JavaScript is disabled in your browser. Please enable JavaScript to view this website.
AB281583

Anti-CD31 antibody [RM1006]

  • BOND RX™ Validated
  • RabMAb
  • Recombinant
  • Lab Essentials
  • 20ul selling size
  • What is this?

5

(5 Reviews)

|

(125 Publications)

Anti-CD31 antibody [RM1006] (ab281583) is a rabbit recombinant multiclonal antibody detecting CD31 in Western Blot, IP, IHC-P. Suitable for Human, Mouse, Rat.

- Biophysical QC for unrivalled batch-batch consistency
- Over 10 publications

View Alternative Names

CD31, Platelet endothelial cell adhesion molecule, PECAM-1, EndoCAM, GPIIA', PECA1, PECAM1

10 Images
Immunohistochemistry (Formalin/PFA-fixed paraffin-embedded sections) - Anti-CD31 antibody [RM1006] (AB281583)
  • IHC-P

Lab

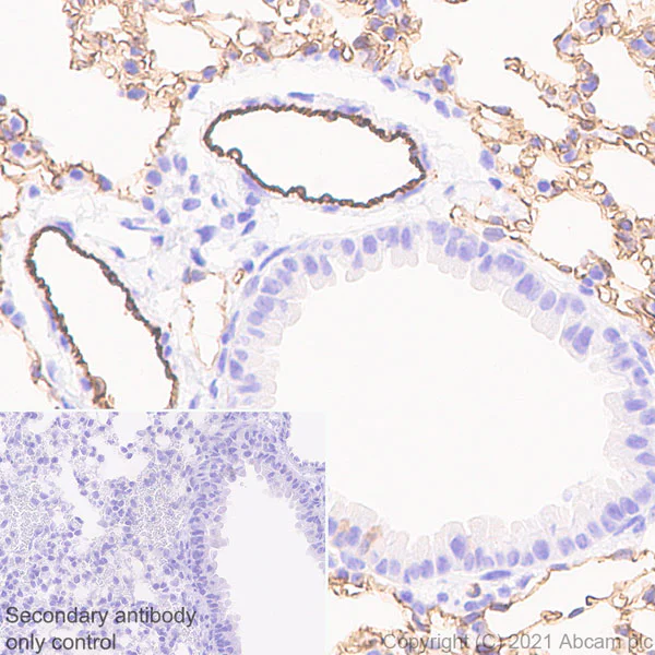
Immunohistochemistry (Formalin/PFA-fixed paraffin-embedded sections) - Anti-CD31 antibody [RM1006] (AB281583)

IHC image of ab281583 staining CD31 in mouse lung formalin fixed paraffin embedded tissue sections, performed on a Leica Biosystems BOND® RX instrument. The section was pre-treated using heat mediated antigen retrieval using Bond™ Epitope Retrieval Solution 2 (pH 9.0) for 20 minutes. The section was then incubated with ab281583 at 1 : 4000 dilution (0.116 μg/ml) for 30 mins at room temperature and detected using an HRP conjugated compact polymer system (Bond™ Polymer Refine Detection). DAB was used as the chromogen. Positive staining was obtained on blood vessels in mouse lung. The section was then counterstained with haematoxylin and mounted with DPX. No primary antibody was used in the secondary only control (shown on the inset).

For other IHC staining systems (automated and non-automated) customers should optimize variable parameters such as antigen retrieval conditions, primary antibody concentration and antibody incubation times.

Immunohistochemistry (Formalin/PFA-fixed paraffin-embedded sections) - Anti-CD31 antibody [RM1006] (AB281583)
  • IHC-P

Lab

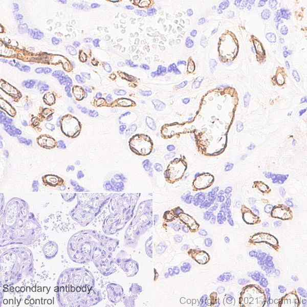
Immunohistochemistry (Formalin/PFA-fixed paraffin-embedded sections) - Anti-CD31 antibody [RM1006] (AB281583)

Immunohistochemical analysis of formalin fixed paraffin embedded Human placenta labelling CD31 with ab281583 at a concentration of 0.5µg/ml.

The immunostaining was performed on a Ventana DISCOVERY ULTRA (Roche Tissue Diagnostics) instrument with an OptiView DAB IHC Detection Kit. Heat mediated antigen retrieval was conducted for 32min with DISCOVERY cell conditioning solution (CC1) 100°C, pH8.5. ab281583 anti-CD31 was incubated at 37°C for 16min.

Sections were counterstained is with Hematoxylin II. Image inset shows absence of staining in secondary antibody only control.

Customers are encouraged to optimise antigen retrieval conditions, antibody concentration, incubation times and temperature for best results in their own IHC assay workflow (automated and manual)

Immunohistochemistry (Formalin/PFA-fixed paraffin-embedded sections) - Anti-CD31 antibody [RM1006] (AB281583)
  • IHC-P

AbReview80744****

Immunohistochemistry (Formalin/PFA-fixed paraffin-embedded sections) - Anti-CD31 antibody [RM1006] (AB281583)

Immunohistochemistry (Formalin/PFA-fixed paraffin-embedded sections) analysis of paraformaldehyde fixed human tonsil permeabilized with 0.3% Triton X-100, staining with ab281583 at 10µg/ml. Secondary antibody used was ab150073 at 1/500 dilution. Blocking was done using Donkey Serum 10% + 3% BSA for 24 hours at 4°C. The sample was incubated with the primary antibody for 1 hour at 20°C. Validated on GE Cell DIVE. Antigen retrieval method was heat mediated Citrate pH 6 & TRIS pH 9

This image is courtesy of an Abreview submitted by Dylan Windell

Immunohistochemistry (Formalin/PFA-fixed paraffin-embedded sections) - Anti-CD31 antibody [RM1006] (AB281583)
  • IHC-P

Lab

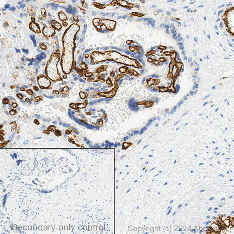
Immunohistochemistry (Formalin/PFA-fixed paraffin-embedded sections) - Anti-CD31 antibody [RM1006] (AB281583)

IHC image of ab281583 staining CD31 in human placenta formalin fixed paraffin embedded tissue sections, performed on a Leica Biosystems BOND® RX instrument. The section was pre-treated using heat mediated antigen retrieval using Bond™ Epitope Retrieval Solution 2 (pH 9.0) for 20 minutes. The section was then incubated with ab281583 at 1 : 4000 dilution (0.116 μg/ml) for 30 mins at room temperature and detected using an HRP conjugated compact polymer system (Bond™ Polymer Refine Detection). DAB was used as the chromogen. Positive staining was obtained on blood vessels in human placenta. The section was then counterstained with haematoxylin and mounted with DPX. No primary antibody was used in the secondary only control (shown on the inset).

For other IHC staining systems (automated and non-automated) customers should optimize variable parameters such as antigen retrieval conditions, primary antibody concentration and antibody incubation times.

Immunohistochemistry (Formalin/PFA-fixed paraffin-embedded sections) - Anti-CD31 antibody [RM1006] (AB281583)
  • IHC-P

AbReview81814****

Immunohistochemistry (Formalin/PFA-fixed paraffin-embedded sections) - Anti-CD31 antibody [RM1006] (AB281583)

Immunohistochemistry (Formalin/PFA-fixed paraffin-embedded sections) analysis of human skin tissue staining CD13 with ab281583 at 1/1000 dilution and secondary Alexa Fluor® 488 Goat anti-rabbit IgG (H+L) at 1/300 dilution. The tissue was incubated with the primary antibody for 12 hour at 4 degrees. Blocking was done with 5% BSA for 30 minutes at 21 degrees. Heat mediated antigen retrieval was with Tris/EDTA buffer pH 9.0

This image is courtesy of an anonymous Abreview

Immunoprecipitation - Anti-CD31 antibody [RM1006] (AB281583)
  • IP

Supplier Data

Immunoprecipitation - Anti-CD31 antibody [RM1006] (AB281583)

CD31 was immunoprecipitated from 0.35 mg THP-1 (Human monocytic leukemia monocyte) whole cell lysate 10 ug with 281583 at 1/30 dilution (2ug in 0.35mg lysates). Western blot was performed on the immunoprecipitate using 281583 at 1/1000 dilution. VeriBlot for IP Detection Reagent (HRP)(ab131366) was used at 1/5000 dilution.

Lane 1 : THP-1 (Human monocytic leukemia monocyte) whole cell lysate 10 ug

Lane 2 : ab281583 IP in THP-1 whole cell lysate

Lane 3 : Rabbit monoclonal IgG (ab172730) instead of ab281583 in THP-1 whole cell lysate

Blocking and dilution buffer and concentration : 5% NFDM/TBST.

Exposure time : 6 seconds.

All lanes:

Immunoprecipitation - Anti-CD31 antibody [RM1006] (ab281583)

Predicted band size: 82 kDa

Observed band size: 125 kDa

false

Immunohistochemistry (Formalin/PFA-fixed paraffin-embedded sections) - Anti-CD31 antibody [RM1006] (AB281583)
  • IHC-P

AbReview81813****

Immunohistochemistry (Formalin/PFA-fixed paraffin-embedded sections) - Anti-CD31 antibody [RM1006] (AB281583)

Immunohistochemistry (Formalin/PFA-fixed paraffin-embedded sections) analysis of paraformaldehyde-fixed mouse skin tissue staining with ab281583 at 1/4000 dilution. Secondary antibody was HRP-Goat Anti-Rabbit IgG (H+L) at 1/500 dilution. Samples were incubated with the primary antibody for 12 hours at 4°C. Blocking was done using 5% BSA for 30 minutes at 21°C. Heat mediated antigen retrieval with Tris/EDTA buffer pH 9.0.

This image is courtesy of an anonymous Abreview

Immunohistochemistry (Formalin/PFA-fixed paraffin-embedded sections) - Anti-CD31 antibody [RM1006] (AB281583)
  • IHC-P

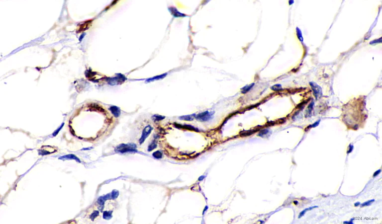
Lab

Immunohistochemistry (Formalin/PFA-fixed paraffin-embedded sections) - Anti-CD31 antibody [RM1006] (AB281583)

IHC image of ab281583 staining CD31 in rat lung formalin fixed paraffin embedded tissue sections, performed on a Leica Biosystems BOND® RX instrument. The section was pre-treated using heat mediated antigen retrieval using Bond™ Epitope Retrieval Solution 2 (pH 9.0) for 20 minutes. The section was then incubated with ab281583 at 1 : 4000 dilution (0.116 μg/ml) for 30 mins at room temperature and detected using an HRP conjugated compact polymer system (Bond™ Polymer Refine Detection). DAB was used as the chromogen. Positive staining was obtained on blood vessels in rat lung. The section was then counterstained with haematoxylin and mounted with DPX. No primary antibody was used in the secondary only control (shown on the inset).

For other IHC staining systems (automated and non-automated) customers should optimize variable parameters such as antigen retrieval conditions, primary antibody concentration and antibody incubation times.

Immunoprecipitation - Anti-CD31 antibody [RM1006] (AB281583)
  • IP

Supplier Data

Immunoprecipitation - Anti-CD31 antibody [RM1006] (AB281583)

CD31 was immunoprecipitated from 0.35 mg bEnd.3 (Mouse brain endothelioma ) whole cell lysate 10 ug with 281583 at 1/30 dilution (2ug in 0.35mg lysates). Western blot was performed on the immunoprecipitate using 281583 at 1/1000 dilution. VeriBlot for IP Detection Reagent (HRP)(ab131366) was used at 1/5000 dilution.

Lane 1 : bEnd.3 (Mouse brain endothelioma ) whole cell lysate 10 ug

Lane 2 : ab281583 IP in bEnd.3 whole cell lysate

Lane 3 : Rabbit monoclonal IgG (ab172730) instead of ab281583 in bEnd.3 whole cell lysate

Blocking and dilution buffer and concentration : 5% NFDM/TBST.

Exposure time : 6 seconds.

All lanes:

Immunoprecipitation - Anti-CD31 antibody [RM1006] (ab281583)

Predicted band size: 82 kDa

Observed band size: 125 kDa

false

Western blot - Anti-CD31 antibody [RM1006] (AB281583)
  • WB

Lab

Western blot - Anti-CD31 antibody [RM1006] (AB281583)

Blocking and diluting buffer and concentration : 5% NFDM/TBST

Negative control : NIH/3T3 (PMID : 1429859).

Exposure time : 37 seconds

All lanes:

Western blot - Anti-CD31 antibody [RM1006] (ab281583) at 1/1000 dilution

Lane 1:

HUVEC (Human umbilical vein endothelial cell) whole cell lysate at 20 µg

Lane 2:

bEnd.3 (Mouse brain endothelioma ) whole cell lysate at 20 µg

Lane 3:

NIH/3T3 (Mouse embryonic fibroblast) whole cell lysate at 20 µg

Lane 4:

Rat lung lysate at 20 µg

Secondary

All lanes:

Western blot - Goat Anti-Rabbit IgG H&L (HRP) (<a href='/en-us/products/secondary-antibodies/goat-rabbit-igg-h-l-hrp-ab97051'>ab97051</a>) at 1/100000 dilution

Predicted band size: 82 kDa

Observed band size: 125 kDa

false

  • Carrier free

    Anti-CD31 antibody [RM1006] - BSA and Azide free

Key facts

Host species

Rabbit

Clonality

Multiclonal

Clone number

RM1006

Isotype

IgG

Carrier free

No

Reacts with

Human, Mouse, Rat

Applications

IP, WB, IHC-P

applications

Immunogen

The exact immunogen used to generate this antibody is proprietary information.

Specificity

Internal QC has shown that this product exhibits non‑specific staining in rat kidney tissues by IHC‑P.

Reactivity data

{ "title": "Reactivity Data", "filters": { "stats": ["", "Species", "Dilution Info", "Notes"], "tabs": { "all-applications": {"fullname" : "All Applications", "shortname": "All Applications"}, "IHCFr" : {"fullname" : "Immunohistochemistry (Frozen sections)", "shortname":"IHC-Fr"}, "ICCIF" : {"fullname" : "Immunocytochemistry/ Immunofluorescence", "shortname":"ICC/IF"}, "IP" : {"fullname" : "Immunoprecipitation", "shortname":"IP"}, "FlowCyt" : {"fullname" : "Flow Cytometry", "shortname":"Flow Cyt"}, "WB" : {"fullname" : "Western blot", "shortname":"WB"}, "IHCP" : {"fullname" : "Immunohistochemistry (Formalin/PFA-fixed paraffin-embedded sections)", "shortname":"IHC-P"} }, "product-promise": { "all": "all", "testedAndGuaranteed": "tested", "guaranteed": "expected", "predicted": "predicted", "notRecommended": "not-recommended" } }, "values": { "Human": { "IHCFr-species-checked": "notRecommended", "IHCFr-species-dilution-info": "", "IHCFr-species-notes": "<p></p>", "ICCIF-species-checked": "notRecommended", "ICCIF-species-dilution-info": "", "ICCIF-species-notes": "<p></p>", "IP-species-checked": "testedAndGuaranteed", "IP-species-dilution-info": "1/30", "IP-species-notes": "<p></p>", "FlowCyt-species-checked": "notRecommended", "FlowCyt-species-dilution-info": "", "FlowCyt-species-notes": "<p></p>", "WB-species-checked": "testedAndGuaranteed", "WB-species-dilution-info": "1/1000", "WB-species-notes": "<p></p>", "IHCP-species-checked": "testedAndGuaranteed", "IHCP-species-dilution-info": "1/4000", "IHCP-species-notes": "<p>Internal QC has shown that this product exhibits non‑specific staining in rat kidney tissues by IHC‑P.</p>" }, "Mouse": { "IHCFr-species-checked": "notRecommended", "IHCFr-species-dilution-info": "", "IHCFr-species-notes": "<p></p>", "ICCIF-species-checked": "notRecommended", "ICCIF-species-dilution-info": "", "ICCIF-species-notes": "<p></p>", "IP-species-checked": "testedAndGuaranteed", "IP-species-dilution-info": "1/30", "IP-species-notes": "<p></p>", "FlowCyt-species-checked": "notRecommended", "FlowCyt-species-dilution-info": "", "FlowCyt-species-notes": "<p></p>", "WB-species-checked": "testedAndGuaranteed", "WB-species-dilution-info": "1/1000", "WB-species-notes": "<p></p>", "IHCP-species-checked": "testedAndGuaranteed", "IHCP-species-dilution-info": "1/4000", "IHCP-species-notes": "<p>Internal QC has shown that this product exhibits non‑specific staining in rat kidney tissues by IHC‑P.</p>" }, "Rat": { "IHCFr-species-checked": "notRecommended", "IHCFr-species-dilution-info": "", "IHCFr-species-notes": "<p></p>", "ICCIF-species-checked": "notRecommended", "ICCIF-species-dilution-info": "", "ICCIF-species-notes": "", "IP-species-checked": "guaranteed", "IP-species-dilution-info": "", "IP-species-notes": "", "FlowCyt-species-checked": "notRecommended", "FlowCyt-species-dilution-info": "", "FlowCyt-species-notes": "", "WB-species-checked": "notRecommended", "WB-species-dilution-info": "1/1000", "WB-species-notes": "<p></p>", "IHCP-species-checked": "testedAndGuaranteed", "IHCP-species-dilution-info": "1/4000", "IHCP-species-notes": "<p>Internal QC has shown that this product exhibits non‑specific staining in rat kidney tissues by IHC‑P.</p>" } } }

Product details

Product Specifications
Anti-CD31 antibody [RM1006] (ab281583) is a recombinant rabbit multiclonal antibody which is comprised of multiple monoclonal antibodies targeting different epitopes and recapitulating the performance of a polyclonal. Each component clone was developed by Abcam using patented rabbit monoclonal antibody technology.
Anti-CD31 antibody [RM1006] (ab281583) is validated for use in IHC-P, IP and WB in human, mouse and rat samples.
Anti-CD31 antibody [RM1006] (ab281583) specifically detects CD31 (UniProt ID: P16284; Molecular weight: 82kDa) and is sold in a convenient trial size to enable initial testing (20 µL) and larger sizes for subsequent scaling up experiments (100 µL and 1 mL).

Quality and Validation
Abcams high quality manufacturing and validation processes ensure Anti-CD31 antibody [RM1006] (ab281583) has high sensitivity and specificity alongside high lot-to-lot consistency and reproducibility.

Related Products
Conjugation-ready, carrier free format available for antibody clone RM1006 - ab282746.

Target Information
CD31 (PECAM-1) is a protein expressed on endothelial and immune cells, playing a crucial role in tumor angiogenesis and immune cell trafficking. In immuno-oncology, it influences the tumor microenvironment and modulates the immune response to cancer.

Patented technology
Our RabMAb® technology is a patented hybridoma-based technology for making rabbit monoclonal antibodies. For details on our patents, please refer to RabMAb® patents.

Properties and storage information

Form
Liquid
Purification technique
Affinity purification Protein A
Storage buffer
Preservative: 0.01% Sodium azide Constituents: PBS, 40% Glycerol (glycerin, glycerine), 0.05% BSA
Shipped at conditions
Blue Ice
Appropriate short-term storage duration
1-2 weeks
Appropriate short-term storage conditions
+4°C
Appropriate long-term storage conditions
-20°C
Aliquoting information
Upon delivery aliquot
Storage information
Avoid freeze / thaw cycle

Product protocols

For this product, it's our understanding that no specific protocols are required. You can visit:

Target data

Cell adhesion molecule which is required for leukocyte transendothelial migration (TEM) under most inflammatory conditions (PubMed : 17580308, PubMed : 19342684). Tyr-690 plays a critical role in TEM and is required for efficient trafficking of PECAM1 to and from the lateral border recycling compartment (LBRC) and is also essential for the LBRC membrane to be targeted around migrating leukocytes (PubMed : 19342684). Trans-homophilic interaction may play a role in endothelial cell-cell adhesion via cell junctions (PubMed : 27958302). Heterophilic interaction with CD177 plays a role in transendothelial migration of neutrophils (PubMed : 17580308). Homophilic ligation of PECAM1 prevents macrophage-mediated phagocytosis of neighboring viable leukocytes by transmitting a detachment signal (PubMed : 12110892). Promotes macrophage-mediated phagocytosis of apoptotic leukocytes by tethering them to the phagocytic cells; PECAM1-mediated detachment signal appears to be disabled in apoptotic leukocytes (PubMed : 12110892). Modulates bradykinin receptor BDKRB2 activation (PubMed : 18672896). Regulates bradykinin- and hyperosmotic shock-induced ERK1/2 activation in endothelial cells (PubMed : 18672896). Induces susceptibility to atherosclerosis (By similarity).. Isoform Delta15. Does not protect against apoptosis.
See full target information PECAM1

Publications (125)

Recent publications for all applications. Explore the full list and refine your search

Theranostics 15:9558-9579 PubMed41041045

2025

Luminal Stem-like Cells in High-Risk/Locally Advanced Prostate Cancer Promote Resistance to Hormonal Therapy.

Applications

Unspecified application

Species

Unspecified reactive species

Guyu Tang,Jing Liu,Xiaomei Gao,Kai Yuan,Minfeng Chen,Long Wang,Lin Qi,Yi Cai

Theranostics 15:9221-9239 PubMed40963908

2025

Neutrophil extracellular traps induce endothelial damage and exacerbate vasospasm in traumatic brain injury.

Applications

Unspecified application

Species

Unspecified reactive species

Jinchao Wang,Lei Li,Jianye Xu,Dilmurat Gheyret,Kaiji Li,Xu Zhang,Haoran Jia,Ye Tian,Xiao Liu,Shenghui Li,Guili Yang,Yalong Gao,Ruilong Peng,Huajie Liu,Bin Liu,Jianfeng Zhuang,Cong Wang,Xin Chen,Yafan Liu,Bo Chen,Chuan Huang,Yuhan Li,Xin Chen,Jianning Zhang,Shu Zhang

Research (Washington, D.C.) 8:0894 PubMed40963981

2025

Highly Selective Exogenous Neutrophils Effectively Inhibit Growth of Colon Cancer under the Guidance of Precision Navigation.

Applications

Unspecified application

Species

Unspecified reactive species

Yunxi Yang,Chuyu Li,Yiming Shao,Xiao Wen,Cheng Lu,Xi Gao,Yiwen Mei,Bingwei Sun

Journal of inflammation research 18:12401-12419 PubMed40955298

2025

Angiotensin-(1-7) Inhibits Angiogenesis and Alleviates Joint Damage in CIA Mice via the Hippo-YAP Pathway.

Applications

Unspecified application

Species

Unspecified reactive species

Shan Zhang,Min Sheng,Dan Yu,Kechen Qian,Yichen Zhang,Wenhan Huang,Feifeng Ren,Lin Tang

Science advances 11:eadu5245 PubMed40901944

2025

Microenvironment-driven transformable self-assembly nanoplatform enables spatiotemporal remodeling for rheumatoid arthritis therapy.

Applications

Unspecified application

Species

Unspecified reactive species

Chuan Hu,Jiaqi Ma,Xi Chen,Yaxin Chen,Yujun Song,Qingsong Tang,Xinling He,Yitao Wang,Huile Gao,Jinming Zhang

Balkan medical journal 42:440-451 PubMed40888349

2025

Inhibition of PI3K and Hedgehog Signaling Pathway Inhibits Hypoxia-Induced Vasculogenic Mimicry Formation in Ovarian Cancer Stem Cells.

Applications

Unspecified application

Species

Unspecified reactive species

Jun Liang,Yun Bai,Huan Zhao

Nature communications 16:7287 PubMed40775187

2025

Galectin-3-integrin α5β1 phase separation disrupted by advanced glycation end-products impairs diabetic wound healing in rodents.

Applications

Unspecified application

Species

Unspecified reactive species

Zhongyu Zhang,Zhengde Zhao,Xiuyi Huang,Lifang Zhou,Xin Jiang,Haoliang Wu,Chenshu Liu,Kan Huang,Jielu Wen,Yunchong Liu,Michelle C Miller,Zihan Zhao,Zhen He,Yuxin Wang,Siyu Liu,Lijin Huang,Lining Yuan,Renli Zeng,Zhipeng Cen,Anning Chen,Yanbo Chen,Gang Zeng,Wenzhou Liu,Xiaosi Hong,Meng Ren,Li Yan,Yang Zhang,Dongxian Guan,Xiaoyu Tian,Weikang Cai,Guihua Tai,Kevin H Mayo,Yifa Zhou,Zilun Li,Sifan Chen

Molecular medicine reports 32: PubMed40776752

2025

Deciphering age‑related differences in wound healing: Insights from the interaction between endothelial cells and fibroblasts.

Applications

Unspecified application

Species

Unspecified reactive species

Jianjun Li,Dongzhen Zhu,Mengde Zhang,Zhao Li,Liting Liang,Yuyan Huang,Xu Guo,Yi Kong,Xiaobing Fu,Sha Huang

IBRO neuroscience reports 19:290-299 PubMed40735300

2025

Beclin1-mediated vascular autophagy negatively regulates angiogenesis and secondary neural damage in the thalamus following cerebral cortical infarction.

Applications

Unspecified application

Species

Unspecified reactive species

Mengzhi Liu,Yuqian Chen,Xinyan Fan,Jinmin Gu,Shihui Xing

Cell death and differentiation : PubMed40615663

2025

The PLEKHA1-TACC2 fusion gene drives tumorigenesis via vascular mimicry formation in esophageal squamous-cell carcinoma.

Applications

Unspecified application

Species

Unspecified reactive species

Ting Yang,Zhi-Rui Lin,Tian-Liang Xia,Shang-Xin Liu,Bo-Yu Yuan,Yi-Ling Luo,Wen-Ting Du,Chao-Bo Lei,Yong-Zhan Nie,Mu-Sheng Zeng,Qian Zhong
View all publications

Product promise

We are committed to supporting your work with high-quality reagents, and we're here for you every step of the way. In the unlikely event that one of our products does not perform as expected, you're protected by our Product Promise.
For full details, please see our Terms & Conditions

Please note: All products are 'FOR RESEARCH USE ONLY. NOT FOR USE IN DIAGNOSTIC OR THERAPEUTIC PROCEDURES'.

For licensing inquiries, please contact partnerships@abcam.com