JavaScript is disabled in your browser. Please enable JavaScript to view this website.
AB252922

Anti-CD36 antibody [EPR22509-40]

Be the first to review this product! Submit a review

|

(42 Publications)

Anti-CD36 antibody [EPR22509-40] (ab252922) is a rabbit monoclonal antibody detecting CD36 in Western Blot, Flow Cytometry, IHC-P, ICC/IF. Suitable for Human, Mouse, Rat.

- Biophysical QC for unrivalled batch-batch consistency
- Over 10 publications

View Alternative Names

CD36, GP3B, GP4, Platelet glycoprotein 4, Fatty acid translocase, Glycoprotein IIIb, Leukocyte differentiation antigen CD36, PAS IV, PAS-4, Platelet collagen receptor, Platelet glycoprotein IV, Thrombospondin receptor, FAT, GPIIIB, GPIV

10 Images
Flow Cytometry - Anti-CD36 antibody [EPR22509-40] (AB252922)
  • Flow Cyt

Unknown

Flow Cytometry - Anti-CD36 antibody [EPR22509-40] (AB252922)

Flow cytometric analysis of THP-1 (human monocytic leukemia cell line) cells labeling CD36 with ab252922 at 1/50 dilution (red) compared with a Recombinant Rabbit IgG, monoclonal [EPR25A] - Isotype Control (ab172730) (black) and an unlabelled control (cells without incubation with primary antibody and secondary antibody) (blue).

Goat Anti-Rabbit IgG Fc (Alexa Fluo 488) preadsorbed (ab150097), at 1/5000 dilution was used as the secondary antibody.

Gated on viable cells.

Immunohistochemistry (Formalin/PFA-fixed paraffin-embedded sections) - Anti-CD36 antibody [EPR22509-40] (AB252922)
  • IHC-P

Unknown

Immunohistochemistry (Formalin/PFA-fixed paraffin-embedded sections) - Anti-CD36 antibody [EPR22509-40] (AB252922)

Immunohistochemical analysis of [paraffin-embedded human spleen tissue labeling CD36 with ab252922 at 1/1000 dilution, followed by a Goat Anti-Rabbit IgG H&L (HRP) ready to use. Positive staining on endothelial cells of human spleen (PMID : 30047927,22777768) is observed. Counter stained with hematoxylin.

Secondary antibody only control : Used PBS instead of primary antibody, secondary antibody is Goat Anti-Rabbit IgG H&L (HRP) ready to use.

Heat mediated antigen retrieval using ab93684 (Tris/EDTA buffer, pH 9.0).

Immunohistochemistry (Formalin/PFA-fixed paraffin-embedded sections) - Anti-CD36 antibody [EPR22509-40] (AB252922)
  • IHC-P

Unknown

Immunohistochemistry (Formalin/PFA-fixed paraffin-embedded sections) - Anti-CD36 antibody [EPR22509-40] (AB252922)

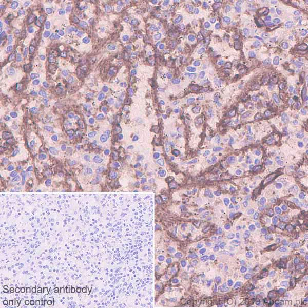
Immunohistochemical analysis of paraffin-embedded human hepatocellular tissue labeling CD36 with ab252922 at 1/1000 dilution, followed by a Goat Anti-Rabbit IgG H&L (HRP) ready to use. Positive staining on endothelial cells of human hepatocellular carcinoma (PMID : 30047927,22777768) is observed. Counter stained with hematoxylin.

Secondary antibody only control : Used PBS instead of primary antibody, secondary antibody is Goat Anti-Rabbit IgG H&L (HRP) ready to use.

Heat mediated antigen retrieval using ab93684 (Tris/EDTA buffer, pH 9.0).

Immunocytochemistry/ Immunofluorescence - Anti-CD36 antibody [EPR22509-40] (AB252922)
  • ICC/IF

Supplier Data

Immunocytochemistry/ Immunofluorescence - Anti-CD36 antibody [EPR22509-40] (AB252922)

Immunofluorescent analysis of 80% Methanol fixed 0.1% TritonX-100 permeabilised U937 (Human histiocytic lymphoma monocyte) cells labelling CD36 with ab252922 at 1/50 dilution, followed by Goat Anti-Rabbit IgG H&L (Alexa Fluor® 488) preadsorbed (ab150081) secondary antibody at 1/1000 dilution. Confocal image showing membranous staining in U937 cells (Human histiocytic lymphoma monocyte) is observed. Anti-alpha Tubulin mouse monoclonal antibody - Microtubule Marker (Alexa Fluor® 594) (ab195889) was used to counterstain Alpha Tubulin at 1/200 dilution.The Nuclear counterstain is DAPI . Secondary antibody only control : Goat Anti-Rabbit IgG H&L (Alexa Fluor® 488) preadsorbed (ab150081) at 1/1000 dilution.

Immunohistochemistry (Formalin/PFA-fixed paraffin-embedded sections) - Anti-CD36 antibody [EPR22509-40] (AB252922)
  • IHC-P

Unknown

Immunohistochemistry (Formalin/PFA-fixed paraffin-embedded sections) - Anti-CD36 antibody [EPR22509-40] (AB252922)

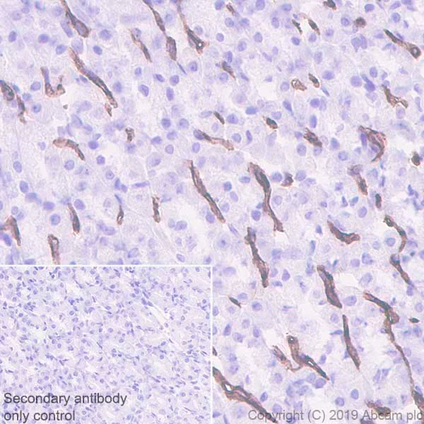
Immunohistochemical analysis of paraffin-embedded rat stomach tissue labeling CD36 with ab252922 at 1/1000 dilution, followed by a Goat Anti-Rabbit IgG H&L (HRP) ready to use. Positive staining on endothelial cells of rat stomach. (PMID : 30047927,22777768) is observed. Counter stained with hematoxylin.

Secondary antibody only control : Used PBS instead of primary antibody, secondary antibody is Goat Anti-Rabbit IgG H&L (HRP) ready to use.

Heat mediated antigen retrieval using ab93684 (Tris/EDTA buffer, pH 9.0).

Western blot - Anti-CD36 antibody [EPR22509-40] (AB252922)
  • WB

Unknown

Western blot - Anti-CD36 antibody [EPR22509-40] (AB252922)

Blocking and dilution buffer : 5% NFDM/TBST.

Negative control : Ramos, Jurkat (PMID : 27956597,10744776)

The molecular weight observed is due to glycosylation and consistent with what has been described in the literature (PMID : 8798390,15677505,20637247, 8631821).

All lanes:

Western blot - Anti-CD36 antibody [EPR22509-40] (ab252922) at 1/1000 dilution

Lane 1:

U937 (human histiocytic lymphoma cell line) whole cell lysate at 20 µg

Lane 2:

Ramos (human Burkitt's lymphoma cell line) whole cell lysate at 20 µg

Lane 3:

Jurkat (human T cell leukemia cell line from peripheral blood) whole cell lysate at 20 µg

Lane 4:

Rat spleen tissue lysate at 20 µg

Secondary

All lanes:

Western blot - Goat Anti-Rabbit IgG H&L (HRP) (<a href='/en-us/products/secondary-antibodies/goat-rabbit-igg-h-l-hrp-ab97051'>ab97051</a>) at 1/100000 dilution

Predicted band size: 53 kDa

Observed band size: 70-110 kDa

false

Exposure time: 8s

Western blot - Anti-CD36 antibody [EPR22509-40] (AB252922)
  • WB

Unknown

Western blot - Anti-CD36 antibody [EPR22509-40] (AB252922)

Blocking and dilution buffer : 5% NFDM/TBST.

The molecular weight observed is due to glycosylation and consistent with what has been described in the literature (PMID : 8798390,15677505,20637247).

All lanes:

Western blot - Anti-CD36 antibody [EPR22509-40] (ab252922) at 1000 Cells

Lane 1:

Human placenta tissue lysate at 20 µg

Lane 2:

Human lung tissue lysate at 20 µg

Secondary

All lanes:

Western blot - VeriBlot for IP Detection Reagent (HRP) (<a href='/en-us/products/reagents/veriblot-for-ip-detection-reagent-hrp-ab131366'>ab131366</a>) at 1/4000 dilution

Predicted band size: 53 kDa

false

Exposure time: 3s

Western blot - Anti-CD36 antibody [EPR22509-40] (AB252922)
  • WB

Lab

Western blot - Anti-CD36 antibody [EPR22509-40] (AB252922)

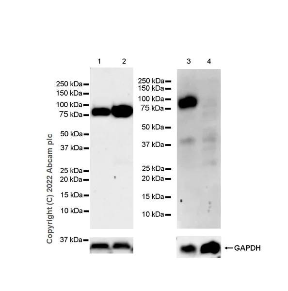
Blocking and diluting buffer and concentration : 5% NFDM/TBST

The molecular weight observed is due to glycosylation and consistent with what has been described in the literature (PMID : 8798390, 15677505, 20637247, 8631821).

Low expression : brain (PMID : 27646002 )

This blot was developed using a high sensitivity ECL substrate. The high-sensitivity ECL substrate used allows for the detection of proteins in the mid-femtogram range.

All lanes:

Western blot - Anti-CD36 antibody [EPR22509-40] (ab252922) at 1/1000 dilution

Lane 1:

Mouse white fat tissue lysate at 40 µg

Lane 2:

Mouse brown fat tissue lysate at 40 µg

Lane 3:

Mouse spleen tissue lysate at 40 µg

Lane 4:

Mouse brain tissue lysate at 40 µg

Secondary

All lanes:

Western blot - Goat Anti-Rabbit IgG H&L (HRP) (<a href='/en-us/products/secondary-antibodies/goat-rabbit-igg-h-l-hrp-ab97051'>ab97051</a>) at 1/20000 dilution

Predicted band size: 53 kDa

Observed band size: 70 kDa,100 kDa

true

Exposure time: 81s

Western blot - Anti-CD36 antibody [EPR22509-40] (AB252922)
  • WB

Lab

Western blot - Anti-CD36 antibody [EPR22509-40] (AB252922)

Blocking buffer : 5% NFDM/TBST

Dilution buffer : 5% NFDM /TBST

CD36 expression is low in the normal brain (PMID : 27646002)

All lanes:

Western blot - Anti-CD36 antibody [EPR22509-40] (ab252922) at 1/1000 dilution

Lane 1:

Rat spleen tissue lysate at 20 µg

Lane 2:

Rat brain tissue lysate at 20 µg

Secondary

All lanes:

Goat Anti-Rabbit IgG, (H+L), Peroxidase conjugated at 1/20000 dilution

Predicted band size: 53 kDa

Observed band size: 70-110 kDa

false

Exposure time: 180s

Flow Cytometry - Anti-CD36 antibody [EPR22509-40] (AB252922)
  • Flow Cyt

Supplier Data

Flow Cytometry - Anti-CD36 antibody [EPR22509-40] (AB252922)

Flow cytometric analysis of Ramos (human Burkitt's lymphoma B lymphocyte) cells labeling CD36 with ab252922 at 1/50 dilution (red) compared with a Recombinant Rabbit IgG, monoclonal [EPR25A] - Isotype Control (ab172730) (black) and an unlabelled control (cells without incubation with primary antibody and secondary antibody) (blue).

Goat Anti-Rabbit IgG Fc (Alexa Fluor® 488) preadsorbed (ab150097), at 1/5000 dilution was used as the secondary antibody.

Gated on viable cells.

Negative control : Ramos (PMID : 10744776).

Key facts

Host species

Rabbit

Clonality

Monoclonal

Clone number

EPR22509-40

Isotype

IgG

Carrier free

No

Reacts with

Rat, Mouse, Human

Applications

Flow Cyt, IHC-P, ICC/IF, WB

applications

Immunogen

The exact immunogen used to generate this antibody is proprietary information.

Specificity

CD36 expression is low in the normal brain (PMID: 27646002).

Mouse species is recommended based on WB results, we do not guarantee IHC, ICC or FC for mouse. ab252922 doesn't work in mouse and rat liver as it detects no signal at CD36 position and a close nonspecific band.

Reactivity data

{ "title": "Reactivity Data", "filters": { "stats": ["", "Species", "Dilution Info", "Notes"], "tabs": { "all-applications": {"fullname" : "All Applications", "shortname": "All Applications"}, "IP" : {"fullname" : "Immunoprecipitation", "shortname":"IP"}, "FlowCyt" : {"fullname" : "Flow Cytometry", "shortname":"Flow Cyt"}, "WB" : {"fullname" : "Western blot", "shortname":"WB"}, "ICCIF" : {"fullname" : "Immunocytochemistry/ Immunofluorescence", "shortname":"ICC/IF"}, "IHCP" : {"fullname" : "Immunohistochemistry (Formalin/PFA-fixed paraffin-embedded sections)", "shortname":"IHC-P"} }, "product-promise": { "all": "all", "testedAndGuaranteed": "tested", "guaranteed": "expected", "predicted": "predicted", "notRecommended": "not-recommended" } }, "values": { "Human": { "IP-species-checked": "notRecommended", "IP-species-dilution-info": "", "IP-species-notes": "<p></p>", "FlowCyt-species-checked": "testedAndGuaranteed", "FlowCyt-species-dilution-info": "1/50", "FlowCyt-species-notes": "<p>Unsuitable for mouse.</p>", "WB-species-checked": "testedAndGuaranteed", "WB-species-dilution-info": "1/1000", "WB-species-notes": "<p></p>", "ICCIF-species-checked": "testedAndGuaranteed", "ICCIF-species-dilution-info": "1/50", "ICCIF-species-notes": "<p>Unsuitable for mouse</p>", "IHCP-species-checked": "testedAndGuaranteed", "IHCP-species-dilution-info": "1/1000", "IHCP-species-notes": "<p>IHC is recommend only for human and rat. Unsuitable for mouse.</p>" }, "Mouse": { "IP-species-checked": "notRecommended", "IP-species-dilution-info": "", "IP-species-notes": "", "FlowCyt-species-checked": "notRecommended", "FlowCyt-species-dilution-info": "1/50", "FlowCyt-species-notes": "<p>Unsuitable for mouse.</p>", "WB-species-checked": "testedAndGuaranteed", "WB-species-dilution-info": "1/1000", "WB-species-notes": "<p></p>", "ICCIF-species-checked": "notRecommended", "ICCIF-species-dilution-info": "1/50", "ICCIF-species-notes": "<p>Unsuitable for mouse</p>", "IHCP-species-checked": "notRecommended", "IHCP-species-dilution-info": "1/1000", "IHCP-species-notes": "<p>IHC is recommend only for human and rat. Unsuitable for mouse.</p>" }, "Rat": { "IP-species-checked": "notRecommended", "IP-species-dilution-info": "", "IP-species-notes": "<p></p>", "FlowCyt-species-checked": "guaranteed", "FlowCyt-species-dilution-info": "", "FlowCyt-species-notes": "", "WB-species-checked": "testedAndGuaranteed", "WB-species-dilution-info": "1/1000", "WB-species-notes": "<p></p>", "ICCIF-species-checked": "guaranteed", "ICCIF-species-dilution-info": "1/50", "ICCIF-species-notes": "<p>Unsuitable for mouse</p>", "IHCP-species-checked": "testedAndGuaranteed", "IHCP-species-dilution-info": "1/1000", "IHCP-species-notes": "<p>IHC is recommend only for human and rat. Unsuitable for mouse.</p>" } } }

Product details

Anti-CD36 antibody [EPR22509-40] (ab252922) was developed by Abcam using patented rabbit monoclonal antibody technology and is validated for use in Flow Cyt, ICC/IF, IHC-P, WB in human, mouse, rat samples.

Anti-CD36 antibody [EPR22509-40] (ab252922) has been cited over 12 times in peer reviewed journals and is trusted by the scientific community.

Abcam's high quality manufacturing and validation processes ensure Anti-CD36 antibody [EPR22509-40] (ab252922) has high sensitivity and specificity alongside high lot-to-lot consistency and reproducibility.

Anti-CD36 antibody [EPR22509-40] (ab252922) specifically detects CD36 (UniProt ID: P16671; Molecular weight: 53kDa) and is sold in 100 µL and 1 mL selling sizes.

Conjugation-ready, carrier free format available for antibody clone EPR22509-40 - ab255331.

Antibody clone EPR22509-40 is also available pre-conjugated to a variety of labels for your convenience - Alexa Fluor® 488 (ab320068).

Patented technology
Our RabMAb® technology is a patented hybridoma-based technology for making rabbit monoclonal antibodies. For details on our patents, please refer to RabMAb® patents.

What are the advantages of a recombinant monoclonal antibody?
This product is a recombinant monoclonal antibody, which offers several advantages including:

  • - High batch-to-batch consistency and reproducibility
  • - Improved sensitivity and specificity
  • - Long-term security of supply
  • - Animal-free batch production

For more information, read more on recombinant antibodies.

Properties and storage information

Form
Liquid
Purification technique
Affinity purification Protein A
Storage buffer
pH: 7.2 - 7.4 Preservative: 0.01% Sodium azide Constituents: PBS, 40% Glycerol (glycerin, glycerine), 0.05% BSA
Shipped at conditions
Blue Ice
Appropriate short-term storage duration
1-2 weeks
Appropriate short-term storage conditions
+4°C
Appropriate long-term storage conditions
-20°C
Aliquoting information
Upon delivery aliquot
Storage information
Avoid freeze / thaw cycle

Product protocols

For this product, it's our understanding that no specific protocols are required. You can visit:

Target data

Multifunctional glycoprotein that acts as a receptor for a broad range of ligands. Ligands can be of proteinaceous nature like thrombospondin, fibronectin, collagen or amyloid-beta as well as of lipidic nature such as oxidized low-density lipoprotein (oxLDL), anionic phospholipids, long-chain fatty acids and bacterial diacylated lipopeptides. They are generally multivalent and can therefore engage multiple receptors simultaneously, the resulting formation of CD36 clusters initiates signal transduction and internalization of receptor-ligand complexes. The dependency on coreceptor signaling is strongly ligand specific. Cellular responses to these ligands are involved in angiogenesis, inflammatory response, fatty acid metabolism, taste and dietary fat processing in the intestine (Probable). Binds long-chain fatty acids and facilitates their transport into cells, thus participating in muscle lipid utilization, adipose energy storage, and gut fat absorption (By similarity) (PubMed : 18353783, PubMed : 21610069). Mechanistically, binding of fatty acids activates downstream kinase LYN, which phosphorylates the palmitoyltransferase ZDHHC5 and inactivates it, resulting in the subsequent depalmitoylation of CD36 and caveolar endocytosis (PubMed : 32958780). In the small intestine, plays a role in proximal absorption of dietary fatty acid and cholesterol for optimal chylomicron formation, possibly through the activation of MAPK1/3 (ERK1/2) signaling pathway (By similarity) (PubMed : 18753675). Involved in oral fat perception and preferences (PubMed : 22240721, PubMed : 25822988). Detection into the tongue of long-chain fatty acids leads to a rapid and sustained rise in flux and protein content of pancreatobiliary secretions (By similarity). In taste receptor cells, mediates the induction of an increase in intracellular calcium levels by long-chain fatty acids, leading to the activation of the gustatory neurons in the nucleus of the solitary tract (By similarity). Important factor in both ventromedial hypothalamus neuronal sensing of long-chain fatty acid and the regulation of energy and glucose homeostasis (By similarity). Receptor for thrombospondins, THBS1 and THBS2, mediating their antiangiogenic effects (By similarity). Involved in inducing apoptosis in podocytes in response to elevated free fatty acids, acting together with THBS1 (By similarity). As a coreceptor for TLR4 : TLR6 heterodimer, promotes inflammation in monocytes/macrophages. Upon ligand binding, such as oxLDL or amyloid-beta 42, interacts with the heterodimer TLR4 : TLR6, the complex is internalized and triggers inflammatory response, leading to NF-kappa-B-dependent production of CXCL1, CXCL2 and CCL9 cytokines, via MYD88 signaling pathway, and CCL5 cytokine, via TICAM1 signaling pathway, as well as IL1B secretion, through the priming and activation of the NLRP3 inflammasome (By similarity) (PubMed : 20037584). Selective and nonredundant sensor of microbial diacylated lipopeptide that signal via TLR2 : TLR6 heterodimer, this cluster triggers signaling from the cell surface, leading to the NF-kappa-B-dependent production of TNF, via MYD88 signaling pathway and subsequently is targeted to the Golgi in a lipid-raft dependent pathway (By similarity) (PubMed : 16880211).. (Microbial infection) Directly mediates cytoadherence of Plasmodium falciparum parasitized erythrocytes and the internalization of particles independently of TLR signaling.
See full target information CD36

Publications (42)

Recent publications for all applications. Explore the full list and refine your search

Cell death & disease 16:579 PubMed40744915

2025

PRMT1-mediated methylation of UBE2m promoting calcium oxalate crystal-induced kidney injury by inhibiting fatty acid metabolism.

Applications

Unspecified application

Species

Unspecified reactive species

Tianhui Yuan,Zehua Ye,Shuqin Mei,Miao Zhang,Ming Wu,Fangyou Lin,Weimin Yu,Wei Li,Xiangjun Zhou,Fan Cheng

Scientific reports 15:27344 PubMed40717126

2025

Dietary lipids induce PPARd and BCL6 to repress macrophage IL-23 induction after intestinal injury and LPS exposure.

Applications

Unspecified application

Species

Unspecified reactive species

Ashleigh M Gil,Daniel F Zegarra-Ruiz,Wan-Jung Wu,Kendra Norwood,Adrien Assie,Buck S Samuel,Angela M Major,Gretchen E Diehl,Andrea A Hill McAlester

BMJ open diabetes research & care 13: PubMed40716951

2025

Glucose absorption in the duodenum is modulated by an estrogen receptor α-dependent regulation of glucose transporter functional expression.

Applications

Unspecified application

Species

Unspecified reactive species

Jianhong Ding,Xiaoxu Yang,Weixi Shan,Jingyu Xu,Qian Du,Changmei Chen,Qiushi Liao,Jun Lou,Zhe Jin,Mingkai Chen,Rui Xie

Food science & nutrition 13:e70599 PubMed40654536

2025

ALA Alleviates Liver Damage in Septic Mice Through PI3K/AKT Signaling Pathway.

Applications

Unspecified application

Species

Unspecified reactive species

Yuqing Song,Yuanrong Mao,Qingqing Sui,Zichen Zhao,Daosong Dong

Nature communications 16:5568 PubMed40593524

2025

Ultradeep N-glycoproteome atlas of mouse reveals spatiotemporal signatures of brain aging and neurodegenerative diseases.

Applications

Unspecified application

Species

Unspecified reactive species

Pan Fang,Xiangming Yu,MengYang Ding,Cong Qifei,Hongyu Jiang,Qi Shi,Weiwei Zhao,Weimin Zheng,Yingning Li,Zixiang Ling,Wei-Jun Kong,Pengyuan Yang,Huali Shen

Frontiers in immunology 16:1577234 PubMed40475787

2025

Thrombospondin-1 mitigates osteoarthritis progression by inhibiting mechanical stress-induced chondrocyte ferroptosis via the integrin/YAP pathway.

Applications

Unspecified application

Species

Unspecified reactive species

Shaoyi Wang,Xiaocong Zhou,Fujian Zhang,Haoxin Zhai,Yuanqiang Zhang,Yongyuan Guo

Molecular cancer 24:157 PubMed40442751

2025

Targeting BATF2-RGS2 axis reduces T-cell exhaustion and restores anti-tumor immunity.

Applications

Unspecified application

Species

Unspecified reactive species

Xuyu Gu,Chanchan Gao,Xiangyu Su,Yaoyao Zhu,Qiyu Fang,Jia Yu,Ziming Wang,Deping Zhao,Wentian Zhang

CNS neuroscience & therapeutics 31:e70413 PubMed40384564

2025

Kisspeptin-10 Prevents the Development of Cerebral Aneurysms by Reducing the Expression of Egr-1.

Applications

Unspecified application

Species

Unspecified reactive species

Huimin Yu,Minghong Xie,Xuancong Liufu,Yezi Xu,Lei Chen

International journal of molecular sciences 26: PubMed40331957

2025

CD36 Induces Inflammation by Promoting Ferroptosis in Pancreas, Epididymal Adipose Tissue, and Adipose Tissue Macrophages in Obesity-Related Severe Acute Pancreatitis.

Applications

Unspecified application

Species

Unspecified reactive species

Ruoyi Zhang,Xin Ling,Xianwen Guo,Zhen Ding

Pharmaceutics 17: PubMed40284439

2025

Advanced Detection and Therapeutic Monitoring of Atherosclerotic Plaque Using CD36-Targeted Lipid Core Probe.

Applications

Unspecified application

Species

Unspecified reactive species

Tingting Gao,Siqi Gao,Maolin Qiao,Chuanlong Lu,Heng Wang,Hongjiu Zhang,Lizheng Li,Shule Wang,Ruijing Zhang,Honglin Dong
View all publications

Product promise

We are committed to supporting your work with high-quality reagents, and we're here for you every step of the way. In the unlikely event that one of our products does not perform as expected, you're protected by our Product Promise.
For full details, please see our Terms & Conditions

Please note: All products are 'FOR RESEARCH USE ONLY. NOT FOR USE IN DIAGNOSTIC OR THERAPEUTIC PROCEDURES'.

For licensing inquiries, please contact partnerships@abcam.com