JavaScript is disabled in your browser. Please enable JavaScript to view this website.
AB131051

Anti-CD32B + CD32A + CD32C antibody [EP6243]

Be the first to review this product! Submit a review

|

(2 Publications)

Rabbit Monoclonal FCG2A antibody. Suitable for IHC-P, WB, ICC/IF and reacts with Human samples. Cited in 2 publications.

View Alternative Names

CD32, FCG2, FCGR2A1, IGFR2, FCGR2A, Low affinity immunoglobulin gamma Fc region receptor II-a, IgG Fc receptor II-a, CDw32, Fc-gamma RII-a, Fc-gamma-RIIa, FcRII-a

4 Images
Immunocytochemistry/ Immunofluorescence - Anti-CD32B + CD32A + CD32C antibody [EP6243] (AB131051)
  • ICC/IF

Supplier Data

Immunocytochemistry/ Immunofluorescence - Anti-CD32B + CD32A + CD32C antibody [EP6243] (AB131051)

Immunofluorescent analysis of 4% Paraformaldehyde-fixed, 0.1% TritonX-100 permeabilized Raji cells labelling CD32B + CD32A + CD32C with ab131051 at 1/50 dilution, followed by Goat Anti-Rabbit IgG H&L (Alexa Fluor® 488) preadsorbed (ab150081) at 1/1000 dilution at RT for 45 min. Alexa Fluor® 594 Anti-alpha Tubulin antibody [DM1A] - Microtubule Marker (ab195889) at 1/200 dilution, was co-incubated with ab131051 overnight at 4° C. Nucleus were visualized using DAPI.

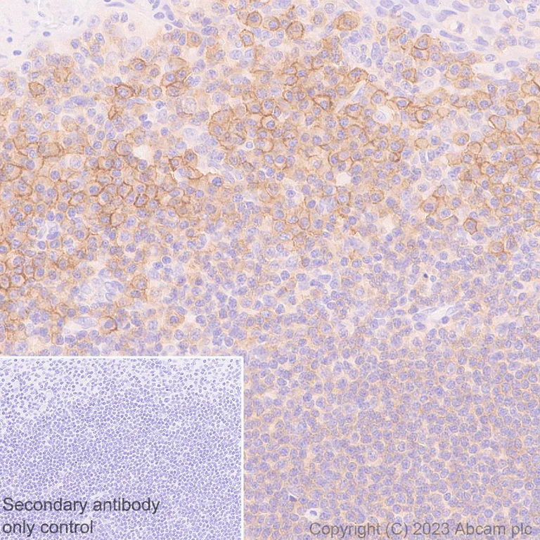
Immunohistochemistry (Formalin/PFA-fixed paraffin-embedded sections) - Anti-CD32B + CD32A + CD32C antibody [EP6243] (AB131051)
  • IHC-P

Supplier Data

Immunohistochemistry (Formalin/PFA-fixed paraffin-embedded sections) - Anti-CD32B + CD32A + CD32C antibody [EP6243] (AB131051)

Immunohistochemical analysis of paraffin-embedded Human spleen tissue labeling CD32B + CD32A + CD32C with ab131051 at 1/2000 dilution. The immunostaining was performed on a Leica Biosystems BOND® RX instrument. Counterstained with Hematoxylin. Heat mediated antigen retrieval was performed with Citrate buffer (pH 6.0) for 20 mins.

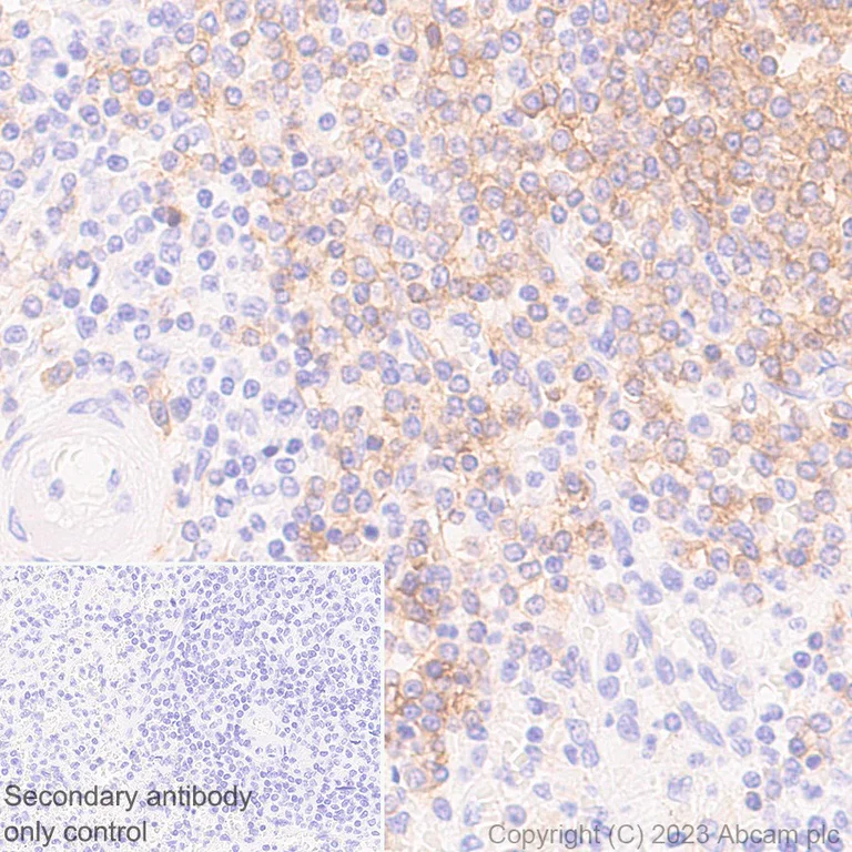
Immunohistochemistry (Formalin/PFA-fixed paraffin-embedded sections) - Anti-CD32B + CD32A + CD32C antibody [EP6243] (AB131051)
  • IHC-P

Supplier Data

Immunohistochemistry (Formalin/PFA-fixed paraffin-embedded sections) - Anti-CD32B + CD32A + CD32C antibody [EP6243] (AB131051)

Immunohistochemical analysis of paraffin-embedded Human liver tonsil labeling CD32B + CD32A + CD32C with ab131051 at 1/2000 dilution. The immunostaining was performed on a Leica Biosystems BOND® RX instrument. Counterstained with Hematoxylin. Heat mediated antigen retrieval was performed with Citrate buffer (pH 6.0) for 20 mins.

Western blot - Anti-CD32B + CD32A + CD32C antibody [EP6243] (AB131051)
  • WB

Supplier Data

Western blot - Anti-CD32B + CD32A + CD32C antibody [EP6243] (AB131051)

Blocking and diluting buffer and concentration : 5% NFDM/TBST.

false

Exposure time: 40s

  • 665 Alexa Fluor® 647

    Alexa Fluor® 647 Anti-CD32B + CD32A + CD32C antibody [EP6243]

  • Carrier free

    Anti-CD32B + CD32A + CD32C antibody [EP6243] - BSA and Azide free

Key facts

Host species

Rabbit

Clonality

Monoclonal

Clone number

EP6243

Isotype

IgG

Carrier free

No

Reacts with

Human

Applications

WB, ICC/IF, IHC-P

applications

Immunogen

The exact immunogen used to generate this antibody is proprietary information.

Reactivity data

{ "title": "Reactivity Data", "filters": { "stats": ["", "Species", "Dilution Info", "Notes"], "tabs": { "all-applications": {"fullname" : "All Applications", "shortname": "All Applications"}, "IHCP" : {"fullname" : "Immunohistochemistry (Formalin/PFA-fixed paraffin-embedded sections)", "shortname":"IHC-P"}, "WB" : {"fullname" : "Western blot", "shortname":"WB"}, "ICCIF" : {"fullname" : "Immunocytochemistry/ Immunofluorescence", "shortname":"ICC/IF"}, "FlowCyt" : {"fullname" : "Flow Cytometry", "shortname":"Flow Cyt"}, "IP" : {"fullname" : "Immunoprecipitation", "shortname":"IP"} }, "product-promise": { "all": "all", "testedAndGuaranteed": "tested", "guaranteed": "expected", "predicted": "predicted", "notRecommended": "not-recommended" } }, "values": { "Human": { "IHCP-species-checked": "testedAndGuaranteed", "IHCP-species-dilution-info": "1/2000", "IHCP-species-notes": "<p></p> Perform heat-mediated antigen retrieval before commencing with IHC staining protocol.", "WB-species-checked": "testedAndGuaranteed", "WB-species-dilution-info": "1/10000", "WB-species-notes": "<p></p>", "ICCIF-species-checked": "testedAndGuaranteed", "ICCIF-species-dilution-info": "1/50", "ICCIF-species-notes": "<p></p>", "FlowCyt-species-checked": "notRecommended", "FlowCyt-species-dilution-info": "", "FlowCyt-species-notes": "<p><a href='/en-us/products/primary-antibodies/rabbit-igg-monoclonal-epr25a-isotype-control-ab172730'>ab172730</a> - Rabbit monoclonal IgG, is suitable for use as an isotype control with this antibody.</p>", "IP-species-checked": "notRecommended", "IP-species-dilution-info": "", "IP-species-notes": "<p></p>" } } }

Product details

This product has switched from a hybridoma to recombinant production method on 13th September 2023.

Patented technology
Our RabMAb® technology is a patented hybridoma-based technology for making rabbit monoclonal antibodies. For details on our patents, please refer to RabMAb® patents.

What are the advantages of a recombinant monoclonal antibody?
This product is a recombinant monoclonal antibody, which offers several advantages including:

  • - High batch-to-batch consistency and reproducibility
  • - Improved sensitivity and specificity
  • - Long-term security of supply
  • - Animal-free batch production

For more information, read more on recombinant antibodies.

Properties and storage information

Form
Liquid
Purification technique
Affinity purification Protein A
Storage buffer
pH: 7.2 - 7.4 Preservative: 0.01% Sodium azide Constituents: PBS, 40% Glycerol (glycerin, glycerine), 0.05% BSA
Shipped at conditions
Blue Ice
Appropriate short-term storage conditions
+4°C
Appropriate long-term storage conditions
-20°C
Storage information
Stable for 12 months at -20°C

Product protocols

For this product, it's our understanding that no specific protocols are required. You can visit:

Target data

Binds to the Fc region of immunoglobulins gamma. Low affinity receptor. By binding to IgG it initiates cellular responses against pathogens and soluble antigens. Promotes phagocytosis of opsonized antigens.
See full target information FCGR2A

Additional targets

FCGR2B,

Publications (2)

Recent publications for all applications. Explore the full list and refine your search

Molecular biomedicine 5:32 PubMed39138733

2024

Effects of HOX family regulator-mediated modification patterns and immunity characteristics on tumor-associated cell type in endometrial cancer.

Applications

Unspecified application

Species

Unspecified reactive species

JiaoLin Yang,JinPeng Li,SuFen Li,YuTong Yang,HuanCheng Su,HongRui Guo,Jing Lei,YaLin Wang,KaiTing Wen,Xia Li,SanYuan Zhang,Zhe Wang

Advanced science (Weinheim, Baden-Wurttemberg, Germany) 10:e2203315 PubMed36494102

2022

Scar-Degrading Endothelial Cells as a Treatment for Advanced Liver Fibrosis.

Applications

Unspecified application

Species

Unspecified reactive species

Peng Zhao,Tian Sun,Cheng Lyu,Kaini Liang,Yudi Niu,Yuying Zhang,Chenhui Cao,Canhong Xiang,Yanan Du
View all publications

Product promise

We are committed to supporting your work with high-quality reagents, and we're here for you every step of the way. In the unlikely event that one of our products does not perform as expected, you're protected by our Product Promise.
For full details, please see our Terms & Conditions

Please note: All products are 'FOR RESEARCH USE ONLY. NOT FOR USE IN DIAGNOSTIC OR THERAPEUTIC PROCEDURES'.

For licensing inquiries, please contact partnerships@abcam.com