JavaScript is disabled in your browser. Please enable JavaScript to view this website.
AB133293

Anti-CD35 antibody [EPR6601]

Be the first to review this product! Submit a review

|

(3 Publications)

Rabbit Recombinant Monoclonal CD35 antibody. Suitable for IHC-P, WB and reacts with Human samples. Cited in 3 publications.

View Alternative Names

CD35, C3BR, CR1, Complement receptor type 1, C3b/C4b receptor

6 Images
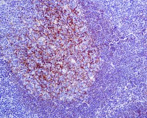
Immunohistochemistry (Formalin/PFA-fixed paraffin-embedded sections) - Anti-CD35 antibody [EPR6601] (AB133293)
  • IHC-P

Unknown

Immunohistochemistry (Formalin/PFA-fixed paraffin-embedded sections) - Anti-CD35 antibody [EPR6601] (AB133293)

Immunohistochemistry (Formalin/PFA-fixed paraffin-embedded sections) analysis of human tonsil tissue sections labeling CD35 with purified ab133293 at 1 : 250 dilution (1.76 µg/ml). Heat mediated antigen retrieval was performed using Bond ™ Epitope Retrieval Solution 2 (pH 9.0). Rabbit specific IHC polymer detection kit HRP/DAB (ab209101) was used as the secondary antibody. Negative control : PBS instead of the primary antibody. Hematoxylin was used as a counterstain.

Immunohistochemistry (Formalin/PFA-fixed paraffin-embedded sections) - Anti-CD35 antibody [EPR6601] (AB133293)
  • IHC-P

Unknown

Immunohistochemistry (Formalin/PFA-fixed paraffin-embedded sections) - Anti-CD35 antibody [EPR6601] (AB133293)

Immunohistochemical analysis of paraffin-embedded Human tonsil tissue labelling CD35 with 1/100 unpurified ab133293.

Perform heat mediated antigen retrieval with citrate buffer pH 6 before commencing with IHC staining protocol.

Immunohistochemistry (Formalin/PFA-fixed paraffin-embedded sections) - Anti-CD35 antibody [EPR6601] (AB133293)
  • IHC-P

Unknown

Immunohistochemistry (Formalin/PFA-fixed paraffin-embedded sections) - Anti-CD35 antibody [EPR6601] (AB133293)

Immunohistochemical analysis of paraffin-embedded Human kidney tissue labelling CD35 with unpurified ab133293 at 1/100 dilution.

Perform heat mediated antigen retrieval with citrate buffer pH 6 before commencing with IHC staining protocol.

Western blot - Anti-CD35 antibody [EPR6601] (AB133293)
  • WB

Lab

Western blot - Anti-CD35 antibody [EPR6601] (AB133293)

All lanes:

Western blot - Anti-CD35 antibody [EPR6601] (ab133293) at 1/10000 dilution

All lanes:

Human tonsil lysates at 15 µg

Secondary

All lanes:

Goat Anti-Rabbit IgG (HRP) with minimal cross-reactivity with human IgG at 1/2000 dilution

Predicted band size: 223 kDa

Observed band size: 280 kDa

false

Western blot - Anti-CD35 antibody [EPR6601] (AB133293)
  • WB

Lab

Western blot - Anti-CD35 antibody [EPR6601] (AB133293)

All lanes:

Western blot - Anti-CD35 antibody [EPR6601] (ab133293) at 1/1000 dilution

All lanes:

TF-1 (Human Erythroleukemia erythroblast) whole cell lysates at 15 µg

Secondary

All lanes:

Goat Anti-Rabbit IgG (HRP) with minimal cross-reactivity with human IgG at 1/2000 dilution

Predicted band size: 223 kDa

Observed band size: 280 kDa

false

OI-RD Scanning - Anti-CD35 antibody [EPR6601] (AB133293)
  • OI-RD Scanning

Unknown

OI-RD Scanning - Anti-CD35 antibody [EPR6601] (AB133293)

We have systematically measured KD (the equilibrium dissociation constant between the antibody and its antigen), of more than 840 recombinant antibodies to assess not only their individual KD values but also to see the average affinity of antibody. Based on the comparison with published literature values for mouse monoclonal antibodies, Recombinant antibodies appear to be on average 1-2 order of magnitude higher affinity.

  • Carrier free

    Anti-CD35 antibody [EPR6601] - BSA and Azide free

Key facts

Host species

Rabbit

Clonality

Monoclonal

Clone number

EPR6601

Isotype

IgG

Carrier free

No

Reacts with

Human

Applications

IHC-P, WB

applications

Immunogen

The exact immunogen used to generate this antibody is proprietary information.

Reactivity data

{ "title": "Reactivity Data", "filters": { "stats": ["", "Species", "Dilution Info", "Notes"], "tabs": { "all-applications": {"fullname" : "All Applications", "shortname": "All Applications"}, "IHCP" : {"fullname" : "Immunohistochemistry (Formalin/PFA-fixed paraffin-embedded sections)", "shortname":"IHC-P"}, "IP" : {"fullname" : "Immunoprecipitation", "shortname":"IP"}, "FlowCyt" : {"fullname" : "Flow Cytometry", "shortname":"Flow Cyt"}, "WB" : {"fullname" : "Western blot", "shortname":"WB"}, "ICCIF" : {"fullname" : "Immunocytochemistry/ Immunofluorescence", "shortname":"ICC/IF"} }, "product-promise": { "all": "all", "testedAndGuaranteed": "tested", "guaranteed": "expected", "predicted": "predicted", "notRecommended": "not-recommended" } }, "values": { "Human": { "IHCP-species-checked": "testedAndGuaranteed", "IHCP-species-dilution-info": "1/100 - 1/250", "IHCP-species-notes": "<p></p>", "IP-species-checked": "notRecommended", "IP-species-dilution-info": "", "IP-species-notes": "<p></p>", "FlowCyt-species-checked": "notRecommended", "FlowCyt-species-dilution-info": "", "FlowCyt-species-notes": "<p></p>", "WB-species-checked": "testedAndGuaranteed", "WB-species-dilution-info": "1/1000 - 1/10000", "WB-species-notes": "<p></p>", "ICCIF-species-checked": "notRecommended", "ICCIF-species-dilution-info": "", "ICCIF-species-notes": "<p></p>" } } }

Product details

Species reactivity
Mouse, Rat: We have preliminary internal testing data to indicate this antibody may not react with these species.
Please contact us for more information.

Patented technology
Our RabMAb® technology is a patented hybridoma-based technology for making rabbit monoclonal antibodies. For details on our patents, please refer to RabMAb® patents.

What are the advantages of a recombinant monoclonal antibody?
This product is a recombinant monoclonal antibody, which offers several advantages including:

  • - High batch-to-batch consistency and reproducibility
  • - Improved sensitivity and specificity
  • - Long-term security of supply
  • - Animal-free batch production

For more information, read more on recombinant antibodies.

Properties and storage information

Form
Liquid
Purification technique
Affinity purification Protein A
Storage buffer
pH: 7.2 - 7.4 Preservative: 0.01% Sodium azide Constituents: PBS, 40% Glycerol (glycerin, glycerine), 0.05% BSA
Shipped at conditions
Blue Ice
Appropriate short-term storage conditions
+4°C
Appropriate long-term storage conditions
-20°C

Product protocols

For this product, it's our understanding that no specific protocols are required. You can visit:

Target data

Membrane immune adherence receptor that plays a critical role in the capture and clearance of complement-opsonized pathogens by erythrocytes and monocytes/macrophages (PubMed : 2963069). Mediates the binding by these cells of particles and immune complexes that have activated complement to eliminate them from the circulation (PubMed : 2963069). Acts also in the inhibition of spontaneous complement activation by impairing the formation and function of the alternative and classical pathway C3/C5 convertases, and by serving as a cofactor for the cleavage by factor I of C3b to iC3b, C3c and C3d,g, and of C4b to C4c and C4d (PubMed : 2972794, PubMed : 8175757). Also plays a role in immune regulation by contributing, upon ligand binding, to the generation of regulatory T cells from activated helper T cells (PubMed : 25742728).. (Microbial infection) Acts as a receptor for Epstein-Barr virus.
See full target information CR1

Publications (3)

Recent publications for all applications. Explore the full list and refine your search

Small (Weinheim an der Bergstrasse, Germany) 18:e2203746 PubMed36070419

2022

Human Cell-Camouflaged Nanomagnetic Scavengers Restore Immune Homeostasis in a Rodent Model with Bacteremia.

Applications

Unspecified application

Species

Unspecified reactive species

Sung Jin Park,Seyong Kwon,Min Seok Lee,Bong Hwan Jang,Axel E Guzmán-Cedillo,Joo H Kang

Proteomes 7: PubMed31035355

2019

Proteome Profiling of Exosomes Purified from a Small Amount of Human Serum: The Problem of Co-Purified Serum Components.

Applications

Unspecified application

Species

Unspecified reactive species

Mateusz Smolarz,Monika Pietrowska,Natalia Matysiak,Łukasz Mielańczyk,Piotr Widłak

PloS one 9:e85504 PubMed24454878

2014

Dysferlin and other non-red cell proteins accumulate in the red cell membrane of Diamond-Blackfan Anemia patients.

Applications

WB

Species

Human

Esther N Pesciotta,Sira Sriswasdi,Hsin-Yao Tang,David W Speicher,Philip J Mason,Monica Bessler
View all publications

Product promise

We are committed to supporting your work with high-quality reagents, and we're here for you every step of the way. In the unlikely event that one of our products does not perform as expected, you're protected by our Product Promise.
For full details, please see our Terms & Conditions

Please note: All products are 'FOR RESEARCH USE ONLY. NOT FOR USE IN DIAGNOSTIC OR THERAPEUTIC PROCEDURES'.

For licensing inquiries, please contact partnerships@abcam.com