JavaScript is disabled in your browser. Please enable JavaScript to view this website.
AB229875

Anti-CD35 antibody

Be the first to review this product! Submit a review

|

(2 Publications)

Rabbit Polyclonal CD35 antibody. Suitable for WB, IHC-P and reacts with Human samples. Cited in 2 publications. Immunogen corresponding to Recombinant Fragment Protein within Human CR1 aa 400-550.

View Alternative Names

CD35, C3BR, CR1, Complement receptor type 1, C3b/C4b receptor

3 Images
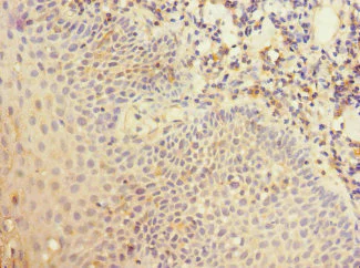
Immunohistochemistry (Formalin/PFA-fixed paraffin-embedded sections) - Anti-CD35 antibody (AB229875)
  • IHC-P

Supplier Data

Immunohistochemistry (Formalin/PFA-fixed paraffin-embedded sections) - Anti-CD35 antibody (AB229875)

Paraffin-embedded human tonsil tissue stained for CD35 with ab229875 at a 1/100 dilution in immunohistochemical analysis.

Immunohistochemistry (Formalin/PFA-fixed paraffin-embedded sections) - Anti-CD35 antibody (AB229875)
  • IHC-P

Supplier Data

Immunohistochemistry (Formalin/PFA-fixed paraffin-embedded sections) - Anti-CD35 antibody (AB229875)

Paraffin-embedded human kidney tissue stained for CD35 with ab229875 at a 1/100 dilution in immunohistochemical analysis.

Western blot - Anti-CD35 antibody (AB229875)
  • WB

Supplier Data

Western blot - Anti-CD35 antibody (AB229875)

All lanes:

Western blot - Anti-CD35 antibody (ab229875) at 1/1000 dilution

All lanes:

HEK-293T (Human epithelial cell line from embryonic kidney transformed with large T antigen) whole cell lysate

Secondary

All lanes:

Goat polyclonal to rabbit IgG at 1/10000 dilution

Predicted band size: 223 kDa

true

Key facts

Host species

Rabbit

Clonality

Polyclonal

Isotype

IgG

Carrier free

No

Reacts with

Human

Applications

IHC-P, WB

applications

Immunogen

Recombinant Fragment Protein within Human CR1 aa 400-550. The exact immunogen used to generate this antibody is proprietary information.

P17927

Reactivity data

{ "title": "Reactivity Data", "filters": { "stats": ["", "Species", "Dilution Info", "Notes"], "tabs": { "all-applications": {"fullname" : "All Applications", "shortname": "All Applications"}, "WB" : {"fullname" : "Western blot", "shortname":"WB"}, "IHCP" : {"fullname" : "Immunohistochemistry (Formalin/PFA-fixed paraffin-embedded sections)", "shortname":"IHC-P"} }, "product-promise": { "all": "all", "testedAndGuaranteed": "tested", "guaranteed": "expected", "predicted": "predicted", "notRecommended": "not-recommended" } }, "values": { "Human": { "WB-species-checked": "testedAndGuaranteed", "WB-species-dilution-info": "1/1000 - 1/5000", "WB-species-notes": "<p></p>", "IHCP-species-checked": "testedAndGuaranteed", "IHCP-species-dilution-info": "1/20 - 1/200", "IHCP-species-notes": "<p></p>" } } }

Properties and storage information

Form
Liquid
Purification technique
Affinity purification Immunogen
Storage buffer
pH: 7.3 Preservative: 0.02% Sodium azide Constituents: PBS, 50% Glycerol (glycerin, glycerine)
Shipped at conditions
Blue Ice
Appropriate short-term storage duration
1-2 weeks
Appropriate short-term storage conditions
+4°C
Appropriate long-term storage conditions
-20°C
Aliquoting information
Upon delivery aliquot
Storage information
Avoid freeze / thaw cycle

Product protocols

For this product, it's our understanding that no specific protocols are required. You can visit:

Target data

Membrane immune adherence receptor that plays a critical role in the capture and clearance of complement-opsonized pathogens by erythrocytes and monocytes/macrophages (PubMed : 2963069). Mediates the binding by these cells of particles and immune complexes that have activated complement to eliminate them from the circulation (PubMed : 2963069). Acts also in the inhibition of spontaneous complement activation by impairing the formation and function of the alternative and classical pathway C3/C5 convertases, and by serving as a cofactor for the cleavage by factor I of C3b to iC3b, C3c and C3d,g, and of C4b to C4c and C4d (PubMed : 2972794, PubMed : 8175757). Also plays a role in immune regulation by contributing, upon ligand binding, to the generation of regulatory T cells from activated helper T cells (PubMed : 25742728).. (Microbial infection) Acts as a receptor for Epstein-Barr virus.
See full target information CR1

Publications (2)

Recent publications for all applications. Explore the full list and refine your search

Immunology 168:63-82 PubMed36240165

2022

Elucidation of the signalling pathways for enhanced exosome release from Mycobacterium-infected macrophages and subsequent induction of differentiation.

Applications

Unspecified application

Species

Unspecified reactive species

Arpana Singh,Kaushik Das,Sampali Banerjee,Prosenjit Sen

Cancer management and research 12:6353-6361 PubMed32801878

2020

Prognostic Significance of Rab27A and Rab27B Expression in Esophageal Squamous Cell Cancer.

Applications

Unspecified application

Species

Unspecified reactive species

Fengqiang Yu,Weihan Wu,Mingqiang Liang,Yu Huang,Chun Chen
View all publications

Product promise

We are committed to supporting your work with high-quality reagents, and we're here for you every step of the way. In the unlikely event that one of our products does not perform as expected, you're protected by our Product Promise.
For full details, please see our Terms & Conditions

Please note: All products are 'FOR RESEARCH USE ONLY. NOT FOR USE IN DIAGNOSTIC OR THERAPEUTIC PROCEDURES'.

For licensing inquiries, please contact partnerships@abcam.com