JavaScript is disabled in your browser. Please enable JavaScript to view this website.
AB288448

Anti-CD37 antibody [EPR25397-136] - BSA and Azide free

Be the first to review this product! Submit a review

|

(0 Publication)

Rabbit Recombinant Monoclonal CD37 antibody. Carrier free. Suitable for Flow Cyt, IHC-P, ICC/IF and reacts with Human samples.

View Alternative Names

CD37, TSPAN26, Leukocyte antigen CD37, Tetraspanin-26, Tspan-26

6 Images
Immunocytochemistry/ Immunofluorescence - Anti-CD37 antibody [EPR25397-136] - BSA and Azide free (AB288448)
  • ICC/IF

Supplier Data

Immunocytochemistry/ Immunofluorescence - Anti-CD37 antibody [EPR25397-136] - BSA and Azide free (AB288448)

This data was developed using ab288439, the same antibody clone in a different buffer formulation.

Immunofluorescent analysis of 100% methanol-fixed, 0.1% TritonX-100 permeabilized Raji cells labelling CD37 with ab288439 at 1/50 (9.86 ug/ml) dilution, followed by ab150081 Goat Anti-Rabbit IgG H&L (Alexa Fluor® 488) preadsorbed antibody at 1/1000 (2 ug/ml) dilution (Green). Confocal image showing membranous staining in Raji cell line. Negative control : MCF7 (PMID : 33652767. ab195889 Anti-alpha Tubulin mouse monoclonal antibody - Microtubule Marker (Alexa Fluor® 594) was used to counterstain tubulin at 1/200 (2.5ug/ml) dilution (Red). The Nuclear counterstain was DAPI (Blue).

Secondary antibody only control : Secondary antibody is ab150081 Goat Anti-Rabbit IgG H&L (Alexa Fluor® 488) preadsorbed at 1/1000 (2 ug/ml) dilution.

Immunohistochemistry (Formalin/PFA-fixed paraffin-embedded sections) - Anti-CD37 antibody [EPR25397-136] - BSA and Azide free (AB288448)
  • IHC-P

Supplier Data

Immunohistochemistry (Formalin/PFA-fixed paraffin-embedded sections) - Anti-CD37 antibody [EPR25397-136] - BSA and Azide free (AB288448)

This data was developed using ab288439, the same antibody clone in a different buffer formulation.

Immunohistochemical analysis of paraffin-embedded Human tonsil tissue labelling CD37 with ab288439 at 1/500 (0.986 ug/ml) followed by a ready to use Leica DS9800 (BOND™, Polymer Refine Detection) was used. Positive staining was found in human normal tonsil (PMID : 25934707). The section was incubated with ab288439 for 30 mins at room temperature.The immunostaining was performed on a Leica Biosystems BOND® RX instrument Counterstained with Hematoxylin.

Secondary antibody only control : Secondary antibody is a ready to use Leica DS9800 (BOND™, Polymer Refine Detection) was used.

Heat mediated antigen retrieval with Tris-EDTA buffer (pH 9.0, epitope retrieval solution2) for 20 mins

Flow Cytometry - Anti-CD37 antibody [EPR25397-136] - BSA and Azide free (AB288448)
  • Flow Cyt

Supplier Data

Flow Cytometry - Anti-CD37 antibody [EPR25397-136] - BSA and Azide free (AB288448)

This data was developed using ab288439, the same antibody clone in a different buffer formulation.

Flow cytometric analysis of MCF7 (Human breast adenocarcinoma epithelial cell, Left) / Raji (Human Burkitt's lymphoma B lymphocyte, Right) cells labelling CD37 with ab288439 at 1/50 dilution (1ug)/ red compared with a Rabbit monoclonal IgG (ab172730) (Black) isotype control and an unlabelled control (cells without incubation with primary antibody and secondary antibody) (Blue). Goat Anti-Rabbit IgG (Alexa Fluor® 488, ab150081) at 1/2000 dilution was used as the secondary antibody. Negative control : MCF7 (PMID : 33652767). Gated on viable cells.

Immunohistochemistry (Formalin/PFA-fixed paraffin-embedded sections) - Anti-CD37 antibody [EPR25397-136] - BSA and Azide free (AB288448)
  • IHC-P

Supplier Data

Immunohistochemistry (Formalin/PFA-fixed paraffin-embedded sections) - Anti-CD37 antibody [EPR25397-136] - BSA and Azide free (AB288448)

This data was developed using ab288439, the same antibody clone in a different buffer formulation.

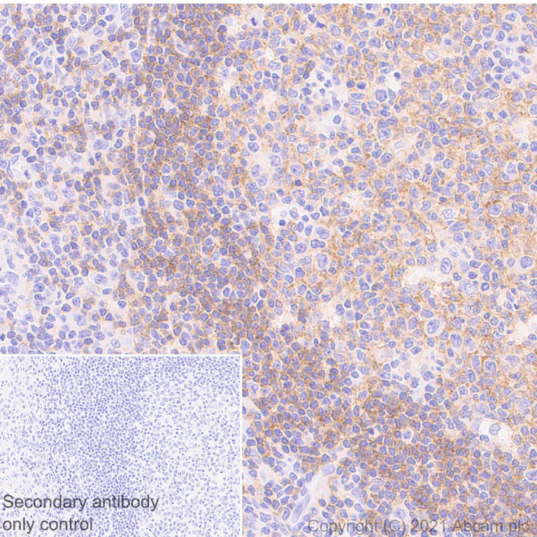
Immunohistochemical analysis of paraffin-embedded Human spleen tissue labelling CD37 with ab288439 at 1/500 (0.986 ug/ml) followed by a ready to use Leica DS9800 (BOND™, Polymer Refine Detection) was used. Positive staining was found in human normal spleen (PMID : 25934707). The section was incubated with ab288439 for 30 mins at room temperature. The immunostaining was performed on a Leica Biosystems BOND ® RX instrument Counterstained with Hematoxylin.

Secondary antibody only control : Secondary antibody is a ready to use Leica DS9800 (BOND™, Polymer Refine Detection) was used.

Heat mediated antigen retrieval with Tris-EDTA buffer (pH 9.0, epitope retrieval solution2) for 20 mins

Immunohistochemistry (Formalin/PFA-fixed paraffin-embedded sections) - Anti-CD37 antibody [EPR25397-136] - BSA and Azide free (AB288448)
  • IHC-P

Supplier Data

Immunohistochemistry (Formalin/PFA-fixed paraffin-embedded sections) - Anti-CD37 antibody [EPR25397-136] - BSA and Azide free (AB288448)

This data was developed using ab288439, the same antibody clone in a different buffer formulation.

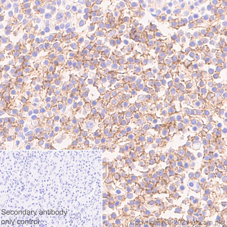
Immunohistochemical analysis of paraffin-embedded Human Hodgkin's lymphoma tissue labelling CD37 with ab288439 at 1/500 (0.986 ug/ml) followed by a ready to use Leica DS9800 (BOND™, Polymer Refine Detection) was used. Positive staining was found in human Hodgkin's lymphoma. The section was incubated with ab288439 for 30 mins at room temperature. The immunostaining was performed on a Leica Biosystems BOND® RX instrument Counterstained with Hematoxylin.

Secondary antibody only control : Secondary antibody is a ready to use Leica DS9800 (BOND™, Polymer Refine Detection) was used.

Heat mediated antigen retrieval with Tris-EDTA buffer (pH 9.0, epitope retrieval solution2) for 20 mins

Immunohistochemistry (Formalin/PFA-fixed paraffin-embedded sections) - Anti-CD37 antibody [EPR25397-136] - BSA and Azide free (AB288448)
  • IHC-P

Supplier Data

Immunohistochemistry (Formalin/PFA-fixed paraffin-embedded sections) - Anti-CD37 antibody [EPR25397-136] - BSA and Azide free (AB288448)

This data was developed using ab288439, the same antibody clone in a different buffer formulation.

Immunohistochemical analysis of paraffin-embedded Human skeletal muscle tissue labelling CD37 with ab288439 at 1/500 (0.986 ug/ml) followed by a ready to use Leica DS9800 (BOND™, Polymer Refine Detection) was used. Negative control : No staining was found on human skeletal muscle. The section was incubated with ab288439 for 30 mins at room temperature. The immunostaining was performed on a Leica Biosystems BOND® RX instrument Counterstained with Hematoxylin.

Secondary antibody only control : Secondary antibody is a ready to use Leica DS9800 (BOND™, Polymer Refine Detection) was used.

Heat mediated antigen retrieval with Tris-EDTA buffer (pH 9.0, epitope retrieval solution2) for 20 mins

Key facts

Host species

Rabbit

Clonality

Monoclonal

Clone number

EPR25397-136

Isotype

IgG

Carrier free

Yes

Reacts with

Human

Applications

ICC/IF, IHC-P, Flow Cyt

applications

Immunogen

The exact immunogen used to generate this antibody is proprietary information.

Reactivity data

{ "title": "Reactivity Data", "filters": { "stats": ["", "Species", "Dilution Info", "Notes"], "tabs": { "all-applications": {"fullname" : "All Applications", "shortname": "All Applications"}, "IP" : {"fullname" : "Immunoprecipitation", "shortname":"IP"}, "FlowCyt" : {"fullname" : "Flow Cytometry", "shortname":"Flow Cyt"}, "WB" : {"fullname" : "Western blot", "shortname":"WB"}, "IHCP" : {"fullname" : "Immunohistochemistry (Formalin/PFA-fixed paraffin-embedded sections)", "shortname":"IHC-P"}, "ICCIF" : {"fullname" : "Immunocytochemistry/ Immunofluorescence", "shortname":"ICC/IF"} }, "product-promise": { "all": "all", "testedAndGuaranteed": "tested", "guaranteed": "expected", "predicted": "predicted", "notRecommended": "not-recommended" } }, "values": { "Human": { "IP-species-checked": "notRecommended", "IP-species-dilution-info": "", "IP-species-notes": "<p></p>", "FlowCyt-species-checked": "testedAndGuaranteed", "FlowCyt-species-dilution-info": "", "FlowCyt-species-notes": "<p></p>", "WB-species-checked": "notRecommended", "WB-species-dilution-info": "", "WB-species-notes": "<p></p>", "IHCP-species-checked": "testedAndGuaranteed", "IHCP-species-dilution-info": "", "IHCP-species-notes": "<p></p>", "ICCIF-species-checked": "testedAndGuaranteed", "ICCIF-species-dilution-info": "", "ICCIF-species-notes": "<p></p>" }, "Mouse": { "IP-species-checked": "notRecommended", "IP-species-dilution-info": "", "IP-species-notes": "", "FlowCyt-species-checked": "notRecommended", "FlowCyt-species-dilution-info": "", "FlowCyt-species-notes": "", "WB-species-checked": "notRecommended", "WB-species-dilution-info": "", "WB-species-notes": "<p></p>", "IHCP-species-checked": "notRecommended", "IHCP-species-dilution-info": "", "IHCP-species-notes": "<p></p>", "ICCIF-species-checked": "notRecommended", "ICCIF-species-dilution-info": "", "ICCIF-species-notes": "" }, "Rat": { "IP-species-checked": "notRecommended", "IP-species-dilution-info": "", "IP-species-notes": "", "FlowCyt-species-checked": "notRecommended", "FlowCyt-species-dilution-info": "", "FlowCyt-species-notes": "", "WB-species-checked": "notRecommended", "WB-species-dilution-info": "", "WB-species-notes": "<p></p>", "IHCP-species-checked": "notRecommended", "IHCP-species-dilution-info": "", "IHCP-species-notes": "<p></p>", "ICCIF-species-checked": "notRecommended", "ICCIF-species-dilution-info": "", "ICCIF-species-notes": "" } } }

Product details

Patented technology
Our RabMAb® technology is a patented hybridoma-based technology for making rabbit monoclonal antibodies. For details on our patents, please refer to RabMAb® patents.

What are the advantages of a recombinant monoclonal antibody?
This product is a recombinant monoclonal antibody, which offers several advantages including:

  • - High batch-to-batch consistency and reproducibility
  • - Improved sensitivity and specificity
  • - Long-term security of supply
  • - Animal-free batch production

For more information, read more on recombinant antibodies.

Conjugation ready
Our carrier-free antibodies are typically supplied in a PBS-only formulation, purified and free of BSA, sodium azide and glycerol. This conjugation-ready format is designed for use with fluorochromes, metal isotopes, oligonucleotides, and enzymes, which makes them ideal for antibody labelling, functional and cell-based assays, flow-based assays (e.g. mass cytometry) and Multiplex Imaging applications.

Use our conjugation kits for antibody conjugates that are ready-to-use in as little as 20 minutes with 1 minute hands-on-time and 100% antibody recovery: available for fluorescent dyes, HRP, biotin and gold.

Compatibility
This product is compatible with the Maxpar® Antibody Labeling Kit from Fluidigm, without the need for antibody preparation. Maxpar® is a trademark of Fluidigm Canada Inc.

Properties and storage information

Form
Liquid
Purification technique
Affinity purification Protein A
Storage buffer
pH: 7.2 - 7.4 Constituents: PBS
Shipped at conditions
Blue Ice
Appropriate short-term storage conditions
+4°C
Appropriate long-term storage conditions
+4°C

Product protocols

For this product, it's our understanding that no specific protocols are required. You can visit:

Target data

Structural component of specialized membrane microdomains known as tetraspanin-enriched microdomains (TERMs), which act as platforms for receptor clustering and signaling. Participates thereby in diverse biological functions such as cell signal transduction, adhesion, migration and protein trafficking (PubMed : 22624718). Upon ligand binding, two signaling pathways are activated, one acting through phosphorylation by LYN leading to cell death or a survival pathway with activation of GSK3B (PubMed : 22624718). Plays an essential role essential for clustering of integrin ITGA4/ITGB1 and promotes its mobility in the plasma membrane of B-cells. In turn, participates in ITGA4/ITGB1 integrin-mediated antiapoptotic signaling through AKT (By similarity). Plays also a role in the migration of dendritic cells and neutrophils to draining lymph nodes, as well as in their integrin-mediated adhesion (By similarity). Negatively regulates IL-6 responses through direct interaction with SOCS3 thereby preventing constitutive IL-6 signaling (PubMed : 26784544). Alternatively, inhibition of IL-6 signaling can also occur via interaction and stabilization of DECTIN1/CLEC7A at the cell membrane to inhibit its ability to promote the production of IL-6 (PubMed : 17182550).
See full target information CD37

Product promise

We are committed to supporting your work with high-quality reagents, and we're here for you every step of the way. In the unlikely event that one of our products does not perform as expected, you're protected by our Product Promise.
For full details, please see our Terms & Conditions

Please note: All products are 'FOR RESEARCH USE ONLY. NOT FOR USE IN DIAGNOSTIC OR THERAPEUTIC PROCEDURES'.

For licensing inquiries, please contact partnerships@abcam.com