JavaScript is disabled in your browser. Please enable JavaScript to view this website.
AB251819

Anti-CD37 antibody

Be the first to review this product! Submit a review

|

(0 Publication)

Rabbit Polyclonal CD37 antibody. Suitable for IHC-P, WB and reacts with Human samples. Immunogen corresponding to Recombinant Fragment Protein within Human CD37 aa 150-250.

View Alternative Names

CD37, TSPAN26, Leukocyte antigen CD37, Tetraspanin-26, Tspan-26

5 Images
Immunohistochemistry (Formalin/PFA-fixed paraffin-embedded sections) - Anti-CD37 antibody (AB251819)
  • IHC-P

Supplier Data

Immunohistochemistry (Formalin/PFA-fixed paraffin-embedded sections) - Anti-CD37 antibody (AB251819)

Formalin-fixed, paraffin-embedded human tonsil tissue stained for CD37 with ab251819 at a 1/50 dilution in immunohistochemical analysis.

Immunohistochemistry (Formalin/PFA-fixed paraffin-embedded sections) - Anti-CD37 antibody (AB251819)
  • IHC-P

Supplier Data

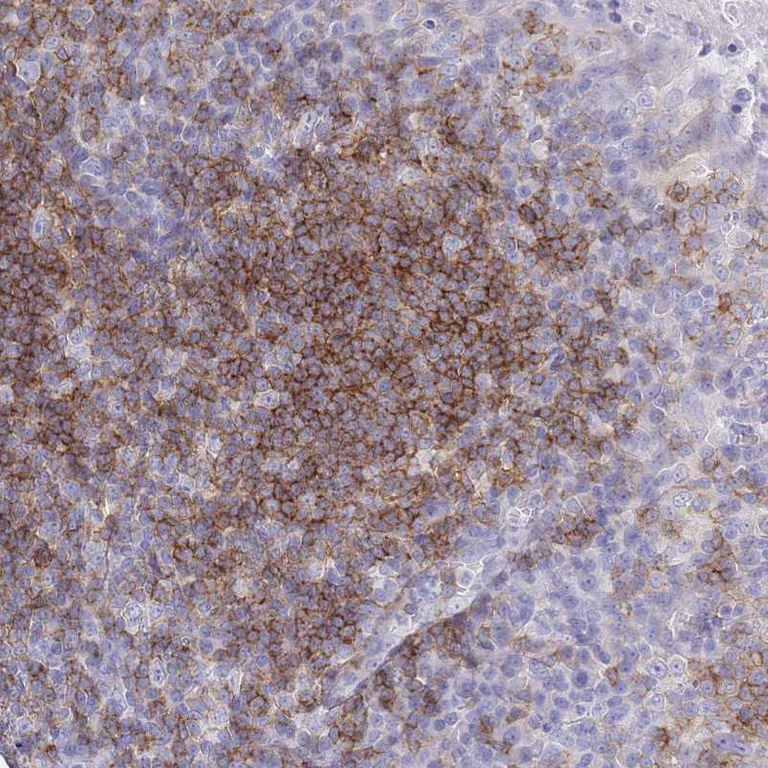
Immunohistochemistry (Formalin/PFA-fixed paraffin-embedded sections) - Anti-CD37 antibody (AB251819)

Formalin-fixed, paraffin-embedded human lymph node tissue stained for CD37 with ab251819 at a 1/50 dilution in immunohistochemical analysis.

Immunohistochemistry (Formalin/PFA-fixed paraffin-embedded sections) - Anti-CD37 antibody (AB251819)
  • IHC-P

Supplier Data

Immunohistochemistry (Formalin/PFA-fixed paraffin-embedded sections) - Anti-CD37 antibody (AB251819)

Formalin-fixed, paraffin-embedded human cerebral cortex tissue shows absence of immunoreactivity for CD37 when incubated with ab251819 at a 1/50 dilution (negative control).

Immunohistochemistry (Formalin/PFA-fixed paraffin-embedded sections) - Anti-CD37 antibody (AB251819)
  • IHC-P

Supplier Data

Immunohistochemistry (Formalin/PFA-fixed paraffin-embedded sections) - Anti-CD37 antibody (AB251819)

Formalin-fixed, paraffin-embedded human skeletal muscle tissue shows absence of immunoreactivity for CD37 when incubated with ab251819 at a 1/50 dilution (negative control).

Western blot - Anti-CD37 antibody (AB251819)
  • WB

Supplier Data

Western blot - Anti-CD37 antibody (AB251819)

Western blot analysis of Daudi cell lysate labeling CD37 with ab251819 at 0.04 ug/ml.

All lanes:

Western blot - Anti-CD37 antibody (ab251819) at 0.04 µg/mL

All lanes:

Daudi (human Burkitt's lymphoma cell line) whole cell lysate

Predicted band size: 31 kDa

false

Key facts

Host species

Rabbit

Clonality

Polyclonal

Isotype

IgG

Carrier free

No

Reacts with

Human

Applications

WB, IHC-P

applications

Immunogen

Recombinant Fragment Protein within Human CD37 aa 150-250. The exact immunogen used to generate this antibody is proprietary information.

P11049

Reactivity data

{ "title": "Reactivity Data", "filters": { "stats": ["", "Species", "Dilution Info", "Notes"], "tabs": { "all-applications": {"fullname" : "All Applications", "shortname": "All Applications"}, "IHCP" : {"fullname" : "Immunohistochemistry (Formalin/PFA-fixed paraffin-embedded sections)", "shortname":"IHC-P"}, "WB" : {"fullname" : "Western blot", "shortname":"WB"} }, "product-promise": { "all": "all", "testedAndGuaranteed": "tested", "guaranteed": "expected", "predicted": "predicted", "notRecommended": "not-recommended" } }, "values": { "Human": { "IHCP-species-checked": "testedAndGuaranteed", "IHCP-species-dilution-info": "1/50 - 1/200", "IHCP-species-notes": "<p></p> Perform heat-mediated antigen retrieval with citrate buffer pH 6 before commencing with IHC staining protocol.", "WB-species-checked": "testedAndGuaranteed", "WB-species-dilution-info": "0.04-0.4 µg/mL", "WB-species-notes": "<p></p>" } } }

Properties and storage information

Form
Liquid
Purification technique
Affinity purification Immunogen
Storage buffer
pH: 7.2 Preservative: 0.02% Sodium azide Constituents: PBS, 40% Glycerol (glycerin, glycerine)
Shipped at conditions
Blue Ice
Appropriate short-term storage duration
1-2 weeks
Appropriate short-term storage conditions
+4°C
Appropriate long-term storage conditions
-20°C
Aliquoting information
Upon delivery aliquot
Storage information
Avoid freeze / thaw cycle

Product protocols

For this product, it's our understanding that no specific protocols are required. You can visit:

Target data

Structural component of specialized membrane microdomains known as tetraspanin-enriched microdomains (TERMs), which act as platforms for receptor clustering and signaling. Participates thereby in diverse biological functions such as cell signal transduction, adhesion, migration and protein trafficking (PubMed : 22624718). Upon ligand binding, two signaling pathways are activated, one acting through phosphorylation by LYN leading to cell death or a survival pathway with activation of GSK3B (PubMed : 22624718). Plays an essential role essential for clustering of integrin ITGA4/ITGB1 and promotes its mobility in the plasma membrane of B-cells. In turn, participates in ITGA4/ITGB1 integrin-mediated antiapoptotic signaling through AKT (By similarity). Plays also a role in the migration of dendritic cells and neutrophils to draining lymph nodes, as well as in their integrin-mediated adhesion (By similarity). Negatively regulates IL-6 responses through direct interaction with SOCS3 thereby preventing constitutive IL-6 signaling (PubMed : 26784544). Alternatively, inhibition of IL-6 signaling can also occur via interaction and stabilization of DECTIN1/CLEC7A at the cell membrane to inhibit its ability to promote the production of IL-6 (PubMed : 17182550).
See full target information CD37

Product promise

We are committed to supporting your work with high-quality reagents, and we're here for you every step of the way. In the unlikely event that one of our products does not perform as expected, you're protected by our Product Promise.
For full details, please see our Terms & Conditions

Please note: All products are 'FOR RESEARCH USE ONLY. NOT FOR USE IN DIAGNOSTIC OR THERAPEUTIC PROCEDURES'.

For licensing inquiries, please contact partnerships@abcam.com