JavaScript is disabled in your browser. Please enable JavaScript to view this website.
AB183359

Anti-CD35 antibody [SP197]

Be the first to review this product! Submit a review

|

(1 Publication)

Rabbit Recombinant Monoclonal CD35 antibody. Suitable for IHC-P, WB and reacts with Human samples. Cited in 1 publication.

View Alternative Names

CD35, C3BR, CR1, Complement receptor type 1, C3b/C4b receptor

7 Images
Western blot - Anti-CD35 antibody [SP197] (AB183359)
  • WB

Supplier Data

Western blot - Anti-CD35 antibody [SP197] (AB183359)

All lanes:

Western blot - Anti-CD35 antibody [SP197] (ab183359) at 1/400 dilution

All lanes:

Human tonsil lysate

Predicted band size: 223 kDa

false

Immunohistochemistry (Formalin/PFA-fixed paraffin-embedded sections) - Anti-CD35 antibody [SP197] (AB183359)
  • IHC-P

Unknown

Immunohistochemistry (Formalin/PFA-fixed paraffin-embedded sections) - Anti-CD35 antibody [SP197] (AB183359)

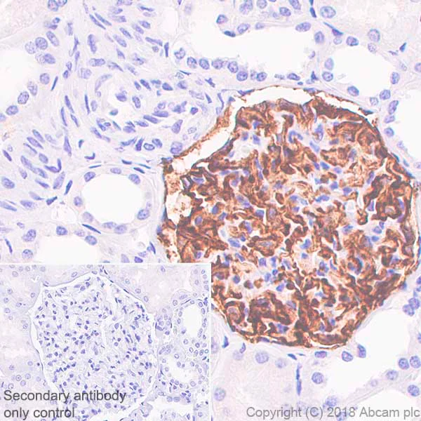
Immunohistochemistry (Formalin/PFA-fixed paraffin-embedded sections) analysis of Human kidney tissue sections labeling CD35 with ab183359 at 1/100 dilution (1.77 μg/ml). Heat mediated antigen retrieval with Tris-EDTA buffer (pH 9.0, epitope retrieval solution 2) for 10mins. Rabbit specific IHC polymer detection kit HRP/DAB (ab209101) was used as the secondary antibody. Hematoxylin was used as a counterstain. Positive staining on the glomerular podocytes in the human kidney, performed on a Leica Biosystems BOND™ RX instrument.
The section was incubated with ab183359 for 10 mins at room temperature.

Immunohistochemistry (Formalin/PFA-fixed paraffin-embedded sections) - Anti-CD35 antibody [SP197] (AB183359)
  • IHC-P

Unknown

Immunohistochemistry (Formalin/PFA-fixed paraffin-embedded sections) - Anti-CD35 antibody [SP197] (AB183359)

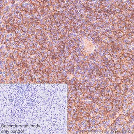
Immunohistochemical analysis of formalin fixed paraffin embedded Human spleen tissue sections labeling CD35 using ab183359 at a 1/100 dilution.

Immunohistochemistry (Formalin/PFA-fixed paraffin-embedded sections) - Anti-CD35 antibody [SP197] (AB183359)
  • IHC-P

Unknown

Immunohistochemistry (Formalin/PFA-fixed paraffin-embedded sections) - Anti-CD35 antibody [SP197] (AB183359)

Immunohistochemistry (Formalin/PFA-fixed paraffin-embedded sections) analysis of Human spleen tissue sections labeling CD35 with ab183359 at 1/100 dilution (1.77 μg/ml). Heat mediated antigen retrieval with Tris-EDTA buffer (pH 9.0, epitope retrieval solution 2) for 10mins. Rabbit specific IHC polymer detection kit HRP/DAB (ab209101) was used as the secondary antibody. Hematoxylin was used as a counterstain. Positive staining on the human spleen, performed on a Leica Biosystems BOND™ RX instrument.
The section was incubated with ab183359 for 10 mins at room temperature.

Immunohistochemistry (Formalin/PFA-fixed paraffin-embedded sections) - Anti-CD35 antibody [SP197] (AB183359)
  • IHC-P

Supplier Data

Immunohistochemistry (Formalin/PFA-fixed paraffin-embedded sections) - Anti-CD35 antibody [SP197] (AB183359)

Immunohistochemical analysis of formalin fixed paraffin embedded Human kidney tissue sections labeling CD35 using ab183359 at a 1/100 dilution.

Immunohistochemistry (Formalin/PFA-fixed paraffin-embedded sections) - Anti-CD35 antibody [SP197] (AB183359)
  • IHC-P

Supplier Data

Immunohistochemistry (Formalin/PFA-fixed paraffin-embedded sections) - Anti-CD35 antibody [SP197] (AB183359)

Immunohistochemical analysis of formalin fixed paraffin embedded Human colon tissue sections labeling CD35 using ab183359 at a 1/100 dilution.

Immunohistochemistry (Formalin/PFA-fixed paraffin-embedded sections) - Anti-CD35 antibody [SP197] (AB183359)
  • IHC-P

Supplier Data

Immunohistochemistry (Formalin/PFA-fixed paraffin-embedded sections) - Anti-CD35 antibody [SP197] (AB183359)

Immunohistochemical analysis of formalin fixed paraffin embedded Human tonsil tissue sections labeling CD35 using ab183359 at a 1/100 dilution.

  • Carrier free

    Anti-CD35 antibody [SP197] - BSA and Azide free

Key facts

Host species

Rabbit

Clonality

Monoclonal

Clone number

SP197

Isotype

IgG

Carrier free

No

Reacts with

Human

Applications

IHC-P, WB

applications

Immunogen

The exact immunogen used to generate this antibody is proprietary information.

Reactivity data

{ "title": "Reactivity Data", "filters": { "stats": ["", "Species", "Dilution Info", "Notes"], "tabs": { "all-applications": {"fullname" : "All Applications", "shortname": "All Applications"}, "IHCP" : {"fullname" : "Immunohistochemistry (Formalin/PFA-fixed paraffin-embedded sections)", "shortname":"IHC-P"}, "WB" : {"fullname" : "Western blot", "shortname":"WB"} }, "product-promise": { "all": "all", "testedAndGuaranteed": "tested", "guaranteed": "expected", "predicted": "predicted", "notRecommended": "not-recommended" } }, "values": { "Human": { "IHCP-species-checked": "testedAndGuaranteed", "IHCP-species-dilution-info": "1/100", "IHCP-species-notes": "<p></p>", "WB-species-checked": "testedAndGuaranteed", "WB-species-dilution-info": "1/400", "WB-species-notes": "<p></p>" } } }

You may be interested in:

AB277439

Human CD35 ELISA Kit

0

0 Reviews

View product

We recommend this product because it’s often used in the same experiment or related research.

We advise that you always check the datasheet to ensure it fits your experiments, or contact ourtechnical teamfor help.

Product details

Properties and storage information

Form
Liquid
Purification technique
Affinity purification Protein A
Purification notes
Purified from TCS by protein A/G.
Storage buffer
pH: 7.2 - 7.4 Preservative: 0.1% Sodium azide Constituents: PBS, 1% BSA
Shipped at conditions
Blue Ice
Appropriate short-term storage duration
1-2 weeks
Appropriate short-term storage conditions
+4°C
Appropriate long-term storage conditions
-20°C
Aliquoting information
Upon delivery aliquot
Storage information
Avoid freeze / thaw cycle

Product protocols

For this product, it's our understanding that no specific protocols are required. You can visit:

Target data

Membrane immune adherence receptor that plays a critical role in the capture and clearance of complement-opsonized pathogens by erythrocytes and monocytes/macrophages (PubMed : 2963069). Mediates the binding by these cells of particles and immune complexes that have activated complement to eliminate them from the circulation (PubMed : 2963069). Acts also in the inhibition of spontaneous complement activation by impairing the formation and function of the alternative and classical pathway C3/C5 convertases, and by serving as a cofactor for the cleavage by factor I of C3b to iC3b, C3c and C3d,g, and of C4b to C4c and C4d (PubMed : 2972794, PubMed : 8175757). Also plays a role in immune regulation by contributing, upon ligand binding, to the generation of regulatory T cells from activated helper T cells (PubMed : 25742728).. (Microbial infection) Acts as a receptor for Epstein-Barr virus.
See full target information CR1

Publications (1)

Recent publications for all applications. Explore the full list and refine your search

Frontiers in molecular neuroscience 12:126 PubMed31178691

2019

Tubgcp3 Is Required for Retinal Progenitor Cell Proliferation During Zebrafish Development.

Applications

Unspecified application

Species

Unspecified reactive species

Guobao Li,Daqing Jin,Tao P Zhong
View all publications

Product promise

We are committed to supporting your work with high-quality reagents, and we're here for you every step of the way. In the unlikely event that one of our products does not perform as expected, you're protected by our Product Promise.
For full details, please see our Terms & Conditions

Associated Products

Select an associated product type
Alternative Product
Primary Antibodies

AB212311

Anti-CD35 antibody [CR1/802] - BSA and Azide free

primary-antibodies

cd35-antibody-cr1-802-bsa-and-azide-free-ab212311

0

(0 reviews)

Alternative Product
Primary Antibodies

AB178451

PE Anti-CD35 antibody [E11]

primary-antibodies

pe-cd35-antibody-e11-ab178451

0

(0 reviews)

Alternative Product
Primary Antibodies

AB25

Anti-CD35 antibody [E11]

primary-antibodies

cd35-antibody-e11-ab25

3

(1 reviews)

Alternative Product
Primary Antibodies

AB245683

Anti-CD35 antibody [8C12]

primary-antibodies

cd35-antibody-8c12-ab245683

0

(0 reviews)

Alternative Product
Primary Antibodies

AB229875

Anti-CD35 antibody

primary-antibodies

cd35-antibody-ab229875

0

(0 reviews)

Alternative Product
Primary Antibodies

AB227666

Anti-CD35 antibody [SP191]

primary-antibodies

cd35-antibody-sp191-ab227666

0

(0 reviews)

Alternative Product
Primary Antibodies

AB126737

Anti-CD35 antibody [EPR6602]

primary-antibodies

cd35-antibody-epr6602-ab126737

0

(0 reviews)

Alternative Product
Primary Antibodies

AB133293

Anti-CD35 antibody [EPR6601]

primary-antibodies

cd35-antibody-epr6601-ab133293

0

(0 reviews)

Alternative Product
Primary Antibodies

AB236236

Anti-CD35 antibody [SP191] - BSA and Azide free

primary-antibodies

cd35-antibody-sp191-bsa-and-azide-free-ab236236

0

(0 reviews)

Alternative Product
Primary Antibodies

AB243085

APC Anti-CD35 antibody [E11]

primary-antibodies

apc-cd35-antibody-e11-ab243085

0

(0 reviews)

Please note: All products are 'FOR RESEARCH USE ONLY. NOT FOR USE IN DIAGNOSTIC OR THERAPEUTIC PROCEDURES'.

For licensing inquiries, please contact partnerships@abcam.com