JavaScript is disabled in your browser. Please enable JavaScript to view this website.
AB227656

Anti-CD31 antibody [SP164] - C-terminal

  • RabMAb
  • Recombinant
  • Lab Essentials
  • 20ul selling size
  • What is this?

Be the first to review this product! Submit a review

|

(1 Publication)

Rabbit Recombinant Monoclonal CD31 antibody. C-terminal. Suitable for IHC-P, Flow Cyt (Intra) and reacts with Human samples. Cited in 1 publication.

View Alternative Names

CD31, Platelet endothelial cell adhesion molecule, PECAM-1, EndoCAM, GPIIA', PECA1, PECAM1

13 Images
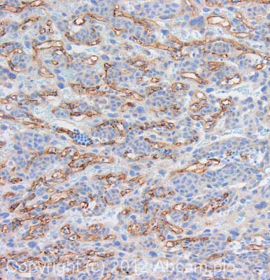
Immunohistochemistry (Formalin/PFA-fixed paraffin-embedded sections) - Anti-CD31 antibody [SP164] - C-terminal (AB227656)
  • IHC-P

Supplier Data

Immunohistochemistry (Formalin/PFA-fixed paraffin-embedded sections) - Anti-CD31 antibody [SP164] - C-terminal (AB227656)

Formalin-fixed, paraffin-embedded human lung squamous cell carcinoma tissue stained for CD31 using ab227656 at 1/50 dilution in immunohistochemical analysis.

Flow Cytometry (Intracellular) - Anti-CD31 antibody [SP164] - C-terminal (AB227656)
  • Flow Cyt (Intra)

Supplier Data

Flow Cytometry (Intracellular) - Anti-CD31 antibody [SP164] - C-terminal (AB227656)

Flow cytometric analysis of Jurkat (human T cell leukemia cell line from peripheral blood) cell line labeling CD31 with ab227656 at 1/100 dilution (green) compared with a Rabbit IgG negative control (blue).

Immunohistochemistry (Formalin/PFA-fixed paraffin-embedded sections) - Anti-CD31 antibody [SP164] - C-terminal (AB227656)
  • IHC-P

Supplier Data

Immunohistochemistry (Formalin/PFA-fixed paraffin-embedded sections) - Anti-CD31 antibody [SP164] - C-terminal (AB227656)

Formalin-fixed, paraffin-embedded human tonsil tissue stained for CD31 using ab227656 at 1/50 dilution in immunohistochemical analysis.

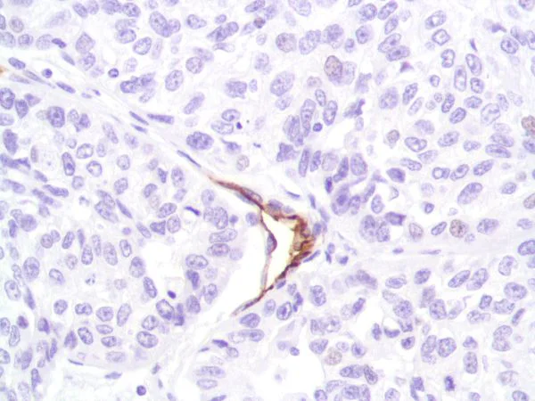
Immunohistochemistry (Formalin/PFA-fixed paraffin-embedded sections) - Anti-CD31 antibody [SP164] - C-terminal (AB227656)
  • IHC-P

Unknown

Immunohistochemistry (Formalin/PFA-fixed paraffin-embedded sections) - Anti-CD31 antibody [SP164] - C-terminal (AB227656)

Formalin-fixed, paraffin-embedded human skin tissue stained for CD31 using ab227656 at 1/50 dilution in immunohistochemical analysis.

Immunohistochemistry (Formalin/PFA-fixed paraffin-embedded sections) - Anti-CD31 antibody [SP164] - C-terminal (AB227656)
  • IHC-P

Supplier Data

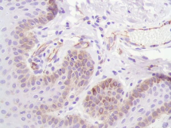
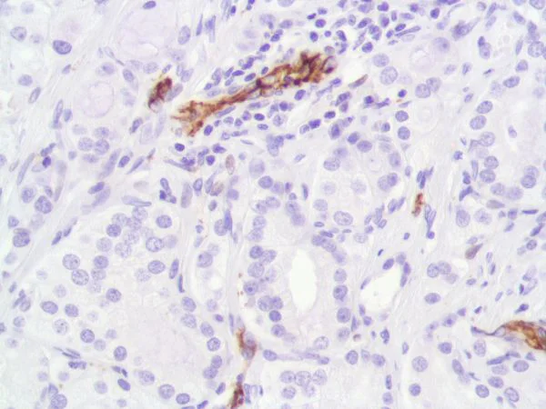
Immunohistochemistry (Formalin/PFA-fixed paraffin-embedded sections) - Anti-CD31 antibody [SP164] - C-terminal (AB227656)

Formalin-fixed, paraffin-embedded human prostate adenocarcinoma tissue stained for CD31 using ab227656 at 1/50 dilution in immunohistochemical analysis.

Immunohistochemistry (Formalin/PFA-fixed paraffin-embedded sections) - Anti-CD31 antibody [SP164] - C-terminal (AB227656)
  • IHC-P

Supplier Data

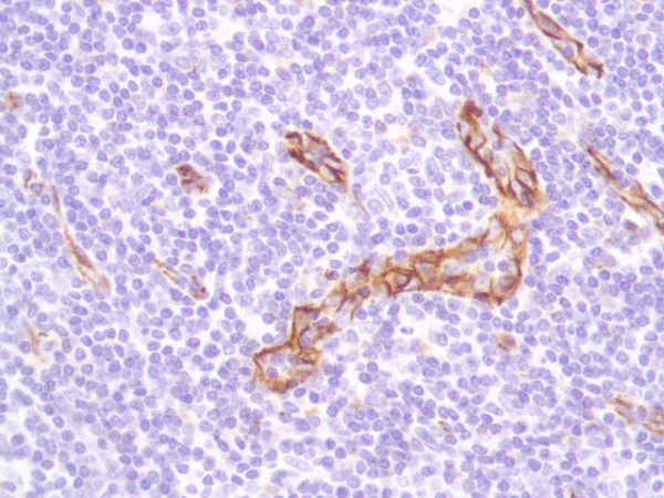
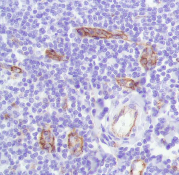
Immunohistochemistry (Formalin/PFA-fixed paraffin-embedded sections) - Anti-CD31 antibody [SP164] - C-terminal (AB227656)

Formalin-fixed, paraffin-embedded human lymph node tissue stained for CD31 using ab227656 at 1/50 dilution in immunohistochemical analysis.

Immunohistochemistry (Formalin/PFA-fixed paraffin-embedded sections) - Anti-CD31 antibody [SP164] - C-terminal (AB227656)
  • IHC-P

Supplier Data

Immunohistochemistry (Formalin/PFA-fixed paraffin-embedded sections) - Anti-CD31 antibody [SP164] - C-terminal (AB227656)

Formalin-fixed, paraffin-embedded human breast ductal carcinoma tissue stained for CD31 using ab227656 at 1/50 dilution in immunohistochemical analysis.

Flow Cytometry (Intracellular) - Anti-CD31 antibody [SP164] - C-terminal (AB227656)
  • Flow Cyt (Intra)

Unknown

Flow Cytometry (Intracellular) - Anti-CD31 antibody [SP164] - C-terminal (AB227656)

Flow cytometry analysis of Jurkat (Human T cell leukemia T lymphocyte) labeling CD31 with purified ab227656 at 1/20 dilution (5.6 μg/ml) (red). Cells were fixed with 4% paraformaldehyde and permeabilised with 90% methanol. Goat anti rabbit IgG (Alexa Fluor® 488, ab150077) at 1/2000 dilution was used as a secondary antibody. Isotype control -Rabbit monoclonal IgG (ab172730) / Black. Unlableled control -Unlabelled cells / blue.

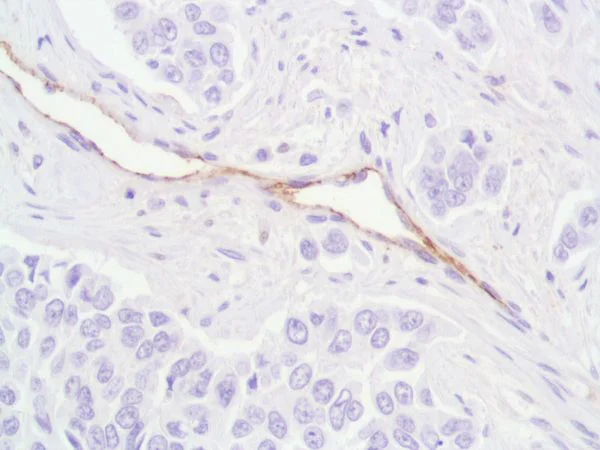
Immunohistochemistry (Formalin/PFA-fixed paraffin-embedded sections) - Anti-CD31 antibody [SP164] - C-terminal (AB227656)
  • IHC-P

Unknown

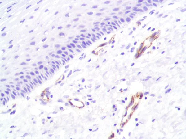
Immunohistochemistry (Formalin/PFA-fixed paraffin-embedded sections) - Anti-CD31 antibody [SP164] - C-terminal (AB227656)

Formalin-fixed, paraffin-embedded human skin squamous cell carcinoma tissue stained for CD31 using ab227656 at 1/50 dilution in immunohistochemical analysis.

Immunohistochemistry (Formalin/PFA-fixed paraffin-embedded sections) - Anti-CD31 antibody [SP164] - C-terminal (AB227656)
  • IHC-P

Supplier Data

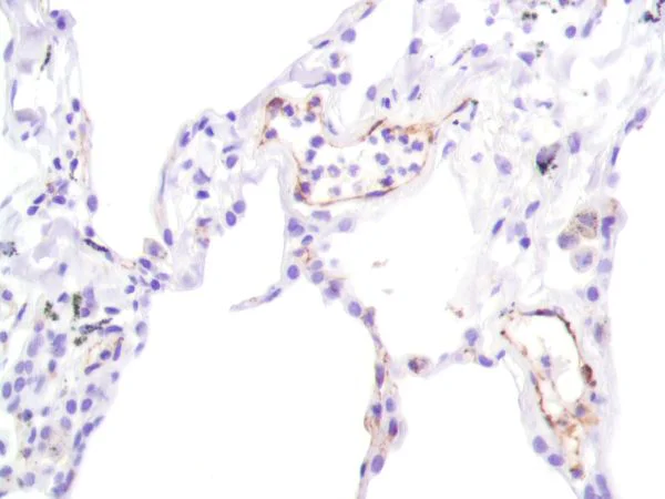
Immunohistochemistry (Formalin/PFA-fixed paraffin-embedded sections) - Anti-CD31 antibody [SP164] - C-terminal (AB227656)

Formalin-fixed, paraffin-embedded human lung tissue stained for CD31 using ab227656 at 1/50 dilution in immunohistochemical analysis.

Immunohistochemistry (Formalin/PFA-fixed paraffin-embedded sections) - Anti-CD31 antibody [SP164] - C-terminal (AB227656)
  • IHC-P

Supplier Data

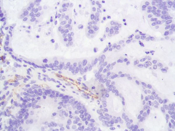
Immunohistochemistry (Formalin/PFA-fixed paraffin-embedded sections) - Anti-CD31 antibody [SP164] - C-terminal (AB227656)

Formalin-fixed, paraffin-embedded human stomach adenocarcinoma tissue stained for CD31 using ab227656 at 1/50 dilution in immunohistochemical analysis.

Immunohistochemistry (Formalin/PFA-fixed paraffin-embedded sections) - Anti-CD31 antibody [SP164] - C-terminal (AB227656)
  • IHC-P

Supplier Data

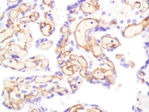
Immunohistochemistry (Formalin/PFA-fixed paraffin-embedded sections) - Anti-CD31 antibody [SP164] - C-terminal (AB227656)

Formalin-fixed, paraffin-embedded human placenta tissue stained for CD31 using ab227656 at 1/50 dilution in immunohistochemical analysis.

Immunohistochemistry (Formalin/PFA-fixed paraffin-embedded sections) - Anti-CD31 antibody [SP164] - C-terminal (AB227656)
  • IHC-P

Supplier Data

Immunohistochemistry (Formalin/PFA-fixed paraffin-embedded sections) - Anti-CD31 antibody [SP164] - C-terminal (AB227656)

Formalin-fixed, paraffin-embedded human cervix tissue stained for CD31 using ab227656 at 1/50 dilution in immunohistochemical analysis.

  • Carrier free

    Anti-CD31 antibody [SP164] - BSA and Azide free

  • 578 PE

    PE Anti-CD31 antibody [SP164] (C-terminal)

  • HRP

    HRP Anti-CD31 antibody [SP164] (C-terminal)

  • 665 Alexa Fluor® 647

    Alexa Fluor® 647 Anti-CD31 antibody [SP164] - C-terminal

  • 519 Alexa Fluor® 488

    Alexa Fluor® 488 Anti-CD31 antibody [SP164] - C-terminal

  • 603 Alexa Fluor® 568

    Alexa Fluor® 568 Anti-CD31 antibody [SP164] - C-terminal

  • 565 Alexa Fluor® 555

    Alexa Fluor® 555 Anti-CD31 antibody [SP164] - C-terminal

  • 660 APC

    APC Anti-CD31 antibody [SP164] (C-terminal)

  • 617 Alexa Fluor® 594

    Alexa Fluor® 594 Anti-CD31 antibody [SP164] - C-terminal

  • 775 Alexa Fluor® 750

    Alexa Fluor® 750 Anti-CD31 antibody [SP164] - C-terminal

Key facts

Host species

Rabbit

Clonality

Monoclonal

Clone number

SP164

Isotype

IgG

Carrier free

No

Reacts with

Human

Applications

IHC-P, Flow Cyt (Intra)

applications

Immunogen

The exact immunogen used to generate this antibody is proprietary information.

Reactivity data

{ "title": "Reactivity Data", "filters": { "stats": ["", "Species", "Dilution Info", "Notes"], "tabs": { "all-applications": {"fullname" : "All Applications", "shortname": "All Applications"}, "IHCP" : {"fullname" : "Immunohistochemistry (Formalin/PFA-fixed paraffin-embedded sections)", "shortname":"IHC-P"}, "FlowCytIntra" : {"fullname" : "Flow Cytometry (Intracellular)", "shortname":"Flow Cyt (Intra)"} }, "product-promise": { "all": "all", "testedAndGuaranteed": "tested", "guaranteed": "expected", "predicted": "predicted", "notRecommended": "not-recommended" } }, "values": { "Human": { "IHCP-species-checked": "testedAndGuaranteed", "IHCP-species-dilution-info": "1/50", "IHCP-species-notes": "<p>The ideal fixation time will depend on the size of the tissue block and the type of tissue, but fixation between 18–24h is suitable for most samples.</p><p>Positive Control: Hu tonsil tissue</p> Perform heat-mediated antigen retrieval with citrate buffer pH 6 before commencing with IHC staining protocol.", "FlowCytIntra-species-checked": "testedAndGuaranteed", "FlowCytIntra-species-dilution-info": "1/20 - 1/100", "FlowCytIntra-species-notes": "<p></p>" }, "Mouse": { "IHCP-species-checked": "predicted", "IHCP-species-dilution-info": "", "IHCP-species-notes": "", "FlowCytIntra-species-checked": "predicted", "FlowCytIntra-species-dilution-info": "", "FlowCytIntra-species-notes": "" }, "Pig": { "IHCP-species-checked": "predicted", "IHCP-species-dilution-info": "", "IHCP-species-notes": "", "FlowCytIntra-species-checked": "predicted", "FlowCytIntra-species-dilution-info": "", "FlowCytIntra-species-notes": "" } } }

Properties and storage information

Form
Liquid
Purification technique
Affinity purification Protein A/G
Purification notes
Purified from TCS by protein A/G.
Storage buffer
pH: 7.6 Preservative: 0.1% Sodium azide Constituents: PBS, 1% BSA
Shipped at conditions
Blue Ice
Appropriate short-term storage duration
1-2 weeks
Appropriate short-term storage conditions
+4°C
Appropriate long-term storage conditions
-20°C
Aliquoting information
Upon delivery aliquot
Storage information
Avoid freeze / thaw cycle

Product protocols

For this product, it's our understanding that no specific protocols are required. You can visit:

Target data

Cell adhesion molecule which is required for leukocyte transendothelial migration (TEM) under most inflammatory conditions (PubMed : 17580308, PubMed : 19342684). Tyr-690 plays a critical role in TEM and is required for efficient trafficking of PECAM1 to and from the lateral border recycling compartment (LBRC) and is also essential for the LBRC membrane to be targeted around migrating leukocytes (PubMed : 19342684). Trans-homophilic interaction may play a role in endothelial cell-cell adhesion via cell junctions (PubMed : 27958302). Heterophilic interaction with CD177 plays a role in transendothelial migration of neutrophils (PubMed : 17580308). Homophilic ligation of PECAM1 prevents macrophage-mediated phagocytosis of neighboring viable leukocytes by transmitting a detachment signal (PubMed : 12110892). Promotes macrophage-mediated phagocytosis of apoptotic leukocytes by tethering them to the phagocytic cells; PECAM1-mediated detachment signal appears to be disabled in apoptotic leukocytes (PubMed : 12110892). Modulates bradykinin receptor BDKRB2 activation (PubMed : 18672896). Regulates bradykinin- and hyperosmotic shock-induced ERK1/2 activation in endothelial cells (PubMed : 18672896). Induces susceptibility to atherosclerosis (By similarity).. Isoform Delta15. Does not protect against apoptosis.
See full target information PECAM1

Publications (1)

Recent publications for all applications. Explore the full list and refine your search

Cell biochemistry and function 43:e70116 PubMed40864431

2025

The Extracellular Matrix Agrin Promotes Epicardial Cells Activation and Proliferation Post Myocardial Infarction in Mice.

Applications

Unspecified application

Species

Unspecified reactive species

Yue Han,Dinghui Wang,Huiping Yang,Xiaodong Jing,Qiang She,Bin Liu
View all publications

Product promise

We are committed to supporting your work with high-quality reagents, and we're here for you every step of the way. In the unlikely event that one of our products does not perform as expected, you're protected by our Product Promise.
For full details, please see our Terms & Conditions

Please note: All products are 'FOR RESEARCH USE ONLY. NOT FOR USE IN DIAGNOSTIC OR THERAPEUTIC PROCEDURES'.

For licensing inquiries, please contact partnerships@abcam.com