JavaScript is disabled in your browser. Please enable JavaScript to view this website.
AB315347

Anti-CD37 antibody [EPR28769-31] - BSA and Azide free

Be the first to review this product! Submit a review

|

(0 Publication)

Rabbit Recombinant Monoclonal CD37 antibody. Carrier free. Suitable for WB, IP, IHC-P, Flow Cyt, ICC/IF and reacts with Mouse samples.

View Alternative Names

CD37, Leukocyte antigen CD37, Cd37

8 Images
Immunohistochemistry (Formalin/PFA-fixed paraffin-embedded sections) - Anti-CD37 antibody [EPR28769-31] - BSA and Azide free (AB315347)
  • IHC-P

Supplier Data

Immunohistochemistry (Formalin/PFA-fixed paraffin-embedded sections) - Anti-CD37 antibody [EPR28769-31] - BSA and Azide free (AB315347)

This data was developed using ab315346, the same antibody clone in a different buffer formulation.

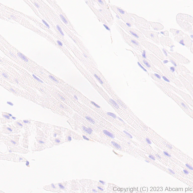
Immunohistochemical analysis of paraffin-embedded Mouse cardiac muscle tissue labeling CD37 with ab315346 at 1/2000 (0.257 ug/ml) dilution, followed by a ready to use LeicaDS9800 (Bond™ Polymer Refine Detection).

Negative control : No staining on mouse cardiac muscle. The section was incubated with ab315346 for 30 mins at room temperature. The immunostaining was performed on a Leica Biosystems BOND® RX instrument. Counterstained with Hematoxylin.

Secondary antibody only control : Secondary antibody is a ready to use LeicaDS9800 (Bond™ Polymer Refine Detection).

Heat mediated antigen retrieval was performed with Tris-EDTA buffer (pH 9.0, Epitope Retrieval Solution2) for 20 mins.

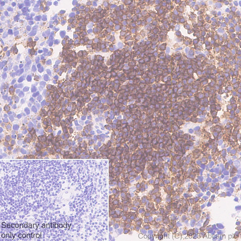
Immunohistochemistry (Formalin/PFA-fixed paraffin-embedded sections) - Anti-CD37 antibody [EPR28769-31] - BSA and Azide free (AB315347)
  • IHC-P

Supplier Data

Immunohistochemistry (Formalin/PFA-fixed paraffin-embedded sections) - Anti-CD37 antibody [EPR28769-31] - BSA and Azide free (AB315347)

This data was developed using ab315346, the same antibody clone in a different buffer formulation.

Immunohistochemical analysis of paraffin-embedded Mouse Burkitt's lymphoma tissue labeling CD37 with ab315346 at 1/2000 (0.257 ug/ml) dilution, followed by a ready to use LeicaDS9800 (Bond™ Polymer Refine Detection).

Positive staining on mouse Burkitt's lymphoma. The section was incubated with ab315346 for 30 mins at room temperature. The immunostaining was performed on a Leica Biosystems BOND® RX instrument. Counterstained with Hematoxylin.

Secondary antibody only control : Secondary antibody is a ready to use LeicaDS9800 (Bond™ Polymer Refine Detection).

Heat mediated antigen retrieval was performed with Tris-EDTA buffer (pH 9.0, Epitope Retrieval Solution2) for 20 mins.

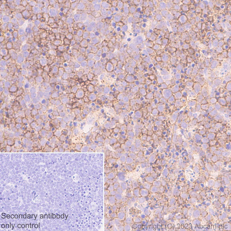
Immunohistochemistry (Formalin/PFA-fixed paraffin-embedded sections) - Anti-CD37 antibody [EPR28769-31] - BSA and Azide free (AB315347)
  • IHC-P

Supplier Data

Immunohistochemistry (Formalin/PFA-fixed paraffin-embedded sections) - Anti-CD37 antibody [EPR28769-31] - BSA and Azide free (AB315347)

This data was developed using ab315346, the same antibody clone in a different buffer formulation.

Immunohistochemical analysis of paraffin-embedded Mouse spleen tissue labeling CD37 with ab315346 at 1/2000 (0.257 ug/ml) dilution, followed by a ready to use LeicaDS9800 (Bond™ Polymer Refine Detection).

Positive staining on mouse spleen (PMID : 19282981). The section was incubated with ab315346 for 30 mins at room temperature. The immunostaining was performed on a Leica Biosystems BOND® RX instrument. Counterstained with Hematoxylin.

Secondary antibody only control : Secondary antibody is a ready to use LeicaDS9800 (Bond™ Polymer Refine Detection).

Heat mediated antigen retrieval was performed with Tris-EDTA buffer (pH 9.0, Epitope Retrieval Solution2) for 20 mins.

Immunocytochemistry/ Immunofluorescence - Anti-CD37 antibody [EPR28769-31] - BSA and Azide free (AB315347)
  • ICC/IF

Supplier Data

Immunocytochemistry/ Immunofluorescence - Anti-CD37 antibody [EPR28769-31] - BSA and Azide free (AB315347)

This data was developed using ab315346, the same antibody clone in a different buffer formulation.

Immunofluorescent analysis of 4% Paraformaldehyde-fixed, 0.1% Tween-20 permeabilized mouse splenocytes cells labelling CD37 with ab315346 at 1/500 (1.026 ug/ml) dilution, followed by ab150081 Goat Anti-Rabbit IgG H&L (Alexa Fluor® 488) preadsorbed antibody at 1/1000 (2 ug/ml) dilution (Green).

Confocal image showing membranous staining in subsets of mouse splenocytes, which is co-localized with anti-CD45R. Image was taken with a confocal microscope(Leica-Microsystems, TCS SP8).

Anti-human/mouse CD45R/B220 rat monoclonal antibody (Alexa Fluor® 647) was used to counterstain at 1/100 (5 ug/ml) dilution (Red). The Nuclear counterstain was DAPI (Blue).

Secondary antibody only control : Secondary antibody is ab150081 Goat Anti-Rabbit IgG H&L (Alexa Fluor® 488) preadsorbed at 1/1000 (2 ug/ml) dilution.

Flow Cytometry - Anti-CD37 antibody [EPR28769-31] - BSA and Azide free (AB315347)
  • Flow Cyt

Supplier Data

Flow Cytometry - Anti-CD37 antibody [EPR28769-31] - BSA and Azide free (AB315347)

This data was developed using ab315346, the same antibody clone in a different buffer formulation.

Flow cytometric analysis of Mouse splenocytes cells labelling CD37 with ab315346 at 1/50 dilution (1 ug, Right) compared with a Rabbit monoclonal IgG (ab172730) / Left isotype control.

Goat Anti-Rabbit IgG (Alexa Fluor® 488, ab150081) at 1/5000 dilution was used as the secondary antibody.

Gated on viable cells. Cells are co-stained with CD45R/B220 conjugated to Alexa Fluor®647.

Immunoprecipitation - Anti-CD37 antibody [EPR28769-31] - BSA and Azide free (AB315347)
  • IP

Supplier Data

Immunoprecipitation - Anti-CD37 antibody [EPR28769-31] - BSA and Azide free (AB315347)

This data was developed using ab315346, the same antibody clone in a different buffer formulation.

CD37 was immunoprecipitated from 0.35 mg Mouse spleen whole cell lysate with ab315346 at 1/30 dilution (2ug in 0.35mg lysates). Western blot was performed on the immunoprecipitate using ab315346 at 1/1000 dilution. VeriBlot for IP secondary antibody(HRP)(ab131366) was used at 1/5000 dilution.

Lane 1 : Mouse spleen whole cell lysate

Lane 2 : ab315346 IP in Mouse spleen whole cell lysate

Lane 3 : Rabbit monoclonal IgG (ab172730) instead of ab315346 in mouse spleen whole cell lysate

Blocking and dilution buffer and concentration : 5% NFDM/TBST.

All lanes:

Immunoprecipitation - Anti-CD37 antibody [EPR28769-31] (<a href='/en-us/products/primary-antibodies/cd37-antibody-epr28769-31-ab315346'>ab315346</a>) at 1/30 dilution

All lanes:

Mouse spleen whole cell lysate

Secondary

All lanes:

Immunoprecipitation - VeriBlot for IP Detection Reagent (HRP) (<a href='/en-us/products/reagents/veriblot-for-ip-detection-reagent-hrp-ab131366'>ab131366</a>) at 1/5000 dilution

false

Exposure time: 10s

Western blot - Anti-CD37 antibody [EPR28769-31] - BSA and Azide free (AB315347)
  • WB

Supplier Data

Western blot - Anti-CD37 antibody [EPR28769-31] - BSA and Azide free (AB315347)

This data was developed using ab315346, the same antibody clone in a different buffer formulation.

Blocking and diluting buffer and concentration : 5% NFDM/TBST.

Negative control : Mouse heart.

In Western blot, Anti-GAPDH antibody [EPR16891] - Loading Control (ab181602) staining at 1/200000 dilution.

All lanes:

Western blot - Anti-CD37 antibody [EPR28769-31] (<a href='/en-us/products/primary-antibodies/cd37-antibody-epr28769-31-ab315346'>ab315346</a>) at 1/1000 dilution

Lane 1:

Mouse spleen tissue lysate at 20 µg

Lane 2:

Mouse heart tissue lysate at 20 µg

Secondary

All lanes:

Western blot - Goat Anti-Rabbit IgG H&L (HRP) (<a href='/en-us/products/secondary-antibodies/goat-rabbit-igg-h-l-hrp-ab97051'>ab97051</a>) at 1/100000 dilution

Observed band size: 40-60 kDa,36 kDa

false

Exposure time: 37s

Western blot - Anti-CD37 antibody [EPR28769-31] - BSA and Azide free (AB315347)
  • WB

Supplier Data

Western blot - Anti-CD37 antibody [EPR28769-31] - BSA and Azide free (AB315347)

This data was developed using ab315346, the same antibody clone in a different buffer formulation.

Blocking and diluting buffer and concentration : 5% NFDM/TBST.

In Western blot, Anti-GAPDH antibody [EPR16891] - Loading Control (ab181602) staining at 1/200000 dilution.

All lanes:

Western blot - Anti-CD37 antibody [EPR28769-31] (<a href='/en-us/products/primary-antibodies/cd37-antibody-epr28769-31-ab315346'>ab315346</a>) at 1/1000 dilution

All lanes:

WEHI-231 (mouse B cell lymphoma B lymphocyte) whole cell lysate at 20 µg

Secondary

All lanes:

Western blot - Goat Anti-Rabbit IgG H&L (HRP) (<a href='/en-us/products/secondary-antibodies/goat-rabbit-igg-h-l-hrp-ab97051'>ab97051</a>) at 1/100000 dilution

Observed band size: 40-60 kDa,36 kDa

false

Exposure time: 37s

Key facts

Host species

Rabbit

Clonality

Monoclonal

Clone number

EPR28769-31

Isotype

IgG

Carrier free

Yes

Reacts with

Mouse

Applications

IP, WB, Flow Cyt, IHC-P, ICC/IF

applications

Immunogen

The exact immunogen used to generate this antibody is proprietary information.

Reactivity data

{ "title": "Reactivity Data", "filters": { "stats": ["", "Species", "Dilution Info", "Notes"], "tabs": { "all-applications": {"fullname" : "All Applications", "shortname": "All Applications"}, "WB" : {"fullname" : "Western blot", "shortname":"WB"}, "IP" : {"fullname" : "Immunoprecipitation", "shortname":"IP"}, "IHCP" : {"fullname" : "Immunohistochemistry (Formalin/PFA-fixed paraffin-embedded sections)", "shortname":"IHC-P"}, "FlowCyt" : {"fullname" : "Flow Cytometry", "shortname":"Flow Cyt"}, "ICCIF" : {"fullname" : "Immunocytochemistry/ Immunofluorescence", "shortname":"ICC/IF"} }, "product-promise": { "all": "all", "testedAndGuaranteed": "tested", "guaranteed": "expected", "predicted": "predicted", "notRecommended": "not-recommended" } }, "values": { "Human": { "WB-species-checked": "notRecommended", "WB-species-dilution-info": "", "WB-species-notes": "<p></p>", "IP-species-checked": "notRecommended", "IP-species-dilution-info": "", "IP-species-notes": "", "IHCP-species-checked": "notRecommended", "IHCP-species-dilution-info": "", "IHCP-species-notes": "<p></p>", "FlowCyt-species-checked": "notRecommended", "FlowCyt-species-dilution-info": "", "FlowCyt-species-notes": "", "ICCIF-species-checked": "notRecommended", "ICCIF-species-dilution-info": "", "ICCIF-species-notes": "" }, "Mouse": { "WB-species-checked": "testedAndGuaranteed", "WB-species-dilution-info": "", "WB-species-notes": "<p></p>", "IP-species-checked": "testedAndGuaranteed", "IP-species-dilution-info": "", "IP-species-notes": "<p></p>", "IHCP-species-checked": "testedAndGuaranteed", "IHCP-species-dilution-info": "", "IHCP-species-notes": "<p></p>", "FlowCyt-species-checked": "testedAndGuaranteed", "FlowCyt-species-dilution-info": "", "FlowCyt-species-notes": "<p></p>", "ICCIF-species-checked": "testedAndGuaranteed", "ICCIF-species-dilution-info": "", "ICCIF-species-notes": "<p></p>" }, "Rat": { "WB-species-checked": "notRecommended", "WB-species-dilution-info": "", "WB-species-notes": "<p></p>", "IP-species-checked": "notRecommended", "IP-species-dilution-info": "", "IP-species-notes": "", "IHCP-species-checked": "notRecommended", "IHCP-species-dilution-info": "", "IHCP-species-notes": "<p></p>", "FlowCyt-species-checked": "notRecommended", "FlowCyt-species-dilution-info": "", "FlowCyt-species-notes": "", "ICCIF-species-checked": "notRecommended", "ICCIF-species-dilution-info": "", "ICCIF-species-notes": "" } } }

Product details

ab315347 is the carrier-free version of ab315346.

Patented technology
Our RabMAb® technology is a patented hybridoma-based technology for making rabbit monoclonal antibodies. For details on our patents, please refer to RabMAb® patents.

What are the advantages of a recombinant monoclonal antibody?
This product is a recombinant monoclonal antibody, which offers several advantages including:

  • - High batch-to-batch consistency and reproducibility
  • - Improved sensitivity and specificity
  • - Long-term security of supply
  • - Animal-free batch production

For more information, read more on recombinant antibodies.

Conjugation ready
Our carrier-free antibodies are typically supplied in a PBS-only formulation, purified and free of BSA, sodium azide and glycerol. This conjugation-ready format is designed for use with fluorochromes, metal isotopes, oligonucleotides, and enzymes, which makes them ideal for antibody labelling, functional and cell-based assays, flow-based assays (e.g. mass cytometry) and Multiplex Imaging applications.

Use our conjugation kits for antibody conjugates that are ready-to-use in as little as 20 minutes with 1 minute hands-on-time and 100% antibody recovery: available for fluorescent dyes, HRP, biotin and gold.

Compatibility
This product is compatible with the Maxpar® Antibody Labeling Kit from Fluidigm, without the need for antibody preparation. Maxpar® is a trademark of Fluidigm Canada Inc.

Properties and storage information

Form
Liquid
Purification technique
Affinity purification Protein A
Storage buffer
pH: 7.2 - 7.4 Constituents: PBS
Shipped at conditions
Blue Ice
Appropriate short-term storage conditions
+4°C
Appropriate long-term storage conditions
+4°C

Product protocols

For this product, it's our understanding that no specific protocols are required. You can visit:

Target data

Structural component of specialized membrane microdomains known as tetraspanin-enriched microdomains (TERMs), which act as platforms for receptor clustering and signaling. Participates thereby in diverse biological functions such as cell signal transduction, adhesion, migration and protein trafficking (PubMed : 10891477). Upon ligand binding, two signaling pathways are activated, one acting through phosphorylation by LYN leading to cell death or a survival pathway with activation of GSK3B (By similarity). Plays an essential role for clustering of integrin ITGA4/ITGB1 and promotes its mobility in the plasma membrane of B-cells. In turn, participates in ITGA4/ITGB1 integrin-mediated antiapoptotic signaling through AKT (PubMed : 23150881). Plays also a role in the migration of dendritic cells and neutrophils to draining lymph nodes, as well as in their integrin-mediated adhesion (PubMed : 23420539, PubMed : 26566675). Negatively regulates IL-6 responses through direct interaction with SOCS3 thereby preventing constitutive IL-6 signaling (By similarity). Alternatively, inhibition of IL-6 signaling can also occur via interaction and stabilization of DECTIN1/CLEC7A at the cell membrane to inhibit its ability to promote the production of IL-6 (By similarity).
See full target information Cd37

Product promise

We are committed to supporting your work with high-quality reagents, and we're here for you every step of the way. In the unlikely event that one of our products does not perform as expected, you're protected by our Product Promise.
For full details, please see our Terms & Conditions

Please note: All products are 'FOR RESEARCH USE ONLY. NOT FOR USE IN DIAGNOSTIC OR THERAPEUTIC PROCEDURES'.

For licensing inquiries, please contact partnerships@abcam.com