JavaScript is disabled in your browser. Please enable JavaScript to view this website.
AB269456

Anti-CD33 antibody [EPR23051-101]

  • BOND RX™ Validated
  • 20ul selling size
  • RabMAb
  • KO Validated
  • Recombinant
  • What is this?

5

(5 Reviews)

|

(8 Publications)

Anti-CD33 antibody [EPR23051-101] (ab269456) is a rabbit monoclonal antibody detecting CD33 in Western Blot, IP, IHC-P, ICC/IF. Suitable for Human.

- KO validated for confirmed specificity
- Biophysical QC for unrivalled batch-batch consistency

View Alternative Names

CD33, SIGLEC3, Myeloid cell surface antigen CD33, Sialic acid-binding Ig-like lectin 3, gp67, Siglec-3

10 Images
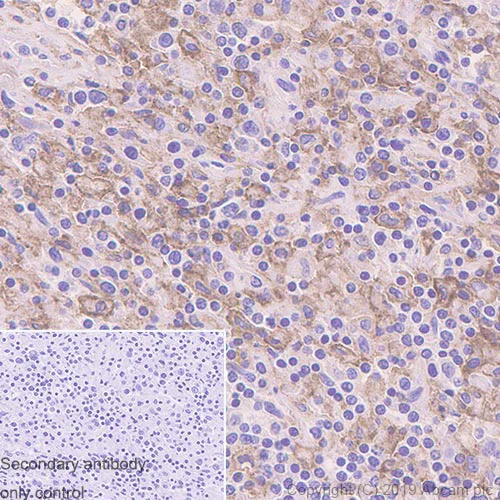
Immunohistochemistry (Formalin/PFA-fixed paraffin-embedded sections) - Anti-CD33 antibody [EPR23051-101] (AB269456)
  • IHC-P

Lab

Immunohistochemistry (Formalin/PFA-fixed paraffin-embedded sections) - Anti-CD33 antibody [EPR23051-101] (AB269456)

Immunohistochemical analysis of formalin fixed paraffin embedded human hodgkins lymphoma labelling CD33 with ab269456 at a concentration of 1µg/ml. The immunostaining was performed on a Ventana DISCOVERY ULTRA (Roche Tissue Diagnostics) instrument with a OptiView DAB IHC Detection Kit. Heat mediated antigen retrieval was performed with DISCOVERY cell conditioning solution (CC1) 100°C, pH8.5 for 32mins.

ab269456 anti-CD33 antibody [EPR23051-101] was incubated for 16mins at 37°C. Sections were counterstained with Hematoxylin II. Image inset shows absence of staining in secondary antibody only control.

Customers are encouraged to optimise antigen retrieval conditions, antibody concentration, incubation times and temperature for best results in their own IHC assay workflow (automated and manual)

Immunohistochemistry (Formalin/PFA-fixed paraffin-embedded sections) - Anti-CD33 antibody [EPR23051-101] (AB269456)
  • IHC-P

Unknown

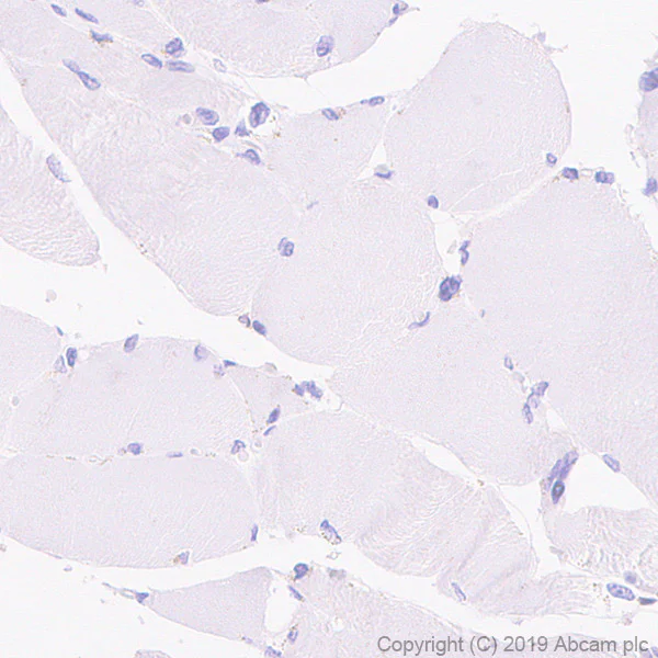
Immunohistochemistry (Formalin/PFA-fixed paraffin-embedded sections) - Anti-CD33 antibody [EPR23051-101] (AB269456)

Immunohistochemical analysis of paraffin-embedded Human skeletal muscle tissue labeling CD33 with ab269456 at 1/200 dilution (2.96 ug/ml) followed by a ready to use Rabbit specific IHC polymer detection kit HRP/DAB (ab209101). Counterstained with Hematoxylin.

Secondary antibody only control : Secondary antibody is a ready to use Rabbit specific IHC polymer detection kit HRP/DAB (ab209101).

Negative control:Human skeletal muscle.

The section was incubated with ab269456 for 30 mins at room temperature. The immunostaining was performed on a Leica Biosystems BOND® RX instrument

Heat mediated antigen retrieval with Tris-EDTA buffer (pH 9.0, epitope retrieval solution 2) for 20 mins.

Immunohistochemistry (Formalin/PFA-fixed paraffin-embedded sections) - Anti-CD33 antibody [EPR23051-101] (AB269456)
  • IHC-P

Unknown

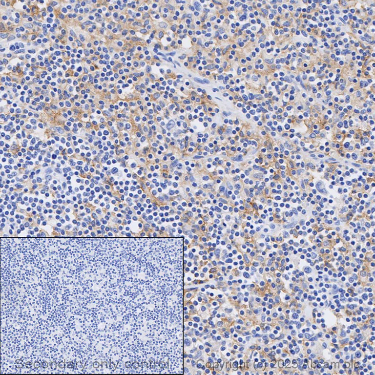
Immunohistochemistry (Formalin/PFA-fixed paraffin-embedded sections) - Anti-CD33 antibody [EPR23051-101] (AB269456)

Immunohistochemical analysis of paraffin-embedded Human Hodgkin's lymphoma tissue labeling CD33 with ab269456 at 1/200 dilution (2.96 ug/ml) followed by a ready to use Rabbit specific IHC polymer detection kit HRP/DAB (ab209101). Membranous staining on human Hodgkin's lymphoma.

The section was incubated with ab269456 for 30 mins at room temperature. The immunostaining was performed on a Leica Biosystems BOND® RX instrument Counterstained with Hematoxylin.

Secondary antibody only control : Secondary antibody is a ready to use Rabbit specific IHC polymer detection kit HRP/DAB (ab209101).

Heat mediated antigen retrieval with Tris-EDTA buffer (pH 9.0, epitope retrieval solution 2) for 20 mins.

Immunohistochemistry (Formalin/PFA-fixed paraffin-embedded sections) - Anti-CD33 antibody [EPR23051-101] (AB269456)
  • IHC-P

Unknown

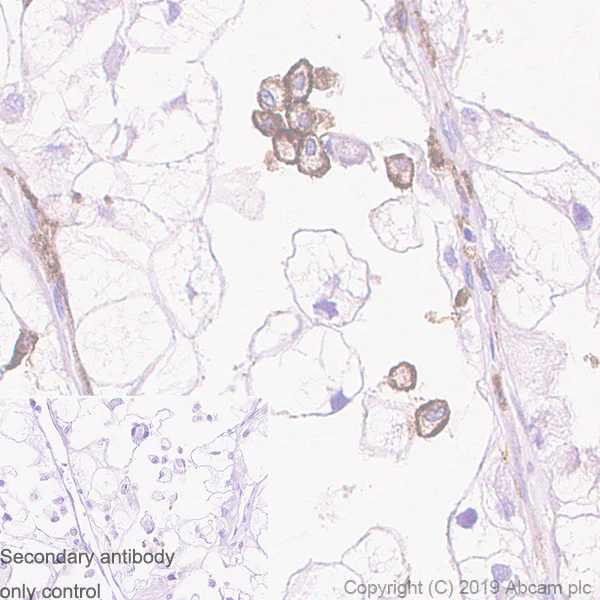
Immunohistochemistry (Formalin/PFA-fixed paraffin-embedded sections) - Anti-CD33 antibody [EPR23051-101] (AB269456)

Immunohistochemical analysis of paraffin-embedded Human liver tissue labeling CD33 with ab269456 at 1/200 dilution (2.96 ug/ml) followed by a ready to use Rabbit specific IHC polymer detection kit HRP/DAB (ab209101). Membranous staining on mainly Kuffer cells of human liver (PMID : 25721896). The section was incubated with ab269456 for 30 mins at room temperature. The immunostaining was performed on a Leica Biosystems BOND® RX instrument Counterstained with Hematoxylin.

Secondary antibody only control : Secondary antibody is a ready to use Rabbit specific IHC polymer detection kit HRP/DAB (ab209101).

Heat mediated antigen retrieval with Tris-EDTA buffer (pH 9.0, epitope retrieval solution 2) for 20 mins.

Immunocytochemistry/ Immunofluorescence - Anti-CD33 antibody [EPR23051-101] (AB269456)
  • ICC/IF

Unknown

Immunocytochemistry/ Immunofluorescence - Anti-CD33 antibody [EPR23051-101] (AB269456)

Immunofluorescent analysis of 100% methanol-fixed THP-1 (human monocytic leukemia monocyte) and Jurkat (human T cell leukemia T lymphocyte) cells labeling CD33 with ab269456 at 1/50 dilution, followed by ab150077 AlexaFluor®488 Goat anti-Rabbit secondary at 1/1000 dilution (Green). Confocal image showing membranous staining in THP-1 cells. The nuclear counter stain is DAPI (Blue). Tubilin is detected with ab195889 Anti-alpha Tubulin antibody [DM1A] - Microtubule Marker (Alexa Fluor® 594) at 1/200 dilution (Red).

Control : Used PBS instead of primary antibody, followed by ab150077 AlexaFluor®488 Goat anti-Rabbit secondary at 1/1000 dilution.

Negative control : Jurkat (PMID : 30519686).

Immunohistochemistry (Formalin/PFA-fixed paraffin-embedded sections) - Anti-CD33 antibody [EPR23051-101] (AB269456)
  • IHC-P

Unknown

Immunohistochemistry (Formalin/PFA-fixed paraffin-embedded sections) - Anti-CD33 antibody [EPR23051-101] (AB269456)

Immunohistochemical analysis of paraffin-embedded Human clear cell renal cell carcinoma tissue labeling CD33 with ab269456 at 1/200 dilution (2.96 ug/ml) followed by a ready to use Rabbit specific IHC polymer detection kit HRP/DAB (ab209101). Membranous staining on infiltrated myeloid cells of human clear cell renal cell carcinoma The section was incubated with ab269456 for 30 mins at room temperature. The immunostaining was performed on a Leica Biosystems BOND® RX instrument Counterstained with Hematoxylin.

Secondary antibody only control : Secondary antibody is a ready to use Rabbit specific IHC polymer detection kit HRP/DAB (ab209101).

Heat mediated antigen retrieval with Tris-EDTA buffer (pH 9.0, epitope retrieval solution 2) for 20 mins.

Immunoprecipitation - Anti-CD33 antibody [EPR23051-101] (AB269456)
  • IP

Unknown

Immunoprecipitation - Anti-CD33 antibody [EPR23051-101] (AB269456)

CD33 was immunoprecipitated from 0.35 mg THP-1 (Human monocytic leukemia monocyte) whole cell lysate with ab269456 at 1/30 dilution (2ug in 0.35mg lysates). Western blot was performed on the immunoprecipitate using ab269456 at 1/1000 dilution. VeriBlot for IP Detection Reagent (HRP) (ab131366) was used at 1/5000 dilution.

Lane 1 : THP-1 whole cell lysate 10ug.

Lane 2 : ab269456 IP in THP-1 whole cell lysate.

Lane 3 : Rabbit monoclonal IgG (ab172730) instead of ab269456 in THP-1 whole cell lysate.

Blocking and dilution buffer and concentration : 5% NFDM/TBST.

Exposure time : 23 seconds.

All lanes:

Immunoprecipitation - Anti-CD33 antibody [EPR23051-101] (ab269456)

Predicted band size: 40 kDa

Observed band size: 67-75 kDa

false

Western blot - Anti-CD33 antibody [EPR23051-101] (AB269456)
  • WB

Supplier Data

Western blot - Anti-CD33 antibody [EPR23051-101] (AB269456)

False colour image of Western blot : Anti-CD33 antibody [EPR23051-101] staining at 1/1000 dilution, shown in green; Mouse anti-Alpha Tubulin [DM1A] (ab7291) loading control staining at 1/20000 dilution, shown in red. In Western blot, ab269456 was shown to bind specifically to CD33. A band was observed at 60-80 kDa in wild-type THP-1 cell lysates with no signal observed at this size in CD33 knockout cell line ab273831 (knockout cell lysate ab273785). To generate this image, wild-type and CD33 knockout THP-1 cell lysates were analysed. First, samples were run on an SDS-PAGE gel then transferred onto a nitrocellulose membrane. Membranes were blocked in 3 % milk in TBS-0.1 % Tween® 20 (TBS-T) before incubation with primary antibodies overnight at 4 °C. Blots were washed four times in TBS-T, incubated with secondary antibodies for 1 h at room temperature, washed again four times then imaged. Secondary antibodies used were Goat anti-Rabbit IgG H&L 800CW and Goat anti-Mouse IgG H&L 680RD at 1/20000 dilution.

All lanes:

Western blot - Anti-CD33 antibody [EPR23051-101] (ab269456) at 1/1000 dilution

Lane 1:

Wild-type THP-1 cell lysate at 10 µg

Lane 2:

Western blot - Human CD33 knockout THP-1 cell lysate (ab273785) at 10 µg

Lane 3:

HL-60 cell lysate at 10 µg

Lane 4:

Jurkat cell lysate at 10 µg

Secondary

All lanes:

Goat anti-Rabbit IgG H&L 800CW and Goat anti-Mouse IgG H&L 680RD at 1/20000 dilution

Predicted band size: 40 kDa

Observed band size: 60-80 kDa

false

Western blot - Anti-CD33 antibody [EPR23051-101] (AB269456)
  • WB

Unknown

Western blot - Anti-CD33 antibody [EPR23051-101] (AB269456)

Blocking and dilution buffer : 5% NFDM/TBST.

Exposure time : 70 seconds.

The expression profile/ molecular weight observed is consistent with what has been described in the literature (PMID : 16380601, 30519686).

Negative control:Human skeletal muscle.

All lanes:

Western blot - Anti-CD33 antibody [EPR23051-101] (ab269456) at 1/1000 dilution

Lane 1:

Human liver tissue lysate at 20 µg

Lane 2:

Human skeletal muscle tissue lysate at 20 µg

Secondary

All lanes:

Western blot - VeriBlot for IP Detection Reagent (HRP) (<a href='/en-us/products/reagents/veriblot-for-ip-detection-reagent-hrp-ab131366'>ab131366</a>) at 1/1000 dilution

Predicted band size: 40 kDa

Observed band size: 75 kDa

false

Western blot - Anti-CD33 antibody [EPR23051-101] (AB269456)
  • WB

Unknown

Western blot - Anti-CD33 antibody [EPR23051-101] (AB269456)

Blocking and dilution buffer : 5% NFDM/TBST.

Exposure time : 70 seconds.

The expression profile/ molecular weight observed is consistent with what has been described in the literature (PMID : 16380601, 30519686).

Negative Control:Jurkat (PMID : 30519686).

All lanes:

Western blot - Anti-CD33 antibody [EPR23051-101] (ab269456) at 1/1000 dilution

Lane 1:

U937 (human histiocytic lymphoma monocyte), whole cell lysate at 20 µg

Lane 2:

THP-1 (human monocytic leukemia monocyte), whole cell lysate at 20 µg

Lane 3:

Jurkat (human T cell leukemia T lymphocyte), whole cell lysate at 20 µg

Secondary

All lanes:

Western blot - Goat Anti-Rabbit IgG H&L (HRP) (<a href='/en-us/products/secondary-antibodies/goat-rabbit-igg-h-l-hrp-ab97051'>ab97051</a>) at 1/100000 dilution

Predicted band size: 40 kDa

Observed band size: 67-75 kDa

false

Key facts

Host species

Rabbit

Clonality

Monoclonal

Clone number

EPR23051-101

Isotype

IgG

Carrier free

No

Reacts with

Human

Applications

WB, ICC/IF, IP, IHC-P

applications

Immunogen

The exact immunogen used to generate this antibody is proprietary information.

Reactivity data

{ "title": "Reactivity Data", "filters": { "stats": ["", "Species", "Dilution Info", "Notes"], "tabs": { "all-applications": {"fullname" : "All Applications", "shortname": "All Applications"}, "IP" : {"fullname" : "Immunoprecipitation", "shortname":"IP"}, "FlowCyt" : {"fullname" : "Flow Cytometry", "shortname":"Flow Cyt"}, "WB" : {"fullname" : "Western blot", "shortname":"WB"}, "ICCIF" : {"fullname" : "Immunocytochemistry/ Immunofluorescence", "shortname":"ICC/IF"}, "IHCP" : {"fullname" : "Immunohistochemistry (Formalin/PFA-fixed paraffin-embedded sections)", "shortname":"IHC-P"} }, "product-promise": { "all": "all", "testedAndGuaranteed": "tested", "guaranteed": "expected", "predicted": "predicted", "notRecommended": "not-recommended" } }, "values": { "Human": { "IP-species-checked": "testedAndGuaranteed", "IP-species-dilution-info": "1/30", "IP-species-notes": "<p></p>", "FlowCyt-species-checked": "notRecommended", "FlowCyt-species-dilution-info": "", "FlowCyt-species-notes": "<p></p>", "WB-species-checked": "testedAndGuaranteed", "WB-species-dilution-info": "1/1000", "WB-species-notes": "<p></p>", "ICCIF-species-checked": "testedAndGuaranteed", "ICCIF-species-dilution-info": "1/50", "ICCIF-species-notes": "<p></p>", "IHCP-species-checked": "testedAndGuaranteed", "IHCP-species-dilution-info": "1/200", "IHCP-species-notes": "<p></p>" } } }

Product details

What is this antibody validated in?
Anti-CD33 antibody [EPR23051-101] (ab269456) is a rabbit recombinant monoclonal antibody and is validated for use in Western Blot (WB), Immunoprecipitation (IP), Immunohistochemistry (IHC-P), Immunocytochemistry/immunofluorescence (ICC/IF) in Human samples.

What is the molecular weight of CD33?
Anti-CD33 [EPR23051-101] (ab269456) specifically detects a band for CD33 (UniProt: P20138) at a molecular weight of 40kDa.

Reviewed by scientists
Anti-CD33 [EPR23051-101] (ab269456) has over 5 independent reviews from customers.

Trial sizes available!
Test your antibody or perform pre-screening before committing to a larger quantity. Sold in 10µl. Discover our selection of trial-size antibodies.

Specificity confirmed
The specificity of Anti-CD33 antibody [EPR23051-101] (ab269456) has been confirmed by Western blot testing in CD33 Knockout THP-1 cells.

Other related products
We have a range of other formats of antibody clone [EPR23051-101] also available for your convenience: ab269456, Carrier free - ab269461, Alexa Fluor® 488 - ab310993, Alexa Fluor® 647 - ab311118, Alexa Fluor® 594 - ab311747, Alexa Fluor® 568 - ab313027, Alexa Fluor® 555 - ab313228, Alexa Fluor® 750 - ab321530

Patented technology
Our RabMAb® technology is a patented hybridoma-based technology for making rabbit monoclonal antibodies. For details on our patents, please refer to RabMAb® patents.

What are the advantages of a recombinant monoclonal antibody?
This product is a recombinant monoclonal antibody, which offers several advantages including:

  • - High batch-to-batch consistency and reproducibility
  • - Improved sensitivity and specificity
  • - Long-term security of supply
  • - Animal-free batch production

For more information, read more on recombinant antibodies.

Properties and storage information

Form
Liquid
Purification technique
Affinity purification Protein A
Storage buffer
pH: 7.2 - 7.4 Preservative: 0.01% Sodium azide Constituents: PBS, 40% Glycerol (glycerin, glycerine), 0.05% BSA
Shipped at conditions
Blue Ice
Appropriate short-term storage duration
1-2 weeks
Appropriate short-term storage conditions
+4°C
Appropriate long-term storage conditions
-20°C
Aliquoting information
Upon delivery aliquot
Storage information
Avoid freeze / thaw cycle

Product protocols

For this product, it's our understanding that no specific protocols are required. You can visit:

Target data

Sialic-acid-binding immunoglobulin-like lectin (Siglec) that plays a role in mediating cell-cell interactions and in maintaining immune cells in a resting state (PubMed : 10611343, PubMed : 11320212, PubMed : 15597323). Preferentially recognizes and binds alpha-2,3- and more avidly alpha-2,6-linked sialic acid-bearing glycans (PubMed : 7718872). Upon engagement of ligands such as C1q or syalylated glycoproteins, two immunoreceptor tyrosine-based inhibitory motifs (ITIMs) located in CD33 cytoplasmic tail are phosphorylated by Src-like kinases such as LCK (PubMed : 10887109, PubMed : 28325905). These phosphorylations provide docking sites for the recruitment and activation of protein-tyrosine phosphatases PTPN6/SHP-1 and PTPN11/SHP-2 (PubMed : 10206955, PubMed : 10556798, PubMed : 10887109). In turn, these phosphatases regulate downstream pathways through dephosphorylation of signaling molecules (PubMed : 10206955, PubMed : 10887109). One of the repressive effect of CD33 on monocyte activation requires phosphoinositide 3-kinase/PI3K (PubMed : 15597323).
See full target information CD33

Publications (8)

Recent publications for all applications. Explore the full list and refine your search

The Journal of clinical investigation 135: PubMed40179015

2025

Gut microbial metabolite 4-hydroxybenzeneacetic acid drives colorectal cancer progression via accumulation of immunosuppressive PMN-MDSCs.

Applications

Unspecified application

Species

Unspecified reactive species

Qing Liao,Ximing Zhou,Ling Wu,Yuyi Yang,Xiaohui Zhu,Hangyu Liao,Yujie Zhang,Weidong Lian,Feifei Zhang,Hui Wang,Yanqing Ding,Liang Zhao

Discover oncology 15:654 PubMed39541053

2024

Pan-cancer analysis of STAT3 indicates its potential prognostic value and correlation with immune cell infiltration in prostate cancer.

Applications

Unspecified application

Species

Unspecified reactive species

Zhouting Tuo,Hesong Zhang,Ke He,Zhiwei Jiang,Chao Jiang,Xin Chen,Haichao Yuan

Communications biology 7:63 PubMed38191598

2024

Single-cell transcriptomic analyses of tumor microenvironment and molecular reprograming landscape of metastatic laryngeal squamous cell carcinoma.

Applications

Unspecified application

Species

Unspecified reactive species

Yuanyuan Sun,Sheng Chen,Yongping Lu,Zhenming Xu,Weineng Fu,Wei Yan

Biology 12: PubMed37998017

2023

Acetylcholine, Another Factor in Breast Cancer.

Applications

Unspecified application

Species

Unspecified reactive species

Juan P Muñoz,Gloria M Calaf

Cell discovery 9:25 PubMed36878933

2023

CD36 cancer-associated fibroblasts provide immunosuppressive microenvironment for hepatocellular carcinoma via secretion of macrophage migration inhibitory factor.

Applications

Unspecified application

Species

Unspecified reactive species

Gui-Qi Zhu,Zheng Tang,Run Huang,Wei-Feng Qu,Yuan Fang,Rui Yang,Chen-Yang Tao,Jun Gao,Xiao-Ling Wu,Hai-Xiang Sun,Yu-Fu Zhou,Shu-Shu Song,Zhen-Bin Ding,Zhi Dai,Jian Zhou,Dan Ye,Duo-Jiao Wu,Wei-Ren Liu,Jia Fan,Ying-Hong Shi

Journal of cellular and molecular medicine 27:609-621 PubMed36756714

2023

PHF6 promotes the progression of endometrial carcinoma by increasing cancer cells growth and decreasing T-cell infiltration.

Applications

Unspecified application

Species

Unspecified reactive species

Xiaomin Wang,Aizhong Fang,Yichen Peng,Jianyu Yu,Chunna Yu,Jinxuan Xie,Yi Zheng,Lairong Song,Parker Li,Jia Li,Xun Kang,Yi Lin,Wenbin Li

Frontiers in oncology 11:802257 PubMed35155199

2022

PET/CT Imaging of Activated Cancer-Associated Fibroblasts Predict Response to PD-1 Blockade in Gastric Cancer Patients.

Applications

Unspecified application

Species

Unspecified reactive species

Xiaoxiang Rong,Jinyu Lv,Yantan Liu,Zhaojun Wang,Dongqiang Zeng,Yuedan Li,Shaowei Li,Jianhua Wu,Zheyu Shen,Min Shi,Wangjun Liao,Zhenzhen Wu,Chunlin Wang

Clinical cancer research : an official journal of the American Association for Cancer Research 27:6026-6038 PubMed34233960

2021

Rapamycin Pretreatment Rescues the Bone Marrow AML Cell Elimination Capacity of CAR-T Cells.

Applications

Unspecified application

Species

Unspecified reactive species

Zhigang Nian,Xiaohu Zheng,Yingchao Dou,Xianghui Du,Li Zhou,Binqing Fu,Rui Sun,Zhigang Tian,Haiming Wei
View all publications

Product promise

We are committed to supporting your work with high-quality reagents, and we're here for you every step of the way. In the unlikely event that one of our products does not perform as expected, you're protected by our Product Promise.
For full details, please see our Terms & Conditions

Please note: All products are 'FOR RESEARCH USE ONLY. NOT FOR USE IN DIAGNOSTIC OR THERAPEUTIC PROCEDURES'.

For licensing inquiries, please contact partnerships@abcam.com