JavaScript is disabled in your browser. Please enable JavaScript to view this website.
AB282746

Anti-CD31 antibody [RM1006] - BSA and Azide free

Be the first to review this product! Submit a review

|

(2 Publications)

Rabbit Recombinant Multiclonal CD31 antibody. Carrier free. Suitable for WB, IHC-P, IP and reacts with Human, Mouse, Rat samples. Cited in 2 publications.

View Alternative Names

CD31, Platelet endothelial cell adhesion molecule, PECAM-1, EndoCAM, GPIIA', PECA1, PECAM1

6 Images
Immunohistochemistry (Formalin/PFA-fixed paraffin-embedded sections) - Anti-CD31 antibody [RM1006] - BSA and Azide free (AB282746)
  • IHC-P

Lab

Immunohistochemistry (Formalin/PFA-fixed paraffin-embedded sections) - Anti-CD31 antibody [RM1006] - BSA and Azide free (AB282746)

This data was developed using the same antibody clone in a different buffer formulation. ab281583.

IHC image of ab281583 staining CD31 in human placenta formalin fixed paraffin embedded tissue sections, performed on a Leica Biosystems BOND® RX instrument. The section was pre-treated using heat mediated antigen retrieval using Bond™ Epitope Retrieval Solution 2 (pH 9.0) for 20 minutes. The section was then incubated with ab281583 at 1 : 4000 dilution (0.116 μg/ml) for 30 mins at room temperature and detected using an HRP conjugated compact polymer system (Bond™ Polymer Refine Detection). DAB was used as the chromogen. Positive staining was obtained on blood vessels in human placenta. The section was then counterstained with haematoxylin and mounted with DPX. No primary antibody was used in the secondary only control (shown on the inset).

For other IHC staining systems (automated and non-automated) customers should optimize variable parameters such as antigen retrieval conditions, primary antibody concentration and antibody incubation times.

Immunoprecipitation - Anti-CD31 antibody [RM1006] - BSA and Azide free (AB282746)
  • IP

Supplier Data

Immunoprecipitation - Anti-CD31 antibody [RM1006] - BSA and Azide free (AB282746)

This data was produced using ab281583, the same clone in a different formulation.

CD31 was immunoprecipitated from 0.35 mg THP-1 (Human monocytic leukemia monocyte) whole cell lysate 10 ug with 281583 at 1/30 dilution (2ug in 0.35mg lysates). Western blot was performed on the immunoprecipitate using 281583 at 1/1000 dilution. VeriBlot for IP Detection Reagent (HRP)(ab131366) was used at 1/5000 dilution.

Lane 1 : THP-1 (Human monocytic leukemia monocyte) whole cell lysate 10 ug

Lane 2 : ab281583 IP in THP-1 whole cell lysate

Lane 3 : Rabbit monoclonal IgG (ab172730) instead of ab281583 in THP-1 whole cell lysate

Blocking and dilution buffer and concentration : 5% NFDM/TBST.

Exposure time : 6 seconds.

All lanes:

Immunoprecipitation - Anti-CD31 antibody [RM1006] - BSA and Azide free (ab282746)

Predicted band size: 82 kDa

false

Immunohistochemistry (Formalin/PFA-fixed paraffin-embedded sections) - Anti-CD31 antibody [RM1006] - BSA and Azide free (AB282746)
  • IHC-P

Lab

Immunohistochemistry (Formalin/PFA-fixed paraffin-embedded sections) - Anti-CD31 antibody [RM1006] - BSA and Azide free (AB282746)

This data was developed using the same antibody clone in a different buffer formulation. ab281583

IHC image of ab281583 staining CD31 in mouse lung formalin fixed paraffin embedded tissue sections, performed on a Leica Biosystems BOND® RX instrument. The section was pre-treated using heat mediated antigen retrieval using Bond™ Epitope Retrieval Solution 2 (pH 9.0) for 20 minutes. The section was then incubated with ab281583 at 1 : 4000 dilution (0.116 μg/ml) for 30 mins at room temperature and detected using an HRP conjugated compact polymer system (Bond™ Polymer Refine Detection). DAB was used as the chromogen. Positive staining was obtained on blood vessels in mouse lung. The section was then counterstained with haematoxylin and mounted with DPX. No primary antibody was used in the secondary only control (shown on the inset).

For other IHC staining systems (automated and non-automated) customers should optimize variable parameters such as antigen retrieval conditions, primary antibody concentration and antibody incubation times.

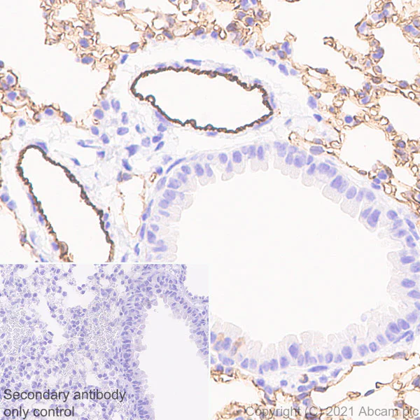
Immunohistochemistry (Formalin/PFA-fixed paraffin-embedded sections) - Anti-CD31 antibody [RM1006] - BSA and Azide free (AB282746)
  • IHC-P

Lab

Immunohistochemistry (Formalin/PFA-fixed paraffin-embedded sections) - Anti-CD31 antibody [RM1006] - BSA and Azide free (AB282746)

This data was developed using the same antibody clone in a different buffer formulation. ab281583

IHC image of ab281583 staining CD31 in rat lung formalin fixed paraffin embedded tissue sections, performed on a Leica Biosystems BOND® RX instrument. The section was pre-treated using heat mediated antigen retrieval using Bond™ Epitope Retrieval Solution 2 (pH 9.0) for 20 minutes. The section was then incubated with ab281583 at 1 : 4000 dilution (0.116 μg/ml) for 30 mins at room temperature and detected using an HRP conjugated compact polymer system (Bond™ Polymer Refine Detection). DAB was used as the chromogen. Positive staining was obtained on blood vessels in rat lung. The section was then counterstained with haematoxylin and mounted with DPX. No primary antibody was used in the secondary only control (shown on the inset).

For other IHC staining systems (automated and non-automated) customers should optimize variable parameters such as antigen retrieval conditions, primary antibody concentration and antibody incubation times.

Immunoprecipitation - Anti-CD31 antibody [RM1006] - BSA and Azide free (AB282746)
  • IP

Supplier Data

Immunoprecipitation - Anti-CD31 antibody [RM1006] - BSA and Azide free (AB282746)

This data was produced using ab281583, the same clone in a different formulation.

CD31 was immunoprecipitated from 0.35 mg bEnd.3 (Mouse brain endothelioma ) whole cell lysate 10 ug with 281583 at 1/30 dilution (2ug in 0.35mg lysates). Western blot was performed on the immunoprecipitate using 281583 at 1/1000 dilution. VeriBlot for IP Detection Reagent (HRP)(ab131366) was used at 1/5000 dilution.

Lane 1 : bEnd.3 (Mouse brain endothelioma ) whole cell lysate 10 ug

Lane 2 : ab281583 IP in bEnd.3 whole cell lysate

Lane 3 : Rabbit monoclonal IgG (ab172730) instead of ab281583 in bEnd.3 whole cell lysate

Blocking and dilution buffer and concentration : 5% NFDM/TBST.

Exposure time : 6 seconds.

All lanes:

Immunoprecipitation - Anti-CD31 antibody [RM1006] - BSA and Azide free (ab282746)

Predicted band size: 82 kDa

false

Western blot - Anti-CD31 antibody [RM1006] - BSA and Azide free (AB282746)
  • WB

Supplier Data

Western blot - Anti-CD31 antibody [RM1006] - BSA and Azide free (AB282746)

This data was produced using ab281583, the same clone in a different formulation.

Blocking and diluting buffer and concentration : 5% NFDM/TBST

Negative control : NIH/3T3 (PMID : 1429859).

Exposure time : 37 seconds

All lanes:

Western blot - Anti-CD31 antibody [RM1006] - BSA and Azide free (ab282746) at 1/1000 dilution

Lane 1:

HUVEC (Human umbilical vein endothelial cell) whole cell lysate at 20 µg

Lane 2:

bEnd.3 (Mouse brain endothelioma ) whole cell lysate at 20 µg

Lane 3:

NIH/3T3 (Mouse embryonic fibroblast) whole cell lysate at 20 µg

Lane 4:

Rat lung lysate at 20 µg

Secondary

All lanes:

Western blot - Goat Anti-Rabbit IgG H&L (HRP) (<a href='/en-us/products/secondary-antibodies/goat-rabbit-igg-h-l-hrp-ab97051'>ab97051</a>) at 1/100000 dilution

Predicted band size: 82 kDa

false

Key facts

Host species

Rabbit

Clonality

Multiclonal

Clone number

RM1006

Isotype

IgG

Carrier free

Yes

Reacts with

Mouse, Human, Rat

Applications

IHC-P, IP, WB

applications

Immunogen

The exact immunogen used to generate this antibody is proprietary information.

Specificity

Internal QC has shown that this product exhibits non‑specific staining in rat kidney tissues by IHC‑P.

Reactivity data

{ "title": "Reactivity Data", "filters": { "stats": ["", "Species", "Dilution Info", "Notes"], "tabs": { "all-applications": {"fullname" : "All Applications", "shortname": "All Applications"}, "WB" : {"fullname" : "Western blot", "shortname":"WB"}, "IHCP" : {"fullname" : "Immunohistochemistry (Formalin/PFA-fixed paraffin-embedded sections)", "shortname":"IHC-P"}, "IHCFr" : {"fullname" : "Immunohistochemistry (Frozen sections)", "shortname":"IHC-Fr"}, "ICCIF" : {"fullname" : "Immunocytochemistry/ Immunofluorescence", "shortname":"ICC/IF"}, "IP" : {"fullname" : "Immunoprecipitation", "shortname":"IP"}, "FlowCyt" : {"fullname" : "Flow Cytometry", "shortname":"Flow Cyt"} }, "product-promise": { "all": "all", "testedAndGuaranteed": "tested", "guaranteed": "expected", "predicted": "predicted", "notRecommended": "not-recommended" } }, "values": { "Human": { "WB-species-checked": "testedAndGuaranteed", "WB-species-dilution-info": "", "WB-species-notes": "<p></p>", "IHCP-species-checked": "testedAndGuaranteed", "IHCP-species-dilution-info": "1/4000", "IHCP-species-notes": "<p>Internal QC has shown that this product exhibits non‑specific staining in rat kidney tissues by IHC‑P.</p>", "IHCFr-species-checked": "notRecommended", "IHCFr-species-dilution-info": "", "IHCFr-species-notes": "", "ICCIF-species-checked": "notRecommended", "ICCIF-species-dilution-info": "", "ICCIF-species-notes": "<p></p>", "IP-species-checked": "testedAndGuaranteed", "IP-species-dilution-info": "", "IP-species-notes": "<p></p>", "FlowCyt-species-checked": "notRecommended", "FlowCyt-species-dilution-info": "", "FlowCyt-species-notes": "<p></p>" }, "Mouse": { "WB-species-checked": "testedAndGuaranteed", "WB-species-dilution-info": "", "WB-species-notes": "<p></p>", "IHCP-species-checked": "testedAndGuaranteed", "IHCP-species-dilution-info": "1/4000", "IHCP-species-notes": "<p>Internal QC has shown that this product exhibits non‑specific staining in rat kidney tissues by IHC‑P.</p>", "IHCFr-species-checked": "notRecommended", "IHCFr-species-dilution-info": "", "IHCFr-species-notes": "<p>Heat mediated antigen retrieval using sodium citrate buffer (10mM citrate pH 6.0 + 0.05% Tween-20)</p>", "ICCIF-species-checked": "notRecommended", "ICCIF-species-dilution-info": "", "ICCIF-species-notes": "<p></p>", "IP-species-checked": "testedAndGuaranteed", "IP-species-dilution-info": "", "IP-species-notes": "<p></p>", "FlowCyt-species-checked": "notRecommended", "FlowCyt-species-dilution-info": "", "FlowCyt-species-notes": "<p></p>" }, "Rat": { "WB-species-checked": "notRecommended", "WB-species-dilution-info": "", "WB-species-notes": "<p></p>", "IHCP-species-checked": "testedAndGuaranteed", "IHCP-species-dilution-info": "1/4000", "IHCP-species-notes": "<p>Internal QC has shown that this product exhibits non‑specific staining in rat kidney tissues by IHC‑P.</p>", "IHCFr-species-checked": "notRecommended", "IHCFr-species-dilution-info": "", "IHCFr-species-notes": "", "ICCIF-species-checked": "notRecommended", "ICCIF-species-dilution-info": "", "ICCIF-species-notes": "", "IP-species-checked": "guaranteed", "IP-species-dilution-info": "", "IP-species-notes": "", "FlowCyt-species-checked": "notRecommended", "FlowCyt-species-dilution-info": "", "FlowCyt-species-notes": "" } } }

Product details

ab282746 is the carrier free version of ab281583.

Patented technology
Our RabMAb® technology is a patented hybridoma-based technology for making rabbit monoclonal antibodies. For details on our patents, please refer to RabMAb® patents.

Conjugation ready
Our carrier-free antibodies are typically supplied in a PBS-only formulation, purified and free of BSA, sodium azide and glycerol. This conjugation-ready format is designed for use with fluorochromes, metal isotopes, oligonucleotides, and enzymes, which makes them ideal for antibody labelling, functional and cell-based assays, flow-based assays (e.g. mass cytometry) and Multiplex Imaging applications.

Use our conjugation kits for antibody conjugates that are ready-to-use in as little as 20 minutes with 1 minute hands-on-time and 100% antibody recovery: available for fluorescent dyes, HRP, biotin and gold.

Compatibility
This product is compatible with the Maxpar® Antibody Labeling Kit from Fluidigm, without the need for antibody preparation. Maxpar® is a trademark of Fluidigm Canada Inc.

Properties and storage information

Form
Liquid
Purification technique
Affinity purification Protein A
Storage buffer
pH: 7.2 Constituents: PBS
Shipped at conditions
Blue Ice
Appropriate short-term storage conditions
+4°C
Appropriate long-term storage conditions
+4°C

Product protocols

For this product, it's our understanding that no specific protocols are required. You can visit:

Target data

Cell adhesion molecule which is required for leukocyte transendothelial migration (TEM) under most inflammatory conditions (PubMed : 17580308, PubMed : 19342684). Tyr-690 plays a critical role in TEM and is required for efficient trafficking of PECAM1 to and from the lateral border recycling compartment (LBRC) and is also essential for the LBRC membrane to be targeted around migrating leukocytes (PubMed : 19342684). Trans-homophilic interaction may play a role in endothelial cell-cell adhesion via cell junctions (PubMed : 27958302). Heterophilic interaction with CD177 plays a role in transendothelial migration of neutrophils (PubMed : 17580308). Homophilic ligation of PECAM1 prevents macrophage-mediated phagocytosis of neighboring viable leukocytes by transmitting a detachment signal (PubMed : 12110892). Promotes macrophage-mediated phagocytosis of apoptotic leukocytes by tethering them to the phagocytic cells; PECAM1-mediated detachment signal appears to be disabled in apoptotic leukocytes (PubMed : 12110892). Modulates bradykinin receptor BDKRB2 activation (PubMed : 18672896). Regulates bradykinin- and hyperosmotic shock-induced ERK1/2 activation in endothelial cells (PubMed : 18672896). Induces susceptibility to atherosclerosis (By similarity).. Isoform Delta15. Does not protect against apoptosis.
See full target information PECAM1

Additional targets

Pecam1

Publications (2)

Recent publications for all applications. Explore the full list and refine your search

International journal of molecular sciences 26: PubMed40003980

2025

Decreasing β-Catenin Leads to Altered Endothelial Morphology, Increased Barrier Permeability and Cognitive Impairment During Chronic Methamphetamine Exposure.

Applications

Unspecified application

Species

Unspecified reactive species

Hai Qiu,Manting Zhang,Chuanxiang Chen,Huijun Wang,Xia Yue

Cell death discovery 8:381 PubMed36088337

2022

Transcription factor Foxp1 stimulates angiogenesis in adult rats after myocardial infarction.

Applications

Unspecified application

Species

Unspecified reactive species

Dinghui Wang,Bin Liu,Tianhua Xiong,Wenlong Yu,Huiping Yang,Jing Wang,Xiaodong Jing,Qiang She
View all publications

Product promise

We are committed to supporting your work with high-quality reagents, and we're here for you every step of the way. In the unlikely event that one of our products does not perform as expected, you're protected by our Product Promise.
For full details, please see our Terms & Conditions

Please note: All products are 'FOR RESEARCH USE ONLY. NOT FOR USE IN DIAGNOSTIC OR THERAPEUTIC PROCEDURES'.

For licensing inquiries, please contact partnerships@abcam.com