JavaScript is disabled in your browser. Please enable JavaScript to view this website.
AB316277

Anti-CD34 antibody [EPR27431-71]

  • BOND RX™ Validated
  • Advanced Validation
  • 20ul selling size
  • Recombinant
  • RabMAb
  • What is this?

Be the first to review this product! Submit a review

|

(2 Publications)

Rabbit Recombinant Monoclonal CD34 antibody. Suitable for Flow Cyt, ICC/IF, IHC-P, WB, mIHC and reacts with Mouse, Rat samples. Cited in 2 publications.

View Alternative Names

CD34, Hematopoietic progenitor cell antigen CD34, 2

17 Images
Multiplex immunohistochemistry - Anti-CD34 antibody [EPR27431-71] (AB316277)
  • mIHC

Lab

Multiplex immunohistochemistry - Anti-CD34 antibody [EPR27431-71] (AB316277)

Multiplex immunohistochemistry analysis of formalin/PFA-fixed paraffin-embedded mouse breast tissue staining CD34 with ab316277 at a 1 : 10000 (0.05 ug/ml) dilution, ab324191 E Cadherin used at 1 : 500 (0.228 ug/ml) dilution and ab316115 Perilipin-1 used at 1 : 2000 (0.251 μg/ml) dilution.

Panel A : merged staining of anti-CD34 (green; Opal™570), anti-E Cadherin (magenta; Opal™690) and anti-Perilipin-1 (gray; Opal™570) on mouse breast.

Panel B : anti-CD34 staining endothelium in mouse breast.

Panel C : ant-E Cadherin staining epithelium in mouse breast.

Panel D : ant-Perilipin-1 staining adipocytes in mouse breast.

Nuclear DNA was labeled with DAPI (shown in blue).

The section was incubated in three rounds of staining : in the order of ab316277, ab324191 and ab316115 for 30 mins at room temperature. Each round was followed by a separate fluorescent tyramide signal amplification system.

The immunostaining was performed on a Leica Biosystems BOND® RX instrument with an Opal™ 4-color kit. Image acquisition was performed with Leica SP8 confocal microscope.

Heat mediated antigen retrieval was performed with Tris-EDTA buffer (pH 9.0, Epitope Retrieval Solution2) for 20 mins.

Flow Cytometry - Anti-CD34 antibody [EPR27431-71] (AB316277)
  • Flow Cyt

Supplier Data

Flow Cytometry - Anti-CD34 antibody [EPR27431-71] (AB316277)

Flow cytometric analysis of Mouse bone marrow cells labelling CD34 with ab316277 at 1/500 dilution (0.1 ug)/Right compared with a Rabbit monoclonal IgG (ab172730) / Left isotype control

Goat Anti-Rabbit IgG (Alexa Fluor® 488, ab150081) at 1/5000 dilution was used as the secondary antibody.

Gated on viable cells. Cells are co-stained with CD117 conjugated to APC-eFluor 780. (PMID : 23295606)

Flow Cytometry - Anti-CD34 antibody [EPR27431-71] (AB316277)
  • Flow Cyt

Supplier Data

Flow Cytometry - Anti-CD34 antibody [EPR27431-71] (AB316277)

Flow cytometric analysis of Neuro-2a (mouse neuroblastoma neuroblast, Left) / NIH/3T3 (mouse embryonic fibroblast, Right) cells labelling CD34 with ab316277 at 1/500 dilution (0.1 ug)/Red compared with a Rabbit monoclonal IgG (ab172730) (Black) isotype control and an unlabelled control (cells without incubation with primary antibody and secondary antibody) (Blue).

Goat Anti-Rabbit IgG (Alexa Fluor® 488, ab150081) at 1/5000 dilution was used as the secondary antibody.

Negative control : Neuro-2a.

Multiplex immunohistochemistry - Anti-CD34 antibody [EPR27431-71] (AB316277)
  • mIHC

Lab

Multiplex immunohistochemistry - Anti-CD34 antibody [EPR27431-71] (AB316277)

Immunohistochemistry analysis of Formalin/PFA-fixed paraffin-embedded sections mouse stomach tissue labelling Sodium/Hydrogen Exchanger 1/NHE-1 with ab322349 at 1/4000 dilution (B), CD34 with ab316277 at 1/10000 dilution (C) and Cathepsin E with ab322657 at 1/5000 dilution (D). Opal Polymer HRP Ms + Rb was used as a secondary antibody, and DAPI was used for a nuclear counter stain. Heat mediated antigen retrieval with Tris-EDTA buffer (pH 9.0, epitope retrieval solution2) for 20 mins.

Panel A : merged staining of anti-Sodium/Hydrogen Exchanger 1/NHE-1 (magenta; Opal™690), anti-CD34 (green; Opal™520) and anti-Cathepsin E (gray; Opal™570) on mouse stomach.

Panel B : anti-Sodium/Hydrogen Exchanger 1/NHE-1 showed membranous staining in epithelium of mouse stomach.

Panel C : anti-CD34 staining endothelium in mouse stomach.

Panel D : anti-Cathepsin E showed cytoplasmic staining in mouse stomach.

Nuclear DNA was labeled with DAPI (shown in blue).

The section was incubated in three rounds of staining : in the order of ab322349, ab316277 and ab322657 for 30 mins at room temperature. Each round was followed by a separate fluorescent tyramide signal amplification system.

The immunostaining was performed on a Leica Biosystems BOND® RX instrument with an Opal™ 4-color kit. Image acquisition was performed with Leica SP8 confocal microscope.

Immunohistochemistry (Formalin/PFA-fixed paraffin-embedded sections) - Anti-CD34 antibody [EPR27431-71] (AB316277)
  • IHC-P

Supplier Data

Immunohistochemistry (Formalin/PFA-fixed paraffin-embedded sections) - Anti-CD34 antibody [EPR27431-71] (AB316277)

Immunohistochemical analysis of paraffin-embedded Rat liver tissue labeling CD34 with ab316277 at 1/8000 (0.064 ug/ml) dilution, followed by a ready to use LeicaDS9800 (Bond™ Polymer Refine Detection).

Low expression tissue : weak staining on endothelial cells of rat liver. The section was incubated with ab316277 for 30 mins at room temperature.
The immunostaining was performed on a Leica Biosystems BOND® RX instrument. Incubate slides with 3% Hydrogen Peroxide for 10 mins at room temperature after secondary antibody incubation to reduce the background.

Counterstained with Hematoxylin.

Secondary antibody only control : Secondary antibody is a ready to use LeicaDS9800 (Bond™ Polymer Refine Detection).

Heat mediated antigen retrieval was performed with Tris-EDTA buffer (pH 9.0, Epitope Retrieval Solution2) for 20 mins.

Immunohistochemistry (Formalin/PFA-fixed paraffin-embedded sections) - Anti-CD34 antibody [EPR27431-71] (AB316277)
  • IHC-P

Supplier Data

Immunohistochemistry (Formalin/PFA-fixed paraffin-embedded sections) - Anti-CD34 antibody [EPR27431-71] (AB316277)

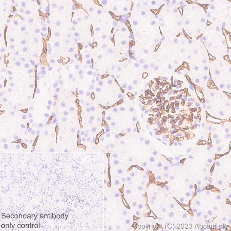
Immunohistochemical analysis of paraffin-embedded Mouse kidney tissue labeling CD34 with ab316277 at 1/8000 (0.064 ug/ml) dilution, followed by a ready to use LeicaDS9800 (Bond™ Polymer Refine Detection).

Positive staining on endothelial cells of mouse kidney. The section was incubated with ab316277 for 30 mins at room temperature.
The immunostaining was performed on a Leica Biosystems BOND® RX instrument. Incubate slides with 3% Hydrogen Peroxide for 10 mins at room temperature after secondary antibody incubation to reduce the background.

Counterstained with Hematoxylin.

Secondary antibody only control : Secondary antibody is a ready to use LeicaDS9800 (Bond™ Polymer Refine Detection).

Heat mediated antigen retrieval was performed with Tris-EDTA buffer (pH 9.0, Epitope Retrieval Solution2) for 20 mins.

Immunohistochemistry (Formalin/PFA-fixed paraffin-embedded sections) - Anti-CD34 antibody [EPR27431-71] (AB316277)
  • IHC-P

Supplier Data

Immunohistochemistry (Formalin/PFA-fixed paraffin-embedded sections) - Anti-CD34 antibody [EPR27431-71] (AB316277)

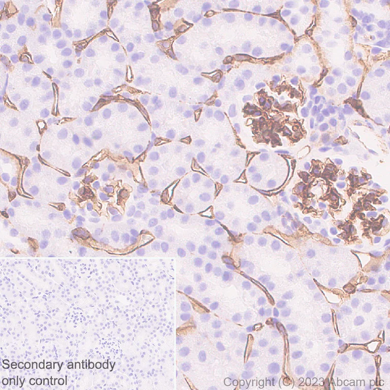
Immunohistochemical analysis of paraffin-embedded Rat kidney tissue labeling CD34 with ab316277 at 1/8000 (0.064 ug/ml) dilution, followed by a ready to use LeicaDS9800 (Bond™ Polymer Refine Detection).

Positive staining on endothelial cells of rat kidney. The section was incubated with ab316277 for 30 mins at room temperature.
The immunostaining was performed on a Leica Biosystems BOND® RX instrument. Incubate slides with 3% Hydrogen Peroxide for 10 mins at room temperature after secondary antibody incubation to reduce the background.

Counterstained with Hematoxylin.

Secondary antibody only control : Secondary antibody is a ready to use LeicaDS9800 (Bond™ Polymer Refine Detection).

Heat mediated antigen retrieval was performed with Tris-EDTA buffer (pH 9.0, Epitope Retrieval Solution2) for 20 mins.

Immunohistochemistry (Formalin/PFA-fixed paraffin-embedded sections) - Anti-CD34 antibody [EPR27431-71] (AB316277)
  • IHC-P

Supplier Data

Immunohistochemistry (Formalin/PFA-fixed paraffin-embedded sections) - Anti-CD34 antibody [EPR27431-71] (AB316277)

Immunohistochemical analysis of paraffin-embedded Mouse liver tissue labeling CD34 with ab316277 at 1/8000 (0.064 ug/ml) dilution, followed by a ready to use LeicaDS9800 (Bond™ Polymer Refine Detection).

Low expression tissue : weak staining on endothelial cells of mouse liver (PMID : 1709048). The section was incubated with ab316277 for 30 mins at room temperature.
The immunostaining was performed on a Leica Biosystems BOND® RX instrument. Incubate slides with 3% Hydrogen Peroxide for 10 mins at room temperature after secondary antibody incubation to reduce the background.

Counterstained with Hematoxylin.

Secondary antibody only control : Secondary antibody is a ready to use LeicaDS9800 (Bond™ Polymer Refine Detection).

Heat mediated antigen retrieval was performed with Tris-EDTA buffer (pH 9.0, Epitope Retrieval Solution2) for 20 mins.

Immunohistochemistry (Formalin/PFA-fixed paraffin-embedded sections) - Anti-CD34 antibody [EPR27431-71] (AB316277)
  • IHC-P

Supplier Data

Immunohistochemistry (Formalin/PFA-fixed paraffin-embedded sections) - Anti-CD34 antibody [EPR27431-71] (AB316277)

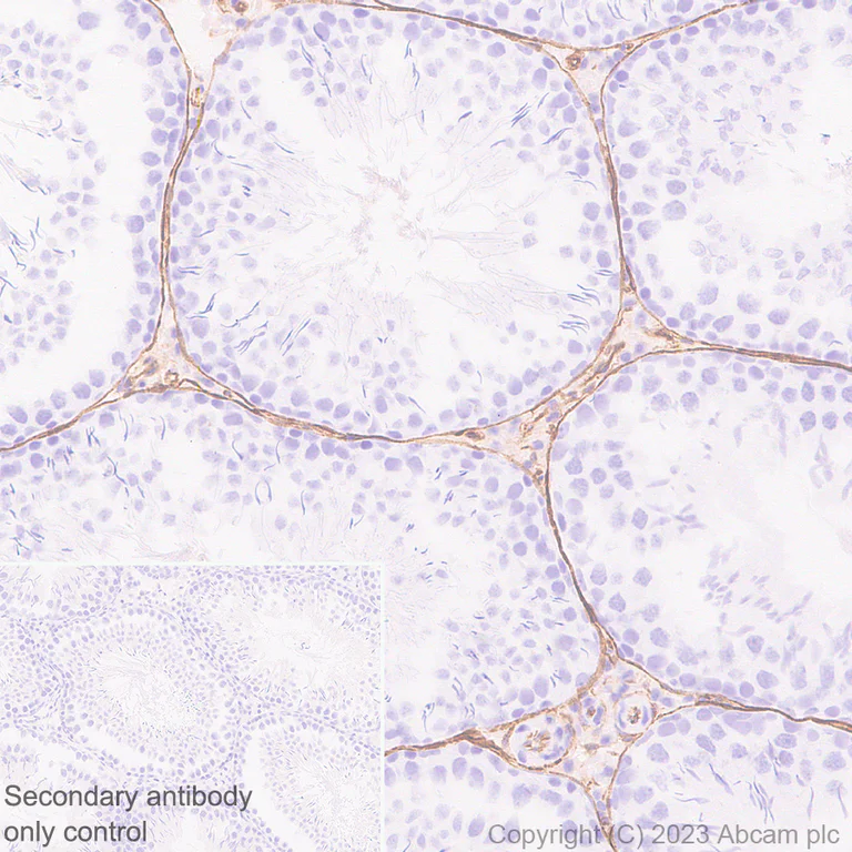
Immunohistochemical analysis of paraffin-embedded Rat testis tissue labeling CD34 with ab316277 at 1/8000 (0.064 ug/ml) dilution, followed by a ready to use LeicaDS9800 (Bond™ Polymer Refine Detection).

Positive staining on basement membrane of rat testis. The section was incubated with ab316277 for 30 mins at room temperature.
The immunostaining was performed on a Leica Biosystems BOND® RX instrument. Incubate slides with 3% Hydrogen Peroxide for 10 mins at room temperature after secondary antibody incubation to reduce the background.

Counterstained with Hematoxylin.

Secondary antibody only control : Secondary antibody is a ready to use LeicaDS9800 (Bond™ Polymer Refine Detection).

Heat mediated antigen retrieval was performed with Tris-EDTA buffer (pH 9.0, Epitope Retrieval Solution2) for 20 mins.

Immunohistochemistry (Formalin/PFA-fixed paraffin-embedded sections) - Anti-CD34 antibody [EPR27431-71] (AB316277)
  • IHC-P

Supplier Data

Immunohistochemistry (Formalin/PFA-fixed paraffin-embedded sections) - Anti-CD34 antibody [EPR27431-71] (AB316277)

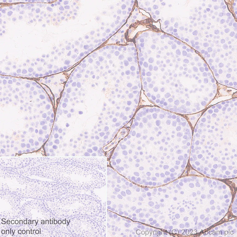
Immunohistochemical analysis of paraffin-embedded Mouse testis tissue labeling CD34 with ab316277 at 1/8000 (0.064 ug/ml) dilution, followed by a ready to use LeicaDS9800 (Bond™ Polymer Refine Detection).

Positive staining on basement membrane of mouse testis (PMID : 1709048). The section was incubated with ab316277 for 30 mins at room temperature. The immunostaining was performed on a Leica Biosystems BOND® RX instrument. Incubate slides with 3% Hydrogen Peroxide for 10 mins at room temperature after secondary antibody incubation to reduce the background.

Counterstained with Hematoxylin.

Secondary antibody only control : Secondary antibody is a ready to use LeicaDS9800 (Bond™ Polymer Refine Detection).

Heat mediated antigen retrieval was performed with Tris-EDTA buffer (pH 9.0, Epitope Retrieval Solution2) for 20 mins.

Immunohistochemistry (Formalin/PFA-fixed paraffin-embedded sections) - Anti-CD34 antibody [EPR27431-71] (AB316277)
  • IHC-P

Supplier Data

Immunohistochemistry (Formalin/PFA-fixed paraffin-embedded sections) - Anti-CD34 antibody [EPR27431-71] (AB316277)

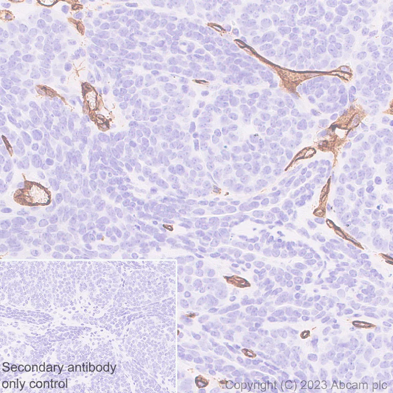
Immunohistochemical analysis of paraffin-embedded Mouse squamouse cell carcinoma tissue labeling CD34 with ab316277 at 1/8000 (0.064 ug/ml) dilution, followed by a ready to use LeicaDS9800 (Bond™ Polymer Refine Detection).

Positive staining on endothelial cells of mouse squamouse cell carcinoma. The section was incubated with ab316277 for 30 mins at room temperature.
The immunostaining was performed on a Leica Biosystems BOND® RX instrument. Incubate slides with 3% Hydrogen Peroxide for 10 mins at room temperature after secondary antibody incubation to reduce the background.

Counterstained with Hematoxylin.

Secondary antibody only control : Secondary antibody is a ready to use LeicaDS9800 (Bond™ Polymer Refine Detection).

Heat mediated antigen retrieval was performed with Tris-EDTA buffer (pH 9.0, Epitope Retrieval Solution2) for 20 mins.

Immunohistochemistry (Formalin/PFA-fixed paraffin-embedded sections) - Anti-CD34 antibody [EPR27431-71] (AB316277)
  • IHC-P

Supplier Data

Immunohistochemistry (Formalin/PFA-fixed paraffin-embedded sections) - Anti-CD34 antibody [EPR27431-71] (AB316277)

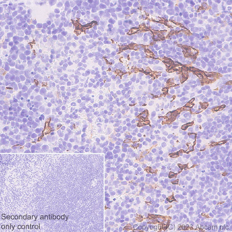
Immunohistochemical analysis of paraffin-embedded Mouse spleen tissue labeling CD34 with ab316277 at 1/8000 (0.064 ug/ml) dilution, followed by a ready to use LeicaDS9800 (Bond™ Polymer Refine Detection).

Positive staining on endothelial cells of mouse spleen (PMID : 1709048). The section was incubated with ab316277 for 30 mins at room temperature.
The immunostaining was performed on a Leica Biosystems BOND® RX instrument. Incubate slides with 3% Hydrogen Peroxide for 10 mins at room temperature after secondary antibody incubation to reduce the background.

Counterstained with Hematoxylin.

Secondary antibody only control : Secondary antibody is a ready to use LeicaDS9800 (Bond™ Polymer Refine Detection).

Heat mediated antigen retrieval was performed with Tris-EDTA buffer (pH 9.0, Epitope Retrieval Solution2) for 20 mins.

Immunohistochemistry (Formalin/PFA-fixed paraffin-embedded sections) - Anti-CD34 antibody [EPR27431-71] (AB316277)
  • IHC-P

Supplier Data

Immunohistochemistry (Formalin/PFA-fixed paraffin-embedded sections) - Anti-CD34 antibody [EPR27431-71] (AB316277)

Immunohistochemical analysis of paraffin-embedded Rat cerebrum tissue labeling CD34 with ab316277 at 1/8000 (0.064 ug/ml) dilution, followed by a ready to use LeicaDS9800 (Bond™ Polymer Refine Detection).

Positive staining on endothelial cells of rat cerebrum. The section was incubated with ab316277 for 30 mins at room temperature.
The immunostaining was performed on a Leica Biosystems BOND® RX instrument. Incubate slides with 3% Hydrogen Peroxide for 10 mins at room temperature after secondary antibody incubation to reduce the background.

Counterstained with Hematoxylin.

Secondary antibody only control : Secondary antibody is a ready to use LeicaDS9800 (Bond™ Polymer Refine Detection).

Heat mediated antigen retrieval was performed with Tris-EDTA buffer (pH 9.0, Epitope Retrieval Solution2) for 20 mins.

Immunocytochemistry/ Immunofluorescence - Anti-CD34 antibody [EPR27431-71] (AB316277)
  • ICC/IF

Supplier Data

Immunocytochemistry/ Immunofluorescence - Anti-CD34 antibody [EPR27431-71] (AB316277)

Immunofluorescent analysis of 4% Paraformaldehyde-fixed, 0.1% TritonX-100 permeabilized NIH/3T3 (mouse embryonic fibroblast) cells labelling CD34 with ab316277 at 1/100 (5.09 ug/ml) dilution, followed by ab150081 Goat Anti-Rabbit IgG H&L (Alexa Fluor® 488) preadsorbed antibody at 1/1000 (2 ug/ml) dilution (Green).

Confocal image showing membranous staining in NIH/3T3 cell line. Negative control : Neuro-2a. Image was taken with a confocal microscope(Leica-Microsystems, TCS SP8).

ab195889 Anti-alpha Tubulin mouse monoclonal antibody - Microtubule Marker (Alexa Fluor® 594) was used to counterstain tubulin at 1/200 (2.5ug/ml) dilution (Red). The Nuclear counterstain was DAPI (Blue).

Secondary antibody only control : Secondary antibody is ab150081 Goat Anti-Rabbit IgG H&L (Alexa Fluor® 488) preadsorbed at 1/1000 (2 ug/ml) dilution.

Western blot - Anti-CD34 antibody [EPR27431-71] (AB316277)
  • WB

Supplier Data

Western blot - Anti-CD34 antibody [EPR27431-71] (AB316277)

Low expression tissue : liver (PMID : 1709048).

The identity of the bands between 25 kDa and 37 kDa in lane 4 are unknown.

The lanes 2-4 were developed using a high sensitivity ECL substrate.

In Western blot, Anti-GAPDH antibody [EPR16891] - Loading Control (ab181602) staining at 1/200000 dilution.

Exposure time : Lane 1 : 59 seconds, lanes 2-4 : 180 seconds

All lanes:

Western blot - Anti-CD34 antibody [EPR27431-71] (ab316277) at 1/1000 dilution

Lane 1:

Mouse lung tissue lysate at 20 µg

Lane 2:

Mouse placenta tissue lysate at 20 µg

Lane 3:

Mouse testis tissue lysate at 20 µg

Lane 4:

Mouse liver tissue lysate at 20 µg

Secondary

All lanes:

Western blot - Goat Anti-Rabbit IgG H&L (HRP) (<a href='/en-us/products/secondary-antibodies/goat-rabbit-igg-h-l-hrp-ab97051'>ab97051</a>) at 1/100000 dilution

Observed band size: 80 kDa,36 kDa

true

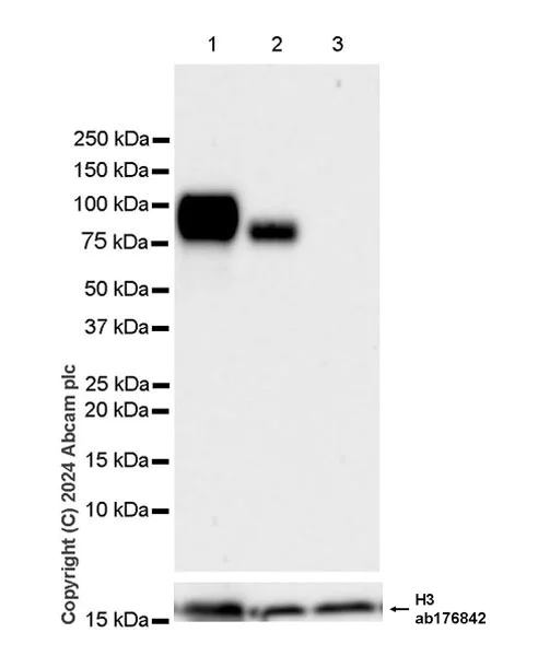
Western blot - Anti-CD34 antibody [EPR27431-71] (AB316277)
  • WB

Supplier Data

Western blot - Anti-CD34 antibody [EPR27431-71] (AB316277)

Negative control : Neuro-2a.

In Western blot, Anti-Histone H3 antibody [EPR16987] - Nuclear Marker and ChIP Grade (ab176842) staining at 1/100000 dilution.

All lanes:

Western blot - Anti-CD34 antibody [EPR27431-71] (ab316277) at 1/1000 dilution

Lane 1:

bEnd.3 (mouse brain endothelioma) whole cell lysate at 20 µg

Lane 2:

NIH/3T3 (mouse embryonic fibroblast) whole cell lysate at 20 µg

Lane 3:

Neuro-2a (mouse neuroblastoma neuroblast) whole cell lysate at 20 µg

Secondary

All lanes:

Western blot - Goat Anti-Rabbit IgG H&L (HRP) (<a href='/en-us/products/secondary-antibodies/goat-rabbit-igg-h-l-hrp-ab97051'>ab97051</a>) at 1/100000 dilution

Observed band size: 80 kDa,15 kDa

false

Exposure time: 59s

Western blot - Anti-CD34 antibody [EPR27431-71] (AB316277)
  • WB

Supplier Data

Western blot - Anti-CD34 antibody [EPR27431-71] (AB316277)

This antibody doesn't detect with de-glycosylated form of CD34.

In Western blot, Anti-GAPDH antibody [EPR16891] - Loading Control (ab181602) staining at 1/200000 dilution.

All lanes:

Western blot - Anti-CD34 antibody [EPR27431-71] (ab316277) at 1/1000 dilution

Lane 1:

Untreated NIH/3T3 (mouse embryonic fibroblast) whole cell lysate at 20 µg

Lane 2:

NIH/3T3 treated with Peptide:N-glycosidase F (PNGase F) whole cell lysate at 20 µg

Secondary

All lanes:

Western blot - Goat Anti-Rabbit IgG H&L (HRP) (<a href='/en-us/products/secondary-antibodies/goat-rabbit-igg-h-l-hrp-ab97051'>ab97051</a>) at 1/100000 dilution

Observed band size: 80 kDa,36 kDa

true

Exposure time: 180s

  • Carrier free

    Anti-CD34 antibody [EPR27431-71] - BSA and Azide free

  • 519 Alexa Fluor® 488

    Alexa Fluor® 488 Anti-CD34 antibody [EPR27431-71]

  • 578 PE

    PE Anti-CD34 antibody [EPR27431-71]

  • 665 Alexa Fluor® 647

    Alexa Fluor® 647 Anti-CD34 antibody [EPR27431-71]

  • 617 Alexa Fluor® 594

    Alexa Fluor® 594 Anti-CD34 antibody [EPR27431-71]

Key facts

Host species

Rabbit

Clonality

Monoclonal

Clone number

EPR27431-71

Isotype

IgG

Carrier free

No

Reacts with

Mouse, Rat

Applications

Flow Cyt, mIHC, ICC/IF, IHC-P, WB

applications

Immunogen

The exact immunogen used to generate this antibody is proprietary information.

Specificity

IHC-P showed non-specific staining on mouse cardiac muscle and mouse brain.

Reactivity data

{ "title": "Reactivity Data", "filters": { "stats": ["", "Species", "Dilution Info", "Notes"], "tabs": { "all-applications": {"fullname" : "All Applications", "shortname": "All Applications"}, "FlowCyt" : {"fullname" : "Flow Cytometry", "shortname":"Flow Cyt"}, "ICCIF" : {"fullname" : "Immunocytochemistry/ Immunofluorescence", "shortname":"ICC/IF"}, "IHCP" : {"fullname" : "Immunohistochemistry (Formalin/PFA-fixed paraffin-embedded sections)", "shortname":"IHC-P"}, "IP" : {"fullname" : "Immunoprecipitation", "shortname":"IP"}, "WB" : {"fullname" : "Western blot", "shortname":"WB"}, "mIHC" : {"fullname" : "Multiplex immunohistochemistry", "shortname":"mIHC"} }, "product-promise": { "all": "all", "testedAndGuaranteed": "tested", "guaranteed": "expected", "predicted": "predicted", "notRecommended": "not-recommended" } }, "values": { "Human": { "FlowCyt-species-checked": "notRecommended", "FlowCyt-species-dilution-info": "", "FlowCyt-species-notes": "", "ICCIF-species-checked": "notRecommended", "ICCIF-species-dilution-info": "", "ICCIF-species-notes": "", "IHCP-species-checked": "notRecommended", "IHCP-species-dilution-info": "", "IHCP-species-notes": "<p></p>", "IP-species-checked": "notRecommended", "IP-species-dilution-info": "", "IP-species-notes": "", "WB-species-checked": "notRecommended", "WB-species-dilution-info": "", "WB-species-notes": "<p></p>", "mIHC-species-checked": "notRecommended", "mIHC-species-dilution-info": "", "mIHC-species-notes": "" }, "Mouse": { "FlowCyt-species-checked": "testedAndGuaranteed", "FlowCyt-species-dilution-info": "1/500", "FlowCyt-species-notes": "<p></p>", "ICCIF-species-checked": "testedAndGuaranteed", "ICCIF-species-dilution-info": "1/100", "ICCIF-species-notes": "<p></p>", "IHCP-species-checked": "testedAndGuaranteed", "IHCP-species-dilution-info": "1/8000", "IHCP-species-notes": "<p></p> Perform heat-mediated antigen retrieval with Tris/EDTA buffer pH 9.0 before commencing with IHC staining protocol.", "IP-species-checked": "notRecommended", "IP-species-dilution-info": "", "IP-species-notes": "<p></p>", "WB-species-checked": "testedAndGuaranteed", "WB-species-dilution-info": "1/1000", "WB-species-notes": "<p></p>", "mIHC-species-checked": "testedAndGuaranteed", "mIHC-species-dilution-info": "1/10000", "mIHC-species-notes": "<p></p>" }, "Rat": { "FlowCyt-species-checked": "guaranteed", "FlowCyt-species-dilution-info": "", "FlowCyt-species-notes": "", "ICCIF-species-checked": "guaranteed", "ICCIF-species-dilution-info": "", "ICCIF-species-notes": "", "IHCP-species-checked": "testedAndGuaranteed", "IHCP-species-dilution-info": "1/8000", "IHCP-species-notes": "<p></p> Perform heat-mediated antigen retrieval with Tris/EDTA buffer pH 9.0 before commencing with IHC staining protocol.", "IP-species-checked": "notRecommended", "IP-species-dilution-info": "", "IP-species-notes": "", "WB-species-checked": "guaranteed", "WB-species-dilution-info": "", "WB-species-notes": "", "mIHC-species-checked": "guaranteed", "mIHC-species-dilution-info": "", "mIHC-species-notes": "" } } }

Product details

Patented technology
Our RabMAb® technology is a patented hybridoma-based technology for making rabbit monoclonal antibodies. For details on our patents, please refer to RabMAb® patents.

What are the advantages of a recombinant monoclonal antibody?
This product is a recombinant monoclonal antibody, which offers several advantages including:

  • - High batch-to-batch consistency and reproducibility
  • - Improved sensitivity and specificity
  • - Long-term security of supply
  • - Animal-free batch production

For more information, read more on recombinant antibodies.

Properties and storage information

Form
Liquid
Purification technique
Affinity purification Protein A
Storage buffer
pH: 7.2 - 7.4 Preservative: 0.01% Sodium azide Constituents: PBS, 40% Glycerol (glycerin, glycerine), 0.05% BSA
Shipped at conditions
Blue Ice
Appropriate short-term storage duration
1-2 weeks
Appropriate short-term storage conditions
+4°C
Appropriate long-term storage conditions
-20°C
Aliquoting information
Upon delivery aliquot
Storage information
Avoid freeze / thaw cycle

Product protocols

For this product, it's our understanding that no specific protocols are required. You can visit:

Target data

Possible adhesion molecule with a role in early hematopoiesis by mediating the attachment of stem cells to the bone marrow extracellular matrix or directly to stromal cells. Could act as a scaffold for the attachment of lineage specific glycans, allowing stem cells to bind to lectins expressed by stromal cells or other marrow components. Presents carbohydrate ligands to selectins (By similarity).
See full target information Cd34

Publications (2)

Recent publications for all applications. Explore the full list and refine your search

European journal of histochemistry : EJH 69: PubMed40984793

2025

miR-199a-5p inhibited HIF-1α to suppress the proliferation, migration, and differentiation of cardiac stem cells.

Applications

Unspecified application

Species

Unspecified reactive species

Sha Li,Cuigai Zhang,Yanping Liu,Cuiqiao Meng,Yang Xie,Shuren Li

Journal of extracellular vesicles 13:e12434 PubMed38634538

2024

Functional diversity of apoptotic vesicle subpopulations from bone marrow mesenchymal stem cells in tissue regeneration.

Applications

Unspecified application

Species

Unspecified reactive species

Xuanhao Zhang,Jian Yang,Shixing Ma,Xin Gao,Guanyu Wang,Yanping Sun,Yejia Yu,Zhuo Wang,Weidong Tian,Li Liao
View all publications

Product promise

We are committed to supporting your work with high-quality reagents, and we're here for you every step of the way. In the unlikely event that one of our products does not perform as expected, you're protected by our Product Promise.
For full details, please see our Terms & Conditions

Please note: All products are 'FOR RESEARCH USE ONLY. NOT FOR USE IN DIAGNOSTIC OR THERAPEUTIC PROCEDURES'.

For licensing inquiries, please contact partnerships@abcam.com