JavaScript is disabled in your browser. Please enable JavaScript to view this website.
AB272082

Anti-CD33 antibody [BLR061G] - BSA free

Be the first to review this product! Submit a review

|

(1 Publication)

Rabbit Recombinant Monoclonal CD33 antibody. Suitable for IP, WB, IHC-P and reacts with Human samples. Cited in 1 publication. Immunogen corresponding to Synthetic Peptide within Human CD33 aa 300 to C-terminus.

View Alternative Names

CD33, SIGLEC3, Myeloid cell surface antigen CD33, Sialic acid-binding Ig-like lectin 3, gp67, Siglec-3

2 Images
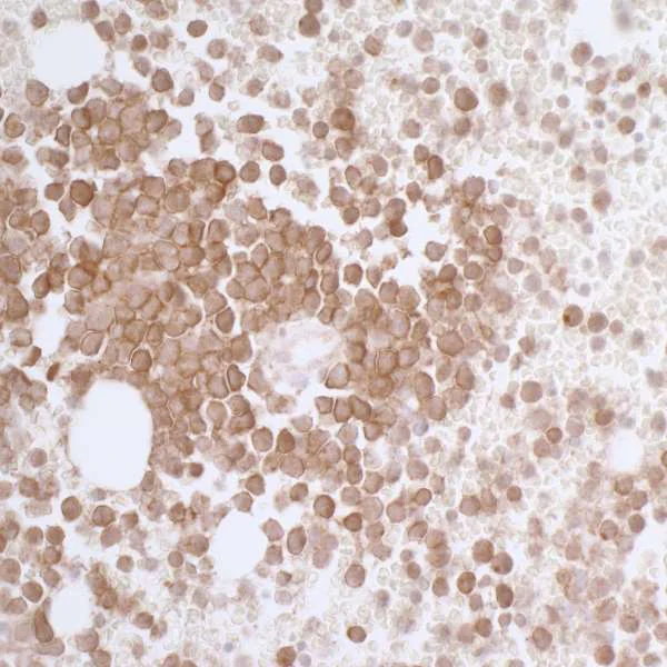
Immunohistochemistry (Formalin/PFA-fixed paraffin-embedded sections) - Anti-CD33 antibody [BLR061G] - BSA free (AB272082)
  • IHC-P

Unknown

Immunohistochemistry (Formalin/PFA-fixed paraffin-embedded sections) - Anti-CD33 antibody [BLR061G] - BSA free (AB272082)

Formalin-fixed, paraffin-embedded Acute Myeloid Leukemia tissue stained for CD33 using ab264414 at 1/200 dilution in immunohistochemical analysis. The secondary was an HRP-conjugated goat anti-rabbit IgG antibody. Substrate : DAB.

This data was developed using the same antibody clone in a different buffer formulation containing Borate buffered saline, BSA, glycerol and sodium azide (ab264414).

Immunoprecipitation - Anti-CD33 antibody [BLR061G] - BSA free (AB272082)
  • IP

Supplier Data

Immunoprecipitation - Anti-CD33 antibody [BLR061G] - BSA free (AB272082)

CD33 was immunoprecipitated from HEL 92.1.7 whole cell lysate (1.0 mg per IP reaction; 20% of IP loaded) using ab264414 at 20 µl/mg lysate. Western blot was performed on the immunoprecipitate using ab264414 at 1/1000 dilution.

Lane 1 : ab264414 IP in HEL 92.1.7 cell lysate.
Lane 2 : Control IgG IP in HEL 92.1.7 cell lysate.

Detection : Chemiluminescence with an exposure time of 10 seconds.

Lysates prepared using NETN lysis buffer.

This data was developed using the same antibody clone in a different buffer formulation containing Borate buffered saline, BSA, glycerol and sodium azide (ab264414).

All lanes:

Immunoprecipitation - Anti-CD33 antibody [BLR061G] (<a href='/en-us/products/primary-antibodies/cd33-antibody-blr061g-ab264414'>ab264414</a>)

Predicted band size: 40 kDa

true

Exposure time: 10s

Key facts

Host species

Rabbit

Clonality

Monoclonal

Clone number

BLR061G

Isotype

IgG

Carrier free

No

Reacts with

Human

Applications

IHC-P, IP, WB

applications

Immunogen

Synthetic Peptide within Human CD33 aa 300 to C-terminus. The exact immunogen used to generate this antibody is proprietary information.

P20138

Reactivity data

{ "title": "Reactivity Data", "filters": { "stats": ["", "Species", "Dilution Info", "Notes"], "tabs": { "all-applications": {"fullname" : "All Applications", "shortname": "All Applications"}, "IP" : {"fullname" : "Immunoprecipitation", "shortname":"IP"}, "WB" : {"fullname" : "Western blot", "shortname":"WB"}, "IHCP" : {"fullname" : "Immunohistochemistry (Formalin/PFA-fixed paraffin-embedded sections)", "shortname":"IHC-P"} }, "product-promise": { "all": "all", "testedAndGuaranteed": "tested", "guaranteed": "expected", "predicted": "predicted", "notRecommended": "not-recommended" } }, "values": { "Human": { "IP-species-checked": "testedAndGuaranteed", "IP-species-dilution-info": "", "IP-species-notes": "<p></p>", "WB-species-checked": "guaranteed", "WB-species-dilution-info": "", "WB-species-notes": "<p></p>", "IHCP-species-checked": "testedAndGuaranteed", "IHCP-species-dilution-info": "", "IHCP-species-notes": "<p></p>" } } }

Product details

ab272082 is the BSA-free version of ab264414.

REACH authorisation
Abcam has not and does not intend to apply for the REACH Authorisation of customers' uses of products that contain European Authorisation list (Annex XIV) substances.
It is the responsibility of our customers to check the necessity of application of REACH Authorisation, and any other relevant authorisations, for their intended uses.

This product is sold under License from Bethyl Laboratories, Inc.

Properties and storage information

Form
Liquid
Purification notes
Purified from cell culture supernatant.
Storage buffer
pH: 8.2 Preservative: 0.09% Sodium azide Constituents: 99% Borate buffered saline
Shipped at conditions
Blue Ice
Appropriate short-term storage duration
1-2 weeks
Appropriate short-term storage conditions
+4°C
Appropriate long-term storage conditions
+4°C
Aliquoting information
Upon delivery aliquot
Storage information
Avoid freeze / thaw cycle

Product protocols

For this product, it's our understanding that no specific protocols are required. You can visit:

Target data

Sialic-acid-binding immunoglobulin-like lectin (Siglec) that plays a role in mediating cell-cell interactions and in maintaining immune cells in a resting state (PubMed : 10611343, PubMed : 11320212, PubMed : 15597323). Preferentially recognizes and binds alpha-2,3- and more avidly alpha-2,6-linked sialic acid-bearing glycans (PubMed : 7718872). Upon engagement of ligands such as C1q or syalylated glycoproteins, two immunoreceptor tyrosine-based inhibitory motifs (ITIMs) located in CD33 cytoplasmic tail are phosphorylated by Src-like kinases such as LCK (PubMed : 10887109, PubMed : 28325905). These phosphorylations provide docking sites for the recruitment and activation of protein-tyrosine phosphatases PTPN6/SHP-1 and PTPN11/SHP-2 (PubMed : 10206955, PubMed : 10556798, PubMed : 10887109). In turn, these phosphatases regulate downstream pathways through dephosphorylation of signaling molecules (PubMed : 10206955, PubMed : 10887109). One of the repressive effect of CD33 on monocyte activation requires phosphoinositide 3-kinase/PI3K (PubMed : 15597323).
See full target information CD33

Publications (1)

Recent publications for all applications. Explore the full list and refine your search

BioFactors (Oxford, England) 47:865-878 PubMed34339079

2021

CDCA7-regulated inflammatory mechanism through TLR4/NF-κB signaling pathway in stomach adenocarcinoma.

Applications

Unspecified application

Species

Unspecified reactive species

Yu Guo,Kaimei Zhou,Xiang Zhuang,Junjie Li,Xianglin Shen
View all publications

Product promise

We are committed to supporting your work with high-quality reagents, and we're here for you every step of the way. In the unlikely event that one of our products does not perform as expected, you're protected by our Product Promise.
For full details, please see our Terms & Conditions

Please note: All products are 'FOR RESEARCH USE ONLY. NOT FOR USE IN DIAGNOSTIC OR THERAPEUTIC PROCEDURES'.

For licensing inquiries, please contact partnerships@abcam.com