JavaScript is disabled in your browser. Please enable JavaScript to view this website.
AB281568

Anti-CD33 antibody [EPR24370-124] - BSA and Azide free

  • BOND RX™ Validated
  • RabMAb
  • Recombinant
  • KO Validated
  • What is this?

5

(3 Reviews)

|

(0 Publication)

Rabbit Recombinant Monoclonal CD33 antibody. Carrier free. Suitable for WB, IHC-P and reacts with Human samples.

View Alternative Names

CD33, SIGLEC3, Myeloid cell surface antigen CD33, Sialic acid-binding Ig-like lectin 3, gp67, Siglec-3

8 Images
Immunohistochemistry (Formalin/PFA-fixed paraffin-embedded sections) - Anti-CD33 antibody [EPR24370-124] - BSA and Azide free (AB281568)
  • IHC-P

Supplier Data

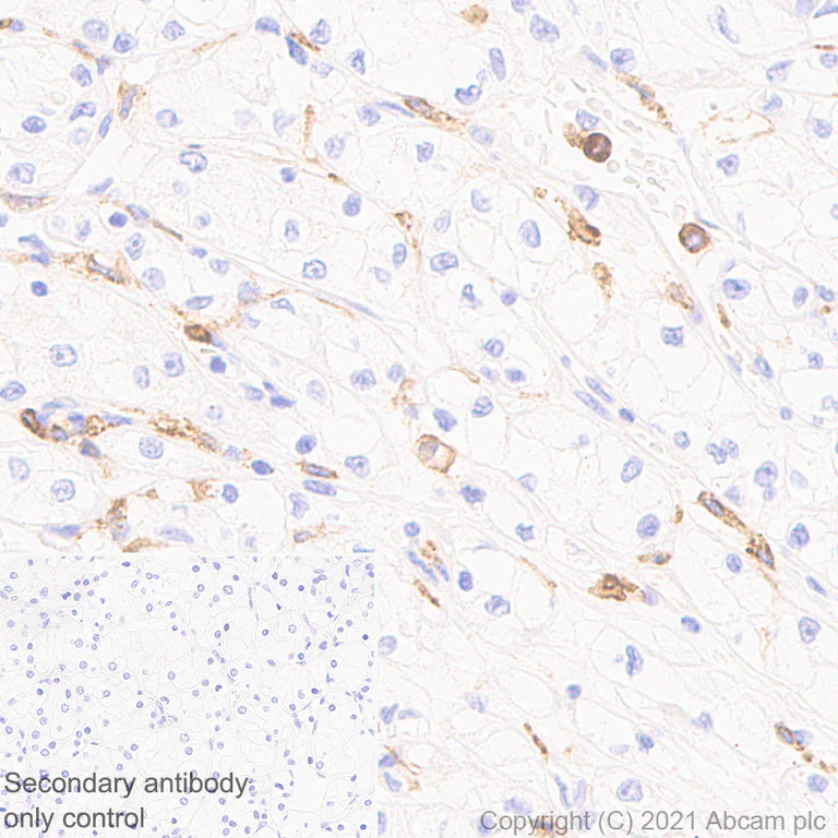
Immunohistochemistry (Formalin/PFA-fixed paraffin-embedded sections) - Anti-CD33 antibody [EPR24370-124] - BSA and Azide free (AB281568)

This data was developed using ab270942, the same antibody clone in a different buffer formulation.

Immunohistochemical analysis of paraffin-embedded Human colon tissue labelling CD33 with ab270942 at 1/1000 dilution (0.472 ug/ml) followed by a ready to use LeicaDS9800 (Bond™ Polymer Refine Detection). Membranous and cytoplasmic staining on immune cells of human colon (PMID : 31462392). The section was incubated with ab270942 for 30 mins at room temperature. The immunostaining was performed on a Leica Biosystems BOND® RX instrument. Counterstained with Hematoxylin.

Secondary antibody only control : Secondary antibody is a ready to use LeicaDS9800 (Bond™ Polymer Refine Detection).

Heat mediated antigen retrieval with Tris-EDTA buffer (pH 9.0, epitope retrieval solution2) for 20 mins.

Immunohistochemistry (Formalin/PFA-fixed paraffin-embedded sections) - Anti-CD33 antibody [EPR24370-124] - BSA and Azide free (AB281568)
  • IHC-P

Supplier Data

Immunohistochemistry (Formalin/PFA-fixed paraffin-embedded sections) - Anti-CD33 antibody [EPR24370-124] - BSA and Azide free (AB281568)

This data was developed using ab270942, the same antibody clone in a different buffer formulation.

Immunohistochemical analysis of paraffin-embedded Human skeletal muscle tissue labelling CD33 with ab270942 at 1/1000 dilution (0.472 ug/ml) followed by a ready to use LeicaDS9800 (Bond™ Polymer Refine Detection). Negative control : No staining in human skeletal muscle. The section was incubated with ab270942 for 30 mins at room temperature. The immunostaining was performed on a Leica Biosystems BOND® RX instrument. Counterstained with Hematoxylin.

Secondary antibody only control : Secondary antibody is a ready to use LeicaDS9800 (Bond™ Polymer Refine Detection).

Heat mediated antigen retrieval with Tris-EDTA buffer (pH 9.0, epitope retrieval solution2) for 20 mins.

Western blot - Anti-CD33 antibody [EPR24370-124] - BSA and Azide free (AB281568)
  • WB

Lab

Western blot - Anti-CD33 antibody [EPR24370-124] - BSA and Azide free (AB281568)

This data was developed using ab270942, the same antibody clone in a different buffer formulation. False colour image of Western blot : Anti-CD33 antibody [EPR24370-124] staining at 1/1000 dilution, shown in green; Mouse anti-Alpha Tubulin [DM1A] (ab7291) loading control staining at 1/20000 dilution, shown in red. In Western blot, ab270942 was shown to bind specifically to CD33. A band was observed at 60-80 kDa in wild-type THP-1 cell lysates with no signal observed at this size in CD33 knockout cell line ab273831 (knockout cell lysate ab273785). To generate this image, wild-type and CD33 knockout THP-1 cell lysates were analysed. First, samples were run on an SDS-PAGE gel then transferred onto a nitrocellulose membrane. Membranes were blocked in 3 % milk in TBS-0.1 % Tween® 20 (TBS-T) before incubation with primary antibodies overnight at 4 °C. Blots were washed four times in TBS-T, incubated with secondary antibodies for 1 h at room temperature, washed again four times then imaged. Secondary antibodies used were Goat anti-Rabbit IgG H&L 800CW and Goat anti-Mouse IgG H&L 680RD at 1/20000 dilution.

All lanes:

Western blot - Anti-CD33 antibody [EPR24370-124] (<a href='/en-us/products/primary-antibodies/cd33-antibody-epr24370-124-ab270942'>ab270942</a>) at 1/1000 dilution

Lane 1:

Wild-type THP-1 cell lysate at 10 µg

Lane 2:

Western blot - Human CD33 knockout THP-1 cell lysate (ab273785)

Lane 2:

CD33 knockout THP-1 cell lysate at 10 µg

Lane 3:

HL-60 cell lysate at 10 µg

Lane 4:

Jurkat cell lysate at 10 µg

Secondary

All lanes:

Goat anti-Rabbit IgG H&L 800CW and Goat anti-Mouse IgG H&L 680RD at 1/20000 dilution

Predicted band size: 40 kDa

false

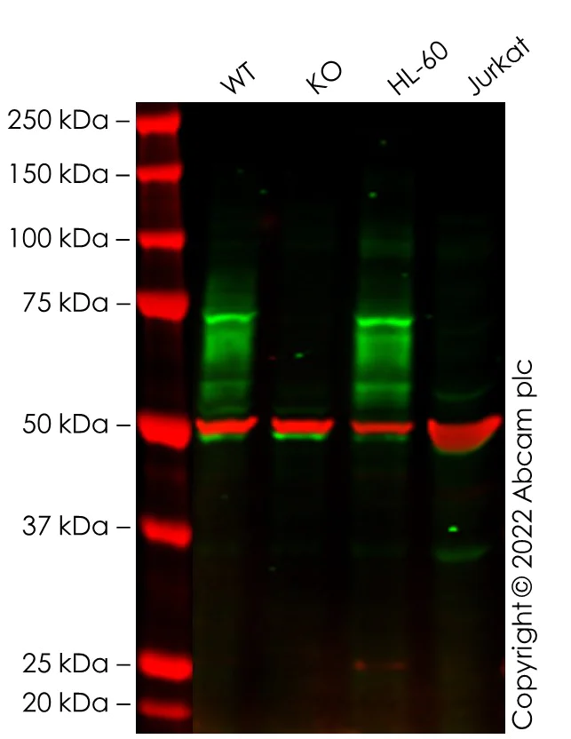
Western blot - Anti-CD33 antibody [EPR24370-124] - BSA and Azide free (AB281568)
  • WB

Lab

Western blot - Anti-CD33 antibody [EPR24370-124] - BSA and Azide free (AB281568)

This data was developed using ab270942, the same antibody clone in a different buffer formulation.

Blocking and diluting buffer and concentration : 5% NFDM/TBST

The expression molecular weight observed is consistent with what has been described in the literature (PMID : 16380601, 30519686).

Negative Control : Jurkat (PMID : 30519686).

Exposure time : Lanes 1-3 : 136 seconds; Lane 4 : 26 seconds.

All lanes:

Western blot - Anti-CD33 antibody [EPR24370-124] (<a href='/en-us/products/primary-antibodies/cd33-antibody-epr24370-124-ab270942'>ab270942</a>) at 1/1000 dilution

Lane 1:

THP-1 (human monocytic leukemia monocyte) whole cell lysate at 20 µg

Lane 2:

Jurkat (human T cell leukemia cell line from peripheral blood) whole cell lysate at 20 µg

Lane 3:

HL-60 (human acute promyelocytic leukemia promyeloblast) whole cell lysate at 20 µg

Lane 4:

TF-1 (human erythroleukemia erythroblast) whole cell lysate at 20 µg

Secondary

All lanes:

Western blot - Goat Anti-Rabbit IgG H&L (HRP) (<a href='/en-us/products/secondary-antibodies/goat-rabbit-igg-h-l-hrp-ab97051'>ab97051</a>) at 1/50000 dilution

Predicted band size: 40 kDa

Observed band size: 67-75 kDa

false

Immunohistochemistry (Formalin/PFA-fixed paraffin-embedded sections) - Anti-CD33 antibody [EPR24370-124] - BSA and Azide free (AB281568)
  • IHC-P

Supplier Data

Immunohistochemistry (Formalin/PFA-fixed paraffin-embedded sections) - Anti-CD33 antibody [EPR24370-124] - BSA and Azide free (AB281568)

This data was developed using ab270942, the same antibody clone in a different buffer formulation.

Immunohistochemical analysis of paraffin-embedded Human tonsil tissue labelling CD33 with ab270942 at 1/1000 dilution (0.472 ug/ml) followed by a ready to use LeicaDS9800 (Bond™ Polymer Refine Detection). Membranous and cytoplasmic staining in human tonsil. The section was incubated with ab270942 for 30 mins at room temperature. The immunostaining was performed on a Leica Biosystems BOND® RX instrument. Counterstained with Hematoxylin.

Secondary antibody only control : Secondary antibody is a ready to use LeicaDS9800 (Bond™ Polymer Refine Detection).

Heat mediated antigen retrieval with Tris-EDTA buffer (pH 9.0, epitope retrieval solution2) for 20 mins.

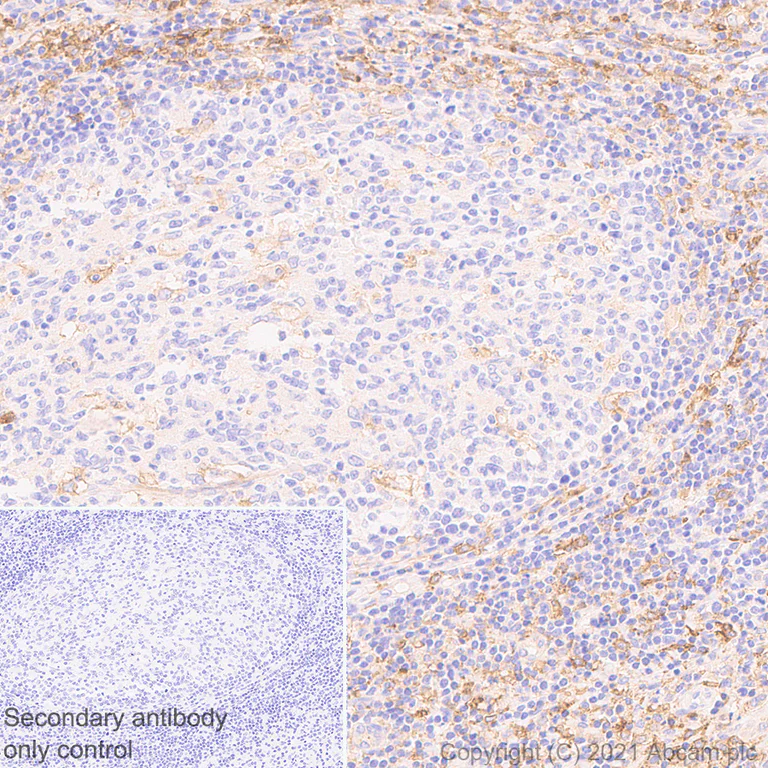
Immunohistochemistry (Formalin/PFA-fixed paraffin-embedded sections) - Anti-CD33 antibody [EPR24370-124] - BSA and Azide free (AB281568)
  • IHC-P

Supplier Data

Immunohistochemistry (Formalin/PFA-fixed paraffin-embedded sections) - Anti-CD33 antibody [EPR24370-124] - BSA and Azide free (AB281568)

This data was developed using ab270942, the same antibody clone in a different buffer formulation.

Immunohistochemical analysis of paraffin-embedded Human Hodgkin's lymphoma tissue labelling CD33 with ab270942 at 1/1000 dilution (0.472 ug/ml) followed by a ready to use LeicaDS9800 (Bond™ Polymer Refine Detection). Membranous and cytoplasmic staining in human Hodgkin's lymphoma. The section was incubated with ab270942 for 30 mins at room temperature. The immunostaining was performed on a Leica Biosystems BOND® RX instrument. Counterstained with Hematoxylin.

Secondary antibody only control : Secondary antibody is a ready to use LeicaDS9800 (Bond™ Polymer Refine Detection).

Heat mediated antigen retrieval with Tris-EDTA buffer (pH 9.0, epitope retrieval solution2) for 20 mins.

Immunohistochemistry (Formalin/PFA-fixed paraffin-embedded sections) - Anti-CD33 antibody [EPR24370-124] - BSA and Azide free (AB281568)
  • IHC-P

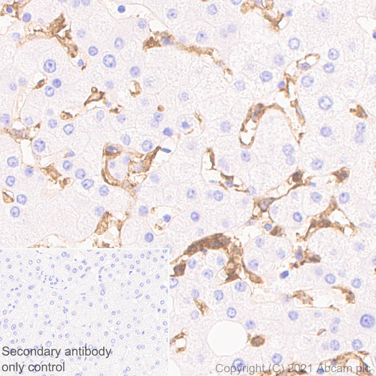
Supplier Data

Immunohistochemistry (Formalin/PFA-fixed paraffin-embedded sections) - Anti-CD33 antibody [EPR24370-124] - BSA and Azide free (AB281568)

This data was developed using ab270942, the same antibody clone in a different buffer formulation.

Immunohistochemical analysis of paraffin-embedded Human liver tissue labelling CD33 with ab270942 at 1/1000 dilution (0.472 ug/ml) followed by a ready to use LeicaDS9800 (Bond™ Polymer Refine Detection). Membranous and cytoplasmic staining on Kupffer cells of human liver (PMID : 25721896). The section was incubated with ab270942 for 30 mins at room temperature.The immunostaining was performed on a Leica Biosystems BOND® RX instrument. Counterstained with Hematoxylin.

Secondary antibody only control : Secondary antibody is a ready to use LeicaDS9800 (Bond™ Polymer Refine Detection).

Heat mediated antigen retrieval with Tris-EDTA buffer (pH 9.0, epitope retrieval solution2) for 20 mins.

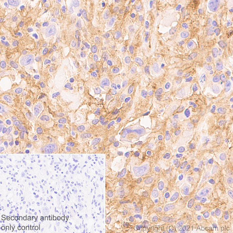
Immunohistochemistry (Formalin/PFA-fixed paraffin-embedded sections) - Anti-CD33 antibody [EPR24370-124] - BSA and Azide free (AB281568)
  • IHC-P

Supplier Data

Immunohistochemistry (Formalin/PFA-fixed paraffin-embedded sections) - Anti-CD33 antibody [EPR24370-124] - BSA and Azide free (AB281568)

This data was developed using ab270942, the same antibody clone in a different buffer formulation.

Immunohistochemical analysis of paraffin-embedded Human clear cell renal cell carcinoma tissue labelling CD33 with ab270942 at 1/1000 dilution (0.472 ug/ml) followed by a ready to use LeicaDS9800 (Bond™ Polymer Refine Detection). Membranous and cytoplasmic staining on scattered cells of human clear cell renal cell carcinoma. The section was incubated with ab270942 for 30 mins at room temperature. The immunostaining was performed on a Leica Biosystems BOND® RX instrument. Counterstained with Hematoxylin.

Secondary antibody only control : Secondary antibody is a ready to use LeicaDS9800 (Bond™ Polymer Refine Detection).

Heat mediated antigen retrieval with Tris-EDTA buffer (pH 9.0, epitope retrieval solution2) for 20 mins.

Key facts

Host species

Rabbit

Clonality

Monoclonal

Clone number

EPR24370-124

Isotype

IgG

Carrier free

Yes

Reacts with

Human

Applications

WB, IHC-P

applications

Immunogen

The exact immunogen used to generate this antibody is proprietary information.

Reactivity data

{ "title": "Reactivity Data", "filters": { "stats": ["", "Species", "Dilution Info", "Notes"], "tabs": { "all-applications": {"fullname" : "All Applications", "shortname": "All Applications"}, "ICCIF" : {"fullname" : "Immunocytochemistry/ Immunofluorescence", "shortname":"ICC/IF"}, "IP" : {"fullname" : "Immunoprecipitation", "shortname":"IP"}, "FlowCyt" : {"fullname" : "Flow Cytometry", "shortname":"Flow Cyt"}, "WB" : {"fullname" : "Western blot", "shortname":"WB"}, "IHCP" : {"fullname" : "Immunohistochemistry (Formalin/PFA-fixed paraffin-embedded sections)", "shortname":"IHC-P"} }, "product-promise": { "all": "all", "testedAndGuaranteed": "tested", "guaranteed": "expected", "predicted": "predicted", "notRecommended": "not-recommended" } }, "values": { "Human": { "ICCIF-species-checked": "notRecommended", "ICCIF-species-dilution-info": "", "ICCIF-species-notes": "<p></p>", "IP-species-checked": "notRecommended", "IP-species-dilution-info": "", "IP-species-notes": "<p></p>", "FlowCyt-species-checked": "notRecommended", "FlowCyt-species-dilution-info": "", "FlowCyt-species-notes": "<p></p>", "WB-species-checked": "testedAndGuaranteed", "WB-species-dilution-info": "", "WB-species-notes": "<p></p>", "IHCP-species-checked": "testedAndGuaranteed", "IHCP-species-dilution-info": "", "IHCP-species-notes": "<p></p>" }, "Mouse": { "ICCIF-species-checked": "notRecommended", "ICCIF-species-dilution-info": "", "ICCIF-species-notes": "", "IP-species-checked": "notRecommended", "IP-species-dilution-info": "", "IP-species-notes": "", "FlowCyt-species-checked": "notRecommended", "FlowCyt-species-dilution-info": "", "FlowCyt-species-notes": "", "WB-species-checked": "notRecommended", "WB-species-dilution-info": "", "WB-species-notes": "<p></p>", "IHCP-species-checked": "notRecommended", "IHCP-species-dilution-info": "", "IHCP-species-notes": "<p></p>" }, "Rat": { "ICCIF-species-checked": "notRecommended", "ICCIF-species-dilution-info": "", "ICCIF-species-notes": "", "IP-species-checked": "notRecommended", "IP-species-dilution-info": "", "IP-species-notes": "", "FlowCyt-species-checked": "notRecommended", "FlowCyt-species-dilution-info": "", "FlowCyt-species-notes": "", "WB-species-checked": "notRecommended", "WB-species-dilution-info": "", "WB-species-notes": "<p></p>", "IHCP-species-checked": "notRecommended", "IHCP-species-dilution-info": "", "IHCP-species-notes": "<p></p>" } } }

Product details

Please Note: Clone [EPR24370-124] (this product) is different to that of ab199432 [SP266] for the same target.

ab281568 is the carrier-free version of ab270942.

Patented technology
Our RabMAb® technology is a patented hybridoma-based technology for making rabbit monoclonal antibodies. For details on our patents, please refer to RabMAb® patents.

What are the advantages of a recombinant monoclonal antibody?
This product is a recombinant monoclonal antibody, which offers several advantages including:

  • - High batch-to-batch consistency and reproducibility
  • - Improved sensitivity and specificity
  • - Long-term security of supply
  • - Animal-free batch production

For more information, read more on recombinant antibodies.

Conjugation ready
Our carrier-free antibodies are typically supplied in a PBS-only formulation, purified and free of BSA, sodium azide and glycerol. This conjugation-ready format is designed for use with fluorochromes, metal isotopes, oligonucleotides, and enzymes, which makes them ideal for antibody labelling, functional and cell-based assays, flow-based assays (e.g. mass cytometry) and Multiplex Imaging applications.

Use our conjugation kits for antibody conjugates that are ready-to-use in as little as 20 minutes with 1 minute hands-on-time and 100% antibody recovery: available for fluorescent dyes, HRP, biotin and gold.

Compatibility
This product is compatible with the Maxpar® Antibody Labeling Kit from Fluidigm, without the need for antibody preparation. Maxpar® is a trademark of Fluidigm Canada Inc.

Properties and storage information

Form
Liquid
Purification technique
Affinity purification Protein A
Storage buffer
Constituents: 100% PBS
Shipped at conditions
Blue Ice
Appropriate short-term storage conditions
+4°C
Appropriate long-term storage conditions
+4°C

Product protocols

For this product, it's our understanding that no specific protocols are required. You can visit:

Target data

Sialic-acid-binding immunoglobulin-like lectin (Siglec) that plays a role in mediating cell-cell interactions and in maintaining immune cells in a resting state (PubMed : 10611343, PubMed : 11320212, PubMed : 15597323). Preferentially recognizes and binds alpha-2,3- and more avidly alpha-2,6-linked sialic acid-bearing glycans (PubMed : 7718872). Upon engagement of ligands such as C1q or syalylated glycoproteins, two immunoreceptor tyrosine-based inhibitory motifs (ITIMs) located in CD33 cytoplasmic tail are phosphorylated by Src-like kinases such as LCK (PubMed : 10887109, PubMed : 28325905). These phosphorylations provide docking sites for the recruitment and activation of protein-tyrosine phosphatases PTPN6/SHP-1 and PTPN11/SHP-2 (PubMed : 10206955, PubMed : 10556798, PubMed : 10887109). In turn, these phosphatases regulate downstream pathways through dephosphorylation of signaling molecules (PubMed : 10206955, PubMed : 10887109). One of the repressive effect of CD33 on monocyte activation requires phosphoinositide 3-kinase/PI3K (PubMed : 15597323).
See full target information CD33

Product promise

We are committed to supporting your work with high-quality reagents, and we're here for you every step of the way. In the unlikely event that one of our products does not perform as expected, you're protected by our Product Promise.
For full details, please see our Terms & Conditions

Please note: All products are 'FOR RESEARCH USE ONLY. NOT FOR USE IN DIAGNOSTIC OR THERAPEUTIC PROCEDURES'.

For licensing inquiries, please contact partnerships@abcam.com