JavaScript is disabled in your browser. Please enable JavaScript to view this website.
AB221605

Anti-CD36 antibody [EPR6573] - Low endotoxin, Azide free

Be the first to review this product! Submit a review

|

(35 Publications)

Rabbit Recombinant Monoclonal CD36 antibody. Carrier free. Suitable for IHC-P, WB and reacts with Human samples. Cited in 35 publications.

View Alternative Names

CD36, GP3B, GP4, Platelet glycoprotein 4, Fatty acid translocase, Glycoprotein IIIb, Leukocyte differentiation antigen CD36, PAS IV, PAS-4, Platelet collagen receptor, Platelet glycoprotein IV, Thrombospondin receptor, FAT, GPIIIB, GPIV

5 Images
Immunohistochemistry (Formalin/PFA-fixed paraffin-embedded sections) - Anti-CD36 antibody [EPR6573] - Low endotoxin, Azide free (AB221605)
  • IHC-P

Lab

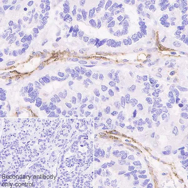
Immunohistochemistry (Formalin/PFA-fixed paraffin-embedded sections) - Anti-CD36 antibody [EPR6573] - Low endotoxin, Azide free (AB221605)

ab133625 staining CD36 in paraffin embedded Human cardiac muscle tissue sections by Immunohistochemistry (Formalin/PFA fixed paraffin embedded sections). Tissue was counterstained with hematoxylin and heat mediated antigen retrieval was performed using ab93684 (Tris/EDTA buffer, pH 9.0). Samples were incubated with primary antibody at 1/10,000 dilution (0.17µg/ml). A ready to use Goat anti-rabbit IgG H&L (HRP) was used as the secondary antibody. Positive staining mainly on endothelial cells in human cardiac muscle.

This data was developed using the same antibody clone in a different buffer formulation containing PBS, BSA, glycerol, and sodium azide (ab133625).

Immunohistochemistry (Formalin/PFA-fixed paraffin-embedded sections) - Anti-CD36 antibody [EPR6573] - Low endotoxin, Azide free (AB221605)
  • IHC-P

Lab

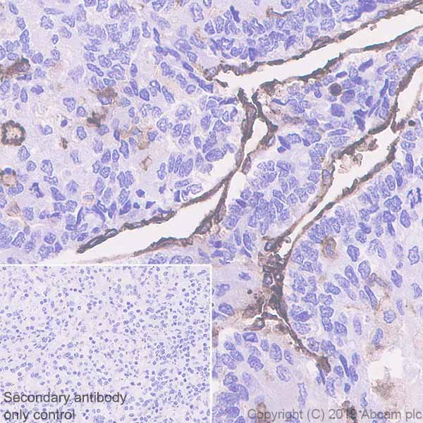
Immunohistochemistry (Formalin/PFA-fixed paraffin-embedded sections) - Anti-CD36 antibody [EPR6573] - Low endotoxin, Azide free (AB221605)

ab133625 staining CD36 in paraffin embedded Human Hepatocellular cancer tissue sections by Immunohistochemistry (Formalin/PFA fixed paraffin embedded sections). Tissue was counterstained with hematoxylin and heat mediated antigen retrieval was performed using ab93684 (Tris/EDTA buffer, pH 9.0). Samples were incubated with primary antibody at 1/10,000 dilution (0.17µg/ml). A ready to use Goat anti-rabbit IgG H&L (HRP) was used as the secondary antibody. Positive staining on endothelial cells in human hepatocellular cancer.

This data was developed using the same antibody clone in a different buffer formulation containing PBS, BSA, glycerol, and sodium azide (ab133625).

Western blot - Anti-CD36 antibody [EPR6573] - Low endotoxin, Azide free (AB221605)
  • WB

Lab

Western blot - Anti-CD36 antibody [EPR6573] - Low endotoxin, Azide free (AB221605)

This blot was produced using a 10% Bis-tris gel under the MES buffer system. The gel was run at 200V for 35 minutes before being transferred onto a Nitrocellulose membrane at 30V for 70 minutes. The membrane was then blocked for an hour using 2% Bovine Serum Albumin before being incubated with ab133625 overnight at 4°C. Antibody binding was detected using an anti-rabbit antibody conjugated to HRP, and visualised using ECL development solution.

This data was developed using the same antibody clone in a different buffer formulation containing PBS, BSA, glycerol, and sodium azide (ab133625).

All lanes:

Western blot - Anti-CD36 antibody [EPR6573] - Low endotoxin, Azide free (ab221605) at 1/1000 dilution

Lane 1:

Human Heart Tissue Lysate at 20 µg

Lane 2:

Human Adipose Tissue Lysate at 20 µg

Lanes 3 - 4:

Mouse Adipose Tissue Lysate at 20 µg

Secondary

All lanes:

Western blot - Goat Anti-Rabbit IgG H&L (HRP) (<a href='/en-us/products/secondary-antibodies/goat-rabbit-igg-h-l-hrp-ab97051'>ab97051</a>) at 1/10000 dilution

Predicted band size: 53 kDa

Observed band size: 88 kDa

true

Exposure time: 2min

Western blot - Anti-CD36 antibody [EPR6573] - Low endotoxin, Azide free (AB221605)
  • WB

Supplier Data

Western blot - Anti-CD36 antibody [EPR6573] - Low endotoxin, Azide free (AB221605)

This data was developed using the same antibody clone in a different buffer formulation containing PBS, BSA, glycerol, and sodium azide (ab133625).

The expression level of CD36 varies in different samples, and it could be upregulated by treatments such as PMA and Porphyromonas gingivalis (PMID : 8576181 and 27234131).

Blocking and diluting buffer and concentration : 5% NFDM/TBST.

We are unsure as to the identity of the 130kda band. Based on the data we currently have, we tend to believe that it is a nonspecific band.

All lanes:

Western blot - Anti-CD36 antibody [EPR6573] (<a href='/en-us/products/primary-antibodies/cd36-antibody-epr6573-ab133625'>ab133625</a>) at 1/1000 dilution

Lane 1:

THP-1 (Human monocytic leukemia monocyte) whole cell lysate at 20 µg

Lane 2:

THP-1 (Human monocytic leukemia monocyte) treated with 100ng/ml PMA (Phorbol-12-myristate-13-acetate) for 72 hours whole cell lysates at 20 µg

Lane 3:

Human adipose lysates at 20 µg

Lane 4:

HepG2 (Human hepatocellular carcinoma epithelial cell) whole cell lysates at 20 µg

Secondary

All lanes:

Western blot - Goat Anti-Rabbit IgG H&L (HRP) (<a href='/en-us/products/secondary-antibodies/goat-rabbit-igg-h-l-hrp-ab97051'>ab97051</a>) at 1/20000 dilution

Predicted band size: 53 kDa

Observed band size: 78 kDa

false

Exposure time: 50s

Western blot - Anti-CD36 antibody [EPR6573] - Low endotoxin, Azide free (AB221605)
  • WB

Lab

Western blot - Anti-CD36 antibody [EPR6573] - Low endotoxin, Azide free (AB221605)

This data was developed using the same antibody clone in a different buffer formulation containing PBS, BSA, glycerol, and sodium azide (ab133625).

Blocking buffer : 5% NFDM/TBST

All lanes:

Western blot - Anti-CD36 antibody [EPR6573] (<a href='/en-us/products/primary-antibodies/cd36-antibody-epr6573-ab133625'>ab133625</a>) at 1/1000 dilution

All lanes:

HEK293 (human embryonic kidney epithelial cell) transfected with His-tagged human CD36 (30aa-439aa) expression vector, whole cell lysate at 20 µg

Secondary

All lanes:

Western blot - Goat Anti-Rabbit IgG H&L (HRP) (<a href='/en-us/products/secondary-antibodies/goat-rabbit-igg-h-l-hrp-ab97051'>ab97051</a>) at 1/20000 dilution

Predicted band size: 53 kDa

Observed band size: 74 kDa

false

Exposure time: 3s

Key facts

Host species

Rabbit

Clonality

Monoclonal

Clone number

EPR6573

Isotype

IgG

Carrier free

Yes

Reacts with

Human

Applications

WB, IHC-P

applications

Immunogen

The exact immunogen used to generate this antibody is proprietary information.

Specificity

The immunogen used for this product shares 57% homology with SCARB1. Cross-reactivity with this protein has not been confirmed experimentally. Expression levels of the target protein vary with sample type and some optimisation may be require

Reactivity data

{ "title": "Reactivity Data", "filters": { "stats": ["", "Species", "Dilution Info", "Notes"], "tabs": { "all-applications": {"fullname" : "All Applications", "shortname": "All Applications"}, "IHCP" : {"fullname" : "Immunohistochemistry (Formalin/PFA-fixed paraffin-embedded sections)", "shortname":"IHC-P"}, "WB" : {"fullname" : "Western blot", "shortname":"WB"} }, "product-promise": { "all": "all", "testedAndGuaranteed": "tested", "guaranteed": "expected", "predicted": "predicted", "notRecommended": "not-recommended" } }, "values": { "Human": { "IHCP-species-checked": "testedAndGuaranteed", "IHCP-species-dilution-info": "", "IHCP-species-notes": "<p>We do not guarantee IHC-P for mouse species and did not test IHC-P on guinea pig tissues.</p>", "WB-species-checked": "testedAndGuaranteed", "WB-species-dilution-info": "", "WB-species-notes": "<p></p>" }, "Guinea pig": { "IHCP-species-checked": "predicted", "IHCP-species-dilution-info": "", "IHCP-species-notes": "", "WB-species-checked": "predicted", "WB-species-dilution-info": "", "WB-species-notes": "" } } }

Product details

ab221605 is the carrier-free version of ab133625.

Patented technology
Our RabMAb® technology is a patented hybridoma-based technology for making rabbit monoclonal antibodies. For details on our patents, please refer to RabMAb® patents.

What are the advantages of a recombinant monoclonal antibody?
This product is a recombinant monoclonal antibody, which offers several advantages including:

  • - High batch-to-batch consistency and reproducibility
  • - Improved sensitivity and specificity
  • - Long-term security of supply
  • - Animal-free batch production

For more information, read more on recombinant antibodies.

Conjugation ready
Our carrier-free antibodies are typically supplied in a PBS-only formulation, purified and free of BSA, sodium azide and glycerol. This conjugation-ready format is designed for use with fluorochromes, metal isotopes, oligonucleotides, and enzymes, which makes them ideal for antibody labelling, functional and cell-based assays, flow-based assays (e.g. mass cytometry) and Multiplex Imaging applications.

Use our conjugation kits for antibody conjugates that are ready-to-use in as little as 20 minutes with 1 minute hands-on-time and 100% antibody recovery: available for fluorescent dyes, HRP, biotin and gold.

Compatibility
This product is compatible with the Maxpar® Antibody Labeling Kit from Fluidigm, without the need for antibody preparation. Maxpar® is a trademark of Fluidigm Canada Inc.

What does low endotoxin mean?
Our low endotoxin, azide-free formats have low endotoxin level (1 EU/mg, determined by the TAL assay) and are free from azide, to achieve consistent experimental results in functional assays.

Properties and storage information

Form
Liquid
Purification technique
Affinity purification Protein A
Purification notes
Endotoxin level is less than 1 EU/ml as determined by the TAL test.
Storage buffer
pH: 7.2 - 7.4 Constituents: PBS
Shipped at conditions
Blue Ice
Appropriate short-term storage conditions
+4°C
Appropriate long-term storage conditions
+4°C
Storage information
Do Not Freeze

Product protocols

For this product, it's our understanding that no specific protocols are required. You can visit:

Target data

Multifunctional glycoprotein that acts as a receptor for a broad range of ligands. Ligands can be of proteinaceous nature like thrombospondin, fibronectin, collagen or amyloid-beta as well as of lipidic nature such as oxidized low-density lipoprotein (oxLDL), anionic phospholipids, long-chain fatty acids and bacterial diacylated lipopeptides. They are generally multivalent and can therefore engage multiple receptors simultaneously, the resulting formation of CD36 clusters initiates signal transduction and internalization of receptor-ligand complexes. The dependency on coreceptor signaling is strongly ligand specific. Cellular responses to these ligands are involved in angiogenesis, inflammatory response, fatty acid metabolism, taste and dietary fat processing in the intestine (Probable). Binds long-chain fatty acids and facilitates their transport into cells, thus participating in muscle lipid utilization, adipose energy storage, and gut fat absorption (By similarity) (PubMed : 18353783, PubMed : 21610069). Mechanistically, binding of fatty acids activates downstream kinase LYN, which phosphorylates the palmitoyltransferase ZDHHC5 and inactivates it, resulting in the subsequent depalmitoylation of CD36 and caveolar endocytosis (PubMed : 32958780). In the small intestine, plays a role in proximal absorption of dietary fatty acid and cholesterol for optimal chylomicron formation, possibly through the activation of MAPK1/3 (ERK1/2) signaling pathway (By similarity) (PubMed : 18753675). Involved in oral fat perception and preferences (PubMed : 22240721, PubMed : 25822988). Detection into the tongue of long-chain fatty acids leads to a rapid and sustained rise in flux and protein content of pancreatobiliary secretions (By similarity). In taste receptor cells, mediates the induction of an increase in intracellular calcium levels by long-chain fatty acids, leading to the activation of the gustatory neurons in the nucleus of the solitary tract (By similarity). Important factor in both ventromedial hypothalamus neuronal sensing of long-chain fatty acid and the regulation of energy and glucose homeostasis (By similarity). Receptor for thrombospondins, THBS1 and THBS2, mediating their antiangiogenic effects (By similarity). Involved in inducing apoptosis in podocytes in response to elevated free fatty acids, acting together with THBS1 (By similarity). As a coreceptor for TLR4 : TLR6 heterodimer, promotes inflammation in monocytes/macrophages. Upon ligand binding, such as oxLDL or amyloid-beta 42, interacts with the heterodimer TLR4 : TLR6, the complex is internalized and triggers inflammatory response, leading to NF-kappa-B-dependent production of CXCL1, CXCL2 and CCL9 cytokines, via MYD88 signaling pathway, and CCL5 cytokine, via TICAM1 signaling pathway, as well as IL1B secretion, through the priming and activation of the NLRP3 inflammasome (By similarity) (PubMed : 20037584). Selective and nonredundant sensor of microbial diacylated lipopeptide that signal via TLR2 : TLR6 heterodimer, this cluster triggers signaling from the cell surface, leading to the NF-kappa-B-dependent production of TNF, via MYD88 signaling pathway and subsequently is targeted to the Golgi in a lipid-raft dependent pathway (By similarity) (PubMed : 16880211).. (Microbial infection) Directly mediates cytoadherence of Plasmodium falciparum parasitized erythrocytes and the internalization of particles independently of TLR signaling.
See full target information CD36

Publications (35)

Recent publications for all applications. Explore the full list and refine your search

Experimental and therapeutic medicine 23:78 PubMed34938364

2021

Paeonol suppresses lipid formation and promotes lipid degradation in adipocytes.

Applications

Unspecified application

Species

Unspecified reactive species

Ji Li,Huan Gu

Platelets 31:33-42 PubMed30721642

2019

The human platelet transcriptome and proteome is altered and pro-thrombotic functional responses are increased during prolonged hypoxia exposure at high altitude.

Applications

Unspecified application

Species

Unspecified reactive species

Chunxiang Shang,Tana Wuren,Qing Ga,Zhenzhong Bai,Li Guo,Alicia S Eustes,Kyra N McComas,Matthew T Rondina,Rili Ge

Journal of cellular biochemistry 120:5193-5206 PubMed30506990

2018

Microarray profiling analysis identifies the mechanism of miR-200b-3p/mRNA-CD36 affecting diabetic cardiomyopathy via peroxisome proliferator activated receptor-γ signaling pathway.

Applications

Unspecified application

Species

Unspecified reactive species

Liqiong Xu,Wei Chen,Min Ma,Anfang Chen,Chengyue Tang,Chengwei Zhang,Lin Cai

FEBS letters 592:2725-2738 PubMed30054905

2018

Upstream stimulating factor 1 suppresses autophagy and hepatic lipid droplet catabolism by activating mTOR.

Applications

Unspecified application

Species

Unspecified reactive species

Jun Guo,Weiwei Fang,Xiehui Chen,Yajun Lin,Gang Hu,Jie Wei,Xiaoyi Zhang,Chunxiao Yang,Jian Li

Physiological reports 6:e13789 PubMed30009570

2018

Curcumin supplementation mitigates NASH development and progression in female Wistar rats.

Applications

Unspecified application

Species

Unspecified reactive species

Rory P Cunningham,Mary P Moore,Angelique N Moore,James C Healy,Michael D Roberts,R Scott Rector,Jeffrey S Martin

Frontiers in immunology 9:878 PubMed29760701

2018

Human Gingiva-Derived Mesenchymal Stem Cells Modulate Monocytes/Macrophages and Alleviate Atherosclerosis.

Applications

Unspecified application

Species

Unspecified reactive species

Ximei Zhang,Feng Huang,Weixuan Li,Jun-Long Dang,Jia Yuan,Julie Wang,Dong-Lan Zeng,Can-Xing Sun,Yan-Ying Liu,Qian Ao,Hongmei Tan,Wenru Su,Xiaoxian Qian,Nancy Olsen,Song Guo Zheng

Biochimica et biophysica acta. Molecular and cell 1863:834-843 PubMed29673706

2018

Lysophosphatidylcholine acyltransferase 3 deficiency impairs 3T3L1 cell adipogenesis through activating Wnt/β-catenin pathway.

Applications

Unspecified application

Species

Unspecified reactive species

Chunyan Feng,Bin Lou,Jibin Dong,Zhiqiang Li,Yunqin Chen,Yue Li,Xuemei Zhang,Xian-Cheng Jiang,Tingbo Ding

Journal of the American Heart Association 7: PubMed29502100

2018

Adipose-Derived Exosomes Exert Proatherogenic Effects by Regulating Macrophage Foam Cell Formation and Polarization.

Applications

Unspecified application

Species

Unspecified reactive species

Zulong Xie,Xuedong Wang,Xinxin Liu,Huaan Du,Changbin Sun,Xin Shao,Jiangtian Tian,Xia Gu,Hailong Wang,Jinwei Tian,Bo Yu

Molecular and cellular endocrinology 474:127-136 PubMed29499209

2018

Curcumin restrains hepatic glucose production by blocking cAMP/PKA signaling and reducing acetyl CoA accumulation in high-fat diet (HFD)-fed mice.

Applications

WB

Species

Mouse

Zixia Wang,Dan Xu,Linlin She,Yirui Zhang,Qingli Wei,Jiye Aa,Guangji Wang,Baolin Liu,Yuan Xie

Nature communications 9:612 PubMed29426937

2018

Ultraconserved element uc.372 drives hepatic lipid accumulation by suppressing miR-195/miR4668 maturation.

Applications

Unspecified application

Species

Unspecified reactive species

Jun Guo,Weiwei Fang,Libo Sun,Yonggang Lu,Lin Dou,Xiuqing Huang,Weiqing Tang,Liqing Yu,Jian Li
View all publications

Product promise

We are committed to supporting your work with high-quality reagents, and we're here for you every step of the way. In the unlikely event that one of our products does not perform as expected, you're protected by our Product Promise.
For full details, please see our Terms & Conditions

Please note: All products are 'FOR RESEARCH USE ONLY. NOT FOR USE IN DIAGNOSTIC OR THERAPEUTIC PROCEDURES'.

For licensing inquiries, please contact partnerships@abcam.com