JavaScript is disabled in your browser. Please enable JavaScript to view this website.
AB315803

Anti-CD34 antibody [EPR27432-54] - BSA and Azide free

  • BOND RX™ Validated
  • Recombinant
  • Advanced Validation
  • RabMAb
  • What is this?

Be the first to review this product! Submit a review

|

(0 Publication)

Rabbit Recombinant Monoclonal CD34 antibody. Carrier free. Suitable for mIHC, ICC/IF, WB, IHC-P, Flow Cyt and reacts with Human samples.

View Alternative Names

CD34, Hematopoietic progenitor cell antigen CD34

14 Images
Multiplex immunohistochemistry - Anti-CD34 antibody [EPR27432-54] - BSA and Azide free (AB315803)
  • mIHC

Supplier Data

Multiplex immunohistochemistry - Anti-CD34 antibody [EPR27432-54] - BSA and Azide free (AB315803)

This data was developed using ab317582, the same antibody clone in a different buffer formulation.

Multiplex immunohistochemistry analysis of formalin/PFA-fixed paraffin-embedded human tonsil tissue staining eNOS with ab317582 at a 1 : 500 (1.032 ug/ml) dilution, ab315802 anti-CD34 used at 1 : 2000 (0.26 ug/ml) dilution.

Panel A : merged staining of anti-eNOS (magenta; Opal™520), anti-CD34 (green; Opal™570) on human tonsil.
Panel B : anti-eNOS staining endothelium in human tonsil.
Panel C : anti-CD34 staining endothelium in human tonsil.
Panel D : Nuclear DNA was labeled with DAPI (shown in blue).

The section was incubated in three rounds of staining : in the order of ab317582 and ab315802 for 30 mins at room temperature. Each round was followed by a separate fluorescent tyramide signal amplification system.

The immunostaining was performed on a Leica Biosystems BOND® RX instrument with an Opal™ 4-color kit. Image acquisition was performed with Leica SP8 confocal microscope.

Nuclear counter stain with DAPI.

Heat mediated antigen retrieval with Tris-EDTA buffer (pH 9.0, epitope retrieval solution2) for 20 mins.

Multiplex immunohistochemistry - Anti-CD34 antibody [EPR27432-54] - BSA and Azide free (AB315803)
  • mIHC

Supplier Data

Multiplex immunohistochemistry - Anti-CD34 antibody [EPR27432-54] - BSA and Azide free (AB315803)

This data was developed using ab315802, the same antibody clone in a different buffer formulation.

Immunohistochemistry (Formalin/PFA-fixed paraffin-embedded sections) analysis of human tonsil labelling eNOS with ab317582 at 1/500 (B) and CD34 with ab315802 at 1/2000 dilution (C). Opal Polymer HRP Ms + Rb was used as a secondary antibody. Heat mediated antigen retrieval with Tris-EDTA buffer (pH 9.0, epitope retrieval solution2) for 20 mins.

Panel A : merged staining of anti-eNOS (magenta; Opal™520), anti-CD34 (green; Opal™570) on human tonsil.

Panel B : anti-eNOS staining endothelium in human tonsil.

Panel C : anti-CD34 staining endothelium in human tonsil.

Panel D : Nuclear DNA was labeled with DAPI (shown in blue).

The section was incubated in three rounds of staining : in the order of ab317582 and ab315802 for 30 mins at room temperature. Each round was followed by a separate fluorescent tyramide signal amplification system.

The immunostaining was performed on a Leica Biosystems BOND® RX instrument with an Opal™ 4-color kit. Image acquisition was performed with Leica SP8 confocal microscope.

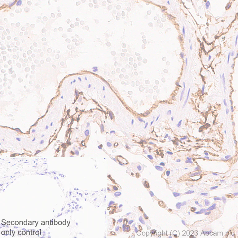
Immunohistochemistry (Formalin/PFA-fixed paraffin-embedded sections) - Anti-CD34 antibody [EPR27432-54] - BSA and Azide free (AB315803)
  • IHC-P

Supplier Data

Immunohistochemistry (Formalin/PFA-fixed paraffin-embedded sections) - Anti-CD34 antibody [EPR27432-54] - BSA and Azide free (AB315803)

This data was developed using ab315802, the same antibody clone in a different buffer formulation.

Immunohistochemical analysis of paraffin-embedded Human breast cancer tissue labeling CD34 with ab315802 at 1/2000 (0.262 ug/ml) dilution, followed by a ready to use LeicaDS9800 (Bond™ Polymer Refine Detection).

Positive staining on endothelium of human breast cancer (PMID : 25803686). The section was incubated with ab315802 for 30 mins at room temperature.
The immunostaining was performed on a Leica Biosystems BOND® RX instrument

Counterstained with Hematoxylin.

Secondary antibody only control : Secondary antibody is a ready to use LeicaDS9800 (Bond™ Polymer Refine Detection).

Heat mediated antigen retrieval was performed with Tris-EDTA buffer (pH 9.0, Epitope Retrieval Solution2) for 20 mins

Multiplex immunohistochemistry - Anti-CD34 antibody [EPR27432-54] - BSA and Azide free (AB315803)
  • mIHC

Supplier Data

Multiplex immunohistochemistry - Anti-CD34 antibody [EPR27432-54] - BSA and Azide free (AB315803)

This data was developed using ab315802, the same antibody clone in a different buffer formulation.

Immunohistochemistry (Formalin/PFA-fixed paraffin-embedded sections) analysis of human liver labelling eNOS with ab317582 at 1/500 (B) and CD34 with ab315802 at 1/2000 dilution (C). Opal Polymer HRP Ms + Rb was used as a secondary antibody. Heat mediated antigen retrieval with Tris-EDTA buffer (pH 9.0, epitope retrieval solution2) for 20 mins.

Panel A : merged staining of anti-eNOS (magenta; Opal™520), anti-CD34 (green; Opal™570) on human liver.

Panel B : anti-eNOS staining endothelium in human liver.

Panel C : anti-CD34 staining endothelium in human liver.

Panel D : Nuclear DNA was labeled with DAPI (shown in blue).

The section was incubated in three rounds of staining : in the order of ab317582 and ab315802 for 30 mins at room temperature. Each round was followed by a separate fluorescent tyramide signal amplification system.

The immunostaining was performed on a Leica Biosystems BOND® RX instrument with an Opal™ 4-color kit. Image acquisition was performed with Leica SP8 confocal microscope.

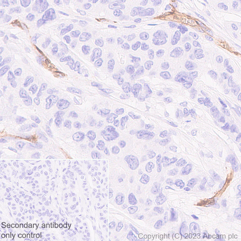
Immunohistochemistry (Formalin/PFA-fixed paraffin-embedded sections) - Anti-CD34 antibody [EPR27432-54] - BSA and Azide free (AB315803)
  • IHC-P

Supplier Data

Immunohistochemistry (Formalin/PFA-fixed paraffin-embedded sections) - Anti-CD34 antibody [EPR27432-54] - BSA and Azide free (AB315803)

This data was developed using ab315802, the same antibody clone in a different buffer formulation.

Immunohistochemical analysis of paraffin-embedded Human lung tissue labeling CD34 with ab315802 at 1/2000 (0.262 ug/ml) dilution, followed by a ready to use LeicaDS9800 (Bond™ Polymer Refine Detection).

Positive staining on endothelium of human lung (PMID : 16234507). The section was incubated with ab315802 for 30 mins at room temperature.
The immunostaining was performed on a Leica Biosystems BOND® RX instrument

Counterstained with Hematoxylin.

Secondary antibody only control : Secondary antibody is a ready to use LeicaDS9800 (Bond™ Polymer Refine Detection).

Heat mediated antigen retrieval was performed with Tris-EDTA buffer (pH 9.0, Epitope Retrieval Solution2) for 20 mins

Multiplex immunohistochemistry - Anti-CD34 antibody [EPR27432-54] - BSA and Azide free (AB315803)
  • mIHC

Supplier Data

Multiplex immunohistochemistry - Anti-CD34 antibody [EPR27432-54] - BSA and Azide free (AB315803)

This data was developed using ab315802, the same antibody clone in a different buffer formulation.

Immunohistochemistry (Formalin/PFA-fixed paraffin-embedded sections) analysis of human stomach labelling eNOS with ab317582 at 1/500 (B) and CD34 with ab315802 at 1/2000 dilution (C). Opal Polymer HRP Ms + Rb was used as a secondary antibody. Heat mediated antigen retrieval with Tris-EDTA buffer (pH 9.0, epitope retrieval solution2) for 20 mins.

Panel A : merged staining of anti-eNOS (magenta; Opal™520), anti-CD34 (green; Opal™570) on human stomach.
Panel B : anti-eNOS staining endothelium in human stomach.
Panel C : anti-CD34 staining endothelium in human stomach.
Panel D : Nuclear DNA was labeled with DAPI (shown in blue).

The section was incubated in three rounds of staining : in the order of ab317582 and ab315802 for 30 mins at room temperature. Each round was followed by a separate fluorescent tyramide signal amplification system.
The immunostaining was performed on a Leica Biosystems BOND® RX instrument with an Opal™ 4-color kit. Image acquisition was performed with Leica SP8 confocal microscope.

Multiplex immunohistochemistry - Anti-CD34 antibody [EPR27432-54] - BSA and Azide free (AB315803)
  • mIHC

Supplier Data

Multiplex immunohistochemistry - Anti-CD34 antibody [EPR27432-54] - BSA and Azide free (AB315803)

This data was developed using ab315802, the same antibody clone in a different buffer formulation.

Immunohistochemistry (Formalin/PFA-fixed paraffin-embedded sections) analysis of human endometrium labelling eNOS with ab317582 at 1/500 (B) and CD34 with ab315802 at 1/2000 dilution (C). Opal Polymer HRP Ms + Rb was used as a secondary antibody. Heat mediated antigen retrieval with Tris-EDTA buffer (pH 9.0, epitope retrieval solution2) for 20 mins.

Panel A : merged staining of anti-eNOS (magenta; Opal™520), anti-CD34 (green; Opal™570) on human endometrium.
Panel B : anti-eNOS staining endothelium in human endometrium.
Panel C : anti-CD34 staining endothelium in human endometrium.
Panel D : Nuclear DNA was labeled with DAPI (shown in blue).

The section was incubated in three rounds of staining : in the order of ab317582 and ab315802 for 30 mins at room temperature. Each round was followed by a separate fluorescent tyramide signal amplification system.
The immunostaining was performed on a Leica Biosystems BOND® RX instrument with an Opal™ 4-color kit. Image acquisition was performed with Leica SP8 confocal microscope.

The section was incubated in three rounds of staining : in the order of ab317582 and ab315802 for 30 mins at room temperature. Each round was followed by a separate fluorescent tyramide signal amplification system.
The immunostaining was performed on a Leica Biosystems BOND® RX instrument with an Opal™ 4-color kit. Image acquisition was performed with Leica SP8 confocal microscope.

Immunocytochemistry/ Immunofluorescence - Anti-CD34 antibody [EPR27432-54] - BSA and Azide free (AB315803)
  • ICC/IF

Supplier Data

Immunocytochemistry/ Immunofluorescence - Anti-CD34 antibody [EPR27432-54] - BSA and Azide free (AB315803)

This data was developed using ab315802, the same antibody clone in a different buffer formulation.

Immunofluorescent analysis of 4% Paraformaldehyde-fixed, 0.1% TritonX-100 permeabilized KG-1a (human bone marrow myeloblast) cells labelling CD34 with ab315802 at 1/500 (1.048 ug/ml) dilution, followed by ab150081 Goat Anti-Rabbit IgG H&L (Alexa Fluor® 488) preadsorbed antibody at 1/1000 2 ug/ml dilution (Green).

Confocal image showing membranous staining in KG-1a cell line.
Negative control : Daudi (PMID : 10942240)
Image was taken with a confocal microscope(Leica-Microsystems, TCS SP8).

ab195889 Anti-alpha Tubulin mouse monoclonal antibody - Microtubule Marker (Alexa Fluor® 594) was used to counterstain tubulin at 1/200 2.5ug/ml dilution (Red). The Nuclear counterstain was DAPI (Blue).

Secondary antibody only control : Secondary antibody is ab150081 Goat Anti-Rabbit IgG H&L (Alexa Fluor® 488) preadsorbed at 1/1000 2 ug/ml dilution.

Flow Cytometry - Anti-CD34 antibody [EPR27432-54] - BSA and Azide free (AB315803)
  • Flow Cyt

Supplier Data

Flow Cytometry - Anti-CD34 antibody [EPR27432-54] - BSA and Azide free (AB315803)

This data was developed using ab315802, the same antibody clone in a different buffer formulation.

Flow cytometric analysis of Daudi (human Burkitt's lymphoma lymphoblast, Left) / KG-1a (human bone marrow myeloblast, Right) cells labelling CD34 with ab315802 at 1/500 dilution (0.1 ug)/Red compared with a Rabbit monoclonal IgG (ab172730) (Black) isotype control and an unlabelled control (cells without incubation with primary antibody and secondary antibody) (Blue).

Goat Anti-Rabbit IgG (Alexa Fluor® 488, ab150081) at 1/5000 dilution was used as the secondary antibody.

Negative control : Daudi (PMID : 21286385, 10942240). Gated on viable cells.

Multiplex immunohistochemistry - Anti-CD34 antibody [EPR27432-54] - BSA and Azide free (AB315803)
  • mIHC

Supplier Data

Multiplex immunohistochemistry - Anti-CD34 antibody [EPR27432-54] - BSA and Azide free (AB315803)

This data was developed using ab317582, the same antibody clone in a different buffer formulation.

Multiplex immunohistochemistry analysis of formalin/PFA-fixed paraffin-embedded human liver tissue staining eNOS with ab317582 at a 1 : 500 (1.032 ug/ml) dilution, ab315802 anti-CD34 used at 1 : 2000 (0.26 ug/ml) dilution.

Panel A : merged staining of anti-eNOS (magenta; Opal™520), anti-CD34 (green; Opal™570) on human liver.
Panel B : anti-eNOS staining endothelium in human liver.
Panel C : anti-CD34 staining endothelium in human liver.
Panel D : Nuclear DNA was labeled with DAPI (shown in blue).

The section was incubated in three rounds of staining : in the order of ab317582 and ab315802 for 30 mins at room temperature. Each round was followed by a separate fluorescent tyramide signal amplification system.

The immunostaining was performed on a Leica Biosystems BOND® RX instrument with an Opal™ 4-color kit. Image acquisition was performed with Leica SP8 confocal microscope.

Nuclear counter stain with DAPI.

Heat mediated antigen retrieval with Tris-EDTA buffer (pH 9.0, epitope retrieval solution2) for 20 mins.

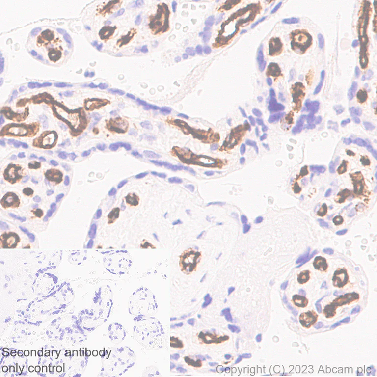
Immunohistochemistry (Formalin/PFA-fixed paraffin-embedded sections) - Anti-CD34 antibody [EPR27432-54] - BSA and Azide free (AB315803)
  • IHC-P

Supplier Data

Immunohistochemistry (Formalin/PFA-fixed paraffin-embedded sections) - Anti-CD34 antibody [EPR27432-54] - BSA and Azide free (AB315803)

This data was developed using ab315802, the same antibody clone in a different buffer formulation.

Immunohistochemical analysis of paraffin-embedded Human placenta tissue labeling CD34 with ab315802 at 1/2000 (0.262 ug/ml) dilution, followed by a ready to use LeicaDS9800 (Bond™ Polymer Refine Detection).

Positive staining on endothelium of human placenta. The section was incubated with ab315802 for 30 mins at room temperature.
The immunostaining was performed on a Leica Biosystems BOND® RX instrument

Counterstained with Hematoxylin.

Secondary antibody only control : Secondary antibody is a ready to use LeicaDS9800 (Bond™ Polymer Refine Detection).

Heat mediated antigen retrieval was performed with Tris-EDTA buffer (pH 9.0, Epitope Retrieval Solution2) for 20 mins

Multiplex immunohistochemistry - Anti-CD34 antibody [EPR27432-54] - BSA and Azide free (AB315803)
  • mIHC

Lab

Multiplex immunohistochemistry - Anti-CD34 antibody [EPR27432-54] - BSA and Azide free (AB315803)

This data was developed using ab315802, the same antibody clone in a different buffer formulation.

Multiplex immunohistochemistry analysis of formalin/PFA-fixed paraffin-embedded human placenta tissue staining CD68 with ab213363 at a 1/500 dilution, ab315802 anti-CD34 used at 1/2000 dilution and ab255296 anti-CD177 used at a 1/2000 dilution.

Panel A : merged staining of anti-CD68 (green; Opal™520), anti-CD34 (magenta; Opal™690) and anti-CD177 (gray; Opal™570) on human placenta.

Panel B : anti-CD68 staining macrophages in human placenta.

Panel C : ant-CD34 staining endothelium in human placenta.

Panel D : ant-CD177 staining neutrophils in human placenta.

Nuclear DNA was labeled with DAPI (shown in blue).

The section was incubated in three rounds of staining : in the order of ab213363, ab315802 and ab255296 for 30 mins at room temperature. Each round was followed by a separate fluorescent tyramide signal amplification system.

The immunostaining was performed on a Leica Biosystems BOND® RX instrument with an Opal™ 4-color kit. Image acquisition was performed with Leica SP8 confocal microscope.

Heat mediated antigen retrieval with Tris-EDTA buffer (pH 9.0, epitope retrieval solution 2) for 20 mins.

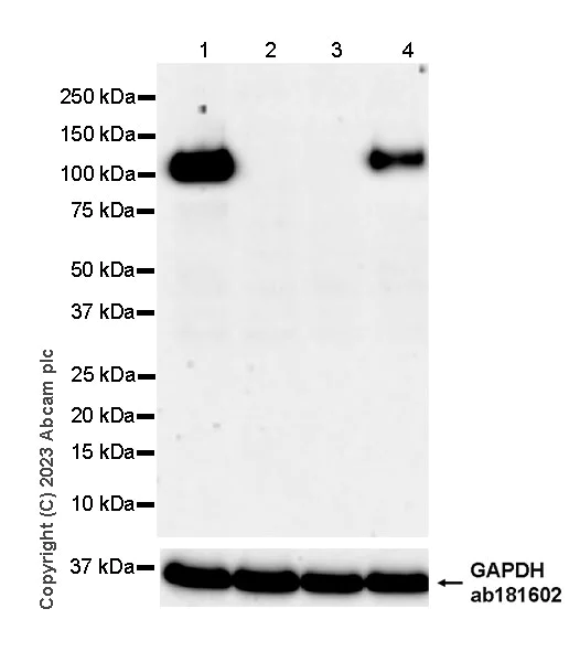
Western blot - Anti-CD34 antibody [EPR27432-54] - BSA and Azide free (AB315803)
  • WB

Supplier Data

Western blot - Anti-CD34 antibody [EPR27432-54] - BSA and Azide free (AB315803)

This data was developed using ab315802, the same antibody clone in a different buffer formulation.

Blocking and diluting buffer and concentration : 5% NFDM/TBST.

Negative control : Daudi (PMID : 21286385, 10942240), HuT-78.

The molecular weight observed is consistent with what has been described in the literature (PMID : 37181754, 29296932).

In Western blot, Anti-GAPDH antibody [EPR16891] - Loading Control (ab181602) staining at 1/200000 dilution.

All lanes:

Western blot - Anti-CD34 antibody [EPR27432-54] (<a href='/en-us/products/primary-antibodies/cd34-antibody-epr27432-54-ab315802'>ab315802</a>) at 1/1000 dilution

Lane 1:

KG-1a (human bone marrow myeloblast) whole cell lysate at 20 µg with NFDM/TBST

Lane 2:

Daudi (human Burkitts lymphoma lymphoblast) whole cell lysate at 20 µg with NFDM/TBST

Lane 3:

HuT-78 (human Sezary syndrome cutaneous T lymphocyte) whole cell lysate at 20 µg with NFDM/TBST

Lane 4:

TF-1 (human erythroleukemia erythroblast) whole cell lysate at 20 µg with NFDM/TBST

Secondary

All lanes:

Western blot - Goat Anti-Rabbit IgG H&L (HRP) (<a href='/en-us/products/secondary-antibodies/goat-rabbit-igg-h-l-hrp-ab97051'>ab97051</a>) at 1/100000 dilution

Observed band size: 120 kDa,36 kDa

true

Exposure time: 81s

Western blot - Anti-CD34 antibody [EPR27432-54] - BSA and Azide free (AB315803)
  • WB

Supplier Data

Western blot - Anti-CD34 antibody [EPR27432-54] - BSA and Azide free (AB315803)

This data was developed using ab315802, the same antibody clone in a different buffer formulation.

Blocking and diluting buffer and concentration : 5% NFDM/TBST.

The molecular weight observed is consistent with what has been described in the literature (PMID : 37181754, 29296932).

CD34 is a glycoprotein of approximately 120 kDa and detected as a 80-90 kDa band after treated with Protein Deglycosylation Peptide : N-glycosidase F (PNGase F).

In Western blot, Anti-GAPDH antibody [EPR16891] - Loading Control (ab181602) staining at 1/200000 dilution.

All lanes:

Western blot - Anti-CD34 antibody [EPR27432-54] (<a href='/en-us/products/primary-antibodies/cd34-antibody-epr27432-54-ab315802'>ab315802</a>) at 1/1000 dilution

Lane 1:

Untreated human lung tissue lysate at 20 µg with NFDM/TBST

Lane 2:

Human lung tissue lysate treated with Protein Deglycosylation Peptide: N-glycosidase F (PNGase F) at 20 µg with NFDM/TBST

Lane 3:

Untreated human placenta tissue lysate at 20 µg with NFDM/TBST

Lane 4:

Human placenta tissue lysate treated with Protein Deglycosylation Peptide: N-glycosidase F (PNGase F) at 20 µg with NFDM/TBST

Secondary

All lanes:

Western blot - Goat Anti-Rabbit IgG H&L (HRP) (<a href='/en-us/products/secondary-antibodies/goat-rabbit-igg-h-l-hrp-ab97051'>ab97051</a>) at 1/100000 dilution

Observed band size: 120 kDa,36 kDa

false

Exposure time: 180s

Key facts

Host species

Rabbit

Clonality

Monoclonal

Clone number

EPR27432-54

Isotype

IgG

Carrier free

Yes

Reacts with

Human

Applications

IHC-P, Flow Cyt, mIHC, WB, ICC/IF

applications

Immunogen

The exact immunogen used to generate this antibody is proprietary information.

Reactivity data

{ "title": "Reactivity Data", "filters": { "stats": ["", "Species", "Dilution Info", "Notes"], "tabs": { "all-applications": {"fullname" : "All Applications", "shortname": "All Applications"}, "mIHC" : {"fullname" : "Multiplex immunohistochemistry", "shortname":"mIHC"}, "ICCIF" : {"fullname" : "Immunocytochemistry/ Immunofluorescence", "shortname":"ICC/IF"}, "WB" : {"fullname" : "Western blot", "shortname":"WB"}, "IHCP" : {"fullname" : "Immunohistochemistry (Formalin/PFA-fixed paraffin-embedded sections)", "shortname":"IHC-P"}, "FlowCyt" : {"fullname" : "Flow Cytometry", "shortname":"Flow Cyt"}, "IP" : {"fullname" : "Immunoprecipitation", "shortname":"IP"} }, "product-promise": { "all": "all", "testedAndGuaranteed": "tested", "guaranteed": "expected", "predicted": "predicted", "notRecommended": "not-recommended" } }, "values": { "Human": { "mIHC-species-checked": "testedAndGuaranteed", "mIHC-species-dilution-info": "", "mIHC-species-notes": "<p></p>", "ICCIF-species-checked": "testedAndGuaranteed", "ICCIF-species-dilution-info": "", "ICCIF-species-notes": "<p></p>", "WB-species-checked": "testedAndGuaranteed", "WB-species-dilution-info": "", "WB-species-notes": "<p></p>", "IHCP-species-checked": "testedAndGuaranteed", "IHCP-species-dilution-info": "", "IHCP-species-notes": "<p></p>", "FlowCyt-species-checked": "testedAndGuaranteed", "FlowCyt-species-dilution-info": "", "FlowCyt-species-notes": "<p></p>", "IP-species-checked": "notRecommended", "IP-species-dilution-info": "", "IP-species-notes": "<p></p>" }, "Mouse": { "mIHC-species-checked": "notRecommended", "mIHC-species-dilution-info": "", "mIHC-species-notes": "", "ICCIF-species-checked": "notRecommended", "ICCIF-species-dilution-info": "", "ICCIF-species-notes": "", "WB-species-checked": "notRecommended", "WB-species-dilution-info": "", "WB-species-notes": "<p></p>", "IHCP-species-checked": "notRecommended", "IHCP-species-dilution-info": "", "IHCP-species-notes": "<p></p>", "FlowCyt-species-checked": "notRecommended", "FlowCyt-species-dilution-info": "", "FlowCyt-species-notes": "", "IP-species-checked": "notRecommended", "IP-species-dilution-info": "", "IP-species-notes": "" }, "Rat": { "mIHC-species-checked": "notRecommended", "mIHC-species-dilution-info": "", "mIHC-species-notes": "", "ICCIF-species-checked": "notRecommended", "ICCIF-species-dilution-info": "", "ICCIF-species-notes": "", "WB-species-checked": "notRecommended", "WB-species-dilution-info": "", "WB-species-notes": "<p></p>", "IHCP-species-checked": "notRecommended", "IHCP-species-dilution-info": "", "IHCP-species-notes": "<p></p>", "FlowCyt-species-checked": "notRecommended", "FlowCyt-species-dilution-info": "", "FlowCyt-species-notes": "", "IP-species-checked": "notRecommended", "IP-species-dilution-info": "", "IP-species-notes": "" } } }

Product details

ab315803 is the carrier-free version of ab315802.

Patented technology
Our RabMAb® technology is a patented hybridoma-based technology for making rabbit monoclonal antibodies. For details on our patents, please refer to RabMAb® patents.

What are the advantages of a recombinant monoclonal antibody?
This product is a recombinant monoclonal antibody, which offers several advantages including:

  • - High batch-to-batch consistency and reproducibility
  • - Improved sensitivity and specificity
  • - Long-term security of supply
  • - Animal-free batch production

For more information, read more on recombinant antibodies.

Conjugation ready
Our carrier-free antibodies are typically supplied in a PBS-only formulation, purified and free of BSA, sodium azide and glycerol. This conjugation-ready format is designed for use with fluorochromes, metal isotopes, oligonucleotides, and enzymes, which makes them ideal for antibody labelling, functional and cell-based assays, flow-based assays (e.g. mass cytometry) and Multiplex Imaging applications.

Use our conjugation kits for antibody conjugates that are ready-to-use in as little as 20 minutes with 1 minute hands-on-time and 100% antibody recovery: available for fluorescent dyes, HRP, biotin and gold.

Compatibility
This product is compatible with the Maxpar® Antibody Labeling Kit from Fluidigm, without the need for antibody preparation. Maxpar® is a trademark of Fluidigm Canada Inc.

Properties and storage information

Form
Liquid
Purification technique
Affinity purification Protein A
Storage buffer
pH: 7.2 - 7.4 Constituents: PBS
Shipped at conditions
Blue Ice
Appropriate short-term storage conditions
+4°C
Appropriate long-term storage conditions
+4°C

Product protocols

For this product, it's our understanding that no specific protocols are required. You can visit:

Target data

Possible adhesion molecule with a role in early hematopoiesis by mediating the attachment of stem cells to the bone marrow extracellular matrix or directly to stromal cells. Could act as a scaffold for the attachment of lineage specific glycans, allowing stem cells to bind to lectins expressed by stromal cells or other marrow components. Presents carbohydrate ligands to selectins.
See full target information CD34

Product promise

We are committed to supporting your work with high-quality reagents, and we're here for you every step of the way. In the unlikely event that one of our products does not perform as expected, you're protected by our Product Promise.
For full details, please see our Terms & Conditions

Please note: All products are 'FOR RESEARCH USE ONLY. NOT FOR USE IN DIAGNOSTIC OR THERAPEUTIC PROCEDURES'.

For licensing inquiries, please contact partnerships@abcam.com