JavaScript is disabled in your browser. Please enable JavaScript to view this website.
AB239861

Anti-CD32B (phospho Y292) antibody [EP926Y] - BSA and Azide free

Be the first to review this product! Submit a review

|

(1 Publication)

Rabbit Recombinant Monoclonal FCG2B phospho Y292 antibody. Carrier free. Suitable for IP, WB and reacts with Human samples. Cited in 1 publication.

View Alternative Names

CD32, FCG2, IGFR2, FCGR2B, Low affinity immunoglobulin gamma Fc region receptor II-b, IgG Fc receptor II-b, CDw32, Fc-gamma RII-b, Fc-gamma-RIIb, FcRII-b

2 Images
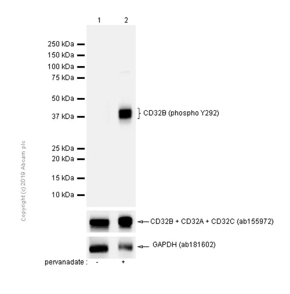
Western blot - Anti-CD32B (phospho Y292) antibody [EP926Y] - BSA and Azide free (AB239861)
  • WB

Unknown

Western blot - Anti-CD32B (phospho Y292) antibody [EP926Y] - BSA and Azide free (AB239861)

Exposure time : 5 seconds

Observed MW : 40-44 KDa

Blocking/diluting buffer and concentration : 5% NFDM/TBST

All lanes:

Western blot - Anti-CD32B (phospho Y292) antibody [EP926Y] (<a href='/en-us/products/primary-antibodies/cd32b-phospho-y292-antibody-ep926y-ab68423'>ab68423</a>) at 1/100000 dilution

Lane 1:

Daudi (Human Burkitt's lymphoma lymphoblast) whole cell lysate at 15 µg

Lane 2:

Daudi (Human Burkitt's lymphoma lymphoblast) treated with 10mM pervanadate for 30 minutes whole cell lysate at 15 µg

Secondary

All lanes:

Western blot - Goat Anti-Rabbit IgG H&L (HRP) (<a href='/en-us/products/secondary-antibodies/goat-rabbit-igg-h-l-hrp-ab97051'>ab97051</a>) at 1/20000 dilution

Predicted band size: 34 kDa

false

Immunoprecipitation - Anti-CD32B (phospho Y292) antibody [EP926Y] - BSA and Azide free (AB239861)
  • IP

Unknown

Immunoprecipitation - Anti-CD32B (phospho Y292) antibody [EP926Y] - BSA and Azide free (AB239861)

ab68423 at 1/20 dilution immunoprecipitating CD32B in Raji (Human Burkitt's lymphoma) whole cell lysates.
Lane 1 (input) : Raji (Human Burkitt's lymphoma) treated with 10mM pervanadate for 30 minutes whole cell lysate 10μg
Lane 2 (+) : Raji treated with 10mM pervanadate for 30 minutes whole cell lysate
Lane 3 (-) : Rabbit monoclonal IgG (ab172730) instead of ab68423 in Raji treated with 10mM pervanadate for 30 minutes whole cell lysate
For western blotting, ab68423 at 1/20 dilution and VeriBlot for IP Detection Reagent (HRP)(ab131366) at 1/1000 dilution were used.

Expsoure time : 1 second

Observed MW : 40-44 KDa

All lanes:

Immunoprecipitation - Anti-CD32B (phospho Y292) antibody [EP926Y] (<a href='/en-us/products/primary-antibodies/cd32b-phospho-y292-antibody-ep926y-ab68423'>ab68423</a>)

Predicted band size: 34 kDa

false

Key facts

Host species

Rabbit

Clonality

Monoclonal

Clone number

EP926Y

Isotype

IgG

Carrier free

Yes

Reacts with

Human

Applications

WB, IP

applications

Immunogen

The exact immunogen used to generate this antibody is proprietary information.

Reactivity data

{ "title": "Reactivity Data", "filters": { "stats": ["", "Species", "Dilution Info", "Notes"], "tabs": { "all-applications": {"fullname" : "All Applications", "shortname": "All Applications"}, "IP" : {"fullname" : "Immunoprecipitation", "shortname":"IP"}, "FlowCyt" : {"fullname" : "Flow Cytometry", "shortname":"Flow Cyt"}, "WB" : {"fullname" : "Western blot", "shortname":"WB"}, "IHCP" : {"fullname" : "Immunohistochemistry (Formalin/PFA-fixed paraffin-embedded sections)", "shortname":"IHC-P"}, "ICCIF" : {"fullname" : "Immunocytochemistry/ Immunofluorescence", "shortname":"ICC/IF"} }, "product-promise": { "all": "all", "testedAndGuaranteed": "tested", "guaranteed": "expected", "predicted": "predicted", "notRecommended": "not-recommended" } }, "values": { "Human": { "IP-species-checked": "testedAndGuaranteed", "IP-species-dilution-info": "", "IP-species-notes": "<p></p>", "FlowCyt-species-checked": "notRecommended", "FlowCyt-species-dilution-info": "", "FlowCyt-species-notes": "<p></p>", "WB-species-checked": "testedAndGuaranteed", "WB-species-dilution-info": "", "WB-species-notes": "<p></p>", "IHCP-species-checked": "notRecommended", "IHCP-species-dilution-info": "", "IHCP-species-notes": "<p></p>", "ICCIF-species-checked": "notRecommended", "ICCIF-species-dilution-info": "", "ICCIF-species-notes": "<p></p>" } } }

Product details

ab239861 is the carrier-free version of ab68423.

Species reactivity
Mouse, Rat: We have preliminary internal testing data to indicate this antibody may not react with these species.
Please contact us for more information.

Patented technology
Our RabMAb® technology is a patented hybridoma-based technology for making rabbit monoclonal antibodies. For details on our patents, please refer to RabMAb® patents.

Conjugation ready
Our carrier-free antibodies are typically supplied in a PBS-only formulation, purified and free of BSA, sodium azide and glycerol. This conjugation-ready format is designed for use with fluorochromes, metal isotopes, oligonucleotides, and enzymes, which makes them ideal for antibody labelling, functional and cell-based assays, flow-based assays (e.g. mass cytometry) and Multiplex Imaging applications.

Use our conjugation kits for antibody conjugates that are ready-to-use in as little as 20 minutes with 1 minute hands-on-time and 100% antibody recovery: available for fluorescent dyes, HRP, biotin and gold.

Compatibility
This product is compatible with the Maxpar® Antibody Labeling Kit from Fluidigm, without the need for antibody preparation. Maxpar® is a trademark of Fluidigm Canada Inc.

Properties and storage information

Form
Liquid
Purification technique
Affinity purification Protein A
Storage buffer
pH: 7.2 - 7.4 Constituents: PBS
Shipped at conditions
Blue Ice
Appropriate short-term storage conditions
+4°C
Appropriate long-term storage conditions
+4°C
Storage information
Do Not Freeze

Product protocols

For this product, it's our understanding that no specific protocols are required. You can visit:

Target data

Receptor for the Fc region of complexed or aggregated immunoglobulins gamma. Low affinity receptor. Involved in a variety of effector and regulatory functions such as phagocytosis of immune complexes and modulation of antibody production by B-cells. Binding to this receptor results in down-modulation of previous state of cell activation triggered via antigen receptors on B-cells (BCR), T-cells (TCR) or via another Fc receptor. Isoform IIB1 fails to mediate endocytosis or phagocytosis. Isoform IIB2 does not trigger phagocytosis.
See full target information FCGR2B phospho Y292

Publications (1)

Recent publications for all applications. Explore the full list and refine your search

International archives of allergy and immunology 182:1245-1254 PubMed34428765

2021

Celastrol Exerts Cardioprotective Effect in Rheumatoid Arthritis by Inhibiting TLR2/HMGB1 Signaling Pathway-Mediated Autophagy.

Applications

Unspecified application

Species

Unspecified reactive species

Xiaohong Lu,Sha Gong,Xiaojun Wang,Nan Hu,Dan Pu,Jing Zhang,Yanhua Wang,Jing Luo,Qi An,Bomiao Ju,Lan He
View all publications

Product promise

We are committed to supporting your work with high-quality reagents, and we're here for you every step of the way. In the unlikely event that one of our products does not perform as expected, you're protected by our Product Promise.
For full details, please see our Terms & Conditions

Please note: All products are 'FOR RESEARCH USE ONLY. NOT FOR USE IN DIAGNOSTIC OR THERAPEUTIC PROCEDURES'.

For licensing inquiries, please contact partnerships@abcam.com