JavaScript is disabled in your browser. Please enable JavaScript to view this website.
AB255331

Anti-CD36 antibody [EPR22509-40] - BSA and Azide free

Be the first to review this product! Submit a review

|

(2 Publications)

Rabbit Recombinant Monoclonal CD36 antibody. Carrier free. Suitable for Flow Cyt, WB, ICC/IF, IHC-P and reacts with Human, Mouse, Rat samples. Cited in 2 publications.

View Alternative Names

CD36, GP3B, GP4, Platelet glycoprotein 4, Fatty acid translocase, Glycoprotein IIIb, Leukocyte differentiation antigen CD36, PAS IV, PAS-4, Platelet collagen receptor, Platelet glycoprotein IV, Thrombospondin receptor, FAT, GPIIIB, GPIV

8 Images
Immunohistochemistry (Formalin/PFA-fixed paraffin-embedded sections) - Anti-CD36 antibody [EPR22509-40] - BSA and Azide free (AB255331)
  • IHC-P

Unknown

Immunohistochemistry (Formalin/PFA-fixed paraffin-embedded sections) - Anti-CD36 antibody [EPR22509-40] - BSA and Azide free (AB255331)

Immunohistochemical analysis of paraffin-embedded human spleen tissue labeling CD36 with ab252922 at 1/1000 dilution, followed by Goat Anti-Rabbit IgG H&L (HRP) ready to use. Positive staining on endothelial cells of human spleen (PMID : 30047927,22777768) is observed. Counter stained with hematoxylin.

Secondary antibody only control : Used PBS instead of primary antibody, secondary antibody is Goat Anti-Rabbit IgG H&L (HRP) ready to use.

Heat mediated antigen retrieval using ab93684 (Tris/EDTA buffer, pH 9.0).

This data was developed using the same antibody clone in a different buffer formulation containing PBS, BSA, glycerol, and sodium azide (ab252922).

Immunohistochemistry (Formalin/PFA-fixed paraffin-embedded sections) - Anti-CD36 antibody [EPR22509-40] - BSA and Azide free (AB255331)
  • IHC-P

Unknown

Immunohistochemistry (Formalin/PFA-fixed paraffin-embedded sections) - Anti-CD36 antibody [EPR22509-40] - BSA and Azide free (AB255331)

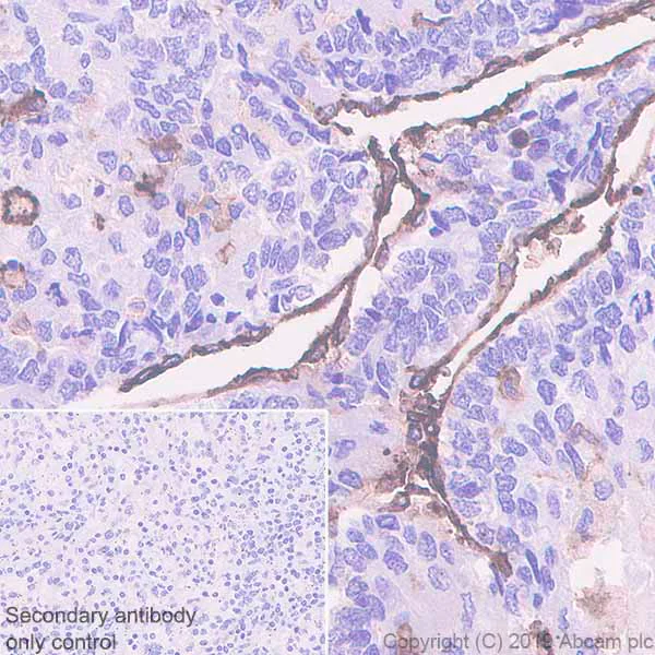
Immunohistochemical analysis of paraffin-embedded human hepatocellular tissue labeling CD36 with ab252922 at 1/1000 dilution, followed by Goat Anti-Rabbit IgG H&L (HRP) ready to use. Positive staining on endothelial cells of human hepatocellular carcinoma (PMID : 30047927,22777768) is observed. Counter stained with hematoxylin.

Secondary antibody only control : Used PBS instead of primary antibody, secondary antibody is Goat Anti-Rabbit IgG H&L (HRP) ready to use.

Heat mediated antigen retrieval using ab93684 (Tris/EDTA buffer, pH 9.0).

This data was developed using the same antibody clone in a different buffer formulation containing PBS, BSA, glycerol, and sodium azide (ab252922).

Flow Cytometry - Anti-CD36 antibody [EPR22509-40] - BSA and Azide free (AB255331)
  • Flow Cyt

Unknown

Flow Cytometry - Anti-CD36 antibody [EPR22509-40] - BSA and Azide free (AB255331)

Flow cytometric analysis of THP-1 (human monocytic leukemia cell line) cells labelingCD36 with ab252922 at 1/50 dilution (red) compared with a Recombinant Rabbit IgG, monoclonal [EPR25A] - Isotype Control (ab172730) (black) and an unlabelled control (cells without incubation with primary antibody and secondary antibody) (blue).

Goat Anti-Rabbit IgG Fc (Alexa Fluo 488) preadsorbed (ab150097), at 1/5000 dilution was used as the secondary antibody.

Gated on viable cells.

This data was developed using the same antibody clone in a different buffer formulation containing PBS, BSA, glycerol, and sodium azide (ab252922).

Immunocytochemistry/ Immunofluorescence - Anti-CD36 antibody [EPR22509-40] - BSA and Azide free (AB255331)
  • ICC/IF

Supplier Data

Immunocytochemistry/ Immunofluorescence - Anti-CD36 antibody [EPR22509-40] - BSA and Azide free (AB255331)

Immunofluorescent analysis of 80% Methanol fixed 0.1% TritonX-100 permeabilised U937 (Human histiocytic lymphoma monocyte) cells labelling CD36 with ab252922 at 1/50 dilution, followed by Goat Anti-Rabbit IgG H&L (Alexa Fluor® 488) preadsorbed (ab150081) secondary antibody at 1/1000 dilution. Confocal image showing membranous staining in U937 cells (Human histiocytic lymphoma monocyte) is observed. Anti-alpha Tubulin mouse monoclonal antibody - Microtubule Marker (Alexa Fluor® 594) (ab195889) was used to counterstain Alpha Tubulin at 1/200 dilution.The Nuclear counterstain is DAPI . Secondary antibody only control : Goat Anti-Rabbit IgG H&L (Alexa Fluor® 488) preadsorbed (ab150081) at 1/1000 dilution. This data was developed using ab255331, the same antibody clone in a different buffer formulation.

Immunohistochemistry (Formalin/PFA-fixed paraffin-embedded sections) - Anti-CD36 antibody [EPR22509-40] - BSA and Azide free (AB255331)
  • IHC-P

Unknown

Immunohistochemistry (Formalin/PFA-fixed paraffin-embedded sections) - Anti-CD36 antibody [EPR22509-40] - BSA and Azide free (AB255331)

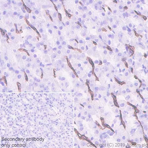
Immunohistochemical analysis of paraffin-embedded rat stomach tissue labeling CD36 with ab252922 at 1/1000 dilution, followed by Goat Anti-Rabbit IgG H&L (HRP) ready to use. Positive staining on endothelial cells of rat stomach. (PMID : 30047927,22777768) is observed. Counter stained with hematoxylin.

Secondary antibody only control : Used PBS instead of primary antibody, secondary antibody is Goat Anti-Rabbit IgG H&L (HRP) ready to use.

Heat mediated antigen retrieval using ab93684 (Tris/EDTA buffer, pH 9.0).

This data was developed using the same antibody clone in a different buffer formulation containing PBS, BSA, glycerol, and sodium azide (ab252922).

Western blot - Anti-CD36 antibody [EPR22509-40] - BSA and Azide free (AB255331)
  • WB

Lab

Western blot - Anti-CD36 antibody [EPR22509-40] - BSA and Azide free (AB255331)

This data was developed using the same antibody clone in a different buffer formulation containing PBS, BSA, glycerol, and sodium azide (ab252922).

Blocking and diluting buffer and concentration : 5% NFDM/TBST

The molecular weight observed is due to glycosylation and consistent with what has been described in the literature (PMID : 8798390, 15677505, 20637247, 8631821).

Low expression : brain (PMID : 27646002 )

This blot was developed using a high sensitivity ECL substrate. The high-sensitivity ECL substrate used allows for the detection of proteins in the mid-femtogram range.

All lanes:

Western blot - Anti-CD36 antibody [EPR22509-40] (<a href='/en-us/products/primary-antibodies/cd36-antibody-epr22509-40-ab252922'>ab252922</a>) at 1/1000 dilution

Lane 1:

Mouse white fat tissue lysate at 40 µg

Lane 2:

Mouse brown fat tissue lysate at 40 µg

Lane 3:

Mouse spleen tissue lysate at 40 µg

Lane 4:

Mouse brain tissue lysate at 40 µg

Secondary

All lanes:

Western blot - Goat Anti-Rabbit IgG H&L (HRP) (<a href='/en-us/products/secondary-antibodies/goat-rabbit-igg-h-l-hrp-ab97051'>ab97051</a>) at 1/20000 dilution

Predicted band size: 53 kDa

Observed band size: 70 kDa,100 kDa

true

Exposure time: 81s

Western blot - Anti-CD36 antibody [EPR22509-40] - BSA and Azide free (AB255331)
  • WB

Lab

Western blot - Anti-CD36 antibody [EPR22509-40] - BSA and Azide free (AB255331)

Blocking and dilution buffer : 5% NFDM/TBST

CD36 expression is low in the normal brain (PMID : 27646002).

This data was developed using the same antibody clone in a different buffer formulation containing PBS, BSA, glycerol, and sodium azide (ab252922).

All lanes:

Western blot - Anti-CD36 antibody [EPR22509-40] (<a href='/en-us/products/primary-antibodies/cd36-antibody-epr22509-40-ab252922'>ab252922</a>) at 1/1000 dilution

Lane 1:

Rat spleen tissue lysate at 20 µg

Lane 2:

Rat brain tissue lysate at 20 µg

Secondary

All lanes:

Goat Anti-Rabbit IgG, (H+L), Peroxidase conjugated at 1/20000 dilution

Predicted band size: 53 kDa

Observed band size: 70-110 kDa

false

Exposure time: 180s

Flow Cytometry - Anti-CD36 antibody [EPR22509-40] - BSA and Azide free (AB255331)
  • Flow Cyt

Supplier Data

Flow Cytometry - Anti-CD36 antibody [EPR22509-40] - BSA and Azide free (AB255331)

Flow cytometric analysis of Ramos (human Burkitt's lymphoma B lymphocyte) cells labeling CD36 with ab252922 at 1/50 dilution (red) compared with a Recombinant Rabbit IgG, monoclonal [EPR25A] - Isotype Control (ab172730) (black) and an unlabelled control (cells without incubation with primary antibody and secondary antibody) (blue).

Goat Anti-Rabbit IgG Fc (Alexa Fluor® 488) preadsorbed (ab150097), at 1/5000 dilution was used as the secondary antibody.

Gated on viable cells.

Negative control : Ramos (PMID : 10744776).

This data was developed using the same antibody clone in a different buffer formulation containing PBS, BSA, glycerol, and sodium azide (ab252922).

Key facts

Host species

Rabbit

Clonality

Monoclonal

Clone number

EPR22509-40

Isotype

IgG

Carrier free

Yes

Reacts with

Rat, Mouse, Human

Applications

ICC/IF, WB, Flow Cyt, IHC-P

applications

Immunogen

The exact immunogen used to generate this antibody is proprietary information.

Specificity

CD36 expression is low in the normal brain (PMID: 27646002).

Mouse species is recommended based on WB results, we do not guarantee IHC-P for mouse. ab252922 doesn't work in mouse and rat liver as it detects no signal at CD36 position and a close nonspecific band.

Reactivity data

{ "title": "Reactivity Data", "filters": { "stats": ["", "Species", "Dilution Info", "Notes"], "tabs": { "all-applications": {"fullname" : "All Applications", "shortname": "All Applications"}, "IP" : {"fullname" : "Immunoprecipitation", "shortname":"IP"}, "FlowCyt" : {"fullname" : "Flow Cytometry", "shortname":"Flow Cyt"}, "WB" : {"fullname" : "Western blot", "shortname":"WB"}, "ICCIF" : {"fullname" : "Immunocytochemistry/ Immunofluorescence", "shortname":"ICC/IF"}, "IHCP" : {"fullname" : "Immunohistochemistry (Formalin/PFA-fixed paraffin-embedded sections)", "shortname":"IHC-P"} }, "product-promise": { "all": "all", "testedAndGuaranteed": "tested", "guaranteed": "expected", "predicted": "predicted", "notRecommended": "not-recommended" } }, "values": { "Human": { "IP-species-checked": "notRecommended", "IP-species-dilution-info": "", "IP-species-notes": "<p></p>", "FlowCyt-species-checked": "testedAndGuaranteed", "FlowCyt-species-dilution-info": "", "FlowCyt-species-notes": "<p></p>", "WB-species-checked": "testedAndGuaranteed", "WB-species-dilution-info": "", "WB-species-notes": "<p></p>", "ICCIF-species-checked": "testedAndGuaranteed", "ICCIF-species-dilution-info": "", "ICCIF-species-notes": "<p></p>", "IHCP-species-checked": "guaranteed", "IHCP-species-dilution-info": "", "IHCP-species-notes": "" }, "Mouse": { "IP-species-checked": "notRecommended", "IP-species-dilution-info": "", "IP-species-notes": "", "FlowCyt-species-checked": "guaranteed", "FlowCyt-species-dilution-info": "", "FlowCyt-species-notes": "", "WB-species-checked": "testedAndGuaranteed", "WB-species-dilution-info": "", "WB-species-notes": "<p></p>", "ICCIF-species-checked": "guaranteed", "ICCIF-species-dilution-info": "", "ICCIF-species-notes": "", "IHCP-species-checked": "notRecommended", "IHCP-species-dilution-info": "", "IHCP-species-notes": "<p>IHC is recommend only for human and rat.</p>" }, "Rat": { "IP-species-checked": "notRecommended", "IP-species-dilution-info": "", "IP-species-notes": "<p></p>", "FlowCyt-species-checked": "guaranteed", "FlowCyt-species-dilution-info": "", "FlowCyt-species-notes": "", "WB-species-checked": "testedAndGuaranteed", "WB-species-dilution-info": "", "WB-species-notes": "<p></p>", "ICCIF-species-checked": "guaranteed", "ICCIF-species-dilution-info": "", "ICCIF-species-notes": "<p></p>", "IHCP-species-checked": "testedAndGuaranteed", "IHCP-species-dilution-info": "", "IHCP-species-notes": "<p>IHC is recommend only for human and rat.</p>" } } }

Product details

ab255331 is the carrier-free version of ab252922.

Patented technology
Our RabMAb® technology is a patented hybridoma-based technology for making rabbit monoclonal antibodies. For details on our patents, please refer to RabMAb® patents.

What are the advantages of a recombinant monoclonal antibody?
This product is a recombinant monoclonal antibody, which offers several advantages including:

  • - High batch-to-batch consistency and reproducibility
  • - Improved sensitivity and specificity
  • - Long-term security of supply
  • - Animal-free batch production

For more information, read more on recombinant antibodies.

Conjugation ready
Our carrier-free antibodies are typically supplied in a PBS-only formulation, purified and free of BSA, sodium azide and glycerol. This conjugation-ready format is designed for use with fluorochromes, metal isotopes, oligonucleotides, and enzymes, which makes them ideal for antibody labelling, functional and cell-based assays, flow-based assays (e.g. mass cytometry) and Multiplex Imaging applications.

Use our conjugation kits for antibody conjugates that are ready-to-use in as little as 20 minutes with 1 minute hands-on-time and 100% antibody recovery: available for fluorescent dyes, HRP, biotin and gold.

Compatibility
This product is compatible with the Maxpar® Antibody Labeling Kit from Fluidigm, without the need for antibody preparation. Maxpar® is a trademark of Fluidigm Canada Inc.

Properties and storage information

Form
Liquid
Purification technique
Affinity purification Protein A
Storage buffer
pH: 7.2 - 7.4 Constituents: PBS
Shipped at conditions
Blue Ice
Appropriate short-term storage conditions
+4°C
Appropriate long-term storage conditions
+4°C
Storage information
Do Not Freeze

Product protocols

For this product, it's our understanding that no specific protocols are required. You can visit:

Target data

Multifunctional glycoprotein that acts as a receptor for a broad range of ligands. Ligands can be of proteinaceous nature like thrombospondin, fibronectin, collagen or amyloid-beta as well as of lipidic nature such as oxidized low-density lipoprotein (oxLDL), anionic phospholipids, long-chain fatty acids and bacterial diacylated lipopeptides. They are generally multivalent and can therefore engage multiple receptors simultaneously, the resulting formation of CD36 clusters initiates signal transduction and internalization of receptor-ligand complexes. The dependency on coreceptor signaling is strongly ligand specific. Cellular responses to these ligands are involved in angiogenesis, inflammatory response, fatty acid metabolism, taste and dietary fat processing in the intestine (Probable). Binds long-chain fatty acids and facilitates their transport into cells, thus participating in muscle lipid utilization, adipose energy storage, and gut fat absorption (By similarity) (PubMed : 18353783, PubMed : 21610069). Mechanistically, binding of fatty acids activates downstream kinase LYN, which phosphorylates the palmitoyltransferase ZDHHC5 and inactivates it, resulting in the subsequent depalmitoylation of CD36 and caveolar endocytosis (PubMed : 32958780). In the small intestine, plays a role in proximal absorption of dietary fatty acid and cholesterol for optimal chylomicron formation, possibly through the activation of MAPK1/3 (ERK1/2) signaling pathway (By similarity) (PubMed : 18753675). Involved in oral fat perception and preferences (PubMed : 22240721, PubMed : 25822988). Detection into the tongue of long-chain fatty acids leads to a rapid and sustained rise in flux and protein content of pancreatobiliary secretions (By similarity). In taste receptor cells, mediates the induction of an increase in intracellular calcium levels by long-chain fatty acids, leading to the activation of the gustatory neurons in the nucleus of the solitary tract (By similarity). Important factor in both ventromedial hypothalamus neuronal sensing of long-chain fatty acid and the regulation of energy and glucose homeostasis (By similarity). Receptor for thrombospondins, THBS1 and THBS2, mediating their antiangiogenic effects (By similarity). Involved in inducing apoptosis in podocytes in response to elevated free fatty acids, acting together with THBS1 (By similarity). As a coreceptor for TLR4 : TLR6 heterodimer, promotes inflammation in monocytes/macrophages. Upon ligand binding, such as oxLDL or amyloid-beta 42, interacts with the heterodimer TLR4 : TLR6, the complex is internalized and triggers inflammatory response, leading to NF-kappa-B-dependent production of CXCL1, CXCL2 and CCL9 cytokines, via MYD88 signaling pathway, and CCL5 cytokine, via TICAM1 signaling pathway, as well as IL1B secretion, through the priming and activation of the NLRP3 inflammasome (By similarity) (PubMed : 20037584). Selective and nonredundant sensor of microbial diacylated lipopeptide that signal via TLR2 : TLR6 heterodimer, this cluster triggers signaling from the cell surface, leading to the NF-kappa-B-dependent production of TNF, via MYD88 signaling pathway and subsequently is targeted to the Golgi in a lipid-raft dependent pathway (By similarity) (PubMed : 16880211).. (Microbial infection) Directly mediates cytoadherence of Plasmodium falciparum parasitized erythrocytes and the internalization of particles independently of TLR signaling.
See full target information CD36

Publications (2)

Recent publications for all applications. Explore the full list and refine your search

Lipids in health and disease 23:368 PubMed39529018

2024

NAT10 promotes liver lipogenesis in mouse through N4-acetylcytidine modification of Srebf1 and Scap mRNA.

Applications

Unspecified application

Species

Unspecified reactive species

Zhouqi Wang,Xinxing Wan,Md Asaduzzaman Khan,Lin Peng,Xiaoying Sun,Xuan Yi,Ke Chen

Annals of the rheumatic diseases 83:926-944 PubMed38325908

2024

Unveiling inflammatory and prehypertrophic cell populations as key contributors to knee cartilage degeneration in osteoarthritis using multi-omics data integration.

Applications

Unspecified application

Species

Unspecified reactive species

Yue Fan,Xuzhao Bian,Xiaogao Meng,Lei Li,Laiyi Fu,Yanan Zhang,Long Wang,Yan Zhang,Dalong Gao,Xiong Guo,Mikko Juhani Lammi,Guangdun Peng,Shiquan Sun
View all publications

Product promise

We are committed to supporting your work with high-quality reagents, and we're here for you every step of the way. In the unlikely event that one of our products does not perform as expected, you're protected by our Product Promise.
For full details, please see our Terms & Conditions

Please note: All products are 'FOR RESEARCH USE ONLY. NOT FOR USE IN DIAGNOSTIC OR THERAPEUTIC PROCEDURES'.

For licensing inquiries, please contact partnerships@abcam.com