JavaScript is disabled in your browser. Please enable JavaScript to view this website.
AB222291

Anti-CD32B + CD32A + CD32C antibody [EPR6657(2)] - BSA and Azide free

Be the first to review this product! Submit a review

|

(1 Publication)

Rabbit Recombinant Monoclonal FCG2A antibody. Carrier free. Suitable for WB, IHC-P and reacts with Human samples. Cited in 1 publication.

View Alternative Names

CD32, FCG2, FCGR2A1, IGFR2, FCGR2A, Low affinity immunoglobulin gamma Fc region receptor II-a, IgG Fc receptor II-a, CDw32, Fc-gamma RII-a, Fc-gamma-RIIa, FcRII-a

5 Images
Immunohistochemistry (Formalin/PFA-fixed paraffin-embedded sections) - Anti-CD32B + CD32A + CD32C antibody [EPR6657(2)] - BSA and Azide free (AB222291)
  • IHC-P

Unknown

Immunohistochemistry (Formalin/PFA-fixed paraffin-embedded sections) - Anti-CD32B + CD32A + CD32C antibody [EPR6657(2)] - BSA and Azide free (AB222291)

Immunohistochemical analysis of formalin-fixed, paraffin-embedded Human stomach tissue labeling CD32B + CD32A + CD32C with ab155972 (unpurified) at 1/250 dilution

This data was developed using the same antibody clone in a different buffer formulation containing PBS, BSA, glycerol, and sodium azide (ab155972).

Immunohistochemistry (Formalin/PFA-fixed paraffin-embedded sections) - Anti-CD32B + CD32A + CD32C antibody [EPR6657(2)] - BSA and Azide free (AB222291)
  • IHC-P

Unknown

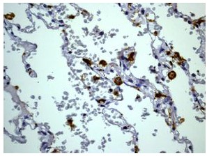
Immunohistochemistry (Formalin/PFA-fixed paraffin-embedded sections) - Anti-CD32B + CD32A + CD32C antibody [EPR6657(2)] - BSA and Azide free (AB222291)

ab155972 (unpurified) showing +ve staining in Human placenta.

This data was developed using the same antibody clone in a different buffer formulation containing PBS, BSA, glycerol, and sodium azide (ab155972).

Immunohistochemistry (Formalin/PFA-fixed paraffin-embedded sections) - Anti-CD32B + CD32A + CD32C antibody [EPR6657(2)] - BSA and Azide free (AB222291)
  • IHC-P

Unknown

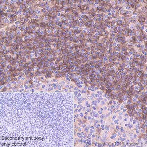
Immunohistochemistry (Formalin/PFA-fixed paraffin-embedded sections) - Anti-CD32B + CD32A + CD32C antibody [EPR6657(2)] - BSA and Azide free (AB222291)

Immunohistochemistry (Formalin/PFA-fixed paraffin-embedded sections) analysis of Human tonsil tissue sections labeling CD32B + CD32A + CD32C with purified ab155972 at 1/1000 dilution (0.98 μg/ml). Heat mediated antigen retrieval was performed using ab93684 (Tris/EDTA buffer, pH 9.0). ImmunoHistoProbe one step HRP Polymer (ready to use) was used as the secondary antibody. Negative control : PBS instead of the primary antibody. Hematoxylin was used as a counterstain.

This data was developed using the same antibody clone in a different buffer formulation containing PBS, BSA, glycerol, and sodium azide (ab155972).

Immunohistochemistry (Formalin/PFA-fixed paraffin-embedded sections) - Anti-CD32B + CD32A + CD32C antibody [EPR6657(2)] - BSA and Azide free (AB222291)
  • IHC-P

Unknown

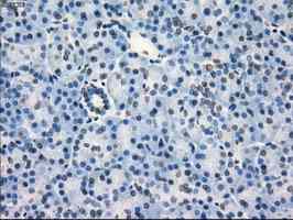
Immunohistochemistry (Formalin/PFA-fixed paraffin-embedded sections) - Anti-CD32B + CD32A + CD32C antibody [EPR6657(2)] - BSA and Azide free (AB222291)

ab155972 (unpurified) showing -ve staining in Human skeletal muscle.

This data was developed using the same antibody clone in a different buffer formulation containing PBS, BSA, glycerol, and sodium azide (ab155972).

Immunohistochemistry (Formalin/PFA-fixed paraffin-embedded sections) - Anti-CD32B + CD32A + CD32C antibody [EPR6657(2)] - BSA and Azide free (AB222291)
  • IHC-P

Unknown

Immunohistochemistry (Formalin/PFA-fixed paraffin-embedded sections) - Anti-CD32B + CD32A + CD32C antibody [EPR6657(2)] - BSA and Azide free (AB222291)

Immunohistochemical analysis of formalin-fixed, paraffin-embedded Human tonsil tissue labeling CD32B + CD32A + CD32C with ab155972 (unpurified) at 1/250 dilution

This data was developed using the same antibody clone in a different buffer formulation containing PBS, BSA, glycerol, and sodium azide (ab155972).

  • Unconjugated

    Anti-CD32B + CD32A + CD32C antibody [EPR6657(2)]

Key facts

Host species

Rabbit

Clonality

Monoclonal

Clone number

EPR6657(2)

Isotype

IgG

Carrier free

Yes

Reacts with

Human

Applications

IHC-P, WB

applications

Immunogen

The exact immunogen used to generate this antibody is proprietary information.

Reactivity data

{ "title": "Reactivity Data", "filters": { "stats": ["", "Species", "Dilution Info", "Notes"], "tabs": { "all-applications": {"fullname" : "All Applications", "shortname": "All Applications"}, "WB" : {"fullname" : "Western blot", "shortname":"WB"}, "IHCP" : {"fullname" : "Immunohistochemistry (Formalin/PFA-fixed paraffin-embedded sections)", "shortname":"IHC-P"} }, "product-promise": { "all": "all", "testedAndGuaranteed": "tested", "guaranteed": "expected", "predicted": "predicted", "notRecommended": "not-recommended" } }, "values": { "Human": { "WB-species-checked": "testedAndGuaranteed", "WB-species-dilution-info": "", "WB-species-notes": "<p></p>", "IHCP-species-checked": "testedAndGuaranteed", "IHCP-species-dilution-info": "", "IHCP-species-notes": "<p></p>" } } }

Product details

ab222291 is the carrier-free version of ab155972.

Species reactivity
Mouse: We have preliminary internal testing data to indicate this antibody may not react with this species.
Please contact us for more information.

Patented technology
Our RabMAb® technology is a patented hybridoma-based technology for making rabbit monoclonal antibodies. For details on our patents, please refer to RabMAb® patents.

What are the advantages of a recombinant monoclonal antibody?
This product is a recombinant monoclonal antibody, which offers several advantages including:

  • - High batch-to-batch consistency and reproducibility
  • - Improved sensitivity and specificity
  • - Long-term security of supply
  • - Animal-free batch production

For more information, read more on recombinant antibodies.

Conjugation ready
Our carrier-free antibodies are typically supplied in a PBS-only formulation, purified and free of BSA, sodium azide and glycerol. This conjugation-ready format is designed for use with fluorochromes, metal isotopes, oligonucleotides, and enzymes, which makes them ideal for antibody labelling, functional and cell-based assays, flow-based assays (e.g. mass cytometry) and Multiplex Imaging applications.

Use our conjugation kits for antibody conjugates that are ready-to-use in as little as 20 minutes with 1 minute hands-on-time and 100% antibody recovery: available for fluorescent dyes, HRP, biotin and gold.

Compatibility
This product is compatible with the Maxpar® Antibody Labeling Kit from Fluidigm, without the need for antibody preparation. Maxpar® is a trademark of Fluidigm Canada Inc.

Properties and storage information

Form
Liquid
Purification technique
Affinity purification Protein A
Storage buffer
pH: 7.2 - 7.4 Constituents: PBS
Shipped at conditions
Blue Ice
Appropriate short-term storage conditions
+4°C
Appropriate long-term storage conditions
+4°C
Storage information
Do Not Freeze

Product protocols

For this product, it's our understanding that no specific protocols are required. You can visit:

Target data

Binds to the Fc region of immunoglobulins gamma. Low affinity receptor. By binding to IgG it initiates cellular responses against pathogens and soluble antigens. Promotes phagocytosis of opsonized antigens.
See full target information FCGR2A

Additional targets

FCGR2B,

Publications (1)

Recent publications for all applications. Explore the full list and refine your search

Frontiers in cell and developmental biology 9:647763 PubMed34055778

2021

EPC-Derived Exosomal miR-1246 and miR-1290 Regulate Phenotypic Changes of Fibroblasts to Endothelial Cells to Exert Protective Effects on Myocardial Infarction by Targeting ELF5 and SP1.

Applications

Unspecified application

Species

Unspecified reactive species

Yulang Huang,Lifang Chen,Zongming Feng,Weixin Chen,Shaodi Yan,Rongfeng Yang,Jian Xiao,Jiajia Gao,Debao Zhang,Xiao Ke
View all publications

Product promise

We are committed to supporting your work with high-quality reagents, and we're here for you every step of the way. In the unlikely event that one of our products does not perform as expected, you're protected by our Product Promise.
For full details, please see our Terms & Conditions

Please note: All products are 'FOR RESEARCH USE ONLY. NOT FOR USE IN DIAGNOSTIC OR THERAPEUTIC PROCEDURES'.

For licensing inquiries, please contact partnerships@abcam.com