JavaScript is disabled in your browser. Please enable JavaScript to view this website.
AB247928

Anti-CD34 antibody [EPR2999] - BSA and Azide free

Be the first to review this product! Submit a review

|

(0 Publication)

Rabbit Recombinant Monoclonal CD34 antibody. Carrier free. Suitable for IHC-P, IP, WB and reacts with Human samples.

View Alternative Names

CD34, Hematopoietic progenitor cell antigen CD34

4 Images
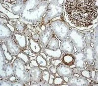
Immunohistochemistry (Formalin/PFA-fixed paraffin-embedded sections) - Anti-CD34 antibody [EPR2999] - BSA and Azide free (AB247928)
  • IHC-P

Unknown

Immunohistochemistry (Formalin/PFA-fixed paraffin-embedded sections) - Anti-CD34 antibody [EPR2999] - BSA and Azide free (AB247928)

This data was developed using ab110643, the same antibody clone in a different buffer formulation.

ab110643, at 1/100, staining CD34 in paraffin-embedded Human kidney tissue by Immunohistochemistry.

Perform heat mediated antigen retrieval with citrate buffer pH 6 before commencing with IHC staining protocol.

Immunohistochemistry (Formalin/PFA-fixed paraffin-embedded sections) - Anti-CD34 antibody [EPR2999] - BSA and Azide free (AB247928)
  • IHC-P

Unknown

Immunohistochemistry (Formalin/PFA-fixed paraffin-embedded sections) - Anti-CD34 antibody [EPR2999] - BSA and Azide free (AB247928)

This data was developed using ab110643, the same antibody clone in a different buffer formulation.

ab110643, at 1/100, staining CD34 in paraffin-embedded Human tonsil tissue by Immunohistochemistry.

Perform heat mediated antigen retrieval with citrate buffer pH 6 before commencing with IHC staining protocol.

Western blot - Anti-CD34 antibody [EPR2999] - BSA and Azide free (AB247928)
  • WB

Unknown

Western blot - Anti-CD34 antibody [EPR2999] - BSA and Azide free (AB247928)

This data was developed using ab110643, the same antibody clone in a different buffer formulation.

All lanes:

Western blot - Anti-CD34 antibody [EPR2999] (<a href='/en-us/products/primary-antibodies/cd34-antibody-epr2999-ab110643'>ab110643</a>) at 1/50000 dilution

Lane 1:

Human bone marrow tissue lysate at 10 µg

Lane 2:

TF-1 cell lysate at 10 µg

Secondary

All lanes:

Goat anti-rabbit HRP conjugated antibody at 1/2000 dilution

Predicted band size: 40 kDa

Observed band size: 120 kDa

false

Western blot - Anti-CD34 antibody [EPR2999] - BSA and Azide free (AB247928)
  • WB

Lab

Western blot - Anti-CD34 antibody [EPR2999] - BSA and Azide free (AB247928)

This data was developed using ab110643, the same antibody clone in a different buffer formulation.

Blocking and diluting buffer and concentration : 5% NFDM/TBST.

Negative control : Daudi, HL-60.
Low expression : HUVEC (PMID : 28994769, PMID : 19364973, and PMID : 39281105).

All lanes:

Western blot - Anti-CD34 antibody [EPR2999] (<a href='/en-us/products/primary-antibodies/cd34-antibody-epr2999-ab110643'>ab110643</a>) at 1/10000 dilution

Lane 1:

KG-1a (human bone marrow myeloblast) whole cell lysate at 20 µg

Lane 2:

TF-1 (human erythroleukemia erythroblast) whole cell lysate at 20 µg

Lane 3:

Daudi (human Burkitts lymphoma lymphoblast) whole cell lysate at 20 µg

Lane 4:

HL-60 (Human acute promyelocytic leukemia promyeloblast) whole cell lysate at 20 µg

Lane 5:

HUVEC (Human umbilical vein endothelial cell) whole cell lysate at 20 µg

Secondary

All lanes:

Western blot - Goat Anti-Rabbit IgG H&L (HRP) (<a href='/en-us/products/secondary-antibodies/goat-rabbit-igg-h-l-hrp-ab97051'>ab97051</a>) at 1/100000 dilution

Observed band size: 80-120 kDa

false

Exposure time: 5s

Key facts

Host species

Rabbit

Clonality

Monoclonal

Clone number

EPR2999

Isotype

IgG

Carrier free

Yes

Reacts with

Human

Applications

IHC-P, IP, WB

applications

Immunogen

The exact immunogen used to generate this antibody is proprietary information.

Reactivity data

{ "title": "Reactivity Data", "filters": { "stats": ["", "Species", "Dilution Info", "Notes"], "tabs": { "all-applications": {"fullname" : "All Applications", "shortname": "All Applications"}, "IHCP" : {"fullname" : "Immunohistochemistry (Formalin/PFA-fixed paraffin-embedded sections)", "shortname":"IHC-P"}, "IP" : {"fullname" : "Immunoprecipitation", "shortname":"IP"}, "WB" : {"fullname" : "Western blot", "shortname":"WB"} }, "product-promise": { "all": "all", "testedAndGuaranteed": "tested", "guaranteed": "expected", "predicted": "predicted", "notRecommended": "not-recommended" } }, "values": { "Human": { "IHCP-species-checked": "testedAndGuaranteed", "IHCP-species-dilution-info": "", "IHCP-species-notes": "<p></p>", "IP-species-checked": "guaranteed", "IP-species-dilution-info": "", "IP-species-notes": "<p></p>", "WB-species-checked": "testedAndGuaranteed", "WB-species-dilution-info": "", "WB-species-notes": "<p></p>" } } }

Product details

ab247928 is the carrier-free version of ab110643.

Species reactivity
Mouse, Rat: We have preliminary internal testing data to indicate this antibody may not react with these species.
Please contact us for more information.

Patented technology
Our RabMAb® technology is a patented hybridoma-based technology for making rabbit monoclonal antibodies. For details on our patents, please refer to RabMAb® patents.

What are the advantages of a recombinant monoclonal antibody?
This product is a recombinant monoclonal antibody, which offers several advantages including:

  • - High batch-to-batch consistency and reproducibility
  • - Improved sensitivity and specificity
  • - Long-term security of supply
  • - Animal-free batch production

For more information, read more on recombinant antibodies.

Conjugation ready
Our carrier-free antibodies are typically supplied in a PBS-only formulation, purified and free of BSA, sodium azide and glycerol. This conjugation-ready format is designed for use with fluorochromes, metal isotopes, oligonucleotides, and enzymes, which makes them ideal for antibody labelling, functional and cell-based assays, flow-based assays (e.g. mass cytometry) and Multiplex Imaging applications.

Use our conjugation kits for antibody conjugates that are ready-to-use in as little as 20 minutes with 1 minute hands-on-time and 100% antibody recovery: available for fluorescent dyes, HRP, biotin and gold.

Compatibility
This product is compatible with the Maxpar® Antibody Labeling Kit from Fluidigm, without the need for antibody preparation. Maxpar® is a trademark of Fluidigm Canada Inc.

Properties and storage information

Form
Liquid
Purification technique
Affinity purification Protein A
Storage buffer
pH: 7.2 - 7.4 Constituents: PBS
Shipped at conditions
Blue Ice
Appropriate short-term storage conditions
+4°C
Appropriate long-term storage conditions
+4°C
Storage information
Do Not Freeze

Product protocols

For this product, it's our understanding that no specific protocols are required. You can visit:

Target data

Possible adhesion molecule with a role in early hematopoiesis by mediating the attachment of stem cells to the bone marrow extracellular matrix or directly to stromal cells. Could act as a scaffold for the attachment of lineage specific glycans, allowing stem cells to bind to lectins expressed by stromal cells or other marrow components. Presents carbohydrate ligands to selectins.
See full target information CD34

Product promise

We are committed to supporting your work with high-quality reagents, and we're here for you every step of the way. In the unlikely event that one of our products does not perform as expected, you're protected by our Product Promise.
For full details, please see our Terms & Conditions

Please note: All products are 'FOR RESEARCH USE ONLY. NOT FOR USE IN DIAGNOSTIC OR THERAPEUTIC PROCEDURES'.

For licensing inquiries, please contact partnerships@abcam.com