalin/PFA fixed paraffin-embedded sections).

Key facts

Host species

Rat

Clonality

Monoclonal

Clone number

RM0032-1D12

Isotype

IgG2a

Carrier free

Yes

Reacts with

Mouse

Applications

IHC-P

applications

Immunogen

Full Length Protein corresponding to Mouse Pecam1. The exact immunogen used to generate this antibody is proprietary information.

Q08481

Reactivity data

{ "title": "Reactivity Data", "filters": { "stats": ["", "Species", "Dilution Info", "Notes"], "tabs": { "all-applications": {"fullname" : "All Applications", "shortname": "All Applications"}, "IHCP" : {"fullname" : "Immunohistochemistry (Formalin/PFA-fixed paraffin-embedded sections)", "shortname":"IHC-P"} }, "product-promise": { "all": "all", "testedAndGuaranteed": "tested", "guaranteed": "expected", "predicted": "predicted", "notRecommended": "not-recommended" } }, "values": { "Mouse": { "IHCP-species-checked": "testedAndGuaranteed", "IHCP-species-dilution-info": "1/50 - 1/400", "IHCP-species-notes": "<p>4% PFA ix preferred fixative over formalin. Fixation should be overnight. Carrying out Proteinase K enzymatic retrieval is essential (please see specific protocol below and Abreviews). A sensitive detection system such as HRP polymer system is recommended.</p><p>The ideal fixation time will depend on the size of the tissue block and the type of tissue, but fixation between 18–24h is suitable for most samples.</p><p>Positive Control: Hu tonsil tissue</p>" } } }

Product details

What is this antibody validated in?
Anti-CD31 antibody [RM0032-1D12] - BSA and Azide free (ab56299) is a rat monoclonal antibody and is validated for use in Immunohistochemistry (IHC-P) in Mouse samples.

Trusted by the scientific community
Anti-CD31 [RM0032-1D12] - BSA and Azide free (ab56299) was first used in a scientific publication in 2007 and has been cited over 80 times in peer-reviewed journals.

Reviewed by scientists
Anti-CD31 [RM0032-1D12] - BSA and Azide free (ab56299) has over 5 independent reviews from customers.

Properties and storage information

Form
Liquid
Purification technique
Affinity purification Protein G
Purification notes
Purified from tissue culture supernatant and lyophilized from a 0.2 µm filtered solution in phosphate-buffered saline (PBS).
Storage buffer
Constituents: PBS
Shipped at conditions
Blue Ice
Appropriate short-term storage conditions
+4°C
Appropriate long-term storage conditions
-20°C
Aliquoting information
Upon delivery aliquot
Storage information
Avoid freeze / thaw cycle

Product protocols

For this product, it's our understanding that no specific protocols are required. You can visit:

Target data

Cell adhesion molecule which is required for leukocyte transendothelial migration (TEM) under most inflammatory conditions (PubMed : 17580308, PubMed : 19342684). Tyr-690 plays a critical role in TEM and is required for efficient trafficking of PECAM1 to and from the lateral border recycling compartment (LBRC) and is also essential for the LBRC membrane to be targeted around migrating leukocytes (PubMed : 19342684). Trans-homophilic interaction may play a role in endothelial cell-cell adhesion via cell junctions (PubMed : 27958302). Heterophilic interaction with CD177 plays a role in transendothelial migration of neutrophils (PubMed : 17580308). Homophilic ligation of PECAM1 prevents macrophage-mediated phagocytosis of neighboring viable leukocytes by transmitting a detachment signal (PubMed : 12110892). Promotes macrophage-mediated phagocytosis of apoptotic leukocytes by tethering them to the phagocytic cells; PECAM1-mediated detachment signal appears to be disabled in apoptotic leukocytes (PubMed : 12110892). Modulates bradykinin receptor BDKRB2 activation (PubMed : 18672896). Regulates bradykinin- and hyperosmotic shock-induced ERK1/2 activation in endothelial cells (PubMed : 18672896). Induces susceptibility to atherosclerosis (By similarity).. Isoform Delta15. Does not protect against apoptosis.
See full target information PECAM1

Publications (114)

Recent publications for all applications. Explore the full list and refine your search

International journal of molecular sciences 26: PubMed40806695

2025

Pexidartinib and Nintedanib Combination Therapy Targets Macrophage Polarization to Reverse Pulmonary Fibrosis: A Preclinical Study.

Applications

Unspecified application

Species

Unspecified reactive species

Ji-Hee Kim,Jae-Kyung Nam,Min-Sik Park,Seungyoul Seo,Hyung Chul Ryu,Hae-June Lee,Jeeyong Lee,Yoon-Jin Lee

Frontiers in oncology 15:1544278 PubMed40809013

2025

PD-L1 expression in microvascular endothelial cells predicts the efficacy and side effects of anlotinib.

Applications

Unspecified application

Species

Unspecified reactive species

Yingfang Feng,Yuan Gao,Shaochuan Liu,Tingting Qin,Yan Zhang,Jing Wang,Kai Li

Communications biology 8:1040 PubMed40640354

2025

Fortilin deficiency induces anti-atherosclerotic phenotypes in macrophages and protects hypercholesterolemic mice against atherosclerosis.

Applications

Unspecified application

Species

Unspecified reactive species

Nattaporn Wanachottrakul,Decha Pinkaew,Sandipan Mukherjee,Preedakorn Chunhacha,Mari Nakashima,Asa A Brockman,Uttariya Pal,Hasseri B Halim,Yuhong Wei,Lena Tanaka,Hanna Huynh,Kota Ramana,Shiyou Chen,Rebecca A Ihrie,Ken Fujise

The Journal of clinical investigation 135: PubMed40638246

2025

Combinatorial therapy regimens targeting preclinical models of melanoma resistant to immune checkpoint blockade.

Applications

Unspecified application

Species

Unspecified reactive species

Imran Khan,Aida Rodriguez-Brotons,Anukana Bhattacharjee,Vladimir Bezrookove,Altaf Dar,David De Semir,Mehdi Nosrati,Ryan Ice,Liliana Soroceanu,Stanley P Leong,Kevin B Kim,Yihui Shi,James E Cleaver,James R Miller,Pierre-Yves Desprez,John M Kirkwood,Marcus Bosenberg,Nathan Salomonis,Sean McAllister,Mohammed Kashani-Sabet

Journal of translational medicine 23:653 PubMed40514690

2025

Bidirectional roles of nanoenzymes in enhancing GPC3-CAR T cell infiltration and cancer immunotherapy.

Applications

Unspecified application

Species

Unspecified reactive species

Yu Xu,Jianping Liao,Jiahong Wang,Yuan Gao,Yuan Wu,Meiqin Gao,Wenwen Liu,Da Zhang,Wenmin Zhang,Aimin Huang

Biomaterials science : PubMed40298015

2025

Gelatin methacryloyl granular hydrogel scaffolds for skin wound healing.

Applications

Unspecified application

Species

Unspecified reactive species

Arian Jaberi,Pejman Ghelich,Mohamadmahdi Samandari,Sina Kheirabadi,Zaman Ataie,Alexander Kedzierski,Alireza Hassani Najafabadi,Ali Tamayol,Amir Sheikhi

Journal of tissue engineering and regenerative medicine 2024:2515383 PubMed40225757

2025

Polycaprolactone Fiber and Laminin and Collagen IV Protein Incorporation in Implants Enhances Wound Healing in a Novel Mouse Skin Splint Model.

Applications

Unspecified application

Species

Unspecified reactive species

Dina Gadalla,Maeve Kennedy,Jamie Ganem,Mustafa Suppah,Alessandra Schmitt,David G Lott

Journal of neuroinflammation 22:69 PubMed40055743

2025

Intravitreal delivery of NMO-IgG causes primary retinal damage in the absence of optic nerve injury.

Applications

Unspecified application

Species

Unspecified reactive species

Biyue Chen,Huanfen Zhou,Mingming Sun,Wanqun Yang,Qianqian Li,Kaishu Yang,Honglu Song,Quangang Xu,Xintong Xu,Yuyu Li,Yanyan Yu,Shihui Wei,Tingjun Chen

Angiogenesis 28:13 PubMed39899169

2025

Clioquinol inhibits angiogenesis by promoting VEGFR2 degradation and synergizes with AKT inhibition to suppress triple-negative breast cancer vascularization.

Applications

Unspecified application

Species

Unspecified reactive species

Yuan Gu,Tianci Tang,Moqin Qiu,Hongmei Wang,Emmanuel Ampofo,Michael D Menger,Matthias W Laschke

Journal of cardiovascular translational research 18:58-69 PubMed39412642

2024

Apolipoprotein A-I Mimetic Peptide Restores VEGF-induced Angiogenesis in Hypercholesterolemic Ischemic Heart by Reducing HDL Proinflammatory Properties.

Applications

Unspecified application

Species

Unspecified reactive species

Zui Liu,Yang Cao,Xiao-Long Liao,Zhi-Jun Ou,Zhi-Wei Mo,Yi-Fang Liu,Ya-Ting Chen,Ze-Long Liu,Jian-Jun Gao,Da-Sheng Ning,Yue-Ming Peng,Mary G Sorci-Thomas,Jing-Song Ou,Yan Li
View all publications

Product promise

We are committed to supporting your work with high-quality reagents, and we're here for you every step of the way. In the unlikely event that one of our products does not perform as expected, you're protected by our Product Promise.
For full details, please see our Terms & Conditions

Please note: All products are 'FOR RESEARCH USE ONLY. NOT FOR USE IN DIAGNOSTIC OR THERAPEUTIC PROCEDURES'.

For licensing inquiries, please contact partnerships@abcam.com